Wyszukaj w publikacjach
Kryptokokoza – kiedy ból głowy w immunosupresji powinien budzić niepokój?

Kryptokokoza jest jedną z inwazyjnych grzybic układowych o wysokiej śmiertelności, szczególnie w populacjach z upośledzoną odpornością komórkową. Choroba wywoływana jest przez drożdżakopodobne grzyby z rodzaju Cryptococcus. Jest to najczęstszy grzybiczy czynnik powodujący zapalenie opon mózgowo-rdzeniowych oraz zapalenie mózgu [1,2].
Etiologia i patogeneza zakażeń Cryptococcus
Czynnikami etiologicznymi kryptokokozy są grzyby drożdżakopodobne posiadające grubą polisacharydową otoczkę, będącą głównym czynnikiem wirulencji. C. neoformans występuje na całym świecie i najczęściej zakaża osoby z głębokim niedoborem odporności komórkowej. Z kolei C. gattii częściej powoduje chorobę u osób immunokompetentnych i wiąże się z tworzeniem mas guzowatych (kryptokokoma) [3].
Do zakażenia dochodzi głównie drogą wziewną poprzez inhalację zarodników obecnych w glebie zanieczyszczonej odchodami ptaków (szczególnie gołębi). U osób immunokompetentnych zakażenie zwykle ulega eliminacji lub przechodzi w postać latentną. W stanie immunosupresji może dochodzić do reaktywacji zakażenia i rozsiewu drogą krwi, ze szczególnym tropizmem do ośrodkowego układu nerwowego. Co istotne, kryptokokoza nie przenosi się z człowieka na człowieka. Okres wylęgania zależy od stanu immunologicznego chorego, patogenności szczepu grzyba oraz dawki zakażającej [3].
Epidemiologia grzybic inwazyjnych i grupy ryzyka
Kryptokokoza pozostaje jedną z najczęstszych infekcji oportunistycznych u osób żyjących z HIV, zwłaszcza przy liczbie limfocytów CD4 <100/µl. Szacuje się, że kryptokokowe zapalenie opon mózgowo-rdzeniowych odpowiada za około 19% zgonów związanych z AIDS i stanowi drugą przyczynę zgonów związanych z zakażeniem HIV na świecie [2,3].
Do innych istotnych czynników ryzyka należą:
- leczenie immunosupresyjne (glikokortykosteroidy, leki biologiczne),
- nowotwory układu chłonnego,
- sarkoidoza,
- marskość wątroby,
- zespół hiperimmunoglobulinemii IgE lub IgM,
- idiopatyczna limfocytopenia CD4 [3].
U osób bez jawnej immunosupresji kryptokokoza występuje rzadziej i zwykle manifestuje się jako postać płucna.
Obraz kliniczny kryptokokozy
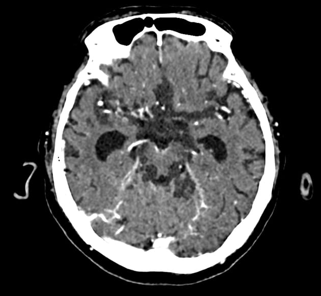
Kryptokokoza OUN
Najcięższą postacią choroby jest kryptokokowe zapalenie opon mózgowych oraz ropnie mózgu, które powodują objawy ogniskowe. Przebieg ma zwykle charakter podostry, z narastaniem objawów przez dni lub tygodnie. Często zmianom towarzyszy obrzęk mózgu. Dominują:
- przewlekły ból głowy,
- prawidłowa lub umiarkowanie podwyższona temperatura ciała,
- nudności i wymioty,
- zaburzenia świadomości,
- zaburzenia widzenia wynikające ze wzrostu ciśnienia śródczaszkowego [1,3].
Sztywność karku i inne klasyczne objawy oponowe mogą być nieobecne, szczególnie u pacjentów z HIV, co istotnie utrudnia rozpoznanie w warunkach ambulatoryjnych.

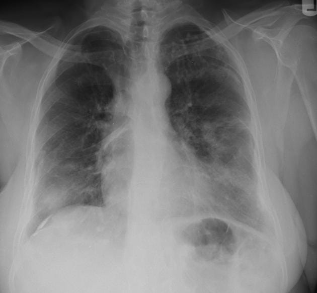
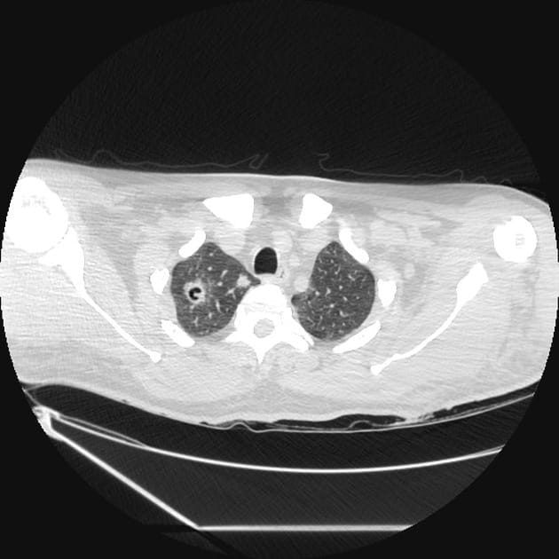
Kryptokokoza płucna
Postać płucna może przebiegać bezobjawowo lub manifestować się przewlekłym kaszlem, odksztuszaniem dużych ilości wydzieliny, dusznością i bólem opłucnowym, a nawet niewydolnością oddechową. Zakażenia objawowe zazwyczaj rozwijają się powoli, w ciągu tygodni, a w przypadku immunosupresji – w ciągu dni. W badaniach obrazowych stwierdza się guzki, nacieki lub zmiany jamiste, niekiedy imitujące gruźlicę lub nowotwór [3]. Rozpoznanie kryptokokozy płucnej zawsze wymaga wykluczenia zajęcia OUN.


Postacie pozapłucne
Zmiany skórne (grudki, guzki, zmiany grudkowo-plamiste, ropnie, pęcherzyki, łuski, rumień, zmiany opryszczkopodobne i mięczakopodobne) często świadczą o uogólnieniu zakażenia. Opisywano również zajęcie prostaty, oczu, kości i innych narządów [3].
Diagnostyka grzybic inwazyjnych
Identyfikacja czynnika etiologicznego polega na wykonaniu preparatu bezpośredniego, hodowli na odpowiednich pożywkach, badaniach serologicznych, histologicznych oraz molekularnych [1–3]. Warto wykonać badania obrazowe głowy i klatki piersiowej w celu oceny rozległości choroby i obecności guzków.
U każdego pacjenta z podejrzeniem kryptokokowego ZOMR należy wykonać nakłucie lędźwiowe z oceną ciśnienia otwarcia oraz badaniem PMR (mikroskopia, posiew, CrAg). Podwyższone ciśnienie śródczaszkowe stanowi istotny czynnik rokowniczy i wymaga aktywnego leczenia [1].
Leczenie zakażeń Cryptococcus
Leczenie kryptokokozy jest wieloetapowe i obejmuje fazę indukcyjną, konsolidacyjną oraz podtrzymującą. Złotym standardem indukcji pozostaje liposomalna amfoterycyna B w skojarzeniu z flucytozyną. Następnie podaje się flukonazol w terapii konsolidacyjnej i podtrzymującej [1,3].
Rokowanie i znaczenie wczesnego rozpoznania
Rokowanie w kryptokokozie zależy w dużej mierze od momentu rozpoznania oraz skutecznej kontroli powikłań, zwłaszcza nadciśnienia śródczaszkowego. Opóźnienie diagnostyki jest jednym z głównych czynników zwiększających śmiertelność [1,3].
Źródła
- Chang, C. C., Harrison, T. S., Bicanic, T. A., Chayakulkeeree, M., Sorrell, T. C., Warris, A., Hagen, F., Spec, A., Oladele, R., Govender, N. P., Chen, S. C., Mody, C. H., Groll, A. H., Chen, Y. C., Lionakis, M. S., Alanio, A., Castañeda, E., Lizarazo, J., Vidal, J. E., Takazono, T., … Perfect, J. R. (2024). Global guideline for the diagnosis and management of cryptococcosis: an initiative of the ECMM and ISHAM in cooperation with the ASM. The Lancet. Infectious diseases, 24(8), e495–e512. https://doi.org/10.1016/S1473-3099(23)00731-4
- World Health Organization. (2022). Guidelines for Diagnosing, Preventing and Managing Cryptococcal Disease Among Adults, Adolescents and Children Living with HIV.
- Gajewski, P. (2025). Interna Szczeklika 2025/2026 – duży podręcznik. Medycyna Praktyczna.























