Wyszukaj w publikacjach
Kandydoza przełyku – czy konieczna jest diagnostyka immunologiczna?

Kandydoza przełyku stanowi najczęstszą przyczynę zakaźnego zapalenia przełyku. Schorzenie jest wywoływane przez grzyby z rodzaju Candida, szczególnie Candida albicans, która jest komensalem przewodu pokarmowego i może kolonizować przełyk nawet u 20% osób. Choroba rozwija się znacznie częściej u osób z upośledzoną odpornością komórkową. Chociaż większość przypadków kandydozy przełyku przebiega bezobjawowo i bywa wykrywana przypadkowo podczas badań endoskopowych, niektóre mogą powodować objawy łatwe do pomylenia np. z innymi zakażeniami przełyku.
Częstość występowania kandydozy przełyku
Częstość występowania kandydozy przełyku w populacji ogólnej wynosi około 0,3–5,2%, lecz jest znacznie wyższa u pacjentów z niedoborami odporności komórkowej. Dotychczas nie wykazano przewagi zachorowań na kandydozę przełyku u którejkolwiek z płci, a mediana wieku chorych wynosi 55,5 roku.
Do pacjentów z immunosupresją, u których istnieje ryzyko rozwoju kandydozy przełyku, należą osoby HIV-pozytywne i chore na AIDS, pacjenci poddawani chemioterapii, radioterapii w obrębie szyi, długotrwałej antybiotykoterapii, stosujący leki immunosupresyjne, przewlekle leczeni ogólnoustrojowymi lub wziewnymi kortykosteroidami, a także przyjmujący inhibitory pompy protonowej (IPP) i leki stosowane w terapii eradykacyjnej zakażenia Helicobacter pylori. Do grupy ryzyka zaliczają się również chorzy na cukrzycę, niewydolność nadnerczy oraz osoby w podeszłym wieku.
Wśród pacjentów HIV-dodatnich rozpowszechnienie wynosi 9,8%. Jednocześnie obserwuje się, że dzięki skuteczności wysoce aktywnej terapii antyretrowirusowej (HAART) częstość kandydozy przełyku u pacjentów zakażonych HIV maleje. Kandydoza przełyku jest uznawana za chorobę wskaźnikową zespołu nabytego niedoboru odporności (AIDS).
Kandydoza przełyku – jakie objawy zgłaszają pacjenci?
Pacjenci z chorobą często pozostają bezobjawowi. Najczęstszymi dolegliwościami, które zgłaszają pacjenci z objawami, są:
- dysfagia,
- odynofagia, uznawana za najbardziej charakterystyczny objaw kandydozy przełyku,
- ból w klatce piersiowej, zlokalizowany zamostkowo.
Do innych objawów należą: ból brzucha, zgaga, utrata masy ciała, biegunka, nudności, wymioty i smoliste stolce. U części chorych kandydoza przełyku współwystępuje także z kandydozą jamy ustnej i gardła – w takim przypadku uważa się, że do zakażenia przełyku może dochodzić w następstwie szerzenia się infekcji z jamy ustnej. Przełyk może być również pierwotną lokalizacją kandydozy.
Jak rozpoznać kandydozę przełyku?
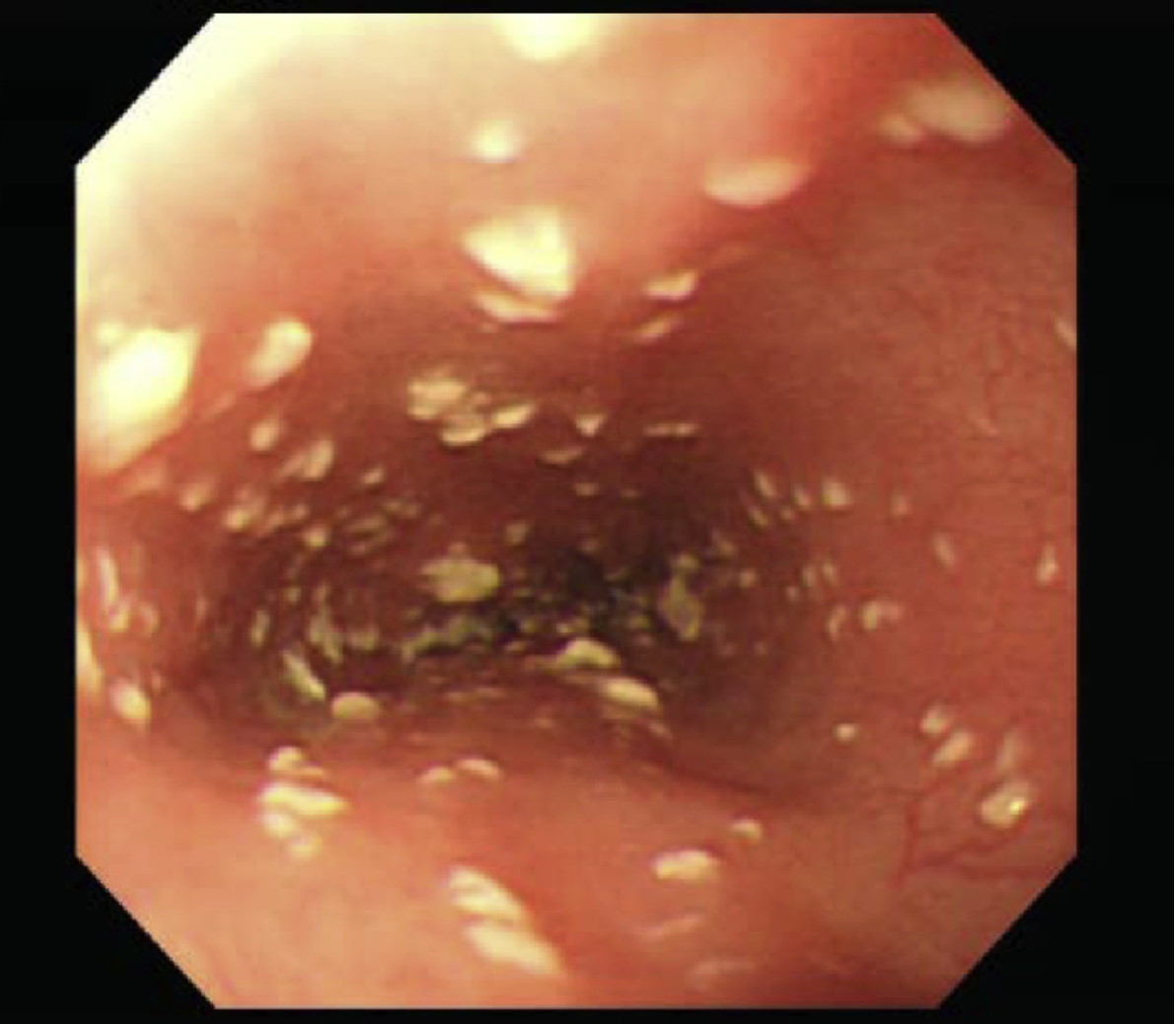
Rozpoznanie kandydozy przełyku opiera się na badaniu endoskopowym górnego odcinka przewodu pokarmowego. W badaniu wziernikowym na błonie śluzowej przełyku widoczne są biało-żółte naloty lub wysięki. Naloty i wysięki ściśle przylegają do błony śluzowej i nie dają się usunąć poprzez płukanie wodą. Zmiany mogą być rozlane lub tworzyć ograniczone ogniska. Błona śluzowa może być także uszkodzona i pokryta owrzodzeniami.

Biopsje lub wymazy szczoteczkowe pobrane ze zmian można poddać badaniu histologicznemu w celu potwierdzenia zakażenia. Prawdopodobieństwo współwystępowania infekcji wirusowej sięga nawet niemal 50%.
W przypadku pacjentów HIV-dodatnich i chorych na AIDS, ze względu na powszechne występowanie choroby wśród tych grup, rozpoznanie stawiane jest początkowo na podstawie obrazu klinicznego. Gastroskopia jest wskazana, gdy dolegliwości nie ustępują po wdrożonym leczeniu empirycznym.
W diagnostyce różnicowej kandydozy przełyku należy uwzględnić m.in.:
- chorobę refluksową przełyku,
- eozynofilowe zapalenie przełyku,
- infekcję wirusem opryszczki pospolitej HSV,
- zakażenie wirusem cytomegalii (CMV),
- bakteryjne zapalenie przełyku,
- zapalenie polekowe,
- zapalenie po przebytej radioterapii.
Jak skutecznie leczyć kandydozę przełyku?
Leczenie ogólnoustrojowe przeciwgrzybicze jest zawsze wymagane. W przeciwieństwie do kandydozy jamy ustnej i gardła, preparaty miejscowe nie są stosowane. Jako lek pierwszego wyboru zaleca się flukonazol 200–400 mg dziennie p.o. przez 14–21 dni.
Zgodnie z najnowszymi zaleceniami dotyczącymi leczenia kandydozy przełyku (Clinical Practice Guideline for the Management of Candidiasis: 2016 Update by the Infectious Diseases Society of America), zaleca się wykonanie próby diagnostycznej z zastosowaniem leczenia przeciwgrzybiczego przed wykonaniem badania endoskopowego. Jeśli w ciągu 72 godzin od rozpoczęcia leczenia nie obserwuje się poprawy objawów, konieczne jest wykonanie gastroskopii.
Jeśli pacjent nie toleruje przyjmowania leku doustnie, należy go skierować do szpitala, aby kontynuować terapię flukonazolem i.v. lub echinokandyną, np. mikafunginą czy kaspofunginą. Mniej preferowaną alternatywą dla pacjentów, którzy nie tolerują leczenia doustnego, jest amfoterycyna B. W przypadku choroby opornej na flukonazol można zastosować m.in. itrakonazol, worykonazol, echinokandynę lub amfoterycynę B.
U pacjentów z nawracającym zapaleniem przełyku zaleca się leczenie supresyjne flukonazolem 100–200 mg trzy razy w tygodniu. Jako że kandydoza przełyku jest często infekcją oportunistyczną, należy również zidentyfikować i leczyć przyczynę immunosupresji.
W przypadku stosowania azoli należy pamiętać o modyfikacji dawek u pacjentów z niewydolnością nerek. Dodatkowo azole są lekami teratogennymi, dlatego u kobiet w ciąży z kandydozą przełyku preferowanym lekiem jest amfoterycyna B.
Źródła
- Rosołowski, M., & Kierzkiewicz, M. (2013). Etiology, diagnosis and treatment of infectious esophagitis. Przeglad gastroenterologiczny, 8(6), 333–337. https://doi.org/10.5114/pg.2013.39914.
- Krajowe Centrum ds. AIDS. (2016). HIV/AIDS dla lekarzy rodzinnych. https://aids.gov.pl/publikacje/210/.
- Robertson, K. D., Nagra, N., & Mehta, D. (2023). Esophageal candidiasis. StatPearls - NCBI Bookshelf. https://www.ncbi.nlm.nih.gov/books/NBK537268/#:~:text=Since%20candida%20is%20a%20normal,2. [ostatni dostęp: 14.09.2025 r.]
- Ogiso, H., Adachi, S., Mabuchi, M., Horibe, Y., Ohno, T., Suzuki, Y., Yamauchi, O., Kojima, T., Takada, E., Iwama, M., Saito, K., Iwashita, T., Ibuka, T., Yasuda, I., & Shimizu, M. (2021). Risk factors for the development of esophageal candidiasis among patients in community hospital. Scientific Reports, 11, 20663. https://doi.org/10.1038/s41598-021-00132-w.
- Pappas, P. G., Kauffman, C. A., Andes, D. R., Clancy, C. J., Marr, K. A., Ostrosky-Zeichner, L., Reboli, A. C., Schuster, M. G., Vazquez, J. A., Walsh, T. J., Zaoutis, T. E., & Sobel, J. D. (2016). Clinical practice guideline for the management of candidiasis: 2016 update by the Infectious Diseases Society of America. Clinical Infectious Diseases, 62(4), e1–e50. https://doi.org/10.1093/cid/civ933.























