Wyszukaj w publikacjach
Diagnostyka osteopetrozy – od RTG do badań genetycznych

Osteopetroza (marmurkowatość kości) stanowi heterogenną grupę rzadkich, dziedzicznych chorób szkieletu charakteryzujących się wzrostem gęstości kości w następstwie zaburzenia funkcji osteoklastów. Skutkiem upośledzonej resorpcji jest wzrost gęstości kości przy jednoczesnym obniżeniu jakości biomechanicznej, której towarzyszy kruchość, zwiększona podatność na złamania i wtórne powikłania hematologiczne oraz neurologiczne.
Epidemiologia i patogeneza marmurkowatości kości
Osteopetroza występuje z częstością około 1:200 000 urodzeń w postaci autosomalnej recesywnej (ARO) i około 1:20 000 w postaci autosomalnej dominującej (ADO). Występują również bardzo rzadkie postacie sprzężone z chromosomem X, o ciężkim, wczesnodziecięcym przebiegu.
Przebieg ARO jest zazwyczaj ciężki – choroba ujawnia się w okresie niemowlęcym, a nieleczona prowadzi do niewydolności szpiku i zgonu z powodu powikłań infekcyjnych. ADO (choroba Albersa–Schönberga) ma łagodniejszy przebieg, a objawy pojawiają się w wieku młodzieńczym lub dorosłym.
Zidentyfikowano wiele genów związanych z osteopetrozą, m.in. TCIRG1, CLCN7, OSTM1, SNX10, TNFSF11, TNFRSF11A i CA2. Białka te uczestniczą prawidłowym funkcjonowaniu osteoklastu, transporcie jonów i zakwaszaniu przestrzeni resorpcyjnej. Mutacje prowadzą do zaburzenia degradacji macierzy kostnej, skutkując nieprawidłową mineralizacją.
Obraz kliniczny osteopetrozy
Postacie recesywne manifestują się w okresie niemowlęcym pancytopenią, hepatosplenomegalią, deformacjami czaszki oraz możliwą hipokalcemią. W formach dominujących przeważają złamania patologiczne, bóle kostne i zapalenia kości żuchwy. Wspólną cechą wszystkich typów jest zwiększona gęstość radiologiczna kości przy jednoczesnym obniżeniu ich jakości biomechanicznej.
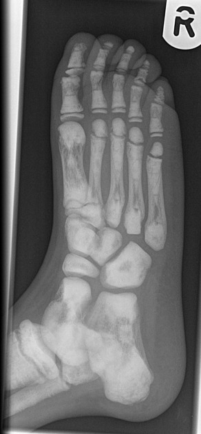
Diagnostyka obrazowa wzrostu gęstości kości
Obrazowanie stanowi podstawowy element diagnostyki osteopetrozy. Badanie RTG jest wystarczające do wstępnego rozpoznania, umożliwiając identyfikację typowych zmian, takich jak:
- uogólniona osteoskleroza (marble bone);
- obraz „kości w kości” (bone-in-bone);


- „kanapkowe” trzony kręgów (sandwich vertebrae);
- deformacja kolby Erlenmeyera w przynasadach kości długich.

Tomografia komputerowa umożliwia ocenę stopnia sklerotyzacji, deformacji czaszki i kanałów nerwowych oraz wykrywanie złamań patologicznych. Rezonans magnetyczny pozwala ocenić stopień zajęcia szpiku i ewentualne neuropatie nerwów czaszkowych, w tym ucisk nerwów wzrokowych i słuchowych.
Densytometria DXA nie jest rutynowo zalecana do postawienia rozpoznania – służy głównie do monitorowania postępu choroby lub skutków leczenia.
Diagnostyka genetyczna marmurkowatości kości
Testy genetyczne są silnie wskazane w diagnostyce i klasyfikacji molekularnej osteopetrozy oraz mają kluczowe znaczenie w poradnictwie genetycznym. Sekwencjonowanie metodą NGS obejmuje analizę regionów kodujących i granic intronowo-eksonowych genów, takich jak CLCN7, TCIRG1, OSTM1, SNX10, TNFSF11 i TNFRSF11A.
Interpretacja wyników powinna uwzględniać dane kliniczne i radiologiczne. Wynik negatywny testu genetycznego nie wyklucza choroby, ponieważ możliwe są mutacje w regionach niekodujących. Wskazania do diagnostyki genetycznej obejmują:
- przypadki rodzinne,
- pacjentów z typowym obrazem RTG,
- podejrzenie choroby w badaniach prenatalnych.
Znaczenie kliniczne badań genetycznych i leczenie
Identyfikacja mutacji ma znaczenie prognostyczne i terapeutyczne. Mutacje m.in. w genach TCIRG1 i CLCN7 (postacie osteoklastozależne) są wskazaniem do przeszczepienia komórek krwiotwórczych. Natomiast w przypadkach mutacji TNFSF11 (RANKL) i w przypadku mutacji w genie OSTM1, którym towarzyszy neurodegeneracja, przeszczepienie nie przynosi korzyści terapeutycznych z powodu charakteru defektu.
Wyniki badań genetycznych stanowią również podstawę poradnictwa rodzinnego, diagnostyki prenatalnej i kwalifikacji do badań klinicznych nad terapią genową.
Wnioski
Diagnostyka osteopetrozy wymaga kompleksowego podejścia, łączącego ocenę kliniczną, radiologiczną i genetyczną. RTG pozostaje podstawowym narzędziem wstępnej diagnozy, natomiast analiza molekularna jest niezbędna do klasyfikacji i planowania terapii. Interdyscyplinarna współpraca między genetykami, radiologami i hematologami jest kluczowa dla skutecznej diagnostyki i opieki nad pacjentem.
Źródła
- Wu, C. C., Econs, M. J., DiMeglio, L. A., Insogna, K. L., Levine, M. A., Orchard, P. J., Miller, W. P., Petryk, A., Rush, E. T., Shoback, D. M., Ward, L. M., & Polgreen, L. E. (2017). Diagnosis and Management of Osteopetrosis: Consensus Guidelines From the Osteopetrosis Working Group. The Journal of clinical endocrinology and metabolism, 102(9), 3111–3123. https://doi.org/10.1210/jc.2017-01127
- Spinnato, P., Pedrini, E., Petrera, M. R., Zarantonello, P., Trisolino, G., Sangiorgi, L., Carpenzano, M., Crombé, A., & Tetta, C. (2022). Spectrum of Skeletal Imaging Features in Osteopetrosis: Inheritance Pattern and Radiological Associations. Genes, 13(11), 1965. https://doi.org/10.3390/genes13111965
- Funck-Brentano, T., Zillikens, M. C., Clunie, G., Siggelkow, H., Appelman-Dijkstra, N. M., & Cohen-Solal, M. (2024). Osteopetrosis and related osteoclast disorders in adults: A review and knowledge gaps On behalf of the European calcified tissue society and ERN BOND. European journal of medical genetics, 69, 104936. https://doi.org/10.1016/j.ejmg.2024.104936























