Wyszukaj w publikacjach
Złamanie typu zielonej gałązki – najczęstszy uraz w wieku rozwojowym

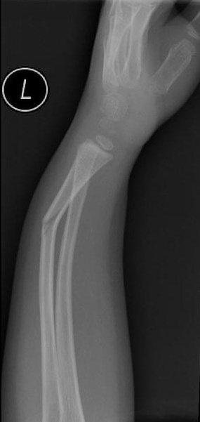
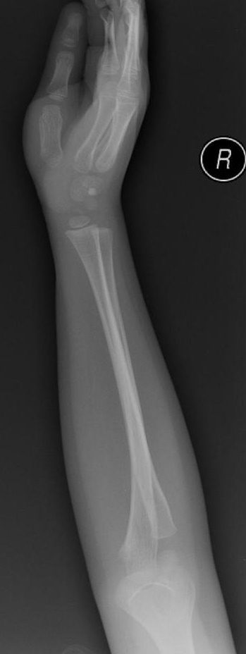
Złamania przedramienia stanowią najczęstszy uraz układu kostnego u dzieci. W codziennej praktyce lekarskiej to właśnie złamanie typu zielonej gałązki (greenstick fracture) pojawia się najczęściej w gabinetach ortopedycznych i na SOR-ach pediatrycznych.
To złamanie niecałkowite, w którym dochodzi do przerwania jednej z korowych warstw kości, przy zachowanej ciągłości po stronie przeciwnej. Elastyczność młodej tkanki kostnej sprawia, że kość nie pęka w pełni – przypomina ugięty, częściowo złamany patyk.
Najczęściej dotyczy:
- trzonu kości promieniowej i łokciowej,
- dzieci w wieku 5–14 lat,
- chłopców (nawet 3 × częściej niż dziewcząt).
Mechanizm i objawy kliniczne złamania typu zielonej gałązki
Uraz powstaje najczęściej podczas upadku na wyprostowaną kończynę z pronacją – klasycznie przy grach zespołowych, wspinaniu czy upadku z roweru.
W badaniu fizykalnym zwracają uwagę:
- ból i tkliwość palpacyjna w środkowym odcinku przedramienia,
- ograniczenie rotacji,
- obrzęk, rzadziej deformacja,
- niekiedy niechęć dziecka do poruszania kończyną bez wyraźnej deformacji (tzw. „uraz cichy”).
Diagnostyka obrazowa greenstick fracture
Podstawą rozpoznania jest zdjęcie RTG w dwóch projekcjach.
| Element oceny | Co należy uwzględnić |
|---|---|
Lokalizacja złamania | Trzon, przynasada, ewentualnie przejście meta-diafizalne |
Charakter złamania | Ugięcie z zachowaną korową ciągłością po jednej stronie |
Oś kończyny | Kąt zagięcia w płaszczyźnie czołowej i strzałkowej |
Rotacja | Ocena porównawcza z kończyną przeciwną |


U młodszych dzieci należy wykluczyć urazy wielopoziomowe, a u niemowląt – zawsze rozważyć uraz nieprzypadkowy. W przypadkach wątpliwych pomocne bywa porównawcze RTG drugiego przedramienia.
Postępowanie zachowawcze – standard leczenia
Większość złamań typu zielonej gałązki goi się prawidłowo przy leczeniu nieoperacyjnym.
Zasady postępowania
- Repozycja tylko przy odchyleniu >10–15° lub rotacji >30°.
- Unieruchomienie w opatrunku gipsowym ramienno-dłoniowym przez 4–6 tygodni.
- Kontrolne zdjęcie RTG po 7–10 dniach.
- Po uzyskaniu zrostu – stopniowe uruchamianie i fizjoterapia.
Zalecane pozycje unieruchomienia:
W przypadku złamań kości promieniowej kończynę należy unieruchomić w lekkiej supinacji, natomiast przy złamaniach kości łokciowej — w neutralnym ustawieniu rotacyjnym.
Najczęstsze błędy
- Zbyt luźny opatrunek (ryzyko wtórnego przemieszczenia).
- Brak kontroli radiologicznej.
- Zbyt długie unieruchomienie prowadzące do sztywności.
Leczenie operacyjne złamania typu zielonej gałązki – kiedy jest konieczne?
W większości przypadków złamanie typu zielonej gałązki goi się prawidłowo przy leczeniu zachowawczym, jednak istnieją sytuacje kliniczne, w których stabilność odłamów jest niewystarczająca, a ryzyko deformacji wtórnej zbyt duże, by ograniczyć się do unieruchomienia gipsowego.
W takich przypadkach rozważa się leczenie operacyjne, którego celem jest przywrócenie osi, długości i rotacji kończyny oraz umożliwienie wczesnej mobilizacji.
| Wskazania do leczenia operacyjnego złamań typu zielonej gałązki | Opis sytuacji klinicznej |
|---|---|
niestabilność po repozycji | brak utrzymania prawidłowego ustawienia osi i długości kości po unieruchomieniu |
podwójne złamanie | uszkodzenie obu kości przedramienia – promieniowej i łokciowej |
całkowite przełamanie drugiej kości | jedna z kości ulega złamaniu typu „zielonej gałązki”, druga – pełnemu przełamaniu |
wtórne przemieszczenie | utrata repozycji w kontrolnym badaniu RTG po kilku dniach |
starszy wiek dziecka | dzieci powyżej 12–13. r.ż. mają mniejszy potencjał przebudowy kostnej i większe ryzyko deformacji |
Rokowanie i zalecenia dla praktyki
Złamania typu zielonej gałązki mają bardzo dobre rokowanie – u zdecydowanej większości dzieci dochodzi do pełnego zrostu bez deformacji i ograniczenia funkcji.
Kluczowe zasady praktyczne
- Każdą niepewność radiologiczną traktuj jako potencjalne złamanie.
- Pamiętaj o kontroli obrazu RTG po tygodniu.
- Unikaj nadmiernej repozycji – kość dziecka sama się przebuduje.
- Po zdjęciu gipsu konieczna rehabilitacja i ćwiczenia rotacji.
Dzięki dużemu potencjałowi przebudowy tkanki kostnej w wieku rozwojowym, nawet niewielkie odchylenia osiowe ulegają samoistnej korekcie w ciągu kilku miesięcy.
Źródła
- Rosendahl, K., de Horatio, L. T., Habre, C., Shelmerdine, S. C., Patsch, J., Kvist, O., Lein, R. K., Plut, D., Enoksen, E. J., Avenarius, R., Laborie, L. B., Augdal, T. A., Simoni, P., van Rijn, R. R., Offiah, A. C., & European Society of Paediatric Radiology (ESPR) Musculoskeletal and Child Abuse Task Forces (2024). The incidence of fractures in children under two years of age: a systematic review. BMC musculoskeletal disorders, 25(1), 528. https://doi.org/10.1186/s12891-024-07633-5
- Stępniewska, J., Nowak, A., Kowalski, P., & Wiśniewski, M. (2020). Operative treatment of pediatric diaphyseal both-bone forearm fractures using elastic intramedullary nailing: Outcomes from a single tertiary center. Chirurgia Narządów Ruchu i Ortopedia Polska, 85(3), 67–74.























