Wyszukaj w szybkich pytaniach
Na czym polega zespół Bernarda?
Zespół Bernarda to postać mechanicznej niedrożności jelita cienkiego wywołanej kamieniem żółciowym, który przedostał się do przewodu pokarmowego na skutek przetoki pęcherzykowo-dwunastniczej lub – rzadziej – pęcherzykowo-żołądkowej. Duży złóg, najczęściej o średnicy >2–2,5 cm, klinuje się w jelicie, prowadząc do nagłego zatrzymania pasażu i obrazu kolkowego bólu brzucha. To rzadsze, ale poważne powikłanie kamicy żółciowej, stanowiące ok. 1–4% wszystkich niedrożności mechanicznych jelita cienkiego.
Mechaniczna niedrożność jelita spowodowana kamieniem żółciowym
Do rozwoju zespołu Bernarda dochodzi w kilku etapach.
- Przewlekłe zapalenie pęcherzyka żółciowego → powstanie przetoki do przewodu pokarmowego.
- Migracja dużego kamienia do światła dwunastnicy.
- Transport złogu w kierunku jelita cienkiego.
- Zaklinowanie – najczęściej:
- w końcowej części jelita krętego (najwęższy odcinek, największe prawdopodobieństwo zatrzymania),
- w dwunastnicy lub okrężnicy (zespół Bouvereta).
Objawy kliniczne zespołu Bernarda
Obraz jest niespecyficzny, ale typowe są:
- napadowy, kolkowy ból brzucha narastający w czasie,
- nudności i wymioty, często żółciowe,
- zatrzymanie gazów i stolca,
- wzdęcie – narastające, zwykle asymetryczne,
- u części pacjentów w wywiadzie: epizody kolki żółciowej lub przewlekła kamica.
W mechanizmach patofizjologicznych nie ma elementu cholestazy – złóg znajduje się już poza drogami żółciowymi.
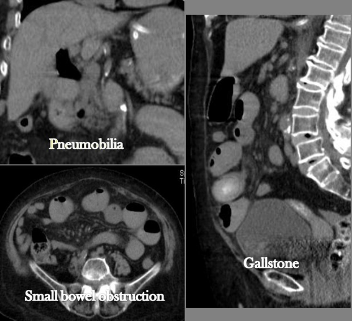
Diagnostyka przyczyn niedrożności jelit – triada Riglera i nie tylko
| Badanie | Typowe cechy |
|---|---|
RTG jamy brzusznej | poziomy płynu, poszerzone pętle jelita cienkiego |
TK jamy brzusznej | triada Riglera: pneumobilianiedrożność jelita cienkiegoektopowy kamień w świetle jelita |
USG | trudniejsze do potwierdzenia, możliwa wizualizacja złogu i poszerzonych pętli |

TK jest badaniem z wyboru – najlepiej uwidacznia złóg i jego dokładną lokalizację.
Zespół Bernarda a inne niedrożności – kluczowe różnice
| Cecha | Zespół Bernarda | Typowa niedrożność mechaniczna (np. zrosty) |
|---|---|---|
Przyczyna | kamień żółciowy w jelicie | zrosty, przepuklina, guz, inne |
Triada Riglera | obecna w TK | brak |
Temperatura/CRP | zwykle prawidłowe | zależne od przyczyny |
Wywiad | przebyty epizod zapalenia pęcherzyka / kolki | często operacje w wywiadzie |
Leczenie – ewakuacja kamienia żółciowego z jelita
Postępowanie jest jednoznaczne: usunięcie kamienia z jelita.
Opcje operacyjne:
- enterotomia z ewakuacją złogu – najczęściej stosowana metoda;
- enterotomia + cholecystektomia + zamknięcie przetoki – rzadziej; wykonywana u pacjentów stabilnych, dobrze rokujących;
- endoskopia (w zespole Bouvereta) – możliwa tylko przy wysokim położeniu złogu.
Brak leczenia prowadzi do narastającego rozdęcia jelit, zaburzeń elektrolitowych i niedokrwienia.
Kody ICD-10
Choroby układu pokarmowego
Objawy, cechy chorobowe oraz nieprawidłowe wyniki badań klinicznych i laboratoryjnych niesklasyfikowane gdzie indziej
Urazy, zatrucia i inne określone skutki działania czynników zewnętrznych
Referencje
- Gaillard, F., Hooi Hooi, T., & Qaqish, N. (2025). Rigler triad (gallstone ileus). Reference article, Radiopaedia.org (Accessed on 22 Nov 2025) https://doi.org/10.53347/rID-6905
- Kozieł, S., Papaj, P., Dobija-Kubica, K., Śleziński, P., & Wróbel, J. (2015). Gall-Stone Ileus--Own Patients And Literature Review. Polski przeglad chirurgiczny, 87(5), 260–267. https://doi.org/10.1515/pjs-2015-0051


![PKwPOZ_Gastroenterologia_Wszystko_o_uchyłkach[jesień2025]](https://cdn.remedium.md/image/video_thumbnail/2025/11/27/09/dr-n-med-anna-pietrzak-png-692807b13b90d.png)

![PKwPOZ_Gastroenterologia_Oś_mózg-jelito[jesień2025]](https://cdn.remedium.md/image/video_thumbnail/2025/11/27/09/prof-dr-hab-n-med-wojciech-marlicz-png-69280c6158095.png)
![PKwPOZ_Gastroenterologia_Mikroskopowe_zapalenie_jelita_grubego[jesień2025]](https://cdn.remedium.md/image/video_thumbnail/2025/11/27/09/prof-dr-hab-n-med-jaroslaw-daniluk-png-69280cbf76c2d.png)



![PKwPOZ_Gastroenterologia_Choroby_odzwierzęce_i_pasożytnicze_przewodu_pokarmowego[jesień2025]](https://cdn.remedium.md/image/video_thumbnail/2025/11/27/09/prof-dr-hab-n-med-marta-rorat-png-69280d5769dca.png)












