Wyszukaj egzamin lub pytanie
Egzamin PES Stomatologia zachowawcza z endodoncją / wiosna 2023
120 pytań
Pytanie 1
Wskaż prawdziwą zasadę dotyczącą umiejscowienia ujść kanałów korzeniowych w zębach trzonowych:
Pytanie 2
Przed wypełnieniem systemu kanałowego gutaperką zalecona jest dezynfekcja ćwieków gutaperkowych. Która substancja charakteryzuje się największą skutecznością dezynfekcji ćwieków, w tym eliminacji Enterococcus faecalis?
Pytanie 3
Wskaż stwierdzenia prawdziwie opisujące martwicę rozpływną (wilgotną):
1) występuje częściej w zębach stałych osób młodych;
2) występuje częściej w zębach osób starszych;
3) jest efektem zejścia ostrych stanów zapalnych;
4) jest efektem zejścia przewlekłych stanów zapalnych;
5) podczas ekstyrpacji może posiadać obszary unerwione-bolesne;
6) jest zwykle bezbolesna podczas ekstyrpacji;
7) często posiada liczne zmiany zwyrodnieniowe;
8) trudna do ekstyrpacji pilnikami endodontycznymi.
Prawidłowa odpowiedź to:
Pytanie 4
Wskaż fałszywe stwierdzenie dotyczące materiałów podkładowych zawierających krzemiany wapnia stosowanych w stomatologii zachowawczej:
Pytanie 5
Zgodnie z ISO, pilnik endodontyczny maszynowy ma w punkcie D0 rozmiar 15, w punkcie D4 ma rozmiar 31, a punkcie D10 rozmiar 61. Jaką stożkowatość ma to narzędzie?
Pytanie 6
Wskaż fałszywe stwierdzenie dotyczące podłużnego złamania korzenia (VRF):
Pytanie 7
U 55-letniej pacjentki należy wdrożyć leczenie endodontyczne zęba 16 z rozpoznaniem martwicy miazgi. Pacjentka posiada rozrusznik serca. Kardiolog prowadzący pacjentkę nie widzi przeciwwskazań do stosowania endometru podczas leczenia. Mimo braku przeciwwskazań, dla zminimalizowania ryzyka podczas zabiegu z użyciem endometru częstotliwościowego:
Pytanie 8
Jaką temperaturę ma mgiełka chlorku etylu stosowana do testów reakcji miazgi na bodźce termiczne?
Pytanie 9
Wskaż fałszywe stwierdzenie dotyczące mostu zębinowego, który powstaje po zabiegu pokrycia bezpośredniego miazgi preparatami wodorotlenkowo wapniowymi:
Pytanie 10
Jednym z możliwych powikłań w trakcie leczenia endodontycznego jest wystopniowanie przywierzchołkowe tzw. zip. W jakiej części systemu endodontycznego występuje to zjawisko?
Pytanie 11
Do gabinetu zgłasza się 20-letnia pacjentka z bólem zęba 35. Ząb jest bolesny na nagryzanie, nie reaguje na bodźce termiczne. Brak widocznego nacieku zapalnego, brak widocznych ognisk próchnicy, ruchomość zęba II°. Reakcja na chlorek etylu ujemna. Obraz radiologiczny w załączeniu. Na podstawie opisanych objawów oraz zdjęcia RTG wskaż prawidłowe postępowanie oraz rokowanie:

Pytanie 12
W którym z wymienionych przypadków wskazane jest leczenie inwazyjne u 30-letniego pacjentka z umiarkowanym ryzykiem próchnicy?
Pytanie 13
Do gabinetu zgłasza się 25-letnia kobieta w celu leczenia zęba 11. Nie zgłasza dolegliwości bólowych. Na RTG zębowym widoczne rozległe wypełnienie stałe na powierzchni dystalnej (bez cech próchnicy wtórnej), niewielką osteolityczną zmianę wokół wierzchołka korzenia zęba 11 bez wyraźnej granicy oraz nieregularny obraz wierzchołków zębów 12, 11, 21, 22 odpowiadający resorpcji zewnętrznej wierzchołków korzeni. Reakcja zęba 11 na test opukiwania ujemna, na chlorek etylu ujemna. Pacjentka miała zakończone leczenie ortodontyczne 2 lata temu. Wskaż właściwy plan leczenia:
Pytanie 14
Do gabinetu zgłasza się 35-letni pacjent w związku z silnymi dolegliwościami bólowymi w okolicy zęba 47, z gorączką i obrzękiem policzka. W dnie przedsionka obecne chełboczące spłycenie, bolesne palpacyjnie. Pacjent ogólnie zdrowy, podaje alergię na penicyliny. Ząb 47 zaopatrzony wkładem lanym oraz koroną, na RTG widoczne osteolityczne przejaśnienie w tkankach okołowierzchołkowych. W ramach wizyty doraźnej nacinasz ropień. W związku z brakiem możliwości pełnego usunięcia ogniska infekcji wskaż zalecaną antybiotykoterapię:
Pytanie 15
Dezynfekcja systemu kanałowego przy pomocy aktywacji laserowej PIPS jest najbardziej efektywna, gdy kanały są:
Pytanie 16
Wskaż prawdziwe stwierdzenie dotyczące załączonego zdjęcia:

Pytanie 17
Wskaż prawdziwe stwierdzenie dotyczące zęba prezentowanego na załączonym zdjęciu RTG:

Pytanie 18
Wskaż prawdziwe stwierdzenia dotyczące zapalenia włóknistego tkanek okołowierzchołkowych:
1) jest najłagodniejszą postacią ostrego zapalenia tkanek okołowierzchołkowych;
2) występuje w zębach z żywą miazgą;
3) występuje w zębach z miazgą martwą i objawia się bólami samoistnymi o charakterze pulsującym;
4) jest najczęściej wywołane przez bakterie bytujące w jamie zęba o małym potencjale immunologicznym.
Prawidłowa odpowiedź to:
Pytanie 19
Wskaż prawdziwe stwierdzenia dotyczące cech obrazu radiologicznego resorpcji zewnętrznych:
1) wyraźnie regularne i dobrze ograniczone gładkie ściany ubytku;
2) asymetria zmiany względem światła kanału;
3) niejednorodne wysycenie ubytku resorpcyjnego;
4) płynne przejście jam zęba w ubytek resorpcyjny;
5) najczęściej nieregularny kształt jamy resorpcyjnej;
6) położenie przejaśnienia zależne od projekcji.
Prawidłowa odpowiedź to:
Pytanie 20
Wskaż prawdziwe stwierdzenia dotyczące blokady Gow-Gates:
1) po wykonaniu znieczulenia, pacjent nie powinien zamykać ust przez około 2. minuty;
2) dzięki tej metodzie znieczulamy tylko: nerw zębodołowy dolny, bródkowy i uszno-skroniowy;
3) punkt wkłucia leży na zewnętrznej krawędzi trójkąta zatrzonowcowego, 1 cm powyżej poziomu powierzchni zgryzowej, dolnych zębów trzonowych;
4) ten rodzaj techniki daje wysoki odsetek (95%) pełnego znieczulenia;
5) do znieczulenia nerwu policzkowego niezbędne jest podanie znieczulenia nasiękowego w przedsionku jamy ustnej.
Prawidłowa odpowiedź to:
Pytanie 21
Przejaśnienie na zdjęciu RTG może sugerować wymienione niżej zmiany lub struktury anatomiczne, z wyjątkiem:
Pytanie 22
Wskaż prawdziwe stwierdzenia dotyczące anatomii zęba 31:
1) w zębie 31 należy spodziewać się dwóch kanałów: bliższego i dalszego;
2) w zębie 31 należy spodziewać się dwóch kanałów: przedsionkowego i językowego;
3) w zębie 31 należy spodziewać się I i II konfiguracji kanałów wg Vertucciego;
4) w zębie 31 otwór trepanacyjny ma kształt owalny w kierunku mezjalno-dystalnym;
5) w zębie 31 otwór trepanacyjny ma kształt owalny w kierunku przedsionkowy-językowym.
Prawidłowa odpowiedź to:
Pytanie 23
Wskaż prawdziwe stwierdzenia dotyczące zdjęcia pantomograficznego:
1) jest wystarczające do podjęcia leczenia endodontycznego;
2) ostrość obrazu zębów bocznych górnych zależy od objętości powietrza między językiem a podniebieniem twardym;
3) zdjęcie powiększa obraz nawet do 25% co daje większą dokładność odczytu struktur anatomicznych;
4) pozwala na ocenę długości roboczej kanału;
5) pozwala na ocenę obecności zębów po leczeniu amputacyjnym.
Prawidłowa odpowiedź to:
Pytanie 24
Ostrość obrazu w mikroskopie operacyjnym zależy od:
Pytanie 25
W klasyfikacji Schneidera stopień zakrzywienia kanału w granicach 10º - 25º oznacza:
Pytanie 26
Wskazaniem do wykonania procedury apeksyfikacji w zębie z niezakończonym rozwojem wierzchołka korzenia jest:
1) dodatni test na badanie chlorkiem etylu;
2) wynik testu elektrycznego około 8;
3) martwica miazgi;
4) brak pobudliwości miazgi;
5) silna reakcja miazgi na zimno;
6) miazga po dewitalizacji;
7) usunięta miazga.
Prawidłowa odpowiedź to:
Pytanie 27
Odległość między otworem fizjologicznym a wierzchołkiem korzenia w zębie u osób w wieku podeszłym wynosi:
Pytanie 28
Obraz widoczny na zdjęciu CBCT przedstawia:

Pytanie 29
Który typ kanału według klasyfikacji Vertucciego przedstawia załączona rycina?

Pytanie 30
Jaka jest średnica narzędzia ręcznego o rozszerzalności 2% oznaczonego kolorem żółtym wg ISO w punkcie D0 i w punkcie D16?
Pytanie 31
Punkt trepanacyjny w zębie pierwszym trzonowym dolnym znajduje się:
Pytanie 32
Ropień Feniksa różnicuje się z ostrym zapaleniem tkanek okołowierzchołkowych tylko na podstawie:
Pytanie 33
Wskaż stwierdzenia prawidłowo opisujące regułę SLOB, dotyczącą lokalizacji kanałów:
1) kanał językowy zlokalizowany jest bliżej, a przedsionkowy dalej od źródła promieniowania;
2) kanał przedsionkowy zlokalizowany bliżej, a językowy dalej od źródła promieniowania;
3) kanał podniebienny zlokalizowany jest po stronie dystalnej w projekcji skośnej dystalnej;
4) kanał podniebienny zlokalizowany jest po stronie dystalnej w projekcji skośnej mezjalnej;
5) kanał językowy zlokalizowany jest po stronie mezjalnej w projekcji skośnej mezjalnej;
6) kanał językowy zlokalizowany jest po stronie mezjalnej w projekcji skośnej dystalnej.
Prawidłowa odpowiedź to:
Pytanie 34
Wskaż prawdziwe stwierdzenia dotyczące przekrwienia biernego, żylnego występującego w miazdze zęba:
1) przekrwienie bierne, żylne jest stanem nieodwracalnym;
2) przekrwienie bierne może przejść w przekrwienie zapalne;
3) przyczyną przekrwienia biernego w miazdze może być zakrzepowe zapalenie naczyń żylnych;
4) do przekrwienia biernego, żylnego w miazdze nie dochodzi w wyniku poszerzenia naczyń tętniczych;
5) przekrwienie bierne może być samodzielnym stanem chorobowym, jeżeli utrzymuje się przez dłuższy czas.
Prawidłowa odpowiedź to:
Pytanie 35
Wskaż prawdziwe stwierdzenia dotyczące zwyrodnienia włóknistego miazgi (degeneratio fibrosa):
1) występuje często w przebiegu pulpopatii jatrogennych i chorób przyzębia;
2) w miazdze dochodzi do zwiększenia liczby młodych aktywnych fibrocytów;
3) w miazdze dochodzi do rozrostu włókien kolagenowych;
4) rozrost włókien kolagenowych może powodować ucisk na naczynia krwionośne ì zarastanie ich światła;
5) miazga może nie krwawić.
Prawidłowa odpowiedź to:
Pytanie 36
Wskaż prawdziwe stwierdzenia dotyczące martwicy skrzepowej suchej (necrosis coagulativa s. sicca):
1) przyczyną powstania martwicy skrzepowej może być przerwanie ciągłości głównego pnia naczyniowego;
2) martwica skrzepowa pojawia się częściej w wyniku urazów chemicznych;
3) martwica skrzepowa znacznie częściej pojawia się u ludzi starszych;
4) martwica skrzepowa częściej pojawia się przy szerokim otworze wierzchołkowym;
5) w martwicy skrzepowej miazga ma twardszą konsystencję ì większe wymiary niż miazga żywa;
6) przy tej postaci martwicy, tkanki okołowierzchołkowe często nie wykazują zmian chorobowych.
Prawidłowa odpowiedź to:
Pytanie 37
Wskaż prawdziwe stwierdzenia dotyczące przewlekłego zapalenia tkanek okołowierzchołkowych z osteosklerozą (periodontitis chronica cum osteosclerosi):
1) jest to jednostka chorobowa występująca głównie u osób w starszym wieku;
2) najczęściej dotyczy zębów stałych bocznych żuchwy u osób młodych;
3) nie występuje w zębach mlecznych;
4) może dotyczyć zębów z żywą, zapalnie zmienioną lub martwą miazgą;
5) w przebiegu choroby może pojawić się wrażliwość zęba na opukiwanie;
6) widoczne w obrazie RTG ognisko nadmiernego wysycenia kości solami mineralnymi, może występować wokół jednego lub wszystkich korzeni zęba, przy czym nie dochodzi do zajęcia przegrody międzyzębowej.
Prawidłowa odpowiedź to:
Pytanie 38
Wskaż prawdziwe stwierdzenia dotyczące bezpośredniej odbudowy koron zębów przednich materiałami złożonymi po leczeniu endodontycznym:
1) brak możliwości uzyskania idealnej suchości jest przeciwwskazaniem do wykonania bezpośredniej odbudowy zęba;
2) dobór koloru powinien być dokonany przed przystąpieniem do wypełniania, ponieważ pod wpływem izolacji koferdamem dochodzi do odwodnienia zębów, co może być przyczyną dobrania zbyt ciemnego koloru materiału;
3) w przypadku ubytków bardziej rozległych na powierzchni wargowej wykonuje się niewielki schodek typu chamfer, a na powierzchniach stycznych ì podniebiennej szkliwo ścina się pod kątem 90°;
4) usunięcie materiału wypełniającego kanał korzeniowy 1 mm poniżej szyjki fizjologicznej zęba, nie zapobiega wystąpieniu przebarwienia w okolicy przydziąsłowej;
5) jako pierwszą warstwę stosuje się kompozyt o wysokim module sprężystości (typu bulk fill) lub ewentualnie cement szkło-jonomerowy.
Prawidłowa odpowiedź to:
Pytanie 39
Zapalenie nerwu trójdzielnego jest ostrym odwracalnym stanem chorobowym, którego przyczyną może być:
1) zapalenie miazgi zęba;
2) zapalenie zatoki szczękowej;
3) zapalenie ślinianki;
4) przepchnięcie materiału poza wierzchołek korzenia podczas leczenia endodontycznego.
Prawidłowa odpowiedź to:
Pytanie 40
Wskaż prawdziwe stwierdzenia dotyczące atypowego bólu twarzy (atypical facial pain - AFP), czyli przewlekłego, zlokalizowanego bólu w obrębie twarzy, o trudnej do uchwycenia przyczynie:
1) ból ten jest bardziej nasilony, niż w przypadku neuralgii nerwu twarzowego;
2) ból może występować w obrębie szczęki i żuchwy;
3) ból występuje tylko po jednej stronie twarzy;
4) charakter bólu jest napadowy;
5) brak jest stref spustowych wyzwalających ból;
6) ból może mieć podłoże psychogenne.
Prawidłowa odpowiedź to:
Pytanie 41
Wskaż prawdziwe stwierdzenie dotyczące zastosowania indeksów silikonowych w bezpośredniej odbudowie korony zębów przednich materiałem złożonym:
Pytanie 42
W przypadkowym przepchnięciu podchlorynu sodu (NaOCl) do tkanek przyzębia obserwuje się objawy kliniczne o różnym stopniu nasilenia: łagodnym, umiarkowanym i zaawansowanym. Objawom klinicznym o słabym (łagodnym) stopniu nasilenia towarzyszy:
1) ból w skali wizualnej określony na 0-3;
2) silny ból w momencie przepchnięcia NaOCl poza otwór wierzchołkowy;
3) obfite krwawienie z kanału korzeniowego;
4) natychmiastowy obrzęk tkanek (30-50% w stosunku do strony zdrowej);
5) występowanie po kilku godzinach od zdarzenia drobnych zlokalizowanych wybroczyn krwawych podśluzówkowych i podskórnych oraz krwiaków;
6) występowanie po kilku godzinach od zdarzenia wewnątrzustnych owrzodzeń.
Prawidłowa odpowiedź to:
Pytanie 43
Przeciwwskazaniem do zastosowania którejkolwiek z metod leczenia biologicznego miazgi są:
1) przedłużające się powyżej 5. minut krwawienie podczas próby leczenia biologicznego;
2) pulpopatie nieodwracalne niezależnie od stopnia ich zaawansowania;
3) zapalenia przyzębia niezależnie od stopnia ich zaawansowania;
4) długotrwała terapia immunosupresyjna;
5) skazy krwotoczne;
6) dojrzały wiek pacjenta.
Prawidłowa odpowiedź to:
Pytanie 44
Wskaż prawdziwe stwierdzenia dotyczące znieczulenia śródwięzadłowego:
1) znieczulenie śródwięzadłowe to znieczulenie podstawowe stosowane do zębów mlecznych i stałych u pacjentów chorych na hemofilię i pacjentów nietolerujących innych znieczuleń z powodów emocjonalnych;
2) podanie znieczulenia śródwięzadłowego trwa bardzo krótko dzięki niewielkiej objętości anestetyku potrzebnego do pełnego znieczulenia - 0,12-0,18 ml na korzeń;
3) znieczulenie śródwięzadłowe stosowane jest jako znieczulenie dodatkowe u pacjentów, u których po tradycyjnym znieczuleniu może wystąpić samookaleczenie na skutek znieczulenia wargi, policzka czy języka;
4) znieczulenie śródwięzadłowe stosuje się jako znieczulenie diagnostyczne w celu określenia zęba będącego przyczyną bólu;
5) do przeciwwskazań do znieczulenia śródwięzadłowego należą: ostre stany zapalne przyzębia, zła higiena jamy ustnej, zęby z niezakończonym rozwojem korzenia.
Prawidłowa odpowiedź to:
Pytanie 45
Bóle samoistne pochodzenia zębowego należy różnicować ze stanami zapalnymi innych struktur w obrębie twarzoczaszki. Przyporządkuj rodzaj bólu samoistnego do wymienionych patologicznych stanów zapalnych:
1) nieodwracalne zapalenia miazgi;
2) zapalenia zatok szczękowych;
3) neuralgia nerwu trójdzielnego;
4) zapalenie stawu skroniowo-żuchwowego;
a) ból górnych zębów przedtrzonowych i trzonowych, które są bardziej wrażliwe na opukiwania, ból nasila się przy pochylaniu głowy;
b) silne ataki bólu od kilkunastu sekund do kilku minut, które nie występują w nocy. Atak bólu jest bardzo silny i powoduje wystąpienie u pacjenta charakterystyczne odruchy i tiki;
c) długotrwałe tępe bóle w obrębie zębów szczęki, którym mogą towarzyszyć ograniczone ruchy żuchwy;
d) silne, długotrwałe ataki bólu z krótkimi przerwami pomiędzy nimi, nasilające się w nocy przy poziomym ułożeniu ciała. Często ból promieniuje do oka, skroni lub ucha i potylicy.
Prawidłowa odpowiedź to:
Pytanie 46
Wskaż prawdziwe stwierdzenie dotyczące lamp przyspieszających wybielanie zębów:
Pytanie 47
Wskaż prawdziwe procedury, kórych należy przestrzegać w celu zminimalizowania powstania resorpcji zewnętrznej przyszyjkowej po zabiegu wybielania zęba leczonego endodontycznie techniką „walking bleach”:
1) stosowanie środków wybielających o odpowiednim stężeniu -10% nadtlenek karbamidu, nadboran sodu (proszek) zmieszany z wodą destylowaną lub 3% nadtlenkiem wodoru;
2) wytrawianie zębiny w komorze zęba 37% kwasem ortofosforowym, dzięki czemu zwiększymy efektywność działania środka wybielającego;
3) wykonanie tzw. bariery z cementu szkło-jonomerowego w obrębie kanału korzeniowego, około 1,5-3,0 mm poniżej linii dziąsła zęba;
4) w niektórych przypadkach wykorzystanie ciepła rozgrzanego pluggera do podgrzania środka wybielającego;
5) zastosowanie płynnego wodorotlenku wapnia do komory zębowej po wybielaniu na 7-14 dni.
Prawidłowa odpowiedź to:
Pytanie 48
Wskaż prawdziwe stwierdzenia dotyczące stosowania współcześnie środków dewitalizujących w leczeniu nieodwracalnych zapaleń miazgi:
1) metody mortalne polegające na dewitalizacji zapalnie zmienionej żywej miazgi stosujemy w przypadku braku czasu gdy nie jest możliwe wykonanie całkowitego (ze wszystkich kanałów) wyłuszczenia miazgi;
2) metody mortalne stosujemy gdy pacjent jest uczulony na środki znieczulenia miejscowego;
3) u pacjenta chorego na hemofilię zgłaszającego się do gabinetu dentystycznego z powodu bólu na tle nieodwracalnego zapalenia miazgi możemy zastosować dewitalizację miazgi preparatem z zawartością paraformaldehydu;
4) jeśli w czasie wizyty u pacjenta z bardzo silnym bólem na skutek zapalenia miazgi, nie uzyskano pełnego znieczulenia i niemożliwa była ekstyrpacja miazgi można alternatywnie zastosować metodę mortalną.
Prawidłowa odpowiedź to:
Pytanie 49
Wskaż prawdziwe stwierdzenia dotyczące materiałów wodorotlenkowo-wapniowych nietwardniejących (pasty WW) stosowanych w leczeniu biologicznym miazgi:
1) pasty WW mając wysokie pH, posiadają zdolność alkalizacji środowiska, co skutkuje skutecznym działaniem przeciwbakteryjnym i odontotropowym;
2) pasty nietwardniejące powinny być stosowane do przykryć pośrednich w metodzie jednoseansowej, ze względu na ich dobre parametry mechaniczno-fizyczne i dobre przyleganie do zębiny;
3) jony OH- nie biorą udziału w tworzeniu mostów zębinowych;
4) po bezpośrednim kontakcie z miazgą, pasty WW szybko dysocjują na jony Ca2+ i OH-;
5) jony OH- zwiększają aktywność fosfatazy zasadowej, a jony Ca2+ uszczelniają śródbłonki naczyń włosowatych.
Prawidłowa odpowiedź to:
Pytanie 50
Wskaż prawdziwe stwierdzenia dotyczące stosowania antybiotyków, sulfonamidów i kortykosteroidów w postaci mieszanek zwanych pastami leczniczymi w leczeniu biologicznym miazgi:
1) stosowanie past leczniczych poliantybiotykowych, składających się z kilku różnych antybiotyków i sulfonamidów, powoduje cofanie się objawów klinicznych zapalenia miazgi, ale nie prowadzi do wygojenia miazgi i tworzenia zębiny reparacyjnej;
2) kortykosteroidy połączone z mieszankami poliantybiotykowymi działają przeciwzapalnie, przeciwalergicznie i ułatwiają przenikanie antybiotyków w głąb tkanek, ale jednocześnie obniżają odporność miazgi, sprzyjając namnażaniu się bakterii i hamując procesy reparacyjne;
3) antybiotyki zawarte w pastach leczniczych obniżają aktywność fosfatazy zasadowej, enzymu niezbędnego w tworzeniu zębiny reparacyjnej;
4) aktualnie mieszanki w postaci past leczniczych stosuje się wyłącznie w tzw. leczeniu interwencyjnym nieodwracalnych zapaleń miazgi, wyłącznie w celu zniesienia objawów bólowych.
Prawidłowa odpowiedź to:
Pytanie 51
45-letni pacjent zgłosił się do gabinetu z powodu samoistnych dolegliwości bólowych zęba 47, trwających od paru dni. Pomiędzy atakami bólu występowały parogodzinne przerwy. W nocy poprzedzającej wizytę pacjent odczuwał ból, który ustąpił po zażyciu środków przeciwbólowych. Pacjent jest aktualnie diagnozowany w kierunku białaczki. W zębie 47 obecne jest wypełnieniem kompozytowe MOD. Lekarz dentysta wykonał znieczulenie miejscowe, przewodowe 1 ampułką 4% Dentocainy z adrenaliną i wykonał trepanację komory zęba na niewielkim obszarze, ale nie uzyskał pełnego znieczulenia. Uwzględniając wszystkie w/w okoliczności wskaż dalsze prawidłowe postępowanie:
Pytanie 52
Wskaż sytuacje kliniczne, będące przeciwwskazaniem do zastosowania metod biologicznego leczenia miazgi:
1) odwracalne zapalenie miazgi;
2) zaawansowane pulpopatie nieodwracalne;
3) ostra reakcja bólowa miazgi na bodźce sprowokowane, głównie zimno, ustępująca po usunięciu bodźca;
4) znaczne zniszczenie korony, z brakiem możliwości odbudowy tkanek zmineralizowanych;
5) dojrzały wiek pacjenta;
6) obniżona reakcja miazgi na testy wrażliwości miazgi;
7) zły stan zdrowia pacjenta w wieku dojrzałym: skazy krwotoczne, terapia immunosupresyjna.
Prawidłowa odpowiedź to:
Pytanie 53
Wskaż prawdziwe stwierdzenie dotyczące stosowania antybiotyków w procedurach endodontycznych:
Pytanie 54
Wskaż prawdziwe stwierdzenia dotyczące zębiny:
1) głównym składnikiem macierzy zębinowej jest kolagen;
2) wraz z wiekiem postępujący wzrost grubości zębiny międzykanalikowej prowadzi do zmniejszenia światła kanalików zębinowych;
3) większość kanalików zębinowych kończy się na granicy szkliwno-zębinowej;
4) płyn zębinowy w porównaniu do osocza zawiera więcej białka, fosforu i wapnia;
5) w prezębinie znajdują się włókna Korfa oraz bezmielinowe włókna nerwowe sąsiadujące z włóknami Tomesa.
Prawidłowa odpowiedź to:
Pytanie 55
Do komórek obronnych obecnych w zdrowej miazdze należą:
Pytanie 56
Wskaż fałszywe stwierdzenia dotyczące zmian chorobowych w miazdze zębowej:
1) przekrwienie bierne miazgi jest często spowodowane działaniem nadmiernych sił podczas leczenia ortodontycznego lecz jest to stan odwracalny;
2) ostre ropne zapalenie miazgi najczęściej przebiega w dwóch postaciach: wrzodziejącej i rozlanej;
3) ostre surowicze przekrwienie miazgi jest wskazaniem do leczenia biologicznego;
4) przewlekłe zapalenia miazgi przy komorze otwartej są najczęstszą jednostką chorobową w zębach stałych;
5) ubytki nie próchnicowego pochodzenia najczęściej są przyczyną ostrych surowiczych zapaleń miazgi.
Prawidłowa odpowiedź to:
Pytanie 57
Które z podanych poniżej czynników mogą powodować powstawanie embolii naczyniowych w miazdze?
Pytanie 58
Wiertło Endo Z stosowane w endodoncji służy do:
Pytanie 59
Wskaż prawdziwe stwierdzenia dotyczące materiałów bioaktywnych stosowanych w leczeniu biologicznym miazgi:
1) TheraCal LC jest cementem krzemowo-wapniowym modyfikowanym żywicą posiadającym zdolność hamowania wzrostu S. mutans;
2) Biodentyna wiąże w ciągu 12. minut a ostateczną twardość materiał osiąga po 30. dniach;
3) fosforan czterowapniowy zastosowany w przypadku bezpośredniego przykrycia miazgi powoduje powstawanie mostów zębinowych zbudowanych z zębiny włóknistej;
4) tlenek bizmutu dodany do Biodentyny zapewnia jej kontrast na zdjęciach rentgenowskich;
5) spadek pH MTA bezpośrednio po aplikacji na żywą miazgę sprawia, że preparat jest tylko w niewielkim stopniu cytotoksyczny i ma działanie antybakteryjne.
Prawidłowa odpowiedź to:
Pytanie 60
Wskaż fałszywe stwierdzenie dotyczące metod ultradźwiękowego opracowania kanału:
Pytanie 61
Metoda dwuseansowa amputacji z zastosowaniem formokrezolu zalecana jest w przypadku:
Pytanie 62
Zdjęcie RTG przedstawia siekacz centralny górny po leczeniu z powodu urazu. Z przedstawionych poniżej rozpoznań, wskaż najbardziej prawdopodobną przyczynę urazu:

Pytanie 63
Jaką odbudowę należy zastosować po leczeniu endodontycznym w przypadku rozległego ubytku kl. II MO u pacjenta z dużym obciążeniem zgryzowym?
Pytanie 64
Najbardziej podatna na próchnicę jest zębina:
Pytanie 65
Wskaż fałszywe stwierdzenie dotyczące demastykacji:
Pytanie 66
Wskaż fałszywe stwierdzenie dotyczące znieczulenia śródwięzadłowego:
Pytanie 67
Wskaż prawdziwe stwierdzenia dotyczące adhezji materiałów kompozytowych:
1) kąt kontaktu żywicy z powierzchnią zęba powyżej 90° pozwala na osiągnięcie optymalnej siły adhezji;
2) wiązania krzyżowe monomerów systemu łączącego z kolagenem oraz wypustki żywicy tworzą warstwę hybrydową;
3) wytrawianie zębiny usuwa warstwę mazistą oraz odwapnia powierzchowną warstwę zębiny;
4) wytrawione szkliwo posiada mikroporowatości, w które wnika żywica i powstaje warstwa kosmków;
5) szkliwo wytrawione kwasem ortofosforowym posiada większą energię powierzchniową niż szkliwo niewytrawione.
Prawidłowa odpowiedź to:
Pytanie 68
Które z podanych poniżej składników organicznych śliny posiadają aktywność przeciw wirusom?
Pytanie 69
Zwyrodnienia wapniowe występują w miazdze zębowej:
Pytanie 70
Jakie możliwości diagnostyczne wynikają z analizy zębowego zdjęcia RTG?
1) ocena kształtu jamy zęba;
2) różnicowanie chorób miazgi;
3) identyfikacja użytego materiału odtwórczego;
4) wykrywanie zmian resorpcyjnych.
Prawidłowa odpowiedź to:
Pytanie 71
Wskaż prawdziwe stwierdzenia dotyczące wskaźnika nalotu języka Winkela i wsp.:
1) nalot ocenia się w 4. strefach;
2) ocenie podlega tylko powierzchnia grzbietowa języka;
3) stadium drugie oznacza obecność cienkiej warstwy nalotu na języku;
4) wartości uzyskane w poszczególnych strefach uśrednia się.
Prawidłowa odpowiedź to:
Pytanie 72
Wskaż prawdziwe stwierdzenia dotyczące bakterii próchnicotwórczych:
1) jako późni kolonizatorzy drobnoustroje te nie mają zdolności adhezji do płytki bakteryjnej;
2) produkują rozpuszczalne glukany wchodzące w skład matrycy płytki;
3) posiadają cechy kwasolubne i kwasotwórcze;
4) ich kwasowe produkty metabolizmu mogą być wykorzystane przez inne bakterie.
Prawidłowa odpowiedź to:
Pytanie 73
Przy wykonywaniu procedur naprawczych wypełnień z materiałów złożonych nie zleca się:
1) polerowania powierzchni wypełnienia;
2) przenoszenia zarysu wypełnienia poniżej punktu zgryzowego;
3) odświeżenia powierzchni gdy obecna jest szczelina brzeżna;
4) polerowania powierzchni z rekonturowaniem;
5) chropowacenia brzegów wypełnienia w celu optymalizacji powierzchni adhezyjnej.
Prawidłowa odpowiedź to:
Pytanie 74
Wskaż fałszywe stwierdzenia dotyczące dolegliwości jamy ustnej, które związane są z procesem starzenia:
1) próchnica bruzd i szczelin;
2) zespół palących ust;
3) język geograficzny;
4) kserostomia.
Prawidłowa odpowiedź to:
Pytanie 75
Kod 3 w klasyfikacji zmian próchnicowych ICDAS II oznacza:
1) utratę integralności szkliwa na powierzchni stycznej z niewidoczną zębiną;
2) ubytek ≤0,5 mm w obrębie korzenia;
3) ubytek szkliwa i zębiny widoczny po osuszeniu przez 5 sekund;
4) utratę struktury szkliwa w obrębie bruzdy po osuszeniu przez 5 sekund.
Prawidłowa odpowiedź to:
Pytanie 76
Element, który nie jest uwzględniany w ocenie ryzyka próchnicy to:
1) ilość i lokalizacja ognisk próchnicy;
2) kolejność wyrzynania zębów;
3) pojemność buforowa śliny;
4) poziom wskaźnika Barthel;
5) podaż fluorków.
Prawidłowa odpowiedź to:
Pytanie 77
Wskaż prawdziwe stwierdzenie dotyczące funkcji wydzielniczej śliny:
Pytanie 78
Wskaż prawdziwe stwierdzenie dotyczące systemów adhezyjnych:
Pytanie 79
Wskaż prawdziwe stwierdzenia dotyczące jonów wapniowych i fosforanowych:
1) wapń w ślinie występuje tylko w postaci niezjonizowanej, jako rezerwuar składników remineralizacyjnych;
2) stężenie wapnia w ślinie nieznacznie wzrasta wraz z szybkością jej wydzielania;
3) fosforany występują w ślinie tylko w postaci związanej z wapniem lub białkiem;
4) w systemach buforowych śliny fosforany nieorganiczne odgrywają większą rolę niż fosforany organiczne.
Prawidłowa odpowiedź to:
Pytanie 80
Z jakich materiałów nie wykonuje się pośrednich odbudów zębów z użyciem systemu Cerec?
Pytanie 81
W badaniu wewnątrzustnym u pacjenta w wieku 18 lat stwierdzasz obecność niewielkiego ubytku próchnicowego na powierzchni żującej zęba 36. Pacjent utrzymuje higienę jamy ustnej na niezadowalającym poziomie. W tej sytuacji wskazane jest:
Pytanie 82
Wskaż prawdziwe stwierdzenie dotyczące leczenia resorpcji wewnętrznych:
Pytanie 83
Wskaż prawdziwe stwierdzenia dotyczące insertów szklano-ceramicznych:
1) stosowane są głównie do odbudowy rozległych ubytków klasy I wg Blacka;
2) ubytek opracowuje się tak samo jak pod wypełnienia kompozytowe;
3) ich użycie zmniejsza skurcz polimeryzacyjny;
4) insert osadza się na cement szkło-jonomerowy.
Prawidłowa odpowiedź to:
Pytanie 84
Pacjent w wieku 24 lat zgłasza się wizytę kontrolną z aktualnym zdjęciem zębowym. W obrazie RTG widoczna resorpcja wewnętrzna zlokalizowana w korzeniu zęba 21. Pacjent nie zgłasza dolegliwości ze strony tego zęba, ale sygnalizuje przebyty kilka lat temu uraz. Wskaż optymalne postępowanie w opisanym przypadku:
Pytanie 85
Wskaż fałszywe stwierdzenie dotyczące termodiagnostyki miazgi:
Pytanie 86
Mianem „pseudokanału“ określa się:
Pytanie 87
Wskaż fałszywe stwierdzenie dotyczące anatomii pierwszego zęba trzonowego szczęki:
Pytanie 88
Wskaż prawdziwe stwierdzenie dotyczące śliny:
Pytanie 89
Za skuteczny poziom higieny jamy ustnej uważa się osiągnięcie przez pacjenta wartości wskaźnika API poniżej:
Pytanie 90
Jakich zębów dotyczy poniższy opis: częściowy podział zawiązków następuje w stadium proliferacji. Zęby mają szerokie korony podzielone bruzdą na powierzchni wargowej lub z nacięciem brzegu siecznego. Badanie RTG ujawnia wspólną komorę i jeden kanał korzeniowy.
Pytanie 91
Wskaż prawdziwe stwierdzenia dotyczące warstwy przezroczystej ogniska próchnicowego w szkliwie:
1) warstwa przezroczysta nigdy nie występuje w plamie próchnicowej;
2) utrata minerałów w tej warstwie wynosi około 1%;
3) warstwa przezroczysta zawiera mniej węglanu i magnezu niż zdrowe szkliwo;
4) warstwa przezroczysta może być widoczna makroskopowo jako ciemny cień poniżej zdrowego szkliwa, po dobrym osuszeniu powierzchni zęba.
Prawidłowa odpowiedź to:
Pytanie 92
Różowe zabarwienie korony zęba może być następstwem:
1) resorpcji wewnętrznej kanału zęba;
2) resorpcji zewnętrznej przyszyjkowej;
3) stłuczenia zęba;
4) leczenia endodontycznego zęba.
Prawidłowa odpowiedź to:
Pytanie 93
Powstawanie zmian ciśnienia hydrostatycznego w kanalikach zębinowych na skutek naprzemiennego zasysania i wtłaczania płynu zębinowego określane jest jako zjawisko:
Pytanie 94
Wskaźnik Katza służy do określenia:
Pytanie 95
Narzędzia ProTaper Gold do maszynowego opracowania kanału korzeniowego, w porównaniu do narzędzi ProTaper i ProTaper Ultimate mają:
1) lepszą efektywność skrawania zębiny;
2) większą giętkość;
3) większą wytrzymałość na zmęczenie cykliczne;
4) inną geometrię pilników.
Prawidłowa odpowiedź to:
Pytanie 96
Prawidłowe opracowanie ubytku próchnicowego klasy V wg Blacka pod wypełnienie kompozytowe zakłada:
1) zukośnienie brzegów szkliwa ubytku;
2) wykonanie zagłębienia retencyjnego na ścianie dodziąsłowej;
3) wykonanie zagłębienia retencyjnego w ścianie skierowanej do powierzchni żującej/brzegu siecznego;
4) wykonanie zagłębienia retencyjnego na ścianach proksymalnych ubytku;
5) niewykonanie zukośnienia szkliwa brzegu dodziąsłowego w ubytkach dodziąsłowych.
Prawidłowa odpowiedź to:
Pytanie 97
Który z wymienionych antybiotyków zaleca się po przeprowadzeniu zabiegu replantacji całkowicie zwichniętego zęba 21, u pacjenta nieposiadającego przeciwwskazań do stosowania antybiotyków?
Pytanie 98
Pacjent zgłosił się do gabinetu z powodu dolegliwości bólowych zęba 16, które wystąpiły tydzień temu podczas podróży samolotem. Ból był pulsujący i pojawił się podczas wznoszenia samolotu, a ustąpił podczas lądowania. Wskaż rozpoznanie jakie można postawić na podstawie zgłoszonych objawów:
Pytanie 99
Wskaż prawdziwe stwierdzenia dotyczące preparatu TheraCal LC i materiału ProRoot MTA:
1) TheraCal LC posiada wyższą rozpuszczalność w płynach tkankowych niż ProRoot MTA;
2) TheraCal LC uwalnia więcej jonów wapnia niż ProRoot MTA;
3) TheraCal LC jest bardziej cytotoksyczny niż ProRoot MTA.
Prawidłowa odpowiedź to:
Pytanie 100
U 19-letniego pacjenta zaobserwowano biało-żółto-brązowe przebarwienie wargowej powierzchni szkliwa zęba 21. Pacjent podaje w wywiadzie, że w dzieciństwie utracił ząb 61 z powodu silnych dolegliwości bólowych oraz znacznego próchnicowego zniszczenia tkanek. Ząb 21 to prawdopodobnie:
Pytanie 101
Wskaż prawdziwe stwierdzenia opisujące wskaźnik próchnicy SIC:
1) obliczany jest zarówno w odniesieniu do populacji, jak i do jednostki;
2) jest wykorzystywany do oceny aktywności próchnicy;
3) określa średnią wartość PUWZ (puwz) dla 1/3 osób z największą intensywnością próchnicy spośród całej grupy objętej badaniem;
4) pokazuje odsetek zębów zaatakowanych próchnicą, który został poprawnie wyleczony;
5) informuje, którą część populacji należy objąć zintensyfikowana opieką stomatologiczną.
Prawidłowa odpowiedź to:
Pytanie 102
Spośród podanych metod wybierz te, które służą do rozpoznawania ognisk próchnicy na powierzchniach stycznych zębów:
1) badanie zgłębnikiem Briaulta;
2) zdjęcia radiologiczne skrzydłowo-zgryzowe;
3) ECM;
4) QLF;
5) FOTI i DI-FOTI.
Prawidłowa odpowiedź to:
Pytanie 103
Wskaż prawdziwe stwierdzenia dotyczące procesu próchnicowego toczącego się w szkliwie:
1) zremineralizowana plama próchnicowa jest bardziej odporna na czynniki próchnicotwórcze niż zmiana aktywna;
2) w wyniku działania kwasów produkowanych przez płytkę nazębną w szkliwie dochodzi do wzrostu kryształów hydroksyapatytu z jednoczesnym zmniejszeniem przestrzeni między nimi;
3) po tygodniu swobodnego odkładania się płytki nazębnej, powstające w szkliwie zmiany są widoczne makroskopowo bez osuszania powierzchni;
4) charakterystyczna dla plamy próchnicowej jest niejednorodna utrata minerałów w jej obrębie oraz zjawisko podpowierzchniowej demineralizacji;
5) obserwowany w mikroskopie kształt stożka wczesnych zmian próchnicowych wynika z hierarchicznego układu bakterii w poszczególnych warstwach biofilmu.
Prawidłowa odpowiedź to:
Pytanie 104
Wskaż prawdziwe stwierdzenie dotyczące parametru określającego potencjał erozyjny oraz jego siłę w odniesieniu do konkretnego produktu:
Pytanie 105
Do lekarza specjalisty zgłosił się 55-letni pacjent, skierowany w celu leczenia endodontycznego zęba 46 z rozpoznaniem pulpitis irreversibile. Ząb został wcześniej zaopatrzony doraźnie w innym gabinecie - przeprowadzono amputację miazgi komorowej w znieczuleniu oraz umieszczono w komorze preparat Dexadent i opatrunek Cavit. Obecnie brak objawów bólowych. Z wywiadu pacjent ogólnie zdrowy, nie przyjmuje leków, brak alergii, 15 lat temu leczony onkologicznie (radioterapia i leczenie chirurgiczne) z powodu raka języka. Na podstawie wskazanych informacji wskaż prawidłowe postępowanie lekarza dentysty:
Pytanie 106
Wskaż prawdziwe stwierdzenia dotyczące przedstawicieli tzw. bioaktywnych cementów endodontycznych:
1) uwalnianie jonów wapnia;
2) przewodnictwo elektryczne;
3) produkcja Ca(OH)2;
4) tworzenie między ścianą cementu a zębiny warstwy międzyfazowej;
5) tworzenie na powierzchni cementu kryształów apatytów.
Prawidłowa odpowiedź to:
Pytanie 107
Wskaż prawdziwe stwierdzenie dotyczące środków stosowanych do przemywania i hamowania krwawienia w poszczególnych klasach procedur pokrycia miazgi zębowej:
Pytanie 108
Do gabinetu stomatologicznego zgłosiła się 19-letnia pacjentka w dobrym stanie ogólnym, z powodu urazu zęba 22, który miał miejsce 5 godzin temu w wyniku upadku z roweru. Ząb uległ całkowitemu zwichnięciu, został jednak replantowany przez pacjentkę bezpośrednio po urazie. W badaniu klinicznym i radiologicznym stwierdzono prawidłową pozycję zęba 22. Wskaż właściwe dalsze postępowanie terapeutyczne lekarza dentysty:
Pytanie 109
Pacjentka w wieku 55 lat zgłasza trwający od tygodnia ból samoistny zęba 25, nasilający się pod wpływem ciepła i zimna i dokuczający w nocy. W badaniu wewnątrzustnym stan przyzębia prawidłowy, obecne rozległe, nieszczelne wypełnienie kompozytowe kl. I wg Blacka w zębie 25. Reakcja zęba na chlorek etylu nasilona i przedłużona. Na zdjęciu RTG widoczne cieniujące wypełnienie w bezpośrednim sąsiedztwie rogu miazgi, brak zmian w tkankach okołowierzchołkowych. W wywiadzie ogólnym brak alergii, pacjentka zgłasza niewyrównaną nadczynności tarczycy. Wskaż właściwą diagnozę oraz prawidłowego postepowanie terapeutyczne:
Pytanie 110
Do gabinetu stomatologicznego zgłosił się 20-letni pacjent w celu konsultacji i ewentualnego leczenia z powodu niezadowalającej estetyki swoich zębów. W badaniu klinicznym korony zębów 13, 12, 11, 21, 22, 23 mają nieregularny kształt oraz żółto-brązowe zabarwienie. W badaniu zgłębnikiem ujawniono nierówną, miękką powierzchnię zębów. Pozostałe zęby mają budowę typową. W wywiadzie pacjent podał, że przednie górne zęby mleczne również cechowały się podobnym kształtem i kolorem. W badaniu RTG obecny obraz „zębów - widm” - szerokie komory z zębiniakami oraz bardzo cienkie warstwy szkliwa i zębiny nie różniące się kontrastem, a także krótkie korzenie z szerokim wierzchołkiem. Na podstawie opisu wskaż prawidłowe rozpoznanie:
Pytanie 111
Młody i ogólnie zdrowy pacjent zgłosił się z powodu ostrego zapalenia tkanek okołowierzchołkowych zęba 11. W wywiadzie podał występowanie silnego bólu samoistnego od 2. dni oraz uczucie wysadzania zęba z zębodołu. W badaniu wewnątrzustnym stwierdzono bolesność w rzucie wierzchołka korzenia zęba oraz zaczerwienienie błony śluzowej, brak obrzęku wewnątrz- jak i zewnątrzustnego. Dolegliwościom nie towarzyszyły objawy ogólne. Po stworzeniu dostępu do jamy zęba pojawił się obfity wysięk ropny. Po całkowitym opracowaniu kanału nie stwierdzono obecności wysięku. Wskaż prawidłowe postepowanie terapeutyczne:
Pytanie 112
Zgodnie z kodem ISO narzędzie kanałowe o czerwonym uchwycie posiada rozmiar:
Pytanie 113
Wskaż prawdziwe stwierdzenie dotyczące roztworów chelatujących używanych do usunięcia warstwy mazistej powstałej po opracowaniu kanałów:
Pytanie 114
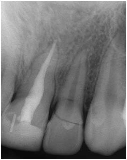
Wskaż fałszywe stwierdzenie dotyczące ujść kanałów zaprezentowanych na poniższej rycinie:

Pytanie 115
Dla którego przypadku, ból zęba podczas nagryzania nie jest typowym objawem?
Pytanie 116
Wskaż prawdziwe stwierdzenie dotyczące zjawiska adhezji:
Pytanie 117
Wskaż prawdziwe stwierdzenia dotyczące erozji:
1) kwasy odpowiedzialne za zjawisko erozji powodują rozpuszczanie hydroksyapatytów, natomiast fluoroapatyty ze względu na swoją budowę są dłużej chronione przed demineralizacją;
2) erozję dzielimy na aktywną - przypominjącą swoim obrazem plaster miodu, w obrazie klinicznym jest to zmiana brązowa lub ciemnożółta oraz bierną - w obrazie klinicznym jasny ubytek o cienkich brzegach;
3) demineralizacja podpowierzchniowej zębiny przekracza 100 µm;
4) erozyjne ubytki pochodzenia przemysłowego nie występują nigdy przy szyjce zęba;
5) o powstaniu ubytków erozyjnych nie decyduje ilość spożywanych kwasów, ale częstość ich spożywania;
6) potencjał erozyjny soku pomarańczowego jest wyższy niż coca-coli.
Prawidłowa odpowiedź to:
Pytanie 118
Które spośród niżej wymienionych warunków są niezbędne do prawidłowego określenia koloru zęba?
Pytanie 119
Wskaż prawdziwe stwierdzenie dotyczące zabiegu „rebondingu”:
1) uwzględnia ponowną aplikację systemu wiążącego przed aplikacją wypełnienia;
2) jego celem jest uszczelnienie szpary brzeżnej i zamknięcie mikropęknięć;
3) może wiązać się z aplikacją płynnego kompozytu;
4) nie dotyczy zębów pozbawionych żywej miazgi;
5) wykonuje się go po zakończeniu polerowania wypełnienia.
Prawidłowa odpowiedź to:
Pytanie 120



