Wyszukaj egzamin lub pytanie
Egzamin PES Stomatologia zachowawcza z endodoncją / wiosna 2018
120 pytań
Pytanie 1
W jakiej sytuacji klinicznej zalecane jest stosowanie kompozytu typu bulk fill jako materiału do rekonstrukcji tkanek zęba?
Pytanie 2
Która z przedstawionych klasyfikacji dotyczy choroby próchnicowej? 1) Mounta i Hume'a; 2) BEWE; 3) Zsigmondy'ego; 4) Bilingsa; 5) Tronstada; 6) ICDAS II; 7) Ryge'a. Prawidłowa odpowiedź to:
Pytanie 3
Wskaż prawdziwe stwierdzenia dotyczące nabytej błonki ślinowej: 1) nie zawiera kolonii bakterii próchnicotwórczych; 2) tworzy się po 12 godzinach od profesjonalnego usunięcia złogów nazębnych; 3) tworzy się tylko na powierzchni zębów naturalnych; 4) wnika do szkliwa na głębokość kilkudziesięciu mikronów; 5) zawiera złuszczone nabłonki i leukocyty; 6) zawiera glikoproteiny, mukopolisacharydy i lipidy śliny; 7) posiada potencjał ochronny przed erozją szkliwa. Prawidłowa odpowiedź to:
Pytanie 4
Przy opracowaniu głębokiego ubytku próchnicowego z rozmiękłą zębiną próchnicową optymalnym postępowaniem jest:
Pytanie 5
Które z procedur są istotnym elementem realizacji wstępnego planu leczenia choroby próchnicowej?
Pytanie 6
Zgłasza się pacjent w wieku 42 lat z rozpoznaniem granuloma pulpae internum typ A dotyczącym zęba 22. Ząb nie daje dolegliwości bólowych i prawidłowo reaguje na bodźce mechaniczne i chemiczne. W opisanym przypadku postępowaniem z wyboru jest:
Pytanie 7
Zgłasza się pacjent w wieku 32 lat, ogólnie zdrowy, z powodu dolegliwości bólowych zęba 45. W badaniu wewnątrzustnym stwierdza się głęboki ubytek próchnicowy w zębie 45. Reakcja na opukiwanie zęba 45 jest ujemna. Dodatkowo, obecne są obfite złogi płytki i kamienia nazębnego, ubytki niepróchnicowego pochodzenia na powierzchniach wargowych zębów 24 i 25 określone kodem 1 wg wskaźnika BEWE, korzenie zgorzelinowe zęba 36 oraz odłamany fragment wypełnienia w zębie 35, który jest przebarwiony. Planując leczenie pacjenta należy wziąć pod uwagę wykonanie następujących zabiegów: 1) usunięcie złogów nazębnych; 2) ekstrakcja korzeni zgorzelinowych zęba 36; 3) leczenie zachowawcze zęba 35; 4) leczenie zachowawcze zębów 24 i 25; 5) wyłuszczenie miazgi zęba 45. Wskaż właściwą kolejność ich wykonania:
Pytanie 8
Wskaż prawdziwe stwierdzenie dotyczące naprawy lub wymiany wypełnienia:
Pytanie 9
Poziom zakwaszenia płytki nazębnej po spożyciu węglowodanów:
Pytanie 10
Wskaż prawdziwe stwierdzenie dotyczące chemo-mechanicznego opracowania ubytku z użyciem żelu Carisolv:
Pytanie 11
Wskaż prawdziwe stwierdzenia dotyczące próchnicy początkowej: 1) zmiany tego typu są wskazaniem do wdrożenia metody PRR; 2) w mikroskopie świetlnym zmiany tego typu uwidaczniają się jako stożek wierzchołkiem zwrócony w stronę powierzchni szkliwa; 3) zmiany charakteryzują się obecnością warstwy powierzchownej, której grubość sięga 100 mikronów; 4) warstwa centralna zmiany przyjmuje jasną barwę po wybarwieniu w chinolinie; 5) cechy histologiczne zmian zlokalizowanych na powierzchni gładkiej różnią się od tych zlokalizowanych na powierzchni żującej; 6) zmiana widoczna jest na wilgotnej powierzchni po 4 tygodniach odkładania płytki nazębnej. Prawidłowa odpowiedź to:
Pytanie 12
Wskaż prawdziwe stwierdzenia dotyczące wierteł Gatesa-Gliddena: 1) używane są do opracowania ujść kanałów; 2) dostępne są w 6 rozmiarach (rozmiar - średnica części tnącej); 3) najmniejsze wiertło (nr 1) ma część tnącą o średnicy 0,7 mm; 4) zbierają zębinę podczas wywierania nacisku w trakcie wprowadzania ich do kanału; 5) wymagają zastosowania 3000-8000 obr./min. Prawidłowa odpowiedź to:
Pytanie 13
W jakich przypadkach dopuszcza się użycie preparatów na bazie paraformaldehydu w zabiegach ekstyrpacji mortalnej? 1) leczenie zębów mlecznych; 2) leczenie zębów z niezakończonym rozwojem korzenia; 3) u pacjentów, u których nie można wykonać znieczulenia miejscowego z powodu uczulenia na ww. środki; 4) u pacjentów z hemofilią, u których wykonanie znieczulenia wiąże się z wywołaniem krwawienia trudnego do opanowania; 5) u chorych na cukrzycę. Prawidłowa odpowiedź to:
Pytanie 14
Ból na opukiwanie może dotyczyć: 1) zęba bezpośrednio po urazie (np. uderzeniu); 2) zęba z wypełnieniem zaburzającym okluzję; 3) zęba z ostrym zapaleniem tkanek okołowierzchołkowych; 4) zęba z chorobą przyzębia; 5) zęba z pionowym pęknięciem korzenia. Prawidłowa odpowiedź to:
Pytanie 15
Prawidłowy zarys dostępu pierwotnego do korony pierwszego zęba trzonowego przedstawiono na rycinie:

Pytanie 16
Wskaż prawdziwe stwierdzenia: 1) metoda endomertryczna określania długości roboczej podczas leczenia endodontycznego jest bardziej obiektywna niż metoda radiologiczna; 2) podczas wykonywania pomiaru z użyciem endometru komora zęba powinna być sucha, choć kanał może pozostać wilgotny; 3) metoda endometryczna jest niemiarodajna w kanałach z niezakończonym rozwojem wierzchołka korzenia; 4) pomiaru endometrycznego można dokonać kilkukrotnie w trakcie leczenia endodontycznego; 5) w przypadku kanału niedrożnego nie uzyska się wskazania 'APEX'. Prawidłowa odpowiedź to:
Pytanie 17
Jakiej roli nie można przypisać roztworowi podchlorynu sodu?
Pytanie 18
Których czynności nie zaleca się podczas pracy z użyciem pilników H? 1) wywieranie nacisku podczas wyprowadzania narzędzia z kanału; 2) wywieranie nacisku podczas wprowadzania narzędzia do kanału; 3) obracanie narzędzia w kanale; 4) używanie narzędzi do opracowania części wierzchołkowej kanału; 5) używanie do opracowania wąskiego ujścia kanału. Prawidłowa odpowiedź to:
Pytanie 19
Które z wymienionych materiałów do wypełnień ostatecznych należą do kompozytów typu 'bulk fill'? 1) Sonic Fill -system; 2) Estelite; 3) Gradia Direct; 4) SureFill SDR; 5) Filtek Bulk Fill; 6) Durafill. Prawidłowa odpowiedź to:
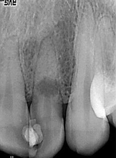
Pytanie 20
Podczas badania rentgenowskiego (zdjęcie poniżej) w zębie 22 stwierdzono znaczne przejaśnienie w połowie długości kanału korzeniowego. Wskaż prawidłową metodę postępowania: 1) płukanie kanału korzeniowego 0,5-5,25% podchlorynem sodu, naprzemiennie z 30-40% kwasem cytrynowym; 2) płukanie kanału korzeniowego 2% chlorheksydyną; 3) płukanie kanału korzeniowego 5,25% podchlorynem sodu, naprzemiennie z wodą utlenioną; 4) wprowadzenie do kanału korzeniowego nietward- niejącego preparatu wodorotlenku wapnia na okres kilku dni; 5) wprowadzenie do komory zęba watki nasączonej związkiem fenolowym na 48 godzin; 6) wprowadzenie do kanału korzeniowego na okres kilku dni materiału zawierającego jodoform; 7) wypełnienie kanału korzeniowego metodą kondensacji bocznej; 8) wypełnienie kanału korzeniowego z wykorzystaniem technik termoplastycznych. Prawidłowa odpowiedź to:

Pytanie 21
Poniżej przedstawiono schematycznie budowę dwóch rodzajów materiałów do ostatecznego wypełnienia zębów. Jakie to materiały?

Pytanie 22
W badanej grupie 50 osób w wieku 35-44 lat stwierdzono występowanie 35 zębów z ubytkami próchnicowymi, 35 zębów z ubytkami wypełnionymi, 10 zębów usuniętych z powodu powikłań po próchnicy, 5 zębów usuniętych z powodów ortodontycznych, a 5 zębów było niewyrzniętych. U 10 osób nie zdiagnozowano objawów próchnicy i nie stwierdzono obecności wypełnień. Ile wynosi intensywność próchnicy w badanej grupie osób?
Pytanie 23
Które z niżej wymienionych metod leczenia choroby próchnicowej należą do minimalnie inwazyjnych? 1) wypełnienie zapobiegawcze; 2) zastosowanie bioaktywnego szkła - fosfokrzemianu wapniowo- sodowego; 3) poszerzone lakowanie; 4) infiltracja próchnicy; 5) aplikacja kompleksu kazeinianu fosfopeptydowego z amorficznym fosforanem wapnia. Prawidłowa odpowiedź to:
Pytanie 24
Które z niżej wymienionych substancji stosowanych w leczeniu kanałowym opóźniają gojenie się zmian w tkankach okołowierzchołkowych? 1) gutaperka przepchnięta poza otwór wierzchołkowy; 2) preparaty poliantybiotykowe; 3) pasty antybiotykowo-kortykosteroidowe; 4) preparaty na bazie wodorotlenku wapnia; 5) chlorheksydyna. Prawidłowa odpowiedź to:
Pytanie 25
W pionowej kondensacji termicznie rozmiękczonej gutaperki stosuje się:
Pytanie 26
43-letni pacjent odczuwał silny ból w okolicy prawego pierwszego przed- trzonowca w żuchwie. Ząb był wrażliwy na opukiwanie, nie wykazywał reakcji w badaniu żywotności testem elektrycznym ani w badaniu chlorkiem etylu. Nie stwierdzono obrzęku tkanek miękkich. Na zdjęciu rtg zęba nie było zmian patologicznych. Wskaż najbardziej prawdopodobne rozpoznanie:
Pytanie 27
Która z jednostek chorobowych przypadkowo wykrytych na zdjęciu rentgenowskim, może dotyczyć zarówno zębów żywych jak i martwych, a podstawowym jej objawem klinicznym są zmiany w obrazie rentgenowskim opisane jako zapalne zgrubienie ozębnej lub dilatatio spatii periodontii?
Pytanie 28
U pacjenta w wieku rozwojowym podczas opracowywania próchnicy w zębie 36 doszło do przypadkowego obnażenia miazgi. Pacjent nie zgłaszał wcześniej dolegliwości bólowych, a w badaniu klinicznym stwierdzono brak zmian na błonie śluzowej w okolicy zęba 36, ruchomość fizjologiczną zęba 36, prawidłową reakcję na bodźce termiczne zęba 36. W badaniu radiologicznym nie stwierdzono odchyleń od normy. Wywiad ogólny bez znaczenia. W świetle najnowszego piśmiennictwa postępowanie lecznicze powinno obejmować:
Pytanie 29
Materiał kompozytowy po polimeryzacji może mieć nieco ciemniejszy kolor niż materiał niespolimeryzowany. Zjawisko to:
Pytanie 30
Stopień oaz głębokość polimeryzacji są bardzo ważne z punktu widzenia materiałów kompozytowych. Zależą one od następujących parametrów: 1) intensywności światła; 2) odległości światłowodu od powierzchni materiału; 3) zawartości wypełniacza; 4) rozmiaru wypełniacza; 5) stężenia fotoinicjatora; 6) czasu polimeryzacji; 7) długości fali światła. Prawidłowa odpowiedź to:
Pytanie 31
Samotrawiące systemy wiążące określane jako silne: 1) posiadają pH poniżej 1; 2) posiadają pH około 2; 3) całkowicie usuwają hydroksyapatyt z zębiny; 4) częściowo usuwają hydroksyapatyt z zębiny; 5) są bardziej podatne na debonding; 6) mają dobrą adaptację brzeżną. Prawidłowa odpowiedź to:
Pytanie 32
Selektywne trawienie szkliwa polega na:
Pytanie 33
Które systemy wiążące nie są kompatybilne z chemoutwardzalnymi materiałami kompozytowymi?
Pytanie 34
Lekarz ma za zadanie przeprowadzić powtórne leczenie kanałowe zęba 36. Niestety nie potrafi określić czy system kanałów korzeniowych został wypeł- niony tradycyjną gutaperką czy materiałem Resilon. Aby usprawnić usuwanie materiału powinien zastosować preparat rozpuszczający oba materiały, którym jest:
Pytanie 35
Najbardziej odpowiednim preparatem stosowanym do ostatniego płukania przed uszczelnieniem systemu kanałów materiałem na bazie żywic metakrylanowych jest:
Pytanie 36
Która z poniższych metod nie jest wykorzystywana w przypadku zakładania koferdamu na zęby z dużym zniszczeniem korony?
Pytanie 37
Podczas wizyty kontrolnej pacjenta stwierdzasz na zdjęciu rtg obecność owalnego poszerzenia kanału korzeniowego zęba 22 w ½ wysokości korzenia. Kość wyrostka zębodołowego nie wykazuje zmian w obrazie radiologicznym. Pac- jent podaje, że kilka lat wcześniej doznał niewielkiego urazu tego zęba. Obecnie nie zgłasza dolegliwości bólowych, a w badaniu klinicznym reakcja miazgi zęba 22 na bodźce jest prawidłowa. Jakie postawisz rozpoznanie i jakie podejmiesz leczenie?
Pytanie 38
Który z poniższych czynników nie jest brany pod uwagę przy ocenie ryzyka próchnicy?
Pytanie 39
W trakcie polimeryzacji wypełnień kompozytowych dochodzi do powsta- wania napięć skurczowych, które mogą być przyczyną m.in. nadwrażliwości pozabiegowej. W którym ubytku powstające napięcia skurczowe są najmniejsze?
Pytanie 40
Wskaż prawdziwe stwierdzenia dotyczące procedury zukośnienia brzegów szkliwa w trakcie opracowywania ubytku próchnicowego: 1) jest to element V fazy opracowania ubytków próchnicowych; 2) wykonuje się ścięcie pod kątem 45º na szerokość 2-3 mm; 3) wykonanie zukośnienia brzegów szkliwa na powierzchniach wargowych poprawia efekt kosmetyczny dzięki stopniowemu przejściu materiału w szkliwo; 4) wykonanie zukośnienia brzegów szkliwa na powierzchni żującej jest powszechnie zalecane ze względu na zmianę kierunku działania kwasu na pryzmaty szkliwa; 5) zaleca się wykonanie zukośnienia brzegów szkliwa zarówno przy wypełnianiu ubytku kompozytami, jak i cementami szkło-jonomerowymi. Prawidłowa odpowiedź to:
Pytanie 41
W górnym drugim zębie przedtrzonowym posiadającym jeden korzeń możliwe jest występowanie konfiguracji kanałów korzeniowych według klasyfikacji Weine'a:
Pytanie 42
Zębina ta powstaje jako reakcja miazgi na działanie bodźców zewnętrznych. Tworzy się pomiędzy miazgą a zębiną w miejscu działania bodźca. Charakteryzuje się zmniejszoną liczbą kanalików zębinowych o nieregularnym przebiegu, może mieć budowę bezkanalikową. Który rodzaj zębiny charakteryzuje powyższy opis?
Pytanie 43
Wskaż sytuacje kliniczne, które są przeciwwskazaniem do jednoseansowego leczenia endodontycznego: 1) ostre zapalenie tkanek okołowierzchołkowych; 2) przewlekłe zapalenie tkanek okołowierzchołkowych z obecnością przetoki; 3) powtórne leczenie kanałowe; 4) resorpcja wewnętrzna; 5) pojawienie się w trakcie leczenia wysięku lub krwawienia z tkanek okołowierzchołkowych; 6) konieczność podania osłony antybiotykowej; 7) konieczność wykonania zabiegu w sedacji lub znieczuleniu ogólnym. Prawidłowa odpowiedź to:
Pytanie 44
Wskaż zdanie prawdziwe dotyczące mikroskopowego obrazu ogniska próchnicowego w szkliwie:
Pytanie 45
Która z wymienionych przyczyn nie powoduje zaostrzenia przewlekłych zapaleń tkanek okołowierzchołkowych?
Pytanie 46
Jakie działanie wykazuje nadtlenek mocznika?
Pytanie 47
Pacjent podaje w wywiadzie, że ząb 16 bolał go samoistnie około 2-3 miesięcy temu i po kilku dniach dolegliwości ustąpiły. Obecnie pojawiają się okresowo, kiedy w ubytku zalegają resztki jedzenia i mijają, kiedy pacjent usunie je wykałaczką. Ponadto, ząb reaguje bólem przy spożywaniu ciepłych pokarmów. W badaniu klinicznym stwierdzasz obecność rozległego ubytku próchnicowego na powierzchni stycznej. Przy badaniu chlorkiem etylu reakcja miazgi jest znacznie osłabiona. Na zdjęciu rtg ubytek sięga sklepienia komory, a tkanki okołowierzchoł- kowe nie wykazują odchyleń od normy. Jakie rozpoznanie postawisz?
Pytanie 48
Jednym z testów oceniających stan miazgi jest test elektropobudliwości miazgi. Jakie mogą być przyczyny fałszywie pozytywnych wyników tego testu? 1) wpływ rozrusznika serca na odczyt aparatu; 2) kontakt elektrody z dziąsłem; 3) niewłaściwa izolacja zęba od dostępu śliny; 4) zębiniaki w komorze lub kanale; 5) obecność w kanale martwicy rozpływnej; 6) martwica miazgi komorowej; 7) zdenerwowanie pacjenta. Prawidłowa odpowiedź to:
Pytanie 49
Aby określić długość roboczą kanału wykorzystuje się obecnie endometry częstotliwościowe. Przyczyną nieprawidłowego pomiaru może być:
Pytanie 50
Pacjent zgłasza się z powodu przedłużających się dolegliwości bólowych okolicy dolnych lewych zębów trzonowych pojawiających się podczas picia gorą- cej herbaty. Wskazuje wyraźnie że przyczyną bólu jest ząb szósty. Wewnątrzust- nie stwierdza się obecność rozległego, nieszczelnego wypełnienia w zębie 36. Tkanki twarde zęba są szarożółte bez połysku. Ząb nie reaguje na test opukiwania. Wskaż prawdopodobne rozpoznania: 1) martwica całkowita miazgi; 2) zapalenie miazgi nieodwracalne przy komorze otwartej; 3) zapalenie miazgi nieodwracalne przy komorze zamkniętej; 4) zapalenie miazgi odwracalne; 5) martwica częściowa miazgi. Prawidłowa odpowiedź to:
Pytanie 51
Wskaż fałszywe stwierdzenia dotyczące znieczulenia domiazgowego: 1) aby uzyskać skuteczne znieczulenie trzeba otrzymać odpowiednie ciśnienie płynu znieczulającego w jamie miazgowej; 2) można je zastosować podczas leczenia biologicznego z użyciem wodorotlenku wapnia; 3) występuje najczęściej natychmiastowo i trwa do ok. 60 min.; 4) jest znieczuleniem dodatkowym; 5) podczas podawania pacjent może poczuć krótkotrwały ból podczas wprowadzenie igły do komory. Prawidłowa odpowiedź to:
Pytanie 52
Wskaż fałszywe stwierdzenia dotyczące amputacji przyżyciowej częściowej: 1) może być wykonana do 5 dni od urazu zęba, który odsłonił miazgę na obszarze do 1 mm²; 2) gdy nie można dostatecznie znieczulić pacjenta trzeba zastosować znieczulenie domiazgowe; 3) można ją przeprowadzić, gdy doszło do obnażenia miazgi na obszarze 0,5 mm2 w rejonie dodziąsłowym na powierzchni stycznej; 4) technika ta jest stosowana głownie w przypadku zębów stałych niedojrzałych; 5) nie można tej techniki zastosować, gdy dochodzi do przedłużonego krwawienia z komory o ciemnoczerwonym zabarwieniu. Prawidłowa odpowiedź to:
Pytanie 53
Wskaż fałszywe stwierdzenie dotyczące zjawiska odrostu ozębnej:
Pytanie 54
Próchnica nietypowa w obrazie histopatologicznym charakteryzuje się brakiem warstw: 1) obronnej; 2) centralnej; 3) pustych kanalików; 4) sklerotycznej; 5) zdrowej zębiny. Prawidłowa odpowiedź to:
Pytanie 55
Występowanie zjawiska tzw. kanalików martwych jest charakterystyczne dla zębiny:
Pytanie 56
Wskaż prawdziwe stwierdzenia dotyczące warstwy zębiny próchnicowej wewnętrznej: 1) jest zakażona; 2) jest częściowo zdemineralizowana; 3) znajdujący się tam kolagen traci swoją strukturę chemiczną i ulega denaturacji; 4) we włóknach kolagenu zachowane są mostki poprzeczne pomiędzy cząstkami kolagenu; 5) może ulec remineralizacji; 6) nie ulegnie remineralizacji. Prawidłowa odpowiedź to:
Pytanie 57
Codzienne stosowanie nici dentystycznych redukuje płytkę na powierzchniach stycznych o:
Pytanie 58
Które z wymienionych cech diety pacjenta wpływają na jej potencjał próchnicotwórczy? 1) ilość przyjmowanego pokarmu; 2) częstotliwość przyjmowania przekąsek zawierających cukier; 3) ilość śliny, jaką stymuluje dany produkt; 4) zawartość naturalnych buforów i kwasów w pokarmie; 5) zawartość wapnia w pokarmie; 6) zawartość humektantów w pokarmie; 7) rozpuszczalność w ślinie poszczególnych produktów. Prawidłowa odpowiedź to:
Pytanie 59
Których narzędzi użyjesz do opracowania wypełnień z cementów szkło- jonomerowych modyfikowanych żywicą? 1) frezy; 2) finiry; 3) krążki ścierne; 4) gumki; 5) wiertła diamentowe do opracowania kompozytów; 6) wiertła karborundowe; 7) wiertła stalowe. Prawidłowa odpowiedź to:
Pytanie 60
Za pełną dojrzałość szkliwa, związaną z maksymalną odpornością na czynniki próchnicotwórcze, uważa się moment, w którym w 30 μm warstwy szkliwa stężenie fluoru osiąga 1000 ppm. Następuje to około:
Pytanie 61
Wskaż prawdziwe stwierdzenia dotyczące preparatów o wysokim stężeniu fluoru do stosowania okresowego w profilaktyce próchnicy: 1) ich aplikację wykonuje lekarz w gabinecie stomatologicznym; 2) ich aplikację może wykonywać asystentka stomatologiczna albo przeszkolona w tym zakresie higienistka lub pielęgniarka; 3) należy je stosować u dzieci z wysokim ryzykiem próchnicy po ukończeniu 6. roku życia; 4) należy je stosować u osób dorosłych ze złymi nawykami dietetycznymi; 5) należy je stosować jako uzupełnienie płukanek z fluorem; 6) powierzchnia zębów, na które dokonuje się ich aplikacji może pozostać nieoczyszczona z płytki; 7) powierzchnia zębów, na które dokonuje się ich aplikacji powinna być bezwzględnie sucha; 8) w składzie swym oprócz związków fluoru niektóre zawierają ksylitol stosowany również w gumach do żucia. Prawidłowa odpowiedź to:
Pytanie 62
Efektem konwersji cząsteczek monomeru w sieć polimerową w trakcie polimeryzacji materiału złożonego jest:
Pytanie 63
Pacjent zgłosił się do gabinetu z rozległym ubytkiem w zębie 46, określonym kodem 2.3 w/g klasyfikacji Lasfarguessa i wsp. Po zakończeniu opracowania brzegu przydziąsłowego ubytku stwierdza się znaczne zniszczenie tkanek, z całkowitą utratą szkliwa w tej okolicy. Wskaż prawidłowy sposób odbudowy brakujących tkanek zęba w opisanym przypadku:
Pytanie 64
Podczas badania klinicznego pacjenta (kobieta lat 65) stwierdzono wyraźnie odgraniczoną strefę przebarwienia (żółtą) w zębie 33, umiejscowioną w okolicy połączenia szkliwno-cementowego na powierzchni policzkowej, z wyraźnie widocznym ubytkiem tkanek, utrata anatomicznego zarysu ≥ 0,5 mm. Jakie postępowanie będzie właściwe w przypadku opisanego pacjenta?
Pytanie 65
W trakcie leczenia endodontycznego zęba 24, podczas płukania 2% NaOCl pojawił się nagły, ostry ból, a następnie chwilę potem szybko narastający obrzęk i krwawienie śródtkankowe. Jakie postawisz rozpoznanie i jakie zastosujesz leczenie w zaistniałej sytuacji?
Pytanie 66
Nie mając dostępu do endometru, aby określić długość roboczą kanału posłu- gujesz się metoda dodawania Ingle'a i Nicholsa. Po wykonaniu zdjęcia wstępnego techniką kąta prostego, oceniasz radiologiczną długość zęba na 20 mm. Do kanału wprowadzasz narzędzie pomiarowe o długości 18 mm i ponownie wykonujesz zdjęcie. Stwierdzasz, że narzędzie znajduje się 2 mm od wierzchołka radiologicznego. Na podstawie uzyskanych pomiarów ocenisz, że długość robocza kanału wynosi:
Pytanie 67
Które z poniżej opisanych przypadków klinicznych zakwalifikujesz do przeprowadzenia ponownego leczenia endodontycznego? 1) ząb 24 bez dolegliwości bólowych, w którym stwierdzono nieprawidłowo wypełnione kanały i brak zmian w tkankach przyzębia wierzchołkowego. Ząb zakwalifikowany do leczenia protetycznego; 2) ząb 36 bez dolegliwości bólowych, w rtg brak zmian w tkankach około- wierzchołkowych, kanały niecałkowicie i niehomogennie wypełnione; 3) ząb 14 bez dolegliwości bólowych, w rtg brak zmian w tkankach około- wierzchołkowych, kanały wypełnione prawidłowo 2 lata temu, zakwalifi- kowany do wykonania wkładu koronowo-korzeniowego wraz z koroną protetyczną; 4) ząb 46 bez dolegliwości bólowych, leczony endodontycznie 2 lata temu, kanały wypełnione prawidłowo, na rtg widoczna obecność nowej zmiany w przyzębiu okołowierzchołkowym; 5) ząb 36 bolesny na opukiwanie, leczony endodontycznie 2 lata temu, z okresowo występującymi słabymi dolegliwościami bólowymi, kanały wypełnione prawidłowo, w rtg bez zmian w tkankach okołowierzchołkowych. Prawidłowa odpowiedź to:
Pytanie 68
Wskaż prawdziwe stwierdzenia dotyczące śliny: 1) ryzyko rozwoju próchnicy wzrasta przy małej szybkości wydzielania śliny stymulowanej, wynoszącej 1,0 do 3,0 ml/min. Ta ilość śliny spowalnia proces usuwania i rozcieńczania cukru pochodzącego z pokarmu w jamie ustnej; 2) ślina spoczynkowa ma zwiększone stężenie jonów wodorowęglanowych (60 µmol), ważnego czynnika buforowego podwyższającego pH środowiska, co jest istotne dla zachowania równowagi pomiędzy procesami remineralizacji i demineralizacji; 3) ślina stymulowana ma zwiększone stężenie jonów wodorotlenowych, które powodują alkalizację pH, a to z kolei ma istotne znaczenie dla utrzymania homeostazy w jamie ustnej. Prawidłowa odpowiedź to:
Pytanie 69
Jakie dolegliwości świadczą o wystąpieniu nadwrażliwości pozabiegowej, u pacjenta u którego 2 tygodnie wcześniej założono rozległe wypełnienie MOD w zębie 46? 1) ostry ból podczas spożywania zimnych lub ciepłych pokarmów; 2) ból podczas ucisku i opukiwania, niezależnie od miejsca przyłożenia bodźca; 3) ból w trakcie naciskania na wypełnienie grubym upychałem kulkowym; 4) widoczna makroskopowa nieszczelność wypełnienia przy jednej ze ścian ubytku; 5) ból w trakcie naciskania na guzek policzkowy bliższy. Prawidłowa odpowiedź to:
Pytanie 70
W trakcie leczenia kanałowego zęba 24 stwierdzono znacznego stopnia obliterację i zakrzywienie kanałów. W końcowej fazie leczenia, przed ostatecznym płukaniem doszło do perforacji korzenia policzkowego w okolicy wierzchołka, w miejscu największej krzywizny. Wskaż prawidłowe postępowanie w zaistniałej sytuacji:
Pytanie 71
Preparacja szczelinowa (slot preparation) ma na celu:
Pytanie 72
U 50-letniej pacjentki lekarz stwierdził na powierzchni żującej zęba 47 obecność wypełnienia z amalgamatu, wokół którego widoczne było szaronie- bieskie zabarwienie tkanek zęba. Które z poniższych stwierdzeń jest prawdziwe? 1) szaroniebieskie zabarwienie tkanek zęba może być następstwem próchnicy wtórnej; 2) szaroniebieskie zabarwienie tkanek zęba może być następstwem wniknięcia produktów korozji w kanaliki zębinowe; 3) powstające produkty korozji mogą uszczelniać szparę brzeżną zapobiegając mikroprzeciekowi; 4) nadmiar rtęci w amalgamacie może przenikać do kanalików zębinowych i przebarwiać zębinę na szary kolor; 5) szaroniebieskie zabarwienie tkanek zęba może być następstwem odbicia światła od wypełnienia amalgamatowego. Prawidłowa odpowiedź to:
Pytanie 73
Wskaż prawdziwe stwierdzenia dotyczące wewnętrznej resorpcji zastępczej: 1) jest to resorpcja zębiny z jednoczesnym odkładaniem w jamie zęba tkanek twardych, które histologicznie przypominają kość lub cement korzeniowy; 2) w wyniku tego procesu nie dochodzi do poszerzenia jam zęba; 3) zjawisko to występuje, gdy przewlekły proces zapalny miazgi przebiega równolegle z uszkodzeniem warstwy odontoblastów lub predentyny; 4) zjawisko to występuje tylko w przypadku, gdy nie dochodzi do uszkodzenia warstwy odontoblastów; 5) na zdjęciu RTG wewnętrzna resorpcja zastępcza charakteryzuje się poszerzeniem przestrzeni jamy zęba i odkładaniem w jej świetle fragmentów luźnej tkanki twardej; 6) w przypadku, gdy proces wewnętrznej resorpcji zastępczej jest aktywny i trwa wystarczająco długo, jego efektem może być całkowite zamknięcie światła komory i kanału korzeniowego. Prawidłowa odpowiedź to:
Pytanie 74
Wskaż fałszywe stwierdzenie dotyczące Międzynarodowego Systemu Wykrywania i Oceny Próchnicy ICDAS II (International Caries Detection and Assesment System):
Pytanie 75
Wskaż prawdziwe stwierdzenia dotyczące uszkodzeń zębów niepróchni- cowego pochodzenia, występujących u osób w starszym wieku: 1) u osób w starszym wieku rzadko dochodzi do samoistnych złamań zębów podczas aktu żucia; 2) złamania zębów u osób w starszym wieku są przyczyną dolegliwości bólowych i ruchomości zębów; 3) zmiany w tkankach zęba związane z wiekiem należą do głównych przyczyn złamań zębów u osób starszych; 4) u osób w starszym wieku najczęściej dochodzi do odłamania guzków zębów bocznych, natomiast rzadziej do odłamania brzegów siecznych zębów przednich; 5) pionowe pęknięcia szkliwa w postaci kapilarnych szczelin powstają u osób starszych najczęściej na powierzchni językowej zębów siecznych; 6) rozległość pionowych pęknięć szkliwa zwiększa się wraz z wiekiem. Prawidłowa odpowiedź to:
Pytanie 76
Wskaż fałszywe stwierdzenie dotyczące choroby Pageta:
Pytanie 77
Wskaż prawdziwe stwierdzenia dotyczące nieprawidłowości związanych ze zmianą długości korzeni zębów: 1) wydłużenie korzenia (rhizomegalia) dotyczy najczęściej zębów siecznych centralnych, w szczęce; 2) wydłużenie korzenia (rhizomegalia) często dotyczy także zębów przedtrzonowych i trzonowych w szczęce; 3) wydłużenie korzeni (rhizomegalia) występuje częściej u kobiet niż u mężczyzn; 4) skrócenie długości korzeni (rhizomicria) występuje wówczas, gdy długość korzenia jest równa długości korony lub mniejsza od niej; 5) skrócenie długości korzeni (rhizomicria) w postaci uogólnionej może występować dziedzicznie lub powstawać w wyniku dysplazji zębiny typu 1; 6) przyczyną skrócenia długości korzenia jednego lub kilku zębów może być czynnik miejscowy (np. napromieniowanie) działający w okresie rozwoju korzenia będącego w stadium ścian zbieżnych. Prawidłowa odpowiedź to:
Pytanie 78
Infiltracja próchnicy jest minimalnie inwazyjną metodą leczenia początko- wych zmian próchnicowych, klinicznie określanych jako biała plama (macula alba). Wskaż prawdziwe stwierdzenia dotyczące tej metody leczenia: 1) metoda ma zastosowanie wyłącznie w leczeniu zmian próchnicowych bez ubytku, szerzących się tylko w powierzchownej warstwie szkliwa i nieprzekraczających połączenia szkliwno-zębinowego; 2) wskazaniem do stosowania tej metody są początkowe zmiany próchnico- we znajdujące się na powierzchniach gładkich - wolnych i stycznych; 3) bezwzględnym wskazaniem do stosowania tej metody są początkowe zmiany próchnicowe w bruzdach znajdujących się na powierzchniach żujących zębów; 4) infiltracja próchnicy nie jest wskazana w przypadku zmian, dla których pierwszą metodą leczenia z wyboru jest remineralizacja; 5) wykonanie zabiegu infiltracji eliminuje możliwość zastosowania w tym miejscu następczej remineralizacji; 6) początkową zmianę próchnicową traktuje się 35% nadtlenkiem wodoru w żelu przez 10 minut; 7) całkowita infiltracja zmiany przez żywicę kompozytową następuje w ciągu 2-3 minut. Prawidłowa odpowiedź to:
Pytanie 79
U pacjenta 70-letniego, który zachował 20 zębów własnych, lekarz stwier- dził obnażenie powierzchni korzeni zębów 12, 13, 23, 33, 34, 35, 44, 45, 46 i 47. Na obnażonych powierzchniach korzeni zębów 12, 34, 35 i 45 obecne były niele- czone zmiany próchnicowe. Ubytek próchnicowy na powierzchni korzenia zęba 44 był wypełniony cementem szkłojonomerowym, natomiast ubytek na powierzchni korzenia zęba 47 był wypełniony amalgamatem. Jaką wartość miał w tym przypadku wskaźnik próchnicy korzenia RCI (root caries index)?
Pytanie 80
Wskaż fałszywe stwierdzenie dotyczące uszczelniaczy kompozytowych stosowanych w anatomicznych zagłębieniach zęba:
Pytanie 81
Analizując po leczeniu endodontycznym zdjęcie RTG zęba 31 lekarz stwierdził, że materiał wypełniający kanał nie ma właściwej gęstości radiologicznej. Przyczyną tego powikłania jest: 1) głęboko wprowadzone upychadło kanałowe; 2) brak uszczelniacza lub za mała jego ilość; 3) użycie uszczelniacza, który wolno twardnieje; 4) użycie uszczelniacza, który zbyt szybko twardnieje; 5) użycie zbyt cienkich ćwieków dodatkowych. Prawidłowa odpowiedź to:
Pytanie 82
Kwestionariusz CAMBRA (Caries Management by Risk Assesment) wykorzystuje się do oceny ryzyka próchnicy zarówno u dzieci jak i u osób dorosłych. Wskaż prawdziwe stwierdzenia dotyczące tego narzędzia: 1) jest on oparty wyłącznie na wynikach badania klinicznego uzębienia; 2) jest on oparty na wynikach badania klinicznego oraz ocenie obecności biologicznych czynników predysponujących i czynników ochronnych; 3) w kwestionariuszu CAMBRA nie uwzględnia się występowania czynników ochronnych; 4) ukierunkowany jest na diagnozę oraz analizę prognozy i ryzyka próchnicy; 5) występowanie aktywnej próchnicy, obecność przynajmniej jednego ubytku wymagającego wypełnienia oraz aktywne białe plamy próchnicowe kwalifiku- ją pacjenta wg kwestionariusza CAMBRA do grupy bardzo wysokiego ryzyka próchnicy; 6) u osób zakwalifikowanych do grupy umiarkowanego ryzyka próchnicy stwier- dza się zrównoważoną próchnicę, ale z obecnością niewypełnionych zmian próchnicowych lub występowaniem innych czynników ryzyka (np.: hiposali- wacja, aparat ortodontyczny). Prawidłowa odpowiedź to:
Pytanie 83
Wskaż prawdziwe stwierdzenia dotyczące mostu zębinowowego powsta- jącego w wyniku przykrycia bezpośredniego miazgi: 1) obecność mostu zębinowego zawsze świadczy o pozytywnym wyniku leczenia; 2) most zębinowy szczelnie zamyka sklepienie komory i w pełni odizolowuje miazgę od ubytku; 3) most zębinowy często zawiera wtręty komórkowe i tunele, co powoduje jego przepuszczalność dla bakterii; 4) obecność mostu zębinowego nie eliminuje w pełni ryzyka zakażenia miazgi w następstwie nieszczelnego zamknięcia ubytku materiałem odtwórczym; 5) most zębinowy w pełni zabezpiecza miazgę przed zakażeniem w następstwie nieszczelnego zamknięcia ubytku materiałem odtwórczym; 6) most zębinowy może nie wykazywać ciągłości, a w miejscu jego braku często utrzymują się nacieki zapalne wnikające niekiedy w głąb miazgi. Prawidłowa odpowiedź to:
Pytanie 84
Podczas przeglądu uzębienia u 20-letniej pacjentki lekarz stwierdził, że ząb 42 ma szeroką koronę podzieloną bruzdą na powierzchni wargowej z nacię- ciem brzegu siecznego. Badanie RTG zęba 42 ujawniło wspólną komorę i jeden kanał korzeniowy. Wskaż właściwą interpretację tego stanu: 1) jest to ząb bliźniaczy, którego powstanie wiąże się z częściowym podziałem zawiązka w stadium proliferacji; 2) jest to przypadek określany mianem zębów podwójnych (double teeth); 3) jest to przypadek zębów zlanych, powstałych w wyniku połączenia dwóch zawiązków zębów w obrębie szkliwa i zębiny; 4) jest to przypadek globodoncji, która występuje w zespole uszno- twarzowym; 5) jest to przypadek zębów zrośniętych w wyniku braku przegrody kostnej oddzielającej dwa zawiązki; 6) jest to ząb olbrzymi (macrodens). Prawidłowa odpowiedź to:
Pytanie 85
U 25-letniej pacjentki lekarz stwierdził na powierzchni wargowej zęba 12 nieprzezierny białawy obszar gładkiego szkliwa o prawidłowej powierzchni oraz grubości, wyraźnie odgraniczony od niezmienionego szkliwa. Które z poniższych stwierdzeń dotyczących opisanych objawów są prawdziwe? 1) jest to najłagodniejsza postać niedorozwoju szkliwa, określana mianem hipoplazji; 2) zmianę tego typu cechuje obecność porowatego szkliwa pod dobrze zmineralizowaną powierzchnią; 3) usunięcie szkliwa na głębokość około 0,2 mm wystarcza do usunięcia zmiany; 4) postępowanie lecznicze polega na usunięciu nieprzeziernego szkliwa za pomocą mikroabrazji z wykorzystaniem pasty zawierającej pumeks zmieszany z 18% kwasem chlorowodorowym (HCl); 5) postępowanie lecznicze polega na usunięciu nieprzeziernego szkliwa za pomocą mikroabrazji z wykorzystaniem żelu zawierającego 10% nadtlenek karbamidu z fluorem. Prawidłowa odpowiedź to:
Pytanie 86
Wskaż prawdziwe stwierdzenia dotyczące roli śliny w utrzymaniu zdrowia jamy ustnej: 1) zmniejszenie wraz z wiekiem napięcia mięśni twarzy, a zwłaszcza policzków, sprzyja spływaniu i gromadzeniu śliny poniżej szyjek dolnych zębów, co w połączeniu z obniżeniem brzegu dziąsła powoduje zwiększone narażenie tych miejsc na demineralizację; 2) płytka nazębna jest bardziej próchnicotwórcza w miejscach o zwiększonym przepływie śliny, gdyż absorbuje planktonowe formy drobnoustrojów ; 3) wszystkie immunoglobuliny śliny wiążą determinanty antygenowe bakterii jamy ustnej i wpływają na ograniczenie przylegania bakterii do nabłonka policzków i szkliwa zębów; 4) przy pH 5,5 ślina stanowi roztwór nienasycony w stosunku do jonów wapniowych i fosforanowych, w wyniku czego wędrują one z hydroksyapatytów do śliny; 5) amylaza wykazuje działanie kariogenne poprzez blokowanie metaboliz- mu, głównie glikolizy bakterii, zwłaszcza Lactobacillus acidophilus. Prawidłowa odpowiedź to:
Pytanie 87
U pacjenta lat 20 wykonujesz replantację zęba 12. Ząb przebywał poza jamą ustną ponad 60 minut. Jednym z najcięższych powikłań po zabiegu replan- tacji jest resorpcja zamienna. Działaniem mającym na celu jej uniknięcie lub opóźnienie jest: 1) zanurzenie wybitego zęba przed replantacją w roztworze 2% fluorku sodu na 20 minut, gdy czas jego przechowywania poza jamą ustną był dłuższy niż 60 minut; 2) zastosowanie szyny elastycznej do unieruchomienia zęba; 3) przedłużone szynowanie, które sprzyja lepszemu gojeniu włókien ozębnej; 4) przeleczenie endodontyczne, następnie replantowanie zęba i sztywne unieruchomienie na 4 tygodnie; 5) pozostawienie skrzepu w jamie zębodołu dla lepszej regeneracji włókien ozębnej. Prawidłowa odpowiedź to:
Pytanie 88
Które cechy opisują ubytki abfrakcyjne (z uwzględnieniem ich lokalizacji, kształtu i wyglądu)?
Pytanie 89
U pacjenta lat 65 stwierdzasz w badaniu klinicznym obecność ogniska próchnicy w obrębie korzenia zęba 24, II stopień wg Billingsa i wsp. W tym przypadku należy zaproponować następujące postępowanie:
Pytanie 90
Pierwotny uraz zgryzowy to:
Pytanie 91
Rozbudowany system kanałowy zęba może zawierać tzw. pseudokanały. Który opis jest dla nich właściwy?
Pytanie 92
Wyniki badań socjoepidemiologicznych w dziedzinie stomatologii wskazują, że zapadalność i przebieg próchnicy są w większości determinowane przez: 1) uwarunkowania osobnicze; 2) czynniki genetyczne; 3) system opieki stomatologicznej; 4) uwarunkowania środowiskowe (społeczne, polityczne, ekonomiczne); 5) wzorce zachowań w odniesieniu do narządu żucia. Prawidłowa odpowiedź to:
Pytanie 93
Które cechy wyróżniają preparat Biodentine w porównaniu z preparatem odontotropowym MTA? 1) bardziej zbliżone do zębiny parametry wytrzymałościowe; 2) znacznie krótszy czas wiązania; 3) lepsze wiązanie w obecności płynów tkankowych; 4) możliwość mieszania z wodą destylowaną; 5) możliwość zakończenia pracy podczas tej samej wizyty. Prawidłowa odpowiedź to:
Pytanie 94
Zgodnie z klasyfikacją próchnicy wg miejsca i stadium w przypadku stwierdzenia na powierzchni stycznej w zębach bocznych przepuszczalności na promieniowanie sięgającej 1/3 wewnętrznej warstwy zębiny zmianę próchnicową opracowuje się: 1) z dostępu okluzyjnego; 2) preparując ubytek styczno-okluzyjny; 3) metodą tunelową otwartą; 4) metodą tunelową zamkniętą; 5) metoda szczelinową. Prawidłowa odpowiedź to:
Pytanie 95
Wskaż prawdziwe stwierdzenia dotyczące kompleksu kazeinianu fosfopeptydowego z amorficznym fosforanem wapnia:
1) spowalnia progresję próchnicy i powoduje naprawę plamy próchnicowej;
2) jest źródłem biodostępnych jonów fluoru;
3) zmniejsza nadwrażliwość zębów;
4) wiąże się jedynie z płytką nazębną i bakteriami.
Prawidłowa odpowiedź to:
Pytanie 96
Wskaż prawdziwe stwierdzenie dotyczące stężenie fluoru w ślinie po miejscowym stosowaniu preparatów fluorkowych, w tym past do zębów:
Pytanie 97
Jaką średnicę w punkcie D16 ma ręczny pilnik typu K o rozmiarze 030 wg ISO i stożkowatości .02?
Pytanie 98
U pacjenta w wieku 40 lat badanie radiologiczne wykazało ubytek kości wyrostka zębodołowego wzdłuż korzenia do okolicy wierzchołka zęba 34. Kanał zęba nie wypełniony. Pacjent skarży się na pojawienie się wysięku ropnego z kieszonki i rozchwianie zęba. W badaniu wewnątrzustnym stwierdzono: ubytek próchnicowy w zębie 34, głęboką kieszonkę przyzębną, wysięk ropny, rozchwia- nie zęba, złogi nazębne, brak reakcji miazgi na bodźce. Jaka jest najbardziej prawdopodobna przyczyna tego stanu?
Pytanie 99
Który z podanych sposobów nie stanowi metody kontroli skuteczności zabiegów higienicznych oraz motywowania pacjentów?
Pytanie 100
Metoda polegająca na cyfrowym obrazowaniu transiluminacji umożliwia: 1) ocenę ilościową stopnia demineralizacji tkanek w przebiegu próchnicy; 2) identyfikację obszarów ze złogami nazębnymi; 3) ocenę spadku transmisji wiązki światła przez obszar zmieniony próchnicowo; 4) ocenę jakościową poziomu polimeryzacji materiału złożonego; 5) identyfikację pęknięć szkliwa i szczelin złamania korony zęba; 6) ocenę poziomu wzbudzonej fluorescencji. Prawidłowa odpowiedź to:
Pytanie 101
Wskaż fałszywe stwierdzenie:
Pytanie 102
Do jakiej grupy 'ryzyka próchnicy' zaliczysz pacjenta, u którego stwierdza się zmiany próchnicowe, które nie są wypełnione oraz dodatkowe czynniki ryzyka takie jak hiposaliwacja i aparat ortodontyczny?
Pytanie 103
Wskaż prawdziwe stwierdzenia dotyczące miejscowego oddziaływania fluoru: 1) jeśli stężenie fluoru, w preparacie stosowanym miejscowo na szkliwo, jest niskie i ma on odczyn kwaśny, powstaje fluorohydroksyapatyt; 2) jeśli stężenie fluoru, w preparacie stosowanym miejscowo na szkliwo, jest niskie i ma on odczyn kwaśny, powstaje fluorek wapnia; 3) stężenie fluoru powyżej 0,03 ppm przyspiesza remineralizację; 4) zasadniczym mechanizmem kariostatycznego działania fluoru jest wpływ miejscowy; 5) zapobieganie próchnicy wymaga ciągłego dostarczania wysokich stężeń fluorków do środowiska jamy ustnej przez całe życie. Prawidłowa odpowiedź to:
Pytanie 104
Jaki rodzaj próchnicy występuje u osób ze znacznym zmniejszeniem wydzielania śliny, powstałym w następstwie napromieniowania okolicy gruczołów ślinowych lub jako efekt uboczny działania niektórych leków?
Pytanie 105
Które z wymienionych drobnoustrojów najwcześniej, bo już w pierwszych tygodniach życia, kolonizują jamę ustną dziecka? 1) S. mitis; 2) Veillonella spp.; 3) S. oralis; 4) S. sobrinus; 5) S. salivarius. Prawidłowa odpowiedź to:
Pytanie 106
Wskaż zdanie fałszywe dotyczące procesu apeksyfikacji:
Pytanie 107
Wskaż prawdziwe stwierdzenia dotyczące pourazowego złamania korzenia i metod leczenia: 1) złamania zlokalizowane w części środkowej i przywierzchołkowej korzenia rokują znacznie lepiej niż te w części przyszyjkowej; 2) elastyczne unieruchomienie stosuje się na okres 4 tygodni, a w przypad- ku dużej ruchomości fragmentu dokoronowego i złamania zlokalizowa- nego w rejonie przyszyjkowym nawet do 4 miesięcy; 3) w przypadku złamania korzenia zawsze rozpoczyna się leczenie kanałowe jeszcze przed zdjęciem szyny; 4) może występować przejściowe przebarwienie korony zęba (czerwone lub szare). Prawidłowa odpowiedź to:
Pytanie 108
Rekapitulacja kanału powinna być wykonana: 1) podczas każdej techniki opracowania kanału; 2) po każdej zmianie narzędzia na większe; 3) wyłącznie podczas techniki step-back; 4) wyłącznie podczas techniki step-back (crown-down); 5) wyłącznie podczas antykrzywiznowego opracowania kanału. Prawidłowa odpowiedź to:
Pytanie 109
Które z niżej wymienionych sytuacji klinicznych występujących podczas badania ognisk próchnicy w bruzdach powierzchni żującej mogą skutkować uzyskaniem fałszywie dodatnich wyników? 1) obecność złogów nazębnych podczas oceny twardych tkanek zęba za pomocą DIAGNOdentu; 2) wilgotna powierzchnia zęba przy stosowaniu DIAGNOdentu; 3) uczucie 'haczenia' zgłębnika w bruździe; 4) efekt pasma Macha ('mach band effect') na rtg ocenianych zębów; 5) obecność ciemnych plam w obrębie szkliwa po naświetleniu promieniowaniem lasera w metodzie QLF. Prawidłowa odpowiedź to:
Pytanie 110
Wybierz z niżej przedstawionych narzędzia ręczne służące do odszukiwania wąskich kanałów korzeniowych i ich negocjacji:
1) pilnik typu C- file;
2) pilnik typu C+ file;
3) pilnik typu K- file;
4) narzędzie PathFile;
5) narzędzie typu Gates-Glidden;
6) pilniki typu H;
7) narzędzie typu S-finder.
Prawidłowa odpowiedź to:
Pytanie 111
Wybierz spośród niżej przedstawionych określenia charakteryzujące fluorozę zębów:
1) białe zmętnienie występujące w homologicznych zębach;
2) ilościowy defekt szkliwa charakteryzujący się redukcją jego grubości;
3) wada jakościowa cechująca się zmianą przejrzystości szkliwa;
4) rozległe pola nieprzejrzystego szkliwa z towarzyszącymi posterupcyjnymi przebarwieniami lub ubytkami szkliwa;
5) systematyczne i chronologiczne zmiany ilościowe występujące w całym uzębieniu;
6) nieprawidłowe zabarwienie zębów, niezgodne z przyjętym wachlarzem barw i odcieni normalnego szkliwa.
Prawidłowa odpowiedź to:
Pytanie 112
Wskaż wśród niżej przedstawionych czynniki, które określają bezpośrednio stan higieny jamy ustnej:
1) liczba PUW;
2) nabyta błonka ślinowa;
3) płytka bakteryjna;
4) resztki pokarmowe;
5) kserostomia;
6) przebarwienia zębów.
Prawidłowa odpowiedź to:
Pytanie 113
Wskaż właściwy sposób postępowania lekarskiego w przypadku zasto- sowania preparatu Biodentine w zabiegu bezpośredniego przykrycia miazgi zęba:
Pytanie 114
Który z preparatów stosowanych w leczeniu próchnicy posiada właści- wości wiązania się z błonką zębową, płytką nazębną, bakteriami, hydroksyapa- tytem oraz otaczającymi tkankami zęba, stając się źródłem biodostępnych jonów wapnia i fosforanowych, przez co ułatwia remineralizację?
Pytanie 115
Wskaż prawdziwe stwierdzenia dotyczące chlorheksydyny:
1) działa na zasadzie zwiększania przepuszczalności błony komórkowej drobnoustrojów, zaburza równowagę osmotyczną i powoduje lizę komórki;
2) wykazuje duże powinowactwo i przyczepność do zębiny i hydroksyapatytu szkliwa;
3) jest bezpieczna dla tkanek okw;
4) w połączeniu z H2O2 wykazuje synergistycznie działanie przeciwbakteryjne;
5) substancja organiczna inaktywuje jej działanie.
Prawidłowa odpowiedź to:
Pytanie 116
Wskaż prawdziwe stwierdzenia dotyczące Ca(OH)2 stosowanego w leczeniu endodontycznym:
1) stymuluje tworzenie lub odbudowę cementu i kości wyrostka zębodołowego;
2) rozpuszcza resztki żywej i martwej miazgi;
3) ma właściwości higroskopijne;
4) jest mało cytotoksyczny;
5) nie przebarwia zębów.
Prawidłowa odpowiedź to:
Pytanie 117
Wskaż fałszywe stwierdzenia dotyczące diagnostyki próchnicy:
1) do wykrywania próchnicy najbardziej przydatne są zdjęcia wierzchołkowe wykonane techniką kąta prostego;
2) za pomocą badania radiologicznego można wykryć najwcześniejsze stadia próchnicy;
3) zdjęcie rtg nie pozwala na określenie rozległości wymiaru policzkowo-językowego zmiany próchnicowej;
4) zmiana demineralizacyjna widoczna na zdjęciu rtg w rzeczywistości jest większa;
5) pasmo Macha może być przyczyną fałszywie pozytywnego rozpoznania próchnicy.
Prawidłowa odpowiedź to:
Pytanie 118
Wskaż fałszywe stwierdzenie dotyczące stosowania chlorheksydyny w leczeniu endodontycznym:
Pytanie 119
Profilaktyka fluorkowa kontaktowa profesjonalna jest realizowana w gabinecie przez lekarza stomatologa/higienistkę jako uzupełnienie profilaktyki miejscowej domowej. Jakie grupy osób powinny być szczególnie objęte profilaktyką profesjonalną?
1) dzieci i młodzież z wysokim ryzykiem próchnicy;
2) osoby dorosłe z wysokim ryzykiem próchnicy;
3) niepełnosprawni;
4) osoby w dojrzałym wieku;
5) wszyscy bez względu na wiek.
Prawidłowa odpowiedź to:
Pytanie 120



