Wyszukaj egzamin lub pytanie
Egzamin PES Stomatologia zachowawcza z endodoncją / wiosna 2017
120 pytań
Pytanie 1
Na kontrolnym rentgenogramie zębów u 50-letniej pacjentki stomatolog stwierdził obecność przejaśnienia na powierzchni stycznej zęba 14 tuż poniżej połączenia szkliwno-cementowego w rejonie szyjki zęba. Wskaż, co może być powodem obserwowanej zmiany:
1) efekt pasma Moacha;
2) cień rentgenowski nazywany przejaśnieniem przyszyjkowym;
3) próchnica korzenia.
Prawidłowa odpowiedź to:
Pytanie 2
Które z niżej wymienionych sytuacji klinicznych występujących podczas badania ognisk próchnicy w bruzdach powierzchni żującej mogą skutkować uzyskaniem fałszywie dodatnich wyników?
1) obecność złogów nazębnych podczas oceny twardych tkanek zęba za pomocą DIAGNOdentu;
2) wilgotna powierzchnia zęba przy stosowaniu DIAGNOdentu;
3) uczucie „haczenia” zgłębnika w bruździe;
4) efekt pasma Macha („mach band effect”) na rtg ocenianych zębów;
5) obecność ciemnych plam w obrębie szkliwa po naświetleniu promieniowaniem lasera w metodzie QLF.
Prawidłowa odpowiedź to:
Pytanie 3
Do lekarza stomatologa zgłosił się 26-letni pacjent. W wywiadzie podaje przebyty uraz, w wyniku którego doszło do całkowitego zwichnięcia zęba 11. W momencie zgłoszenia się do lekarza ząb znajdował się w zębodole - został replantowany przez pacjenta, a od urazu nie minęło 60 minut. Której z niżej opisanych czynności nie należy wykonywać w wyżej opisanym przypadku?
Pytanie 4
Podczas polimeryzacji materiału kompozytowego w ubytku lekarz początkowo zastosował światło lampy polimeryzacyjnej o małej intensywności przez 10 sekund, a następnie przerwał emisję światła na okres ok. 3-5 min., po czym emitował światło o dużej intensywności. Wskaż jaką techniką pracował lekarz:
Pytanie 5
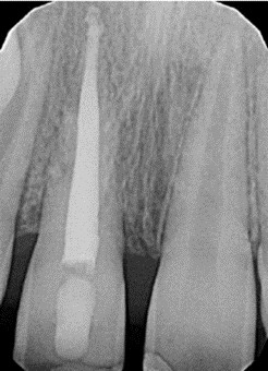
Na kontrolne badanie do lekarza stomatologa zgłosił się pacjent, który przed trzema laty przebył uraz siekacza górnego przyśrodkowego po stronie prawej. W wywiadzie pacjent nie podaje żadnych dolegliwości. W badaniu klinicznym lekarz stwierdza brak ruchomości zęba oraz metaliczny dźwięk na opukiwanie. Kontrolne zdjęcie rtg badanego zęba po leczeniu endodontycznym przedstawiono poniżej. Na podstawie zgromadzonych danych oraz rtg wskaż jakiego rodzaju urazu doznał pacjent:

Pytanie 6
Gojenie nietypowe w postaci resorpcji zastępczej powstaje, gdy uraz zęba spowodował uszkodzenie więcej niż 20%:
Pytanie 7
Jakie korzyści wynikają z polimeryzacji kompozytów techniką z „miękkim startem”?
1) spowalnia konwersję monomeru w polimer;
2) zapewnia ekspozycję całego materiału na światło lampy;
3) zapewnia lepsze „płynięcie” kompozytu w ubytku;
4) zmniejsza napięcie skurczowe;
5) warunkuje pełną polimeryzację kompozytu przy zakładaniu warstw o grubości większej niż 2 mm.
Prawidłowa odpowiedź to:
Pytanie 8
Wskaż fałszywe stwierdzenie dotyczące odbudowy warstwowej ubytków w zębach bocznych metodą dośrodkową:
Pytanie 9
Odbudowując warstwowo ubytek klasy II, lekarz zastosował technikę trzech miejsc. Wskaż prawdziwe stwierdzenie dotyczące sposobu polimeryzacji kompozytu w tej metodzie:
Pytanie 10
Które z poniższych zdjęć rentgenowskich przedstawiają perforację wierzchołkową?

Pytanie 11
Wybierz z niżej przedstawionych narzędzia ręczne służące do odszukiwania wąskich kanałów korzeniowych i ich negocjacji:
1) pilnik typu C- file;
2) pilnik typu C+ file;
3) pilnik typu K- file;
4) narzędzie PathFile;
5) narzędzie typu Gates-Glidden;
6) pilniki typu H;
7) narzędzie typu S-finder.
Prawidłowa odpowiedź to:
Pytanie 12
Spośród poniżej przedstawionych mechanizmów działania wskaż ten, który nie opisuje bezpośredniego działania probiotyków w jamie ustnej:
Pytanie 13
Wskaż prawdziwy opis postępowania terapeutycznego określanego jako biomechaniczne uszczelnianie szyjkowe:
Pytanie 14
Wybierz spośród niżej przedstawionych określenia charakteryzujące fluorozę zębów:
1) białe zmętnienie występujące w homologicznych zębach;
2) ilościowy defekt szkliwa charakteryzujący się redukcją jego grubości;
3) wada jakościowa cechująca się zmianą przejrzystości szkliwa;
4) rozległe pola nieprzejrzystego szkliwa z towarzyszącymi posterupcyjnymi przebarwieniami lub ubytkami szkliwa;
5) systematyczne i chronologiczne zmiany ilościowe występujące w całym uzębieniu;
6) nieprawidłowe zabarwienie zębów, niezgodne z przyjętym wachlarzem barw i odcieni normalnego szkliwa.
Prawidłowa odpowiedź to:
Pytanie 15
Który z preparatów stosowanych w leczeniu próchnicy posiada właściwości wiązania się z błonką zębową, płytką nazębną, bakteriami, hydroksyapatytem oraz otaczającymi tkankami zęba, stając się źródłem biodostępnych jonów wapnia i fosforanowych, przez co ułatwia remineralizację?
Pytanie 16
Podaj nazwę jednostki chorobowej, w której stwierdza się następujące objawy:
- minimalne rozchwianie zęba,
- niewielka bolesność zęba na opukiwanie,
- obecność zranienia i krwawienia w tkankach miękkich,
- różowe zabarwienie korony zęba,
- pozytywne testy wrażliwości miazgi,
- brak zmian w obrazie rtg.
Pytanie 17
Najbardziej charakterystycznym objawem ostrego surowiczego zapalenia tkanek okołowierzchołkowych zęba jest:
Pytanie 18
Wskaż wśród niżej przedstawionych czynniki, które określają bezpośrednio stan higieny jamy ustnej:
1) liczba PUW;
2) nabyta błonka ślinowa;
3) płytka bakteryjna;
4) resztki pokarmowe;
5) kserostomia;
6) przebarwienia zębów.
Prawidłowa odpowiedź to:
Pytanie 19
Wskaż, wśród niżej wymienionych, preparat zawierający najmniejsze stężenie jonów fluorkowych:
Pytanie 20
Wskaż właściwy sposób postępowania lekarskiego w przypadku zastosowania preparatu Biodentine w zabiegu bezpośredniego przykrycia miazgi zęba:
Pytanie 21
Wskaż prawdziwe stwierdzenia dotyczące chlorheksydyny:
1) działa na zasadzie zwiększania przepuszczalności błony komórkowej drobnoustrojów, zaburza równowagę osmotyczną i powoduje lizę komórki;
2) wykazuje duże powinowactwo i przyczepność do zębiny i hydroksyapatytu szkliwa;
3) jest bezpieczna dla tkanek okw;
4) w połączeniu z H2O2 wykazuje synergistycznie działanie przeciwbakteryjne;
5) substancja organiczna inaktywuje jej działanie.
Prawidłowa odpowiedź to:
Pytanie 22
Wskaż prawdziwe stwierdzenia dotyczące resorpcji:
1) „różowy ząb” jest objawem resorpcji wewnętrznej;
2) w resorpcji wewnętrznej miazga nie reaguje na bodźce;
3) do resorpcji zewnętrznej może dojść na skutek ucisku przez sąsiedni ząb;
4) jedną z częstszych przyczyn resorpcji zapalnej przyszyjkowej jest uszkodzenie powierzchni cementu korzeniowego;
5) główną przyczyną resorpcji zapalnej wierzchołkowej jest przewlekłe zapalenie miazgi.
Prawidłowa odpowiedź to:
Pytanie 23
Wskaż prawdziwe stwierdzenia dotyczące Ca(OH)2 stosowanego w leczeniu endodontycznym:
1) stymuluje tworzenie lub odbudowę cementu i kości wyrostka zębodołowego;
2) rozpuszcza resztki żywej i martwej miazgi;
3) ma właściwości higroskopijne;
4) jest mało cytotoksyczny;
5) nie przebarwia zębów.
Prawidłowa odpowiedź to:
Pytanie 24
Wskaż prawdziwe stwierdzenia dotyczące testu elektrycznego stosowanego w badaniu przedmiotowym:
1) dodatni wynik testu elektrycznego wskazuje, że włókna czuciowe są żywe i mają zdolność przewodzenia;
2) reakcję bólową chorej miazgi wywołaną najsłabszym bodźcem elektrycznym określa się jako próg pobudliwości;
3) badanie prądem elektrycznym może dostarczyć informacji na temat rodzaju toczącego się w miazdze zapalenia;
4) podczas badania miazgi testem elektrycznym jedną z przyczyn wyniku fałszywie negatywnego może być niedawno przeprowadzone leczenie ortodontyczne;
5) testu elektrycznego nie należy wykonywać w zębach niedojrzałych.
Prawidłowa odpowiedź to:
Pytanie 25
Zębina, która tworzy się w odpowiedzi na patologiczne bodźce zewnętrzne to zębina:
1) płaszczowa;
2) okołomiazgowa;
3) trzeciorzędowa;
4) sklerotyczna;
5) interglobularna.
Prawidłowa odpowiedź to:
Pytanie 26
Nieinwazyjne leczenie próchnicy w postaci kontroli płytki i stosowania preparatów fluorkowych jest możliwe podczas leczenia zębów ze zmianami zdiagnozowanymi jako:
1) próchnica początkowa;
2) próchnica powierzchowna;
3) stopień 2 próchnicy korzenia wg Billingsa;
4) Miejsce/Stadium 3.0.
Prawidłowa odpowiedź to:
Pytanie 27
Wskaż fałszywe stwierdzenia dotyczące warstwy demineralizacji ogniska próchnicowego w zębinie:
1) nie zawiera bakterii;
2) stanowi granicę, do której opracowuje się ognisko próchnicowe;
3) dochodzi w niej do zwiększenia grubości zębiny okołokanalikowej;
4) zębinę miedzykanalikową charakteryzuje mniejsza gęstość kryształów hydroksyapatytów;
5) oddziela warstwę penetracji bakterii od warstwy inwazji bakteryjnej i rozpadu zębiny.
Prawidłowa odpowiedź to:
Pytanie 28
Wskaż fałszywe stwierdzenia dotyczące diagnostyki próchnicy:
1) do wykrywania próchnicy najbardziej przydatne są zdjęcia wierzchołkowe wykonane techniką kąta prostego;
2) za pomocą badania radiologicznego można wykryć najwcześniejsze stadia próchnicy;
3) zdjęcie rtg nie pozwala na określenie rozległości wymiaru policzkowo-językowego zmiany próchnicowej;
4) zmiana demineralizacyjna widoczna na zdjęciu rtg w rzeczywistości jest większa;
5) pasmo Macha może być przyczyną fałszywie pozytywnego rozpoznania próchnicy.
Prawidłowa odpowiedź to:
Pytanie 29
Wskaż fałszywe stwierdzenia dotyczące preparatu Biodentine:
1) zawiera krzemian trójwapniowy, węglan wapnia i dwutlenek cyrkonu;
2) twardnieje w ciągu 20 minut;
3) jest substytutem zębiny;
4) powoduje tworzenie zębiny reparacyjnej;
5) nie ma właściwości antybakteryjnych.
Prawidłowa odpowiedź to:
Pytanie 30
Wskaż fałszywe stwierdzenia dotyczące próchnicy korzenia:
1) płytka bakteryjna tworzy się szybciej na powierzchni cementu niż na powierzchni szkliwa;
2) mikroflora powierzchni korzenia różni się od mikroflory powierzchni szkliwa;
3) ilość bakterii potrzebna do wywołania próchnicy korzenia jest mniejsza w porównaniu ze szkliwem;
4) Streptococcus mutans wywołuje wczesną zmianą demineralizacyjną cementu korzeniowego;
5) Lactobacillus acidophilus odpowiada za postęp próchnicy w postaci pogłębiania ubytku.
Prawidłowa odpowiedź to:
Pytanie 31
Wskaż fałszywe stwierdzenie dotyczące ksylitolu:
Pytanie 32
Wskaż prawdziwe stwierdzenia dotyczące stabilizacji próchnicy:
1) w celu stabilizacji próchnicy leczeniem z wyboru jest stosowanie raz w tygodniu preparatów zawierających kompleks kazeinianu fosfopeptydowego z amorficznym fosforanem wapnia;
2) jest to brak nowych zmian próchnicowych po dwuletniej obserwacji wyników leczenia;
3) stabilizacja próchnicy jest synonimem kariostazy.
Prawidłowa odpowiedź to:
Pytanie 33
Wskaż fałszywe stwierdzenie dotyczące retencji:
Pytanie 34
Ilościową metodą diagnostyczną próchnicy nie jest:
Pytanie 35
Wskaż prawdziwe stwierdzenia dotyczące mechanizmów działania fluoru:
1) jon F- , zastępując jon OH- w apatycie szkliwa, tworzy silne powiązanie z grupą NH organicznego zrębu szkliwa;
2) tworzenie się fluoroapatytów powoduje wzrost twardości szkliwa;
3) wapń we fluorku wapnia tworzącym się na powierzchni szkliwa po aplikacji kwaśnych preparatów fluorkowych o wysokim stężeniu (>100 ppm) pochodzi z rozpuszczonego apatytu szkliwa;
4) na rozpuszczalność szkliwa w kwasach istotnie wpływa zawartość fluorków w jego zewnętrznej warstwie grubości kilku mikronów;
5) stężenie fluoru w ślinie 0,03 - 0,1 ppm zwiększa remineralizację.
Prawidłowa odpowiedź to:
Pytanie 36
Wskaż prawdziwe stwierdzenia dotyczące próchnicy korzenia:
1) czynnikiem ryzyka rozwoju próchnicy korzenia jest posiadanie przez pacjenta mniej niż 9 naturalnych zębów;
2) czynnikiem ryzyka rozwoju próchnicy korzenia jest posiadanie przez pacjenta mniej niż 12 naturalnych zębów;
3) kod 1 według kryteriów ICDAS II dotyczy tylko zmian bez ubytku;
4) kolor zmiany próchnicowej nie decyduje o jej aktywności;
5) inwazja bakteryjna następuje we wcześniejszym stadium próchnicy korzenia niż próchnicy szkliwa.
Prawidłowa odpowiedź to:
Pytanie 37
Która zmiana, według kryteriów ICDAS II rozpoznawania pierwotnej próchnicy na wolnych powierzchniach gładkich policzkowych i językowych, jest wskazaniem do przeprowadzenia zabiegu infiltracji szkliwa?
Pytanie 38
Które więzadło ozębnej ma na celu utrzymanie kontaktów stycznych w uzębieniu?
Pytanie 39
Wskaż prawdziwe stwierdzenia dotyczące zmiany określanej jako: nieprzezierność próchnicowa widoczna tylko po przedłużonym osuszaniu na powierzchni policzkowej lub językowej korony zęba:
1) jest zmianą oznaczaną jako Si/Sta 3.1 według klasyfikacji zmian próchnicowych Lasfarguesa i wsp.;
2) jest oznaczana jako Kod 1 wg ICDAS II;
3) jest oznaczana jako Kod 2 wg ICDAS II;
4) może być leczona preparatem Recaldent;
5) nie jest wskazaniem do przeprowadzenia zabiegu remineralizacji.
Prawidłowa odpowiedź to:
Pytanie 40
Wskaż prawidłowy opis Kodu 1 według kryteriów ICDAS II rozpoznawania pierwotnej próchnicy korony w dołkach i bruzdach:
Pytanie 41
Wskaż prawdziwe stwierdzenia dotyczące preparacji szczelinowej (slot preparation, key hole preparation):
1) preparacji szczelinowej nie można wykonać z dostępu od powierzchni stycznej zęba;
2) można ją wykonać z dostępu od powierzchni policzkowej zęba;
3) jest przydatna w zębach stłoczonych językowo;
4) nie ma zastosowania w zębach przechylonych mezjalnie lub dystalnie;
5) przed wyborem takiego opracowania ubytku należy dokładnie ocenić wytrzymałość krawędzi brzeżnej;
6) ubytek jest szczególnie narażony na działanie sił żucia, dlatego też nie można pozostawiać niepodpartego szkliwa, nawet gdy rejon połączenia szkliwno-zębinowego jest wolny od próchnicy.
Prawidłowa odpowiedź to:
Pytanie 42
Wskaż prawdziwe stwierdzenia dotyczące przebarwień tkanek zęba występujących wokół wypełnień:
1) każde przebarwienie tkanek zęba wokół wypełnienia lub przebarwienie brzegów wypełnienia jest objawem próchnicy wtórnej i bezwzględnym wskazaniem do wymiany wypełnienia;
2) przebarwienie występujące wokół wypełnień z materiałów złożonych zawsze świadczy o mikroprzecieku i rozwijającej się próchnicy wtórnej wewnętrznej;
3) występujące wokół wypełnień amalgamatowych szaroniebieskie zabarwienie tkanek zęba może być następstwem wniknięcia produktów korozji amalgamatu w kanaliki zębinowe;
4) występujące wokół wypełnień amalgamatowych szaroniebieskie zabarwienie tkanek zęba może być następstwem odbicia światła od wypełnienia;
5) szaroniebieskie zabarwienie tkanek zęba wokół wypełnienia amalgamatowego i występująca szczelina wokół wypełnienia, zawsze świadczy o rozwijającej się próchnicy wtórnej.
Prawidłowa odpowiedź to:
Pytanie 43
Wskaż prawdziwe stwierdzenia dotyczące wskaźnika leczenia uzębienia WHO (dental treatment index):
1) wartość 0 wskazuje, że żaden z zębów z próchnicą nie został wypełniony;
2) wartość 0 wskazuje, że wszystkie zęby z próchnicą i ubytkami niepróchnicowego pochodzenia zostały wypełnione;
3) wartość 1 wskazuje na obecność zębów z niewyleczonymi ubytkami próchnicowymi;
4) wartość 1 wskazuje, że wszystkie zęby, które uległy próchnicy, zostały wyleczone;
5) wartości wskaźnika zawarte pomiędzy 0 a 1 są wyrazem różnej intensywności leczenia uzębienia w odniesieniu do próchnicy i ubytków niepróchnicowego pochodzenia.
Prawidłowa odpowiedź to:
Pytanie 44
O czym świadczy wynosząca 20% wartość zmodyfikowanego wskaźnika API?
Pytanie 45
Wskaż prawdziwe stwierdzenia dotyczące zmian wielkości korzeni związanych z ich wydłużeniem (rhizomegalia) lub skróceniem (rhizomicria):
1) wydłużenie korzenia dotyczy najczęściej zębów siecznych przyśrodkowych i kłów, a także zębów przedtrzonowych i trzonowych w żuchwie;
2) wydłużenie korzeni występuje częściej u kobiet;
3) skrócenie długości korzeni w postaci uogólnionej może występować dziedzicznie lub może powstać w następstwie osteoporozy bądź dysplazji zębiny typu I;
4) skrócenie długości korzeni nie występuje w postaci uogólnionej;
5) czynnik miejscowy (np. napromieniowanie) działający w okresie rozwoju korzenia może być przyczyną skrócenia korzenia jednego lub kilku zębów.
Prawidłowa odpowiedź to:
Pytanie 46
Wskaż fałszywe stwierdzenie dotyczące materiałów do wypełnień:
Pytanie 47
Wskaż prawdziwe stwierdzenia dotyczące ultradźwiękowego opracowania kanału korzeniowego:
1) oczyszczanie kanału odbywa się głównie dzięki wytwarzaniu wirów dźwiękowych;
2) w czasie opracowywania ultradźwiękowego kanału dochodzi do obniżenia temperatury w kanale, co zapobiega rozwojowi bakterii;
3) metody ultradźwiękowe zaleca się uzupełniać opracowaniem kanału pilnikami ręcznymi np. typu Hedstroema;
4) powstające wiry akustyczne usuwają resztki miazgi oraz opiłki zębiny w kierunku wierzchołka kanału, dlatego po ultradźwiękowym opracowaniu kanału należy przeprowadzić jego rekapitulację narzędziem ręcznym lub ultradźwiękowym;
5) ultradźwiękowe opracowanie kanału nie wymaga określenia długości roboczej;
6) podczas ultradźwiękowego opracowania kanału może dojść do powstania nisz, kolanek i przewężeń w kanale.
Prawidłowa odpowiedź to:
Pytanie 48
Wskaż fałszywe stwierdzenie dotyczące stosowania chlorheksydyny w leczeniu endodontycznym:
Pytanie 49
Do fizykalnych metod odkażania kanałów korzeniowych należy dezynfekcja aktywowana światłem (photo-activated disinfection - PAD). Wskaż prawdziwe stwierdzenia dotyczące tej metody:
1) jako źródło światła wykorzystuje się wysokoenergetyczne lasery lub diody LED;
2) jako źródło światła wykorzystuje się niskoenergetyczne lasery;
3) w wyniku wzbudzenia fotouczulacza światłem, dochodzi głównie do powstania ozonu;
4) sensybilizatorem przepłukuje się kanały korzeniowe, aby oznakować znajdujące się w nich bakterie;
5) w tej metodzie nie dochodzi do wytworzenia przez drobnoustroje oporności;
6) wadą metody jest możliwość uszkodzenia okolicznych tkanek.
Prawidłowa odpowiedź to:
Pytanie 50
U 30-letniej ogólnie zdrowej pacjentki lekarz zdiagnozował zapalenie odwracalne miazgi w zębie 46. Podczas opracowywania w znieczuleniu ubytku próchnicowego, doszło do przypadkowego obnażenia i zranienia miazgi. Znieczulenie zawierało środki obkurczające naczynia. Wskaż prawdziwe stwierdzenia dotyczące opisanego przypadku:
1) obnażona miazga nie jest wrażliwa na dotyk;
2) w momencie obnażenia pojawił się intensywny ból przemijający w ciągu kilku sekund;
3) miejsce obnażenia ma kolor białoróżowy;
4) krwawienie jest niewielkie;
5) miejsce obnażenia ma kolor intensywnie czerwony;
6) krew o zabarwieniu ciemnoczerwonym wypływa obficie i długo.
Prawidłowa odpowiedź to:
Pytanie 51
Wskaż charakterystyczny rodzaj próchnicy występujący u osób starszych oraz lokalizację ubytku:
Pytanie 52
W której z niżej wymienionych metod szczotkowania zębów, dopuszczalne jest stosowanie szczoteczki z twardym włosiem?
Pytanie 53
Na jak długo można wprowadzać do kanału korzeniowego, po jego mechanicznym opracowaniu, roztwory usuwające warstwę mazistą, takie jak: kwas cytrynowy i EDTA?
Pytanie 54
W jakich sytuacjach klinicznych znajdują zastosowanie kompozyty półpłynne?
1) wypełnianie ubytków klasy II;
2) uszczelnienie rowka wokół wypełnienia amalgamatowego;
3) naprawa wypełnienia kompozytowego;
4) wypełnianie ubytków abfrakcyjnych;
5) wypełnianie ubytków klasy IV.
Prawidłowa odpowiedź to:
Pytanie 55
Który z wymienionych preparatów lub środków leczniczych znosi nadwrażliwość zębiny poprzez przerwanie odpowiedzi nerwowej na bodziec bólowy?
Pytanie 56
Aparat Diagnodent Pen w odróżnieniu od Diagnodentu służy do wykrywania:
Pytanie 57
Wskaż mechanizmy, które mogą być przyczyną przebarwień tetracyklinowych tkanek zęba:
1) łączenie tetracyklin z wapniem z hydroksyapatytów zębiny na drodze chelacji;
2) zaburzenia odontogenezy polegające na rozpadzie bilirubiny;
3) łączenie tetracyklin z wapniem z cementu korzeniowego;
4) powstanie wynaczynień w miazdze zębów;
5) wiązanie pochodnej tetracyklin z białkowym zrębem zębiny i cementu.
Prawidłowa odpowiedź to:
Pytanie 58
Jaka jest kolejność użycia roztworów płuczących w przypadku leczenia endodontycznego kanałów zainfekowanych?
1) podchloryn sodu;
2) EDTA;
3) chlorheksydyna.
Prawidłowa odpowiedź to:
Pytanie 59
W której z wymienionych warstw wczesnej zmiany próchnicowej w szkliwie w obrazie mikroskopowym występują kanały dyfuzyjne?
Pytanie 60
Który spośród niżej wymienionych napojów wykazuje najbardziej niszczące działanie na szkliwo i może być przyczyną powstawania erozji?
Pytanie 61
Które z wymienionych materiałów służących do ostatecznej odbudowy ubytków zębowych opracowuje się ostatecznie na kolejnej, drugiej wizycie?
Pytanie 62
Estetyczne rekonstrukcje zębów przednich wykonywane z powodu obecności próchnicy, ubytków niepróchnicowego pochodzenia, nieprawidłowości rozwojowych i przebarwień powinny spełniać kryteria biologiczne, przestrzenne, optyczne i integracyjne. Ważną więc procedurą jest właściwy dobór barwy użytego materiału kompozytowego. Dobór koloru wypełnienia rozpoczyna się od określenia barwy zębiny. W jakim miejscu korony zęba przedniego uzyska się optymalny kolor zębiny?
Pytanie 63
Obecnie, ze względu na dużą precyzję, wieloletnią trwałość i oszczędność czasu, zaleca się wykonywać pośrednie odbudowy zębów materiałami ceramicznymi i kompozytowymi przy użyciu techniki CAD/CAM. Umożliwia ona wykonanie estetycznej i trwałej odbudowy ubytku zęba w gabinecie stomatologicznym na jednej wizycie. Jakie podstawowe elementy wchodzą w skład systemu gabinetowego CAD/CAM Cerec(Sirona)?
1) konsola projektowa;
2) masa wyciskowa;
3) kamera(skaner);
4) frezarka cyfrowa;
5) frezarka ręczna.
Prawidłowa odpowiedź to:
Pytanie 64
Wyróżnia się klika metod bezpośredniej odbudowy warstwowej materiałem kompozytowym światłoutwardzalnym ubytków w zębach stałych bocznych. Jedną z nich opracowano specjalnie do odbudowy ubytków klasy II, aby umożliwić zmianę ubytku klasy II na klasę I. Jest nią metoda:
1) techniki trzech miejsc;
2) warstw skośnych w kształcie klina;
3) dośrodkowej odbudowy;
4) warstw pionowych policzkowo-językowych;
5) warstw poziomych dziąsłowo-okluzyjnych.
Prawidłowa odpowiedź to:
Pytanie 65
Bardzo skuteczną metodą miejscowej profilaktyki przeciwpróchnicowej jest codzienne płukanie jamy ustnej roztworem fluorku sodu po wieczornym oczyszczeniu zębów. Zaleca się je pacjentom powyżej 6. roku życia z wysokim ryzykiem próchnicy oraz noszącym aparaty ortodontyczne, z nadwrażliwością szyjek zębowych, po radioterapii i z suchością jamy ustnej. Jaka jest optymalna procentowa zawartość fluoru w powyższej płukance?
Pytanie 66
Obecnie dostępne są kompozyty o różnej gęstości stosowane do wypełniania zębów wszystkich klas ubytków próchnicowych i niepróchnicowego pochodzenia. Pewnym ograniczeniem jest jednak występowanie skurczu polimeryzacyjnego po związaniu materiału kompozytowego. Które stwierdzenie dotyczące tego zjawiska jest fałszywe?
Pytanie 67
Niektóre składniki pożywienia wywierają hamujący wpływ na procesy próchnicotwórcze bakterii S. mutans, występujących w ślinie i płytce bakteryjnej jamy ustnej. Mogą zatem kontrolować przebieg próchnicy w jamie ustnej. Są nimi:
1) cukry wewnętrzne;
2) ksylitol;
3) polifenole;
4) kazeina;
5) laktoza.
Prawidłowa odpowiedź to:
Pytanie 68
Profilaktyka fluorkowa kontaktowa profesjonalna jest realizowana w gabinecie przez lekarza stomatologa/higienistkę jako uzupełnienie profilaktyki miejscowej domowej. Jakie grupy osób powinny być szczególnie objęte profilaktyką profesjonalną?
1) dzieci i młodzież z wysokim ryzykiem próchnicy;
2) osoby dorosłe z wysokim ryzykiem próchnicy;
3) niepełnosprawni;
4) osoby w dojrzałym wieku;
5) wszyscy bez względu na wiek.
Prawidłowa odpowiedź to:
Pytanie 69
Która z wymienionych metod szczotkowania zębów jest metodą wibracyjną, polecaną szczególnie dla osób ze zmianami chorobowymi w przyzębiu?
1) metoda roll;
2) metoda Chartersa;
3) metoda Stillmana;
4) okrężna Fonesa;
5) fizjologiczna Smitha.
Prawidłowa odpowiedź to:
Pytanie 70
Dla młodzieży i osób dorosłych dobiera się odpowiednią metodę szczotkowania zębów w zależności od stanu przyzębia. Która ze wskazanych metod będzie najbardziej skuteczna w tej grupie ze zdrowym przyzębiem?
Pytanie 71
Wskaż prawdziwe stwierdzenia dotyczące interakcji środków stosowanych do płukania kanałów korzeniowych:
1) woda utleniona zwiększa zdolność podchlorynu sodu do rozpuszczania tkanek;
2) 17% roztwór wersenianu sodu pozostawiony w kanale korzeniowym może doprowadzić do erozji i degradacji zębiny oraz osłabienia jej właściwości mechanicznych;
3) kwas cytrynowy zwiększa zdolności antybakteryjne podchlorynu sodu;
4) podchloryn sodu powoduje utlenianie wersenianu sodu i prowadzi do jego dezaktywacji;
5) chlorheksydyna wchodzi w reakcję z podchlorynem sodu tworząc osad zawierający parachloroanilinę.
Prawidłowa odpowiedź to:
Pytanie 72
Pacjent lat 33 doznał urazu twarzoczaszki, w wyniku którego doszło do zwichnięcia zęba 11 z wtłoczeniem do zębodołu. Leczenie tego uszkodzenia będzie polegało na:
Pytanie 73
Wskaż rodzaj nieprawidłowości zębów, której opis został podany niżej: ”jest to anomalia kształtu korzeni, dziedziczona jako cecha dominująca. Powstaje na skutek poziomego wgłobienia nabłonkowej przegrody pochewki Hertwiga. Ząb cechuje się wydłużeniem korony i przesunięciem rozwidlenia korzeni w kierunku wierzchołkowym oraz brakiem przyszyjkowego zwężenia korony”.
Pytanie 74
Wskaż prawdziwe stwierdzenia dotyczące metody wypełniania kanałów korzeniowych płynną gutaperką na zimno:
1) w metodzie tej używa się materiału, który jest mieszaniną sproszkowanej gutaperki i uszczelniacza szkło-jonomerowego;
2) przed wypełnieniem kanał należy przepłukać 70% roztworem alkoholu izopropylowego, aby nie doszło do zaburzenia wiązania materiału;
3) do aplikacji materiału używa się aplikatora, którego rozmiar odpowiada narzędziu 30 wg ISO;
4) aplikator należy wprowadzić do kanału na długość 1-2 mm krótszą od długości roboczej;
5) metoda nie wymaga użycia rozpychaczy.
Prawidłowa odpowiedź to:
Pytanie 75
Pacjent lat 23 zgłosił się do stomatologa z powodu silnego bólu zęba 36 pojawiającego się pod wpływem zimna, natychmiast ustającego po zaprzestaniu działania bodźca. W zębie stwierdza się ubytek klasy II, który po opracowaniu jest klasyfikowany jako stadium D4 wg WHO. Test elektryczny w porównaniu z zębem kontrolnym wskazuje prawidłową reakcję miazgi na bodźce. Reakcja tkanek okołowierzchołkowych na opukiwanie pionowe jest ujemna. Najbardziej prawdopodobnym rozpoznaniem jest:
Pytanie 76
Abscessus subperiostalis powstający w przebiegu pierwotnie ostrego zapalenia tkanek okołowierzchołkowych charakteryzuje się następującymi cechami:
1) bólem samoistnym o dużym, prawie niezmiennym natężeniu;
2) objawem chełbotania;
3) obecnością powiększonych, bolesnych i miękkich węzłów chłonnych, nieprzesuwalnych względem podłoża;
4) objawami ogólnymi w postaci wzrostu temperatury ciała, złego samopoczucia;
5) widocznym na rentgenogramie przerwaniem ciągłości blaszki zbitej zębodołu i ogniskiem przejaśnienia wyraźnie odgraniczonym od otaczającej kości.
Prawidłowa odpowiedź to:
Pytanie 77
Wskaż czynniki średniego ryzyka wg CAMBRA u osób dorosłych:
1) wizualnie dostrzegalne znaczne złogi płytki na zębach;
2) użytkowanie aparatu ortodontycznego;
3) wydzielanie śliny stymulowanej > 1 ml/minutę;
4) wizualnie stwierdzane ubytki sięgające zębiny;
5) częste przekąski między posiłkami (> 3x dziennie);
6) biała plama na powierzchniach gładkich.
Prawidłowa odpowiedź to:
Pytanie 78
Wskaż prawdziwe stwierdzenia dotyczące próchnicy cementu korzeniowego:
1) frekwencja próchnicy cementu korzeniowego zwiększa się z wiekiem;
2) krytyczne pH cementu korzeniowego wynosi 6,7;
3) próchnica cementu korzeniowego charakteryzuje się powstawaniem ubytków o małym zasięgu i dużej głębokości;
4) wczesna zmiana próchnicowa cementu jest mniej wrażliwa na uszkodzenia mechaniczne niż wczesna zmiana szkliwa;
5) w nieinwazyjnym leczeniu wczesnych stadiów próchnicy rozważa się wykorzystywanie związków proantocyjanidyny.
Prawidłowa odpowiedź to:
Pytanie 79
Wskaż prawdziwe stwierdzenia dotyczące antybakteryjnego działania śliny:
1) lizozym zaliczany jest do immunologicznych czynników antybakteryjnych śliny;
2) antybakteryjne działanie lizozymu jest oparte na aktywności katalazy, która utlenia toksyny bakteryjne;
3) laktoferyna działa bakteriostatycznie na bakterie wykorzystujące żelazo w cyklu metabolicznym;
4) cystatyny hamują enzymy proteolityczne pochodzenia bakteryjnego;
5) mucyny aglutynują bakterie próchnicotwórcze.
Prawidłowa odpowiedź to:
Pytanie 80
Wskaż prawdziwe stwierdzenia dotyczące amalgamatu:
1) kształt cząstek stopu wpływa na właściwości amalgamatu;
2) korozja chemiczna amalgamatu, której następstwem jest matowienie, wpływa na parametry mechaniczne wypełnienia;
3) współczynnik ekspansji termicznej amalgamatu jest trzykrotnie większy niż współczynnik zębiny;
4) amalgamaty sferyczne wymagają większej siły kondensacji niż amalgamaty zawierające cząstki nieregularne;
5) w amalgamatach wysokomiedziowych nie powstaje faza cynowo-rtęciowa.
Prawidłowa odpowiedź to:
Pytanie 81
Które z wymienionych technik polimeryzacji materiałów kompozytowych zapewniają tzw. „miękki start”?
1) stopniowa (ang. stepped technique);
2) narastająca (ang. ramped technique);
3) opóźnionej pulsacji (ang. pulse-delay technique);
4) ciągła (ang. continuous technique).
Prawidłowa odpowiedź to:
Pytanie 82
Wskaż fałszywe stwierdzenie dotyczące właściwości konwencjonalnych cementów glass-jonomerowych:
Pytanie 83
Które z podanych sytuacji klinicznych mogą przyczynić się do rozwoju resorpcji przyszyjkowej korzenia?
Pytanie 84
Na jaką głębokość powinna być wprowadzana igła do kanału korzeniowego w celu skutecznego wypłukania?
Pytanie 85
Do gabinetu stomatologicznego zgłosił się 20-letni pacjent. Na podstawie badania klinicznego i radiologicznego postawiono następujące rozpoznanie: ząb 24, próchnica (Si/Sta 2.1) wg Lasfarguesa i wsp. Która z wymienionych metod powinna być wykorzystana?
Pytanie 86
Preparat Biodentine ma postać:
Pytanie 87
U 25-letniego pacjenta kliniczne badanie kontrolne po 12 miesiącach wykazało obecność dwóch nowych ubytków próchnicowych na powierzchniach okluzyjnych zębów 27 i 37. Wskaźnik API wyniósł 85%. Wykonano zdjęcie skrzydłowo-zgryzowe. W zębie 36, na powierzchni mezjalnej zaobserwowano zmianę demineralizacyjną nieznacznie przekraczającą granicę szkliwno-zębinową. Jakie działania należy podjąć u tego pacjenta pacjentki?
Pytanie 88
Jaki jest optymalny stosunek jonów wapnia, jonów fosforanowych i jonów fluorkowych w preparatach do remineralizacji tkanek twardych zębów?
Pytanie 89
Które generacje systemów łączących należą do grupy samotrawiących (self-etch systems)?
Pytanie 90
Zapaleniu zatok szczękowych często towarzyszą objawy, które sprowadzają pacjentów do gabinetu stomatologicznego. Które z podanych stwierdzeń jest fałszywe?
Pytanie 91
Wskaż prawdziwe stwierdzenia dotyczące przewlekłego włóknistego zapalenia tkanek okołowierzchołkowych:
1) w piśmiennictwie jest również nazywane jako zapalne zgrubienie ozębnej;
2) zapalenie włókniste jest najłagodniejszą postacią przewlekłą zapalenia toczącego się w zębach z żywą, chorą lub usuniętą miazgą;
3) poszerzenie szpary ozębnowej (w ww. zapaleniu) może być spowodowane przewlekłymi urazami mechanicznymi;
4) pacjent zgłasza objawy subiektywne w postaci wysadzania zęba z zębodołu, bólu przy nagryzaniu i uczucie „wydłużenie zęba”;
5) jedyną metodą leczenia jest leczenie kanałowe bez względu na to, czy miazga jest żywa czy martwa.
Prawidłowa odpowiedź to:
Pytanie 92
Wskazaniem do przykrycia bezpośredniego są:
1) pulpopatie odwracalne bezobjawowe o etiologii próchnicowej z przypadkowym obnażeniem miazgi, nie większym niż 1 mm2, które powstało w trakcie formowania ubytku;
2) złamanie korony klasy III wg Ellisa nie większe niż 1 mm2, jeśli pacjent zgłosi się do dentysty nie później niż 24 godz. po urazie;
3) pulpopatie odwracalne bezobjawowe z próchnicowym obnażeniem miazgi;
4) pourazowe obnażenie miazgi większe niż 1 mm2 oraz po upływie okresu dłuższego niż 24 godz. po urazie;
5) stwierdzone po przypadkowym obnażeniu miazgi zbyt skąpe lub przedłużające się krwawienie z komory o ciemnoczerwonym zabarwieniu.
Prawidłowa odpowiedź to:
Pytanie 93
Wskaż prawdziwe stwierdzenia dotyczące znieczulenia śródkostnego:
1) jest to rodzaj znieczulenia dodatkowego;
2) polega na bezpośrednim podaniu środka do kości gąbczastej;
3) ilość środka znieczulającego potrzebna do znieczulenia dwóch sąsiednich zębów wynosi ok. 0,5 ml;
4) znieczulenie pojawia się po ok. 3-5 minutach;
5) znieczulenie trwa około 30 minut.
Prawidłowa odpowiedź to:
Pytanie 94
Składnikami śliny wpływającymi na proces remineralizacji są:
1) jony wapnia;
2) jony fosforanowe;
3) stateryna;
4) białka anionowe bogate w prolinę.
Prawidłowa odpowiedź to:
Pytanie 95
Wskaż prawdziwe stwierdzenia dotyczące odkażania kanałów korzeniowych z wykorzystaniem światła lasera PAD:
1) technologia PAD oparta jest na 2 komponentach: wodnego roztworu chlorku toluenu oraz lasera diodowego niskiej mocy;
2) barwnik chlorku toluenu nie jest biozgodny tkankowo;
3) barwnik chlorku toluenu może przebarwiać tkanki zęba na zielono;
4) proces leczenia polega na doprowadzeniu światła przez specjalnie zaprojektowaną końcówkę;
5) roztwór toluenu aktywowany światłem lasera uwalnia rodniki tlenowe niszczące błonę komórkową bakterii.
Prawidłowa odpowiedź to:
Pytanie 96
W systemie standaryzacji i identyfikacji narzędzi stosowanych w leczeniu kanałowym symbol „L3” oznacza:
Pytanie 97
Wskaż prawdziwe stwierdzenia dotyczące wybielania zębów metodą termokatalityczną:
1) zabieg można wykonać podczas jednej wizyty;
2) podczas zabiegu stosuje się 3% roztwór H2O2;
3) źródło światła należy skierować na ząb i naświetlać jednorazowo ok 30 min.;
4) niedostateczny efekt wybielania upoważnia do wykonania np. licówek, ponieważ nie można powtarzać tego rodzaju zabiegu wybielania;
5) zabieg należy wykonać w osłonie koferdamu, a wargi i tkanki miękkie pod koferdamem należy przykryć gazikiem zwilżonym wodą.
Prawidłowa odpowiedź to:
Pytanie 98
Wskaż prawdziwe stwierdzenia dotyczące chlorowodorku artykainy stosowanego do znieczuleń miejscowych w stomatologii:
1) związek ten ma długi okres półtrwania w osoczu (2-3 godz.);
2) znieczulenie następuje w przypadku znieczulenia nasiękowego zębów szczęki po upływie 1,5-2 minut;
3) klinicznie artykainę stosuje się jako 4% roztwór z dodatkiem 1:100 000 lub 1:200 000 adrenaliny;
4) długość trwania znieczulenia tkanek miękkich to około 4 godziny po znieczuleniu nasiękowym;
5) artykaina jest metabolizowana przede wszystkim w wątrobie (90%-95%) i jedynie 5%-10% we krwi.
Prawidłowa odpowiedź to:
Pytanie 99
Wskaż prawdziwe stwierdzenia dotyczące zastosowania LDF w diagnostyce chorób miazgi:
1) zastosowanie LDF jest badaniem inwazyjnym;
2) zastosowanie LDF pozwala na stwierdzenie braku lub obecności krążenie krwi w miazdze;
3) źródłem promieniowania w LDF jest laser gazowy helowo-neonowy (He-Ne);
4) wynik badania uzyskuje się w formie wykresu;
5) metoda ta nie może być stosowana w pourazowych stanach zębów.
Prawidłowa odpowiedź to:
Pytanie 100
Wskaż prawdziwe stwierdzenia dotyczące anatomii kła szczęki:
1) kieł szczęki jest najdłuższym zębem człowieka;
2) komora tego zęba na wysokości przejścia w kanał korzeniowy ma kształt zbliżony do wielościanu foremnego o trójkątnej podstawie;
3) przekrój poprzeczny kanału jest owalny prawie na całej długości korzenia a owal jest wydłużony w kierunku bliższo-dalszym;
4) kanał korzeniowy w około 40% przypadków ma prosty przebieg, a w przypadku jego zakrzywienia, część wierzchołkowa kanału najczęściej zakrzywia się w kierunku dystalnym;
5) zarys dostępu do jamy zęba ma kształt elipsy, u osób starszych jest większy i bardziej wydłużony w kierunku brzegu siecznego niż w zębach osób młodszych.
Prawidłowa odpowiedź to:
Pytanie 101
Wskaż prawdziwe stwierdzenia dotyczące osób w wieku starszym:
1) stwierdza się wzrost występowania nadwrażliwości zębiny z powodu większej częstości występowania recesji dziąsła;
2) nie zaleca się leczenia metodą przykrycia pośredniego;
3) występuje zmniejszenie reaktywności miazgi na bodziec termiczny;
4) charakterystyczne jest występowanie przewlekłych zapaleń miazgi, najczęściej bezobjawowych;
5) częstsze jest występowanie zębiniaków.
Prawidłowa odpowiedź to:
Pytanie 102
Kariogenność sacharozy wynika z:
1) dostarczania energii w wyniku jej rozkładu na glukozę i fruktozę;
2) metabolizowania uwolnionej glukozy do kwasów w następstwie glikolizy bakteryjnej;
3) dostarczania bakteriom substratu do produkcji zewnątrzkomórkowych i wewnątrzkomórkowych polisacharydów;
4) częstego jej spożywania.
Prawidłowa odpowiedź to:
Pytanie 103
Wskaż prawdziwe stwierdzenia dotyczące metody stopniowego wybielania zębów:
1) stosowana jest do wybielania zębów leczonych kanałowo;
2) stosowana jest do powolnego i trwałego wybielania zębów z żywą i martwą miazgą;
3) wymaga izolacji wypełnienia kanału cementem szkło-jonomerowym przed aplikacją środka wybielającego;
4) może być przyczyną powstania resorpcji przyszyjkowej;
5) zaleca się użycie 30% nadtlenku wodoru, gdyż zabieg wykonywany jest przez stomatologa i zapewnia szybki i trwały efekt.
Prawidłowa odpowiedź to:
Pytanie 104
Które ze stwierdzeń dotyczących infiltracji próchnicy są prawdziwe?
1) ma zastosowanie w leczeniu płytkich ubytków w szkliwie;
2) stosowana jest w zmianach próchnicowych bez ubytku tkanek sięgających do połączenia szkliwno-zębinowego;
3) stosowana jest w zmianach próchnicowych bez ubytku tkanek sięgających do 1/3 zewnętrznej warstwy zębiny;
4) przed aplikacją żywicy infiltrującej usuwa się warstwę powierzchniową początkowej zmiany próchnicowej za pomocą 15% kwasu chlorowodorowego;
5) przed aplikacją żywicy infiltrującej usuwa się warstwę powierzchniową początkowej zmiany próchnicowej za pomocą 37% kwasu fosforowego.
Prawidłowa odpowiedź to:
Pytanie 105
Wskaż prawdziwe stwierdzenia dotyczące resorpcji typu A:
1) jest resorpcją zewnętrzną;
2) jest resorpcją wewnętrzną;
3) zlokalizowana jest w koronie;
4) zlokalizowana jest w korzeniu;
5) jest przyszyjkową resorpcją perforującą.
Prawidłowa odpowiedź to:
Pytanie 106
Pasmo Macha jest:
1) optyczną iluzją dającą wrażenie wzrostu przepuszczalności promieniowania przy połączeniu tkanek o różnej gęstości;
2) optyczną iluzją dającą wrażenie zmniejszenia przepuszczalności promieniowania przy połączeniu tkanek o różnej gęstości;
3) występuje w zębinie przy jej połączeniu ze szkliwem;
4) występuje w zębinie w pobliżu miazgi;
5) występuje w szkliwie.
Prawidłowa odpowiedź to:
Pytanie 107
Bakterie bytujące w kanale korzeniowym występują w:
Pytanie 108
Które stwierdzenie dotyczące fluorku wapnia jest fałszywe?
Pytanie 109
Wskaż prawdziwe stwierdzenia dotyczące kształtu zmiany próchnicowej w szkliwie i zębinie na powierzchni żującej:
1) w szkliwie ma formę stożka skierowanego podstawą do powierzchni żującej;
2) w szkliwie ma formę stożka skierowanego szczytem do powierzchni żującej;
3) w zębinie ma formę stożka skierowanego szczytem do połączenia szkliwno-zębinowego;
4) w zębinie ma formę stożka skierowanego podstawą do połączenia szkliwno-zębinowego;
5) w szkliwie ma formę stożka skierowanego podstawą do powierzchni żującej, a w zębinie formę stożka skierowanego szczytem do połączenia szkliwno-cementowego.
Prawidłowa odpowiedź to:
Pytanie 110
Wskaż fałszywe stwierdzenie dotyczące błonki nabytej (pellicle):
Pytanie 111
Wskaż fałszywe stwierdzenia dotyczące poszukiwaczy kanałów typu C-file, S-finder:
Pytanie 112
Klinowy ubytek o ostrych brzegach zlokalizowany na granicy połączenia szkliwno-cementowego zęba powstający w wyniku ekscentrycznie działających sił okluzyjnych to:
Pytanie 113
Wskaż prawdziwe stwierdzenia dotyczące wypełnienia ostatecznego kanału korzeniowego:
1) przepchnięcie materiału poza otwór wierzchołkowy, skutkujące podrażnieniem tkanek okołowierzchołkowych, leczy się wyłączeniem zęba ze zgryzu i zaleceniem pacjentowi płynnej diety;
2) przepchnięcie materiału poza otwór wierzchołkowy, skutkujące podrażnieniem tkanek okołowierzchołkowych, leczy się lekami przeciwbólowymi i przeciwzapalnymi;
3) każde wypełnienie kanałowe należy skontrolować radiologicznie bezpośrednio po zakończeniu leczenia, a tylko w przypadku przepchnięcie materiału poza otwór wierzchołkowy należy dokonać kolejnej kontroli radiologicznej po upływie 6 miesięcy;
4) każde wypełnienie kanałowe należy skontrolować radiologicznie bezpośrednio po zakończeniu leczenia oraz po upływie pewnego czasu (6-24 miesięcy).
Prawidłowa odpowiedź to:
Pytanie 114
Dla jakiej metody leczenia ubytków próchnicowych właściwe są niżej wymienione stwierdzenia?
- wskazaniem do stosowania tej metody są początkowe zmiany próchnicowe na powierzchniach gładkich - wolnych i stycznych;
- nie jest wskazana dla zmian, dla których pierwszym wyborem leczenia jest remineralizacja;
- zmianę wytrawia się 15% kwasem chlorowodorowym przez 120 sek.
Prawidłowa odpowiedź to:
Pytanie 115
Wskaż prawdziwe stwierdzenie dotyczące flory bakteryjnej w chorobach miazgi i ropniach przyzębnych:
Pytanie 116
Wskaż prawdziwe stwierdzenia dotyczące materiałów złożonych:
1) działanie stabilizatora dodawanego do kompozytu, polega na pochłanianiu promieniowania UV i ogranicza możliwość przebarwiania się wypełnienia;
2) za stabilizację koloru wypełnienia może odpowiadać 2-hydroksy-4-metoksyfenon;
3) za stabilizację koloru wypełnienia może odpowiadać chinon kamforowy;
4) obecność w wypełnieniu monomerów resztkowych oraz nienasyconych wiązań podwójnych zwiększa jego ścieralność i możliwość wystąpienia przebarwień;
5) obecność w wypełnieniu monomerów resztkowych oraz nienasyconych wiązań podwójnych zmniejsza jego ścieralność i możliwość wystąpienia przebarwień.
Prawidłowa odpowiedź to:
Pytanie 117
Wskaż prawdziwe stwierdzenia dotyczące pericoronaritis:
1) jest martwiczym zapaleniem dziąsła brzeżnego;
2) jest stanem zapalnym występującym najczęściej w związku z utrudnionym wyrzynaniem trzecich zębów trzonowych w żuchwie;
3) może być powiązane z silnym bólem;
4) może mu towarzyszyć szczękościsk.
Prawidłowa odpowiedź to:
Pytanie 118
Wskaż prawdziwe stwierdzenia dotyczące kompleksu kazeinianu fosfopeptydowego z amorficznym fosforanem wapnia:
1) spowalnia progresję próchnicy i powoduje naprawę plamy próchnicowej;
2) jest źródłem biodostępnych jonów fluoru;
3) zmniejsza nadwrażliwość zębów;
4) wiąże się jedynie z płytką nazębną i bakteriami.
Prawidłowa odpowiedź to:
Pytanie 119
Które z wymienionych zjawisk optycznych związanych z padającym światłem mają bezpośredni wpływ na postrzeganie koloru zęba?
1) transmisja;
2) odbicie i załamanie;
3) pochłonięcie i rozproszenie;
4) fluorescencja i opalescencja.
Prawidłowa odpowiedź to:
Pytanie 120



