Wyszukaj egzamin lub pytanie
Egzamin PES Stomatologia zachowawcza z endodoncją / jesień 2014
120 pytań
Pytanie 1
Które z poniższych stwierdzeń dotyczących złamania skośnego lub podłużnego korzenia są prawdziwe?
1) są to z reguły złamania otwarte, ponieważ szpara złamania przebiega nie tylko przez korzeń, ale także przez koronę zęba;
2) w tym typie złamań występuje kontakt miazgi ze środowiskiem jamy ustnej, co sprzyja występowaniu zapaleń i martwicy miazgi;
3) w tym typie złamań nigdy nie występuje kontakt miazgi ze środowiskiem jamy ustnej;
4) rokowanie w przypadku złamania skośnego lub podłużnego korzenia jest pomyślne, jeżeli jak najwcześniej zostanie przeprowadzone leczenie endodontyczne;
5) najczęstszą metodą leczenia jest ekstrakcja.
Prawidłowa odpowiedź to:
Pytanie 2
Która z wymienionych cech nie charakteryzuje narzędzi niklowo-tytanowych (NiTi)?
Pytanie 3
Cementy wodorotlenkowo-wapniowe na bazie żywic syntetycznych są stosowane jako materiały podkładowe. W porównaniu do klasycznych linerów wodorotlenkowo-wapniowych, cementy te cechuje:
1) mniejsza odporność na działanie sił mechanicznych;
2) mniejsza rozpuszczalność w płynach tkankowych i kwasach;
3) większa rozpuszczalność w płynach tkankowych i kwasach;
4) znacznie mniejsze zdolności neutralizujące kwasy, z powodu wydzielania minimalnych ilości jonów OH-;
5) znaczne zdolności odontotropowe, z powodu wydzielania dużych ilości jonów OH-;
6) lepsze przyleganie do zębiny, pod warunkiem, że są zakładane warstwowo.
Prawidłowa odpowiedź to:
Pytanie 4
Które z wymienionych stwierdzeń nie jest przeciwwskazaniem do zastosowania metod leczenia biologicznego miazgi?
Pytanie 5
Które z poniższych stwierdzeń dotyczących przewlekłego włóknistego zapalenia tkanek okołowierzchołkowych są prawdziwe?
1) jest to zapalenie typu zwyrodniającego;
2) w obrazie dominują uszkodzenia tkanek nad procesami reparacyjnymi;
3) ubytek kości dotyczy prawie wyłącznie blaszki zbitej zębodołu;
4) procesowi resorpcji nie towarzyszy równoległe tworzenie kości, jedynie występuje nadmierne odkładanie się cementu korzeniowego;
5) w otaczającej kości występuje często obwódka sklerotyczna;
6) obecność nielicznych komórek nacieku świadczy o czynnym procesie zapalnym toczącym się w ozębnej.
Prawidłowa odpowiedź to:
Pytanie 6
W antyseptycznym leczeniu endodontycznym jako wkładki dokanałowe znalazły zastosowanie mieszanki poliantybiotykowe, również w połączeniu z kortykosteroidami i środkami grzybobójczymi. Stosując dokanałowo wkładki zawierające antybiotyki należy pamiętać, że antybiotyki są unieczynniane przez:
1) alkohole;
2) środki utleniające;
3) kwasy;
4) sole mineralne;
5) tlenek cynku;
6) wodorotlenek wapnia.
Prawidłowa odpowiedź to:
Pytanie 7
Zanik miazgi jest procesem polegającym na stopniowym zmniejszaniu się objętości miazgi wskutek redukcji jej elementów składowych. Może mieć charakter zarówno fizjologiczny, jak i patologiczny. Które z poniższych stwierdzeń dotyczących zaniku patologicznego są prawdziwe?
1) zanik starczy, będący wynikiem wypełnienia jamy zęba przez zębinę wtórną, nie jest zanikiem fizjologicznym;
2) przyczyną zaniku patologicznego jest nadmierne przeciążenie zębów;
3) zanik patologiczny miazgi nie występuje przy bezczynności zębów;
4) przyczyną zaniku patologicznego mogą być zaburzenia w krążeniu wywołane zmniejszonym dopływem krwi tętniczej, który jest spowodowany miażdżycą naczyń;
5) zanik patologiczny może dotyczyć tylko warstwy odontoblastów, które przekształcają się w odontocyty ulegające następnie zanikowi;
6) zanikowa miazga ma mniejsze wymiary i jasnożółty kolor;
7) zaniki miazgi przebiegają bezobjawowo, przy czym obserwuje się wzrost wrażliwości miazgi na bodźce termiczne, co jest zależne od stopnia zaniku.
Prawidłowa odpowiedź to:
Pytanie 8
Wskaż zdania opisujące przewlekłe zapalenia miazgi toczące się przy komorze zamkniętej często towarzyszące ubytkom pochodzenia próchnicowego i niepróchnicowego:
1) mają charakter zapaleń włóknistych;
2) przebiegają powoli i mogą toczyć się miesiącami, a nawet latami;
3) najczęściej są odpowiedzią na krótkotrwałe działanie na obnażoną zębinę różnego rodzaju bodźców, zwłaszcza infekcyjnych, cechujących się dużą intensywnością;
4) pojedyncze bakterie z próchnicowo zmienionej zębiny mogą przenikać do kanalików zdrowej zębiny i do miazgi, gdzie są niszczone przez fagocytarne komórki zapalne;
5) postaci rozlanej zapalenia najczęściej towarzyszą drobne rozsiane zwapnienia lub zębiniaki leżące luźno oraz przyściennie.
Prawidłowa odpowiedź to:
Pytanie 9
Obfita sieć naczyń krwionośnych zapewnia ozębnej doskonałe zaopatrzenie w substancje odżywcze, a tym samym nadaje jej duże zdolności obronne i reparacyjne. Które z poniższych stwierdzeń dotyczących unaczynienia ozębnej są prawdziwe?
1) unaczynienie ozębnej pochodzi z dwóch końcowych grup naczyń: tętnic dziąsłowych i tętnic zębowych;
2) ścisłe połączenie ozębnej z naczyniami miazgi zębowej odgrywa istotną rolę w patogenezie stanów chorobowych tkanek okw.;
3) obfita sieć naczyń krwionośnych w ozębnej powoduje, że pojawiające się w miazdze zaburzenia w krążeniu nie przenoszą się na ozębną;
4) ozębna odżywia cement korzeniowy, który nie posiada własnych naczyń;
5) naczynia włosowate ozębnej tworzą sploty - kłębuszki i zatoki, występujące szczególnie licznie w okolicy przyszyjkowej;
6) naczynia włosowate ozębnej odgrywają istotną rolę w procesie ruchów fizjologicznych zęba.
Prawidłowa odpowiedź to:
Pytanie 10
W okolicy szyjki zęba kontaktują się szkliwo, zębina i cement. Jaka konfiguracja tych tkanek jest obserwowana najczęściej?
Pytanie 11
Głównym elementem ozębnej, odpowiedzialnym za utrzymanie zęba w zębodole i amortyzowanie sił działających na niego w czasie aktu żucia są jej włókna. Które z poniższych stwierdzeń dotyczących włókien ozębnej są prawdziwe?
1) podstawowe włókna ozębnej zbudowane z kolagenu nie mają właściwości elastycznych;
2) jedynym typem włókien elastycznych ozębnej są włókna oksytalanowe;
3) za tworzenie się włókien kolagenowych, a także za ich rozkład odpowiedzialne są fibroblasty, najliczniejsze komórki ozębnej;
4) włókna oksytalanowe, które towarzyszą wiązkom włókien kolagenowych, nie tworzą splotu pośredniego;
5) największe nagromadzenie włókien oksytalanowych znajduje się w okolicy przywierzchołkowej;
6) typowe włókna elastyczne znajdują się w ozębnej w znikomych ilościach i biegną tylko w sąsiedztwie naczyń.
Prawidłowa odpowiedź to:
Pytanie 12
Które zdania dotyczące znieczulenia śródwięzadłowego są prawdziwe?
1) środek znieczulający doprowadzany jest do włókien nerwowych drogą naczyń krwionośnych wnikających z kości do przestrzeni ozębnowej;
2) efekt znieczulający można uzyskać już po upływie kilkunastu do kilkudziesięciu sekund;
3) znieczulenie można wykonywać we wszystkich grupach zębów, również w zębach z nieuformowanymi korzeniami;
4) przeciwwskazaniem do tego rodzaju znieczulenia jest zła higiena jamy ustnej;
5) wskazaniem do wykonania znieczulenia są zęby przeznaczone do leczenia metodą przykrycia bezpośredniego.
Prawidłowa odpowiedź to:
Pytanie 13
Które zdania są prawdziwe?
1) endodontium stanowi jedność strukturalno-funkcjonalną obejmującą miazgę, zębinę i cement;
2) miazga zęba jest niedojrzałą tkanką łączną typu embrionalnego;
3) w części miazgi bezpośrednio sąsiadującej z zębiną leżą komórki zębinotwórcze - odontoblasty;
4) zębina międzykanalikowa jest zbudowana ze zmineralizowanego kolagenu;
5) warstwa cementu pokrywająca korzeń jest najgrubsza w okolicy szyjki zęba.
Prawidłowa odpowiedź to:
Pytanie 14
Które stwierdzenia dotyczące chlorheksydyny są prawdziwe?
1) charakteryzuje się wysoką biokompatybilnością;
2) ma silne właściwości bakteriostatyczne i bakteriobójcze, ale słabe wirusobójcze;
3) wiąże się z hydroksyapatytem i tkankami miękkimi, zmieniając ich pole magnetyczne co uniemożliwia przyczepianie się bakterii do ich powierzchni;
4) nawet w niskich stężeniach skutecznie eliminuje E. faecalis;
5) rozpuszcza resztki miazgi i neutralizuje lipopolisacharydy.
Prawidłowa odpowiedź to:
Pytanie 15
Które zdania dotyczące środków płuczących stosowanych w leczeniu endodontycznym są prawdziwe?
1) 3% roztwór wody utlenionej ma właściwości rozpuszczania tkanki organicznej i działa bakteriobójczo;
2) płukanie kanału podchlorynem sodu i wodą utlenioną zwiększa zdolność podchlorynu sodu do rozpuszczania tkanek organicznych;
3) kwas cytrynowy obniża antybakteryjne działanie NaOCl;
4) w przypadku powtórnego leczenia endodontycznego korzystne jest naprzemienne płukanie kanału podchlorynem sodu i chlorheksydyną;
5) do ostatecznego płukania kanałów nie powinno się używać EDTA.
Prawidłowa odpowiedź to:
Pytanie 16
Wskaż prawidłową kolejność zmian zachodzących w miazdze pod wpływem wodorotlenku wapnia, prowadzących do powstania mostu zębinowego:
1) wytworzenie odczynu zapalnego;
2) tworzenie włókien kolagenowych, na których osadzają się sole mineralne;
3) wapnienie włókien kolagenowych;
4) powstanie warstwy martwicy skrzepowej;
5) rozplem fibroblastów i przekształcanie mniej zróżnicowanych komórek w wyżej zróżnicowane.
Prawidłowa odpowiedź to:
Pytanie 17
Narzędzia Golden Mediums są to:
Pytanie 18
Jest to zmiana zapalna typu wysiękowego. Na obwodzie nacieku tworzy się ziarnina w niewielkich ilościach. Procesowi resorpcji kości towarzyszy osteoklastyczna resorpcja cementu i zębiny wierzchołka korzenia. Zmianie może towarzyszyć przetoka wysłana tkanką ziarninową, a niekiedy wrastającym z jamy ustnej nabłonkiem. Jakiej jednostki chorobowej dotyczy powyższy opis?
Pytanie 19
Enzymem trawiennym obecnym w wydzielinie ślinianek jest:
Pytanie 20
Które stwierdzenie dotyczące etiologii próchnicy zębów jest fałszywe?
Pytanie 21
Które z wymienionych czynników odpowiedzialne są za proces resorpcji w tkankach okołowierzchołkowych?
Pytanie 22
Widoczna na zdjęciu rtg zmiana określona kodem „2” oznacza wg kryteriów wskaźnika radiologicznego Grondhala:
Pytanie 23
Przebiegający dwufazowo proces wiązania cementów szkłojonomerowych to pod względem chemicznym:
Pytanie 24
Który z kwasów, będących końcowym produktem przemiany węglowodanów, dominuje w płytce nazębnej pacjenta, przed zjedzeniem rano posiłku?
Pytanie 25
Spośród poniżej przedstawionych możliwości wybierz taką, która jest uznawana jako czynnik prognostyczny rozwoju choroby próchnicowej:
Pytanie 26
Pacjent w wieku 40 lat zgłasza dolegliwości bólowe zębów 45, 46 i 47 na bodźce termiczne, które pojawiają się zwłaszcza po nocnym wypoczynku. Badaniem przedmiotowym stwierdzono dodatnią reakcję na opukiwanie pionowe, zwiększoną ruchomość zęba i festony McCalla. Jaka może być najbardziej prawdopodobna przyczyna tych objawów?
Pytanie 27
Które spośród podanych zdań charakteryzuje warstwę demineralizacji zębiny?
Pytanie 28
Wskaż cechy najpełniej charakteryzujące MTA:
1) dobry kontrast na zdjęciach rtg;
2) duża wytrzymałość na ściskanie;
3) działa bakteriobójczo z wyjątkiem bakterii beztlenowych;
4) działa bakteriobójczo na bakterie beztlenowe;
5) dobra adaptacja brzeżna.
Prawidłowa odpowiedź to:
Pytanie 29
System wiążący V generacji - jednobuteleczkowy wymaga użycia oddzielnego wytrawiacza, którym najpierw wytrawia się całkowicie zębinę (technika All-Etch All-Bond). W jakim celu wykonuje się powyższą procedurę?
1) usuwa całkowicie warstwę mazistą z korkami mazistymi;
2) otwiera lejkowato kanaliki zębinowe;
3) impregnuje warstwę mazistą i korki maziste;
4) odsłania kolagen międzykanalikowy i okołokanalikowy;
5) usuwa częściowo warstwę mazistą.
Prawidłowa odpowiedź to:
Pytanie 30
Jakimi właściwościami charakteryzują się jednobuteleczkowe (all in one) samotrawiące systemy wiążące (VII generacji), łączące funkcję trawienia, modyfikacji (primingu) i łączenia (bondingu) w jednym roztworze?
1) wytrawiają szkliwo;
2) nie demineralizują zębiny;
3) mają wysoką hydrofilność;
4) tworzą cienką warstwę czynnika łączącego;
5) nie penetrują warstwy mazistej.
Prawidłowa odpowiedź to:
Pytanie 31
Powstanie warstwy hybrydowej w technice „total-etch” ma decydujące znaczenie dla adhezji materiałów złożonych do tkanek zęba. Jakie procedury mogą mieć wpływ na lepszą adhezję materiałów złożonych do tkanek zęba?
1) zwiększenie sprężystości połączenia przez nałożenie grubszej warstwy żywicy lub nałożenie kilku warstw żywicy łączącej;
2) wytrawianie tkanek zęba 10% kwasem maleinowym;
3) nałożenie jednej cienkiej warstwy żywicy łączącej;
4) wytrawianie zębiny maksymalnie 15 sekund;
5) wytrawiona zębina nie powinna być przesuszona.
Prawidłowa odpowiedź to:
Pytanie 32
Mikroprzeciek jest drogą przenikania bakterii i ich toksyn pomiędzy brzegami wypełnienia a ścianami wypreparowanego ubytku. Sprzyja powstawaniu próchnicy, przebarwień brzeżnych, wrażliwości termicznej i podrażnień miazgi. Które z wymienionych czynników mogą mieć wpływ na jego powstanie?
1) nadwrażliwość zęba;
2) podrażnienie miazgi podczas opracowania ubytku;
3) niezachowanie suchości pola zabiegowego;
4) skurcz polimeryzacyjny materiału;
5) nieprawidłowo wykonturowane wypełnienie.
Prawidłowa odpowiedź to:
Pytanie 33
Do jakiej sytuacji może doprowadzić w pierwszej kolejności niewypełnienie całej wytrawionej zębiny żywicą łączącą w ubytku zęba przygotowywanym do ostatecznego wypełnienia materiałem kompozytowym?
Pytanie 34
Który z wymienionych protokołów płukania kanału korzeniowego jest zalecany najczęściej podczas leczenia endodontycznego?
Pytanie 35
Stosując tą technikę mechanicznego opracowania kanału stwarza się mniejsze niebezpieczeństwo przepchnięcia zawartości kanału poza wierzchołek korzenia zęba. Jest szczególnie wskazana w leczeniu korzeni z szerokimi otworami wierzchołkowymi. Została opracowana z myślą o kanałach zakrzywionych, ale można ją również stosować w kanałach prostych. Która z wymienionych technik odpowiada powyższej charakterystyce?
Pytanie 36
Rotacyjne narzędzia niklowo-tytanowe Mtwo (firmy VDV) wykonane ze specjalnego stopu służą do opracowania kanału korzeniowego w kształcie stożka, z jednoczesnym zachowaniem jego oryginalnego przebiegu. Jaką techniką należy opracować kanał korzeniowy stosując system narzędzi Mtwo?
Pytanie 37
Opracowanie kanału korzeniowego metodą step-back stwarza dobre warunki do jego wypełnienia metodą kondensacji bocznej gutaperki na zimno. W jakich przypadkach wybór tej metody opracowania jest uzasadniony?
1) wąskie delikatne wierzchołki korzeni;
2) kanały proste;
3) kły;
4) siekacze żuchwy;
5) kanały mocno zakrzywione.
Prawidłowa odpowiedź to:
Pytanie 38
Który z wymienionych maszynowych systemów rotacyjnych służy do opracowania kanału korzeniowego metodą step-back?
Pytanie 39
Obecnie w celu zmniejszenia ryzyka przedostania się płynnej ciepłej gutaperki do tkanek okołowierzchołkowych i poprawy szczelności wypełnienia kanału w otworze fizjologicznym poleca się kojarzenie dwóch technik służących do ostatecznego wypełniania - techniki kondensacji pionowej ciepłej gutaperki z metodą iniekcyjną płynnej ciepłej gutaperki. Które z niżej wymienionych będą spełniać podane warunki?
Pytanie 40
Jedną z metod ostatecznego wypełniania kanałów korzeniowych jest wypełnianie kanałów uplastycznionym termicznie obturatorem gutaperkowym z rdzeniem z tworzywa sztucznego. Który z niżej wymienionych systemów odpowiada opisanej metodzie?
Pytanie 41
Do stomatologa zgłosił się pacjent z bólem zęba 26. W zębie przyczynowym przed tygodniem wykonano wypełnienie z materiału złożonego. Pacjent podaje, że ostry ból pojawia się tylko podczas spożywania zimnych pokarmów, a dolegliwość ta wystąpiła po raz pierwszy tuż po wypełnieniu zęba. Innych dolegliwości pacjent nie podaje. Według danych z karty choroby wynika, że w zębie przyczynowym rozpoznano pierwotną próchnicę średnią, a przed założeniem materiału złożonego zastosowano podkład z cementu szkło-jonomerowego. W badaniu przedmiotowym w zębie 26 lekarz stwierdził obecność rozległego wypełnienia klasy I wg Blacka bez makroskopowo widocznej nieszczelności. Na podstawie przeprowadzonych badań lekarz rozpoznał nadwrażliwość pozabiegową zęba. Wskaż prawidłowe możliwości postępowania w opisanym przypadku:
1) obniżenie wysokości wypełnienia;
2) wykonanie rebondingu;
3) wtarcie w ząb preparatu o dużym stężeniu fluoru;
4) wymiana wypełnienia na opatrunek czasowy na bazie tlenku cynku z eugenolem;
5) zastosowanie preparatu opartego na CPP-ACP (fosforan kazeiny - amorficzny fosforan wapnia).
Prawidłowa odpowiedź to:
Pytanie 42
Do stomatologa zgłosił się 40-letni pacjent z powodu rozchwiania zęba 37. W badaniu wewnątrzustnym stwierdzono deformację wyrostka zębodołowego przy zębie 37 i w tylnej części trzonu żuchwy z objawem chrzęstu pergaminowego. Zdjęcie pantomograficzne ujawniło duże, wielokomorowe ognisko osteolityczne dobrze odgraniczone od otoczenia z wyraźnymi przegrodami kostnymi dającymi obraz „baniek mydlanych”. Zmiana wywołała resorpcję korzenia dystalnego zęba 37, ząb nie był leczony endodontycznie. Wskaż najbardziej prawdopodobne rozpoznanie:
Pytanie 43
Nanoprzeciek wywołany jest:
Pytanie 44
Lekarz oceniając stan uzębienia pacjenta w badaniu wewnątrzustnym stwierdził obecność guzka dodatkowego na powierzchni policzkowej zęba 17. Wskaż prawidłową nazwę guzka:
Pytanie 45
Na zdjęciu rtg zęba 25 stwierdzono nierównomierne poszerzenie przestrzeni ozębnej w okolicy wierzchołka korzenia, wskazujące na małe zniszczenie kości. W których chorobach tkanek okołowierzchołkowych może ono występować?
1) przewlekłym włóknistym zapaleniu tkanek okołowierzchołkowych;
2) niewielkich rozmiarów ziarninowym zapaleniu tkanek okołowierzchołkowych;
3) początkowym stadium rozwoju przewlekłego ropnego zapalenia tkanek okołowierzchołkowych;
4) ostrym początkowym zapaleniu tkanek okołowierzchołkowych;
5) początkowej fazie ostrego ropnego zapalenia tkanek okołowierzchołkowych.
Prawidłowa odpowiedź to:
Pytanie 46
W trakcie opracowania kanału korzeniowego zęba 13 wystąpił ból ze strony tkanek okołowierzchołkowych. Lekarz stwierdził, że najprawdopodobniej przyczyną bólu było przejście narzędziami endodontycznymi poza otwór anatomiczny. Jak w endodoncji określa się to zdarzenie?
Pytanie 47
Do stomatologa zgłosił się 18-letni pacjent. Na powierzchni żującej zęba 27 lekarz zdiagnozował małe ognisko próchnicowe ograniczone tylko do jednej bruzdy. Po usunięciu małym wiertłem zmienionych próchnicowo tkanek: szkliwa i zębiny, ubytek wypełniono kompozytem, a następnie wypełnienie i wytrawione uprzednio zdrowe bruzdy pokryto lakiem szczelinowym. Jaki zabieg zastosowano w wyżej opisanym przypadku?
Pytanie 48
Które z niżej wymienionych substancji wybielających dodawane do past do zębów dają efekt tzw. wybielania optycznego?
Pytanie 49
Które z niżej wymienionych środków ściernych dodawanych do past do zębów wchodzą w reakcję z fluorem zawartym w paście tworząc nierozpuszczalne sole, które mają nieprzyjemny smak i nie posiadają właściwości polerujących?
Pytanie 50
Które z poniższych stwierdzeń dotyczących metod wypełniania kanałów korzeniowych są prawdziwe?
1) najlepszą szczelność w metodzie pojedynczego ćwieka uzyskuje się w przypadkach opracowania kanału korzeniowego metodą tradycyjną;
2) w metodzie zimnej kondensacji bocznej gutaperki wierzchołek prawidłowo dopasowanego ćwieka głównego na zdjęciu rtg powinien być w odległości około 0,5 mm od wierzchołka radiologicznego zęba;
3) w metodzie zimnej kondensacji bocznej gutaperki w kanałach zakrzywionych rozpychacze powinny być wprowadzane po największej krzywiźnie kanału;
4) metoda pionowej kondensacji gutaperki jest zalecana w przypadkach obecności patologicznej resorpcji wewnętrznej;
5) do technik hybrydowych wypełniania kanału korzeniowego należy metoda polegająca na wypełnieniu okolicy przywierzchołkowej metodą kondensacji bocznej a pozostałej części kanału metodą termomechaniczną.
Prawidłowa odpowiedź to:
Pytanie 51
Które stwierdzenie dotyczące resorpcji przyszyjkowej jest fałszywe?
Pytanie 52
Które stwierdzenia dotyczące amputacji przyżyciowej w zębach mlecznych są prawdziwe?
1) może być przeprowadzona metodą jedno- lub dwuetapową;
2) w zębach mlecznych leczonych metodą amputacji szybciej dochodzi do resorpcji korzeni, co skutkuje przedwczesną utratą zębów;
3) amputację można także przeprowadzić przy użyciu 2%, 4% lub 8% zbuforowango aldehydu glutarowego;
4) resorpcja wewnętrzna jako powikłanie po amputacji występuje najczęściej po zastosowaniu 2% aldehydu glutarowego w metodzie dwuetapowej;
5) dwuetapowa metoda amputacji przyżyciowej jest wskazana we wszystkich nieodwracalnych zapaleniach miazgi w zębach mlecznych.
Prawidłowa odpowiedź to:
Pytanie 53
Widoczne na zdjęciu radiologicznym nierównomiernie poszerzenie ozębnej spowodowane hipercementozą oraz obwódka osteosklerotyczna w kości są cechami charakterystycznymi dla zapalenia tkanek okołowierzchołkowych:
Pytanie 54
Które z poniższych stwierdzeń dotyczących narzędzi endodontycznych z nietnącym wierzchołkiem są prawdziwe?
1) nietnący wierzchołek warunkuje centralne położenie narzędzia w kanale;
2) narzędzia o takiej budowie przeznaczone są do opracowywania kanałów zobliterowanych;
3) wadą tych narzędzi jest łatwość klinowania się w kanale korzeniowym;
4) narzędzia typu „safety tip” zapobiegają cięciu zębiny w niepożądanych miejscach;
5) pilniki z nietnącym wierzchołkiem zalecane są do opracowywania zakrzywionych kanałów.
Prawidłowa odpowiedź to:
Pytanie 55
Źródłem jonów wapniowych i fosforanowych niezbędnych w procesach remineralizacji są następujące preparaty:
Pytanie 56
Które stwierdzenia dotyczące wytrawiania zębiny w technice total etch są prawdziwe?
1) 37% kwas ortofosforowy usuwa warstwę mazistą z powierzchni zębiny;
2) 37% kwas ortofosforowy usuwa korki maziste z ujść kanalików zębinowych;
3) podczas wytrawiania dochodzi do wytrawiania zębiny okołokanalikowej;
4) proces wytrawiania nie narusza struktury kolagenu obecnego w zębinie;
5) wytrawianie zębiny 37% kwasem ortofosforowym jak i 10% pozwala uzyskać takie same wartości sił wiązania materiału z tkankami zęba.
Prawidłowa odpowiedź to:
Pytanie 57
Wskaż prawdziwe stwierdzenie dotyczące próchnicy atypowej:
Pytanie 58
Które z poniższych stwierdzeń dotyczących zębiny w ognisku próchnicowym są prawdziwe?
1) kolagen w warstwie próchnicy zewnętrznej jest nieodwracalnie zniszczony;
2) w warstwie zębiny wewnętrznej dochodzi do uszkodzenia wiązań poprzecznych między cząsteczkami kolagenu;
3) w warstwie rozpadu ogniska próchnicowego znajdują się głównie kolonie Streptococcus odpowiedzialne za rozpad zębiny;
4) podczas chemomechanicznego opracowania ubytku próchnicowego zostaje usunięta zębina próchnicowa zewnętrzna a pozostawiona zębina próchnicowa wewnętrzna;
5) warstwa zębiny próchnicowej wewnętrznej zawiera żywe wypustki odontoblastów.
Prawidłowa odpowiedź to:
Pytanie 59
Wskaż zdanie fałszywe dotyczące diagnostyki radiologicznej próchnicy:
Pytanie 60
Które z podanych preparatów do opracowania kanałów korzeniowych mają właściwości chelatujące?
1) podchloryn sodu;
2) wersenian sodu;
3) nadtlenek mocznika;
4) alkohol izopropylowy;
5) kwas cytrynowy.
Prawidłowa odpowiedź to:
Pytanie 61
Z jaką częstością w siekaczu dolnym bocznym występują dwa oddzielne kanały wychodzące z komory i łączące się w pobliżu wierzchołka w pojedynczy kanał?
Pytanie 62
U 26-letniego pacjenta na zdjęciu pantomograficznym stwierdzono płasko „ścięte”, skrócone korzenie zębów 11 i 21. Na rtg widoczne były prawidłowej szerokości przestrzenie ozębnowe. Reakcja miazgi zębów na bodźce termiczne była prawidłowa. Przedstawione zmiany są najprawdopodobniej następstwem:
Pytanie 63
Do powstania zaawansowanych zmian erozyjnych może przyczynić się doustne przyjmowanie niektórych leków. Nie należą do nich leki zawierające:
Pytanie 64
W której metodzie diagnozowania próchnicy bruzd powierzchni żującej zębów obecność złogów nazębnych może być przyczyną postawienia fałszywie dodatniego rozpoznania?
Pytanie 65
Naprawa wypełnienia jest procedurą wykonywaną niekiedy zamiast jego wymiany. Która odpowiedź zawiera prawdziwe informacje dotyczące zastosowania tej metody?
Pytanie 66
Do gabinetu stomatologicznego zgłosiła się 35-letnia pacjentka. Skarżyła się na niezlokalizowany ból po prawej stronie twarzy. Opisała go, jako głęboki, nękający, tępy i rozlany. Niekiedy przechodził w ostry podczas otwierania ust, czy żucia pokarmów. Występował od około miesiąca. W badaniu klinicznym zęby w pierwszym i czwartym kwadrancie prawidłowo reagowały w testach termicznych i na opukiwanie. Na guzkach zębów bocznych widoczne było niewielkie starcie. Najbardziej prawdopodobna przyczyna dolegliwości u opisanej pacjentki to:
Pytanie 67
Które spośród podanych niżej zdań prawidłowo opisują tzw. bliznę okołowierzchołkową (apical scar)?
1) powstaje w związku z nawarstwianiem cementu korzeniowego w okolicy wierzchołkowej;
2) powstaje, gdy w miejscu zresorbowanej kości tworzy się niezmineralizowana tkanka łączna włóknista;
3) najczęściej występuje u osób starszych;
4) w obrazie rtg wymaga różnicowania z ziarniniakiem okołowierzchołkowym;
5) najczęściej ma postać owalnego ogniska zagęszczenia struktury kostnej.
Prawidłowa odpowiedź to:
Pytanie 68
Która z podanych odpowiedzi zawiera nieprawdziwe informacje dotyczące zębiniaków (denticuli)?
Pytanie 69
W ubytkach kl. II wg Blacka, w przypadku gdy brzeg przydziąsłowy znajduje się poniżej granicy szkliwno-cementowej, można wykorzystać wymienione materiały, z wyjątkiem:
Pytanie 70
Wskaż prawidłowe stwierdzenie dotyczące zębiny sklerotycznej:
Pytanie 71
Wskaż prawdziwe stwierdzenia dotyczące cementu tlenkowo-cynkowo-eugenolowego (ZnOE):
1) cement ZnOE jest trwalszy niż fleczer i należy z niego korzystać, gdy przerwy między wizytami muszą być dłuższe;
2) zawartość eugenolu (w cemencie ZnOE) wpływa korzystnie na próchnicowo zmienione tkanki zęba;
3) cementy ZnOE mają wysoki moduł elastyczności i dużą odporność na nacisk;
4) cement ZnOE można stosować jako podkład w głębokich ubytkach, ale założony głębiej niż 0,5 mm od miazgi wywołuje jej reakcję zapalną;
5) cement ten nie może być stosowany jako podkład pod wypełnienia z materiałów złożonych, ale może być stosowany pod wypełnienia z cementu krzemowego.
Prawidłowa odpowiedź to:
Pytanie 72
Przyczyną utraty twardej tkanki zęba w wyniku procesu demastykacji jest:
Pytanie 73
Wskaż prawdziwe stwierdzenie dotyczące liczby PUW (puw) i jej poszczególnych składowych (P, U, W):
Pytanie 74
Wskaż prawdziwe stwierdzenia dotyczące odontoblastów:
1) odontoblasty są głównym elementem morfologicznym miazgi;
2) odontoblasty są najmniej zróżnicowanymi komórkami miazgi;
3) odontoblasty posiadają dwie wypustki, z których krótsza wnika do kanalika zębinowego, a dłuższa kończy się w miazdze właściwej;
4) żywotność odontoblastów kończy się wraz z utratą życia miazgi;
5) odontoblasty biorą udział w tworzeniu organicznego zrębu zębiny i jej mineralizacji.
Prawidłowa odpowiedź to:
Pytanie 75
Wskaż prawdziwe stwierdzenia dotyczące biostymulacji laserowej w leczeniu zapaleń tkanek okołowierzchołkowych (okw.):
1) wskazaniem do terapii laserowej są zarówno zapalenia przewlekłe tkanek okw., jak i ich zaostrzenia;
2) celem stosowania biostymulacji laserowej jest m.in.: wykorzystanie jej działania przeciwzapalnego oraz przyspieszającego regenerację kości w ogniskach zapalnych;
3) biostymulacja laserowa powoduje zmniejszenie objawów bólowych;
4) w leczeniu zapaleń tkanek okw. zaleca się naświetlanie metodą kontaktową przy zastosowaniu jednorazowej całkowitej dawki energii przypadającej na 1 korzeń 10-15 J/cm2;
5) naświetlanie powtarza się w odstępach 30-dniowych 3-krotnie.
Prawidłowa odpowiedź to:
Pytanie 76
Kierując się zasadą „im większa krzywizna kanału, tym trudniejsze jego opracowanie”, Schneider wyróżnił trzy stopnie trudności w opracowaniu zakrzywionych kanałów korzeniowych. Średni stopień trudności oznacza:
Pytanie 77
Wskaż prawdziwe stwierdzenia dotyczące metody zrównoważonej siły (balanced forces) stosowanej podczas opracowania kanałów korzeniowych:
1) metoda zrównoważonej siły przeznaczona jest do opracowania zakrzywionych kanałów korzeniowych;
2) w metodzie zrównoważonej siły pilników nie dogina się wcześniej, lecz prostymi wykonuje się naprzemienne ruchy obrotowe, wywierając na nie równocześnie niewielki nacisk w kierunku wierzchołkowym;
3) pilnik wprowadza się do kanału na określoną głębokość, a następnie wykonuje się nim ruch obrotowy w prawo o 60-90°. Następnie pilnik rotuje się w lewo o 120-360°;
4) w tej metodzie usuwanie zębiny jest spowodowane ruchem w prawą stronę;
5) w wersji oryginalnej tej metody, roboczą długość kanału wyznacza się do otworu fizjologicznego.
Prawidłowa odpowiedź to:
Pytanie 78
Wskaż prawdziwe stwierdzenia dotyczące badania węzłów chłonnych:
1) w stanie zdrowia tkanek okołowierzchołkowych węzły chłonne są wyczuwalne, ale niebolesne;
2) choroby miazgi zębów nie pociągają za sobą zmian w węzłach chłonnych;
3) w ostrych stanach zapalnych tkanek okołowierzchołkowych węzły chłonne są bolesne, miękkie, nieprzesuwalne względem podłoża, ale przesuwalne względem skóry;
4) badanie palpacyjne węzłów chłonnych należy wykonać równocześnie po lewej i prawej stronie żuchwy, przy rozluźnionych mięśniach szyjnych;
5) lekarz badający powinien stać przed głową pacjenta, a pacjent powinien być w pozycji leżącej lub siedzącej.
Prawidłowa odpowiedź to:
Pytanie 79
Wskaż prawdziwe stwierdzenia dotyczące zmian rozrostowych (rozrostu) cementu korzeniowego:
1) rozrost cementu może występować w zębach z prawidłową, chorą lub martwą miazgą;
2) rozrost częściej dotyczy cementu bezkomórkowego niż komórkowego;
3) rozrost cementu nigdy nie dotyczy wszystkich zębów u danego pacjenta. U jednego człowieka rozrost może dotyczyć tylko kilku pojedynczych zębów;
4) przyczyną wywołującą rozrost cementu może być przewlekłe zapalenie tkanek okołowierzchołkowych;
5) przy bardzo dużym nawarstwieniu cementu mogą wystąpić bóle neuralgiczne.
Prawidłowa odpowiedź to:
Pytanie 80
Które objawy mogą wystąpić w przypadku gangraena pulpae totalis sine symptomatibus periodontalibus?
1) silne dolegliwości bólowe samoistne;
2) przebarwienie korony zęba;
3) (+) objaw Smrekera;
4) głuchy odgłos opukowy;
5) (+) reakcja na opukiwanie pionowe tkanek okołowierzchołkowych.
Prawidłowa odpowiedź to:
Pytanie 81
Zjawisko perkolacji jest spowodowane:
Pytanie 82
Wskaż właściwą kolejność w jakiej wzrastają właściwości mechaniczne różnych rodzajów preparatów wodorotlenkowo-wapniowych:
nww- nietwardniejący wodorotlenek wapnia
wws- cementy wodorotlenkowo-wapniowe-salicylanowe
wwz- wzmocnione cementy wodorotlenkowo-wapniowe połączone z żywicami
Pytanie 83
Etap określany mianem „pre-gates preparation” stosowany jest podczas opracowania kanału korzeniowego w technikach crown-down i hybrydowej (1); polega na wstępnym poszerzeniu ujść kanałowych wiertłami Orifice Shaper (2); po wyznaczeniu tymczasowej długości roboczej (3). Oceń prawdziwość powyższych stwierdzeń:
Pytanie 84
Przyporządkuj terminy do odpowiadających im definicji:
1) anastomozy;
2) pseudokanały;
3) kanały boczne;
4) delta korzeniowa;
5) kanały dodatkowe;
a) kanały rozpoczynające swój przebieg w komorze i kończące się na szczycie korzenia lub nieco z boku;
b) odgałęzienia kanału głównego odchodzące od niego na różnych poziomach, przebiegają przez całą grubość zębiny, kończąc się otworami w ozębnej;
c) kanały boczne obficie rozgałęziające się w wierzchołkowej części korzenia;
d) połączenie pomiędzy poszczególnymi kanałami;
e) odgałęzienia kanału głównego mające w nim ujście, po pewnym odcinku samodzielnego przebiegu.
Prawidłowa odpowiedź to:
Pytanie 85
Wartość wskaźnika PUW u 38-letniej pacjentki wynosi 14, a wskaźnik API wynosi 20 %. Oznacza to, że:
Pytanie 86
Wskaż składniki śliny, które biorą udział w buforowaniu kwasów:
1) cystatyny;
2) dwuwęglany;
3) kationy potasowe;
4) aniony fluorkowe;
5) amoniak;
6) fosforany nieorganiczne.
Prawidłowa odpowiedź to:
Pytanie 87
Do wad opracowanej przez Schildera metody kondensacji wierzchołkowej wypełniania kanałów korzeniowych zalicza się:
1) czasochłonność;
2) niezbędność kosztownego urządzenia do wypełniania kanałów;
3) konieczność stosowania stosunkowo dużych sił przy kondensacji materiału;
4) ryzyko przepchnięcia materiału poza otwór wierzchołkowy;
5) brak możliwości uzyskania trójwymiarowego wypełnienia;
6) konieczność użycia dużej ilości uszczelniacza.
Prawidłowa odpowiedź to:
Pytanie 88
Wskaż stwierdzenia prawdziwe dotyczące ksylitolu:
1) stymuluje wydzielanie śliny;
2) należy do grupy niekalorycznych substytutów cukru;
3) w niewielkim stopniu ulega fermentacji bakteryjnej;
4) działa bakteriobójczo w stosunku do bakterii próchnicotwórczych;
5) przy długotrwałym stosowaniu może wywołać adaptację metaboliczną bakterii.
Prawidłowa odpowiedź to:
Pytanie 89
Na zdjęciu radiologicznym skrzydłowo-zgryzowym wykryto zmianę próchnicową w zębie 37 zakwalifikowaną jako 4 stopień wg wskaźnika Grondahla i wsp. Oznacza to, że występuje:
Pytanie 90
Do gabinetu stomatologicznego zgłosiła się matka z bliźniętami (dziewczynką i chłopcem) zaniepokojona stanem stałych zębów swoich dzieci. Z zebranego wywiadu wynikało, że podobne problemy zębowe występowały w rodzinie. Dzieci urodziły się z ciąży o prawidłowym przebiegu, zakończonej cesarskim cięciem, bez powikłań. Nie chorowały w dzieciństwie, rozwijały się prawidłowo. Na podstawie badania stwierdzono zgryz otwarty częściowy przedni. Na zębach dziewczynki zaobserwowano pionowe pasma prawidłowego szkliwa poprzedzielane pasmami szkliwa z dołkami i bruzdami oraz obszary żółtego cętkowania. Szkliwo zębów chłopca było cienkie, gładkie, błyszczące, koloru żółtobrązowego. Stwierdzono brak punktów stycznych między zębami. Zdjęcia rtg nie wykazywały nieprawidłowości budowy korzeni zębów. Jakie rozpoznanie jest najbardziej prawdopodobne w tym przypadku?
Pytanie 91
Do gabinetu stomatologicznego zgłosiła się 55-letnia kobieta zaniepokojona występowaniem dolegliwości bólowych zębów bocznych górnych prawych, głównie podczas żucia pokarmów. Powyższe objawy utrzymują się od ok. 1 roku, pojawiają się okazjonalnie i są trudne do zlokalizowania. Początkowo, objawy były nieznaczne, pacjentka stosowała pastę do nadwrażliwych zębów. Po wstępnym badaniu klinicznym, lekarz zlecił wykonanie zdjęcia rtg, na którym nie stwierdził żadnych zmian patologicznych, po czym postawił wstępną diagnozę - pęknięcie zęba 14. Aby ją potwierdzić i postawić ostateczne rozpoznanie postanowił wykonać dodatkowe testy. Który z nich ma najmniejszą wartość diagnostyczną?
Pytanie 92
Jakie korzyści wynikają z dezynfekcji kanału korzeniowego ozonem i metodą PAD?
1) niemożliwość wytworzenia przez drobnoustroje oporności;
2) hamowanie procesów reparacyjnych zmienionych zapalnie tkanek okołowierzchołkowych;
3) osłabienie procesów fagocytozy;
4) hamowanie wytwarzania przeciwciał;
5) stymulacja procesu apeksyfikacji korzenia;
6) brak uszkadzającego wpływu na tkanki okołowierzchołkowe.
Prawidłowa odpowiedź to:
Pytanie 93
Do oceny stanu miazgi zębowej stosowane są testy termiczne. Która interpretacja tych testów nie jest prawidłowa?
Pytanie 94
Wybierz spośród niżej wymienionych materiał, który nie jest zalecany do przykrycia bezpośredniego miazgi?
Pytanie 95
Wskaż spośród niżej przedstawionych rodzajów zębiny, te, które są odczynem obronnym miazgi zębowej:
1) zębina wtórna fizjologiczna;
2) zębina wtórna patologiczna;
3) zębina sklerotyczna;
4) zębina okołomiazgowa;
5) zębina płaszczowa;
6) most zębinowy.
Prawidłowa odpowiedź to:
Pytanie 96
Które z niżej wymienionych stwierdzeń nie jest zgodne z ogólnie przyjętymi zasadami leczenia jatrogennej perforacji ściany kanału korzeniowego?
Pytanie 97
Która z niżej przedstawionych metod płukania kanałów korzeniowych w czasie leczenia endodontycznego jest najmniej skuteczna w usuwaniu warstwy mazistej?
Pytanie 98
Wypełnianie kanału korzeniowego termicznie uplastycznioną gutaperką może przyczynić się do powstania powikłań związanych ze wzrostem temperatury w kanale. Jakie mogą być to powikłania?
1) resorpcja kości wyrostka zębodołowego;
2) ankyloza;
3) pęknięcie korzenia;
4) resorpcja cementu korzeniowego;
5) odma powietrzna;
6) przebarwienie korony zęba.
Prawidłowa odpowiedź to:
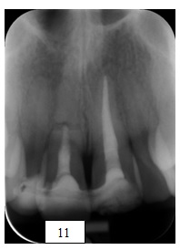
Pytanie 99
Rycina przedstawia kontrolne zdjęcie rentgenowskie wykonane w trakcie leczenia endodontycznego zęba 11 po urazie. Wskaż klasę wg Ellisa:

Pytanie 100
Pacjentka, lat 40, zgłosiła się do lekarza stomatologa z bólem zęba 14, występującym podczas nagryzania. Pacjentka podaje, że dwa dni wcześniej nagryzła tym zębem twardy fragment pożywienia i poczuła ostry ból. Badanie kliniczne: niskie ryzyko próchnicy, nieco wzmożona reakcja zęba 14 na opukiwanie pionowe, rozchwianie zęba pierwszego stopnia. Badanie wrażliwości miazgi zęba testem termicznym na zimno i elektrycznym - reakcja prawidłowa. Wykonano zdjęcie radiologiczne zębowe w projekcji ortoradialnej i skośnej. Rozpoznano poprzeczne złamanie w połowie długości korzenia. Stan przyzębia dobry. Wskaż odpowiednie postępowanie:
Pytanie 101
W badaniu klinicznym 18-letniego pacjenta stwierdzono wysokie ryzyko próchnicy oraz ząb 45 z widocznym na powierzchni dalszej białoszarym obszarem przeświecającym przez warstwy szkliwa. Na zdjęciu radiologicznym skrzydłowo-zgryzowym zdiagnozowano zaawansowanie zmiany 3 stopnia wg Grondahla. Wskaż postępowanie kliniczne:
Pytanie 102
Zdjęcie rentgenowskie przedstawia dwukorzeniowy kieł żuchwy. Częstość występowania w tym zębie dwóch kanałów i dwóch korzeni wynosi odpowiednio:

Pytanie 103
Które z wymienionych stwierdzeń dotyczących mercurialismus chronica są prawdziwe?
1) oznacza przewlekłe zatrucie rtęcią;
2) rtęć do organizmu dostaje się drogą wziewną i przez skórę;
3) w jamie ustnej obserwuje się krwawienia z dziąseł, ślinotok, zapalenie błony śluzowej, szary rąbek rtęciowy;
4) objawia się uczuciem zmęczenia, zniechęcenia, uciskiem w głowie, bezsennością, pobudliwością i brakiem łaknienia;
5) w diagnostyce należy zbadać stężenie rtęci w moczu.
Prawidłowa odpowiedź to:
Pytanie 104
Wskaż materiały, które nie wykazują adhezji chemicznej do zębiny:
1) cementy szkło-jonomerowe;
2) cementy polikarboksylowe;
3) cementy wodorotlenkowo-wapniowe;
4) cementy cynkowo-siarczane;
5) cement EBA.
Prawidłowa odpowiedź to:
Pytanie 105
Wskaż stwierdzenia charakteryzujące cement EBA:
1) jest pochodną cementu tlenkowo-cynkowo-eugenolowego;
2) zawiera kwas ortoetoksybenzoesowy;
3) może być stosowany do zabiegu przykrycia pośredniego miazgi;
4) jest pochodną cementu polikarboksylowego;
5) może być stosowany jako podkład pod wypełnienia z materiałów złożonych.
Prawidłowa odpowiedź to:
Pytanie 106
Dokumentacją medyczną są zbiory dokumentów medycznych zawierających dane i informacje medyczne dotyczące stanu zdrowia pacjentów i świadczeń zdrowotnych udzielanych w zakładzie opieki zdrowotnej. W dokumentacji indywidualnej wewnętrznej muszą się znaleźć:
1) nazwisko i imię lekarza udzielającego świadczeń zdrowotnych;
2) tytuł zawodowy lekarza;
3) uzyskane specjalizacje;
4) numer prawa wykonywania zawodu;
5) podpis lekarza.
Prawidłowa odpowiedź to:
Pytanie 107
Termin zębina reakcyjna oznacza zębinę:
Pytanie 108
Które z podanych stwierdzeń dotyczących przeciwpróchnicowego działania fluoru są fałszywe?
1) dominującym mechanizmem działania fluoru jest jego wbudowywanie do hydroksyapatytu szkliwa podczas rozwoju zęba;
2) zasadniczym mechanizmem działania fluoru jest jego oddziaływanie po wyrznięciu zęba;
3) jednakowo ważne jest działanie fluoru przed i po wyrznięciu zęba;
4) egzogenna podaż fluoru ma znaczenie kariostatyczne tylko wkrótce po wyrznięciu zębów;
5) egzogenna podaż fluoru w celu kariostatycznym powinna mieć miejsce przez całe życie.
Prawidłowa odpowiedź to:
Pytanie 109
Prawidłowa szybkość wydzielania śliny spoczynkowej mieści się w przedziale:
Pytanie 110
Które z podanych stwierdzeń dotyczących perły szkliwnej jest fałszywe?
Pytanie 111
Które z podanych stwierdzeń prawidłowo określają zmianę nazywaną „zębem w zębie”?
1) ma stożkowaty kształt korony;
2) często występują zmiany okołowierzchołkowe;
3) jest wynikiem wgłobienia tkanek zęba do korony lub korzenia;
4) jest wynikiem wgłobienia tkanek zęba tylko do korony;
5) nazywany jest zębem wynicowanym.
Prawidłowa odpowiedź to:
Pytanie 112
Odontodysplazja cechuje się:
1) zlokalizowanym zatrzymaniem rozwoju zębów, zwłaszcza przednich;
2) koronami barwy żółtej opalizującej;
3) cienką warstwą szkliwa i zębiny;
4) dużą wydłużoną komorą z przesunięciem rozwidlenia korzeni w kierunku wierzchołka;
5) na Rtg zęby wyglądają jak widma.
Prawidłowa odpowiedź to:
Pytanie 113
Która z podanych cech charakteryzuje resorpcję wewnętrzną zapalną?
1) zarys defektu jest regularny i odgraniczony;
2) zarys defektu jest nieregularny z poszarpanymi brzegami;
3) umiejscowienie defektu w odniesieniu do osi zęba jest symetryczne;
4) umiejscowienie defektu w odniesieniu do osi zęba jest asymetryczne;
5) przy wykonaniu radiogramów w różnych projekcjach położenie defektu ulega zmianie.
Prawidłowa odpowiedź to:
Pytanie 114
Klinicznie na powierzchni żującej występuje szare podpowierzchniowe przebarwienie wokół ubytku szkliwa, a radiologicznie stwierdza się przepuszczalność na promieniowanie Rtg pod połączeniem szkliwno-zębinowym na głębokość powyżej 1/3 zewnętrznej części zębiny. Opisana zmiana próchnicowa kategoryzowana jest jako:
Pytanie 115
Spośród wymienionych wskaż przyczyny białej plamy na szkliwie jednego zęba:
1) wczesna zmiana próchnicowa;
2) zaburzenia rozwojowe szkliwa spowodowane chorobą systemową;
3) hipoplazja szkliwa;
4) próchnica kwitnąca;
5) zaburzenia rozwojowe szkliwa spowodowane czynnikiem miejscowym.
Prawidłowa odpowiedź to:
Pytanie 116
Które zdanie dotyczące opracowania ubytków próchnicowych są fałszywe?
1) podczas opracowania ubytków wypełnianych materiałami adhezyjnymi można pozostawić szkliwo niepodparte zębiną;
2) względy estetyczne powodują, że ubytki klasy III zawsze otwieramy od strony językowej;
3) metoda tunelowa znajduje szczególne zastosowanie w przypadku wymiany wypełnienia na powierzchni zgryzowej z jednoczesną obecnością ogniska próchnicy na powierzchni stycznej;
4) otwarcie ubytku, na powierzchni stycznej zębów bocznych, od strony przedsionkowej lub językowej nosi nazwę opracowania metodą dziurki od klucza;
5) metoda dziurki od klucza niesie niebezpieczeństwo pozostawienia zębiny próchnicowej na ścianie dokomorowej, ale pozwala na bardzo dobre odbudowanie punktu stycznego.
Prawidłowa odpowiedź to:
Pytanie 117
Które zdanie dotyczące morfologii systemu kanałów korzeniowych jest fałszywe?
Pytanie 118
Wskaż zdanie fałszywe dotyczące uszczelniaczy kanałowych:
Pytanie 119
Wskaż przyczyny nadwrażliwości zębów:
1) zbyt wysokie wypełnienie;
2) recesja dziąsła;
3) przerostowe zapalenie dziąseł;
4) abrazja zębów;
5) chirurgiczne leczenie przyzębia.
Prawidłowa odpowiedź to:
Pytanie 120



