Wyszukaj egzamin lub pytanie
Egzamin PES Stomatologia zachowawcza z endodoncją / wiosna 2005
120 pytań
Pytanie 1
Postępowanie lecznicze w nadwrażliwości zębiny nie polega na:
Pytanie 2
Które z określeń dotyczących fluorozy zębów nie jest prawdziwe?
Pytanie 3
Przyczynowo próchnica korzenia nie jest związana z:
1) wiekiem;
2) obniżeniem wydzielania śliny;
3) zaburzeniem rozwojowym cementu;
4) obnażeniem powierzchni korzenia;
5) częstym spożywaniem pożywienia zawierającego ulegające fermentacji węglowodany.
Prawidłowa odpowiedź to:
Pytanie 4
Nadwrażliwość zębiny nie występuje w:
Pytanie 5
Przyczyną ubytków twardych tkanek zęba niepróchnicowego w rejonie przyszyjkowym nie jest:
Pytanie 6
Obliteracja jam zębowych jest objawem:
1) taurodontyzmu; 4) dysplazji zębiny;
2) odontodysplazji; 5) krzywicy opornej na witaminę D.
3) niecałkowitego rozwoju zębiny;
Prawidłowa odpowiedź to:
Pytanie 7
Podaj stwierdzenia prawdziwe dotyczące ćwieków zębinowych (pinów):
1) umieszcza się je na granicy szkliwno-zębinowej;
2) umieszcza się je w odległości ok. 0,5-1 mm od granicy szkliwno-zębinowej;
3) stosuje się jeden ćwiek do odbudowy jednego guzka lub ściany;
4) stosuje się dwa ćwieki do odbudowy jednego guzka lub ściany;
5) wprowadza się na głębokość 2 mm.
Prawidłowa odpowiedź to:
Pytanie 8
W skład organicznej matrycy dojrzałej płytki wchodzą:
1) glikoproteiny śliny; 4) glikogen;
2) zewnątrzkomórkowe bakteryjne polisacharydy; 5) sacharoza.
3) glukan i fruktan;
Prawidłowa odpowiedź to:
Pytanie 9
W której z warstw wczesnej zmiany próchnicowej w szkliwie występuje największa utrata substancji mineralnej wahająca się
od 5-25%?
Pytanie 10
Określenie „biała plama” dotyczy zmiany na szkliwie:
1) w początkowej próchnicy szkliwa; 4) w hipokalcyfikacji;
2) we fluorozie zębów; 5) w zmianie określanej jako ząb Turnera.
3) w amelogenesis imperfecta;
Prawidłowa odpowiedź to:
Pytanie 11
Jednym z mechanizmów kariostatycznego oddziaływania fluoru jest powstawanie fluorku wapnia. Które z podanych stwierdzeń jest prawdziwe?
1) tworzy się po zastosowaniu na szkliwo stężeń fluoru poniżej 100 ppm;
2) tworzy się po zastosowaniu na szkliwo stężeń fluoru powyżej 100 ppm;
3) stanowi depozyt z którego przy niskim pH otaczającego środowiska uwalniają się jony fluorkowe;
4) stanowi depozyt z którego uwalniają się jony fluorkowe niezależnie od pH otaczającego środowiska;
5) ze względu na niską rozpuszczalność jego powstanie nie ma znaczenia w procesach demineralizacji i remineralizacji szkliwa.
Prawidłowa odpowiedź to:
Pytanie 12
Które z wymienionych zabiegów nie są leczeniem inwazyjnym?
1) lakierowanie; 4) PRR;
2) lakowanie; 5) opracowanie ubytku pod wypełnienia adhezyjne.
3) poszerzone lakowanie;
Prawidłowa odpowiedź to:
Pytanie 13
Które z podanych określeń dotyczących zębiny sklerotycznej jest prawdziwe?
1) synonimem jej jest warstwa przejaśnienia lub przezroczysta;
2) stanowi naturalną granicę usuwania zmienionej zębiny podczas opracowania ubytku;
3) nazywana jest zębiną naprawczą;
4) nazywana jest warstwą nieznacznego odwapnienia;
5) we wczesnej zmianie próchnicowej zębiny znajduje się między warstwą pustych kanalików a warstwą prawidłowej zębiny pierwotnej.
Prawidłowa odpowiedź to:
Pytanie 14
Kształt oporowy ubytku warunkuje:
1) stosunek zewnętrznej powierzchni ubytku do jego głębokości;
2) stosunek wysokości ścian ubytku do ich grubości;
3) zbieżny przebieg ścian bocznych w stosunku do wlotu ubytku;
4) płaskie dno ubytku;
5) łagodne przejście dna w ściany boczne ubytku.
Prawidłowa odpowiedź to:
Pytanie 15
Konsekwencją kserostomii wywołanej zmniejszeniem wydzielania śliny nie jest:
Pytanie 16
Które z zastosowań cementów szkło-jonomerowych jest niewłaściwe?
Pytanie 17
Jednym z powikłań leczenia kanałowego jest perforacja. Które ze stwierdzeń podanych poniżej jest nieprawidłowe?
Pytanie 18
Ponowne leczenie endodontyczne powinno być podejmowane w następujących przypadkach:
1) obecności przetok;
2) nieprawidłowo wypełnione kanały bez zmian w tkankach okołowierzchołkowych i bez dolegliwości bólowych, gdy ząb jest przeznaczony do leczenia protetycznego;
3) zęby pokryte koronami protetycznymi;
4) na wyraźne życzenie pacjenta;
5) występowanie okresowych dolegliwości bólowych, bólu podczas nagryzania, obrzęku i bolesności uciskowej.
Prawidłowa odpowiedź to:
Pytanie 19
Podczas leczenia resorpcji zapalnej przyszyjkowej należy pamiętać o tym, że:
1) o powodzeniu leczenia decyduje przede wszystkim rozpoznanie choroby we wczesnym stadium;
2) tradycyjną metodą postępowania jest chirurgiczne odsłonięcie miejsca zmiany, wyłyżeczkowanie i wypełnienie ubytku korzenia cementem glasjonomerowym;
3) alternatywną metodą jest użycie 90% wodnego roztworu kwasu mrówkowego;
4) leczenie endodontyczne może być wdrożone dopiero po wygojeniu błony śluzowej;
5) leczenie tej postaci resorpcji przysparza z reguły wiele problemów.
Prawidłowa odpowiedź to:
Pytanie 20
Wskaż prawidłową odpowiedź dotyczącą stosowania chlorheksydyny w leczeniu kanałowym:
1) jest używana do płukania kanałów w stężeniu 0,02% do 2%;
2) jest skutecznym opatrunkiem wewnątrzkanałowym jako ćwieki Activ Point;
3) ćwieki Activ Point są produkowane wg norm ISO, są łatwe w użyciu, nie dają kontrastu na zdjęciach rtg;
4) ćwieki te nie nadają się do kanałów z dużym wysiękiem, gdyż zbyt szybko następuje dysocjacja chlorheksydyny;
5) chlorheksydyna niszczy bakterie Enterococcus faecalis.
Prawidłowa odpowiedź to:
Pytanie 21
Które ze stwierdzeń dotyczących otworu fizjologicznego są prawidłowe?
1) otwór fizjologiczny często nie jest prostym zwężeniem kanału, bywa wielokrotny lub stożkowaty;
2) w zębach z wykształconym otworem fizjologicznym grubość narzędzia nie ma dużego wpływu na dokładność pomiarów elektronicznych endometrem;
3) jednym z pewniejszych sposobów wyznaczania otworu fizjologicznego jest wyczucie nieznacznego oporu podczas wprowadzania pilnika do kanału;
4) elementem topograficznym wyznaczającym otwór fizjologiczny jest granica cementowo-zębinowa;
5) na zdjęciach rtg otwór fizjologiczny pokrywa się z otworem radiologicznym i znajduje się od 0,5 do 1,5 mm od wierzchołka korzenia.
Prawidłowa odpowiedź to:
Pytanie 22
Wśród zalet metod elektronicznego pomiaru długości kanałów korzeniowych w porównaniu z metodami radiologicznymi nie powinna się znaleźć:
Pytanie 23
N-lauroilosarkozynian sodu należy do:
Pytanie 24
Które ze zdań dotyczących adhezji jest prawdziwe?
1) wytrawianie zębiny kwasem ortofosforowym usuwa zarówno warstwę mazistą, jak i korki maziste;
2) do systemów total-etch należą systemy III, IV, V i VI generacji;
3) o sile wiązania systemu wiążącego do zębiny decyduje strefa kosmków żywicy wnikającej w kanaliki zębinowe;
4) istotnym czynnikiem poprawiającym szczelność wypełnienia jest dokładne wypłukanie primera samowytrawiającego;
5) w kondycjonowaniu zębiny przed założeniem cementu szkło-jonomerowego wykorzystuje się kwas poliakrylowy.
Prawidłowa odpowiedź to:
Pytanie 25
Które ze zdań dotyczących naprawy wypełnień są prawdziwe?
1) po właściwym zastosowaniu procedur adhezyjnych możliwe jest uzyskanie połączenia nowej i starej części wypełnienia, którego siły osiągają wartości kohezji jednolitego wypełnienia;
2) chemiczne połączenie starego i nowego wypełnienia jest możliwe jedynie w przypadku cementów szkło-jonomerowych;
3) wytrawianie kompozytów z mikrowypełniaczem za pomocą HF może trwale uszkodzić strukturę wypełnienia.
Prawidłowa odpowiedź to:
Pytanie 26
Bezwzględnym wskazaniem do opracowania ubytku jest powierzchnia:
1) żująca - przejaśnienie na rtg w obrębie zębiny bez ubytku tkanek zęba;
2) żująca - przejaśnienie na rtg w obrębie zębiny z ubytkiem tkanek zęba;
3) styczna - przejaśnienie na rtg w obrębie zębiny bez ubytku tkanek zęba;
4) styczna - przejaśnienie na rtg w obrębie zębiny z ubytkiem tkanek zęba.
Prawidłowa odpowiedź to:
Pytanie 27
Tlenek cynku z eugenolem wykazuje następujące właściwości:
1) odontotropowe, gdyż pobudza odontoblasty do wytwarzania zębiny trzeciorzędowej;
2) remineralizacyjne, gdyż pobudza komórki miazgi do czynności zewnątrzwydzielniczej;
3) przeciwzapalne, gdyż zmniejsza aktywność cykloksygenazy i produkcję mediatorów zapalenia;
4) jest biozgodny i dlatego może służyć do bezpośredniego pokrycia miazgi;
5) może maskować objawy toczącego się stanu zapalnego.
Prawidłowa odpowiedź to:
Pytanie 28
Ubytek klasy IV wg Blacka, stwarzający ryzyko złamania korony zęba, może być oznaczony w klasyfikacji Mounta Hume’a jako
Pytanie 29
30-letni mężczyzna doznał gwałtownego urazu w okolicy szczęki, w wyniku którego doszło do przerwania pęczka naczyniowo-nerwowego zębów 12 i 11. Konsekwencją tego może być:
1) powstanie kostniwiaka; 4) martwica miazgi;
2) polip miazgi; 5) resorpcja zewnętrzna zapalna.
3) powstanie szkliwiaka;
Prawidłowa odpowiedź to:
Pytanie 30
Przewlekłe ropne zapalenie tkanek okołowierzchołkowych charakteryzuje się powstaniem:
Pytanie 31
Pacjent lat 50, ogólnie zdrowy, w chwili badania nie zgłasza dolegliwości bólowych. Ząb 47 - bardzo słabo reaguje na chlorek etylu; brak reakcji na opukiwanie; na powierzchni żującej stwierdza się wypełnienie z materiału kompozytowego. Na powierzchni stycznej dystalnej widoczny jest ubytek schodzący głęboko poddziąsłowo, wypełniony masami próchnicowymi; w komorze - rozpadłe tkanki o zapachu gnilnym; w kanale dystalnym i w kanałach mezjalnych miazga reaguje bólem na nakłucie. Na podstawie powyższych danych można stwierdzić, że:
1) jest to zgorzel częściowa;
2) należy wykonać zdjęcie RTG zęba, celem oceny stanu przyzębia okołowierzchołkowego;
3) należy usunąć całą zawartość z kanałów mezjalnych i z kanału dystalnego;
4) należy zastosować leczenie metodą amputacji przyżyciowej;
5) należy zastosować leczenie otwarte.
Prawidłowa odpowiedź to:
Pytanie 32
Korona zęba trzonowego pierwszego jest wydłużona, brak jest przyszyjkowego zwężenia korony. Na podstawie zdjęcia RTG można stwierdzić, że rozwidlenie korzeni przesunięte jest w kierunku wierzchołkowym, komora zęba jest wydłużona, a korzenie są krótkie. Przedstawiony opis jest charakterystyczny dla zębów:
Pytanie 33
Pacjentka zgłosiła się do stomatologa zaniepokojona postępującą zmianą koloru korony zęba 11. Innych dolegliwości nie podaje. W badaniu przedmiotowym stwierdzono przebarwienie korony zęba 11, mające postać różowej plamki. Ząb reaguje prawidłowo na bodźce termiczne (badanie na chlorek etylu), brak reakcji bólowej na opukiwanie zęba. Dane z wywiadu i badania klinicznego wskazują, że:
1) jest to ząb dotknięty fluorozą;
2) jest to wynik przeświecania bogato unaczynionej ziarniny przez cienkie szkliwo pozbawione zębiny;
3) w zębie rozwija się resorpcja wewnętrzna typu B;
4) potwierdzenie diagnozy można uzyskać wykonując zdjęcie RTG zęba 11;
5) jest bezwzględne wskazanie do leczenia endodontycznego zęba 11;
6) w zębie rozwija się resorpcja zewnętrzna.
Prawidłowa odpowiedź to:
Pytanie 34
Po wytrawieniu szkliwa, doszło do kontaktu wytrawionej powierzchni zęba ze śliną. Konsekwencje tego są następujące:
1) nie wpłynie to istotnie na adhezję wypełnienia kompozycyjnego do szkliwa;
2) spowoduje to istotne pogorszenie adhezji wypełnienia kompozycyjnego do szkliwa;
3) wystarczy powtórzyć płukanie a następnie osuszyć powierzchnię szkliwa;
4) należy ponownie wytrawić szkliwo przez 5-10 sekund, następnie wypłukać i osuszyć powierzchnię szkliwa;
5) proces wytrawiania szkliwa może być prowadzony przy dostępie śliny.
Prawidłowa odpowiedź to:
Pytanie 35
Czego dotyczy wskaźnik PFRI (Plaque-Formation-Rate-Index)?
Pytanie 36
O postępującym zużyciu tkanek zębów, które szczególnie widoczne jest u osób w starszym wieku, może świadczyć:
Pytanie 37
Analiza zdjęć radiologicznych wykonanych w różnych projekcjach umożliwia:
Pytanie 38
Prawdą jest, że poszerzając kanał korzeniowy techniką „step-down” uzyskujemy:
1) łatwiejszy dostęp w okolicy przywierzchołkowej, szczególnie w kanałach zakrzywionych;
2) schodkowe opracowanie kanału w okolicy przywierzchołkowej;
3) zmniejszenie niebezpieczeństwa przepchnięcia zawartości z kanału poza otwór anatomiczny - usunięcie głównej masy zakażonej tkanki na początku zabiegu;
4) lepszą penetrację środków płuczących;
5) szerokie opracowanie części przywierzchołkowej.
Prawidłowa odpowiedź to:
Pytanie 39
Technika wypełniania kanału korzeniowego metodą kondensacji bocznej gutaperki na zimno charakteryzuje się tym, że:
Pytanie 40
Podczas opracowywania kanału korzeniowego techniką „step-back” należy przestrzegać następujących zasad:
1) na początku zabiegu powinno się ustalić długość roboczą kanału;
2) długość robocza kanału nie musi być ustalana na początku zabiegu;
3) w pierwszej kolejności opracowuje się część koronową kanału;
4) w czasie opracowania kanału należy stosować środki naoliwiające narzędzia kanałowe;
5) kanał opracowuje się w kształcie stożka bez poszerzania otworu fizjologicznego.
Prawidłowa odpowiedź to:
Pytanie 41
Podczas biomechanicznego opracowania kanału korzeniowego powstaje na jego ścianach warstwa mazista. Najskuteczniej można ją usunąć przepłukując kanał roztworem:
Pytanie 42
Do płukania kanałów korzeniowych służą roztwory środków płuczących. Wybierz środki i stężenia zapewniające optymalną ich skuteczność:
1) 3% H2O2; 4) 10% EDTA;
2) 20% kwas cytrynowy; 5) 1% chlorheksydyna.
3) 0,5-1% NaOCl;
Prawidłowa odpowiedź to:
Pytanie 43
W przypadku płukania kanału korzeniowego w trakcie zabiegu ekstyrpacji miazgi w znieczuleniu, najkorzystniejsze jest użycie określonych stężeń płynów według następującej kolejności:
Pytanie 44
Lizozym ma duże znaczenie w działaniu przeciwbakteryjnym. Wskaż błędne stwierdzenie:
Pytanie 45
Ślina ma obronne działanie w procesie próchnicowym. Wskaż błędne stwierdzenie:
Pytanie 46
Aby można było powiedzieć, że stosujemy metodę ergonomiczną w pracy na 4-ry ręce przy pacjencie leżącym muszą być spełnione następujące warunki: funkcjonalne ustawienie sprzętu, aby pole operacyjne i narzędzia znajdowały się w zasięgu ręki lekarza i asysty, racjonalny podział czynności i miejsca pracy między lekarzem a asystą, odpowiednie usadowienie lekarza, odpowiednie ułożenie pacjenta. W takiej pozycji nie można przeprowadzić:
1) badania pacjenta;
2) wykonywania korekty zgryzu;
3) pobierania wycisków;
4) leczenia endodontycznego;
5) wykonywania zabiegów chirurgicznych na przyzębiu.
Prawidłowa odpowiedź to:
Pytanie 47
Badania epidemiologiczne z roku 1995 wykazały w Polsce:
Pytanie 48
W badaniach epidemiologicznych przeprowadzonych w latach 1987 i 1995 u 7-latków stwierdzono:
1) redukcję średniej liczby PUW o 33%;
2) redukcję średniej liczby PUW o 12%;
3) zmniejszenie dwukrotne liczby wypełnień;
4) zwiększenie dwukrotne liczby wypełnień;
5) zmniejszenie wskaźnika leczenia;
6) zwiększenie wskaźnika leczenia.
Prawidłowa odpowiedź to:
Pytanie 49
Średnią liczbę PUW:
1) oblicza się dla wszystkich badanych;
2) oblicza się tylko dla osób z próchnicą;
3) oblicza się tylko dla zębów wypełnionych;
4) można obliczyć tylko u osób, które były objęte wcześniej programem profilaktycznym;
5) nie jest przydatna do porównań międzynarodowych;
6) jest przydatna do porównań międzynarodowych.
Prawidłowa odpowiedź to:
Pytanie 50
Intensywność próchnicy wyraża się wartością wskaźnika PUW. Dotyczy on:
1) wszystkich badanych; 4) zależy od skuteczności leczenia;
2) tylko badanych z próchnicą; 5) wskaźnik PUW jest mało przydatny do porównań międzynarodowych.
3) dotyczy tylko dzieci 12-letnich;
Prawidłowa odpowiedź to:
Pytanie 51
Wskaźnik leczenia próchnicy oznacza, że:
1) toczy się proces próchnicowy;
2) jest wskaźnikiem interwencji leczniczej;
3) zależy od zaawansowania świadomości, przekonań i zachowań zdrowotnych;
4) zależy od działań profilaktycznych;
5) służy do porównania stanu uzębienia;
6) służy do oceny skuteczności leczenia.
Prawidłowa odpowiedź to:
Pytanie 52
Opracowanie ubytku metodą tunelową polega na:
Pytanie 53
Technika FOTI jest stosowana w:
Pytanie 54
Do grupy uszczelniaczy kanałowych zawierających Ca(OH)2 należą:
Pytanie 55
Techniki iniekcyjne Obtura i Ultrafil wymagają rozgrzania gutaperki do:
Pytanie 56
Wskaż, która odpowiedź zawiera prawidłowe wyjaśnienie charakteru bólu:
Pytanie 57
Wybierz odpowiedź, która zawiera prawidłowe twierdzenia:
1) tkanka mieszana ma duże właściwości regeneracyjne i umożliwia apexogenezę pod wpływem leczenia biologicznego;
2) warstwa Weila tzw. warstwa bogatokomórkowa znajduje się na zewnątrz warstwy środkowej miazgi;
3) środkową część miazgi stanowi warstwa bogatokomórkowa zbudowana z komórek gwiaździstych;
4) odontoblasty w warunkach fizjologicznych ulegają odnowie;
5) odontoblasty zanikają w okolicy wierzchołkowej.
Prawidłowa odpowiedź to:
Pytanie 58
Wskaż odpowiedź błędną:
Pytanie 59
Wybierz odpowiedź, która zawiera prawidłowe stwierdzenia:
1) progiem pobudliwości nazywamy reakcje miazgi na najsłabszy bodziec;
2) obniżony próg pobudliwości świadczy o osłabieniu pobudliwości miazgi;
3) w ostrych zapaleniach miazgi próg pobudliwości jest podwyższony;
4) w przewlekłych zapaleniach miazgi pobudliwość jest zmniejszona;
5) osłabiona pobudliwość miazgi występuje w ostrych stanach zapalnych.
Prawidłowa odpowiedź to:
Pytanie 60
Podział zapaleń miazgi wg Wilgi błędnie określają odpowiedzi:
1) jest klasyfikacją symptomatologiczno-terapeutyczną;
2) jest klasyfikacją symptomatologiczno-histopatologiczną;
3) obarczona jest dużym błędem diagnostycznym sięgającym 90%;
4) w dużym odsetku przypadków rozpoznanie kliniczne było hipodiagnozą w stosunku do rzeczywistego stanu miazgi;
5) dzieli zapalenia miazgi na odwracalne i nieodwracalne.
Prawidłowa odpowiedź to:
Pytanie 61
Odpowiedzią błędnie opisującą mechanizm działania preparatów wodorotlenkowo-wapniowych jest:
Pytanie 62
Który z poniższych materiałów na bazie Ca(OH)2 zawiera salicylany?
Pytanie 63
Kanały typu-C najczęściej obserwuje się w zębach:
Pytanie 64
Choroby tkanek okołowierzchołkowych dzielimy na:
Pytanie 65
Szkliwiak należy do:
Pytanie 66
Zatrzymanie zębów oraz zaburzenia procesu wyrzynania należą do najczęściej obserwowanych nieprawidłowości układu stomatognatycznego. W którym z podanych przypadków nie ma bezwzględnych wskazań do usunięcia zatrzymanego zęba?
Pytanie 67
Resekcja szczytu korzenia zęba to zabieg polegający na odcięciu wierzchołka korzenia z równoczesnym usunięciem zapalno-wytwórczego ogniska okołowierzchołkowego. Przeciwwskazaniem do tego zabiegu jest:
Pytanie 68
Wśród torbieli zębopochodnych w klasyfikacji Pindborga i Kamera wyróżnia się torbiel pierwotną (cystis primordialis, keratocyst). Które z wymienionych poniżej stwierdzeń opisujących cechy torbieli pierwotnej jest nieprawdziwe?
Pytanie 69
Jednym z powikłań mogących wystąpić podczas wykonywania znieczuleń miejscowych tkanek jamy ustnej jest niezamierzone podanie środka znieczulającego do naczynia krwionośnego. W tych przypadkach po przekroczeniu jednorazowej dawki maksymalnej mogą wystąpić objawy zatrucia centralnego układu nerwowego. Wskaż, który z wymienionych objawów ogólnych nie występuje w zatruciu środkiem znieczulającym?
Pytanie 70
Jednym z sposobów postępowania w przypadkach krwawienia po zabiegu usunięcia zęba jest zszycie rany poekstrakcyjnej. Zabiegu tego nie wykonuje się w przypadku:
Pytanie 71
Do drobnoustrojów Gram-ujemnych nie zaliczamy:
Pytanie 72
LPS to:
Pytanie 73
Wskaźnikiem stanu przyzębia i potrzeb leczniczych jest:
Pytanie 74
Badanie kliniczne periodontologiczne obejmuje:
Pytanie 75
Do czynników ryzyka choroby przyzębia zaliczamy:
Pytanie 76
Zapalenie dziąseł w przebiegu cukrzycy należy do:
Pytanie 77
Do pierwszorzędnych cech agresywnego zapalenia przyzębia należą:
Pytanie 78
Leczenie przyczynowe choroby przyzębia nie obejmuje:
Pytanie 79
W których z wymienionych jednostek wskazane jest podanie Metronidazolu?
Pytanie 80
Choroba wieku dziecięcego, której objawy w jamie ustnej sprowadzają się do zaczerwienienia błony śluzowej i objawów wybroczyn podśluzówkowych określanych mianem plamek Forsheimera to:
Pytanie 81
Która z odpowiedzi w prawidłowy sposób szereguje zdjęcia w kolejności od najbardziej do najmniej czułych w odniesieniu do diagnostyki próchnicy szkliwa powierzchni stycznych?
Pytanie 82
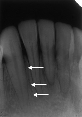
Pacjentka l. 40 zgłosiła się do gabinetu stomatologicznego z objawami nawracającego krwawienia z dziąseł w przednim odcinku żuchwy, które utrzymywały się przez okres ostatniego roku. Badaniem klinicznym stwierdzono obecność kamienia nazębnego oraz utratę przyczepu klinicznego przy zębach 31 i 41. Wykonane zdjęcie ukazało obecność struktury o charakterze przejaśnienia radiologicznego zlokalizowanego pomiędzy siekaczem bocznym o kłem (oznaczone strzałkami). Struktura ta odpowiada obrazowi:

Pytanie 83
Przeciwwskazania do leczenia zachowawczego zębów mlecznych z martwicą lub zgorzelinowym rozpadem miazgi są następujące:
1) przewlekłe stany zapalne tkanek okołozębowych;
2) przetoka ropna;
3) znaczne zniszczenie korony zęba niepozwalające na szczelne założenie wypełnienia;
4) małe funkcjonalne znaczenie zęba;
5) perforacja dna komory;
6) siekacze po urazach mechanicznych u dzieci po 5 roku życia.
Prawidłowa odpowiedź to:
Pytanie 84
Widoczne na zdjęciu zaciemnienie radiologiczne oznaczone strzałką odpowiada obrazowi:

Pytanie 85
Do wykonywania konwencjonalnych zdjęć wewnątrzustnych przeznaczonych do oceny zmian mineralizacji szkliwa na powierzchniach stycznych zębów bocznych najlepiej nadają się:
Pytanie 86
Dziecko 4-letnie uległo urazowi. Doszło do złamania korony zęba 51 z obnażeniem miazgi. Według klasyfikacji Ellisa uraz ten zaliczamy do:
Pytanie 87
Pacjent l. 48 zgłosił się do gabinetu stomatologicznego z powodu przebarwienia korony klinicznej. Ząb według pacjenta został wyleczony 2 lata wcześniej i obecnie nie daje dolegliwości bólowych choć przed wspomnianym leczeniem pacjent odczuwał niewielkie dolegliwości bólowe ze strony tego zęba, które pojawiały się okresowo od 5-6 lat i ustępowały samoistnie. Obraz radiologiczny korzenia zęba jest charakterystycznym objawem:

Pytanie 88
U dziecka 14-letniego ząb 44 ma uszkodzone guzki, reszta uzębienia pozostaje bez zmian patologicznych. Jest to zmiana rozwojowa typu hipoplazji z częściowo odsłoniętą zębiną. Nieprawdą jest, że:
Pytanie 89
W szczęce dziecka 12-letniego obserwowano zmiany hipoplastyczne w zębach 11, 21, 13, 23, 16, 26. W okresie rozwoju zawiązków tych zębów stałych dziecko przebyło ciężką chorobę wymagającą przewlekłej antybiotykoterapii. W jakim wieku najprawdopodobniej dziecko chorowało?
Pytanie 90
Cechą tyłozgryzu całkowitego jest:
Pytanie 91
Klasyfikacja okluzji wg Angle’a:
Pytanie 92
Nawykowe oddychanie przez usta powoduje:
Pytanie 93
Zgryz otwarty całkowity charakteryzuje się:
Pytanie 94
Ból samoistny, ujemny test badania żywotności miazgi, przetoka bierna, resorpcja zewnętrzna korzenia w obrazie RTG, upoważniają do postawienia rozpoznania:
Pytanie 95
Wskaż odpowiedź błędnie określającą właściwości podchlorynu sodu:
Pytanie 96
Który z wymienionych preparatów nie posiada właściwości chelatujących?
Pytanie 97
Technikę step-down prawidłowo określa odpowiedź:
1) opracowanie części przykoronowej ułatwia dostęp do zakrzywionej części przyszczytowej;
2) pierwsza faza polega na opracowaniu 2/3 kanału od strony przykoronowej z użyciem wierteł Gates-Glidden bez nadmiernego ucisku;
3) ustalenie długości roboczej na początku zabiegu zmniejsza ryzyko jej skrócenia;
4) w znacznym stopniu ograniczone jest ryzyko przepchnięcia zawartości kanału poza wierzchołek;
5) wadą jest gorsza penetracja środków płuczących.
Prawidłowa odpowiedź to:
Pytanie 98
Technikę zrównoważonej siły prawidłowo określa odpowiedź:
1) zalecana jest szczególnie do opracowywania szerokich zakrzywionych kanałów;
2) wymaga stosowania specjalnych giętkich pilniczków;
3) wadą techniki jest możliwość blokowania światła kanału przez wiórki zębinowe;
4) umożliwia zachowanie naturalnego przebiegu zakrzywionego kanału;
5) technika ta jest trudna w stosowaniu.
Prawidłowa odpowiedź to:
Pytanie 99
Która z poniższych odpowiedzi błędnie określa lecznicze działanie wodorotlenku wapnia?
Pytanie 100
Która z poniższych odpowiedzi jest nieprawdziwa w odniesieniu do preparatów na bazie tlenku cynku z eugenolem?
Pytanie 101
Która z poniższych odpowiedzi nie odnosi się do cystis radicularis?
Pytanie 102
Która z poniższych odpowiedzi nie odnosi się do periodontitis chronica fibrosa?
Pytanie 103
Brak dolegliwości bólowych, brak reakcji zęba na badanie żywotności, płynna zawartość w komorze zęba, gnilny zapach, brak zmian w obrazie RTG. Powyższe objawy dają podstawy do postawienia rozpoznania:
Pytanie 104
Która z poniższych odpowiedzi jest nieprawdziwa w odniesieniu do zdjęcia pantomograficznego?
Pytanie 105
Które ze stwierdzeń dotyczących zmniejszenia wymiarów zębów (microdontia) jest nieprawdziwe?
Pytanie 106
Matka zgłasza się z dzieckiem w wieku lat 10 po raz pierwszy do stomatologa. Podczas badania określono wartość puw = 8 oraz PUW = 2. Jak może przedstawiać się uzębienie tego dziecka?
Pytanie 107
Do gabinetu stomatologicznego zgłasza się matka z dzieckiem w wieku 2 lat. Podczas badania dziecka określono wartość puwp która wyniosła 88. Jakie rozpoznanie można postawić na podstawie uzyskanego wskaźnika puwp:
Pytanie 108
Minimalna grubość wypełnienia amalgamatowego o średnicy 2,5 ¸ 3 mm na powierzchni zgryzowej powinna wynosić:
Pytanie 109
Wskazaniami do przeprowadzenia w obrębie bruzd na powierzchniach zgryzowych zębów zabiegu lakowania poszerzonego są:
1) płytkie, zdrowe bruzdy;
2) małe ubytki próchnicowe na powierzchniach zgryzowych;
3) ryzyko słabszej retencji założonego laku w sposób konwencjonalny, zawłaszcza u dzieci niepełnosprawnych;
4) niepewny diagnostycznie stan bruzd - "haczenie”, utrata połysku;
5) wielokrotne wypadanie laku w całości lub częściowe jego wykruszanie na obwodzie bruzd.
Prawidłowa odpowiedź to:
Pytanie 110
W przypadku stwierdzenia dwóch ognisk próchnicowych na powierzchni zgryzowej zęba, przy planowaniu wypełnienia ich amalgamatem, lekarz powinien:
Pytanie 111
W trakcie leczenia endodontycznego dodatkowego kanału korzeniowego należy poszukiwać w:
1) pierwszym zębie trzonowym górnym - w pobliżu kanału przedsionkowego bliższego;
2) pierwszym zębie trzonowym dolnym - obok kanału bliższego przedsionkowego;
3) drugim zębie trzonowym górnym - w pobliżu kanału przedsionkowego dalszego;
4) pierwszym zębie trzonowym dolnym - w korzeniu dalszym;
5) dolnym kle - najczęściej od strony językowej.
Prawidłowa odpowiedź to:
Pytanie 112
U 30-letniego pacjenta od 3 dni występują nasilające się bóle samoistne zęba 15. W badaniu klinicznym stwierdzasz rozległy ubytek próchnicowy oraz obecność żywej miazgi, która wykazuje zwiększoną wrażliwość na bodźce. Równocześnie występuje silna reakcja na opukiwanie. W badaniu rtg obserwujesz niewielkie poszerzenie szpary ozębnowej. Rozpoznanie dotyczące stanu miazgi
i tkanek okołowierzchołkowych brzmi:
Pytanie 113
Co to są mosty pasywne?
Pytanie 114
Pacjent lat 24, ogólnie zdrowy, zgłasza się z niewielkimi dolegliwościami bólowymi zęba 35. Ból ma charakter samoistny i trwa z długimi przerwami od 24 godzin. W zębie tym stwierdzasz rozległy ubytek próchnicowy. Reakcja miazgi na bodźce jest prawidłowa. Po opracowaniu ubytku jego dno oddziela od miazgi cienka warstwa zdrowej zębiny. W opisanym przypadku należy:
Pytanie 115
Analizując zębowe zdjęcie rentgenowskie pacjenta w wieku 27 lat wykrywasz w obrębie zęba 22 resorpcję wewnętrzną typu A. Pacjent jest ogólnie zdrowy i utrzymuje prawidłową higienę jamy ustnej. Ząb 22 nie daje dolegliwości bólowych i prawidłowo reaguje na bodźce mechaniczne i chemiczne. W opisanym przypadku podejmiesz decyzję o:
Pytanie 116
Białe plamy na błonie śluzowej jamy ustnej dające się usunąć mechanicznie, są charakterystyczne dla:
Pytanie 117
Rumień wysiękowy wielopostaciowy:
1) może występować na błonie śluzowej jamy ustnej i na skórze;
2) jest chorobą, która dziedziczy się w sposób autosomalny dominujący;
3) zespół Stevensa-Johnsona jest najcięższą postacią tej choroby;
4) nie występuje u dzieci, często u młodych dorosłych, rzadziej u osób starszych;
5) leczenie polega na krótkotrwałej terapii kortykosterydami.
Prawidłowa odpowiedź to:
Pytanie 118
Alternatywną dla klasyfikacji Blacka klasyfikację ubytków próchnicowych podał(li):
Pytanie 119
Zębina pierwotna powstaje do momentu:
Pytanie 120



