Wyszukaj egzamin lub pytanie
Egzamin PES Stomatologia zachowawcza z endodoncją / jesień 2005
120 pytań
Pytanie 1
Wskaż błędną odpowiedź dotyczącą wskaźnika leczenia próchnicy (Dental Treatment Index):
Pytanie 2
Osobnicze zapobieganie próchnicy polega na:
Pytanie 3
Na ryzyko próchnicy nie ma wpływu:
Pytanie 4
Korzystne w zapobieganiu próchnicy jest:
Pytanie 5
Który z poniższych materiałów nie jest polecany?:
Pytanie 6
W czasie ekstrakcji zęba trzonowego stwierdzono, że jego korzenie są połączone w obrębie wierzchołków z korzeniami sąsiedniego zęba trzonowego. Powyższe zaburzenie:
1) jest cechą zębów zlanych;
2) dotyczy zębów zrośniętych;
3) dotyczy tylko zębów dodatkowych;
4) powstało w wyniku częściowego podziału zawiązka w stadium proliferacji;
5) jest wynikiem połączenia dwóch zawiązków w obrębie zębiny;
6) wiąże się z brakiem przegrody kostnej oddzielającej dwa zawiązki co powoduje przemieszczenia i połączenia zawiązków powstającym cementem.
Prawidłowa odpowiedź to:
Pytanie 7
Wybierz prawdziwe stwierdzenia o bezpostaciowej warstwie otaczającej kryształ hydroksyapatytu szkliwa:
1) to tzw. warstwa adsorpcyjna;
2) zasadniczo skład tej warstwy nie wpływa na stopień rozpuszczalności kryształu hydroksyapatytu;
3) do tej warstwy przyłączane są wolne jony fosforanowe i jony fluoru;
4) cytryniany i węglany obecne w tej warstwie nie wpływają na stopień rozpuszczalności kryształu hydroksyapatytu;
5) jony magnezu nigdy nie występują w tej warstwie.
Prawidłowa odpowiedź to:
Pytanie 8
Które z poniższych opisów odnoszą się do kanałów dodatkowych w zębach stałych?
1) stanowią odgałęzienie kanału głównego;
2) biorą początek w komorze zęba i biegną do ozębnej, gdzie kończą się otworami dodatkowymi;
3) są wynikiem perforacji powstałej w trakcie opracowywania kanału korzeniowego;
4) są szczególnie liczne w wierzchołkowej części kanału korzeniowego, gdzie tworzą tzw. deltę korzeniową;
5) często występują w zębach trzonowych w miejscu rozwidlenia korzeni;
6) określa się je mianem pseudokanałów;
7) są wynikiem perforacji dna komory.
Prawidłowa odpowiedź to:
Pytanie 9
Próchnica korzenia (caries radicis, root caries):
1) jest synonimem próchnicy przyszyjkowej;
2) jej występowanie jest uwarunkowane odsłonięciem powierzchni korzenia;
3) częstość jej występowania nie jest zależna jedynie od wieku;
4) występuje u pacjentów poddanych zabiegom radioterapii;
5) jej występowanie nie jest związane z recesją dziąsła;
6) powstaje bez udziału bakterii z gatunku Streptococcus mutans;
7) w jej powstaniu uczestniczą bakterie z rodzaju Actinomyces.
Prawidłowa odpowiedź to:
Pytanie 10
Pacjent lat 35, który jest przygotowywany do przeszczepienia szpiku kostnego, został skierowany do lekarza stomatologa celem sanacji jamy ustnej i wykluczenia ognisk zakażenia. Z dołączonej przez lekarza hematologa informacji wynika, że w postępowaniu przygotowawczym do transplantacji szpiku kostnego, chory otrzyma wysokodozowaną chemio i radioterapię kondycjonującą. Na podstawie badania przedmiotowego uzębienia stwierdzono: w zębie 16 zgorzel całkowitą; w zębie 45 na powierzchni dystalnej ubytek próchnicowy; w zębie 36 na powierzchni policzkowej szczelne wypełnienie amalgamatowe; w zębie 27 na powierzchni podniebiennej wypełnienie kompozycyjne założone dodziąsłowo z nadmiarem. Zęby 36 i 27 reagują prawidłowo na chlorek etylu.
W ramach przygotowania pacjenta lekarz stomatolog powinien wykonać następujące czynności:
1) ocenić stan miazgi w zębie 45;
2) usunąć ząb 16;
3) przeprowadzić leczenie endodontyczne zęba 16;
4) w zębie 36 wymienić wypełnienie amalgamatowe na kompomer;
5) w zębie 45 do wypełnienia ubytku zastosować metodę kanapkową z wykorzystaniem amalgamatu;
6) w zębie 27 wymienić wypełnienie na amalgamatowe;
7) zęby 36 i 27 nie wymagają żadnej ingerencji stomatologa.
Prawidłowa odpowiedź to:
Pytanie 11
Klinicznym objawem wczesnych zmian próchnicowych w szkliwie jest macula alba:
1) jest to zmiana wczesna o przewlekłym przebiegu;
2) jest charakterystyczna dla zmiany wczesnej o ostrym przebiegu;
3) występują w niej bakterie i toksyny bakteryjne;
4) poszerzone pory ułatwiają przenikanie kwasów w głąb szkliwa;
5) jej powstanie wiąże się z podpowierzchniową demineralizacją szkliwa.
Prawidłowa odpowiedź to:
Pytanie 12
Obniżenie progu pobudliwości miazgi stwierdzone w badaniu prądem elektrycznym:
1) świadczy o obniżonej pobudliwości miazgi;
2) świadczy o wzmożonej pobudliwości miazgi;
3) sugeruje przewlekły stan zapalny miazgi;
4) sugeruje ostry stan zapalny miazgi;
5) sugeruje martwicę miazgi;
6) świadczy o obecności zębiniaka w komorze zęba.
Prawidłowa odpowiedź to:
Pytanie 13
Podchloryn sodu (NaOCl) jest środkiem stosowanym w endodoncji do przemywania i przepłukiwania kanałów korzeniowych, ponieważ:
1) ma kwaśny odczyn i rozpuszcza tkankę nieorganiczną nie uszkadzając przy tym twardych tkanek zęba;
2) rozpuszcza tkankę organiczną nie uszkadzając przy tym twardych tkanek zęba;
3) nie działa wybielająco;
4) działa bakteriobójczo;
5) w wysokich stężeniach nie jest toksyczny;
6) nie ulega inaktywacji w kontakcie z materiałem organicznym.
Prawidłowa odpowiedź to:
Pytanie 14
Przejaśnienie na powierzchni żującej, widoczne na rtg skrzydłowo-zgryzowym w obrębie połączenia szkliwno-zębinowego:
Pytanie 15
Opracowanie ubytku abrazyjnego przed wypełnieniem materiałem złożonym polega na:
Pytanie 16
W przygotowaniu do wypełnienia ubytku klasy I materiałem złożonym, prawidłowo wykonane opracowanie szkliwa przedstawia rycina:

Pytanie 17
Do gabinetu stomatologicznego zgłasza się pacjent z licznymi ogniskami próchnicy cementu korzeniowego w postaci plam o czarnym zabarwieniu. Estetyka uzębienia nie jest dla pacjenta istotna. Najbardziej wskazaną metodą leczenia jest:
Pytanie 18
Kolejność warstw połączenia systemu łączącego IV generacji z zębiną przedstawia odpowiedź:
Pytanie 19
Które ze zdań dotyczących przykrycia bezpośredniego miazgi są prawdziwe?
1) wodorotlenek wapnia, w odróżnieniu od czynników łączących zębinę, daje mosty zębinowe pozbawione defektów tunelowych;
2) po przykryciu miazgi preparatami wodorotlenkowo-wapniowymi nietwardniejącymi i twardniejącymi, most zębinowy tworzy się nie bezpośrednio, lecz w pewnej odległości od powierzchni miazgi;
3) materiał MTA posiada właściwości odontotropowe dorównujące wodorotlenkowi wapnia;
4) czynniki łączące zębinę dają cieńsze od wodorotlenku wapnia mosty zębinowe.
Prawidłowa odpowiedź to:
Pytanie 20
Do gabinetu stomatologicznego zgłasza się pacjent niskiego ryzyka próchnicy, z pojedynczym ogniskiem w miejscu przecięcia się bruzd zęba 47. Najbardziej wskazaną metodę opracowania i wypełniania ubytku przedstawia rycina:

Pytanie 21
Który z podanych opisów nie ma wpływu na skurcz polimeryzacyjny materiału kompozytowego i szczelność wypełnienia w rozległym ubytku klasy II wg Blacka:
Pytanie 22
Wskaż działania zapobiegające przebarwieniom zębów w trakcie i po leczeniu endodontycznym:
Pytanie 23
Zaburzenia w postaci zmniejszonego wydzielania śliny prowadzącego do kserostomii mogą wystąpić:
1) w trakcie przyjmowania leków przeciwdepresyjnych, antyarytmicznych, antycholinergicznych, hormonalnych i innych;
2) u kobiet w okresie menopauzy i pomenopauzalnym;
3) u mężczyzn pracujących przez długi czas na wysokościach (np. monterzy);
4) podczas lub po naświetlaniach nowotworów twarzoczaszki lub szyi;
5) podczas miejscowego stosowania preparatów fluorowych, np. Duraphatu.
Prawidłowa odpowiedź to:
Pytanie 24
Funkcje, jakie pełni miazga są ściśle połączone z zębiną i uzupełniają się wzajemnie. Która z wymienionych funkcji endodontium nie jest prawdziwa?
Pytanie 25
Które z podanych stwierdzeń na temat śliny jest nieprawdziwe?
Pytanie 26
O opóźnionym ząbkowaniu możemy mówić gdy:
1) zęby mleczne wyrzynają się po 8 miesiącu życia dziecka;
2) zęby mleczne wyrzynają się po 12 miesiącu życia dziecka;
3) zęby stałe wyrzynaja się po 7 roku życia dziecka;
4) zęby stałe wyrzynaja się po 8 roku życia dziecka.
Prawidłowa odpowiedź to:
Pytanie 27
Ząb czwarty mleczny górny prawy oznaczamy następująco:

Pytanie 28
Torbiel umiejscowiona powierzchownie w dnie jamy ustnej o wyglądzie guza zabarwionego na kolor sinoniebieski, konsystencji elastyczno-miękkiej z objawami chełbotanie nazywana jest:
Pytanie 29
U dziecka 12-letniego ząb stały uległ całkowitemu zwichnięciu. Po 3 godzinach od urazu dokonano replantacji. Do jakich powikłań dochodzi najczęściej:
Pytanie 30
Przeciwwskazaniami do leczenia endodontycznego zębów mlecznych są:
1) patologiczna resorpcja korzeni;
2) początek resorpcji fizjologicznej korzeni;
3) znaczne zniszczenie korony zęba niezapewniające prawidłowej odbudowy;
4) zła higiena jamy ustnej, liczne zęby zgorzelinowe;
5) ząb przyczynowy ropnia lub z dużymi zmianami okołowierzchołkowymi.
Prawidłowa odpowiedź to:
Pytanie 31
Wskaż, która z wymienionych poniżej torbieli według podziału Pindborga i Kramera nie należy do torbieli niezębopochodnych:
Pytanie 32
W celu usunięcia zęba należy przerwać włókna ozębnej i pokonać opór ściany kostnej zębodołu. Osiągnąć to można poprzez wykonanie odpowiednich dla danej grupy zębów ruchów ekstrakcyjnych. Wskaż, który z wymienionych ruchów jest wskazany podczas usuwania trzecich zębów trzonowych szczęki:
Pytanie 33
Wskaż, która z podanych odpowiedzi opisujących cechy ropnia podniebienia twardego jest nieprawidłowa:
Pytanie 34
Gruźlica należy do zapaleń swoistych występujących w jamie ustnej. Objawia się w postaci charakterystycznych owrzodzeń błony śluzowej. Wskaż, która z poniższych odpowiedzi dotyczących owrzodzenia gruźliczego jest prawdziwa?
Pytanie 35
Diafanoskopia jest badaniem dodatkowym znajdującym zastosowanie w przypadku:
Pytanie 36
Prawidłowy zgryz w uzębieniu stałym charakteryzuje się:
1) obecnością diastemy fizjologicznej;
2) fizjologicznym nadzgryzem;
3) zachodzeniem zębów łuku górnego na powierzchnie wargowe i policzkowe zębów dolnych;
4) starciem powierzchni żujących;
5) zaklinowaniem pierwszego i drugiego górnego trzonowca guzkami policzkowymi dośrodkowymi w bruzdach międzyguzkowych policzkowych własnych antagonistów.
Prawidłowa odpowiedź to:
Pytanie 37
Pole biometryczne wg Izarda jest ograniczone przez:
Pytanie 38
Dorosły typ połykania charakteryzuje się:
Pytanie 39
Które z poniższych cech charakteryzują zgryz głęboki?
1) głębokie zachodzenie siekaczy górnych na dolne;
2) dwupoziomowa płaszczyzna zgryzowa;
3) asymetria twarzy;
4) wydłużenie dolnego odcinka twarzy;
5) wywinięta warga dolna.
Prawidłowa odpowiedź to:
Pytanie 40
Nieprawidłowości zębowe to:
Pytanie 41
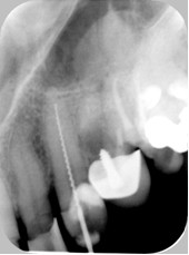
Jeżeli na przedstawionym poniżej zdjęciu długość części pracującej narzędzia kanałowego, które zostało wyprodukowane zgodnie ze standardem ISO i nie uległo wcześniej zniszczeniu, wynosi 13 mm to można stwierdzić że:

Pytanie 42
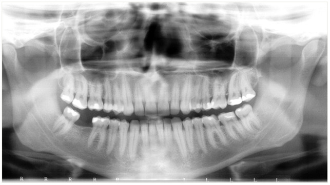
Na przedstawionym poniżej zdjęciu pantomograficznym można zauważyć nietypowy wygląd prawego siekacza centralnego w żuchwie. Obraz ten sugerować może:

Pytanie 43
Która z wymienionych mas wyciskowych nie nadaje się do wykonywania wycisków pod protezy częściowe ruchome?
Pytanie 44
Ząb filarowy opracowany pod koronę protetyczną powinien mieć przeciwstawne ściany oszlifowane zbieżnie po kątem:
Pytanie 45
System CEREC to nowoczesna metoda protetyczna uwzględniająca:
Pytanie 46
Co to są mosty pasywne?
Pytanie 47
Most Rochette’a jest to:
Pytanie 48
Główną zaletą cementów szklano-jonomerowych jest:
1) uwalnianie jonów fluorkowych;
2) dobra estetyka;
3) dobra adhezja chemiczna do szkliwa i zębiny;
4) duża wytrzymałość mechaniczna;
5) mała wrażliwość na wilgoć.
Prawidłowa odpowiedź to:
Pytanie 49
Które z niżej wymienionych zabiegów profilaktyki fluorkowej należą do indywidualnych, profesjonalnych metod zapobiegania próchnicy:
1) lakierowanie; 4) metoda Berggrena-Welandera;
2) lakowanie; 5) metoda Knutsona;
3) jonoforeza fluorkowa; 6) aplikatory.
Prawidłowa odpowiedź to:
Pytanie 50
Zębina sklerotyczna:
1) powstaje w wyniku procesu próchnicowego;
2) powstaje na skutek działania leków odontotropowych;
3) jest bardziej bolesna na nawiercanie od zębiny pierwotnej;
4) jest bardziej zmineralizowana od zębiny pierwotnej;
5) stanowi granicę usuwania tkanek podczas opracowywania ubytku.
Prawidłowa odpowiedź to:
Pytanie 51
Które ze stwierdzeń dotyczących zmniejszenia wymiarów zębów (microdontia) jest nieprawdziwe?
Pytanie 52
Hyperdontia spuria to:
Pytanie 53
Która z wymienionych cech nie określa Dentinogenesis imperfecta?
Pytanie 54
Lekarz rozpoznał u siedemdziesięcioletniej pacjentki, w zębach 23 i 24 próchnicę korzenia stopnia II, według Billings’a. Podjął następujące leczenie:
Pytanie 55
W ubytkach klasy I, przygotowywanych pod amalgamat, nadanie kształtu oporowego wymaga przestrzegania następujących zasad:
1) obowiązuje łagodne przejście ścian bocznych w dno;
2) minimalna głębokość ubytku na powierzchni zgryzowej powinna wynosić 2-3 mm powyżej podkładu;
3) nie wolno pozostawiać szkliwa niepodpartego zębiną;
4) obowiązuje właściwe ukształtowanie dna ubytku - musi być płaskie;
5) minimalna głębokość ubytku na powierzchni zgryzowej może wynosić 1 mm powyżej podkładu.
Prawidłowa odpowiedź to:
Pytanie 56
Skurcz polimeryzacyjny materiałów kompozycyjnych powoduje:
Pytanie 57
Które z określeń dotyczących fluorozy zębów nie jest prawdziwe?
Pytanie 58
W której z warstw wczesnej zmiany próchnicowej w szkliwie występuje największa utrata substancji mineralnej wahająca się
od 5-25%?
Pytanie 59
Jednym z mechanizmów kariostatycznego oddziaływania fluoru jest powstawanie fluorku wapnia. Które z podanych stwierdzeń jest prawdziwe?
1) tworzy się po zastosowaniu na szkliwo stężeń fluoru poniżej 100 ppm;
2) tworzy się po zastosowaniu na szkliwo stężeń fluoru powyżej 100 ppm;
3) stanowi depozyt z którego przy niskim pH otaczającego środowiska uwalniają się jony fluorkowe;
4) stanowi depozyt z którego uwalniają się jony fluorkowe niezależnie od pH otaczającego środowiska;
5) ze względu na niską rozpuszczalność jego powstanie nie ma znaczenia w procesach demineralizacji i remineralizacji szkliwa.
Prawidłowa odpowiedź to:
Pytanie 60
Które z wymienionych zabiegów nie są leczeniem inwazyjnym?
1) lakierowanie; 4) PRR;
2) lakowanie; 5) opracowanie ubytku pod wypełnienia adhezyjne.
3) poszerzone lakowanie;
Prawidłowa odpowiedź to:
Pytanie 61
Które z podanych określeń dotyczących zębiny sklerotycznej jest prawdziwe?
1) synonimem jej jest warstwa przejaśnienia lub przezroczysta;
2) stanowi naturalną granicę usuwania zmienionej zębiny podczas opracowania ubytku;
3) nazywana jest zębiną naprawczą;
4) nazywana jest warstwą nieznacznego odwapnienia;
5) we wczesnej zmianie próchnicowej zębiny znajduje się między warstwą pustych kanalików a warstwą prawidłowej zębiny pierwotnej.
Prawidłowa odpowiedź to:
Pytanie 62
Które z zastosowań cementów szkło-jonomerowych jest niewłaściwe?
Pytanie 63
Podczas leczenia resorpcji zapalnej przyszyjkowej należy pamiętać o tym, że:
1) o powodzeniu leczenia decyduje przede wszystkim rozpoznanie choroby we wczesnym stadium;
2) tradycyjną metodą postępowania jest chirurgiczne odsłonięcie miejsca zmiany, wyłyżeczkowanie i wypełnienie ubytku korzenia cementem glasjonomerowym;
3) alternatywną metodą jest użycie 90% wodnego roztworu kwasu mrówkowego;
4) leczenie endodontyczne może być wdrożone dopiero po wygojeniu błony śluzowej;
5) leczenie tej postaci resorpcji przysparza z reguły wiele problemów.
Prawidłowa odpowiedź to:
Pytanie 64
Wskaż prawidłową odpowiedź dotyczącą stosowania chlorheksydyny w leczeniu kanałowym:
1) jest używana do płukania kanałów w stężeniu 0,02% do 2%;
2) jest skutecznym opatrunkiem wewnątrzkanałowym jako ćwieki Activ Point;
3) ćwieki Activ Point są produkowane wg norm ISO, są łatwe w użyciu, nie dają kontrastu na zdjęciach rtg;
4) ćwieki te nie nadają się do kanałów z dużym wysiękiem, gdyż zbyt szybko następuje dysocjacja chlorheksydyny;
5) chlorheksydyna niszczy bakterie Enterococcus faecalis.
Prawidłowa odpowiedź to:
Pytanie 65
Które ze stwierdzeń dotyczących otworu fizjologicznego są prawidłowe?
1) otwór fizjologiczny często nie jest prostym zwężeniem kanału, bywa wielokrotny lub stożkowaty;
2) w zębach z wykształconym otworem fizjologicznym grubość narzędzia nie ma dużego wpływu na dokładność pomiarów elektronicznych endometrem;
3) jednym z pewniejszych sposobów wyznaczania otworu fizjologicznego jest wyczucie nieznacznego oporu podczas wprowadzania pilnika do kanału;
4) elementem topograficznym wyznaczającym otwór fizjologiczny jest granica cementowo-zębinowa;
5) na zdjęciach rtg otwór fizjologiczny pokrywa się z otworem radiologicznym i znajduje się od 0,5 do 1,5 mm od wierzchołka korzenia.
Prawidłowa odpowiedź to:
Pytanie 66
Wśród zalet metod elektronicznego pomiaru długości kanałów korzeniowych w porównaniu z metodami radiologicznymi nie powinna się znaleźć:
Pytanie 67
30-letni mężczyzna doznał gwałtownego urazu w okolicy szczęki, w wyniku którego doszło do przerwania pęczka naczyniowo-nerwowego zębów 12 i 11. Konsekwencją tego może być:
1) powstanie kostniwiaka; 4) martwica miazgi;
2) polip miazgi; 5) resorpcja zewnętrzna zapalna.
3) powstanie szkliwiaka;
Prawidłowa odpowiedź to:
Pytanie 68
Korona zęba trzonowego pierwszego jest wydłużona, brak jest przyszyjkowego zwężenia korony. Na podstawie zdjęcia RTG można stwierdzić, że rozwidlenie korzeni przesunięte jest w kierunku wierzchołkowym, komora zęba jest wydłużona, a korzenie są krótkie. Przedstawiony opis jest charakterystyczny dla zębów:
Pytanie 69
Pacjentka zgłosiła się do stomatologa zaniepokojona postępującą zmianą koloru korony zęba 11. Innych dolegliwości nie podaje. W badaniu przedmiotowym stwierdzono przebarwienie korony zęba 11, mające postać różowej plamki. Ząb reaguje prawidłowo na bodźce termiczne (badanie na chlorek etylu), brak reakcji bólowej na opukiwanie zęba. Dane z wywiadu i badania klinicznego wskazują, że:
1) jest to ząb dotknięty fluorozą;
2) jest to wynik przeświecania bogato unaczynionej ziarniny przez cienkie szkliwo pozbawione zębiny;
3) w zębie rozwija się resorpcja wewnętrzna typu B;
4) potwierdzenie diagnozy można uzyskać wykonując zdjęcie RTG zęba 11;
5) jest bezwzględne wskazanie do leczenia endodontycznego zęba 11;
6) w zębie rozwija się resorpcja zewnętrzna.
Prawidłowa odpowiedź to:
Pytanie 70
Po wytrawieniu szkliwa, doszło do kontaktu wytrawionej powierzchni zęba ze śliną. Konsekwencje tego są następujące:
1) nie wpłynie to istotnie na adhezję wypełnienia kompozycyjnego do szkliwa;
2) spowoduje to istotne pogorszenie adhezji wypełnienia kompozycyjnego do szkliwa;
3) wystarczy powtórzyć płukanie a następnie osuszyć powierzchnię szkliwa;
4) należy ponownie wytrawić szkliwo przez 5-10 sekund, następnie wypłukać i osuszyć powierzchnię szkliwa;
5) proces wytrawiania szkliwa może być prowadzony przy dostępie śliny.
Prawidłowa odpowiedź to:
Pytanie 71
Podczas opracowywania kanału korzeniowego techniką „step-back” należy przestrzegać następujących zasad:
1) na początku zabiegu powinno się ustalić długość roboczą kanału;
2) długość robocza kanału nie musi być ustalana na początku zabiegu;
3) w pierwszej kolejności opracowuje się część koronową kanału;
4) w czasie opracowania kanału należy stosować środki naoliwiające narzędzia kanałowe;
5) kanał opracowuje się w kształcie stożka bez poszerzania otworu fizjologicznego.
Prawidłowa odpowiedź to:
Pytanie 72
W przypadku płukania kanału korzeniowego w trakcie zabiegu ekstyrpacji miazgi w znieczuleniu, najkorzystniejsze jest użycie określonych stężeń płynów według następującej kolejności:
Pytanie 73
Zmiany zachodzące w endodontium, związane wyłącznie ze starzeniem się organizmu są następujące:
1) zmniejsza się ilość komórek i elementów włóknistych w miazdze;
2) światło jamy zęba ulega zmniejszeniu na skutek odkładania się zębiny wtórnej patologicznej;
3) zmniejszają się właściwości obronne i regeneracyjne miazgi;
4) zwapnieniu ulegają włókna nerwowe i naczynia krwionośne;
5) światło jamy zęba ulega zmniejszeniu na skutek odkładania się zębiny wtórnej fizjologicznej.
Prawidłowa odpowiedź to:
Pytanie 74
Lekarz w końcowym etapie opracowania głębokiego ubytku próchnicowego w zębie 33, doszczętnie usunął próchnicową zębinę na jego dnie i spowodował punktowe obnażenie miazgi. Stan taki określa się jako:
Pytanie 75
Rozpoznawanie początkowych ognisk próchnicy na powierzchniach stycznych zębów przeprowadza się badaniem:
1) wzrokiem;
2) radiologicznym (zdjęcia skrzydłowo-zgryzowe i RVG);
3) przez podświetlenie zęba światłem widzialnym;
4) metodą transiluminacji w przypadku stłoczenia zębów;
5) za pomocą nitki dentystycznej.
Prawidłowa odpowiedź to:
Pytanie 76
Pacjentka w wieku 29 lat zgłosiła się do lekarza stomatologa z powodu dolegliwości bólowych występujących w zębie 35. Bóle pojawiły się po raz pierwszy miesiąc temu. Trwały kilka dni, ustąpiły po zażyciu tabletek o działaniu przeciwzapalnym i przeciwbólowym, i ponownie pojawiły się kilka dni temu. Obecnie mają charakter ćmiący, a ich natężenie wzrasta przy zmianie pozycji ciała. Wstępne rozpoznanie, na podstawie przeprowadzonego wywiadu, jest następujące:
Pytanie 77
Dla procesów zapalnych miazgi toczących się w zębach żuchwy charakterystyczny jest ból promieniujący do:
1) oka; 2) ucha; 3) potylicy; 4) szyi; 5) skroni.
Prawidłowa odpowiedź to:
Pytanie 78
Zęby sieczne żuchwy:
1) są zawsze jednokanałowe; 3) mają okrągły przekrój;
2) mogą posiadać 2 kanały; 4) mają owalny przekrój.
Prawidłowa odpowiedź to:
Pytanie 79
Do zmian chorobowych w jamie ustnej ściśle związanych z zakażeniem wirusem HIV należą:
1) pemfigoid pęcherzowy; 4) mięsak Kaposiego;
2) kandydoza ostra i przewlekła; 5) erytroleukoplakia.
3) leukoplakia włochata;
Prawidłowa odpowiedź to:
Pytanie 80
Obrzęk naczynioruchowy Quinckego:
1) może obejmować okolice oczodołu, wargi i język;
2) objawy kliniczne związane są z typem IV odpowiedzi alergicznej późnej, komórkowej;
3) w leczeniu wskazane jest podanie leków przeciwhistaminowych;
4) objawy kliniczne manifestują się w jamie ustnej najbardziej intensywnie po 24 godzinach od kontaktu z alergenem;
5) objawy kliniczne związane są z typem I odpowiedzi alergicznej natychmiastowej i z reakcją przeciwciał IgE.
Prawidłowa odpowiedź to:
Pytanie 81
Zespół Stevensa-Johnsona jest ciężką postacią kliniczną:
Pytanie 82
Do leczenia w klinice zgłosił się 28-letni mężczyzna, niepalący, niepodający chorób układowych, z białymi, nieusuwalnymi i niebolesnymi płytkami na bocznej powierzchni języka. Zmiany były słabo ograniczone, lekko pomarszczone i prążkowane, utrzymywały się od 4 miesięcy. U pacjenta stwierdzono ponadto uogólnione zaczerwienienie dziąsła brzeżnego. Najbardziej prawdopodobne rozpoznanie kliniczne zmiany na języku to:
Pytanie 83
Skład ćwieków gutaperkowych stosowanych w endodoncji poprawnie określa odpowiedź:
Pytanie 84
W stadium AIDS mogą wystąpić dodatkowo różne zakażenia wirusowe wywołujące zmiany w jamie ustnej jak np.:
1) zakażenie ludzkim wirusem brodawczaka (HPV), wirusem ospy wietrznej i półpaśca (VZV), wirusem Epsteina-Barra (EBV;
2) wirusem opryszczki zwykłej (HSV), wirusem nagminnego zapalenia ślinianek przyusznych (Myxovirus parotidis), cytomegalowirusem (CMV);
3) wirusem Epsteina-Barra (EBV), cytomegalowirusem (CMV), wirusem mięczaka zakaźnego (MCV);
4) wirusem ospy i półpaśca (VZV), wirusem wywołującym Herpanginę Zahorskiego (Coxackie virus), wirusem opryszczki zwykłej (HSV);
5) wirusem mięczaka zakaźnego (MCV), wirusem ludzkiego brodawczaka (HPV), wirusem Epsteina-Barra (EBV).
Prawidłowa odpowiedź to:
Pytanie 85
System Obtura jest przykładem systemu do:
Pytanie 86
Wskaż błędną odpowiedź:
Pytanie 87
Obwódka osteosklerotyczna widoczna na zdjęciu RTG jako wąska strefa zaciemnienia otaczająca ognisko przejaśnienia znajdujące się przy wierzchołku korzenia zęba:
1) jest przykładem zmian postępowych w kości;
2) występuje często w przypadku ziarniniaków zbudowanych z ziarniny dojrzałej w starej;
3) występuje często w przypadku ostrych zapaleń tkanek przyzębia okołowierzchołkowego;
4) jest wyrazem reakcji obronnej kości;
5) współistnieje z przetoką;
6) jest to przykład agresywnie rozwijających się zmian zapalnych w kości.
Prawidłowa odpowiedź to:
Pytanie 88
Do alternatywnych metod usuwania próchnicowej zębiny nie zalicza się:
1) metody ART; 3) metody abrazji powietrznej;
2) metody chemomechanicznej; 4) metody PRR.
Prawidłowa odpowiedź to:
Pytanie 89
Podaj prawdziwe stwierdzenia dotyczące płytki nazębnej:
1) metabolizm bakterii płytki prowadzi do tworzenia kwasów i zasad;
2) metabolizm bakterii płytki prowadzi wyłącznie do powstania kwasów;
3) zapasowymi polisacharydami bakteryjnymi są dekstran, fruktan i glikogen;
4) płytkę można usunąć mechanicznie;
5) płytkę można usunąć za pomocą strumienia wody pod ciśnieniem.
Prawidłowa odpowiedź to:
Pytanie 90
Prawdopodobna dawka toksyczna fluoru wynosi:
Pytanie 91
Rezerwą metaboliczną paciorkowców nie jest:
1) sacharoza; 2) dekstran; 3) lewan; 4) glikogen; 5) glukoza.
Prawidłowa odpowiedź to:
Pytanie 92
Podpowierzchniowa demineralizacja (porowatość) szkliwa występuje w:
1) początkowej zmianie próchnicowej; 3) niecałkowitym rozwoju szkliwa;
2) fluorozie zębów; 4) niecałkowitym rozwoju zębiny.
Prawidłowa odpowiedź to:
Pytanie 93
Endogenny mechanizm kariostatycznego działania fluoru nie polega na:
1) powstawaniu fluoroapatytu;
2) powstawaniu fluorku wapnia;
3) hamowaniu aktywności enolazy;
4) wbudowywaniu się w powierzchniową warstwę szkliwa;
5) powodowaniu zmian morfologicznych zębów (płytszych bruzd na powierzchni żującej).
Prawidłowa odpowiedź to:
Pytanie 94
Pacjent użytkujący protezy całkowite od 7 lat zgłosił się z objawami pieczenia błony śluzowej jamy ustnej. Stwierdzono stomatopatię protetyczną powikłaną infekcją grzybiczą oraz brak stabilizacji protez. Postępowaniem z wyboru jest:
Pytanie 95
Wkłady koronowo-korzeniowe mogą być wykonane z różnych materiałów. Który z poniższych materiałów nie nadaje się do wykonawstwa wkładów koronow-korzeniowych jednolicie lanych (monostopowych)?
Pytanie 96
Ubytek przyczepu łącznotkankowego jest objawem świadczącym o uszkodzeniu tkanek podporowych zęba. Wyznaczamy go mierząc odległość:
Pytanie 97
Wskaźnikiem stanu przyzębia i potrzeb leczniczych jest:
Pytanie 98
Zapalenie dziąseł w przebiegu cukrzycy należy do:
Pytanie 99
U pacjenta praworęcznego wykazano występowanie uogólnionych recesji dziąsła w II klasie Millera (największe w szczęce po stronie lewej). Wykazano, że pacjent używa twardą szczoteczkę, szczotkuje zęby 4 razy dziennie po 5 min., nie unika poziomego szorowania zębów. Przeprowadzono reedukację w zakresie higieny jamy ustnej. Postępowanie to można zakwalifikować jako:
Pytanie 100
Mając do dyspozycji wyłącznie materiał złożony, można wykonać następujący rodzaj szyny:
Pytanie 101
Który z wymienionych przyborów do zachowania higieny uzębienia wydaje Ci się najważniejszy?
Pytanie 102
Test Owsińskiego jest pomocny w ocenie:
Pytanie 103
Dla periodontitis chronica purulenta charakterystyczne jest:
1) brak dolegliwości bólowych;
2) przetoki;
3) brak zmian w tkankach okołowierzchołkowych;
4) zmiany w tkankach okołowierzchołkowych;
5) silna bolesność odpowiednich węzłów chłonnych.
Prawidłowa odpowiedź to:
Pytanie 104
Które ze zdań jest fałszywe?
Pytanie 105
Fałszywe jest zdanie:
Pytanie 106
System Obtura służy do:
Pytanie 107
Antybiotyki w leczeniu endodontycznym powinny być podawane pacjentom, u których stwierdzono:
1) wysoką temperaturę; 4) przetokę;
2) silny, utrzymujący się lub narastający obrzęk; 5) ból.
3) szczękościsk;
Prawidłowa odpowiedź to:
Pytanie 108
Preparaty odontotropowe służą do:
Pytanie 109
Jeśli siekacz żuchwy posiada dwa kanały, to nazywamy je:
Pytanie 110
Kwas cytrynowy stosowany jest zamiennie z:
Pytanie 111
Podstawowym materiałem służącym do ostatecznego wypełnienia kanałów korzeniowych są:
Pytanie 112
Lekarz w trakcie opracowania komory zęba przypadkowo dokonał perforacji jej dna. Do ostatecznego zamknięcia perforacji może posłużyć się następującymi materiałami:
1) cementem karboksylowym; 4) amalgamatem;
2) cementem szklanojonomerowym; 5) cementem twardniejącym na bazie wodorotlenku wapnia.
3) cementem MTA;
Prawidłowa odpowiedź to:
Pytanie 113
Podczas wykonywania niektórych zabiegów stomatologicznych dochodzi do przejściowej bakteremii. Do pacjentów wymagających profilaktycznego, wcześniejszego podania antybiotyku należą chorzy z:
1) chorobą reumatyczną serca; 4) endoprotezami stawowymi;
2) nabytą wadą zastawkową; 5) nadciśnieniem.
3) kontrolowaną cukrzycą;
Prawidłowa odpowiedź to:
Pytanie 114
Do specjalistycznego gabinetu stomatologicznego zgłosiła się pacjentka w celu leczenia endodontycznego zęba 24. Lekarz postawił rozpoznanie - gangrena pulpae. Z powodu sztucznej zastawki serca pacjentka wymaga przed leczeniem profilaktycznego podania antybiotyku. Antybiotykiem pierwszego wyboru będzie:
Pytanie 115
Zapalenie przewlekłe ropne tkanek okołowierzchołkowych może być bezpośrednim następstwem:
1) zapalenia przewlekłego ziarninowego; 4) zapalenia ostrego ropnego;
2) zapalenia przewlekłego włóknistego; 5) zropienia torbieli korzeniowej.
3) zgorzelinowego zapalenia miazgi;
Prawidłowa odpowiedź to:
Pytanie 116
Według najnowszych poglądów bezwzględnym wskazaniem do wymiany wypełnień z materiałów złożonych jest:
Pytanie 117
Metoda tunelowa odbudowy ubytków klasy II charakteryzuje się tym, że:
1) jest dość łatwa do wykonania;
2) zęby wypełnione metodą tunelową mają zmniejszoną w stosunku do zębów zdrowych odporność na złamanie;
3) najbardziej korzystna, gdy opracowane tunele są bardzo wysokie;
4) materiałem polecanym do wypełnienia ubytków tunelowych są cementy szklano-jonomerowe;
5) najlepszym materiałem do wypełnienia ubytków tunelowych są cementy.
Prawidłowa odpowiedź to:
Pytanie 118
Zastosowanie pasty nietwardniejącej Ca(OH)2 jako opatrunku w kanale korzeniowym przyczynia się do:
1) rozpuszczania martwych tkanek;
2) tworzenia cementu korzeniowego w okolicy wierzchołkowej w czasie 3 miesięcy;
3) tworzenia bariery ziarninowej;
4) redukcji przesączu płynu wierzchołkowego do kanału;
5) tworzenia cementu korzeniowego w okolicy wierzchołkowej w czasie 9 do 12 miesięcy.
Prawidłowa odpowiedź to:
Pytanie 119
Za prawidłowe uznaje się gojenie złamania korzenia przebiegające w następujący sposób:
1) wytwarza się kość w szparze złamania;
2) wytwarza się tkanka ziarninowa i tkanka łączna w szparze złamania;
3) wytwarza się tkanka zwapniała pomiędzy odłamami;
4) wytwarza się tkanka łączna w szparze złamania;
5) wytwarza się kość i tkanka łączna pomiędzy odłamami.
Prawidłowa odpowiedź to:
Pytanie 120



