Wyszukaj egzamin lub pytanie
Egzamin PES Reumatologia / jesień 2010
120 pytań
Pytanie 1
56-letnia kobieta zgłosiła się do lekarza z powodu napadowo powtarzających się (co 6-12 tygodni) od 2 lat epizodów znaczącego bólu i obrzęku stawu międzypaliczkowego bliższego II palca prawej ręki ze wzmożeniem miejscowego ucieplenia. Ból i obrzęk narastają w ciągu ok. 2-3 godzin, pojawiają się również bolesne guzki w tkance okołostawowej. Po 24 godzinach objawy ustępują całkowicie, znikają guzki. W badaniach laboratoryjnych: OB 15 mm/h, Hgb 13,5 g/dl, L 6,8 G/l, RF ujemny, kwas moczowy 5,6 mg/dl. W badaniu RTG - obrzęk tkanek miękkich. W przedstawionym przypadku najbardziej prawdopodobnym rozpoznaniem jest:
Pytanie 2
Wskaż stwierdzenie nieprawdziwe w odniesieniu do charakterystyki wrodzonej łamliwości kości (osteogenesis imperfecta):
Pytanie 3
65-letni mężczyzna zgłosił się do reumatologa z powodu utrzymującego się od tygodnia bólu i obrzęku w stawie kolanowym. Choruje od kilku lat na dnę moczanową, ale dotychczas miewał napady bólu wyłącznie w obrębie I stawu śródstopno-paliczkowego prawej stopy. Tym razem więc nie zażył kolchicyny, ponieważ wolał poradzić się lekarza, a poza tym ból nie był tak dokuczliwy jak zwykle. Reumatolog usunął wysięk ze stawu kolanowego i pobrał próbkę do badania, otrzymując wkrótce wynik: w płynie stawowym stwierdzono kryształy romboidalne wykazujące słabą dodatnią dwójłomność. Dg. Chondrokalcynoza.
W przedstawionej sytuacji należy:
Pytanie 4
38-letnia kobieta chorująca na pierwotny zespół antyfosfolipidowy (APS) zwróciła się do swojego reumatologa z pytaniem, dlaczego jej znajoma cierpiąca na wtórny APS (w przebiegu tocznia rumieniowatego układowego TRU) jest leczona glikokortykosteroidami, a ona sama tych leków nie otrzymuje. Lekarz prowadzący powinien udzielić następujących informacji:
Pytanie 5
Wymień objawy kliniczne i/lub zaburzenia serologiczne wspólne dla obrazu klinicznego zespołu Sjögrena i tocznia rumieniowatego układowego (TRU):
1) ból lub zapalenie stawów; 4) obecność przeciwciał
2) objaw Raynauda; anty-Ro (SS-A);
3) powiększenie węzłów chłonnych; 5) leukopenia.
Prawidłowa odpowiedź to:
Pytanie 6
38-letnia kobieta zgłosiła się do lekarza z powodu utrzymujących się od kilku tygodni: przekrwienia spojówek i pieczenia oczu, suchości w jamie ustnej i utraty smaku oraz bólu i obrzęku stawów kolanowych i skokowych. W wywiadzie: zespół Löfgrena i nadciśnienie tętnicze. W badaniach laboratoryjnych: OB 120 mm/h, RF 1/160, ANA 1/320. W przedstawionym przypadku:
Pytanie 7
Wymień stwierdzenia prawdziwe w odniesieniu do wtórnego zespołu Sjögrena:
1) stanowi 60% wszystkich przypadków choroby;
2) najczęściej towarzyszy RZS;
3) w terapii podstawowe znaczenie ma leczenie choroby podstawowej;
4) może towarzyszyć chorobie „przeszczep przeciwko gospodarzowi”;
5) przeciwciała anty-Ro, anty-La występują znacznie rzadziej niż w postaci pierwotnej.
Prawidłowa odpowiedź to:
Pytanie 8
Najbardziej typowym objawem skórnym zespołu antyfosfolipidowego (APS) jest/są:
Pytanie 9
W odniesieniu do przeciwciał antyfosfolipidowych (APLA) prawdziwe są wszystkie poniższe stwierdzenia, z wyjątkiem:
Pytanie 10
Wskaż metodę(y), jaką(imi) oznacza się występowanie czynnika reumatoidalnego (RF) w klasach: IgA, IgG i IgE:
1) odczyn lateksowy;
2) odczyn Waalera i Rose’a;
3) testy immunoenzymatyczne (np. ELISA);
4) immunofluorescencja pośrednia;
5) nefelometria laserowa.
Prawidłowa odpowiedź to:
Pytanie 11
Do cech charakterystycznych prawidłowego płynu stawowego należą wszystkie poniższe, z wyjątkiem:
Pytanie 12
Ragocyty są to:
Pytanie 13
Zgodnie ze wskaźnikiem aktywności choroby DAS28 w reumatoidalnym zapaleniu stawów (RZS) aktywność małą i dużą, odpowiednio, definiuje się jako:
Pytanie 14
Wskaż zmiany pozastawowe w reumatoidalnym zapaleniu stawów (RZS) związane patogenetycznie z zapaleniem naczyń:
1) guzki reumatoidalne; 4) martwica skóry;
2) skrobiawica wtórna; 5) polineuropatia, mononeuritis
3) śródmiąższowe zapalenie nerek; multiplex.
Prawidłowa odpowiedź to:
Pytanie 15
Do zmian w badaniu kapilaroskopowym wałów paznokciowych charakteryzujących zaburzenia mikrokrążenia w przebiegu twardziny układowej należą:
1) wynaczynienia; 4) cienkie, długie pętle naczyniowe;
2) pętle zastoinowe; 5) obszary awaskularyzacji;
3) kapilary olbrzymie; 6) pętle krzaczaste.
Prawidłowa odpowiedź to:
Pytanie 16
52-letnia kobieta, pracownik umysłowy, zgłosiła się do reumatologa z powodu bólu w okolicy prawego nadgarstka, nasilającego się przy prostowaniu i odwodzeniu kciuka. Ból utrudnia wykonywanie drobnych prac domowych. Dolegliwości utrzymują się od około miesiąca. Badanie internistyczne bez zmian, temperatura ciała, tętno, ciśnienie tętnicze prawidłowe. W badaniach laboratoryjnych poza podwyższonym stężeniem cholesterolu i trójglicerydów nie wykazano odchyleń od stanu prawidłowego. Najbardziej prawdopodobne rozpoznanie to:
1) zespół kanału nadgarstka;
2) zespół de Quervaina;
3) fibromialgia;
4) borelioza;
5) reaktywne zapalenie stawów;
6) wszystkie rozpoznania są jednakowo prawdopodobne.
Prawidłowa odpowiedź to:
Pytanie 17
Do najczęstszych objawów klinicznych towarzyszących fibromialgii należą:
1) stany podgorączkowe; 4) powiększenie węzłów chłonnych;
2) zaburzenia żołądkowo-jelitowe; 5) zaburzenia snu;
3) nadmierne pocenie się; 6) bóle i zawroty głowy.
Prawidłowa odpowiedź to:
Pytanie 18
Bezwzględnym przeciwwskazaniem do krioterapii są między innymi:
1) niedokrwistość;
2) parestezje;
3) ostre stany zapalne stawów i tkanek okołostawowych;
4) obecność przykurczów;
5) spastyczne niedowłady połowicze i poprzeczne;
6) polineuropatie.
Prawidłowa odpowiedź to:
Pytanie 19
Badanie kapilaroskopowe wałów paznokciowych znajduje zastosowanie w następujących sytuacjach diagnostycznych:
1) dodatni objaw Raynauda przy braku klinicznych objawów charakterystycznych dla twardziny układowej;
2) zespół antyfosfolipidowy;
3) każde blednięcie i/lub zasinienie palców rąk pod wpływem zimna;
4) ograniczona postać twardziny bez obecności przeciwciał Scl-70;
5) różnicowanie układowych chorób tkanki łącznej z wyłączeniem twardziny układowej;
6) drętwienie palców u osób narażonych na wibrację.
Prawidłowa odpowiedź to:
Pytanie 20
Wskaż leki stosowane w leczeniu tętniczego nadciśnienia płucnego
w przebiegu twardziny układowej:
1) cyklofosfamid; 4) inhibitory fosfodiesterazy typu 5
2) azatiopryna; (np. sildenafil);
3) prostacyklina i jej analogi; 5) antagoniści endoteliny (np. bosentan).
Prawidłowa odpowiedź to:
Pytanie 21
Wskaż leki stosowane w leczeniu śródmiąższowej choroby płuc w przebiegu twardziny układowej:
1) cyklofosfamid; 4) inhibitory TNFalfa;
2) azatiopryna; 5) inhibitory enzymu
3) antagoniści endoteliny (Bosentan); konwertującego angiotensynę.
Prawidłowa odpowiedź to:
Pytanie 22
Tętnicze nadciśnienie płucne stanowi poważne powikłanie chorób reumatycznych. Wskaż choroby, w przebiegu których występuje tętnicze nadciśnienie płucne:
1) twardzina układowa;
2) mieszana choroba tkanki łącznej;
3) toczeń rumieniowaty układowy;
4) zesztywniające zapalenie stawów kręgosłupa;
5) choroba zwyrodnieniowa stawów.
Prawidłowa odpowiedź to:
Pytanie 23
Do objawów charakterystycznych dla polimialgii reumatycznej nie należy:
Pytanie 24
Pogrubienie, stwardnienie oraz łuszczenie się skóry palców rąk (tzw. „ręce mechanika”) jest charakterystyczną cechą:
Pytanie 25
Badania immunologiczne mają istotne znaczenie w diagnostyce różnicowej oraz ocenie prognozy u chorych z układowymi chorobami tkanki łącznej. Wskaż autoprzeciwciała swoiste dla twardziny układowej:
1) przeciwciała przeciwjądrowe;
2) przeciwciała antycentromerowe;
3) przeciwciała przeciwko topoizomerazie I (anty-topo-I, anty-Scl-70);
4) przeciwciała przeciwko RNA polimerazie III.
Prawidłowa odpowiedź to:
Pytanie 26
35-letnia pacjentka z kilkuletnim wywiadem objawu Raynauda i twardnienia skóry twarzy, rąk, kończyn górnych i dolnych, skarży się na silne bóle głowy. Dolegliwości występują od kilku dni. Przedmiotowo z odchyleń od normy, poza stwardnieniem skóry w w/w okolicach, stwierdza się wysokie wartości ciśnienia tętniczego (200/115 mmHg). W badaniach laboratoryjnych wykazano obecność przeciwciał przeciwko RNA polimerazie III, podwyższone stężenie kreatyniny i mocznika, niedokrwistość mikroangiopatyczną, śladowy białkomocz. Najbardziej prawdopodobne rozpoznanie to:
Pytanie 27
Śródmiąższowa choroba płuc (włóknienie płuc) może być powikłaniem wielu chorób reumatycznych. Wskaż choroby, w przebiegu których może występować włóknienie płuc:
1) twardzina układowa;
2) zespół antysyntetazowy (zapalenie mięśni z obecnością przeciwciał przeciwko syntetazom tRNA);
3) reumatoidalne zapalnie stawów;
4) zapalenie skórno-mięśniowe i wielomięśniowe.
Prawidłowa odpowiedź to:
Pytanie 28
Antagoniści receptorów endoteliny znaleźli zastosowanie w leczeniu powikłań narządowych twardziny układowej. Wybierz prawdziwe twierdzenia dotyczące stosowania antagonistów endoteliny w leczeniu twardziny układowej:
1) bosentan, nieselektywny antagonista endoteliny, zmniejsza włóknienie skóry i narządów wewnętrznych i dlatego należy go stosować u wszystkich pacjentów z twardziną układową;
2) bosentan poprawia wydolność fizyczną i wskaźniki hemodynamiczne u chorych z tętniczym nadciśnieniem płucnym i dlatego jest stosowany w leczeniu tętniczego nadciśnienia płucnego w przebiegu twardziny układowej;
3) bosentan przyspiesza gojenie się owrzodzeń palców w przebiegu twardziny układowej i dlatego powinien być stosowany w leczeniu owrzodzeń opuszek palców u chorych z twardziną układową;
4) bosentan zmniejsza ryzyko wystąpienia nowych owrzodzeń palców w przebiegu twardziny układowej i dlatego może być stosowany w profilaktyce nowych owrzodzeń u chorych z twardziną układową.
Prawidłowa odpowiedź to:
Pytanie 29
50-letnia kobieta skarży się na uczucie osłabienia, bóle stawów, objaw Raynauda, duszność wysiłkową pojawiającą się po przyspieszeniu kroku, suchy kaszel. Badaniem przedmiotowym stwierdzono pogrubienie i łuszczenie się skóry, rąk, obrzęk i bolesność stawów kolanowych, trzeszczenia u podstawy obu płuc. Pacjentka ma trudności we wstawaniu z krzesła. Badania laboratoryjne wykazały obecność przeciwciał anty-Jo-1, podwyższone stężenie kinazy kreatyninowej oraz aminotransferaz w surowicy krwi. W rtg klatki piersiowej widoczne są siatkowate zacienienia odpowiadające zmianom śródmiąższowym. Najbardziej prawdopodobne rozpoznanie to:
Pytanie 30
49-letnia kobieta z trzyletnim wywiadem objawu Raynauda zgłasza duszność wysiłkową, suchy kaszel. Badaniem przedmiotowym stwierdza się wygładzenie i pogrubienie skóry twarzy, rąk, przedramion, ramion, klatki piersiowej i kończyn dolnych, „naparstkowate” blizny na opuszkach palców, trzeszczenia u podstawy płuc. Badania laboratoryjne wykazują OB.=30 mm/h, obecność przeciwciał przeciwko topoizomerazie I (anty-Scl-70). W rtg klatki piersiowej: zagęszczenia siateczkowate w dolnych partiach płuc. Najbardziej prawdopodobne rozpoznanie to:
Pytanie 31
Twardzinowy przełom nerkowy należy do najpoważniejszych powikłań narządowych twardziny układowej. Wskaż prawdziwe twierdzenia dotyczące twardzinowego przełomu nerkowego:
1) niewydolność nerek w przebiegu twardziny układowej (tzw. twardzinowy przełom nerkowy) jest obecnie najczęstszą przyczyną zgonów chorych z twardziną układową;
2) lekiem z wyboru w leczeniu twardzinowego przełomu nerkowego jest cyklofosfamid podawany we wlewach dożylnych;
3) lekiem z wyboru w leczeniu twardzinowego przełomu nerkowego jest bosentan (nieselektywny inhibitor endoteliny);
4) czynnikami ryzyka wystąpienia twardzinowego przełomu nerkowego są: rozległe zmiany skórne, obecność przeciwciał przeciwko RNA polimerazie III, leczenie dużymi dawkami glukokortykosteroidów.
Prawidłowa odpowiedź to:
Pytanie 32
Antagoniści receptorów endoteliny znaleźli zastosowanie w leczeniu niektórych powikłań narządowych twardziny układowej. Wskaż, które działania uboczne są charakterystyczne dla tej grupy leków:
1) antagoniści endoteliny mogą powodować wzrost enzymów wątrobowych;
2) antagoniści endoteliny mają silne działanie teratogenne (są bezwzględnie przeciwwskazani w czasie ciąży);
3) antagoniści endoteliny mogą przyspieszać metabolizm niektórych leków, w związku z czym hormonalne środki antykoncepcyjne nie są uważane za wystarczająco skuteczne u kobiet leczonych antagonistą endoteliny;
4) antagoniści endoteliny nie mają istotnych działań ubocznych, w związku z czym można je bezpiecznie stosować u wszystkich chorych bez specjalnej kontroli.
Prawidłowa odpowiedź to:
Pytanie 33
Zaznacz autoprzeciwciała występujące najczęściej u chorych na toczeń rumieniowaty układowy (TRU):
1) przeciwjądrowe (ANA); 4) anty-Ro (SSA);
2) anty-filagrynowe (AFA); 5) ANCA.
3) anty-nDNA;
Prawidłowa odpowiedź to:
Pytanie 34
Metotreksat (MTX) jest syntetycznym lekiem modyfikującym przebieg choroby (LMPCh) określanym lekiem „pierwszego rzutu” u chorych na reumatoidalne zapalenie stawów (RZS), ponieważ:
1) silniej spowalnia postęp zmian radiologicznych niż inne LMPCh;
2) wykazuje porównywalną skuteczność jak monoterapia inhibitorami TNF;
3) wykazuje najlepszy profil bezpieczeństwa w porównaniu z innymi LMPCh;
4) leczenie MTX prowadzi do wystąpienia remisji u 70% chorych;
5) skuteczność leczenia utrzymuje się > 10 lat.
Prawidłowa odpowiedź to:
Pytanie 35
Zaznacz badania stosowane w diagnostyce amyloidozy reaktywnej
u chorych na choroby reumatyczne:
1) immunoelektroforeza białek osocza celem wykrycia frakcji M;
2) biopsja podskórnej tkanki tłuszczowej;
3) badanie immunohistochemiczne amyloidu;
4) określenie poziomu β2 glikoproteiny;
5) badanie scyntygraficzne przy użyciu znakowanego radioaktywnym jodem białka SAP.
Prawidłowa odpowiedź to:
Pytanie 36
Jakie znaczenie kliniczne ma poziom przeciwciał anty-CCP2 u chorych na reumatoidalne zapalenie stawów (RZS)?
1) poziom anty-CCP2 koreluje ze wskaźnikami aktywności choroby (OB., CRP, DAS28);
2) występowanie nadżerek stawowych jest częstsze u chorych z wysokim poziomem anty-CCP2 (+) w porównaniu z chorymi anty CCP (-);
3) poziom anty-CCP2 koreluje z wiekiem chorych i czasem trwania choroby;
4) niski poziom anty-CCP2 jest predykatorem dobrej odpowiedzi na leczenie MTX u chorych z wczesnym RZS;
5) poziom anty-CCP2 jest 2-krotnie wyższy u chorych na RZS aktywnie palących w porównaniu z niepalącymi.
Prawidłowa odpowiedź to:
Pytanie 37
Czynnikami złej prognozy u chorych na reumatoidalne zapalenie stawów są:
1) obrzęki > 20 stawów;
2) duże nasilenie bólu oceniane w skali VAS;
3) wysokie miano czynnika reumatoidalnego (RF) i/lub p-ciał CCP2;
4) obecność nadżerek stawowych na początku choroby;
5) występowanie przeciwciał p-jądrowych (ANA).
Prawidłowa odpowiedź to:
Pytanie 38
Jakie zmiany w układzie sercowo-naczyniowym są charakterystyczne dla reumatoidalnego zapalenia stawów?
1) zapalenie aorty (aortitis);
2) zapalenie osierdzia;
3) reumatoidalne zapalenie wsierdzia;
4) guzki reumatoidalne w mięśniu sercowym i na zastawkach serca;
5) przyśpieszona miażdżyca - wzrost zawałów serca i udarów mózgu.
Prawidłowa odpowiedź to:
Pytanie 39
Do oceny aktywności choroby u chorych na zesztywniające zapalenie stawów kręgosłupa (ZZSK) stosowany jest wskaźnik BASDAI, który składa się z odpowiedzi pacjenta na 6 pytań ocenianych w skali 0-10. Zaznacz, które z wymienionych pytań wchodzą w skład wskaźnika BASDAI:
1) jak opisał(a)byś ogólne nasilenie zmęczenia/wyczerpania?;
2) zaznacz jakie jest, oceniane przez ciebie, ogólne nasilenie aktywności choroby;
3) zaznacz, oceniany przez ciebie, stopień ograniczenia ruchomości kręgosłupa w skłonie „do przodu”;
4) jak opisał(a)byś ogólne nasilenie związanego z zzsk bólu szyi, pleców, bioder?;
5) jak opisał(a)byś ogólne nasilenie uczucia sztywności porannej występującej po przebudzeniu?.
Prawidłowa odpowiedź to:
Pytanie 40
Do czynników wpływających na wystąpienie hiperurikemii należą:
1) hiperlipidemia;
2) dieta (duża zawartość puryn, lipidów, alkoholu);
3) kamica pęcherzyka żółciowego;
4) leki (diuretyki, tuberkulostatyki);
5) niewydolność nerek.
Prawidłowa odpowiedź to:
Pytanie 41
Do klinicznych parametrów służących ocenie aktywności procesu zapalnego u chorych z zapaleniem wielomięśniowym należą:
1) ocena obrzęku mięśni za pomocą badania USG;
2) ocena siły mięśniowej (metoda dynamometryczna i/lub badanie fizykalne);
3) aktywność enzymów mięśniowych w osoczu;
4) badanie histopatologiczne wycinka mięśniowego;
5) ogólna ocena aktywności choroby dokonana przez pacjenta (VAS).
Prawidłowa odpowiedź to:
Pytanie 42
Do czynników ryzyka wystąpienia choroby zwyrodnieniowej stawów rąk należą:
1) płeć żeńska; 4) hiperlipidemia;
2) wiek > 40 lat; 5) cukrzyca typu 1.
3) nadmierna ruchomość stawów;
Prawidłowa odpowiedź to:
Pytanie 43
Adalimumab to:
1) cząsteczka hamująca drugi sygnał niezbędny do pełnej aktywacji limfocytów T;
2) humanizowane, całkowicie ludzkie przeciwciało monoklonalne anty-TNF-alfa;
3) fałszywy receptor skierowany do TNFRp75;
4) lek biologiczny zarejestrowany do leczenia aktywnych postaci reumato-idalnego zapalenia stawów (RZS), po nieskuteczności tradycyjnych leków modyfikujących przebieg choroby (LMPCh);
5) lek biologiczny zarejestrowany do leczenia aktywnych postaci zesztywniającego zapalenia stawów kręgosłupa (ZZSK).
Prawidłowa odpowiedź to:
Pytanie 44
Które z wymienionych objawów wchodzą w skład kryteriów klasyfikacyjnych ACR 1987, reumatoidalnego zapalenia stawów?
1) zapalenie trzech lub więcej obszarów stawowych;
2) podwyższony poziom CRP;
3) symetryczne zapalenie stawów;
4) obecność czynnika reumatoidalnego (RF IgM) w surowicy;
5) obecność przeciwciał anty-CCP2.
Prawidłowa odpowiedź to:
Pytanie 45
Zmiany morfologiczne w błonie maziowej stawów u chorych na reumatoidalne zapalenie stawów polegają na:
1) wzroście produkcji IL-4 przez monocyty;
2) hipertrofii komórek synowialnych;
3) nasilonej angiogenezie;
4) wzroście proliferacji eozynofilów;
5) tworzeniu inwazyjnej łuszczki synowialnej.
Prawidłowa odpowiedź to:
Pytanie 46
Jaki jest udział TNF-α w patogenezie reumatoidalnego zapalenia stawów?
1) hamuje proliferację aktywowanych limfocytów TCD4;
2) prowadzi do wzrostu przenikania przez śródbłonek naczyniowy komórek prozapalnych do jamy stawowej;
3) upośledza proces prezentacji antygenu do antygenów HLADRB1;
4) powoduje wzrost sekrecji metaloproteinaz z synowiocytów odpowiedzialnych za destrukcję chrząstki i kości;
5) stymuluje produkcję i sekrecję IL1 i IL6.
Prawidłowa odpowiedź to:
Pytanie 47
Przeciwwskazaniami do leczenia lekami biologicznymi u chorych na reumatoidalne zapalenie stawów (RZS) są:
1) niewydolność serca klasy III i IV wg NYHA;
2) obecność autoprzeciwciał do leku biologicznego (HACA);
3) przewlekłe, nawracające stany infekcyjne;
4) zespoły demielinizacyjne i inne choroby neurologiczne;
5) śródmiąższowe włóknienie płuc.
Prawidłowa odpowiedź to:
Pytanie 48
Do objawów choroby Stilla u dorosłych należą:
1) leukopenia;
2) gorączka, zwykle > 39°C;
3) osutka plamista lub plamisto-grudkowa o zabarwieniu łososiowym;
4) trombocytopenia;
5) leukocytoza.
Prawidłowa odpowiedź to:
Pytanie 49
Obecność przeciwciał przeciwko rybonukleoproteinie U1 RNP (anty-U1 RNP) charakterystyczne jest dla:
Pytanie 50
Przeciwciała p-ANCA stwierdza się najczęściej w:
Pytanie 51
Kryteria diagnostyczne zapalenia wielomięśniowego i skórno-mięśniowego obejmują:
1) asymetryczne osłabienie siły mięśni obręczy barkowej i biodrowej;
2) zwiększoną aktywność aminotransferazy asparaginianowej;
3) elektromiograficzne cechy wtórnego uszkodzenia mięśni;
4) obecność przeciwciał przeciwjądrowych;
5) zwapnienia w tkance podskórnej i mięśniach.
Prawidłowa odpowiedź to:
Pytanie 52
Eozynofilia jest częstym objawem:
1) fibromialgii; 4) choroby Goodpasture’a;
2) polimialgii reumatycznej; 5) rozlanego zapalenia powięzi z
3) zespołu Churga i Strauss; eonzynofilią (eozynofilowego zapalenia powięzi).
Prawidłowa odpowiedź to:
Pytanie 53
W toczniu rumieniowatym układowym dochodzi do zaburzenia apoptozy, prowadzącego do występowania procesów o charakterze autoagresji.
Pytanie 54
W zespole „łokcia tenisisty” dolegliwości bólowe występują głównie w okolicy nadkłykcia przyśrodkowego kości ramiennej, ponieważ znajdują się tam przyczepy mięśni zginaczy nadgarstka i palców.
Pytanie 55
U chorych z aktywnym toczniem rumieniowatym układowym stwierdza się obniżone stężenie składowych C3 i C4 dopełniacza, będące wynikiem powstawania kompleksów immunologicznych.
Pytanie 56
Badanie kapilaroskopowe jest przydatne w potwierdzeniu rozpoznania guzkowego zapalenia tętnic ponieważ występuje w nim zarostowe zapalenie naczyń włosowatych.
Pytanie 57
Które zestawienie przeciwciał i skojarzonych z nimi objawów jest nieprawidłowe?
Pytanie 58
Które przeciwciała nie należą do kryteriów immunologicznych rozpoznania SLE?
Pytanie 59
Które przeciwciała należą do przeciwciał specyficznych dla zapalenia mięśni?
Pytanie 60
Przeciwciała pANCA należą do przeciwciał skierowanych przeciwko cytoplazmie neutrofilów i mogą występować w następujących schorzeniach:
Pytanie 61
Przeciwciała pANCA należą do przeciwciał skierowanych przeciwko cytoplazmie neutrofilów i mogą reagować z różnymi antygenami, z wyjątkiem:
Pytanie 62
Przeciwciała cANCA należą do przeciwciał skierowanych przeciwko cytoplazmie neutrofilów i wykrywane są w:
Pytanie 63
Przeciwciała cANCA należą do przeciwciał skierowanych przeciwko cytoplazmie neutrofilów i ich głównym antygenem docelowym jest:
Pytanie 64
W jakich schorzeniach autoimmunologicznych mogą występować krioglobuliny?
Pytanie 65
Z przewlekłym zakażeniem jakim wirusem najczęściej wiąże się krioglobulinemia typu III?
Pytanie 66
3-letnia dziewczynka bezpośrednio po przebyciu infekcji górnych dróg oddechowych zaczęła skarżyć się na ból biodra. Które z zaproponowanych rozpoznań jest najbardziej prawdopodobne?
Pytanie 67
Którego z poniższych objawów można się spodziewać w przebiegu choroby Kawasaki?
Pytanie 68
Pacjentka 16-letnia od kilku tygodni czuje się osłabiona, ma stany podgorączkowe/okresowo gorączkę, schudła w tym czasie 5 kg. Ma bóle w okolicy międzyłopatkowej, w tej okolicy osłuchowo stwierdza się szmer naczyniowy. Na kończynach górnych osłabienie tętna. Stwierdzono OB 85/po godz. Wybierz najbardziej prawidłowy sposób postępowania:
Pytanie 69
U chłopca wieku 8 lat od 2 miesięcy występują objawy zapalenia stawów: obu stawów kolanowych, stawu skokowego prawego oraz dactylitis palca IV stopy prawej. W wykonanych badaniach dodatkowych stwierdzono OB 29/, CRP 15 mg/L, leukocytoza 9000/mm3, czynnik reumatoidalny - nieobecny; przeciwciała przeciwjądrowe - nieobecne, antygen HLA B27 - wykryto; ojciec chłopca: leczony jest z powodu wrzodziejącego zapalenia jelita grubego. Które z poniższych rozpoznań jest najbardziej prawdopodobne?
Pytanie 70
U dzieci chorujących na młodzieńcze zapalenie skórno-mięśniowe charakterystycznym jest odkładanie soli wapnia w obrębie mięśni, tkanki podskórnej, ścięgien. Zjawisku temu sprzyja zastosowanie glikokortykosterydów w megadawkach w początkowym okresie choroby i leczenia.
Pytanie 71
W ramach programu terapeutycznego „Leczenie RZS i MIZS o przebiegu agresywnym” pacjenci w wieku rozwojowym chorzy na MIZS kwalifikowani są:
Pytanie 72
Które ze stwierdzeń dotyczących leczenia Młodzieńczego Idiopatycznego Zapalenia Stawów jest prawdziwe?
Pytanie 73
Wybierz nieprawdziwe twierdzenie dotyczące choroby Schönleina-Henocha:
Pytanie 74
Którego z poniżej wymienionych objawów można spodziewać się u 4-letniej dziewczynki z młodzieńczym idiopatycznym zapaleniem stawów o początku nielicznostawowym?
Pytanie 75
Powikłaniem układowej postaci młodzieńczego idiopatycznego zapalenia stawów bywa niekiedy zespół aktywacji makrofaga (MAS). W leczeniu MAS lekami z wyboru są:
1) glikokortykosteroidy; 2) cyklosporyna; 3) metotreksat; 4) immunoglobuliny.
Prawidłowa odpowiedź to:
Pytanie 76
Które z wymienionych poniżej szczepionek nie powinny być podawane dzieciom z chorobami reumatycznymi, w aktywnych fazach choroby?
1) p/gruźlicy; 2) p/grypie; 3) p/pneumokokom; 4) p/polio; 5) p/odrze.
Prawidłowa odpowiedź to:
Pytanie 77
Wybierz nieprawidłowe stwierdzenie wśród poniżej przedstawionych, dotyczące chorych na młodzieńcze idiopatyczne zapalenie stawów (MIZS):
Pytanie 78
W powstawaniu niedoboru wzrostu w przebiegu młodzieńczego idiopatycznego zapalenia stawów odgrywają rolę:
Pytanie 79
Wskaż predyktory rozwoju zdefiniowanej choroby tkanki łącznej u dziecka z niezróżnicowaną chorobą tkanki łącznej:
1) objaw Raynaud'a w kapilaroskopii; 4) bóle stawów;
2) obecność ANA; 5) wysypki skórne.
3) obecność ↑ miana γ globulin;
Prawidłowa odpowiedź to:
Pytanie 80
W przebiegu Acne Associated Arthritis u dzieci obserwuje się niżej wymienione, z wyjątkiem:
Pytanie 81
Która z poniższych cech nie jest typowa dla zapalenia błony naczyniowej oka - powikłania młodzieńczego idiopatycznego zapalenia stawów (MIZS)?
Pytanie 82
Łagodny zespół nadmiernej ruchomości stawów cechują następujące objawy kliniczne:
Pytanie 83
Zespół Ehlersa-Danlosa charakteryzuje wiele objawów klinicznych. Następstwa których z nich stanowią największe zagrożenie życia?
Pytanie 84
Chora (nauczycielka) na toczeń rumieniowaty układowy, rozpoznany 3 lata wcześniej i obecnie w okresie remisji utrzymywanej azatiopryną 75 mg na dobę oraz 5 mg prednisonu chce się zaszczepić na grypę - prosi o radę czy może się zaszczepić. Należy chorej:
Pytanie 85
Do znanych działań niepożądanych związanych ze stosowaniem leków biologicznych nie należą:
Pytanie 86
Chory na rzs jest przygotowywany do protezoplastyki stawu biodrowego. Nie był dotychczas szczepiony przeciwko WZW typu B. Przyjmuje 20 mg na tydzień metotreksatu. Czy może być zaszczepiony na WZW typu B?
Pytanie 87
30-letnia chora na reumatoidalne zapalenie stawów od 5 lat leczona w przeszłości metotreksatem, cyklosporyną, prednisonem planuje ciążę. Aktualnie aktywność choroby umiarkowana. DAS 28 równe 3 na 17,5 mg metotreksatu na tydzień i 5 mg prednisonu. W przygotowaniu do ciąży należy:
Pytanie 88
U 25-letniej chorej na rzs leczonej od roku inhibitorem TNF od dwóch miesięcy pojawiły się stany podgorączkowe, nawracające zapalenie opłucnej, tendencja do leukopenii. Ze względu na objawy nietolerancji metotreksatu chora była leczona tylko inhibitorem TNF i chlorochiną. Test Quantiferon gold - wynik ujemny. Aktywność zapalenia stawów niska. Przeciwciała przeciwjądrowe miano 1:600; ds-DNA nisko dodatni wynik. Najbardziej prawdopodobną przyczyną wyżej wymienionych objawów jest:
Pytanie 89
Dalsze leczenie chorej opisanej w poprzednim pytaniu powinno obejmować:
Pytanie 90
44-letnia chora od 3 lat na reumatoidalne zapalenie stawów o aktywnym przebiegu zgłosiła się do rejonowej Poradni Reumatologicznej powodu objawów zaostrzenia dolegliwości stawowych. Przyjmuje 17,5 mg metotreksatu tygodniowo, prednison 10 mg, niesteroidowe leki przeciwzapalne. Reumatolog wyliczył aktywność choroby na DAS 28 = 6,5. Chora dobrze toleruje doustne dawki metotreksatu. Właściwe postępowanie w opisanej sytuacji to:
1) zwiększenie dawki metotreksatu do 25-30 mg/tydzień;
2) systematyczna kontrola DAS 28;
3) włączenie antybiotykoterapii;
4) natychmiastowe włączenie do terapii inhibitora TNF w ramach programu terapeutycznego NFZ;
5) dalsza obserwacja przy zwiększeniu dawki niesteroidowych leków przeciwzapalnych.
Prawidłowa odpowiedź to:
Pytanie 91
Spondyloartropatie zapalne mają niektóre wspólne cechy. Proszę podać która cecha nie jest wspólna dla spondyloartropatii:
Pytanie 92
W badaniach diagnostycznych wykonanych przy rozważaniu terapii biologicznej stwierdzono dodatni wynik testu Quantiferon gold - przy braku klinicznych objawów infekcji oraz potwierdzono utrzymywanie się wysokiej aktywności choroby DAS28 > 5,1; mimo pełnej dawki metotreksatu. W takiej sytuacji klinicznej należy:
1) zdyskwalifikować chorą od leczenia inhibitorami TNF;
2) włączyć dodatkową immunosupresję;
3) zwiększyć dawkę prednisonu;
4) zastosować chemioprofilaktykę tbc wg obowiązujących w Polsce standardów;
5) rozpocząć leczenie inhibitorami TNF.
Prawidłowa odpowiedź to:
Pytanie 93
Do objawów branych pod uwagę we wczesnym rozpoznaniu twardziny układowej nie należą:
Pytanie 94
W leczeniu reumatoidalnego zapalenia stawów po nieskutecznej terapii 2 lub 3 lekami biologicznymi z grupy anty-TNFα można zastosować:
1) Rituximab; 2) Tocilizumab; 3) Abatacept; 4) INF β; 5) INF α.
Prawidłowa odpowiedź to:
Pytanie 95
Istotną rolę w patogenezie krioglobulinemii odgrywa zakażenie:
Pytanie 96
Do najczęstszych objawów nawracającego zapalenia chrząstek należy:
1) zapalenie chrząstek małżowiny usznej; 4) jałowe zapalenie kości;
2) zapalenie wału paznokciowego; 5) artropatia.
3) zmiany zapalne w narządzie wzroku;
Prawidłowa odpowiedź to:
Pytanie 97
W przebiegu reumatoidalnego zapalenia stawów może dojść do następujących zmian w płucach:
1) zapalenie opłucnej; 4) zapalenie oskrzelików;
2) śródmiąższowe włóknienie płuc; 5) zapalenie naczyń płucnych
3) guzki reumatoidalne w płucach; z nadciśnieniem płucnym.
Prawidłowa odpowiedź to:
Pytanie 98
Do czynników mogących przyczyniać się do wystąpienia rumienia guzowatego należą:
1) zakażenia bakteryjne Yersinia; 4) doustne środki antykoncepcyjne;
2) zespół Sweeta; 5) sarkoidoza.
3) sulfonamidy;
Prawidłowa odpowiedź to:
Pytanie 99
Do częstych schorzeń współistniejących z pierwotnym zespołem Sjögrena należy:
1) pierwotna marskość żółciowa wątroby; 4) stwardnienie rozsiane;
2) choroba Addisona-Biermera; 5) bielactwo.
3) autoimmunologiczne zapalenie tarczycy;
Prawidłowa odpowiedź to:
Pytanie 100
W leczeniu zespołu SAPHO stosuje się:
1) sulfasalazynę; 2) duloksetynę; 3) metotreksat; 4) pamidronian; 5) aerius.
Prawidłowa odpowiedź to:
Pytanie 101
Fibromialgia charakteryzuje się:
1) przewlekłym uogólnionym bólem mięśniowo-stawowym;
2) somnabulizmem;
3) skłonnością do lęku i depresji;
4) bolesnością w typowych punktach uciskowych - przynajmniej 11 z 18;
5) wysokim stężeniem PTH w surowicy krwi.
Prawidłowa odpowiedź to:
Pytanie 102
Do charakterystycznych cech polimialgii reumatycznej nie należy:
1) częstsza zachorowalność wśród kobiet;
2) współistniejące zakażenie wirusem HCV;
3) znacznie przyspieszone OB. i zwiększone stężenie CRP w surowicy krwi;
4) współistnienie Liposarcoma male differentiatum;
5) szybka poprawa po zastosowaniu glikokortykosteroidów.
Prawidłowa odpowiedź to:
Pytanie 103
Do typowych zmian radiologicznych w układzie ruchu w przebiegu łuszczycowego zapalenia stawów nie należy:
1) jednostronne zajęcie stawów krzyżowo-biodrowych;
2) zmiany w stawach międzypaliczkowych dalszych rąk i stóp;
3) asymetryczne syndesmofity lub parasyndesmofity;
4) symetryczne zajęcie stawów międzypaliczkowych stóp;
5) skrócenie paliczków (palce teleskopowe).
Prawidłowa odpowiedź to:
Pytanie 104
W leczeniu napadu dny moczanowej stosuje się:
1) kolchicynę; 4) glikokortykosteroidy dostawowo;
2) allopurinol; 5) probenecyd.
3) niesteroidowe leki przeciwzapalne;
Prawidłowa odpowiedź to:
Pytanie 105
Zespół SARA to reaktywne zapalenie stawów indukowane najczęściej zakażeniem:
1) Clostridium difficile; 4) Chlamydia pneumoniae;
2) Campylobacter jejuni; 5) Chlamydia trachomatis.
3) Ureaplasma urealiticum;
Prawidłowa odpowiedź to:
Pytanie 106
Do typowych zmian w układzie krążenia w przebiegu zesztywniającego zapalenia stawów kręgosłupa należą:
1) zapalenie wsierdzia;
2) zapalenie aorty wstępującej;
3) zaburzenia przewodnictwa (blok przedsionkowo-komorowy, blok odnogi);
4) niedomykalność zastawki aortalnej;
5) zapalenie aorty zstępującej.
Prawidłowa odpowiedź to:
Pytanie 107
Do typowych cech zespołu Behçeta należą:
1) patergia;
2) martwica aseptyczna głowy kości udowej;
3) nawracające owrzodzenia jamy ustnej;
4) zapalenie błony naczyniowej oka;
5) fałszywie dodatni odczyn VDRL.
Prawidłowa odpowiedź to:
Pytanie 108
Do oceny obecności ANCA, metodą immunofluorescencji pośredniej, wykorzystuje się jako źródło antygenu:
Pytanie 109
Septyczny płyn stawowy zawiera:
Pytanie 110
Granulocyto-specyficzne przeciwciała przeciwjądrowe (GS-ANA) stwierdza się u 75% chorych na:
Pytanie 111
Do chorób, których rozpoznanie wymaga obecności przeciwciał przeciwjądrowych należą:
Pytanie 112
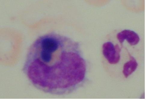
U 24-letniego chorego w badaniu płynu stawowego stwierdzono liczne makrofagi ze sfagocytowanymi granulocytami obojętnochłonnymi (ryc. poniżej). Stwierdzenie tego typu komórek sugeruje rozpoznanie:

Pytanie 113
Łokciowe odchylenie stawów rąk, z częstym ich przykurczem w obrębie stawów międzypaliczkowych, któremu nie towarzyszy ból i obrzęk zajętych stawów, występuje często u osób po przechorowaniu gorączki reumatycznej lub w przebiegu tocznia rumieniowatego układowego. Powyższy objaw występuje w przebiegu:
Pytanie 114
Chory lat 25, zgłasza występowanie objawu Raynauda oraz podaje bóle i obrzęki stawów, dodatkowo osłabienie siły mięśniowej obręczy barkowej i biodrowej. Ponadto zgłasza obrzęki palców rąk oraz duszność. W badaniu HRCT stwierdzono cechy śródmiąższowego włóknienia płuc. Aby ustalić rozpoznanie należy zlecić badanie na obecność przeciwciał reagujących z:
Pytanie 115
Leukopenię stwierdza się zwykle u chorych na:
Pytanie 116
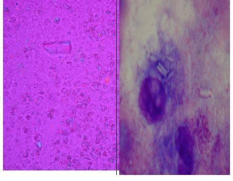
U 59-letniego chorego od 5 lat stwierdza się nawracające wysięki w obrębie stawów kolanowych. Wielokrotnie płyn stawowy był ewakuowany przez lekarza ortopedę, który podawał glikokortykosteroidy dostawowo. Tego typu leczenie przynosiło ulgę choremu. Jednak z powodu przewlekłego charakteru dolegliwości chory został skierowany do reumatologa, który po ewakuacji płynu stawowego, przekazał go do badania. W osadzie płynu w ocenie w świetle spolaryzowanym stwierdzono obecność kryształów (Ryc. 1) oraz tego samego typu kryształy wykazano w obrębie cytoplazmy komórek (Ryc. 2). Na podstawie obrazu klinicznego i badania płynu stawowego należy rozpoznać:
Ryc.1 Ryc. 2

Pytanie 117
Chory lat 42 od 4 miesięcy gorączkuje do 39°C. Natomiast od 2 tygodni podaje bóle stawów nadgarstkowych, kolanowych oraz biodrowych. Na szczycie gorączki pojawiają się zmiany skórne na tułowiu i przedramionach. W badaniach laboratoryjnych OB. > 110mm/h, CRP - 80 mg/l, leukocytoza > 10 000 /mm3 oraz wzrost aktywności enzymów wątrobowych. W rozpoznaniu różnicowym należy wziąć pod uwagę:
Pytanie 118
Przeciwciała reagujące z alfa-fodryną występują u 64% chorych na:
Pytanie 119
U 31-letniego chorego stwierdzono zapalenie stawów nadgarstkowych i skokowych, śródmiąższowe zapalenie rogówki oraz zapalenie błędnika. Ponadto chory podaje okresowo występujące bóle w obrębie jamy brzusznej. W wywiadzie zgłaszał przebyte zapalenie płuc z wysiękiem do opłucnej. Na podstawie opisu przypadku klinicznego należy podejrzewać:
Pytanie 120



