Wyszukaj egzamin lub pytanie
Egzamin PES Radioterapia onkologiczna / wiosna 2018
120 pytań
Pytanie 1
W badaniu KT klatki piersiowej stwierdzono w środkowym płacie płuca prawego obecność guza o średnicy 6 cm. W badaniu materiału uzyskanego za pomocą przezoskrzelowej biopsji węzłów chłonnych poniżej rozwidlenia tchawicy stwierdzono utkanie gruczolakoraka. Wskaż stopień zaawansowania nowotworu:
Pytanie 2
U chorego z rozpoznaniem gruczolakoraka płuca w stadium zaawanso- wanym (przerzuty w drugim płucu i nadnerczach) z mutacją w eksonie 19. genu EGFR przez 12 miesięcy stosowano erlotynib z częściową odpowiedzią. Obecnie stwierdzono progresję zmian w płucach i pojawienie się zmian w kościach. W opisanej sytuacji należy:
Pytanie 3
W niedrobnokomórkowym raku płuca zaawansowanym miejscowo:
Pytanie 4
Uzupełniająca chemioterapia pooperacyjna chorych na niedrobnokomórkowego raka płuca:
Pytanie 5
Do grupy cytotoksycznych leków, których stosowanie wiąże się ze średnim ryzykiem wystąpienia nudności i wymiotów, nie należy:
Pytanie 6
Opóźniony nadir neutropenii jest typowy dla:
Pytanie 7
U chorych na złośliwego międzybłoniaka opłucnej w stadium zaawansowanym wartościowymi lekami są:
Pytanie 8
Po biopsji wycinającej ogniska pierwotnego czerniaka skóry zlokalizowanego na skórze owłosionej głowy, w wyniku histopatologicznym stwierdzono czerniaka grubości 1,8 mm wg Breslowa z owrzodzeniem i liczbą figur podziału 1/mm2. Wskaż stopień zaawansowania nowotworu według skali TNM - AJCC z 2009/2010 roku:
Pytanie 9
40-letni chory zgłosił się z powodu guzowatej masy wielkości 10 cm zlokali- zowanej w proksymalnej części kości udowej bez naciekania tkanek miękkich. W wykonanych badaniach obrazowych i biopsji stwierdzono chrzęstniakomięsaka w stopniu złośliwości G2 bez cech przerzutów odległych. Jakie jest najwłaściwsze postępowanie terapeutyczne?
Pytanie 10
Wskaż fałszywe stwierdzenie dotyczące raka z komórek Merkla:
Pytanie 11
Po wycięciu radykalnym nowotworu podścieliskowego przewodu pokarmowego jelita cienkiego wielkości 8 cm z indeksem mitotycznym 6/50 HPF i obecnością mutacji w eksonie 11 KIT należy:
Pytanie 12
U 47-letniej kobiety stwierdzono 4 cm guz tkanek miękkich zlokalizowany nadpowięziowo w obrębie uda. Po wykonanej biopsji gruboigłowej badanie histopatologiczne wykazało rozpoznanie dermatofibrosarcoma protuberans. W badaniach dodatkowych nie stwierdzono zmian przerzutowych. Jakie jest najwłaściwsze dalsze postępowanie?
Pytanie 13
Wskaż fałszywe stwierdzenie dotyczące zmian nowotworowych w układzie kostnym:
Pytanie 14
Wskaż fałszywe stwierdzenie dotyczące mięsaków przestrzeni zaotrzewnowej:
Pytanie 15
Wskaż prawdziwe stwierdzenia dotyczące leczenia mięsaków tkanek miękkich: 1) amputacje kończyn u chorych na mięsaki tkanek miękkich stanowią około 30% zabiegów operacyjnych; 2) zastosowanie szerokiego wycięcia mięsaka w skojarzeniu z radioterapią uzupełniającą okołooperacyjną pozwala na uzyskanie podobnych wskaźników przeżyć jak u chorych poddawanych amputacji; 3) korzyści z pooperacyjnej radioterapii obejmują m.in. zmniejszenie powik- łań późnych radioterapii w porównaniu z napromienianiem przedoperacyjnym; 4) w leczeniu zaawansowanego dermatofibrosarcoma protuberans znajduje zastosowanie imatynib; 5) przerzuty do regionalnych węzłów chłonnych najczęściej występują w leiomyosarcoma; 6) większość nawrotów choroby (około 80%) występuje w ciągu 3 lat po leczeniu ogniska pierwotnego. Prawidłowa odpowiedź to:
Pytanie 16
Uzasadnieniem wykorzystania wiązki protonowej w radioterapii jest specyficzny sposób deponowania dawki, który charakteryzuje się: 1) niską dawką w tkankach prawidłowych znajdujących się proksymalnie do guza; 2) szybkim narastaniem dawki proksymalnie do guza; 3) wysoką dawką w obszarze guza; 4) szybkim narastaniem dawki dystalnie do guza; 5) brakiem dawki w tkankach prawidłowych znajdujących się dystalnie do guza. Prawidłowa odpowiedź to:
Pytanie 17
Charakterystyczny sposób deponowania dawki w radioterapii protonowej, uzasadnia jej zastosowanie w przypadku konieczności napromieniania: 1) guzów o małych wymiarach; 2) guzów zlokalizowanych w pobliżu wrażliwych na radioterapię tkanek/narządów; 3) guzów o dużych rozmiarach; 4) pacjentów w młodym wieku; 5) pacjentów niezależnie od wieku. Prawidłowa odpowiedź to:
Pytanie 18
Parametrami dozymetrycznymi, które maja wartość predykcyjną dla popromiennej tolerancji płuc są: 1) średnia dawka, jaką otrzymały płuca; 2) maksymalna dawka, jaką otrzymały płuca; 3) objętość płuc, jaka otrzymała dawkę 20 Gy i większą; 4) objętość płuc, jaka otrzymała dawkę 20 Gy i mniejszą; 5) stosowanie chemioterapii w czasie radioterapii. Prawidłowa odpowiedź to:
Pytanie 19
Z kontrolowanych badań prospektywnych wynika, że dodanie napromieniania całego mózgu (WBRT) do leczenia miejscowego (chirurgicznego lub radiochirurgicznego) w stosunku do wyłącznego leczenia miejscowego przerzutów do mózgu:
Pytanie 20
Najważniejszym czynnikiem rokowniczym u chorych z przerzutami do mózgu jest:
Pytanie 21
Schemat frakcjonowania CHART w leczeniu niedrobnokomórkowego raka płuca polega na:
Pytanie 22
Zaawansowany miejscowo rak gruczołowy kanału odbytu z przerzutami do regionalnych węzłów chłonnych jest wskazaniem do:
Pytanie 23
W skład chemioterapii stosowanej w skojarzeniu z radioterapią u chorych na raka płaskonabłonkowego kanału odbytu wchodzi:
Pytanie 24
Wskaż prawdziwe stwierdzenia dotyczące leczenia objawowego popromiennego zapalenia płuc:
Pytanie 25
Leczenie pooperacyjne po doszczętnej resekcji guza móżdżku (hist-pat. medulloblastoma) u dorosłego pacjenta, u którego nie stwierdzono cech rozsiewu choroby do i poza OUN polega na:
Pytanie 26
Wskaż prawdziwe stwierdzenia dotyczące prawidłowego planu leczenia guza płuca metodą radioterapii stereotaktycznej (SBRT):
Pytanie 27
Uzupełniająca pooperacyjna radioterapia w leczeniu niedrobnokomórko- wego raka płuca:
Pytanie 28
Limfadenektomia D1 w przypadku leczenia operacyjnego raka żołądka oznacza, że:
Pytanie 29
W konwencjonalnej radioterapii do prawie pełnej naprawy uszkodzeń subletalnych (NUSL) w komórce raka dochodzi, jeżeli przerwa między dwoma kolejnymi dawkami frakcyjnymi wynosi co najmniej:
Pytanie 30
Przyjmując, że dawka D10 (dawka wywołująca depopulację jednego rzędu komórek raka) wynosi 7Gy, to stosując dawkę całkowitą (TD) równą 70Gy podaną w 35 frakcjach w ciągu 48 dni w przypadku raka jamy ustnej zawierającego podstawową liczbę komórek macierzystych (K) wynoszącą109 należy oczekiwać szansy wyleczenia w wysokości około:
Pytanie 31
O wartości dawki tolerancji (TLD) dla zdrowego narządu krytycznego nie decyduje:
Pytanie 32
Netupitant jest lekiem:
Pytanie 33
Które ze stwierdzeń jest fałszywe?
Pytanie 34
Frakcjonowana dawka całkowita stanowiąca 50% szansę trwałego miejscowego wyleczenia guza nowotworowego (TCD50):
Pytanie 35
'Śmierć interfazalna' wywołana promieniowaniem jonizującym najczęściej występuje w:
Pytanie 36
Częstą przyczyną zachorowań na nowotwory złośliwe regionu głowy i szyi jest zakażenie wirusem brodawczaka ludzkiego. Najczęstszą lokalizacją raków w regionie głowy i szyi związanych z tym zakażeniem jest:
Pytanie 37
Charakterystyczną cechą zespołu SIADH (zespół nieprawidłowego uwalniania wazopresyny) jest:
Pytanie 38
Wskaż prawdziwe stwierdzenie dotyczące napromieniania uzupełniającego mastektomię u chorych z przerzutami do pachowych węzłów chłonnych:
Pytanie 39
Biopsja węzła wartowniczego jest standardową procedurą diagnostyczną u chorych na raka piersi, u których w badaniu klinicznym nie stwierdza się powięk- szonych węzłów chłonnych pachowych. Stwierdzenie w obrębie węzła wartowniczego pojedynczych komórek raka jest wskazaniem do:
Pytanie 40
Badanie MR miednicy jest ważnym etapem diagnostyki chorych z rakiem odbytnicy. Wskaż prawdziwe stwierdzenia dotyczące tego badania: 1) badanie to lepiej uwidacznia granicę guza względem tkanek zdrowych w porównaniu z badaniem TK; 2) przewaga badania MR nad TK jest najbardziej wyraźna w guzach górnej części odbytnicy; 3) w badaniu tym może być oceniona powięź mezorektum; 4) w badaniu tym nie może być ocenione umiejscowienie guza względem zwieraczy; 5) T2 to najlepsza sekwencja do oceny odbytnicy. Prawidłowa odpowiedź to:
Pytanie 41
W stadiach zaawansowanych chłoniaka Hodgkina (postać klasyczna) radioterapia uzupełniająca po chemioterapii jest zalecana w następujących sytuacjach (pierwsza linia leczenia): 1) napromienianie wszystkich zmian rezydualnych; 2) po chemioterapii ABVD, napromienianie ograniczone do zmian rezydualnych o wielkości > 1,5 cm; 3) napromienianie okolic zajętych wyjściowo przez zmiany masywne (>7 cm); 4) po chemioterapii BEACOPP eskalowany, napromienianie ograniczone do zmian rezydualnych PET-pozytywnych o wielkości > 2,5 cm; 5) umiejscowienia pozawęzłowe choroby. Prawidłowa odpowiedź to:
Pytanie 42
Do czynników ryzyka w międzynarodowym wskaźniku rokowniczym (International Prognostic Index) dla chorych na chłoniaki agresywne nie zalicza się:
Pytanie 43
Jak na skuteczność biologiczną promieniowania jonizującego wpływa wzrost wartości LET (liniowego przekazu energii)?
Pytanie 44
Modele radiobiologiczne opisują zależność pomiędzy przeżyciem komórek a dawką promieniowania. Jednym z nich jest model jednotarczowy. Model ten dobrze opisuje krzywą przeżycia dla:
Pytanie 45
Prawdopodobieństwo miejscowego wyleczenia (TCP) oraz prawdopo- dobieństwo powikłań w tkankach prawidłowych (NTCP) można przedstawić na jednym wykresie. Ich wzajemne położenie definiuje tzw. 'okno terapeutyczne'. Z punktu widzenia radioterapii:
Pytanie 46
Wg klasyfikacji TNM wersja 7 zaawansowanie N1c raka odbytnicy oznacza:
Pytanie 47
Wskaż prawdziwe stwierdzenie dotyczące pooperacyjnej radiochemioterapii w leczeniu raka żołądka:
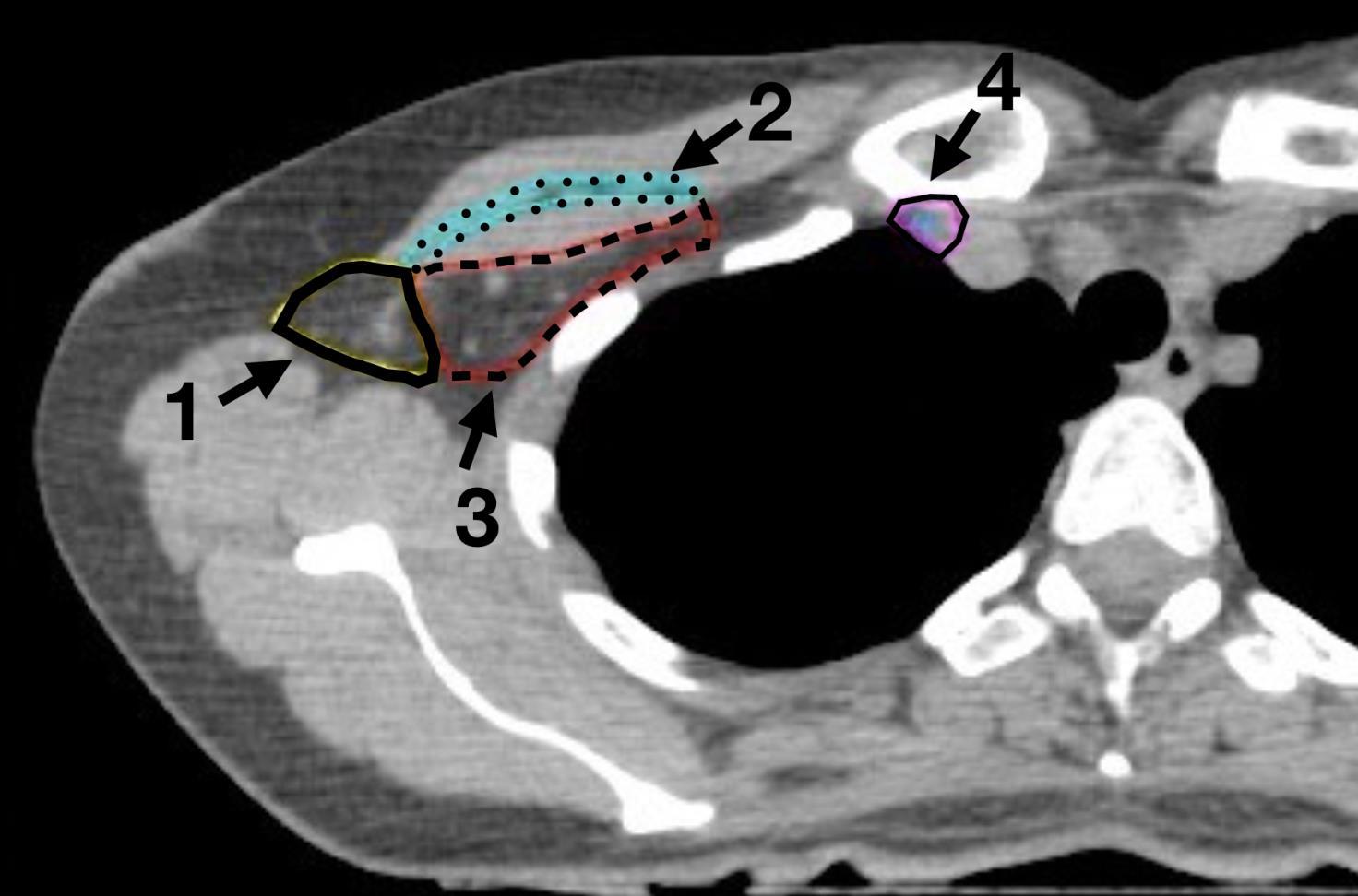
Pytanie 48
Na rycinie przedstawiono objętości tarczowe używane w uzupełniającym elektywnym napromienianiu chorych na raka piersi. Wskaż prawdziwe stwierdzenie dotyczące objętości tarczowej oznaczonej cyfrą 3:

Pytanie 49
Przedoperacyjna radiochemioterapia karboplatyną i paclitaxelem w porównaniu z samodzielną chirurgią u chorych na raka przełyku i połączenia przełykowo -żołądkowego:
Pytanie 50
Wykonywanie badań endoskopowych w ramach badań przesiewowych pod kątem rozpoznania raka jelita grubego:
Pytanie 51
W raku dolnego odcinka przełyku naciekającego połączenie żołądkowo - przełykowe obszar CTV powinien zawierać węzły chłonne:
Pytanie 52
Schemat kojarzenia cetuksymabu z napromienianiem, u chorych na miej- scowo zaawansowane, płaskonabłonkowe raki narządów głowy i szyi z przeciw- wskazaniami do podawania pochodnych platyny, przedstawia się następująco:
Pytanie 53
U 50-letniego mężczyzny, w 4 lata po leczeniu radykalnym z powodu miejscowo zaawansowanego raka gruczołowo - torbielowatego ślinianki podżuchwowej, stwierdzono w tomografii komputerowej liczne, obustronne przerzuty do płuc, o średnicy nie przekraczającej 2 cm. Pacjent w stopniu sprawności ECOG PS0, bez duszności wysiłkowej, został zdyskwalifikowany jako kandydat do leczenia operacyjnego. Racjonalnym postępowaniem w tym przypadku jest:
Pytanie 54
U 60-letniego mężczyzny stwierdzono guz prawej zatoki szczękowej. Biopsja wykazała utkanie raka płaskonabłonkowego o pośrednim stopniu zróżnicowania (G2). W badaniu TK stwierdzono naciek w obrębie zatoki szczękowej z destrukcją przedniej i przyśrodkowej ściany zatoki. Nie stwierdzono powiększenia węzłów chłonnych szyi. Rekomendowanym leczeniem w tym przypadku jest:
Pytanie 55
U 45-letniej kobiety wykonano parotidektomię z powodu guza przyusznicy. W badaniu histopatologicznym stwierdzono raka gruczołowo - torbielowatego. Zmiana miała średnicę 2 cm, nie wykazano naciekania torebki gruczołu, resekcja R0. Właściwym postępowaniem w tym przypadku jest:
Pytanie 56
U 35-letniego mężczyzny, w dobrym stopniu sprawności (ECOG PS0), rozpoznano nierogowaciejącego raka nosowej części gardła w stopniu zaawansowania T2N3M0. Uzasadnionym postępowaniem terapeutycznym w tym przypadku jest:
Pytanie 57
Wskazania do zastąpienia pochodnych platyny cetuksymabem przy koja- rzeniu z radioterapią w leczeniu radykalnym chorych na miejscowo zaawanso- wane raki płaskonabłonkowe narządów głowy i szyi, obejmują przypadki:
Pytanie 58
Stopień klinicznego zaawansowania CS IV, w raku płaskonabłonkowym ustnej części gardła p16+ wg obecnie obowiązującej klasyfikacji UICC TNM, jest ustalany w przypadku występowania cech:
Pytanie 59
Stwierdzenie przerzutu w 1 z 3 usuniętych węzłów wartowniczych u chorej na raka piersi cT2N0 po zabiegu oszczędzającym upoważnia do:
Pytanie 60
Według międzynarodowych zaleceń, preferowanym postępowaniem w przypadku nasieniaka po leczeniu operacyjnym jądra w st. I jest:
Pytanie 61
Napromienianie węzłów zamostkowych u chorych po leczeniu operacyjnym raka piersi:
Pytanie 62
Umiarkowanie hypofrakcjonowana radioterapia u chorych na raka stercza:
Pytanie 63
W diagnostyce raka stercza stosuje się poniższe metody, z wyjątkiem:
Pytanie 64
Najbardziej czułą i swoistą metodą obrazowania w diagnostyce guza pierwotnego w raku piersi jest:
Pytanie 65
Biopsja węzła wartownika w raku piersi może być wykonana:
Pytanie 66
W diagnostyce raka piersi biopsja aspiracyjna cienkoigłowa jest rutynowo stosowana do:
Pytanie 67
Najczęściej stosowane w brachyterapii sztuczne izotopy promieniotwórcze to:
Pytanie 68
Leczeniem wydłużającym czas przeżycia w raku stercza nie jest:
Pytanie 69
Promieniowanie hamowania X:
Pytanie 70
Dawka przypisywana w PTV wg Raportu IRCU nr 83, specyfikowana jest:
Pytanie 71
Izotop kobaltu 60, rozpada się:
Pytanie 72
Stały filtr klinowy umieszczony na drodze wiązki terapeutycznej:
Pytanie 73
Aby sprawdzić zgodność planu leczenia z realizacją na akceleratorze dla techniki VMRT, zaleca się:
Pytanie 74
W chłoniakach z kom. NK/T:
Pytanie 75
Pierwotne chłoniaki mózgu:
Pytanie 76
Chora lat 27 trafiła na Oddział Ratunkowy z narastającym od kilku dni bólem w klatce piersiowej, dysfagią oraz obrzękiem twarzy. TK klatki piersiowej uwidoczniło masę patologiczną o wymiarach 6 cm na 8 cm w śródpiersiu, będącą przyczyną pełnoobjawowego zespołu żyły próżnej górnej. Przed 3 laty chora przebyła usunięcie znamienia skóry pleców - rozpoznano czerniaka złośliwego pT2b. Poza tym nie chorowała poważnie, nie otrzymywała żadnych leków na stałe. Nie obciążona nałogami. W badaniu: PS3, RR 90/55, ASM 122/min, SvO2 87%, poszerzone naczynia szyjne, obrzęk twarzy i kk. górnych, OCŻ 12 cm H2O. W trybie pilnym drogą transtorakalną pobrano materiał do badania h-pat, które potwierdziło wznowę czerniaka. W tej sytuacji należy:
Pytanie 77
34-letnia kobieta z rozpoznaniem pierwotnego chłoniaka z komórek B śródpiersia, w chwili rozpoznania w stopniu IIB, z 12 cm masą w śródpiersiu przednim. Pacjentka otrzymała 6 cykli chemioterapii R-DAEPOCH. W kontrolnym badaniu PET/TK z 18FDG po leczeniu systemowym wykazano obecność 5 cm masy w śródpiersiu, o nieco wzmożonym wychwycie radioznacznika, 3 punkty według skali Deauville. W tej sytuacji należy:
Pytanie 78
U 42-letniego chorego z rozpoznaniem chłoniaka typ h-pat. DLBCL (chłoniak rozlany z dużych komórek B), ze współistniejącym zakażeniem HIV:
Pytanie 79
Podstawową jednostką dawki pochłoniętej promieniowania w brachyterapii jest:
Pytanie 80
Najczęstsze nowotwory regionu głowy i szyi leczone technikami brachyterapii to:
Pytanie 81
Brachyterapia pulsacyjna (PDR) polega na:
Pytanie 82
Brachyterapia stosowana jako metoda radykalnego leczenia samodzielnego lub radykalnego skojarzonego z chirurgią ma istotne znaczenie w terapii:
Pytanie 83
Wskaż prawdziwe stwierdzenia dotyczące uzupełniającej (wczesnej) radioterapii po prostatektomii:
Pytanie 84
Wyniki retrospektywnej analizy AJ Stephensona i wsp. z 5 amerykańskich ośrodków akademickich na materiale 501 chorych (JAMA 2004) wskazują, że negatywnym czynnikiem rokowniczym w przypadku ratującej radioterapii po prostatektomii jest:
Pytanie 85
Rekomendowana dawka w brachyterapii LDR raka stercza z zastosowaniem palladu 103 w monoterapii wynosi:
Pytanie 86
Zgodnie z aktualnymi międzynarodowymi rekomendacjami opartymi na wynikach badania RTOG 9802 i profilowaniu molekularnym w skąpodrzewiaku WHO II z kodelecją 1p19q i z czynnikami ryzyka takimi jak wiek powyżej 40 lat lub nieradykalna makroskopowo resekcja, rekomendowanym postępowaniem o najwyższej wiarygodności jest:
Pytanie 87
Według rekomendacji nccn.org v.1.2017, u chorych na glioblastoma - GBM WHO IV poniżej 70 roku życia,włączenie jednoczesnej radio-chemioterapii według schematu Stupp'a jest uzależnione przede wszystkim od:
Pytanie 88
Zgodnie z rekomendacjami nccn.org v.2.2017, prowadzenie aktywnego nadzoru (active surveillance) w raku stercza polega na:
Pytanie 89
Wskaż prawdziwe stwierdzenie będące podstawą aktualnych (2018 r.) międzynarodowych rekomendacji terapeutycznych w naciekających glejakach WHO 2:
Pytanie 90
Według rekomendacji nccn.org v.1.2017 u chorych na glioblastoma - GBM WHO IV w przedziale wiekowym ≤70 lat i dobrym stanie sprawności ogólnej KPS >60, preferowanym postępowaniem jest:
Pytanie 91
Zalecanym marginesem pomiędzy objętością ITV a objętością PTV dla radioterapii stereotaktycznej raka płuca w I stopniu zaawansowania klinicznego jest:
Pytanie 92
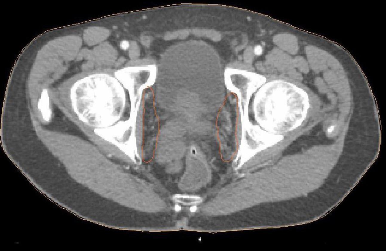
Na poniższym przekroju poprzecznym strzałką zaznaczono węzły chłonne:

Pytanie 93
Liczba nowych zachorowań na raka szyjki macicy w Polsce wynosi około:
Pytanie 94
Przeciwwskazaniem do równoczasowej radiochemioterapii radykalnej raka niedrobnokomórkowego płuca w III stopniu zaawansowania nie jest:
Pytanie 95
Wskaż prawdziwe stwierdzenie dotyczące choroby Hodgkina u dzieci:
Pytanie 96
Powszechnie stosowana dawka radioterapii stereotaktycznej w raku płuca to 54 Gy w trzech frakcjach. Dla tej dawki, BED przy a/ß=10 wynosi około:
Pytanie 97
U 59-letniego chorego bez obciążeń, rozpoznano raka płaskonabłonko- wego szczytu płuca prawego w stopniu zaawansowania T3N0M0. W badaniu TK klatki piersiowej stwierdzono guz naciekający ścianę klatki piersiowej na wysokości I i II żebra; nie stwierdzono zajęcia węzłów chłonnych śródpiersia. W wywiadzie i badaniach dodatkowych zwracają uwagę: silne bóle barku od 3 miesięcy, utrata masy ciała 4 kg w ciągu tego okresu, FEV1 = 2,2L, poziom hemoglobiny 12,1 mg/dL oraz prawidłowe parametry wydolności nerek i wątroby. Właściwym postępowaniem u tego chorego jest:
Pytanie 98
Częstym (u ponad 5% chorych) późnym powikłaniem radioterapii przedoperacyjnej u chorych na raka odbytnicy jest: 1) upośledzenie gojenia rany krocza u chorych po amputacji brzuszno- kroczowej; 2) neuropatia kończyn dolnych spowodowana uszkodzeniem nerwów splotu krzyżowego; 3) nasilenie objawów zespołu resekcji przedniej; 4) wodonercze spowodowane zwężeniem popromiennym moczowodu. Prawidłowa odpowiedź to:
Pytanie 99
Wskaż prawdziwe stwierdzenia dotyczące chemioradioterapii u chorych na raka płaskonabłonkowego kanału odbytu: 1) polega na podaniu 2 kursów chemioterapii jednoczasowo z napromienianiem i 4 kursów po ukończeniu napromieniania; 2) dawka całkowita napromieniania skojarzonego z chemioterapią powinna wynosić pomiędzy 60 a 65 Gy; 3) obszar napromieniania elektywnego powinien obejmować węzły chłonne pachwinowe; 4) w przypadku przerzutów do węzłów chłonnych pachwinowych, radio- chemioterapia powinna zostać uzupełniona wycięciem węzłów chłonnych pachwinowo-biodrowych. Prawidłowa odpowiedź to:
Pytanie 100
Operacja Hartmanna wykonywana u chorych na raka odbytnicy polega na:
Pytanie 101
U chorego na raka odbytnicy o zaawansowaniu cT1 wykonano pełnościenne wycięcie miejscowe. Badanie pooperacyjne wykazało pT2, marginesy cięcia chirurgicznego były wolne. Nie było nacieków zajęcia naczyń chłonnych. Dalszym postępowaniem z wyboru u tego chorego jest:
Pytanie 102
Badania diagnostyczne, które powinny być koniecznie wykonane przed napromienianiem przedoperacyjnym chorego na raka odbytnicy to: 1) badanie MR miednicy; 2) badanie KT jamy brzusznej; 3) badanie PET; 4) badanie usg przezodbytnicze; 5) badanie CEA. Prawidłowa odpowiedź to:
Pytanie 103
Chory na raka gruczołowego kanału odbytu długości 6 cm bez przerzutów do węzłów chłonnych pachwinowych i mezorektum, ale z zajęciem dołu kulszowo-odbytniczego powinien:
Pytanie 104
U chorego na płaskonabłonkowego raka kanału odbytu 3 miesiące po radiochemioterapii wyczuwalny jest badaniem per rectum resztkowy guz w kanale odbytu mniejszy niż w badaniu wykonanym bezpośrednio po leczeniu. Właściwym postępowaniem jest:
Pytanie 105
Zasadniczą metodą leczenia pierwotnego raka płaskonabłonkowego pochwy w II i III st. zaawansowania klinicznego jest:
Pytanie 106
Czynnikiem/ami wysokiego ryzyka wznowy u kobiet po operacji raka szyjki macicy w st. klinicznym IA2-IIA nie jest/nie są:
Pytanie 107
Klasyfikacja st. zaawansowania klinicznego wg. FIGO raka szyjki macicy nie uwzględnia:
Pytanie 108
Wskaż, w jakim przypadku uzasadnione jest zastosowanie radiochemioterapii u chorych na raka szyjki macicy:
Pytanie 109
Radioterapia protonowa:
Pytanie 110
Wskaż fałszywe stwierdzenie dotyczące gemcytabiny:
Pytanie 111
Wskaż prawdziwe stwierdzenie dotyczące cetuximabu:
Pytanie 112
Parametr QUALY:
Pytanie 113
W badaniu klinicznym z losowym doborem chorych porównano interwencję A i B, gdzie A to leczenie eksperymentalne, natomiast B to leczenie konwencjonalne. Wynik badania wykazał, że współczynnik względnego ryzyka zgonu (HR, hazard ratio) dla porównania przeżyć całkowitych w ramieniu A versus B wynosi 0,5. Oznacza to:
Pytanie 114
Dawka na powierzchni od wiązek elektronów:
Pytanie 115
Dawka na skórę (na powierzchni) od megawoltowej wiązki fotonowej od strony wejścia wiązki (dawka wlotowa):
Pytanie 116
Rozkład dawki od dwóch wiązek przeciwległych o tych samych wagach, z wyłączeniem obszaru narastania dawki:
Pytanie 117
Rozkład dawki w objętości tarczowej (Planning Target Volume), w którym dawka minimalna wynosi 170 cGy, dawka w punkcie referencyjnym wynosi 180 cGy, dawka maksymalna wynosi 188 cGy:
Pytanie 118
Zastosowanie techniki łukowej dynamicznej w stosunku do wielopolowych technik konformalnych zwykle:
Pytanie 119
W dwóch ramionach badania Stockholm III w raku odbytnicy porównywano: 1) radioterapię 5x5 Gy z zabiegiem operacyjnym przeprowadzonym 1-7 dni po radioterapii; 2) radioterapię 5x5 Gy z zabiegiem operacyjnym odroczonym 28-56 dni po radioterapii. Wskaż prawdziwe stwierdzenie dotyczące wyników badania:
Pytanie 120



