Wyszukaj egzamin lub pytanie
Egzamin PES Radioterapia onkologiczna / jesień 2018
120 pytań
Pytanie 1
Wskaż prawdziwe stwierdzenie dotyczące oponiaków WHO 1:
Pytanie 2
Po resekcji pojedynczego przerzutu z mózgu u chorych w stanie sprawności PS≤1 zastosowanie radioterapii uzupełniającej:
Pytanie 3
Wskaż prawdziwe stwierdzenie dotyczące martwicy popromiennej mózgu (RN) po radioterapii stereotaktycznej z zastosowaniem pojedynczej frakcji (SF- SRS) lub schematów 3-5 frakcyjnych (MF-SRS):
Pytanie 4
W klasyfikacji WHO guzów ośrodkowego układu nerwowego z 2016 roku wyróżniono 2 typy glioblastoma w zależności od obecności mutacji genu IDH (dehydrogenazy izocytrynianowej). Wskaż stwierdzenie najlepiej opisujące glioblastoma IDH-wt:
Pytanie 5
Wskaż nowotwory, w których etiologii znaczną rolę odgrywa zakażenie onkogennymi wirusami brodawczaka ludzkiego (Human papilloma virus - HPV): 1) rak szyjki macicy, rak odbytu; 2) nowotwory nosowej części gardła; 3) rak prącia, rak sromu, rak pochwy; 4) rak jamy ustnej i gardła; 5) rak krtani. Prawidłowa odpowiedź to:
Pytanie 6
Wskaż populację, dla której prowadzony jest obecnie w Polsce populacyjny program badań przesiewowych w kierunku wczesnego wykrycia raka piersi w Polsce oraz interwał między turami badania i uzasadnienie wyboru tej grupy wiekowej: 1) 50-69 lat, szczyt zachorowań związany z wejściem w okres menopauzy, co 2 lata; 2) 40-59 lat, okres okołomenopauzalny, co 3 lata; 3) 50-59 lat, maksimum zachorowań, co rok; 4) 40-55 lat, okres okołomenopauzalny, co 2 lata; 5) od 2016 roku w Polsce program badań przesiewowych nie spełnia definicji populacyjnego programu badań przesiewowych (brak indywidualnych zaproszeń). Prawidłowa odpowiedź to:
Pytanie 7
Wskaż prawdziwe stwierdzenia dotyczące ryzyka przypisanego (attributable risk - AR) określającego frakcję zachorowań związanych z danym czynnikiem ryzyka: 1) AR dla palenia tytoniu w raku szyjki macicy wynosi 20%; 2) AR dla zakażenia HPV w raku szyjki macicy wynosi ok. 90%; 3) AR dla palenia tytoniu w raku płuca wynosi ok. 70% u kobiet i ok. 85-90% u mężczyzn; 4) AR dla palenia tytoniu w raku piersi wynosi 20%; 5) AR dla picia alkoholu jest różne od 0 (zero) jedynie w nowotworach jamy ustnej i gardła. Prawidłowa odpowiedź to:
Pytanie 8
Najczęstszym nowotworem kobiet w Polsce jest rak piersi. Jakie nowotwory i w jakiej kolejności występują na kolejnych miejscach (zachorowania)?
Pytanie 9
Zastosowanie klinów ma na celu:
Pytanie 10
Wpływ błędu systematycznego na wielkość marginesu CTV - PTV jest:
Pytanie 11
Gdy znormalizowany gradient dawki opisujący prawdopodobieństwo kontroli miejscowej wynosi 2 to względna zmiana dawki o 3% prowadzi do zmiany prawdopodobieństwa kontroli miejscowej o około:
Pytanie 12
Jeśli moc dawki w maksimum wiązki, w odległości 100 cm wynosi 1 Gy/min to moc dawki w odległości 200 cm wynosi około:
Pytanie 13
Do charakterystycznych cech klinicznych raka płaskonabłonkowego ustnej części gardła zależnego od zakażenia wirusem brodawczaka ludzkiego (HPV) zalicza się:
Pytanie 14
Do czynników predykcyjnych warunkujących prawdopodobieństwo odpowiedzi terapeutycznej po dodaniu cetuksymabu do napromieniania u chorych na raki płaskonabłonkowe narządów głowy i szyi należy:
Pytanie 15
U 60-letniego mężczyzny wykonano hemiglossektomię i całkowite wycię- cie układu chłonnego szyi (CND) po stronie prawej z powodu raka zlokalizowa- nego w 2/3 przednich języka. W badaniu patomorfologicznym stwierdzono naciek średnio zróżnicowanego (G2) raka płaskonabłonkowego o wymiarach 2 x 3 cm i grubości 0,4 cm, bez naciekania mięśni głębokich (pT2). Wycięcie było radykal- ne, a wszystkie marginesy przekraczały 0,3 cm. Stwierdzono przerzut w 1/25 węźle chłonnym (2,5 cm) grupy IB bez przekraczania torebki węzła (pN1). Chory w stopniu sprawności 1 i bez obciążeń medycznych. Standardowym dalszym postępowaniem jest:
Pytanie 16
Wskazaniem do zastąpienia pochodnych platyny cetuksymabem w ramach kojarzenia z radioterapią u chorych na miejscowo i / lub regionalnie zaawansowane raki ustnej części gardła jest:
Pytanie 17
U 40-letniej kobiety stwierdzono guz zlokalizowany lateralnie w podstawie języka (1/3 tylna) średnicy 3 cm, bez przekraczania linii środkowej. Biopsja wycin- kowa wykazała utkanie raka gruczołowo-torbielowatego. W badaniu TK obraz był tożsamy z oceną kliniczną, naciek średnicy 2,5 cm w podstawie języka bez przekraczania linii środkowej. Leczeniem z wyboru w tym przypadku jest:
Pytanie 18
Leczeniem z wyboru w przypadku rozpoznania nerwiaka węchowego zlokalizowanego w sitowiu z ograniczonym naciekaniem podstawy przedniego dołu czaszki jest:
Pytanie 19
U 58-letniego mężczyzny rozpoznano raka krtaniowej części gardła. Ba- danie histopatologiczne pobranego wycinka wykazało utkanie raka płaskonabłon- kowego nisko zróżnicowanego G3. W oparciu o ocenę przedmiotową i badania obrazowe ustalono stopień klinicznego zaawansowania cT2N0M0. U chorego stwierdzono brak istotnych obciążeń medycznych i stopień sprawności ECOG 1. Leczeniem z wyboru w tym przypadku jest:
Pytanie 20
Do mechanizmów działania pochodnych platyny, które uzasadniają celo- wość kojarzenia tej grupy leków z napromienianiem w sekwencji jednoczesnej należy:
Pytanie 21
U 40-letniej rozpoznano raka nosowej części gardła. W badaniu histopato- logicznym stwierdzono utkanie raka nierogowaciejącego, grupa II wg WHO. W ocenie klinicznej i badaniach obrazowych stwierdzono naciek ograniczony do struktur nosowej części gardła oraz masywne przerzuty do węzłów chłonnych szyi grup IIAB i III o średnicy przekraczającej 6 cm, z naciekaniem tkanki podskórnej. W badaniu PET TK nie stwierdzono innych poza narządami głowy i szyi ognisk nowotworu. Racjonalnym postępowaniem w tym przypadku jest:
Pytanie 22
Wybierz najbardziej trafne stwierdzenie dotyczące aktualnej roli badania PET/CT w planowaniu radykalnej radioterapii NDRP:
Pytanie 23
Optymalne ustawienia parametrów obrazu tomografii komputerowej przy definiowaniu GTV w przypadku planowania radioterapii chorego na raka płuca:
Pytanie 24
W celu zminimalizowania ryzyka popromiennego zapalenia płuc w przypadku radykalnej radioterapii NDRP należy:
Pytanie 25
Wskaż prawdziwe stwierdzenie dotyczące jednoczasowej (natychmiastowej) rekonstrukcji piersi po amputacji z powodu raka:
Pytanie 26
Mutacja genu BRCA2 może warunkować zachorowanie na:
Pytanie 27
Zalecany margines tkanek zdrowych u chorych po zabiegu oszczędzającym z powodu naciekającego raka piersi to:
Pytanie 28
W raku piersi badanie 18FDG-PET stosuje się do:
Pytanie 29
Kontrola po leczeniu chorych na wczesnego raka piersi powinna obejmować:
Pytanie 30
Wskazaniem do zastosowania protonoterapii w nowotworach wieku dziecięcego w Polsce jest:
Pytanie 31
Najczęstszą lokalizacją nerwiaka zarodkowego współczulnego jest:
Pytanie 32
Wskaż korzystne lokalizacje mięsaka prążkowanokomórkowego: 1) oczodół; 2) zatoka czołowa; 3) śródpiersie; 4) jądro; 5) mięśnie pośladkowe. Prawidłowa odpowiedź to:
Pytanie 33
Wskaż prawdziwe stwierdzenie dotyczące półcienia (penumbry) wiązki w obecnych technikach napromieniania guzów płuca:
Pytanie 34
Wskaż prawdziwe stwierdzenie dotyczące algorytmu obliczeniowego Pencil Beam stosowanego w systemach planowania leczenia w przypadku raka płuca:
Pytanie 35
U chorego zakwalifikowanego do radioterapii radykalnej z powodu niedrobnokomórkowego raka płuca stwierdzono, że węzeł chłonny śródpiersia o wymiarze w krótkiej osi 1,5 cm ma patologiczny wychwyt FDG w badaniu PET-TK (SUVmax: 10). W badaniu EBUS-FNA nie potwierdzono patologicznego charakteru tego węzła. Należy:
Pytanie 36
Oczekiwanym efektem ochrony okolicy hipokampa w napromienianiu profilaktycznym mózgu jest:
Pytanie 37
U 80-letniego pacjenta chorego na niedrobnokomórkowego raka płuca w upośledzonym stanie sprawności ogólnej (KPS: 60) stwierdzono w TK mózgu 4 przerzuty do mózgu o łącznej objętości 40 ml. U tego pacjenta należy zastosować:
Pytanie 38
Wyniki badania z randomizacją, w którym porównywano radioterapię fotonową z radioterapią protonową u chorych na miejscowo zaawansowanego raka płuca (Liao Z i wsp. JCO 2018), wykazały:
Pytanie 39
W badaniu PACYFIC (Antonia i wsp. N Engl J Med. 2017) dotyczącym chorych na miejscowo zaawansowanego niedrobnokomórkowego raka płuca porównano radio-chemioterapię z radio-chemioterapią skojarzoną z immuno- terapią. Lek stosowany w ramieniu eksperymentalnym to:
Pytanie 40
Leki immunokompetentne (inhibitory punktów kontrolnych odpowiedzi immunologicznej) w skojarzeniu z radioterapią stanowią obecnie przedmiot wielu toczących się badań klinicznych. Wskaż które z wymienionych poniżej leków należy zaliczyć do inhibitorów PDL-1 (Programmed death-ligand-1 Inhibitors): 1) niwolumab; 2) pembrolizumab; 3) durwalumab; 4) atezolizumab; 5) ipilimumab. Prawidłowa odpowiedź to:
Pytanie 41
Stosowanie leczenia skojarzonego radio-chemioterapii u chorych na raka szyjki macicy istotnie wpływa na redukcję ryzyka zgonu: 1) o 30-40%; 2) o 60-70%; 3) dotyczy stosowania cisplatyny; 4) dotyczy stosowania hydroksymocznika; 5) nie zależy od rodzaju użytego cytostatyku. Prawidłowa odpowiedź to:
Pytanie 42
Do czynników ryzyka rozwoju powikłań po radioterapii u chorych na raka trzonu macicy należą: 1) rozległość zabiegu operacyjnego; 2) objętość napromieniana i sposób frakcjonowania dawki radioterapii; 3) współistnienie cukrzycy, nadciśnienia tętniczego; 4) brak leczenia operacyjnego; 5) stosowanie leczenia wspomagającego. Prawidłowa odpowiedź to:
Pytanie 43
Stosowanie wiązki protonowej w radioterapii, w porównaniu z wiązką fotonową, uzasadnione jest:
Pytanie 44
Radioterapia protonowa stosowana w leczeniu chorych na nowotwory podstawy czaszki pozwala na uzyskanie 10-letnich miejscowych kontroli wynoszących:
Pytanie 45
Przesłanką do stosowania radioterapii protonowej w leczeniu nowotworów wieku dziecięcego jest możliwość:
Pytanie 46
Jaki rodzaj promieniowania stosowanego w radioterapii jest wytwarzany w liniowym przyśpieszaczu elektronów stosowanym w radioterapii?
Pytanie 47
Zaplanowano dawkę frakcyjną w leczeniu radiochirurgicznym jako 10 Gy. W szpitalu 'A' - zdefiniowano ją jako dawkę minimalną PTV. W szpitalu 'B' tę samą dawkę frakcyjną (10 Gy) zdefiniowano do dawki średniej w PTV. Czy dawki w PTV w szpitalu A i B były równe?
Pytanie 48
W której energii promieniowania fotonowego jest największy udział promieniowania rozproszonego?
Pytanie 49
Czy dopuszczalne jest z punktu widzenia QA w radioterapii stosowanie wiązek nie współpłaszczyznowych bez planowania 3D?
Pytanie 50
PDG - procent dawki na głębokości (% Depth Dose) jest to stosunek dawki na danej głębokości do dawki maksymalnej (w 'build-up'). Dla promienio- wania fotonowego zależy on od kilku wartości np. energii, wymiaru wiązki, odleg- łości pacjenta od źródła promieniowania. Czy zwiększenie SSD, bez zmiany pozostałych wartości, wpływa na % dawki na wybranej głębokości?
Pytanie 51
U chorego z rozpoznaniem uogólnionego (przerzuty w kościach i drugim płucu) raka gruczołowego płuca z powodu stwierdzenia delecji w eksonie 19. genu EGFR zastosowano erlotynib. Po 9 miesiącach leczenia wystąpiła progresja choroby (przerzuty w wątrobie). Stan chorego jest dobry i nie stwierdza się nieprawidłowości w badaniach laboratoryjnych. W opisanej sytuacji należy - w pierwszej kolejności - rozważyć zastosowanie:
Pytanie 52
Stosując technikę pól naprzeciwległych np. w napromienianiu raka krtani, należy użyć filtrów klinowych w celu wyeliminowania punktu 'gorącego'. Który z rysunków przedstawia poprawne ułożenie klinów?

Pytanie 53
Radiochemioterapia chorych na niedrobnokomórkowego raka płuca:
Pytanie 54
Badanie metodą tomografii komputerowej jest podstawowym badaniem dedykowanym do planowania leczenia. Jest ono niezbędnym etapem przygotowania chorego do radioterapii. Dlaczego?
Pytanie 55
U 30-letniego chorego, który nie zgłasza żadnych dolegliwości, stwierdzo- no jednostronne powiększenie węzłów chłonnych szyjnych i pachowych. Badanie patomorfologiczne wykazało obecność chłoniaka Hodgkina (typ guzkowy z przewagą limfocytów). Plan leczenia powinien obejmować:
Pytanie 56
Radioterapia w ramach skojarzonego leczenia chorych na raka odbytnicy jest wskazana w przypadku:
Pytanie 57
Leczenie systemowe chorych na nawrotowego lub uogólnionego raka szyjki macicy może obejmować stosowanie: 1) cisplatyny w skojarzeniu z paklitakselem; 2) cisplatyny w skojarzeniu z topotekanem; 3) cisplatyny w skojarzeniu z gemcytabiną; 4) karboplatyny w monoterapii; 5) tamoksyfenu. Prawidłowa odpowiedź to:
Pytanie 58
W ramach immunoterapii chorych na zaawansowanego raka niedrobno- komórkowego płuca wartość - potwierdzoną podczas prospektywnych badań klinicznych - ma:
Pytanie 59
Ryzyko wystąpienia powikłań sercowo-naczyniowych dotyczy chorych otrzymujących w ramach chemioterapii leki z grupy antracyklin, gdy:
Pytanie 60
Wskaż fałszywe stwierdzenie dotyczące dermatofibrosarcoma protuberans (włókniakomięsaka guzowatego skóry):
Pytanie 61
Wskaż fałszywe stwierdzenie dotyczące raka z komórek Merkla:
Pytanie 62
23-letni chory zgłosił się z powodu guzowatej masy wielkości 8 cm zloka- lizowanej w przynasadowej dalszej części kości udowej ze złamaniem patolo- gicznym. W wykonanych badaniach obrazowych i biopsji stwierdzono mięsaka kościopochodnego bez cech przerzutów odległych. Jakie jest najwłaściwsze postępowanie terapeutyczne?
Pytanie 63
Wskaż fałszywe stwierdzenie dotyczące raka podstawnokomórkowego (BCC) skóry:
Pytanie 64
Wskaż fałszywe stwierdzenie dotyczące radykalnej limfadenektomii u chorych na czerniaki skóry:
Pytanie 65
Stwierdzenie w wyniku histopatologicznym po biopsji wycinającej ogniska pierwotnego czerniaka skóry zlokalizowanego na skórze owłosionej głowy czerniaka o grubości 0,9 mm wg Breslowa bez owrzodzenia i liczbą figur podziału 1/mm2 to według skali TNM - AJCC z 2017 roku (wersja 8) cecha:
Pytanie 66
Po wycięciu radykalnym nowotworu podścieliskowego przewodu pokarmowego jelita cienkiego wielkości 7,5 cm z indeksem mitotycznym 6/50 HPF i obecnością mutacji w eksonie 11 KIT należy:
Pytanie 67
Wskaż fałszywe stwierdzenie dotyczące zmian nowotworowych w układzie kostnym:
Pytanie 68
Wskaż prawdziwe stwierdzenia dotyczące terapii czerniaków skóry: 1) wemurafenib z kobimetynibem i dabrafenib z trametynibem stosuje się w leczeniu przerzutowych czerniaków z obecnością mutacji BRAF V600; 2) inhibitory BRAF w skojarzeniu z inhibitorami MEK stosowane w leczeniu zaawansowanych czerniaków poprawiają przeżycia całkowite i przeżycia wolne od progresji choroby w porównaniu z monoterapią inhibitorami BRAF; 3) biopsja węzła wartowniczego istotnie poprawia przeżycia całkowite chorych w całej populacji poddawanej tej procedurze; 4) niwolumab i pembrolizumab wydłużają przeżycia całkowite chorych w porów- naniu z komparatorami niezależnie od statusu mutacji BRAF w komórkach czerniaka; 5) w przypadku stwierdzenia izolowanych przerzutów do węzłów chłonnych czerniaka o nieznanym ognisku pierwotnym postępowaniem z wyboru jest leczenie systemowe +/- radioterapia; 6) izolowana perfuzja kończynowa, elektrochemioterapia i T-VEC mają znaczenie w terapii przerzutów in-transit na kończynach. Prawidłowa odpowiedź to:
Pytanie 69
Wskaż prawdziwe stwierdzenie dotyczące biopsji diagnostycznej u chorych z podejrzeniem mięsaka tkanek miękkich:
Pytanie 70
Brachyterapia raka płuca i przełyku należy do metod brachyterapii:
Pytanie 71
Brachyterapia jest stosowana w leczeniu:
Pytanie 72
Opublikowane w Journal of Clinical Oncology wytyczne ASCO (American Society of Clinical Oncology) nt. brachyterapii raka stercza zawierają zalecenia stosowania: 1) brachyterapii samodzielnej lub teleradioterapii samodzielnej lub prostatektomii w niskiej grupie ryzyka raka stercza; 2) brachyterapii jako 'boost' w pośredniej grupie ryzyka dla pacjentów wybierających teleradioterapię; 3) brachyterapii samodzielnej w tzw. dobrze rokującej (low-intermediate) grupie pośredniego ryzyka raka stercza; 4) brachyterapii jako 'boost' w wysokiej grupie ryzyka dla pacjentów wybierających teleradioterapię; 5) brachyterapii samodzielnej lub teleradioterapii samodzielnej lub prostatektomii w wysokiej grupie ryzyka raka stercza. Prawidłowa odpowiedź to:
Pytanie 73
Podstawową jednostką dawki pochłoniętej promieniowania stosowaną w brachyterapii jest:
Pytanie 74
Podstawowa różnica między technikami brachyterapii (LDR, PDR, HDR) to:
Pytanie 75
W celu zakwalifikowania pacjenta chorego na wczesnego raka prostaty do brachyterapii analizuje się:
Pytanie 76
Sposób skojarzenia metod leczenia onkologicznego chorego na nowotwór głowy i szyi nie zależy od:
Pytanie 77
Czynnikami wpływającymi na przeżycie całkowite (OS) w pooperacyjnej radioterapii (PORT) chorych na raka głowy i szyi są:
Pytanie 78
Czy dla definitywnej radioterapii chorych na płaskonabłonkowego raka głowy i szyi wykazano wyższość innego frakcjonowania dawki promieniowania niż konwencjonalne?
Pytanie 79
Definitywna, jednoczesna radio-chemioterapia jest leczeniem z wyboru u chorych na zaawansowanego (III-IV stopień kliniczny) raka głowy i szyi. Czy modyfikacja radioterapii poprzez zmianę frakcjonowania dawki promieniowania na niekonwencjonalne jest uzasadniona dowodami klinicznymi (Evidence Based)?
Pytanie 80
Jakie jest podstawowe wskazanie do leczenia skojarzonego raka głowy i szyi za pomocą radioterapii i chemioterapii?
Pytanie 81
Jaki cytostatyk powoduje chemouwrażliwienie komórek raka płaskona- błonkowego głowy i szyi na promieniowanie podczas rutynowej, jednoczesnej radio-chemioterapii?
Pytanie 82
Na podstawie jakiego badania lekarz radioterapeuta zaplanuje najbardziej dokładnie radioterapię definitywną raka podniebienia miękkiego w I stopniu zaawansowania klinicznego?
Pytanie 83
Zasadnicza różnica pomiędzy napromienianiem metodą sekwencyjną a metodą jednoczesnego podwyższenia dawki (SIB) chorego na raka głowy i szyi polega na tym, że:
Pytanie 84
Podaj poprawne wskazania kliniczne nowotworów głowy i szyi odnoszące się w Polsce do refundacji radioterapii protonowej poza narządem wzroku zgodnie z rozporządzeniem MZ:
Pytanie 85
Radioterapia po chemioterapii pierwszej linii u chorych na chłoniaka Hodgkina w stadium wyjściowego zaawansowania III i IV jest zalecana w następujących okolicznościach: 1) po chemioterapii ABVD, napromienianie ograniczone do zmian rezydualnych o wielkości >1,5 cm; 2) na okolice zajęte wyjściowo przez zmiany masywne (>7 cm); 3) po chemioterapii BEACOPP, napromienianie ograniczone do zmian rezydualnych PET-pozytywnych o wielkości >2,5 cm; 4) na umiejscowienia pozawęzłowe choroby; 5) napromienianie wszystkich zmian rezydualnych. Prawidłowa odpowiedź to:
Pytanie 86
Zalecenia międzynarodowe dotyczące diagnostyki stadium zaawansowa- nia i oceny odpowiedzi na leczenie chłoniaków (Lugano 2014) wprowadzają do rutynowego zastosowania:
Pytanie 87
Do czynników ryzyka w klasyfikacji międzynarodowego wskaźnika rokowniczego (International Prognostic Index) dla chorych na chłoniaki agresywne zalicza się: 1) wiek > 60 lat; 2) płeć męska; 3) stężenie beta2-mikroglobuliny w surowicy > normy; 4) aktywność LDH w surowicy > normy; 5) frakcja proliferacyjna (Ki67+) >90%. Prawidłowa odpowiedź to:
Pytanie 88
W przypadku chorego w wieku 52 l. z rozpoznaniem chłoniaka DLBCL NOS z zajęciem węzłów chłonnych przestrzeni zaotrzewnowej, wątroby i szpiku oraz podwyższoną aktywnością LDH, optymalnym leczeniem początkowym jest:
Pytanie 89
Radioterapia okolicy zajętej (IFRT) może być zastosowana jako leczenie wyłączne pierwszej linii w następujących rozpoznaniach: 1) chłoniak grudkowy w stadium zaawansowania I-II; 2) pierwotny chłoniak śródpiersia z dużych komórek B; 3) pierwotny chłoniak piersi; 4) chłoniak Hodgkina guzkowy z przewagą limfocytów (NLPHL) w stadium I-II; 5) chłoniak z komórek płaszcza w stadium I-II bez dynamiki klinicznej. Prawidłowa odpowiedź to:
Pytanie 90
Radioterapia uzupełniająca po uzyskaniu remisji choroby w następstwie chemioterapii jest zalecana w postępowaniu rutynowym w przypadku: 1) pierwotnego chłoniaka jądra; 2) chłoniaka Burkitta; 3) pierwotnego chłoniaka ośrodkowego układu nerwowego; 4) pierwotnego chłoniaka kości; 5) chłoniaka z komórek płaszcza. Prawidłowa odpowiedź to:
Pytanie 91
Generalnie, najbardziej wrażliwą fazą cyklu komórkowego na promieniowanie wywołujące aberracje chromosomowe jest:
Pytanie 92
Przedłużenie w czasie frakcjonowania dawki promieniowania:
Pytanie 93
Z krzywej przeżycia komórkowego wynika, że parametr D0 jest dawką, po której:
Pytanie 94
Jaka jest wartość względnej skuteczności biologicznej (WSB) szybkich neutronów, jeżeli po dawce 4 Gy przeżycie komórkowe wynosi 0,1 i jest takie same jak po 6 Gy promieniowania standardowego (60Co)?
Pytanie 95
Ryzyko późnego odczynu popromiennego zdrowych tkanek wzrasta w miarę: 1) wzrostu dawki fizycznej; 2) wydłużenia przedziału czasu między frakcjami; 3) skrócenia przedziału czasu między frakcjami; 4) wydłużenia całkowitego czasu leczenia; 5) skrócenia całkowitego czasu leczenia; 6) zwiększenia mocy dawki; 7) obniżenia mocy dawki. Prawidłowa odpowiedź to:
Pytanie 96
W radiobiologii 'śmierć komórki' lub 'przeżycie komórki' rozumie się jako:
Pytanie 97
Do dużych naczyń krwionośnych często wrasta:
Pytanie 98
Częstość przerzutów w węzłach chłonnych szyi raka ruchomej części języka z klinicznie niepowiększonymi węzłami chłonnymi wynosi:
Pytanie 99
Promieniowanie hamowania X:
Pytanie 100
Dawka przypisywana w PTV wg Raportu IRCU nr 83, specyfikowana jest:
Pytanie 101
Izotop stosowany w aparacie Gamma Knife, rozpada się:
Pytanie 102
Maksymalna wartość dawki na skórze dla wiązek terapeutycznego promieniowania w zakresie energii keV, spowodowana jest:
Pytanie 103
Zastosowanie w wiązce fotonowej filtra klinowego - stałego:
Pytanie 104
Dlaczego nie można planować rozkładów dawek na obrazach Rezonansu Magnetycznego?
Pytanie 105
Efekt fotoelektryczny jest zjawiskiem występującym najczęściej w przypadku stosowania wiązek radioterapeutycznych:
Pytanie 106
Dodatni odczyn immunohistochemiczny na obecność białka TTF1 w przerzucie niskozróżnicowanego raka do mózgu świadczy o lokalizacji ogniska pierwotnego:
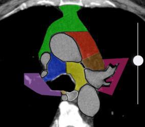
Pytanie 107
Którą grupę węzłów chłonnych wg atlasu IASLC oznaczono strzałką ?

Pytanie 108
Profilaktyczne stosowanie podskórnych wstrzyknięć heparyn drobnocząsteczkowych (LMWH) nie jest rutynowo zalecane u chorych:
Pytanie 109
W badaniu CONVERT dotyczącym raka drobnokomórkowego płuca radiochemioterapia hiperfrakcjonowana (45Gy 2 x dziennie) była związana z:
Pytanie 110
Wypadek radiacyjny kategorii A w teleradioterapii lub brachyterapii obejmuje: 1) zaaplikowanie dawki całkowitej większej niż 125% dawki przepisanej; 2) zaaplikowanie dawki całkowitej mniejszej niż 90% dawki przepisanej; 3) napromienianie związane z błędną lokalizacją objętości tarczowej; 4) napromienianie wynikające z błędnej identyfikacji chorego; 5) napromienianie wiązką o niewłaściwej energii. Prawidłowa odpowiedź to:
Pytanie 111
Wskaż prawdziwe stwierdzenie dotyczące ziarnicy złośliwej u dzieci:
Pytanie 112
U 68-letniej chorej rozpoznano raka gruczołowego płuca a następnie wykonano lobektomię górną prawą i limfadenektomię wnęki oraz śródpiersia. W materiale pooperacyjnym stwierdzono guz pierwotny o średnicy 3,6 cm o lepidycz- nym typie wzrostu z mutacją genu EGFR, bez zajęcia wyciętych węzłów chłon- nych. Zabieg operacyjny był doszczętny, przebieg pooperacyjny niepowikłany. Dalsze postępowanie powinno obejmować:
Pytanie 113
Rekomendowany margines ITV - PTV dla radioterapii stereotaktycznej raka niedrobnokomórkowego płuca w I stopniu zaawansowania wynosi:
Pytanie 114
Rak gruczołowy typu I wg Siewerta to:
Pytanie 115
W raku dolnego odcinka przełyku naciekającego połączenie przełykowo-żołądkowe obszar CTV powinien zawierać węzły chłonne:
Pytanie 116
Wskaż prawdziwe stwierdzenie dotyczące radioterapii stereotaktycznej wczesnego raka prostaty:
Pytanie 117
W leczeniu raka kanału odbytu z zajętymi węzłami chłonnymi pachwinowymi należy zastosować:
Pytanie 118
Wykonywanie kolonoskopii w ramach badań przesiewowych dla raka jelita grubego:
Pytanie 119
Przedoperacyjna radiochemioterapia z udziałem karboplatyny i paklitak-selu w porównaniu z samodzielną chirurgią u chorych na raka przełyku i połącze-nia przełykowo- żołądkowego (badanie CROSS):
Pytanie 120



