Wyszukaj egzamin lub pytanie
Egzamin PES Radioterapia onkologiczna / wiosna 2015
120 pytań
Pytanie 1
Różnice (szeroki zakres) dawek tolerancji TD (dawek ryzyka ujawnienia późnego odczynu popromiennego) dla tkanek i narządów zdrowych są wynikiem różnic w:
1) jedynie wyjściowej liczbie komórek tarczowych (TC);
2) wyjściowej liczbie komórek tarczowych (TC) i jednostek czynnościowych (FSU);
3) zdolności naprawy popromiennych uszkodzeń subletalnych i potencjalnie letalnych;
4) zdolności i tempa depopulacji komórek tarczowych;
5) stopniu uszkodzenia i zdolności naprawczych sieci mikronaczyniowej w tkankach i narządach.
Prawidłowa odpowiedź to:
Pytanie 2
Efekt tlenowy (Wskaźnik Wzmożenia Tlenowego - OER) nie odgrywa roli w przypadku pochłaniania promieniowania:
Pytanie 3
Miarą promieniowrażliwości nowotworu (lub tkanki zdrowej) nie jest:
Pytanie 4
Który z poniższych systemów frakcjonowania dawki promieniowania charakteryzuje potencjalnie najwyższa efektywność kliniczna w terapii raka płaskonabłonkowego regionu głowy i szyi w stopniu zaawansowania T3N0M0?
Pytanie 5
Guz o średnicy 4 cm (1010 komórek nowotworowych) napromieniano dawką frakcjonowaną o wartości 2,0 Gy. W trakcie napromieniania stwierdzono regresję guza do średnicy 2 cm. Oznacza to, że:
1) regresja objętości guza wyniosła 87,5%;
2) regresja objętości guza wyniosła 50%;
3) liczba komórek przeżywających wyniosła 105;
4) liczba komórek przeżywających wyniosła 101,25;
5) liczba komórek przeżywających wyniosła 107.
Prawidłowa odpowiedź to:
Pytanie 6
W planowaniu radioterapii IMRT rozkład graficzny DVH dla narządu krytycznego - rdzenia kręgowego wskazał w 5% objętości dawkę 50 Gy. Z analizy dozymetrycznej wynika, że w tym obszarze rdzenia dawka frakcyjna stanowi 70% dawki frakcyjnej (2,0 Gy) planowanej w obszarze tarczowym guza. Przyjmując wskaźnik a/b = 2,0 Gy dla rdzenia oraz dawkę tolerancji (TD) 46 Gy w dawkach frakcyjnych 2,0 Gy to dawka biologiczna w rdzeniu:
Pytanie 7
U 35-letniej kobiety stwierdzono guz tkanek miękkich zlokalizowany podpowięziowo w obrębie mięśnia brzuchatego łydki wielkości 8 cm. Po wykonanej biopsji gruboigłowej badanie histopatologiczne wykazało rozpoznanie mięsaka pęcherzykowego tkanek miękkich (alveolar soft part sarcoma). W badaniu tomografii klatki piersiowej nie stwierdzono zmian przerzutowych. Jakie jest następnie najwłaściwsze postępowanie?
Pytanie 8
Spośród poniższych prawdziwe są następujące stwierdzenia dotyczące diagnostyki i leczenia nowotworów podścieliskowych przewodu pokarmowego:
1) rodzaj mutacji w genach KIT i PDGFRA ma podstawowe znaczenie predykcyjne dla odpowiedzi na leczenie imatynibem i sunitynibem;
2) leczenie uzupełniające imatynibem u chorych na GIST o dużym ryzyku nawrotu choroby przez okres 3 lat poprawia przeżycia całkowite;
3) w przypadkach miejscowo zaawansowanych należy rozważyć leczenie neoadjuwantowe imatynibem zamiast operacji okaleczających;
4) w trzeciej linii leczenia przerzutowych GIST stosuje się regorafenib;
5) najczęstszą pierwotną lokalizacją GIST jest jelito cienkie;
6) ocena ryzyka nawrotu GIST po pierwotnym leczeniu chirurgicznym wg klasyfikacji TNM obejmuje wielkość guza, wskaźnik mitotyczny oraz rodzaj mutacji KIT/PDGFRA.
Prawidłowa odpowiedź to:
Pytanie 9
Lecznicza limfadenektomia w czerniakach skóry wykonywana jest:
1) po stwierdzeniu w badaniu histopatologicznym przerzutów do węzłów wartowniczych;
2) w każdym przypadku powiększonych węzłów chłonnych u chorych na czerniaki skóry;
3) razem z wycięciem ogniska pierwotnego czerniaka (tzw. limfadenektomia elektywna);
4) po wykonaniu limfoscyntygrafii przedoperacyjnej;
5) po cytologicznym potwierdzeniu przerzutów do klinicznie zmienionych węzłów chłonnych.
Prawidłowa odpowiedź to:
Pytanie 10
Opcje leczenia u chorego na nienasieniakowy nowotwór złośliwy jądra w stopniu I po wycięciu jądra obejmują wszystkie sposoby postępowania, z wyjątkiem:
Pytanie 11
Wskaż prawdziwe stwierdzenie dotyczące neoadjuwantowej chemioradioterapii u chorych na raka odbytnicy:
Pytanie 12
Niepowodzenia po leczeniu chorych na raka pochwy obejmują:
Pytanie 13
W pooperacyjnej radioterapii raka szyjki macicy w przypadku obecności przerzutów w węzłach chłonnych stosowana jest dawka:
Pytanie 14
Teleradioterapia w skojarzeniu z brachyterapią w leczeniu chorych na raka szyjki macicy w III stopniu zaawansowania:
Pytanie 15
Po radioterapii niepowodzeń miejscowych raka trzonu macicy 5-letnie kontrole miejscowe wynoszą:
Pytanie 16
W leczeniu chorych na raka sromu radioterapia z jednoczesną chemioterapią stosowana jest w przypadku:
Pytanie 17
Wskaż prawdziwe stwierdzenie dotyczące cetuksymabu:
Pytanie 18
U chorych na nasieniaki:
Pytanie 19
Uzupełniająca radioterapia u chorych na mięsaki tkanek miękkich:
Pytanie 20
Pooperacyjne napromienianie chorych na raka piersi:
Pytanie 21
Radiochemioterapia chorych na raka szyjki macicy:
Pytanie 22
W tomoterapii stosuje się metodę IGRT opartą na:
Pytanie 23
Leczenie promieniami chorych na nerwoból nerwu trójdzielnego opiera się obecnie na radiochirurgii polegającej na podaniu wysokiej (najczęściej 60-110 Gy) jednorazowej dawki w objętości:
1) jądra pasma rdzeniowego odpowiedzialnego między innymi za odczuwanie bólu w zakresie unerwienia n. V (w wyjątkowych przypadkach);
2) pnia nerwu żuchwowego tuż poniżej jego wyjścia z otworu owalnego;
3) korzeni czuciowych n. V po wyjściu z przednio-bocznej części mostu, a przed wejściem ich w wycisk n. V na piramidzie kości skroniowej;
4) jądra pasma śródmózgowego;
5) jądra czuciowego głównego n. V.
Prawidłowa odpowiedź to:
Pytanie 24
Zastosowanie systemów „abdominal compression” - ucisku na powłoki jamy brzusznej, podczas radioterapii/radiochirurgii guzów zlokalizowanych w płucach i wątrobie ma na celu:
1) zredukowanie objętości jelit w polu napromieniania poprzez mechaniczne ich uciśnięcie;
2) zmniejszenie ruchomości wątroby i płuc podczas oddychania, a tym samym zmniejszenie marginesów dla PTV;
3) zmianę częstotliwości ruchów oddechowych narządów jamy brzusznej i płuc;
4) poprawienie jednorodności rozkładu dawki w obszarze tarczowym;
5) zredukowanie ryzyka uszkodzenia zdrowych tkanek poprzez zmniejszenie ich objętości w polu napromienianym.
Prawidłowa odpowiedź to:
Pytanie 25
Najczęściej stosowany schemat frakcjonowania dawki promieniowania dla leczenia chorych na EPH (epicondylopathia humeri) to:
Pytanie 26
Populacyjne badania przesiewowe (skrining) powinny spełniać wiele kryteriów. Należą do nich między innymi:
1) choroba stanowi ważny problem zdrowotny i społeczny;
2) dobrze poznana i rozumiana jest naturalna historia choroby;
3) możliwość wyleczenia choroby we wczesnym stadium i znacznie lepsze wyniki leczenia;
4) istnienie odpowiednich testów pozwalających wykryć chorobę. Testy te nie muszą być akceptowalne przez uczestników programu;
5) skrining wykonywany w powtarzalnych odstępach czasu, dopóki istnieje ryzyko choroby;
6) korzyści przewyższające ryzyko;
7) populacyjne koszty badania nie przewyższają kosztów leczenia.
Prawidłowa odpowiedź to:
Pytanie 27
Które z poniższych działań są uzasadnionymi działaniami profilaktyki wtórnej?
Pytanie 28
W 2012 roku liczba zgonów na nowotwory piersi u kobiet była niższa niż liczba zgonów u kobiet z powodu nowotworów:
Pytanie 29
Po okresie wzrostu umieralności z powodu raka płuca u mężczyzn w Polsce (z poziomu 27/105 w 1963 roku) w latach 90 XX wieku nastąpiła stabilizacja umieralności (ok. 70/105), a następnie trwający do dziś spadek umieralności (54/105 w 2012 roku). W populacjach niepalących ryzyko raka płuca jest takie samo u mężczyzn i kobiet i wynosi:
Pytanie 30
Dawka graniczna dla uszkodzenia siatkówki to:
Pytanie 31
Czynnikiem predykcyjnym obrzęku krtani w stopniu 2 lub wyższym jest średnia dawka w krtani powyżej:
Pytanie 32
Ryzyko powstania raka odbytu zwiększają:
Pytanie 33
Metaanaliza MACH-NC wykazała dla leczenia skojarzonego nowotworów głowy i szyi:
Pytanie 34
Ze względu na zjawisko budowania się dawki, dla promieniowania fotonowego i elektronowego, dawka na powierzchni ciała pacjenta, jest mniejsza niż na głębokości kilkunastu (kilkudziesięciu) milimetrów. Zjawisko to jest związane z mniejszą dawką promieniowania rozproszenia pochodzącą z powietrza (powietrze ma mniejszą gęstość od tkanki miękkiej). W celu zminimalizowania tego zjawiska należy:
Pytanie 35
Półcień wiązki to jeden z parametrów określających geometrię wiązki promieniowania. Definiujemy go, jako odległość pomiędzy izodozą 20% i 80% na głębokości 85% PDG (procent dawki na głębokości). Im jest on mniejszy, tym spadek dawki (gradient dawki) na brzegu wiązki większy. Czy zależy on (półcień) od odległości położenia pacjenta od głowicy akceleratora?
Pytanie 36
Planując dawkę frakcyjną należy wskazać punkt lub objętość w którym ma być ona zdeponowana. W różnych technikach napromieniania stosujemy różne normalizacje dawki. Dawki frakcyjne zdefiniowane na izodozie 85% i 100%, zachowując pozostałe warunki geometryczne wiązek promieniowania, są:
Pytanie 37
Czas napromieniania (w przypadku akceleratora biomedycznego - Liczba Jednostek Monitorowych, MU - monitor units) jest zależny od wielu parametrów związanych z geometrią wiązki napromieniania, mocą generowanej dawki. Planujemy podać dawkę 2 Gy na głębokości 10 cm, stosując jedno pole napromieniania o wymiarach 10 x 10 cm, SSD = 100 cm. Wyliczyliśmy, że dla tych warunków, należy włączyć ekspozycję promieniowania na 100 MU (monitor units). Jeżeli zmniejszymy wymiar wiązki do 4 x 4 cm, to liczba jednostek monitorowych (MU) będzie:
Pytanie 38
Wartość dawki promieniowania fotonowego, wyrażona w Gy, jest zależna od odległości od źródła promieniowania. Wskaż prawdziwe stwierdzenie:
Pytanie 39
Które z niżej wymienionych stwierdzeń dotyczących raka szyjki macicy jest prawdziwe?
Pytanie 40
U której z niżej wymienionych grup chorych można zrezygnować z uzupełniającej radioterapii po operacji wycięcia macicy z przydatkami z powodu raka błony śluzowej trzonu macicy?
Pytanie 41
Jaki jest odsetek raka sromu związanego z infekcją wirusem brodawczaka ludzkiego?
Pytanie 42
Guz ograniczony do sromu lub krocza bez przerzutów w węzłach chłonnych o średnicy ponad 2 cm z inwazją podścieliska powyżej 1 mm to wg FIGO (2009 r.) rak sromu:
Pytanie 43
Jakie jest procentowe ryzyko zajęcia okołoaortalnych węzłów chłonnych u chorych na raka błony śluzowej trzonu macicy z naciekaniem ponad połowy grubości mięśnia (FIGO IB)?
Pytanie 44
Napromienianie pachowych węzłów chłonnych przy użyciu klasycznego „pola pachowego”:
1) wiąże się ze zwiększonym ryzykiem obrzęku chłonnego kończyny górnej;
2) może być alternatywą dla usunięcia pachowych węzłów chłonnych u chorych z przerzutem do węzła wartownika;
3) zapewnia podanie adekwatnej dawki promieniowania na węzły dolnego piętra pachy;
4) zapewnia podanie adekwatnej dawki promieniowania na węzły środkowego i górnego piętra pachy;
5) jest niezbędne u wszystkich chorych z cechą N+ ze względu na wysokie ryzyko nawrotu w obrębie pachy.
Prawidłowa odpowiedź to:
Pytanie 45
W przypadku raka stercza opornego na kastrację należy:
Pytanie 46
Wskazaniem do cystektomii radykalnej w raku pęcherza nie jest:
Pytanie 47
Aktualna definicja wznowy biochemicznej po radykalnej radioterapii raka gruczołu krokowego to:
Pytanie 48
Wystarczającym marginesem chirurgicznym wokół guza piersi u chorych po zabiegu oszczędzającym z powodu wczesnego raka piersi jest:
Pytanie 49
Translokacja t(11;14) skutkująca nadekspresją cykliny D1, jest markerem:
Pytanie 50
Które z wirusów są związane z powstawaniem raków gardła?
Pytanie 51
Dla którego z typów raków głowy i szyi nie wykazano związku z paleniem tytoniu?
Pytanie 52
Gwiaździaki rozlane WHO G2 cechują się następującym rokowaniem:
Pytanie 53
Rodzinny rak żołądka, typ rozlany Laurena, może być warunkowany wrodzoną mutacją genu:
Pytanie 54
Najczęściej występującym chłoniakiem z komórek B jest:
Pytanie 55
Guz podścieliskowy przewodu pokarmowego najczęściej występuje w:
Pytanie 56
Rak włóknisto-blaszkowy (fibrolamellar carcinoma), występujący głównie u osób młodych, jest typem raka:
Pytanie 57
W zespole Lynch 2 obok raka jelita grubego spotyka się rodzinne występowanie innych nowotworów. Nie ma wśród nich raka:
Pytanie 58
Rak kanału odbytu jest klasyfikowany jako T4 jeśli nacieka:
Pytanie 59
Podstawowa różnica między technikami brachyterapii (LDR, PDR, HDR) to:
Pytanie 60
Najważniejsze zalety brachyterapii HDR to:
Pytanie 61
Brachyterapia LDR raka gruczołu krokowego (implanty stałe) jest stosowana od połowy lat 80-tych ubiegłego wieku. Standardowa przepisywana dawka lecząca wynosi:
Pytanie 62
Które z pojęć nie jest używane w brachyterapii?
Pytanie 63
Dawki cytostatyków stosowane jednoczasowo z hiperfrakcjonowaną radioterapią w przypadku raka drobnokomórkowego płuca w oparciu o wyniki badania Turrisi i wsp. (NEJM 1999) wynoszą:
Pytanie 64
Wg 7 edycji klasyfikacji TNM płaskonabłonkowy rak płuca o średnicy wynoszącej w największym wymiarze 3 cm, zlokalizowany 1 cm od ostrogi tchawicy, z udokumentowanymi przerzutami w węzłach chłonnych śródpiersiowych po stronie guza, bez przerzutów odległych, odpowiada zaawansowaniu klinicznemu w stopniu:
Pytanie 65
Wskaż prawdziwe stwierdzenie dotyczące badania EUS:
1) pozwala na ocenę śluzówki oskrzeli;
2) wykorzystuje technikę ultrasonografii wewnątrzoskrzelowej;
3) wykorzystuje technikę ultrasonografii wewnątrzprzełykowej;
4) jest obarczone wysokim ryzykiem powikłań;
5) jest wykorzystywane dla oceny węzłów chłonnych śródpiersia.
Prawidłowa odpowiedź to:
Pytanie 66
Metaanalizy kontrolowanych badań klinicznych wykazały, że w grupie chorych na niedrobnokomórkowego raka płuca w stopniu zaawansowania IIIA/IIIB chemioterapia, w porównaniu z samodzielną radioterapią:
Pytanie 67
Jaki odsetek chorych na raka górnego piętra krtani ma przerzuty do węzłów chłonnych zagardłowych?
Pytanie 68
Stopnie zaawansowania systemu TNM raka krtani są określone dla guza pierwotnego w zależności od pietra tego narządu. Które stopnie kliniczne T posiadają wspólną charakterystykę dla wszystkich pięter?
Pytanie 69
Które grupy węzłów chłonnych szyi (wg klasyfikacji Robbinsa) podlegają elektywnemu napromienianiu u chorego na raka podgłośni w II stopniu zaawansowania klinicznego?
Pytanie 70
Które grupy węzłów chłonnych szyi (wg klasyfikacji Robbinsa) podlegają elektywnemu napromienianiu u chorego na raka podgłośni w I stopniu zaawansowania klinicznego?
Pytanie 71
Standard leczenia chorego na raka głośni w II stopniu klinicznym polega na:
Pytanie 72
Standard leczenia chorego na raka nadgłośni w IV stopniu klinicznym polega na:
Pytanie 73
Badania kliniczne potwierdzają znaczenie kilku czynników prognostycznych dla wyleczenia chorego na raka krtani za pomocą promieniowania. Wskaż najważniejsze z niżej wymienionych:
Pytanie 74
Stu kolejnych chorych na raka krtani leczono promieniami w ramach badania klinicznego. U 75 stwierdzono po leczeniu całkowitą remisję raka. Po upływie 5 lat żyło 50 chorych; u 10 z nich w trakcie obserwacji po leczeniu stwierdzono nawrót raka krtani, który wyleczono chirurgicznie (całkowita laryngektomia) w 5 przypadkach. Wskaż najbardziej precyzyjny wskaźnik skuteczności radioterapii raka krtani w tej grupie chorych:
Pytanie 75
Skuteczność miejscowego leczenia promieniami chorych na nawrotowego raka skóry z naciekaniem okołonerwowym wynosi około:
Pytanie 76
Od czego zależy procentowa dawka głęboka (PDG)?
Pytanie 77
Wg raportu IRCU nr 83, dawkę referencyjną określa się:
Pytanie 78
Zastosowanie filtra klinowego - stałego na drodze wiązki terapeutycznej:
Pytanie 79
Ochronność osłony stosowanej w wiązce radioterapeutycznej, wymaga stosowania materiałów, które:
Pytanie 80
W przybliżeniu zasięg praktyczny wiązki elektronowej o energii 12 MeV wynosi:
Pytanie 81
Realizacja techniki VMAT (Volumetric Modulated Arc Therapy) bazuje na:
Pytanie 82
Parametry dozymetryczne, płaskość oraz symetria dotyczą:
Pytanie 83
Dane kliniczne wskazują, że dodanie cetuksymabu do napromieniania w porównaniu do wyłącznej radioterapii u chorych na lokoregionalnie zaawansowane raki płaskonabłonkowe narządów głowy i szyi skutkuje:
Pytanie 84
U 55-letniego mężczyzny po 6 latach od radykalnego leczenia (parotidektomia i uzupełniająca radioterapia) z powodu gruczołowo-torbielowatego raka przyusznicy stwierdzono zmiany w kontrolnym rentgenogramie klatki piersiowej. Wykonana tomografia komputerowa wykazała liczne zmiany przerzutowe w obu płucach, o średnicy nieprzekraczającej 2 cm. Chory był w stopniu sprawności 0 wg WHO, nie miał żadnych dolegliwości zależnych od nowotworu. Został zdyskwalifikowany od leczenia operacyjnego z powodu liczby zmian. Racjonalnym postępowaniem terapeutycznym w tym przypadku jest:
Pytanie 85
U 62-letniego mężczyzny wykonano subtotalną resekcję zatoki szczękowej prawej z powodu raka w klinicznym stopniu zaawansowania cT3N0. W badaniu histopatologicznym materiału operacyjnego rozpoznano średnio zróżnicowanego (G2) raka płaskonabłonkowego. Minimalny dostępny margines tkanek prawidłowych wyniósł 0,2 cm. Właściwym postępowaniem uzupełniającym jest:
Pytanie 86
Wskaż fałszywe stwierdzenie dotyczące leczenia oponiaków WHO G1:
Pytanie 87
Wskaż twierdzenie prawdziwe dotyczące czaszkogardlaków:
Pytanie 88
Na podstawie dostępnych danych z badań klinicznych wskaż leczenie 64-letniej chorej na raka piersi z rozpoznaniem pojedynczego przerzutu do mózgu (zlokalizowanego w nieelokwentnej okolicy kory płata czołowego, bez cech rozsiewu choroby poza OUN, KPS = 90), które prowadzi do najwyższej kontroli miejscowej:
Pytanie 89
Wskaż twierdzenie prawdziwe dotyczące radioterapii RMS u dzieci:
Pytanie 90
Grupa węzłowa nr 4R wg mapy węzłów chłonnych klatki piersiowej to węzły chłonne:
Pytanie 91
W badaniach diagnostycznych, pojęcie wartości predykcyjnej wyniku ujemnego (Negative Predictive Value, NPV) oznacza:
Pytanie 92
Powszechnie akceptowane wskazania do radioterapii protonowej obejmują następujące jednostki chorobowe, z wyjątkiem:
Pytanie 93
Wskaż prawdziwe stwierdzenie dotyczące naczyniaków krwionośnych zarodkowych (hemangioblastoma):
Pytanie 94
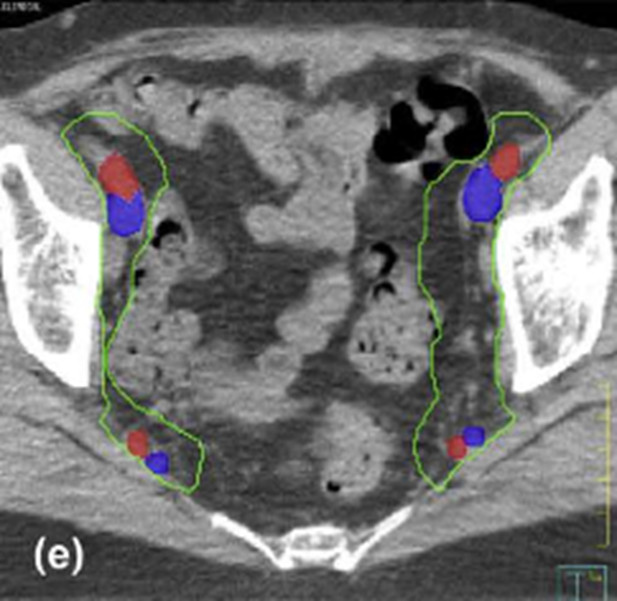
Na poniższym skanie TK strzałką oznaczono węzły chłonne:

Pytanie 95
Wypadek radiacyjny kategorii A w teleradioterapii lub brachyterapii obejmuje:
1) zaaplikowanie dawki całkowitej większej niż 110% dawki przepisanej;
2) zaaplikowanie dawki całkowitej większej niż 125% dawki przepisanej;
3) zaaplikowanie dawki całkowitej mniejszej niż 75% dawki przepisanej;
4) napromienianie związane z błędną lokalizacją objętości tarczowej;
5) napromienianie wynikające z błędnej identyfikacji chorego;
6) napromienianie wiązką o niewłaściwej energii.
Prawidłowa odpowiedź to:
Pytanie 96
U 55-letniej chorej bez obciążeń rozpoznano raka płaskonabłonkowego szczytu płuca lewego w stopniu zaawansowania T4N0M0. W badaniu TK klatki piersiowej stwierdzono guz naciekający ścianę klatki piersiowej na wysokości I i II żebra; nie stwierdzono zajęcia węzłów chłonnych śródpiersia. W wywiadzie i badaniach dodatkowych zwracają uwagę: silne bóle barku od 3 miesięcy, FEV1=2,6L, poziom hemoglobiny 13,1 mg/dL oraz prawidłowe parametry wydolności nerek i wątroby. Właściwym postępowaniem u tej chorej jest:
Pytanie 97
Schematem chemioterapii związanym z ponad 20% ryzykiem gorączki neutropenicznej jest:
Pytanie 98
Wskaż zdanie fałszywe dotyczące przerzutów do kości w przebiegu nowotworów litych:
Pytanie 99
Wskaż zdanie fałszywe dotyczące tamoksyfenu:
Pytanie 100
Test log-rank służy do porównania:
Pytanie 101
Termin ITV (internal target volume), wprowadzony w raporcie ICRU62, oznacza:
Pytanie 102
Przy zastosowaniu radiochirurgii, najniższej dawki terapeutycznej wymaga leczenie:
Pytanie 103
Na podstawie badania RTOG 95-08, zakres dawek promieniowania w zależności od wielkości guza dla radioterapii stereotaktycznej guzów przerzutowych mózgu ustalono na:
Pytanie 104
Radiochirurgia nie znajduje zastosowania w leczeniu:
Pytanie 105
W związku z zastosowaniem radioterapii stereotaktycznej w obszarze klatki piersiowej zaistniała konieczność wprowadzenia dawek dopuszczalnych dla nowych narządów krytycznych. Narządami tymi nie są:
Pytanie 106
Dziecięca postać ziarnicy złośliwej (poniżej 15 r.ż.) charakteryzuje się następującymi cechami:
1) występuje częściej u chłopców;
2) występuje jednakowo często u obu płci;
3) najczęściej występuje typ MC;
4) najczęściej występuje typ LP;
5) stwierdzana jest częściej w rodzinach wielodzietnych;
6) stwierdzana jest częściej w rodzinach o wysokim statusie socjoekonomicznym.
Prawidłowa odpowiedź to:
Pytanie 107
Wśród naciekających raków piersi postaciami histologicznymi o lepszym rokowaniu są:
1) rak śluzowy;
2) rak przewodowy;
3) rak zrazikowy;
4) rak rdzeniasty;
5) rak sitowaty.
Prawidłowa odpowiedź to:
Pytanie 108
Rak piersi bazalny (basal-like) charakteryzuje się następującymi cechami:
1) dobre rokowanie;
2) złe rokowanie;
3) HER 2+;
4) HER 2-;
5) ER-; PgR-;
6) ER+; PgR+.
Prawidłowa odpowiedź to:
Pytanie 109
U chorego z rozpoznanym rakiem niedrobnokomórkowym płuca wielkości 3 cm, położonym obwodowo i znajdującym się > 1 cm od ściany klatki piersiowej, zalecana dawka całkowita radioterapii stereotaktycznej wynosi:
Pytanie 110
Najkrótszy czas połowiczego rozpadu spośród pierwiastków promieniotwórczych stosowanych w ginekologii onkologicznej ma:
Pytanie 111
Na podstawie metaanalizy EBCTCG, radioterapia uzupełniająca po zabiegu oszczędzającym z powodu raka piersi u chorych z cechą pN0 zmniejsza ryzyko zgonu z powodu raka piersi w ciągu 15 lat:
Pytanie 112
Po doszczętnym usunięciu naczyniaka płodowego móżdżku należy:
Pytanie 113
Które ze stwierdzeń dotyczących raka przełyku jest prawdziwe?
Pytanie 114
Przez otwór okrągły przebiega nerw:
Pytanie 115
Optymalnym postępowaniem po miejscowym wycięciu raka odbytnicy w razie stwierdzenia w materiale operacyjnym niekorzystnych czynników rokowniczych (T2, naciek raka w linii cięcia, naciekanie okołonerwowe) jest:
Pytanie 116
Który z poniższych nowotworów złośliwych jajnika jest najbardziej promienioczuły?
Pytanie 117
Dotychczasowe próby porównania leczenia chirurgicznego i radioterapii stereotaktycznej (SBRT) u chorych na niedrobnokomórkowego raka płuca we wczesnych stopniach zaawansowania klinicznego, oparte o analizę doboru par (matched pair analysis), generalnie wskazują, że:
Pytanie 118
Wskaż prawdziwe stwierdzenia:
1) w pierwotnych chłoniakach mózgu stosuje się napromienianie całego mózgowia do dawki 40 do 50 Gy konwencjonalnie frakcjonowanej, po chemioterapii zawierającej metotreksat,
2) które daje ok. 80% całkowitych remisji,
3) kosztem ciężkiej neurotoksyczności u ponad 30% chorych, zwłaszcza w wieku ponad 60 lat.
Prawidłowa odpowiedź to:
Pytanie 119
Wśród objawów niepożądanych TBI znajdują się:
Pytanie 120



