Wyszukaj egzamin lub pytanie
Egzamin PES Radioterapia onkologiczna / jesień 2015
120 pytań
Pytanie 1
Wskaż fałszywe twierdzenie dotyczące leczenia gwiaździaka włosowatokomórkowego dróg wzrokowych u dzieci:
Pytanie 2
Wskaż twierdzenie prawdziwe dotyczące choroby Hodgkina u dzieci:
Pytanie 3
Wskaż twierdzenie prawdziwe dotyczące chorych na gwiaździaki anaplastyczne WHO III (oligodendroglioma anaplasticum, oligoastrocytoma anaplasticum, astrocytoma anaplasticum):
Pytanie 4
Wskaż twierdzenie prawdziwe dotyczące radioterapii mięsaków RMS u dzieci:
Pytanie 5
Wskaż twierdzenie fałszywe dotyczące martwicy popromiennej mózgu:
Pytanie 6
Wskaż twierdzenie prawdziwe dotyczące raka nosogardła u dzieci:
Pytanie 7
U chorego na raka płaskonałonkowego płuca lewego w stopniu zaawansowania IIIA, zaplanowano radykalną jednoczasową radio-chemioterapię z udziałem cisplatyny. Analizując wykres DVH planu leczenia, stwierdzono, że dla przełyku V60Gy = 31%. Prawdopodobieństwo ostrego odczynu popromiennego ze strony przełyku wynosi:
Pytanie 8
Wskaż prawdziwe stwierdzenie dotyczące radioterapii zwojaków współczulnych u dzieci:
Pytanie 9
Wskaż zdanie prawdziwe:
Pytanie 10
Grupa węzłowa nr 2L wg mapy węzłów chłonnych klatki piersiowej:
Pytanie 11
Współczynnik wzmożenia tlenowego (oxygen enhancement ratio, OER) zmienia się najbardziej dla prężności parcjalnej tlenu (mm Hg) w zakresie:
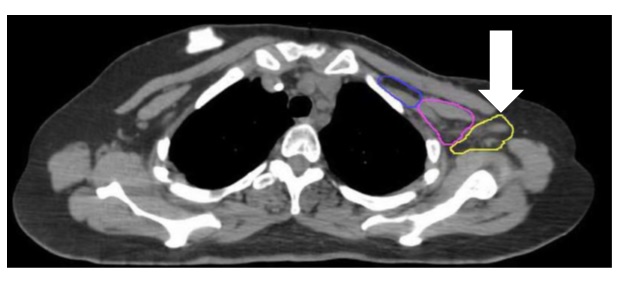
Pytanie 12
Na poniższym skanie TK strzałką oznaczono:

Pytanie 13
Wypadek radiacyjny kategorii A w teleradioterapii lub brachyterapii obejmuje:
1) zaaplikowanie dawki całkowitej większej niż 110% dawki przepisanej;
2) zaaplikowanie dawki całkowitej mniejszej niż 75% dawki przepisanej;
3) napromienianie związane z błędną lokalizacją objętości tarczowej;
4) napromienianie wynikające z błędnej identyfikacji chorego;
5) napromienianie wiązką o niewłaściwej energii.
Prawidłowa odpowiedź to:
Pytanie 14
Spływ chłonny z jądra lewego obejmuje w pierwszej kolejności:
Pytanie 15
Test chi-kwadrat służy do:
Pytanie 16
U 48-letniego chorego w dobrym stanie ogólnym rozpoznano gwiaździaka typu gemistocytarnego prawego płata skroniowego (II stopień złośliwości wg WHO) o wymiarach 6,5 x 3,1 cm, dobrze wzmacniającego kontrast w badaniu rezonansu magnetycznego. U chorego należy rozważyć następujące postępowanie:
Pytanie 17
U 59-letniej chorej rozpoznano raka gruczołowego płuca a następnie wykonano lobektomię górną prawą i limfadenektomię wnęki oraz śródpiersia. W materiale pooperacyjnym stwierdzono guz pierwotny o średnicy 3,7 cm o podtypie brodawkowatym, bez zajęcia wyciętych węzłów chłonnych. Zabieg operacyjny był doszczętny, przebieg pooperacyjny niepowikłany. Dalsze postępowanie powinno obejmować:
Pytanie 18
Trzydziestoletni mężczyzna zgłasza się do poradni onkologicznej po nieradykalnym zabiegu operacyjnym z powodu czaszkogardlaka przeprowadzonym bez powikłań 5 tygodni wcześniej. W wywiadzie i badaniach dodatkowych zwraca uwagę wyrównana hormonalnie niedoczynność przysadki mózgowej i stwierdzone przed operacją ograniczenie pola widzenia zgodne z anatomiczną lokalizacją guza w badaniu MRI. Właściwym postępowaniem jest:
Pytanie 19
Charakterystyczną cechą zespołu SIADH (zespół nieprawidłowego uwalniania wazopresyny) jest:
Pytanie 20
Moc testu statystycznego:
Pytanie 21
U chorego lat 76 rozpoznano raka gruczołowego płuca w I stopniu zaawansowania o lokalizacji obwodowej. Ze względu na wysokie ryzyko okołooperacyjne związane z chorobami współistniejącymi, nie ma możliwości leczenia chirurgicznego. Zastosowanie stereotaktycznej radioterapii prowadzi do odległej kontroli miejscowej wynoszącej około:
Pytanie 22
U chorego lat 46 w wyniku diagnostyki objawów miastenicznych rozpoznano grasiczaka typu AB wg WHO zlokalizowanego w przednim śródpiersiu o średnicy 3,5 cm. W wyniku zabiegu operacyjnego stwierdzono naciekanie torebki narządu, której nowotwór nie przekraczał. Zabieg oceniono jako mikroskopowo radykalny, bez obecności ognisk nowotworu w okolicznej tkance tłuszczowej. Postępowanie u chorego powinno obejmować:
Pytanie 23
Metoda fluorescencyjnej hybrydyzacji in situ (FISH) umożliwia ocenę:
Pytanie 24
Radioterapia z pól zewnętrznych na obszar szyi i śródpiersia jest wskazana w następujących sytuacjach klinicznych po leczeniu operacyjnym raka tarczycy:
Pytanie 25
Zasadniczą formą leczenia niepowodującego objawów neurologicznych, wytwarzającego prolaktynę makrogruczolaka przysadki u 51-letniego mężczyzny jest:
Pytanie 26
Które z wymienionych poniżej cytostatyków działają w fazie M cyklu komórkowego?
Pytanie 27
Leczenie wyściółczaków anaplastycznych obejmuje:
Pytanie 28
Wskaż prawidłowe postępowanie diagnostyczne mające na celu ocenę doszczętności zabiegu operacyjnego u chorych z rozpoznaniem glejaka wielopostaciowego:
Pytanie 29
Zastosowanie indukcyjnej chemioterapii TPF przed jednoczesną chemioradioterapią u chorych na płaskonabłonkowe raki narządów głowy i szyi w III i IV stopniu zaawansowania jest uzasadnione w przypadku:
Pytanie 30
W oparciu o współczesną wiedzę, intensyfikacja jednoczesnej chemioradioterapii poprzez równoległe dodanie leku interferującego z funkcją receptora naskórkowego czynnika wzrostu (EGFR) u chorych na płaskonabłonkowe raki narządów głowy i szyi w III lub IV stopniu zaawansowania jest uzasadniona w przypadku:
Pytanie 31
Zgodnie z powszechnie akceptowanymi wskazaniami, u chorych na zaawansowane płaskonabłonkowe raki narządów głowy i szyi jednoczesna chemioradioterapia może zostać zastąpiona poprzez napromienianie skojarzone z cetuksymabem w przypadku:
Pytanie 32
Do grupy wysokiego ryzyka wg Anga kwalifikują się chorzy na raka ustnej części gardła o następującej charakterystyce:
Pytanie 33
Właściwym postępowaniem u chorego po całkowitej parotidektomii (resekcja R0) z powodu raka gruczołowo-torbielowatego przyusznicy jest:
Pytanie 34
Zastosowanie cisplatyny zamiast mitomycyny C w radykalnej radiochemioterapii u chorych na płaskonabłonkowego raka odbytu powoduje:
Pytanie 35
Spośród nowotworów przewodu pokarmowego największy spadek zachorowalności obserwowany jest na przestrzeni ostatnich 40 lat w przypadku raka:
Pytanie 36
W napromienianiu przedoperacyjnym u chorych na raka odbytnicy węzły chłonne biodrowe zewnętrzne:
Pytanie 37
Przedoperacyjna radiochemioterapia w porównaniu z samodzielną chirurgią u chorych na raka przełyku:
Pytanie 38
Radykalna radiochemioterapia jest leczeniem z wyboru w leczeniu chorych na raka przełyku jeżeli guz jest zlokalizowany w odcinku:
Pytanie 39
Zgodnie ze standardami prowadzenia badań przesiewowych w kierunku wczesnego wykrywania chorób nowotworowych powinny być one skierowane do:
Pytanie 40
Wskaż prawdziwe stwierdzenie:
Pytanie 41
W Polsce wśród 5 najczęstszych nowotworów (zachorowania) u kobiet oraz mężczyzn wskaźniki 5-letnich przeżyć powyżej 50% notuje się dla nowotworów:
Pytanie 42
Liczba żyjących chorych, u których diagnozę choroby nowotworowej postawiono w ciągu minionych 10 lat (tzw. chorobowość 10-letnia) wynosiła w Polsce w 2012 roku około:
Pytanie 43
Skrót HDR oznacza:
Pytanie 44
Najczęściej stosowane w brachyterapii sztuczne izotopy promieniotwórcze to:
Pytanie 45
Brachyterapia nie jest stosowana w leczeniu:
Pytanie 46
Brachyterapię dzielimy ze względu moc dawki w następujący sposób:
Pytanie 47
Obecność płynu w jamie opłucnej lub osierdziu potwierdzona badaniem cytologicznym materiału uzyskanego za pomocą punkcji lub torakoskopii stanowi u chorego na niedrobnokomórkowego raka płuca wskazanie do:
Pytanie 48
Wyniki przeprowadzonego w Stanach Zjednoczonych badania przesiewowego obejmującego chorych z grupy wysokiego ryzyka zachorowania na raka płuca (National Lung Cancer Screening Trial) wykazały że:
Pytanie 49
Celem badań klinicznych II fazy jest:
Pytanie 50
Wskaż cytostatyki, które w przypadku jednoczasowego skojarzenia radioterapii i chemioterapii u chorych na raka płuca nie powinny być stosowane jednoczasowo z napromienianiem:
1) winorelbina;
2) etopozyd;
3) docetaksel;
4) cisplatyna;
5) gemcytabina.
Prawidłowa odpowiedź to:
Pytanie 51
Kategoria BI-RADS 6 oznacza:
Pytanie 52
Zgodnie z opublikowanymi w 2010 zaleceniami EUSOMA badanie MR piersi u kobiet przed menopauzą powinno być wykonane:
Pytanie 53
Jaki wynik badania obrazowego piersi w systemie BI-RADS jest wskazaniem do biopsji?
Pytanie 54
LET - współczynnik liniowego przekazywania energii jest najwyższy dla promieniowania:
Pytanie 55
Jednostką liniowego przekazywania energii w układzie SI jest:
Pytanie 56
Jednostki dawki ekspozycyjnej w układzie SI jest:
Pytanie 57
W celu dopuszczenia do realizacji planu leczenia wyznaczonego w technice VMAT, należy:
Pytanie 58
Wysokość osłon kolimatora wielolistkowego, przesłaniających obszar chroniony dla wiązki fotonowej stosowanej w radioterapii powinna:
Pytanie 59
Promienie RTG o wartościach nie przekraczających energii 300keV, stosowane w radioterapii, mają wartość max największą na skórze pacjenta, co jest powodowane:
Pytanie 60
Wg Raportu IRCU nr 83, dawka referencyjna przypisana w obszarze leczonym wyznaczana jest:
Pytanie 61
Profil wiązki akceleratora wyposażonego w stożek prostujący (tzw. filtr stożkowy), to pomiar który służy do określenia:
Pytanie 62
Typowy, radiologiczny oraz skąpodrzewiaka WHO 2 cechuje:
Pytanie 63
Wskaż prawdziwe stwierdzenie dotyczące glioblastoma:
Pytanie 64
Przeciwwskazaniem do paliatywnej radioterapii u chorych z przerzutami do mózgu jest:
Pytanie 65
Wskazaniem do zastosowania brachyterapii LDR z użyciem I-125 w raku gruczołu krokowego jest:
Pytanie 66
Wskazaniem do zastosowania brachyterapii HDR z użyciem Ir-192 w raku gruczołu krokowego jest:
Pytanie 67
Wskazaniem do pooperacyjnej radioterapii po radykalnej prostatektomii w raku stercza jest:
Pytanie 68
W przypadku raka stercza o pośrednim ryzyku progresji rekomendowane postępowanie w przypadku kwalifikacji do radioterapii polega na:
Pytanie 69
Chemioterapia uzupełniająca w raku pęcherza moczowego:
Pytanie 70
Konturowanie gruczołu krokowego w oparciu o badanie rezonansu magnetycznego, w porównaniu do tomografii komputerowej prowadzi do:
Pytanie 71
Skala Gleasona to:
Pytanie 72
Napromienianie zamostkowych węzłów chłonnych u chorych na raka piersi:
Pytanie 73
Rozpoznanie nowotworu układu limfoidalnego powinno być ustalone na podstawie:
Pytanie 74
U pacjenta w wieku 76 l. z rozpoznaniem chłoniaka rozlanego z dużych komórek B migdałka, bez innych chorób współistniejących i w dobrym stanie biologicznym, właściwym leczeniem jest:
Pytanie 75
Najczęściej stosowany schemat frakcjonowania dawki promieniowania dla leczenia chorych na GCTB (giant cell tumor of the bone - guz olbrzymiokomórkowy kości) po nieradykalnym zabiegu operacyjnym to:
Pytanie 76
Jednym z targetów w mózgowiu napromienianym w ramach czynnościowej radiochirurgii jest gałka blada. Strukturę tą napromieniamy w przypadku:
Pytanie 77
Jedną z metod leczenia chorych na AVM (arterio-venous malformations; przetoki tętniczo-żylne) mózgu jest radioterapia. W przypadku takich chorych stosuje się następujące schematy podawania dawki promieniowania:
1) 25x 2 Gy;
2) 1x 16-20 Gy;
3) 6x 1 Gy;
4) 2x 9-11 Gy, 3x 7-8 Gy (zmiany duże lub położone w sąsiedztwie narządów krytycznych);
5) 1x 70 - 90 Gy.
Prawidłowa odpowiedź to:
Pytanie 78
Najczęściej stosowany schemat frakcjonowania dawki promieniowania dla leczenia chorych na zapalenie rozcięgna podeszwowego (fascitis plantaris) - „ostrogi piętowe”:
Pytanie 79
Jednym z najczęstszych wskazań dla leczenia protonami są struniaki (chordoma). Najczęściej stosowane dawki całkowite stosowane w przypadku protonoterapii takich chorych to:
Pytanie 80
Ze względu na zjawisko budowania się dawki, dla promieniowania fotonowego i elektronowego, dawka na powierzchni ciała pacjenta, jest mniejsza niż na głębokości kilkunastu (kilkudziesięciu) milimetrów. Zjawisko to jest związane z mniejszą dawką promieniowania rozproszenia pochodzącą z powietrza (powietrze ma mniejszą gęstość od tkanki miękkiej). W celu zwiększenia dawki na skórze pacjenta należy:
Pytanie 81
W celu zmiany kształtu rozkładu izodoz, można stosować kliny. Do dyspozycji mamy dwa rodzaje klinów: mechaniczne i dynamiczne. Klin mechaniczny to blok w kształcie trójkąta, który wkładany jest pod kolimator akcelerator. Zmiana kształtu izodoz poprzez klin dynamiczny realizowana jest przez ruch jednej „szczęki” kolimatora. Jeżeli wymiar wiązki, odległość od powierzchni są identyczne, wówczas czas napromieniania tej samej dawki frakcyjnej, będzie:
Pytanie 82
Półcień wiązki to jeden z parametrów określających geometrię wiązki promieniowania. Definiujemy go, jako odległość pomiędzy izodozą 20% i 80% na głębokości 85% PDG (procent dawki na głębokości). Im jest on mniejszy, tym spadek dawki (gradient dawki) na brzegu wiązki większy. Czy zależy on (półcień) od odległości położenia pacjenta od głowicy akceleratora?
Pytanie 83
Planując dawkę frakcyjną należy wskazać punkt lub objętość, w którym ma być ona zdeponowana. W różnych technikach napromieniania, stosujemy różne normalizacje dawki. Jakie są dawki frakcyjne zdefiniowane na izodozie 85%
i 100%, przy zachowaniu pozostałych warunków geometrycznych wiązek promieniowania?
Pytanie 84
Czas napromieniania (w przypadku akceleratora biomedycznego - Liczba Jednostek Monitorowych, MU - monitor units) jest zależny od wielu parametrów związanych z geometrią wiązki napromieniania, mocą generowanej dawki. Planujemy podać dawkę 2 Gy na głębokości 10 cm, stosując jedno pole napromieniania o wymiarach 10 x 10 cm, SSD = 100 cm. Wyliczyliśmy, że dla tych warunków, należy włączyć ekspozycję promieniowania na 100 MU (monitor units). Jeżeli zmniejszymy wymiar wiązki do 4 x 4 cm, zachowując pozostałe warunki, to liczba jednostek monitorowych (MU) będzie:
Pytanie 85
Średnia długość odbytnicy to:
Pytanie 86
Jakie standardowe ograniczenia dawki stosuje się dla jelita cienkiego w przypadku frakcjonowanej radioterapii raka trzustki?
Pytanie 87
Jak napromienianie przedoperacyjne, poprzedzające TME w raku odbytnicy, wpływa na wyniki leczenia?
Pytanie 88
Stwierdzenie nacieku okolicy zapierściennej w raku górnego piętra krtani oznacza wg wersji 7 klasyfikacji UICC/AJCC zaawansowanie:
Pytanie 89
Elektywne, obustronne napromienianie węzłów chłonnych zagardłowych stosuje się między innymi w przypadku:
Pytanie 90
Struktury anatomiczne znajdujące się w otworach okrągłym i owalnym podstawy czaszki to:
Pytanie 91
Podtyp Luminalny A raka piersi charakteryzuje się:
Pytanie 92
Standardowym wskazaniem do radioterapii po amputacji piersi jest:
Pytanie 93
Indeks Van Nuys nie zawiera składnika:
Pytanie 94
Cecha pN1mi stwierdzona w badaniu histopatologicznym po leczeniu oszczędzającym z powodu raka piersi oznacza:
Pytanie 95
Regionalnymi węzłami chłonnym dla kanału odbytu nie są:
Pytanie 96
Do raków o niskim stopniu złośliwości zlokalizowanych w obrębie gruczołów ślinowych nie zaliczamy:
Pytanie 97
Postępowaniem z wyboru u 40-letniej kobiety z rakiem górnego piętra krtani w stopniu T2 N0 M0 jest:
Pytanie 98
U 50-letniego chorego, z powodu krwawień z odbytnicy, wykonano kolonoskopię i stwierdzono okrężny naciek w odległości 7 cm od zwieracza. Na podstawie pobranego wycinka rozpoznano raka gruczołowego G2. W wykonanym TK miednicy opisano pogrubienie ściany odbytnicy. TK klatki piersiowej i jamy brzusznej nie uwidoczniły cech rozsiewu. Dalsze postępowanie powinno obejmować:
Pytanie 99
Parotidektomia radykalna to:
Pytanie 100
W postępowaniu terapeutycznym u chorych na raka szyjki macicy będących w ciąży należy uwzględnić:
1) zaawansowanie nowotworu;
2) zaawansowanie ciąży;
3) wolę pacjentki;
4) dostępność metod leczenia;
5) wiek chorej.
Prawidłowa odpowiedź to:
Pytanie 101
Radioterapia w leczeniu chorych na raka trzonu macicy stosowana jest:
Pytanie 102
Radioterapia u chorych ze wznową raka szyjki macicy zlokalizowaną w obrębie miednicy:
1) jest stosowana w przypadku niepowodzeń po leczeniu operacyjnym;
2) może być rozważana w przypadku wznowy po radioterapii;
3) stosowana jest wyłącznie z użyciem technik teleradioterapii;
4) stosowana jest wyłącznie jako brachyterapia;
5) wybór metody zależy od decyzji pacjentki.
Prawidłowa odpowiedź to:
Pytanie 103
Do czynników prognostycznych w raku jajnika należą:
1) zaawansowanie nowotworu;
2) typ histologiczny nowotworu;
3) stopień zróżnicowania;
4) obecność infekcji HPV;
5) obecność receptora EGFR.
Prawidłowa odpowiedź to:
Pytanie 104
Uzasadnieniem do stosowania wiązki protonowej w radioterapii są cechy fizyczne, do których należą:
1) brak efektu narastania dawki w miejscu wejścia wiązki;
2) nagły wzrost, a następnie nagły spadek dawki na określonej głębokości;
3) nagły wzrost dawki w początkowym przebiegu wiązki;
4) brak dawki poza pikiem Bragga;
5) wartość współczynnika względnej skuteczności biologicznej powyżej 3.
Prawidłowa odpowiedź to:
Pytanie 105
Wiązka protonowa w porównaniu z wiązką fotonową w radioterapii umożliwia:
1) redukcję dawki w tkankach zdrowych zlokalizowanych poza objętością tarczową;
2) redukcję dawki w objętości tarczowej obejmującej guz wraz z marginesem tkanek zdrowych;
3) poprawę utlenowania zarówno tkanek zdrowych, jak i guza nowotworowego;
4) zmniejszenie ryzyka powikłań;
5) zwiększenie prawdopodobieństwa regresji guza nowotworowego.
Prawidłowa odpowiedź to:
Pytanie 106
Wskazania kliniczne do radioterapii protonowej (tzw. „gold standard”) obejmują:
1) czerniaka naczyniówki oka;
2) raka prostaty;
3) nowotwory zlokalizowane na podstawie czaszki;
4) wybrane nowotwory u dzieci;
5) raka piersi.
Prawidłowa odpowiedź to:
Pytanie 107
Wskazania do paliatywnej radioterapii na obszar klatki piersiowej u chorych na raka płuca obejmują objawy będące skutkiem miejscowego wzrostu guza, takie jak:
1) kaszel, krwioplucie, ból;
2) chrypka, duszność;
3) zespół żyły próżnej górnej;
4) anemia, męczliwość mięśni;
5) porażenie przepony, zespół żyły próżnej dolnej.
Prawidłowa odpowiedź to:
Pytanie 108
U 60-letniego chorego stwierdzono guz tkanek miękkich zlokalizowany podpowięziowo w obrębie podudzia wielkości 8 cm. Po wykonanej biopsji gruboigłowej badanie histopatologiczne wykazało rozpoznanie złośliwego nowotworu z osłonek nerwów obwodowych (MPNST) G2. Jakie jest następnie najwłaściwsze postępowanie?
Pytanie 109
Wskaż prawdziwe stwierdzenie dotyczące mięsaków tkanek miękkich:
Pytanie 110
Wskaż stwierdzenia prawdziwe dotyczące terapii czerniaków skóry:
1) interferon α-2b stosowany w dużych dawkach w leczeniu uzupełniającym prowadzi do znamiennego zmniejszenia ryzyka nawrotu czerniaka o dużym ryzyku, ale jego wpływ na poprawę przeżyć całkowitych jest znikomy;
2) wemurafenib stosuje się w leczeniu przerzutowych czerniaków z obecnością mutacji BRAF V600;
3) w czerniakach o grubości do 2 mm wg Breslowa zaleca się 1 cm ostateczny margines radykalnego leczenia zmiany pierwotnej;
4) biopsja węzła wartowniczego nie przyczynia się do poprawy przeżyć całkowitych chorych w całej populacji poddawanej tej procedurze;
5) w przypadku stwierdzenia izolowanych przerzutów do węzłów chłonnych czerniaka o nieznanym ognisku pierwotnym postępowaniem z wyboru jest limfadenektomia;
6) izolowana perfuzja kończynowa ma znaczenie w terapii przerzutów in-transit na kończynach.
Prawidłowa odpowiedź to:
Pytanie 111
Stwierdzenie w biopsji węzła wartowniczego u chorej na 3 cm raka piersi przerzutów do 3 węzłów chłonnych pachowych o wielkości 3, 5 i 7 mm to według skali TNM - AJCC z 2009/2010 roku stopień:
Pytanie 112
Jakie jest prawdziwe stwierdzenie dotyczące krótkiej radioterapii przedoperacyjnej w raku odbytnicy?
Pytanie 113
U chorego z rozpoznaniem drobnokomórkowego raka płuca z przerzutami w nadnerczu zastosowano 4 cykle chemioterapii (etopozyd i cisplatyna). Tolerancja leczenia była zadowalająca, ale po ostatnim cyklu chemioterapii pojawiły się objawy neuropatii obwodowej (stopień 3.). W badaniu KT klatki piersiowej stwierdzono częściową regresję zmian w klatce piersiowej i nadnerczach. W przedstawionej sytuacji należy zastosować:
Pytanie 114
Wskaż fałszywe stwierdzenie dotyczące skojarzonego leczenia chorych na niedrobnokomórkowego raka płuca:
Pytanie 115
Badanie PET-KT z fluorodeoksyglukozą może mieć zastosowanie w ramach diagnostyki przed planowanym leczeniem o założeniu radykalnym. Wskazania do wykonania badania PET-KT w wymienionej sytuacji nie dotyczą:
Pytanie 116
W odniesieniu do postępowania u chorych z objawami zespołu ucisku rdzenia pochodzenia nowotworowego prawdziwe jest, że:
Pytanie 117
Hamowanie syntezy androgenów w jądrach i korze nadnerczy oraz komórkach raka gruczołu krokowego powoduje:
Pytanie 118
U chorego na raka gruczołu krokowego z grupy o korzystnym rokowaniu postanowiono zastąpić konwencjonalną radioterapię 3D konformalną z użyciem 70 Gy w 35 frakcjach radioterapią hipofrakcjonowaną z użyciem dawek frakcyjnych 5,5 Gy: stosując wzór Znormalizowanych Dawek Całkowitych NTD = Dx (α/β + dx)/(α/β + 2,0) i przyjmując wskaźnik α/β=1,5 Gy dla raka gruczołu krokowego; Oblicz równoważną dawkę całkowitą Dx i wymaganą liczbę frakcji:
Pytanie 119
Rycina przedstawia dwie wersje (X i Y) napromienianego obszaru narządu zdrowego z organizacją seryjnych 16 podjednostek czynnościowych (FSU) - (np. rdzeń kręgowy):
Ryzyko wystąpienia późnego powikłania (np. martwica rdzenia) wynosi:

Pytanie 120



