Wyszukaj egzamin lub pytanie
Egzamin PES Radioterapia onkologiczna / jesień 2007
120 pytań
Pytanie 1
Zgodnie z zaleceniami NWTSG pooperacyjne napromienianie chorych na guza Wilmsa należy wdrożyć:
Pytanie 2
Odwracalne popromienne uszkodzenie rdzenia najczęściej poprzedzone jest:
Pytanie 3
Wskazaniem/wskazaniami do pooperacyjnej radioterapii u dorosłego chorego na wysokozróżnicowanego gwiaździaka mózgu (astrocytoma II) jest/są:
1) naciek podwzgórza; 3) nieradykalność mikroskopowa;
2) naciek sierpa mózgu; 4) nieradykalność makroskopowa.
Prawidłowa odpowiedź to:
Pytanie 4
Przeciwwskazaniem do radioterapii guza śródczaszkowego nie jest:
1) brak weryfikacji histopatologicznej guza;
2) niekontrolowane farmakologicznie objawy ciasnoty śródczaszkowej;
3) niewygojona rana pooperacyjna;
4) naciek pnia mózgu;
5) brak zgody chorego na leczenie.
Prawidłowa odpowiedź to:
Pytanie 5
Wskazaniami do radioterapii pooperacyjnej raka odbytnicy jest/są:
1) naciekanie tkanki tłuszczowej okołojelitowej;
2) zajęcie regionalnych węzłów chłonnych;
3) niski stopień zróżnicowania guza;
4) zatory komórek nowotworowych w naczyniach chłonnych i krwionośnych.
Prawidłowa odpowiedź to:
Pytanie 6
Samodzielna radioterapia w raku przełyku:
Pytanie 7
W pooperacyjnym postępowaniu u chorych na raka żołądka z czynnikami ryzyka w postaci masywnych przerzutów do regionalnych węzłów chłonnych najskuteczniejsza jest:
Pytanie 8
Naprawa typu Elkinda (Elkind repair) dotyczy:
Pytanie 9
Potencjalny czas podwojenia określa:
Pytanie 10
Do stanów naglących w radioterapii należy/ą:
1) zespół żyły próżnej górnej o etiologii nowotworowej;
2) zespół ucisku rdzenia kręgowego (w przypadku wcześniejszej dyskwalifikacji od zabiegu neurochirurgicznego);
3) ucisk moczowodu w przebiegu raka szyjki macicy;
4) istniejące lub zagrażające złamanie patologiczne (w przypadku wcześniejszej dyskwalifikacji od zaopatrzenia ortopedycznego);
5) ucisk przysadki przez guz nadsiodełkowy.
Prawidłowa odpowiedź to:
Pytanie 11
Zastosowanie radioterapii u kobiet w ciąży wymaga:
Pytanie 12
U kobiet w ciąży leczenie napromienianiem najwcześniej można wdrożyć w:
Pytanie 13
W celu zniwelowania ukośnego wejścia wiązki w obszar napromieniany można wykorzystać:
1) filtr klinowy; 4) technikę izocentryczną;
2) bolus; 5) radioterapię niekoplanarną.
3) zmienną geometrię pola;
Prawidłowa odpowiedź to:
Pytanie 14
Dla efektu fotoelektrycznego prawdziwe jest/są:
Pytanie 15
Jeden grej (Gy):
1) jest jednostką dawki pochłoniętej;
2) jest jednostką ekspozycji;
3) odpowiada energii 1 dżula (J) pochłoniętej przez masę 1 kg;
4) odpowiada ładunkowi 1 kulomba (1C) wytworzonemu w masie 1 kg.
Prawidłowa odpowiedź to:
Pytanie 16
Zjawisko tworzenia pary elektron-pozytron zachodzi:
1) przy energii fotonu powyżej 1,02 MeV;
2) przy energii fotonu poniżej 1,02 MeV;
3) w wyniku oddziaływania najczęściej fotonu z polem elektrycznym jądra atomowego;
4) podział energii między elektron i pozytron jest równomierny;
5) prawdopodobieństwo tego zjawiska jest proporcjonalne do kwadratu liczby atomowej.
Prawidłowa odpowiedź to:
Pytanie 17
Klasycznym postępowaniem z mięsakami tkanek miękkich w lokalizacji kończynowej jest:
Pytanie 18
Klasycznym wskazaniem/wskazaniami dla radioterapii protonowej jest/są:
1) mięsaki tkanek miękkich w lokalizacji kończynowej;
2) wznowy raka krtani w okolicy tracheostomu;
3) struniaki śródczaszkowe;
4) niektóre nowotwory śródgałkowe.
Prawidłowa odpowiedź to:
Pytanie 19
Uzupełnij podaną niżej definicję radiobiologiczną:
Średnia dawka letalna (D0) jest to taka dawka promieniowania jonizującego, której podanie obniża przeżycie komórkowe o:
Pytanie 20
W którym miejscu wykresu krzywej przeżycia komórkowego odczytuje się wartość średniej dawki letalnej (D0)?
Pytanie 21
Termin - średnia efektywna dawka letalna (effD0) - oznacza, że:
Pytanie 22
Zakładamy, że tuż przed rozpoczęciem radioterapii guz nowotworowy zawierał 109 komórek klonogennych, których średnia efektywna dawka letalna (effD0) wynosi 2Gy. Jaką całkowitą dawkę promieniowania należy podać w trakcie konwencjonalnie frakcjonowanego napromieniania, aby uzyskać 90% szansę wyleczenia, zakładając, że w trakcie leczenia nie zachodzi zjawisko repopulacji nowotworu?
Pytanie 23
Przyjmując wszystkie parametry z pytania poprzedniego (214) podaj do jakiej wartości należy zwiększyć dawkę całkowitą, jeśli w trakcie leczenia dziesięciokrotnie zwiększyła się liczba komórek klonogennych guza nowotworowego?
Pytanie 24
Podaj prawidłową chronologię zjawisk popromiennych zachodzących w organizmie człowieka w czasie radioterapii (od najwcześniejszych do najpóźniejszych):
Pytanie 25
Który typ popromiennej aberracji chomosomalnej jest najściślej związany z efektem letalnym komórki?
Pytanie 26
Na czym polega pośrednie działanie promieniowania fotonowego na DNA komórki?
Pytanie 27
Podaj poprawną definicję wskaźnika α/β:
Pytanie 28
Obliczono, że frakcja przeżywająca podanie dawki 2Gy, tzw. SF2 wynosi dla danej populacji komórek raka płaskonabłonkowego 0,5. Podaj, jak zmieni się frakcja przeżywająca (SF) tego raka po podaniu dwóch dawek 2Gy?
Pytanie 29
Obliczono, że frakcja przeżywająca podanie dawki 2Gy, tzw. SF2 wynosi dla danej populacji komórek raka płaskonabłonkowego 0,5. Podaj, jak zmieni się frakcja przeżywająca (SF) tego raka po podaniu dwóch dawek 2Gy, jeśli w eksperymencie od początku napromieniania zastosowano radioprotektor zwiększający SF2 o 40%?
Pytanie 30
Podaj, jakie będzie prawdopodobieństwo wyleczenia populacji guzów nowotworowych, jeśli w każdym z nich napromienianie przeżyje średnio 1 komórka?
Pytanie 31
Czynnikiem decydującym o skuteczności naprawy uszkodzeń subletalnych (sublethal damage repair - SLDR) jest:
Pytanie 32
Spośród poniższych opinii na temat naprawy uszkodzeń popromiennych wskaż nieprawdziwe:
1) naprawa uszkodzeń subletalnych i potencjalnie letalnych ma miejsce w warunkach klinicznych;
2) komórki tkanek zdrowych wykazują na ogół bardziej efektywną naprawę uszkodzeń popromiennych niż komórki nowotworowe;
3) naprawa uszkodzeń subletalnych jest tym mniej skuteczna im krócej trwa przerwa w ekspozycji promieniowania;
4) naprawa uszkodzeń subletalnych ma miejsce w przerwach pomiędzy ekspozycjami promieniowania o wysokiej mocy dawki i podczas ekspozycji promieniowania o niskiej mocy dawki;
5) zdolność naprawy (repair capacity) uszkodzeń popromiennych jest indywidualną cechą komórki, choć podlega wpływowi takich czynników jak faza cyklu komórkowego, utlenowanie, odżywienie.
Prawidłowa odpowiedź to:
Pytanie 33
W eksperymencie oceniającym wielkość naprawy uszkodzeń potencjalnie letalnych (potentially lethal damage repair - PLDR) należy zastosować:
Pytanie 34
Podaj czym generalnie różnią się krzywe przeżycia dwóch populacji komórek tego samego nowotworu napromienianych dawkami o wysokiej (HDR) i niskiej mocy (LDR)?
Pytanie 35
Podaj, jakie będzie prawdopodobieństwo wyleczenia jednego guza nowotworowego, jeśli w napromienianie przeżyje 1 komórka klonogenna?
Pytanie 36
Uporządkuj podane rodzaje promieniowania według ich wzrastającej skuteczności biologicznej (Relative Biological Effecitveness - RBE):
Pytanie 37
Wysoce konformalny rozkład dawki promieniowania polegający na dużym gradiencie dawki pomiędzy guzem nowotworowym (Target Volume, TV - wysoka dawka) i sąsiednimi tkankami zdrowymi (Organs at Risk, OAR - niska dawka) jaki otrzymujemy np. w technice IMRT, radiochirurgii lub brachyterapii, nabiera szczególnego znaczenia rokowniczego w sytuacji, gdy:
Pytanie 38
Pierwszym zjawiskiem patologicznym stwierdzanym na początku procesu ostrego popromiennego odczynu błony śluzowej jamy ustnej jest:
Pytanie 39
Które z poniżej podanych zjawisk patofizjologicznych ma zasadnicze znaczenie dla czasu wygojenia ostrego popromiennego odczynu błony śluzowej jamy ustnej?
Pytanie 40
Zjawisko „build-up” powoduje, że maksymalna dawka dla promieniowania kobaltu-60 znajduje się na głębokości:
Pytanie 41
Najczęstszą pierwotną lokalizacją pozawęzłową chłoniaków nieziarniczych jest:
Pytanie 42
Objaw Lhermitt’a:
Pytanie 43
Przy zastosowaniu terapii neutronowej podstawowa cząstka powodująca jonizację to:
Pytanie 44
Wyniki badań randomizowanych oraz metaanalizy sugerują, że pooperacyjna radioterapia u chorych na raka piersi może negatywnie wpłynąć na wyniki leczenia, ponieważ zwiększa ryzyko:
Pytanie 45
Większość chorych na raka piersi w I i II stopniu zaawansowania może być leczona z zachowaniem piersi. Przeciwwskazaniami do takiego postępowania mogą być:
1) guz większy od 3 cm;
2) rak rdzeniasty;
3) wysoki stopień złośliwości histologicznej;
4) rak wieloogniskowy;
5) duży guz w małej piersi co uniemożliwia dobry efekt kosmetyczny;
6) niemożliwość uzyskania wolnego marginesu chirurgicznego;
7) ujemne receptory hormonalne;
8) współistnienie kolagenozy.
Prawidłowa odpowiedź to:
Pytanie 46
W radioterapii chorych leczonych z zachorowaniem piersi GTV obejmuje:
Pytanie 47
Jednym z późnych powikłań obserwowanych po radioterapii raka piersi może być uszkodzenie splotu barkowego. Współczynnik Alfa/Beta dla tego powikłania wynosi:
Pytanie 48
W przypadku napromieniania ściany klatki piersiowej o grubości 2 cm (w KT lub USG) należy zastosować wiązkę elektronów
o energii:
Pytanie 49
U chorych na raka piersi po mastektomii napromienianych pooperacyjnie PTV nie obejmuje:
Pytanie 50
Wartość procentowej dawki głębokościowej zależy od:
1) energii promieniowania; 5) zastosowanie filtrów klinowych;
2) wielkości pola; 6) ciśnienia atmosferycznego;
3) kształtu pola; 7) temperatury.
4) odległość źródło-skóra;
Prawidłowa odpowiedź to:
Pytanie 51
W brachyterapii rozkład dawki w terenie leczonym zależy od:
Pytanie 52
Napromienianie typu „involved-field” jest stosowane w leczeniu:
Pytanie 53
Obserwacja i ewentualne wdrożenie leczenia w późniejszym terminie jest możliwe u chorych na NHL:
Pytanie 54
Do chorych na ziarnicę złośliwą z niskim ryzykiem (<10%) zajęcia układu podprzeponowego nie należą:
Pytanie 55
Komórki nowotworowe widoczne w preparacie mikroskopowym węzła chłonnego u chorego na ziarnicę złośliwą to:
Pytanie 56
W badaniach kontrolnych po leczeniu ziarnicy złośliwej najbardziej efektywne w wykrywaniu nawrotu choroby jest:
Pytanie 57
Wskazaniem do pooperacyjnej radioterapii (po mastektomii) są:
1) wysoka złośliwość histologiczna wg Bloom’a III;
2) rak zrazikowy;
3) przerzuty do węzłów chłonnych pachowych;
4) T3 lub T4;
5) niedoszczętność zabiegu chirurgicznego;
6) ekspresja Her-2 neu;
7) brak receptorów hormonalnych.
Prawidłowa odpowiedź to:
Pytanie 58
Najbardziej promieniowrażliwymi strukturami komórki są:
Pytanie 59
Najpoważniejszym uszkodzeniem popromiennym występującym w obrębie DNA jest:
Pytanie 60
Następczy odczyn popromienny, występujący w postaci ognisk martwicy tkanek leżących pod błoną śluzową, uwidacznia się:
Pytanie 61
Potencjalny czas podwojenia (Tpot) nowotworu jest to czas, w którym:
Pytanie 62
Występujący podczas frakcjonowanej radioterapii powrót do wyjściowego rozmieszczenia komórek w cyklu komórkowym do stanu jak przed napromienianiem (redystrybucja):
Pytanie 63
Przejściowa hipoksja guza (transient, acute hypoxia) oznacza niskie stężenie tlenu w obrębie utkania nowotworu powstałe w wyniku:
Pytanie 64
Wzrost bezwzględnej liczby komórek zdolnych do podziału, występujący podczas lub po zakończeniu radioterapii (repopulacja) może polegać na:
Pytanie 65
Tkanki elastyczne (typ F tkanki, flexible tissues) to dwuprzedziałowy typ tkanki składający się z większego niż w tkankach hierarchicznych (nie wydzielonego) przedziału komórek macierzystych, oraz przedziału komórek cechujących się ograniczoną możliwością podziału. Do tej grupy należą populacje komórkowe:
Pytanie 66
Tkanki hierarchiczne (typ H tkanki, hierarchical tissues) składają się z trzech przedziałów: 1. puli komórek macierzystych (około 1%) 2. komórek różnicujących się zdolnych do ograniczonej liczby podziałów oraz 3. przedziału dojrzałych zróżnicowanych komórek niezdolnych do podziału. W tym typie tkanek, napromienianych dawkami stosowanymi w radioterapii:
Pytanie 67
Do związków promienioochraniających (radioprotektorów), osłabiających działanie promieniowania fotonowego i częściowo neutronów, należą:
Pytanie 68
Pooperacyjna radioterapia chorych na raka piersi zastosowana w skróconym czasie 3.5 i 4 tygodni (dawka frakcyjna 2.25 Gy albo 2.5 Gy, dawka całkowita 42.5 Gy albo 45 Gy):
Pytanie 69
Ile kobiet w Polsce rocznie wymaga uzupełniającej radioterapii po doszczętnym odjęciu piersi albo operacji oszczędzającej:
Pytanie 70
Uzupełniające napromienianie chorych na miejscowo zaawansowanego raka stercza (pT3 No M0) po radykalnych zabiegach operacyjnych:
Pytanie 71
Stereotaktyczne napromienianie nawrotu przerzutów raka piersi do mózgu, u chorych po napromienianiu całego mózgowia, powinno być brane pod uwagę w następujących sytuacjach klinicznych:
Pytanie 72
Pooperacyjna radioterapia raka piersi związana jest z ryzykiem rozwoju powikłań w narządach krytycznych, którymi są:
Pytanie 73
Zastosowanie techniki trójwymiarowego planowania (3DRT) w pooperacyjnej radioterapii raka piersi jest korzystne z punktu widzenia:
Pytanie 74
Kojarzenie radioterapii z zabiegami rekonstrukcyjnymi u chorych na raka piersi znajduje zastosowanie w następujących sytuacjach klinicznych:
Pytanie 75
Techniki napromieniania chorych po rekonstrukcji piersi:
Pytanie 76
W pewnych sytuacjach klinicznych (np. przetrwałe ognisko nowotworu, chemiooporność) radioterapię można zastosować w niektórych guzach jajnika. Są to:
1) rak endometrialny; 4) rozrodczak (dysgerminoma);
2) gruczolako-torbielak surowiczy; 5) gonadoblastoma.
3) ziarniszczak (folliculoma);
Prawidłowa odpowiedź to:
Pytanie 77
Które z poniższych metod stosuje się w leczeniu raka szyjki macicy w stopniu IIIB według klasyfikacji FIGO?
1) leczenie operacyjne; 4) brachyterapia;
2) leczenie operacyjne + radioterapia; 5) chemioterapia.
3) teleradioterapia;
Prawidłowa odpowiedź to:
Pytanie 78
Radioterapia z równoczasową i adjuwantową chrmioterapią Temodalem u chorych na gąbczaka wielopostaciowego mózgu pozwala na uzyskanie 2-letnich przeżyć u około:
Pytanie 79
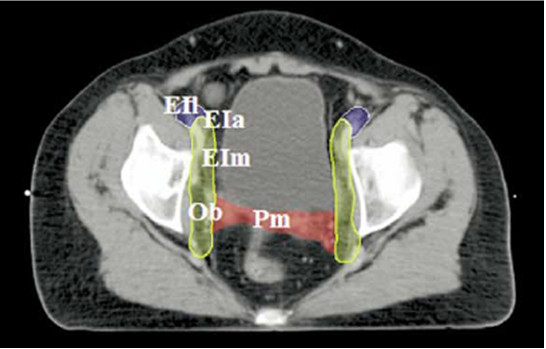
W klinicznym obszarze napromieniania (CTV) raka szyjki macicy na przedstawionym rysunku znajdują się następujące struktury:

Pytanie 80
Śródoperacyjna teleradioterapia nowotworów ginekologicznych polega na podaniu jednorazowej dawki w wysokości:
Pytanie 81
Przy standardowej 4-polowej technice teleradioterapii raka szyjki macicy części jelita cienkiego otrzymują dawki na granicy ich tolerancji tj.:
Pytanie 82
Wskazaniem do uzupełniającej pooperacyjnej radioterapii u chorych na raka trzonu macicy jest:
1) naciek mięśniówki powyżej połowy jej grubości;
2) stopień zróżnicowania = G3;
3) zajęcie przymacicz przez nowotwór;
4) przerzuty do węzłów chłonnych miednicy;
5) nacieczenie nowotworowe szyjki macicy.
Prawidłowa odpowiedź to:
Pytanie 83
Izotopem promieniotwórczym stosowanym w brachyterapii LDR/MDR jest cez 137, który emituje promieniowanie gamma o średniej energii:
Pytanie 84
Główną metodą leczenia mięsaków trzonu macicy jest zabieg operacyjny. W większości przypadków po operacji stosuje się uzupełniające napromienianie. W jakim rozpoznaniu radioterapia pooperacyjna nie ma zastosowania?
Pytanie 85
W leczeniu konsolidującym chorych na raka jajnika stosowane są następujące metody:
1) chemioterapia wysokodawkowana;
2) dootrzewnowe podawanie radioaktywnego fosforu (32P);
3) teleradioterapia;
4) brachyterapia;
5) chemioterapia doustna.
Prawidłowa odpowiedź to:
Pytanie 86
W brachyterapii HDR jako źródło promieniowania wykorzystuje się Iryd-192. Jaka jest jego aktywność początkowa w jednostkach curie (Ci)?
Pytanie 87
Przeciwwskazaniem do radykalnej teleradioterapii chorych na raka szyjki macicy jest:
Pytanie 88
Do izotopów pierwiastków promieniotwórczych mających zastosowanie w leczeniu wewnątrzotrzewnowym raka jajnika należą:
Pytanie 89
Które z wymienionych izotopów pierwiastków promieniotwórczych mają zastosowanie jako źródła w brachyterapii wysokiej mocy dawki (HDR)?
Pytanie 90
Późne odczyny popromienne po radioterapii chorych na raka szyjki macicy występują:
1) u 2,5-12% chorych ze strony układu moczowego;
2) u 5-15% chorych ze strony dolnego odcinka przewodu pokarmowego;
3) u 5% chorych w postaci złamań szyjki kości udowej;
4) u około 30% chorych powyżej 70 roku życia;
5) do 2% chorych w postaci przetok pęcherzowo-pochwowych.
Prawidłowa odpowiedź to:
Pytanie 91
Po operacji raka sromu i wycięciu węzłów chłonnych pachwinowo-udowych stosuje się uzupełniające leczenie napromienianiem w następujących sytuacjach:
1) przy braku marginesu w linii cięcia chirurgicznego w wyciętym sromie;
2) przy pierwotnym guzie sromu o średnicy powyżej 5 cm;
3) przy zajęciu przerzutem jednego węzła chłonnego;
4) przy obecności przerzutów w co najmniej trzech węzłach chłonnych;
5) u chorych, u których stwierdzono dodatkowo zakażenie wirusem HPV.
Prawidłowa odpowiedź to:
Pytanie 92
Radioterapia z równoczasową i adjuwantową chemioterapią Temodalem u chorych na gąbczaka wielopostaciowego mózgu pozwala na uzyskanie 2-letnich przeżyć u około:
Pytanie 93
W którym z niżej wymienionych rozpoznań u dzieci w wieku do 4 lat napromienianie osi mózg-rdzeń jest postępowaniem standardowym?
1) PNET; 4) pinealoblastoma;
2) ependymoblastoma; 5) Astroblastoma.
3) medulloblastoma;
Prawidłowa odpowiedź to:
Pytanie 94
Klasyczne postępowanie z chorymi na mięsaka Ewinga obejmuje:
Pytanie 95
Najczęstszym powikłaniem po radioterapii chorych na guza Wilmsa jest:
Pytanie 96
Zakres mocy dawki dla brachyterapii typu LDR (low dose rate) wynosi:
Pytanie 97
U 62-letniego mężczyzny rozpoznano drobnokomórkowego raka płuca. W badaniu radiologicznym klatki piersiowej guz obejmuje przywnękową część lewego płuca oraz węzły chłonne śródpiersia po stronie zmiany. W badaniach dodatkowych brak cech rozsiewu do innych narządów. Postępowaniem z wyboru jest:
Pytanie 98
U chorych na płaskonabłonkowego raka krtani w III stopniu zaawansowania klinicznego, zakwalifikowanych do radiochemioterapii, najlepsze wyniki uzyskujemy stosując cytostatyki:
Pytanie 99
Teleradioterapia raka wargi dolnej może być prowadzona:
Pytanie 100
Szczękościsk u chorych na raka ustnej części gardła świadczy o:
Pytanie 101
U chorych na raka krtaniowej części gardła przerzuty do węzłów chłonnych szyjnych występują najczęściej po stronie guza pierwotnego, w obrębie:
Pytanie 102
Jedno ze zdań dotyczących zachowawczego leczenia miejscowo zaawansowanego raka przełyku jest niezgodne z obecnym stanem wiedzy. Wskaż, które:
Pytanie 103
U chorych na raka pęcherza moczowego o zaawansowaniu T2-T4, a zakwalifikowanych do leczenia zachowawczego, zaplanowany obszar napromieniania wysoką dawką (teren bez objęcia regionalnych węzłów chłonnych, często określany dopiero w drugim etapie leczenia jako PTV2, „boost”) powinien obejmować:
Pytanie 104
Która z poniższych opinii na temat przyspieszonego frakcjonowania radioterapii raka głowy i szyi jest nieprawdziwa?
Pytanie 105
Dane kliniczne wskazują, że dawki 26 Gy (podawana w sposób konwencjonalny) stanowi pewien próg tolerancji dla gruczołu ślinianki przyusznej. Ta konkretna wartość odnosi się do dawki:
Pytanie 106
W jakiej sytuacji klinicznej można najbezpieczniej zrezygnować z wycięcia układu chłonnego szyi u chorych na zaawansowanego lokoregionalnie raka gardła?
Pytanie 107
Planowe wycięcie układu chłonnego szyi (planned neck dissection) po radioterapii dotyczy przede wszystkim:
Pytanie 108
Podaj jaką skutecznością (chodzi o odsetek wyleczonych miejscowo niepowodzeń po radioterapii) charakteryzuje się chirurgia „ratująca” (salvage) po radioterapii raka głośni T1-T2:
Pytanie 109
Podaj prawidłowe określenie dotyczące raka (T1) głośni:
Pytanie 110
W przypadku stwierdzenia ujemnych marginesów chirurgicznych w badaniu pooperacyjnym raka głowy i szyi:
Pytanie 111
W odniesieniu do typów histologicznych ziarnicy złośliwej nieprawdą jest, że:
Pytanie 112
Najlepsze wyniki leczenia chorych na płaskonabłonkowego raka ustnej (2/3 przednich) części języka o zaawansowaniu T3-4 N0 można uzyskać stosując:
Pytanie 113
Najczęstszym nowotworem złośliwym jamy nosa i zatok przynosowych jest:
Pytanie 114
Jakie są wskazania do pooperacyjnego napromieniania chorych na gruczołowego raka odbytnicy?
Pytanie 115
U chorych na lokoregionalnie zaawansowanego płaskonabłonkowego raka kanału odbytniczego z zespołem nabytego upośledzenia odporności (AIDS) stosujemy:
Pytanie 116
Metodą leczenia z wyboru płaskonabłonkowego raka przedsionka nosa o zaawansowaniu T1-3 N0 jest:
Pytanie 117
W radioterapii nowotworów ślinianki przyusznej często stosujemy technikę mieszanej wiązki fotonowoelektronowej. Jedno z poniższych stwierdzeń odnoszących się do tej techniki jest niezgodne z obecnym stanem wiedzy. Wskaż, które:
Pytanie 118
Jakie są wskazania do pooperacyjnego napromieniania układu chłonnego szyi u chorych na płaskonabłonkowego raka dna jamy ustnej i ustnej (2/3 przednich) części języka?
Pytanie 119
Jakie postępowanie jest uważane za optymalne u chorych na anaplastycznego raka tarczycy o zaawansowaniu T1-4 N0 M0 (IV° zaawansowania klinicznego)?
Pytanie 120



