Wyszukaj egzamin lub pytanie
Egzamin PES Psychiatria dzieci i młodzieży / wiosna 2020
120 pytań
Pytanie 1
W próbie lekowej stosowano lek Toxicum w dawkach: pacjent A - 1 mg/d; pacjent B - 1 mg/d; pacjent C - 2 mg/d; pacjent D - 4 mg/d. Wskaż zdanie prawdziwe:
Pytanie 2
Trojaczki Ania, Basia i Czesia udały się na kontrolę do pediatry. Okazało się, że: - wzrost Ani plasuje się na poziomie dwóch odchyleń standardowych powyżej średniej, a waga na poziomie 97 centyla; - BMI Basi mieści się na poziomie 50 centyla, a masa ciała na poziomie dwóch odchyleń standardowych poniżej średniej; - wzrost Czesi mieści się na poziomie 3 centyla, a jej masa na poziomie dwóch odchyleń standardowych powyżej średniej. Dopasuj imiona do dzieci na załączonym rysunku: 1. 2. 3.

Pytanie 3
Leczenie podtrzymujące w schizofrenii, po zakończeniu leczenia 'ostrej fazy' pierwszego epizodu choroby, w celu zmniejszenia ryzyka nawrotu:
Pytanie 4
Wskaż prawdziwe stwierdzenie dotyczące leczenia w ostrym epizodzie schizofrenii, u dzieci i młodzieży:
Pytanie 5
Rozpoznanie schizofrenii według klasyfikacji DSM 5, można postawić u osoby z zaburzeniami ze spektrum autyzmu, jeśli:
Pytanie 6
Wskaż prawdziwe stwierdzenie dotyczące niepełnosprawności intelektualnej:
Pytanie 7
W przypadku chorych na jadłowstręt psychiczny, wskazaniami do hospitalizacji są:
Pytanie 8
Żarłoczność psychiczna wg klasyfikacji DMS-5 to zaburzenie charakteryzu- jące się nawracającymi epizodami objadania się, powtarzającymi się przez trzy miesiące:
Pytanie 9
Zespół łamliwego chromosomu X:
Pytanie 10
Chłopiec 10-letni jest konsultowany z powodu nagłego wystąpienia znacznie nasilonych tików ruchowych i wokalnych. W ostatnim czasie leczony był antybiotykami z powodu anginy. W badaniu lekarz stwierdził wyraźne objawy nadruchliwości. W związku z powyższym należy:
Pytanie 11
Konsekwencjami biologicznymi odrzucenia dziecka przez matkę są:
Pytanie 12
Wskaż fałszywe stwierdzenie dotyczące masturbacji:
Pytanie 13
Wskaż fałszywe stwierdzenie dotyczące zaburzeń identyfikacji płciowej/dysforii płciowej:
Pytanie 14
W klasyfikacji ICD-10 zaburzenia mowy i języka zostały umieszczone w grupie zaburzeń rozwoju psychicznego, w kategorii specyficznych zaburzeń rozwoju mowy i języka. Znajdują się tam następujące jednostki: 1) specyficzne zaburzenia artykulacji, zaburzenia ekspresji mowy, zaburzenia rozumienia mowy; 2) nabyta afazja z padaczką - zespół Willisa, inne zaburzenia rozwoju mowy i artykulacji; 3) nabyta afazja z padaczką - zespół Landaua-Kleffnera, inne zaburzenia rozwoju mowy i języka, zaburzenia rozwoju mowy i języka nieokreślone; 4) zaburzenia rozumienia i przetwarzania mowy, nabyta afazja z padaczką - zespół Landaua-Kleffnera, jąkanie; 5) specyficzne zaburzenia artykulacji, zaburzenia rozumienia języka, nabyta afazja z padaczką - zespół Landaua-Kleffnera. Prawidłowa odpowiedź to:
Pytanie 15
Wskaż prawdziwe stwierdzenia dotyczące zespołu Tourette'a (zespołu tików głosowych i ruchowych): 1) cechuje się występowaniem licznych tików ruchowych oraz jednego lub więcej tików głosowych (niekoniecznie jednocześnie) wiele razy w ciągu dnia, dłużej niż przez rok, bez remisji trwającej ponad dwa miesiące; 2) początek choroby przypada zazwyczaj na 2.-15. r.ż. (średnio 7. r.ż.); 3) u większości pacjentów zespół zaczyna się od pojedynczego tiku ruchowego, w jednym umiejscowieniu - najczęściej objawem wstępnym jest mruganie, potrząsanie głową, grymasy twarzy; 4) po kilku tygodniach lub miesiącach tiki przenoszą się w inne miejsce lub pojawiają się nowe rodzaje tików, a po upływie 3 miesięcy u większości pacjentów pojawiają się wieloogniskowe tiki ruchowe, a także tiki wokalne; 5) koprolalia występuje u 14-20% pacjentów z zespołem Tourette'a, a najczęściej największe nasilenie choroby ma miejsce po około 10 latach. Prawidłowa odpowiedź to:
Pytanie 16
Do objawów majaczenia alkoholowego należą: 1) lęk, zmienny poziom zaburzeń świadomości (często nasilających się w nocy), splątanie myślenia, pobudzenie układu wegetatywnego (pod postacią tachykardii, potliwości, przyspieszonego oddechu, nadciśnienia, gorączki, rozszerzenia źrenic); 2) drżenia, omamy wzrokowe, dotykowe, mrowienia, urojenia; 3) zaburzenia napędu psychoruchowego (od zahamowania i senności aż do skrajnego pobudzenia psychoruchowego), odwrócenie rytmu snu i czuwania; 4) lęk, zmienny poziom zaburzeń świadomości (często nasilających się w dzień), splątanie myślenia, pobudzenie układu wegetatywnego (pod postacią tachykardii, potliwości, przyspieszonego oddechu, nadciśnienia, gorączki, rozszerzenia źrenic); 5) drżenia, urojenia prześladowcze i ksobne, mrowienia, lęk, bradykardia, zaburzenia świadomości. Prawidłowa odpowiedź to:
Pytanie 17
Ocena masturbacji dziecięcej wymaga:
Pytanie 18
Tożsamość płciowa, której baza kształtuje się w życiu płodowym i w dzieciństwie, to:
Pytanie 19
Pląsawica Syndehama (pląsawica mniejsza, pląsawica reumatyczna) jest neurologiczną manifestacją choroby reumatycznej, będącej następstwem infekcji spowodowanej:
Pytanie 20
Bruksizm to zaburzenie charakteryzujące się:
Pytanie 21
Najczęściej spotykanym objawem zespołu nadwrażliwości na leki są zmiany skórne. Zmiany te mogą mieć charakter od łagodnej pokrzywki do zmian plamkowo-pęcherzykowych i zespołu Stevensa-Johnsona oraz toksycznej naskórkowej nekrolizy. Które z niżej wymienionych leków przeciwpadaczkowych nie wywołują zmian skórnych? 1) benzodiapzepiny; 2) karbamazepina; 3) fenobarbital; 4) pregabalina; 5) zonisamid. Prawidłowa odpowiedź to:
Pytanie 22
Dzięki badaniom przesiewowym noworodków prowadzonym w Polsce można wykluczyć:
Pytanie 23
Które z niżej wymienionych zespołów padaczkowych nie wymagają leczenia przeciwpadaczkowego? 1) dziecięca padaczka z iglicami w okolicy centralno-skroniowej (tzw. padaczka rolandyczna); 2) samoograniczające się rodzinne lub nierodzinne padaczki ogniskowe niemowlęce; 3) dziecięca padaczka z napadami nieświadomości; 4) autosomalnie dominująca nocna padaczka płata czołowego; 5) atypowa dziecięca padaczka z iglicami w okolicach centralno-skroniowych; 6) zespół Panayiotopoulosa. Prawidłowa odpowiedź to:
Pytanie 24
Drgawki gorączkowe, tzw. proste, nie wymagają leczenia profilaktycznego. Konieczne jest jednak zastosowanie doraźnie, w warunkach domowych, w przypadku wystąpienia drgawek u dziecka:
Pytanie 25
Czy istnieje pojęcie 'migrena brzusza'?
Pytanie 26
Wg kryteriów diagnostycznych standardem w diagnostyce narkolepsji jest:
Pytanie 27
Lekiem, który nie ma udowodnionej skuteczności w leczeniu zaburzenia hiperkinetycznego (zespołu nadpobudliwości psychoruchowej, ADHD) u dzieci jest:
Pytanie 28
Który z wymienionych leków nie wymaga kontroli EKG przed leczeniem i w czasie leczenia?
Pytanie 29
Mechanizm działania klonidyny to działanie:
Pytanie 30
Lekiem stosowanym w leczeniu ADHD, który nie jest powiązany ze zmianami masy ciała w trakcie leczenia, jest:
Pytanie 31
7-letni chłopiec od 2 miesięcy ma tiki ruchowe polegające na wykręcaniu twarzy i skręcaniu głowy w bok, tylko w domu, zwłaszcza wieczorami. Co kilka dni w godzinach wieczornych są częste, pojawiają się co kilka minut, skarży wówczas na ból okolicy szyi i problemy z zasypianiem. Nie występują w szkole. Wskaż postępowanie lecznicze:
Pytanie 32
W przypadku wystąpienia zespołu serotoninowego u pacjenta otrzymującego 40 mg fluoksetyny należy:
Pytanie 33
Po jakim czasie od podania pojedynczej dawki lorazepamu można wykonać badanie EEG, aby uniknąć ryzyka rejestracji czynności polekowej?
Pytanie 34
10-letni pacjent z zespołem Aspergera, zgłoszony z powodu nasilonych zachowań agresywnych o typie agresji impulsywnej, bez cech zespołu depresyj- nego. Zaproponowano leczenie rysperidonem w dawce 0,25 mg/24h. Po tygodniu trafił na SOR ze względu na nasilone dyskinezy z dusznością, hospitalizowany w oddziale pediatrii. Wg mamy chłopiec ogólnie bardzo mocno reaguje na leki, np. kiedyś po syropie przeciwkaszlowym spał przez dobę. Wskaż postępowanie:
Pytanie 35
15-letni chłopiec z objawami obsesyjno-kompulsyjnymi utrudniającymi znacznie funkcjonowanie, wielogodzinne rytuały czystościowe uniemożliwiające wyjście z domu na czas, początkowo spóźniał się do szkoły, obecnie nie wychodzi z domu. Podjęto decyzję o leczeniu farmakologicznym sertraliną w dawce począt- kowej 50 mg. Po 2 tygodniach po kontakcie telefonicznym ze względu na brak poprawy zwiększono dawkę do 100 mg, po 3 dniach zgłosili się rodzice chłopca ze względu na zgłaszane nasilenie objawów. W badaniu somatycznym bez odchyleń, poza wyraźnym nasileniem częstości myśli natrętnych bez zmian w obrazie psychopatologicznym. Najwłaściwsze postępowanie farmakoterapeutyczne to:
Pytanie 36
Początkowa dawka atomoksetyny stosowana w leczeniu dzieci o masie ciała poniżej 70 kg wynosi 0,5 mg/kg m.c. Następnie dawka może być zwiększona najwcześniej po:
Pytanie 37
Objawy charakterystyczne dla zespołu móżdżkowego obejmują: 1) dysmetrię; 2) drżenie zamiarowe; 3) drżenie spoczynkowe; 4) sakkady hipometryczne i hipermetryczne; 5) chód na poszerzonej podstawie; 6) napięcie typu koło zębate; 7) napięcie typu rura ołowiana; 8) mowę skandowana; 9) atetozę. Prawidłowa odpowiedź to:
Pytanie 38
W badaniu neurologicznym nie stwierdzi się obecności zespołu móżdżkowego w:
Pytanie 39
Z poniższych patomechanizmów wystąpienia u dzieci i młodzieży różnych zespołów neurologicznych wskaż te, które mogą prowadzić do niedokrwiennych udarów mózgu: 1) hiperhomocysteinemia; 2) MELAS; 3) obecność przeciwciał przeciwko receptorom NMDA; 4) choroba Fabry'ego; 5) choroba moya-moya; 6) wrodzone i nabyte wady układu sercowo-naczyniowego; Prawidłowa odpowiedź to:
Pytanie 40
Wskaż fałszywe stwierdzenie:
Pytanie 41
Wskaż fałszywe stwierdzenie dotyczące mózgowego porażenia dziecięcego:
Pytanie 42
10-letni chłopiec z nieobciążonym wywiadem rodzinnym, płodowym i okołoporodowym, z prawidłowym rozwojem psychoruchowym, dotychczas zdrowy (pojedyncze infekcje górnych dróg oddechowych w wywiadzie), zgłosił się z rodzicami na SOR z powodu narastających w ostatnich dwóch tygodniach zaburzeń snu, znacznego pogorszenia w nauce (u bardzo dobrego ucznia kilka ocen bardzo niskich - 1,2), bólów głowy. Ostatnio zachowywał się jakby miał halucynacje wzrokowe. Przy przyjęciu do szpitala w badaniu przedmiotowym bez istotnych odchyleń. W zapisie EEG, wykonanym zarówno w czuwaniu, jak i we śnie, poza niewielkim spowolnieniem czynności podstawowej bez istotnych odchyleń. Rezonans magnetyczny mózgu - opisano wyłącznie niewielkie poszerzenie przestrzeni Virchofa-Robina. Wywiad oraz obraz kliniczny u pacjenta wskazuje, że przede wszystkim należy wykluczyć:
Pytanie 43
Z niżej wymienionych zaburzeń genetycznych u podłoża niepełnosprawności umysłowej mogą być stwierdzane: 1) aberracje chromosomowe liczbowe; 2) aberracje chromosomowe strukturalne; 3) uwarunkowane genetycznie choroby metaboliczne; 4) submikroskopowe rearanżacje genomowe; 5) mutacje w obrębie pojedynczego genu. Prawidłowa odpowiedź to:
Pytanie 44
Wskaż prawdziwe stwierdzenia dotyczące okresu poporodowy w chorobie afektywnej dwubiegunowej: 1) wskazane jest jak najszybsze włączenie leku normotymicznego (jeżeli nie był stosowany w ciąży) w celu zapobiegania zaburzeniom poporodowym; 2) psychoza poporodowa występuje u 0,1% pacjentek; 3) ryzyko wystąpienia zaburzeń psychicznych poporodowych w przypadku niekontynuowania leczenia normotymicznego wynosi około 15%; 4) w leczeniu depresji poporodowej można dodawać leki typu SSRI do leczenia normotymicznego; 5) w leczeniu depresji poporodowej nie należy stosować monoterapii kwetiapiną. Prawidłowa odpowiedź to:
Pytanie 45
W chorobie afektywnej dwubiegunowej typu I działanie przeciwdepresyjne wykazuje:
Pytanie 46
Wskaż prawdziwe stwierdzenia dotyczące leczenia farmakologicznego objawów negatywnych (deficytowych) schizofrenii: 1) dodanie do leków przeciwpsychotycznych leków przeciwdepresyjnych powoduje wzrost śmiertelności; 2) kariprazyna stosowana jest w schizofrenii z przeważającymi i przetrwałymi objawami negatywnymi; 3) wyniki dodania do leków przeciwpsychotycznych agonistów miejsca glicynowego receptora NMDA oraz inhibitorów transportera glicyny są niejednoznaczne; 4) stosuje się amisulpryd w wysokich dawkach; 5) stosowanie klozapiny jest bardziej skuteczne niż haloperidolu. Prawidłowa odpowiedź to:
Pytanie 47
Wskaż prawdziwe stwierdzenia dotyczące depresji lekoopornej: 1) dodanie litu do leków przeciwdepresyjnych stanowi najlepiej udokumentowany sposób potencjalizacji ich działania; 2) dotyczy 10% chorych na depresję; 3) stosowana jest potencjalizacja leków przeciwdepresyjnych za pomocą małych dawek atypowych leków przeciwpsychotycznych; 4) przezczaszkowa stymulacja magnetyczna jest bardziej skuteczna od terapii elektrowstrząsowej; 5) próby stosowania ketaminy we wlewie oraz preparacie donosowym są zachęcające. Prawidłowa odpowiedź to:
Pytanie 48
Wskaż prawdziwe stwierdzenia dotyczące stosowania litu dla potencjalizacji leków przeciwdepresyjnych w depresji lekoopornej: 1) część pacjentów osiąga wyraźną poprawę już po kilku dniach; 2) wykazuje skuteczność w depresji jednobiegunowej; 3) stężenie litu winno wynosić 0,8-1,2 mmol/l; 4) powoduje wysokie ryzyko zespołu serotoninergicznego; 5) znaczne zahamowanie nie stanowi przeciwwskazania do tej procedury. Prawidłowa odpowiedź to:
Pytanie 49
Wskaż prawdziwe stwierdzenie dotyczące terapii elektrowstrząsowej: 1) jest leczeniem zabiegowym z wyboru w depresji lekoopornej; 2) nie należy jej stosować u osób powyżej 70. roku życia; 3) nie należy stosować więcej niż dwóch zabiegów w tygodniu; 4) przed zabiegami należy odstawić leki podwyższające próg drgawkowy; 5) przy braku przeciwwskazań można używać ketaminę jako lek znieczulający. Prawidłowa odpowiedź to:
Pytanie 50
Wskaż prawdziwe stwierdzenia dotyczące leków normotymicznych II generacji: 1) arypirazol ma najmniejsze działanie metaboliczne spośród atypowych leków przeciwpsychotycznych należących do środków normotymicznych II generacji; 2) dodanie litu do kwetiapiny nie zwiększa skuteczności zapobiegania nawrotom; 3) lamotrygina działa leczniczo i profilaktycznie w odniesieniu do epizodów maniakalnych; 4) olanzapina działa profilaktycznie lepiej w odniesieniu do epizodów maniakalnych niż depresyjnych; 5) spośród atypowych leków przeciwpsychotycznych, kwetiapina ma najbar- dziej 'zrównoważone' działanie w odniesieniu do zapobiegania epizodom maniakalnym i depresyjnym. Prawidłowa odpowiedź to:
Pytanie 51
Lit jest lekiem pierwszego wyboru dla zapobiegania nawrotom w chorobie afektywnej dwubiegunowej. Oprócz własności normotymicznych, jakie inne korzystne własności wykazuje lit?
Pytanie 52
Wskaż prawdziwe stwierdzenia dotyczące objawów negatywnych schizofrenii: 1) aby stwierdzić przetrwałość objawów negatywnych, powinny się one utrzymywać przez co najmniej 3 miesiące; 2) asocjalność (wycofanie społeczne) to upośledzenie relacji towarzyskich oraz skłonności do nawiązywania nowych kontaktów; 3) objawy negatywne to między innymi blady afekt, awolicja, anhedonia; 4) skala PANNS nie uwzględnia objawów negatywnych; 5) istnieje związek między nasileniem objawów negatywnych a spadkiem metabolizmu okolic czołowych i przedczołowych. Prawidłowa odpowiedź to:
Pytanie 53
Kobieta 18-letnia w 10. tygodniu ciąży, z rozpoznaniem jadłowstrętu psychicznego, z BMI wynoszącym 13 kg/m2 powinna być skierowana w pierwszej kolejności do leczenia w:
Pytanie 54
Wskaż prawdziwe stwierdzenia dotyczące objawów ubocznych terapii elektrowstrząsowej: 1) mogą wystąpić objawy złośliwego zespołu poneuroleptycznego; 2) ryzyko wystąpienia powikłań zagrażających życiu szacuje się na 1:50000; 3) występują nieco częściej u osób powyżej 60. roku życia; 4) obejmują zaburzenia pamięci autobiograficznej; 5) obejmują zaburzenia pamięci operacyjnej. Prawidłowa odpowiedź to:
Pytanie 55
Wskaż prawdziwe stwierdzenia dotyczące stosowania leków psychotropowych w ciąży: 1) leki psychotropowe w ciąży stosować w jednej dawce dobowej; 2) nieleczona depresja w ciąży powoduje zwiększenie ryzyka nieprawidłowego rozwoju płodu; 3) przy podawaniu węglanu litu w pierwszym trymestrze ciąży nie należy przekraczać dawki 500 mg/dobę; 4) stosowanie paroksetyny w pierwszym trymestrze ciąży zwiększa ryzyko poronienia; 5) stosowanie walproinianów w ciąży ma działanie teratogenne. Prawidłowa odpowiedź to:
Pytanie 56
Do rozwoju jadłowstrętu psychicznego predysponuje:
Pytanie 57
16-letnia dziewczyna zgłosiła się w towarzystwie rodziców z powodu nie- jasnego pochodzenia porażenia prawej ręki, z zaburzeniami czucia o typie ręka- wiczki oraz z okresowymi omdleniami. W nastroju wyrównanym, bagatelizuje objawy, zaprzecza problemom w domu lub w szkole. Rodzice w separacji, ale ze względu na chorobę córki ojciec ponownie zamieszkał w domu. Prawdopodobna diagnoza to:
Pytanie 58
Dysforia, zmęczenie, koszmary senne, zwiększony apetyt, zaburzenia snu, pobudzenie lub spowolnienie psychomotoryczne występują w przebiegu zespołu odstawiennego po:
Pytanie 59
W zaburzeniach obsesyjno-kompulsyjnych u dzieci i młodzieży postępowaniem pierwszego wyboru jest:
Pytanie 60
Zaburzenia depresyjne u kobiety ciężarnej mogą wiązać się z następującymi konsekwencjami, z wyjątkiem:
Pytanie 61
Od pewnego czasu 8-letnie dziecko jest smutne i wystraszone, zamyśla się, unika zabawy, izoluje się od rówieśników, mówi, że jest złe, skarży się na bóle brzucha i bolesność przy oddawaniu moczu. W diagnostyce należy szczególnie brać po uwagę:
Pytanie 62
Pacjentka lat 18, z rozpoznaniem schizofrenii, BMI = 30 kg/m2, cukrzycą, zaburzeniami miesiączkowania, obrzękiem piersi. Hospitalizowana z powodu zaostrzenia psychozy po odstawieniu leków. Bardzo zła tolerancja klasycznych leków przeciwpsychotycznych. Na oddziale wypluwa i chowa tabletki, natomiast spokojnie przyjmuje iniekcje. Wskaż optymalne długoterminowe leczenie:
Pytanie 63
Wskaż prawdziwe stwierdzenie dotyczące homoseksualizmu:
Pytanie 64
Która z poniżej wymienionych infekcji może spowodować wystąpienie zespołu przewlekłego zmęczenia:
Pytanie 65
Co charakteryzuje zespół Turnera?
Pytanie 66
Wskaż prawdziwe stwierdzenie dotyczące specyficznych zaburzeń rozwoju mowy i języka:
Pytanie 67
Wskaż prawdziwe stwierdzenie dotyczące specyficznych zaburzeń rozwoju umiejętności szkolnych:
Pytanie 68
Podczas swobodnej zabawy z dzieckiem w wieku przedszkolnym rodzic powinien:
Pytanie 69
Które objawy są charakterystyczne dla stanu pomrocznego - zamroczenia?
Pytanie 70
Wskaż czynniki, które zmniejszają ryzyko wczesnego ujawnienia się zaburzeń opozycyjno-buntowniczych:
Pytanie 71
Wskaż lek i dawki, których stosowanie może być celowe w łagodzeniu zachowań agresywnych u osób z organicznie uwarunkowanymi zaburzeniami osobowości:
Pytanie 72
Które objawy są charakterystyczne dla drgawek dysocjacyjnych?
Pytanie 73
Wskazaniem do stosowania chlorowodorku prydynolu jest:
Pytanie 74
Wg aktualnych dostępnych badań ryzyko zachowań samobójczych u młodzieży nie wzrasta w przypadku:
Pytanie 75
Do standardów postępowania u pacjentów wyniszczonych, hospitalizowa- nych na przykład z powodu jadłowstrętu psychicznego, poddanych procesowi realimentacji, należy:
Pytanie 76
Wskaż stwierdzenia dotyczące stosowania Clopixol Acuphase (octan zuklopentyksolu) zgodne z charakterystyką produktu leczniczego: 1) wskazany jest do stosowania w początkowym leczeniu ostrych psychoz, w tym manii oraz zaostrzenia przewlekłych psychoz; 2) wskazany jest do stosowania w leczeniu podtrzymującym schizofrenii oraz innych psychoz; 3) dawka zwykle wynosi od 50 mg do 150 mg podana domięśniowo, w razie potrzeby dawkę można powtarzać, najlepiej w odstępie 2 do 3 dni; 4) w leczeniu podtrzymującym dawka zwykle wynosi od 200 mg do 400 mg (1 do 2 ml) co dwa lub co cztery tygodnie podawane domięśniowo; 5) maksymalna skumulowana dawka podczas jednego kursu leczenia nie może być większa niż 400 mg, a liczba wstrzyknięć - większa niż cztery. Prawidłowa odpowiedź to:
Pytanie 77
Do parasomnii zalicza się wszystkie wymienione, z wyjątkiem:
Pytanie 78
Stany napadowe stanowią wskazania do badań czynności bioelektrycznej mózgu (eeg). W których z niżej wymienionych stanów nie ma jednak wskazań do badań eeg?
Pytanie 79
Pacjent 16-letni dokonał licznych samookaleczeń, podjął próbę zadzierzgnięcia. Zastosowano przymus bezpośredni w postaci pasów bezpieczeństwa. Wskaż prawdziwe stwierdzenie dotyczące tego przymusu:
Pytanie 80
Szczyt zachorowań dzieci na lęk separacyjny przypada na:
Pytanie 81
W badaniu psychiatrycznym dziecka na podstawie wywiadów z rodzicami/opiekunami i dzieckiem/adolescentem lekarz nie ocenia:
Pytanie 82
Wskaż prawdziwe stwierdzenie dotyczące dzieci agresywne:
Pytanie 83
Czym charakteryzują się leki nocne?
Pytanie 84
Podstawowym typem placówki opiekuńczo-wychowawczej prowadzonej przez powiat na zlecenie samorządu województwa nie jest:
Pytanie 85
W klasyfikacji DSM V zespół Aspergera:
Pytanie 86
Zespół Retta jest zaburzeniem genetycznie uwarunkowanym, różnicuje się go z innymi zaburzeniami głównie na podstawie: 1) braku celowych ruchów rąk i występowania głównie u chłopców; 2) zwolnienia tempa wzrostu obwodu głowy i występowania głównie u dziewcząt; 3) stereotypowych ruchów 'mycia rąk' i niezdolności do prawidłowego żucia pokarmów; 4) napadów padaczkowych i początku powyżej 24. m.ż.; 5) częściowego lub całkowitego brak rozwoju języka i postępującego pogorszenia sprawności ruchowej z ataksją. Prawidłowa odpowiedź to:
Pytanie 87
18-letnia dziewczyna, obecnie w klasie maturalnej, obciążona w rodzinie schizofrenią (choruje matka i kuzyn), zaczęła unikać towarzystwa, opuszczać szkołę, pojawiły się krótkotrwałe stany lękowe, związane z przelotnym przekona- niem, że koleżanki śmieją się z niej i za pomocą symbolicznych kolorów ubrań przekazują sobie różne obraźliwe informacje na jej temat. Takie myśli mijały dość szybko pod wpływem racjonalnego tłumaczenia ich bezzasadności, jednak nawracały w sytuacjach stresowych. Wskaż postępowanie:
Pytanie 88
Klasyczna definicja wstrząśnienia mózgu zwiera 3 elementy składowe: 1) krótkotrwałą utratę przytomności; 2) zaburzenia wegetatywne; 3) pourazową utratę pamięci powyżej 30 min; 4) pourazową utratę pamięci poniżej 5 min; 5) pourazową utratę pamięci powyżej 5 min; 6) zaniewidzenie. Prawidłowa odpowiedź to:
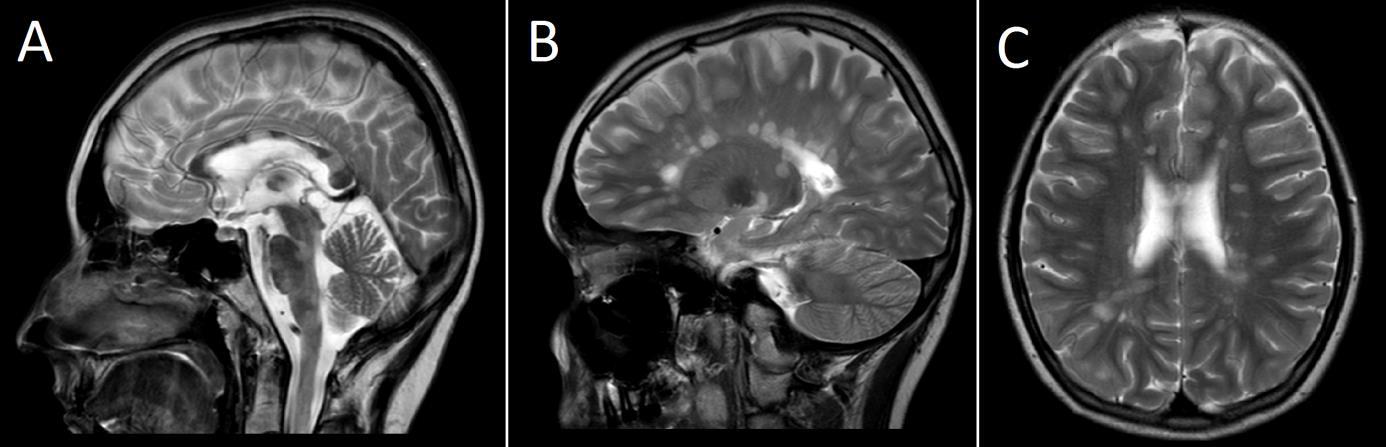
Pytanie 89
W diagnostyce neurologicznej ważną rolę odgrywają badania neuroobrazowe. Poniższe obraz MR głowy u 16-letniej chorej mogą odpowiadać zmianom w przebiegu:

Pytanie 90
W psychoterapii, zgodnie z obowiązującym Kodeksem Etycznym Psychoterapeuty:
Pytanie 91
Zdolność do różnicowania płci (odróżniania płci żeńskiej od męskiej) pojawia się u dziecka:
Pytanie 92
Psychiatria dzieci i młodzieży jako niezależna dyscyplina medyczna została oficjalnie uznana w:
Pytanie 93
Rodzicowi w przypadku choroby 15-letniego dziecka i konieczności osobistego sprawowania opieki nad nim, przysługuje zwolnienie od wykonywania pracy i zasiłek opiekuńczy w wymiarze:
Pytanie 94
Które z poniższych nie odnosi się do negatywizmu u dzieci?
Pytanie 95
Według standardów leczenia farmakologicznego zaburzeń psychicznych, do leków przeciwdepresyjnych o działaniu nasennym nie zalicza się:
Pytanie 96
Do 'Innych dziecięcych zaburzeń dezintegracyjnych' (F84.3) nie zalicza się:
Pytanie 97
Technika diagnostyczna zdyskredytowana w diagnozie na dowodach empirycznych (EBA) to:
Pytanie 98
Opiniowanie w sprawach nieletnich:
Pytanie 99
Postawa rodzicielska, którą charakteryzuje traktowanie dziecka w sposób przesadnie opiekuńczy, nadmiernie pobłażliwie i która powoduje u dziecka niechęć lub brak samodzielnego wysiłku, pracy i odpowiedzialności to:
Pytanie 100
W przebiegu infekcji HIV mogą wystąpić objawy uszkodzenia OUN. Wynikają one z:
Pytanie 101
'Czyn, działanie o cechach impulsywnych, zwykle nieoczekiwanych, zaskakujący i niejasno umotywowany, który może być uznany (zwykle wstecznie) za pierwszy objaw rozpoczynającej się psychozy. Jeżeli takie zachowanie uzyska później interpretację urojeniową, można je uważać za zachowanie urojeniowe'. Powyższy opis dotyczy:
Pytanie 102
W latach 50. XX wieku zwrócono uwagę na stosunki wewnątrzrodzinne jako jedną z przyczyn zaburzeń psychicznych, co zapoczątkowało rozwój terapii rodzin. Za ojca/matkę terapii rodzinnej uważa się:
Pytanie 103
Terapia interakcji rodzic-dziecko dla dzieci z zachowaniami opozycyjnymi PCIT została opracowana w oparciu o:
Pytanie 104
Zespół Klinefeltera występuje u dzieci z kariotypem: a) 47XXY; b) 41XXY; c) 45X; d) 48XXXY; e) 45XXY. Dodatkowo wiadomo, że poziom rozwoju umysłowego zależy od liczby chromosomów X: 1) im więcej jest chromosomów X, tym niższy jest poziom rozwoju umysłowego; 2) im więcej jest chromosomów X, tym wyższy jest poziom rozwoju umysłowego. Prawidłowa odpowiedź to:
Pytanie 105
Wskaż okres rozwoju dziecka, w którym podstawowe zadania przed jakimi staje w tym wieku dotyczą rozwoju samodzielności oraz kształtowania się poczucia własnej odrębności:
Pytanie 106
Dziecko w wieku 22 miesięcy wypowiada 'mama lala'. Jest to:
Pytanie 107
Które z wymienionych osiągnięć kryzysów rozwojowych nie jest wynikiem kryzysu szóstego, siódmego roku życia?
Pytanie 108
O niepełnosprawności umysłowej małych dzieci może świadczyć:
Pytanie 109
Chłopiec w wieku szkolnym zachowuje się agresywnie, nie angażuje się w propozycje wolontariatu, słabiej radzi sobie w szkole, jest mało zainteresowany zdobywaniem nowych umiejętności szkolnych. Wskaż możliwy styl lub style wychowawcze rodziców w oparciu o przedstawiony opis:
Pytanie 110
Która charakterystyka nie odnosi się do stadium operacji formalnych?
Pytanie 111
Wskaż fałszywe stwierdzenie dotyczące dzieci z autyzmem:
Pytanie 112
W kategorii DSM-5 zaburzenia motoryczne mieszczą się rozwojowe zaburzenia koordynacji ruchowej, stereotypie ruchowe i tiki, w tym zespół Tourette'a. Do najczęściej współwystępujących zaburzeń z zaburzeniami motorycznymi należą: 1) zaburzenia mowy i języka; 2) specyficzne trudności szkolne; 3) zaburzenia lękowe; 4) zaburzenia ze spektrum autyzmu; 5) schizofrenia o wczesnym początku; 6) zaburzenia obsesyjno-kompulsyjne. Prawidłowa odpowiedź to:
Pytanie 113
Wg kryteriów ICD-10, aby rozpoznać zaburzenia afektywne dwubiegunowe, muszą być spełnione następujące warunki: 1) obecny epizod spełnia kryteria hipomanii, manii, epizodu depresyjnego; 2) w przeszłości stwierdzono co najmniej jeden epizod afektywny (hipomaniakalny, maniakalny, depresyjny, mieszany); 3) przynajmniej jeden z tych epizodów afektywnych był inny niż depresyjny; 4) epizody nie są spowodowane używaniem substancji psychoaktywnych, ani zaburzeniami organicznymi; 5) nie występuje u dzieci przed 13. rokiem życia. Prawidłowa odpowiedź to:
Pytanie 114
Antonii Kępiński opisał depresję młodzieńczą jako odrębny zespół, na który składają się zaburzenia nastroju, lęk, zaburzenia w zachowaniu oraz znacznie nasilona autodestrukcja. Objawy mogą występować w różnych konfiguracjach. W związku z tym wyróżniono kilka postaci depresji młodzieńczej:
Pytanie 115
Dziewczynka w wieku 2 lat i 3 miesięcy karmi lalkę łyżką, a następnie miesza łyżką w pustym garnku. Powyższy opis jest przykładem zabawy:
Pytanie 116
Trudny temperament uważany jest za czynnik ryzyka w pojawieniu się zaburzeń w zachowaniu u dzieci. Wskaż zdanie fałszywe:
Pytanie 117
7-letni chłopczyk zaczął w ostatnich dniach irytować rodziców ponieważ pomagając w sprzątaniu stłukł ukochany wazon mamy, zaczął stroić miny do gości, którzy w efekcie obrazili się na niego. W szkole zaczęto zgłaszać rodzicom, że jest niestaranny, przestał pisać w linijkach, nie koncentruje się na lekcjach a ostatnio spadł zbiegając po schodach. Dodatkowo zaczął reagować na każdą uwagę płaczem i nie można było mu wytłumaczyć, że powinien zacząć być bardziej starannym. Powyższy obraz kliniczny nasuwa rozpoznanie:
Pytanie 118
W rozwoju ruchowym dziecka obserwuje się postęp w rozwoju koordynacji rąk. Wskaż w jakim wieku można się spodziewać, że dziecko włoży małe przedmioty do pojemnika trzymanego w drugiej ręce:
Pytanie 119
W klasyfikacji DC:0-3R opisano 'wielosystemowe zaburzenia rozwoju (MSDD)'. U niemowląt i małych dzieci z diagnozą MSDD występują trudności, które mogą zmieniać się wraz z postępem rozwoju, a dotyczą następującego zakresu zachowań:
Pytanie 120



