Wyszukaj egzamin lub pytanie
Egzamin PES Psychiatria dzieci i młodzieży / jesień 2013
120 pytań
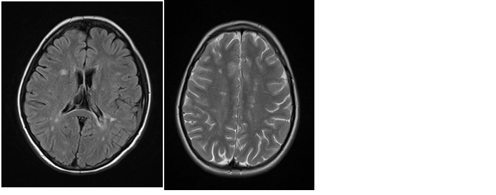
Pytanie 1
W diagnostyce neurologicznej ważne są badania neuroobrazowe. Poniższe obrazy rezonansu magnetycznego (MR) głowy mogą odpowiadać zmianom w przebiegu:

Pytanie 2
W diagnostyce różnicowej zespołów padaczkowych, oprócz obrazu klinicznego napadów padaczkowych, ważny jest obraz zmian czynności bioelektrycznej mózgu (EEG). Poniżej przedstawiono obraz EEG 7-letniego chłopca (w czuwaniu), u którego obserwowano dwukrotnie nad ranem, po przebudzeniu, drżenie policzka prawego, zaburzenia mowy o typie dyzartrii, z zachowaną świadomością. Opis ten odpowiada:

Pytanie 3
Do tzw. encefalopatii padaczkowych należą niżej wymienione zespoły padaczkowe, z wyjątkiem:
Pytanie 4
Miastenia (myasthenia gravis psueudoparalytica) należy do zespołów zaburzeń transmisji nerwowo-mięśniowych. Charakterystycznym objawem miastenii jest apokamnoza, która polega na:
Pytanie 5
Fakomatozy (dysplazje neuroektodermalne) są efektem zaburzeń rozwoju we wczesnym okresie zarodkowym. Do tej grupy chorób zaliczane są następujące zespoły chorobowe, z wyjątkiem:
Pytanie 6
Czy istnieje pojęcie „migrena brzuszna”?
Pytanie 7
Dziecko w wieku 7 lat przestrzega reguł moralnych z powodu groźby kary lub innych sankcji zewnętrznych. Jest to przejaw:
Pytanie 8
Sąd Rodzinny i Nieletnich rozpatruje sprawę 16-letniego ucznia gimnazjum, który po zażyciu amfetaminy oraz „dopalacza” zabrał ojcu samochód i uszkodził trzy samochody na parkingu, a następnie, podczas ucieczki przed policją, spowodował zagrożenie w ruchu lądowym wielokrotnie przekraczając przepisy. Ucieczka zakończyła się najechaniem na zatrzymującą się pod światłami furgonetkę skutkującym urazem kręgosłupa szyjnego kierowcy najechanego samochodu. Sąd najprawdopodobniej zwrócił się do biegłych psychiatrów o:
1) ocenę poczytalności sprawcy w chwili czynu;
2) ocenę stanu zdrowia psychicznego w chwili czynu i obecnie;
3) diagnozę ew. choroby psychicznej, upośledzenia umysłowego, uzależnień i zaburzonego zachowania sprawcy;
4) ocenę adekwatności środków poprawczych, wychowawczych lub leczniczych jako właściwych do korekty funkcjonowania chłopca;
5) ocenę wiarygodności chłopca dla celów procesowych.
Prawidłowa odpowiedź to:
Pytanie 9
Urząd Marszałkowski i dyrektor szpitala wojewódzkiego otrzymali jednobrzmiącego maila o podłożeniu w szpitalu ładunków zapalających, które zostaną zdetonowane po upływie pięciu godzin. Podjęto decyzję o ewakuacji szpitala. Szczegółowe przeszukanie nie potwierdziło zamachu. W śledztwie wytypowano i zatrzymano 16-letniego ucznia liceum, który podczas ewakuacji chorych zgłosił się do pomocy jako wolontariusz. Sprawca przyznał się do autorstwa maila, ale nie rozumiał zarzutu narażenia na niebezpieczeństwo utraty zdrowia lub zagrożenia życia wielu osób. W wyniku postępowania prokurator dokonał wyboru między Wydz. Karnym Sądu, a Wydz. Rodzinnym i Nieletnich i:
1) przesłał do Wydz. Karnego Sądu akt oskarżenia z opinią biegłych psychiatrów o poczytalności sprawcy;
2) przesłał do Sądu Rodzinnego i Nieletnich akt oskarżenia z opinią biegłych psychiatrów o poczytalności sprawcy;
3) przesłał do Wydz. Karnego Sądu wniosek o umieszczenie sprawcy w zakładzie poprawczym wraz z opinią biegłych psychiatrów o jego stanie zdrowia psychicznego;
4) przesłał do Sądu Rodzinnego i Nieletnich wniosek o umieszczenie sprawcy w zakładzie poprawczym lub zakładzie leczniczym wraz z opinią biegłych psychiatrów o jego stanie zdrowia psychicznego;
5) po zapoznaniu się z opinią biegłych umorzył postępowanie.
W zależności od kwalifikacji prawnej czynu i wieku sprawcy właściwymi rozwiązaniami są:
Pytanie 10
Zespół realimentacyjny, pojawiający się niekiedy w przebiegu leczenia jadłowstrętu psychicznego, może manifestować się licznymi objawami, z wyjątkiem:
Pytanie 11
Czternastoletni uczeń renomowanego gimnazjum pasjonujący się elektroniką skonstruował urządzenie własnego pomysłu do zdalnego przestawiania zwrotnic tramwajowych. Po wielokrotnym wypróbowaniu skuteczności działania postanowił sprawdzić czy można przestawić zwrotnicę, gdy znajduje się ona między pierwszym, a drugim wagonem tramwaju. W wyniku wykolejenia wozu obrażeń doznało kilkanaście osób. Wytypowanie sprawcy było łatwe, bowiem był on pasjonatem tramwajów znanym we wszystkich zajezdniach miejskich. Podczas zatrzymania przejawił niepohamowaną agresję, gdy policjanci nie chcieli docenić sprawności jego urządzenia. Sąd Rodzinny i Nieletnich powołał w trybie art. 25a ust. o postępowaniu w sprawach nieletnich dwóch biegłych psychiatrów w celu diagnozy zdrowia psychicznego i wskazania właściwych środków korekcyjnych. Za rozpoznaniem u badanego zespołu Aspergera przemawia:
1) skłonność do ryzykownych zachowań skutkujących zagrożeniem życia i zdrowia ludzi;
2) wąskie, ale rozbudowane zamiłowania realizowane w samotności;
3) rozdźwięk między sprawnością myślenia konkretnego i praktycznego, a nierozumieniem pojęć abstrakcyjnych, znaczeń przenośnych, wartości i ocen moralnych;
4) wysoki poziom agresji interpersonalnej;
5) brak kontroli nad zachowaniem w sytuacjach odstępstw od schematu, planu, utrwalonych przekonań itp.
Prawidłowa odpowiedź to:
Pytanie 12
Rozwój mowy dziecka warunkowany jest:
Pytanie 13
W przezwyciężaniu reakcji strachu u dziecka w wieku przedszkolnym skuteczne są następujące metody postępowania:
Pytanie 14
Przyjmowanie światopoglądowo skrajnych stanowisk (postawa dogmatyczna lub sceptyczno-krytyczna), doktrynerstwo to cechy charakterystyczne dla:
Pytanie 15
Samouszkodzenia u osób z upośledzeniem umysłowym w stopniu znacznym:
Pytanie 16
Które z poniższych zdań, charakteryzujących rolę psychiatry dziecięcego w pracy z osobami z upośledzeniem umysłowym jest nieprawdziwe?
Pytanie 17
Rodzice zgłosili się do lekarza rodzinnego ze swoim 3,5-letnim synkiem, który od 2 miesięcy prawie codziennie zjada odpryski farby oraz tynk ze ściany. Chłopiec używa adekwatnie pojedyncze słowa, nie buduje zdań. Pozostałe obszary rozwoju dziecka nie budzą niepokoju rodziców i badającego pacjenta psychologa. Najwłaściwszym rozpoznaniem na chwilę obecną będzie:
Pytanie 18
Leczenie schizofrenii wieku rozwojowego, powinno polegać na:
Pytanie 19
John Bowlby jest twórcą teorii:
1) rozwoju poznawczego dziecka;
2) przywiązania, według której rozwój więzi obejmuje okres od momentu narodzin do 3. roku życia;
3) przywiązania, według której rozwój więzi przebiega w fazach i obejmuje okres od momentu narodzin do okresu szkolnego;
4) przywiązania, według której faza 3 rozwoju więzi trwa od 7. miesiąca do 2.-3. roku życia;
5) związku z obiektem.
Prawidłowa odpowiedź to:
Pytanie 20
Niepełnosprawność intelektualna jest ostatecznym efektem różnych procesów patologicznych, które prowadzą do znacznego zmniejszenia sprawności intelektualnej i zdolności przystosowania społecznego. Wskaźnik częstości występowania:
Pytanie 21
Rodzice zgłosili się do lekarza psychiatry dzieci i młodzieży ze swoim 5-letnim synkiem z powodu obserwowanego opóźnienia rozwoju mowy, dużego stopnia niepokoju oraz agresji w stosunku do rówieśników. W badaniu przedmiotowym obserwowano asymetryczną czaszkę, wąską i długą twarz, wydatną żuchwę, wąski, ostro zakończony nos oraz długą rynienkę nosowo-wargową. Wyniki uzyskane w badaniu za pomocą skali Leitera były bardzo niskie. Opisane objawy mogą wskazywać na zespół uwarunkowany genetycznie, w tym zespół:
Pytanie 22
32-letnia kobieta leczona od 5 lat z powodu choroby afektywnej dwubiegunowej została przyjęta do szpitala z powodu rozsianych zmian skórnych: pęcherzy, sączących nadżerek oraz zmian na błonach śluzowych - krwotocznych strupów. Po mechanicznym potarciu zdrowego naskórka obserwowano jego spełzanie. Zmiany nie występowały na skórze owłosionej głowy. Z wywiadu wynika, że objawy rozpoczęły się niespecyficznymi objawami grypopodobnymi z wysoką gorączką, następnie na skórze pojawił się rumień. Obraz kliniczny może wskazywać na objawy uboczne najprawdopodobniej związane ze stosowaniem:
Pytanie 23
W celu rozpoznania alkoholowego zespołu abstynencyjnego (AZA) konieczne jest stwierdzenie co najmniej trzech objawów z grupy objawów charakterystycznych dla AZA. Wskaż właściwą listę objawów AZA:
Pytanie 24
Wskaż stwierdzenia prawdziwe:
1) osoby z zaburzeniami afektywnymi dwubiegunowymi często używają szkodliwie substancji psychoaktywnych lub są od nich uzależnione, zwłaszcza od alkoholu oraz substancji stymulujących takich jak heroina;
2) u znacznego odsetka chorych na schizofrenię stwierdza się uzależnienie bądź używanie szkodliwe substancji psychoaktywnych, najczęściej marihuany, amfetaminy, kokainy i alkoholu;
3) zaburzenia psychiczne u dzieci i młodzieży współwystępujące z używaniem substancji psychoaktywnych często obejmują zaburzenia nastroju i zaburzenia lękowe oraz autyzm dziecięcy;
4) zaburzenia psychiczne u dzieci i młodzieży współwystępujące z używaniem substancji psychoaktywnych często obejmują zaburzenia zachowania, zaburzenia nastroju oraz lękowe i ADHD.
Prawidłowa odpowiedź to:
Pytanie 25
Wskaż prawdziwe stwierdzenia:
1) majaczenie alkoholowe występuje bardzo rzadko u nastolatków;
2) u młodzieży i młodych dorosłych częstym następstwem majaczenia jest przewlekła halucynoza alkoholowa;
3) ostra halucynoza alkoholowa występuje znacznie rzadziej u młodzieży niż u osób dorosłych;
4) u młodzieży pijącej alkohol częściej niż w populacji osób dorosłych uzależnionych od alkoholu stwierdza się zaburzenia otępienne.
Prawidłowa odpowiedź to:
Pytanie 26
Spośród stosunkowo nowych substancji psychoaktywnych, które pojawiły się na polskiej scenie narkotykowej działanie obezwładniające, euforyzujące oraz powodujące skrajną sedację i niezdolność do podejmowania decyzji wraz z częściową amnezją wywołuje:
1) MDMA;
2) nandrolon;
3) kwas g-hydroksymasłowy (GHB);
4) mefedron;
5) prekursor salwioryny A: g-butyrolakton (GBL).
Prawidłowa odpowiedź to:
Pytanie 27
Pacjentka lat 17 skierowana do szpitala z powodu znacznego wyniszczenia organizmu, od pewnego czasu unika tuczącego pożywienia, dużo ćwiczy (ma dużo energii, jest nadmiernie aktywna), stosuje jak podaje „dietę ekologiczną”, gdyż nie chce przytyć, nie jest też zadowolona ze swojego obecnego wyglądu („nadmiernie grube uda i policzki”). W celu zmniejszenia łaknienia od roku systematycznie stosuje amfetaminę („wciąga do nosa”). Od 3 miesięcy stosuje ją również w iniekcjach dożylnych. Amfetaminę ostatni raz przyjmowała 3 dni temu. W badaniu stwierdzono, że pacjentka jest apatyczna, ma obniżony nastrój. Skarży się od kilku dni na zmęczenie i zwiększoną potrzebę snu. Źrenice nieco rozszerzone, leniwie reagują na światło. Nie miesiączkuje od kilku miesięcy. W badaniu fizykalnym stwierdzono m. in. obniżenie masy ciała (BMI poniżej 17,5), bradykardię, lanugo, suchość skóry. W badaniu testem skriningowym w moczu nie wykryto substancji psychoaktywnych. Najbardziej prawdopodobnym rozpoznaniem jest:
1) jadłowstręt psychiczny;
2) jadłowstręt psychiczny typ restrykcyjny i depresja;
3) amfetaminowy zespół abstynencyjny;
4) używanie szkodliwe amfetaminy;
5) depresja.
Prawidłowa odpowiedź to:
Pytanie 28
Wskaż prawdziwe stwierdzenie dotyczące dużej depresji:
Pytanie 29
Pacjent lat 16 badany w izbie przyjęć, w zachowaniu spokojny, wykazuje nastrój euforyczny, często wybucha śmiechem bez powodu, jest wielomówny, ma rozszerzone źrenice. W badaniu fizykalnym stwierdzono tachykardię i wzrost ciśnienia tętniczego krwi. Z wywiadu wynika, że u pacjenta kilka razy występowały krótkotrwałe, nagle pojawiające się, obawy przed śmiercią i utratą kontroli nad sobą, połączone z przyśpieszeniem akcji serca, bólem w klatce piersiowej i uczuciem duszności, którym towarzyszyły zawroty głowy, pocenie się oraz drżenia mięśni kończyn. Ustalono, że od pewnego czasu pacjent ma trudności z zasypianiem oraz trudności w nauce wynikające z absencji w szkole oraz z pogorszenia pamięci i koncentracji uwagi. Jego pogorszenie funkcjonowania wynika również z pojawiającego się po zastosowaniu substancji psychoaktywnej zaburzenia poczucia upływu czasu. W badaniu testem skriningowym w moczu wykryto substancję psychoaktywną. Objawy kliniczne i wynik testu skriningowego wskazują na używanie i prawdopodobne uzależnienie od:
Pytanie 30
Leczenie jadłowstrętu psychicznego jest procesem wieloaspektowym i wg zaleceń Amerykańskiego Towarzystwa Psychiatrycznego z 2000 r. powinno obejmować:
Pytanie 31
Polskie prawo ściga z oskarżenia publicznego sprawców przestępstw przeciwko osobom bliskim m.in. za:
1) znęcanie się fizyczne lub psychiczne nad osobą najbliższą lub nad inną osobą pozostającą w stałym lub przemijającym stosunku zależności od sprawcy;
2) znęcanie się fizyczne lub psychiczne nad małoletnim lub osobą nieporadną ze względu na jej stan psychiczny lub fizyczny;
3) znęcanie się fizyczne lub psychiczne jedynie nad osobą dorosłą natomiast nie uwzględnia dzieci;
4) doprowadzenie małoletniego poniżej lat 15 do obcowania płciowego lub poddania się innej czynności seksualnej;
5) doprowadzenie małoletniego powyżej lat 15 do obcowania płciowego lub poddania się innej czynności seksualnej.
Prawidłowa odpowiedź to:
Pytanie 32
W ICD-10 za podstawowe objawy dla depresji uważa się:
Pytanie 33
U dzieci krzywdzonych występuje zaburzenie wielu obszarów funkcjonowania. Prawdziwe są następujące stwierdzenia dotyczące dzieci krzywdzonych:
1) dzieci krzywdzone nie odbiegają w swoich zachowaniach od rówieśników nie mających w swoim doświadczeniu krzywdzenia, gdyż mają duże zdolności adaptacyjne;
2) dzieci krzywdzone łatwo wpadają w złość w odpowiedzi na niewielkie frustracje, łatwo reagują wrogością w odpowiedzi na zachowania dorosłych;
3) krzywdzone dzieci często mają zaniżoną samoocenę, małą wiarę w swoje możliwości, często czują się bezradne, odmienne od innych i napiętnowane przez fakt krzywdzenia;
4) zaburzony jest rozwój społeczny dzieci krzywdzonych - u mniejszych dzieci przejawia się to wycofaniem się z zabaw, ubożeniem ich treści;
5) dzieci krzywdzone często skarżą się na ból głowy i brzucha, cierpią na nudności, wymioty, tracą apetyt albo przejadają się, mogą moczyć się w nocy lub mimowolnie oddawać kał.
Prawidłowa odpowiedź to:
Pytanie 34
Który z poniższych nie jest lekiem z wyboru w leczeniu depresji z natrętnymi myślami, kompulsjami i ruminacjami?
Pytanie 35
Zalecane stężenie terapeutyczne litu we krwi w profilaktyce nawrotów to: (w mmol/l)
Pytanie 36
Które z poniższych stwierdzeń jest fałszywe?
Pytanie 37
Które z poniższych stwierdzeń jest fałszywe?
Pytanie 38
W przebiegu kanabinolowych zespołów abstynencyjnych obecne są następujące objawy:
Pytanie 39
Które z poniższych stwierdzeń jest fałszywe?
Pytanie 40
W leczeniu tików zaleca się:
Pytanie 41
Które z poniższych stwierdzeń są prawdziwe?
Pytanie 42
W leczeniu opioidowych zespołów abstynencyjnych stosowane są następujące leki, z wyjątkiem:
Pytanie 43
Zaburzenie pamięci polegające na przeżywaniu przeszłości jako teraźniejszości nosi nazwę:
Pytanie 44
Poszukiwanie sensu życia jako główny cel psychoterapii zostało sformułowane w:
Pytanie 45
W chorobie afektywnej dwubiegunowej typu I działanie przeciwdepresyjne wykazują:
Pytanie 46
Skala inteligencji Terman Merill służy do badania:
Pytanie 47
Do głównych metod projekcyjnych badających procesy emocjonalne nie należy test:
Pytanie 48
Skala WISC - R służy do badania:
Pytanie 49
Relacja psychoterapeutyczna nie opiera się na:
Pytanie 50
Do zasobów rodziny nie zalicza się:
Pytanie 51
Istotą teorii Piageta są stadia rozwoju:
Pytanie 52
Chorych na jadłowstręt psychiczny charakteryzuje:
1) wysoki poziom intelektu;
2) wysoki poziom aspiracji;
3) wysoki poziom tłumionej agresji;
4) skłonność do unikania urazów;
5) podwyższony poziom lęku.
Prawidłowa odpowiedź to:
Pytanie 53
Społeczność terapeutyczna:
1) jest jedną z form terapii społecznej;
2) najlepiej sprawdza się w leczeniu zaburzeń psychotycznych;
3) najlepiej sprawdza się w leczeniu zaburzeń neurotycznych i osobowości;
4) charakteryzuje się strukturą demokratyczną;
5) ma cechy wspólnoty pierwotnej.
Prawidłowa odpowiedź to:
Pytanie 54
Który z poniższych objawów nie jest charakterystyczny dla późnych dyskinez?
Pytanie 55
Mężczyzna lat 45, w przeszłości nadużywający alkoholu, następnego dnia po operacji przepukliny pachwinowej zaczyna wykazywać zmiany samopoczucia psychicznego. Który z poniższych objawów jest u niego najmniej prawdopodobny?
Pytanie 56
Oksytocyna:
Pytanie 57
Pacjentka lat 30, matka 6-letniego dziecka. Od ostatniego porodu wystąpiły 3 epizody depresyjne, w tym jeden ciężki, z myślami samobójczymi. Od roku pacjentka przyjmuje fluoksetynę, 20 mg/dobę, lek toleruje dobrze, jest w wyrównanym stanie psychicznym. Obecnie jest w 6. tygodniu ciąży. Na podstawie obecnego stanu wiedzy, jakie postępowanie winien zalecić jej psychiatra?
Pytanie 58
Zdolność do różnicowania płci (odróżniania płci żeńskiej od męskiej) pojawia się u dziecka:
Pytanie 59
Masturbacja dziecięca w okresie między 3. a 6. r.ż ma charakter rozwojowy, nie wymagający interwencji, jeżeli:
Pytanie 60
Zachowania seksualne wieku dorastania, takie jak masturbacja grupowa chłopców lub dziewcząt, petting z osobami tej samej płci:
Pytanie 61
Który spośród czynników wydłużających okres potrzebny do zmiany leku przeciwpsychotycznego jest najistotniejszy (najbardziej wydłuża ten okres)?
Pytanie 62
Całkowicie ubezwłasnowolniona może zostać osoba, która:
Pytanie 63
Schizofrenia w wieku rozwojowym:
Pytanie 64
Stężenie terapeutyczne kwasu walproinowego w surowicy w terapii manii wynosi:
Pytanie 65
Wskaż prawdziwe stwierdzenie dotyczące epizodu maniakalnego w wieku rozwojowym:
Pytanie 66
Leczenie zaburzeń afektywnych u dzieci i młodzieży:
Pytanie 67
Zachowania seksualne wieku dorastania, takie jak sexting (przesyłanie zdjęć swoich lub cudzych narządów płciowych przez telefon dla osiągnięcia korzyści finansowej), toothing (anonimowe zwoływanie się przez telefon przez nieznajome osoby dla odbycia kontaktów seksualnych):
Pytanie 68
Mutyzm wybiórczy to zaburzenie najczęściej rozwijające się we wczesnym dzieciństwie, polegające na tym, że dziecko:
1) odzywa się tylko do rodziców/najbliższych opiekunów, bo ma zaburzone rozumienie mowy;
2) odzywa się tylko w pewnych sytuacjach, chociaż ma niezaburzone rozumienie mowy, a rozmawia swobodnie w określonych okolicznościach;
3) odzywa się tylko do rodziców/najbliższych opiekunów, chociaż ma niezaburzone rozumienie mowy;
4) zaburzenie zostało opisane przez Kussmaula w 1877 roku i nazwane autystyczną afazją, termin mutyzm wybiórczy wprowadził w 1943 roku Asperger;
5) zaburzenie zostało opisane przez Kussmaula w 1877 roku i nazwane „aphasia voluntaria”, a termin mutyzm wybiórczy wprowadził w 1934 roku Tramer.
Prawidłowa odpowiedź to:
Pytanie 69
We wczesnym dzieciństwie różne objawy lęku dotyczące bodźców z otoczenia są dość powszechne. O zaburzeniach lękowych w postaci fobii w dzieciństwie możemy myśleć, gdy:
1) dziecko przejawia utrwaloną lub nawracającą obawę, która odpowiada fazie rozwoju (lub była taka na początku), lecz jest nieprawidłowa pod względem nasilenia i towarzyszą jej istotne upośledzenia funkcjonowania społecznego;
2) spełnione są kryteria uogólnionego zaburzenia lękowego w dzieciństwie;
3) spełnione są kryteria lęku przed separacją w dzieciństwie;
4) zaburzenie nie stanowi części szerszego zaburzenia emocji, zachowania lub osobowości, ani całościowego zaburzenia rozwojowego, zaburzenia psychotycznego, czy związanego z używaniem substancji psychoaktywnych;
5) zaburzenie trwa co najmniej 4 miesiące;
6) zaburzenie trwa co najmniej 4 tygodnie.
Prawidłowa odpowiedź to:
Pytanie 70
Zjawisko piętna genomowego mające swoje znaczenie w zespole Pradera-Willego oraz zespole Angelmana polega na:
Pytanie 71
Zaburzenia odżywiania i karmienia w niemowlęctwie i we wczesnym dzieciństwie obejmują różne stany związane z odmową jedzenia, unikaniem jedzenia, ograniczaniem jedzenia, problemami z zachowaniem podczas jedzenia, zaburzeniami przeżuwania i spożywaniem niejadalnych substancji. Szacuje się, że u ok. 25% niemowląt i małych dzieci występują problemy z odżywianiem. Rozpoznanie zaburzeń odżywiania się w niemowlęctwie i dzieciństwie wymaga spełnienia następujących kryteriów:
1) utrwalona niemożność właściwego jedzenia albo uporczywe ruminacje lub zwracanie pokarmów;
2) dziecko nie przybywa na wadze, traci ją lub przejawia inne problemy zdrowotne przez co najmniej jeden miesiąc;
3) występuje utrwalone lub powtarzające się co najmniej 2-krotnie w tygodniu zjadanie substancji niespożywczych (niejadalnych);
4) początek zaburzenia przed 6. rż.;
5) dziecko nie przejawia żadnego innego zaburzenia psychicznego ani zaburzenia zachowania wg klasyfikacji ICD-10 (poza upośledzeniem umysłowym);
6) brak potwierdzenia choroby organicznej wystarczającej do wyjaśnienia niejedzenia;
7) czas trwania zaburzenia wynosi co najmniej 1 miesiąc.
Prawidłowa odpowiedź to:
Pytanie 72
Zaburzenia konwersyjne są dość często rozpoznawane u młodzieży, a także u dzieci przed okresem dojrzewania i obarczone są znaczną współchorobowością. Do zaburzeń współwystępujących należą:
1) zaburzenia depresyjne;
2) zaburzenia obsesyjno-kompulsyjne;
3) lęk przed separacją w dzieciństwie;
4) zaburzenia adaptacyjne;
5) choroba afektywna dwubiegunowa;
5) zaburzenia stresowe pourazowe.
Prawidłowa odpowiedź to:
Pytanie 73
Badania nad etiologią niepełnosprawności intelektualnej wykazały, że za rozwój inteligencji odpowiadają:
Pytanie 74
Pacjentka lat 16 po raz pierwszy hospitalizowana psychiatrycznie. Przyjęta do szpitala po awanturze domowej, po której próbowała popełnić samobójstwo przez zażycie kilkunastu tabletek paracetamolu. Podaje, że kiedyś przeczytała w internecie jaka dawka jest śmiertelna. Z wywiadu wynika, że około pół roku temu miała okres obniżonego nastroju, podczas którego była rozdrażniona i kłótliwa, a następnie wszystko ją przestało cieszyć i nawet myślała o śmierci. Ostatnio, żeby poprawić sobie nastrój i nie mieć kłopotów z zasypianiem piła piwo, a nawet raz zapaliła marihuanę, ale podkreśla, że były to pojedyncze epizody, a po marihuanie czuła się źle. Od około dwóch tygodni była w ciągłym biegu, ciągle gdzieś wychodziła, wszystko wydawało się jej łatwe do zrealizowania, nie odczuwała zmęczenia. Postanowiła też pomagać ludziom, a przede wszystkim zmienić zachowanie swego ojca, aby nie był taki impulsywny i wybuchowy. Uznała, że jest jedyną osobą w rodzinie o takich możliwościach. Podczas hospitalizacji impulsywna, ale nie agresywna, próbująca „naprawiać całe swoje otoczenie”, w zmiennym nastroju od euforycznej radości do smutku z napadami płaczu. Nie ujawniała ostrych objawów wytwórczych. Pacjentka podczas rozmowy wspominała, że od wczesnego dzieciństwa łatwo popadała w rozpacz i smutek, często bywała rozdrażniona i miewała szalone pomysły. Wyżej opisane objawy przemawiają za:
Pytanie 75
Rokowanie w zespole Aspergera związane jest z:
Pytanie 76
Wskaż czynnik, który nie ma znaczenia etiopatogenetycznego w zaburzeniu obsesyjno-kompulsyjnym u dzieci i młodzieży:
Pytanie 77
Pojęcia schizofrenii o wczesnym początku (Early onset schizophrenia- EOS) oraz schizofrenii o bardzo wczesnym początku (Very early onset schizophrenia - VEOS) odnoszą się do wieku zachorowania odpowiednio:
Pytanie 78
W jakim okresie rozwojowym dziecko powinno znać schemat własnego ciała?
Pytanie 79
Opisane przez R. Havighursta zadania rozwojowe wywodzą się z następujących źródeł:
Pytanie 80
Badania poświęcone wpływowi choroby przewlekłej na funkcjonowanie dzieci, młodzieży i ich rodzin w podejściu nierodzajowym opierają się na założeniu, że wpływ choroby przewlekłej jest niezależny od jej rodzaju, a czynniki zagrażające wspólne dla wszystkich chorób przewlekłych są ważniejsze niż specyficzne dla danej choroby. Wyjątek od tej reguły stanowią:
Pytanie 81
W przypadku dziecka krzywdzonego warunkiem koniecznym do prowadzenia terapii jest:
Pytanie 82
Wskaż prawdziwe stwierdzenie dotyczące mózgowego porażenia dziecięcego:
Pytanie 83
Wg rodziców ich 5-letnia córka od 2-3 tygodni zaczęła być zdecydowanie mniej sprawna ruchowo, zaczęła gorzej zbiegać ze schodów, przestała jeździć na rowerze, stłukła dwukrotnie naczynia odnoszone do kuchni. Również stała się kapryśna, reagująca na drobne przeciwności płaczem. W badaniu neurologicznym poza obniżonym napięciem mięśniowym bez innych odchyleń. W trakcie badania obserwowano zmienne co do lokalizacji, dość szybkie, nieregularne ruchy mimowolne. Wywiad rodzinny obciążony zgonem starszego brata w przebiegu sepsy oraz padaczką u matki. Poza tym w wywiadzie dość częste nawracające infekcje górnych dróg oddechowych. W różnicowaniu należy uwzględnić przede wszystkim:
Pytanie 84
W zespole Kleine-Levina występują:
Pytanie 85
4-letni chłopiec z wywiadem rodzinnym obciążonym niepełnosprawnością umysłową u starszej siostry, z obciążonym wywiadem płodowym (6 p. Apgar), z dotychczas prawidłowym rozwojem psychoruchowym zaczął od 2 tygodni być rozdrażniony, nieprawidłowo reagować na polecenia lub w ogóle nie reagować. Następnie zaczął mieć problemy z nawiązywaniem kontaktu słownego, przestał się odzywać, natomiast czasami krzyczał. Badanie słuchu było prawidłowe. Najprawdopodobniej jest to:
Pytanie 86
U dziewczynki 14-letniej stwierdzono w badaniu neurologicznym zespół pozapiramidowy. Które z poniżej wymienionych objawów mogły być obecne u dziewczynki i przemawiać za powyższym rozpoznaniem?
1) ataksja;
2) obniżone napięcie mięśniowe;
3) napięcie mięśniowe typu „koło zębate”;
4) drżenie zamiarowe;
5) atetoza;
6) oczopląs.
Prawidłowa odpowiedź to:
Pytanie 87
Objawy depersonalizacji mogą wystąpić w przebiegu:
Pytanie 88
Zaburzenia kontroli impulsów nie występują w:
Pytanie 89
17-letni pacjent przyjęty do Szpitalnego Oddziału Ratunkowego z raną ciętą okolicy uda prawego, konsultowany przez psychiatrę z powodu objawów pobudzenia psychoruchowego z okresowymi zaburzeniami świadomości. Podczas badania stwierdzono oczopląs oraz brak wrażliwości na ból. Stan pacjenta wskazuje na intoksykację:
Pytanie 90
Objawy w zespole kruchego chromosomu X są wynikiem:
Pytanie 91
Do izby przyjęć szpitala ogólnego został przywieziony 16-letni pacjent, który prezentuje oczopląs, zamazaną mowę, drżenie, osłabienie siły mięśniowej, zaburzenia koordynacji ruchowej, chwiejny chód, spowolnienie psychomotoryczne. Jednocześnie jest agresywny, okresowo euforyczny, ma zaburzony osąd rzeczywistości. Poproszony o konsultację psychiatra jako jedną z możliwych opcji diagnostycznych powinien zasugerować:
Pytanie 92
4-letni chłopiec w komunikowaniu się z otoczeniem używa ok. 600 słów, wykorzystuje także niewerbalne formy porozumiewania się. Chłopiec rozumie proste polecenia, ma jednak trudności z realizowaniem poleceń złożonych lub dłuższych. Ma także trudności z doborem właściwego słowa. Rozwój ruchowy i emocjonalny dziecka przebiegał dotychczas prawidłowo. W badaniu psychologicznym ogólny iloraz inteligencji w teście Wechslera dla dzieci oceniono na 86 pkt. Przytoczone dane mogą być powodem podejrzenia u dziecka:
Pytanie 93
Rodzice 8-letniego pacjenta z rozpoznaniem zaburzenia obsesyjno-kompulsyjnego (ZOK) chcą poznać rokowanie dla swojego dziecka. Informujesz rodziców pacjenta, że:
Pytanie 94
17-letnia pacjentka trafia do izby przyjęć szpitala pediatrycznego z powodu wystąpienia (w tym samym dniu) bardzo szybkich, bezładnych ruchów mimowolnych obejmujących całe ciało. W badaniu neurologicznym stwierdza się osłabienie napięcia mięśniowego i siły mięśniowej oraz zaburzenia koordynacji ruchów celowych. Rodzice pacjentki mówią, że od dwóch dni ich córka „dziwnie się zachowuje” - na przemian otwiera i zamyka drzwi, sprawdza, czy woda w kranie jest zakręcona, głośno liczy płytki chodnikowe, po których stąpa. Pediatra powinien podejrzewać u dziewczynki:
Pytanie 95
Lekiem, który nie ma udowodnionej skuteczności w leczeniu choroby tikowej (zespołu Tourette’a) jest:
Pytanie 96
Który z wymienionych leków zdecydowanie wymaga kontroli jonogramu przed leczeniem i w czasie leczenia?
Pytanie 97
Zaburzeniami, które bardzo często towarzyszą mutyzmowi wybiórczemu są:
Pytanie 98
Które z poniższych stwierdzeń jest fałszywe?
Pytanie 99
Wskazaniem do hospitalizacji osoby z zaburzeniami odżywiania są:
Pytanie 100
Który z wymienionych aktów prawnych określa tryb postępowania leczniczego w przypadku osób nieletnich i niechcących się leczyć, a uzależnionych od substancji psychoaktywnych?
Pytanie 101
Warunkiem koniecznym umieszczenia nieletniego na obserwacji sądowo - psychiatrycznej przez Sąd Rodzinny i Nieletnich jest:
Pytanie 102
Które z poniższych wypowiedzi dotyczących zaburzeń hiperkinetycznych wg ICD-10 są prawdziwe?
1) dla rozpoznania zaburzeń hiperkinetycznych konieczne jest stwierdzenie co najmniej 6 z 9 objawów braku uwagi i 3 z 5 objawów nadmiernej aktywności i 1 z 4 objawów impulsywności;
2) dla rozpoznania zaburzeń hiperkinetycznych konieczne jest stwierdzenie co najmniej 6 z 9 objawów braku uwagi oraz 6 z 9 objawów z kategorii nadmiernej aktywności i impulsywności;
3) objawy muszą utrzymywać się co najmniej 6 miesięcy, prowadząc do nieprzystosowania, lub są niezgodne z poziomem rozwoju dziecka, objawy występują nie później niż w 7. roku życia;
4) wyróżnia się podtyp zaburzeń hiperkinetycznych z przewagą zaburzeń koncentracji uwagi, podtyp z przewagą nadruchliwości i impulsywności oraz podtyp mieszany;
5) pojęcie zaburzeń hiperkinetycznych jest tożsame z pojęciem ADHD (zespół nadpobudliwości psychoruchowej z deficytem uwagi).
Prawidłowa odpowiedź to:
Pytanie 103
Lekiem, który nie ma udowodnionej skuteczności w leczeniu zaburzenia hiperkinetycznego (zespołu nadpobudliwości psychoruchowej, ADHD) u dzieci jest:
Pytanie 104
Osoby dążące do zmiany płci anatomicznej nazywa się:
Pytanie 105
Które z poniższych kryteriów diagnostycznych dla autyzmu dziecięcego wg ICD-10 jest nieprawdziwe?
Pytanie 106
Wskaż fałszywe stwierdzenie w odniesieniu do leczenia przeciwpsychotycznego kobiet w ciąży:
Pytanie 107
Dziewczynka 3-letnia lubi bawić się w dom i lalkami. Uwielbia eksperymentować z kosmetykami mamy, często powtarza, że jak dorośnie to będzie jak mama. Obraża się, gdy ktoś pomyli ją z chłopcem. Powyższy opis jest przykładem typowej dla jej wieku:
Pytanie 108
Chłopiec 14-letni przyprowadzony do psychiatry z powodu trwającej od 15 miesięcy drażliwości i depresji. Chłopiec ma kłopoty z koncentracją, schudł 3 kilogramy. Podaje, że czuje się beznadziejnie, nie widzi widoków na przyszłość, zaprzecza jednak myślom samobójczym, nie zdradza objawów zaburzeń spostrzegania, nie przejawia zaburzeń snu, dobrze funkcjonuje i radzi sobie w szkole, choć nauczyciele zauważyli, że nie jest w stanie tak dobrze się koncentrować, jak w przeszłości. Jaka jest najbardziej prawdopodobna diagnoza u tego pacjenta?
Pytanie 109
Rodzice 8-letniego chłopca o prawidłowym IQ są zaniepokojeni ponieważ bardzo wolno czyta i wydaje się, że nie rozumie tego co przeczytał. Kiedy chłopiec czyta głośno gubi słowa i zmienia sekwencje liter. Rodzice zauważyli także problemy z literowaniem przez dziecko. Z drugiej strony dziecko ma zdolność pisania kreatywnych historyjek. W badaniu dziecko wykazuje deficyty językowe, jakkolwiek komunikuje się prawidłowo. Ma prawidłowy słuch i wzrok, nie ma kłopotów z wykonaniem prób motorycznych. Która z poniższych diagnoz jest najbardziej prawdopodobna?
Pytanie 110
5-letni chłopiec diagnozowany jest w kierunku ADHD. Wykazuje w badaniu następujące objawy: krótkie szpary powiekowe, opadające powieki, szeroko rozstawione oczy, krótki zadarty nos, wygładzona rynienka nosowa, wąska górna warga, krótka szyja, niedorozwój płytki paznokciowej, anormalność stawów i kości. Z wywiadu wiadomo, że miał spowolniony rozwój fizyczny przed i po urodzeniu. Wykazywał opóźnienia wzrostu, niską wagę urodzeniową, małą głowę, niski wzrost i wagę w stosunku do wieku. Matka w czasie ciąży prawdopodobnie nadużywała:
Pytanie 111
U 14-letniej pacjentki z AN, z BMI 13,1 hospitalizowanej w oddziale psychiatrii zaobserwowano następujące zachowania: podczas jedzenia podnosi do ust kubek z napojem i odstawia z powrotem na stół - zazwyczaj czynność tą powtarza 4-krotnie, 4-krotnie lub 16-krotnie przeżuwa każdy kęs wkładanego do ust pokarmu, podczas siadania do stołu 4-krotnie podnosi się z krzesła i następnie ponownie siada, 4-krotnie powtarza pytania dotyczące tego jak został przygotowany posiłek, odmawia spożywania pokarmów w kolorze zielonym i czerwonym, chyba że na talerzu znajduje się produkt w kolorze białym. Przerwanie wykonywanych czynności wywołuje zachowania agresywne - pacjentka bije personel. W przypadku wyżej opisanej pacjentki konieczne jest:
Pytanie 112
U 6-letniej dziewczynki, która rozpoczęła naukę w I klasie SP stwierdzono występowanie od około 5 miesięcy ruchów mimowolnych pod postacią ruchów żuchwą (ruchy żucia), ruchów głową potakiwania i przeczenia, oblizywania ust, dotykania prawą dłonią lewego ucha. Ruchy te nasilają się zwłaszcza wieczorem oraz w sytuacjach, gdy dziewczynka jest zdenerwowana. W postępowaniu należy uwzględnić:
Pytanie 113
10-letni chłopiec prawidłowo reaguje na krótkie polecenia, np. „chodź tutaj”, „weź zeszyt”. W odpowiedzi na zadawane pytania formułuje często nieadekwatne, jedno- lub dwuwyrazowe odpowiedzi, najczęściej powtarza „tak” lub „super”. Ma trudności w wykonywaniu precyzyjnych ruchów. Rodzice podają, że nie ma kolegów, pytany o to czy chciałby ich mieć często płacze. Lubi budować z klocków LEGO, często wymyślane przez siebie skomplikowane i różnorodne konstrukcje. Bardzo lubi zwierzęta, ma swojego królika i kota, o które dba, codziennie je karmi i sprząta po nich. Chętnie pomaga młodszej 2-letniej siostrze podczas ubierania, lubi razem z nią biegać. W przypadku powyżej opisanego chłopca należy rozważyć występowanie:
Pytanie 114
Psychoterapia jest metodą podstawową stosowaną w:
Pytanie 115
Wskaż prawdziwe zdanie odnoszące się do zaburzeń lękowych wieku rozwojowego:
Pytanie 116
Które z wymienionych oddziaływań terapeutycznych nie stanowi leczenia w warunkach eksperymentu leczniczego?
Pytanie 117
Moczenie mimowolne nieorganiczne występuje:
Pytanie 118
Strategiczna terapia rodzin koncentruje się między innymi na:
Pytanie 119
Zdolność do przyporządkowania stanów psychicznych drugiej osobie na podstawie obserwacji jej zachowania, mimiki i komunikatów niewerbalnych określana jest mianem:
Pytanie 120



