Wyszukaj egzamin lub pytanie
Egzamin PES Patomorfologia / wiosna 2013
120 pytań
Pytanie 1
Atypowy rozrost nabłonka przewodów sutka (ADH - atypical ductal hyperplasia) różni się od raka wewnątrzprzewodowego:
1) stopniem atypii komórek proliferującego nabłonka;
2) rozmiarem (największą średnicą) ogniska proliferującego nabłonka oraz rozległością zajęcia światła przewodów sutka (w przypadku ADH światło przewodu sutka wypełnione jest jedynie częściowo);
3) brakiem zmian w kariotypie proliferujących komórek (utrata lub obecność dodatkowych fragmentów wybranych chromosomów);
4) brakiem śródplazmatycznych wodniczek w cytoplazmie komórek nabłonka;
5) ryzykiem wystąpienia nawrotu zmiany po jej wycięciu.
Prawidłowa odpowiedź to:
Pytanie 2
Adenosis - zmiana w obrębie sutka charakteryzująca się zwiększoną liczbą zrazików w obrębie płata:
1) zawsze jest zmianą patologiczną;
2) należy do grupy zmian rozrostowych sutka (proliferative breast disease without atypia);
3) jest zmianą morfologicznie identyczną z rozrostem o typie „sclerosing adenosis”;
4) związana jest ze zwiększonym ryzykiem rozwoju raka piersi od 1,5 do dwóch razy;
5) związana jest z przeszło dwukrotnie większym ryzykiem rozwoju raka piersi.
Prawidłowa odpowiedź to:
Pytanie 3
Które z wymienionych niżej cech morfologicznych guza gruczołu piersiowego są charakterystyczne dla raka sutka u chorych z mutacją genu BRCA1?
1) cechuje się rozprężającym typem wzrostu;
2) cechuje się drobnoogniskowym naciekaniem podścieliska (infiltrative growth pattern);
3) w większości przypadków cechuje się równocześnie amplifikacją genu HER2;
4) w utkaniu histologicznym przyjmuje najczęściej postać raka zbudowanego z nisko zróżnicowanych komórek tworzących gniazda oddzielone naciekiem z komórek limfocytarnych (medullary-like cancer);
5) wykazuje znaczą aktywność mitotyczną.
Prawidłowa odpowiedź to:
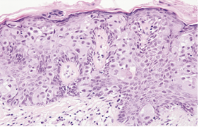
Pytanie 4
W przypadku stwierdzenia w wycinkach z brodawki sutkowej zmian przedstawionych na rycinie konieczne jest wykonanie następujących barwień dodatkowych:
1) mucikarminem wg Mayera, które pozwala odróżnić komórki choroby Pageta od komórek czerniaka (superficial spreading malignant melanoma), komórek choroby Bowena i komórek Tokera;
2) na obecność cytokeratyny CK7 (wypada dodatnio w komórkach choroby Pageta i komórkach Tokera, natomiast ujemnie w komórkach czerniaka i choroby Bowena);
3) na obecność białka S100 (wypada dodatnio w komórkach choroby Pageta, w komórkach czerniaka i choroby Bowena, natomiast ujemnie w komórkach Tokera);
4) na obecność antygenu HER2 (wypada dodatnio w komórkach choroby Pageta, natomiast ujemnie w komórkach w komórkach czerniaka, choroby Bowena i w komórkach Tokera);
5) na obecność antygenu rakowo-płodowego (CEA) (wypada dodatnio w ok. 50% przypadków choroby Pageta, natomiast ujemnie w komórkach w komórkach czerniaka, w chorobie Bowena i w komórkach Tokera).
Prawidłowa odpowiedź to:

Pytanie 5
Zgodnie z zaleceniami z St. Gallen z roku 2011 do grupy raków sutka o typie luminalnym B zaliczymy guz, który w badaniach immunohistochemicznych lub molekularnych techniką FISH cechuje się:
1) ekspresją receptorów steroidowych (ER i PgR), brakiem odczynu na obecność antygenu HER2 i indeksem proliferacyjnym MiB1 = 10%;
2) ekspresją receptorów steroidowych (ER i PgR), reakcją na obecność antygenu HER2 ocenioną na 2+, wskaźnikiem amplifikacji genu HER2 w badaniu FISH równym R=1,9 i indeksem proliferacyjnym MiB1= 10%;
3) ekspresją receptorów steroidowych (ER i PgR), reakcją na obecność antygenu HER2 ocenioną na 2+, wskaźnikiem amplifikacji genu HER2 w badaniu FISH równym R=1,9 i indeksem proliferacyjnym MiB1 = 20%;
4) ekspresją receptorów steroidowych (ER i PgR), reakcją na obecność antygenu HER2 ocenioną na 2+, wskaźnikiem amplifikacji genu HER2 w badaniu FISH równym R= 2,5 i indeksem proliferacyjnym MiB1 = 20%;
5) ekspresją receptora estrogenowego, brakiem ekspresji receptora progesteronowego, reakcją na obecność antygenu HER2 ocenioną na 2+, wskaźnikiem amplifikacji genu HER2 w badaniu FISH równym R= 2,5 i indeksem proliferacyjnym MiB1 = 20%.
Prawidłowa odpowiedź to:
Pytanie 6
Morfologiczne podobieństwo raka zrazikowego naciekającego sutka (invasive lobular carcinoma) i raka sygnetowatokomórkowego żołądka wynika z tego, że komórki obu wymienionych nowotworów:
1) wykazują w cytoplazmie obecność śluzu barwiącego się mucikarminem Mayera;
2) cechują się utratą kadheryny E na skutek delecji, mutacji lub wyciszenia promotora genu CDH1;
3) wykazują ekspresję receptorów steroidowych (ER/PgR);
4) wykazują ekspresję pancytokeratyn (AE1/AE3);
5) wykazują ekspresję antygenu GCDFP-15.
Prawidłowa odpowiedź to:
Pytanie 7
Badania immunohistochemiczne z użyciem przeciwciał skierowanych przeciwko antygenowi P63 lub aktynie gładkomięśniowej (SMA - ang. smooth muscle actin) nie są przydatne w różnicowaniu nacieku raka cewkowego (tubular carcinoma) oraz rozrostów nabłonka gruczołu piersiowego o typie:
Pytanie 8
Do raków sutka o szczególnie korzystnym rokowaniu należą:
1) rak cewkowy (tubular carcinoma);
2) rak sitowaty naciekający (cribriform carcinoma);
3) rak zrazikowy naciekający (invasive lobular carcinoma);
4) rak metaplastyczny (metaplastic carcinoma, NOS);
5) rak z komórek onkocytarnych (oncocytic carcinoma).
Prawidłowa odpowiedź to:
Pytanie 9
Indeks Reida oznacza:
Pytanie 10
Najmniej prawdopodobnym miejscem rozwoju chrzęstniakomięsaka są:
Pytanie 11
W przypadku pęcherzykowej odmiany mięsaka mięśniowego prążkowano-komórkowego (alveolar rhabdomyosarcoma) badanie cytogenetyczne komórek nowotworu na obecność jednej z dwóch rodzajów translokacji pomiędzy chromosomami 2 i 13 lub badanie odpowiadających im genów fuzyjnych PAX3/FOXO1 lub PAX7/FOXO1:
Pytanie 12
U 20-letniego mężczyzny, u którego w dzieciństwie stwierdzano okresowe napady bólów kończyn, naczyniowe zmiany skórne i zaburzenia pocenia stwierdzono narastającą niewydolność nerek, a przy użyciu mikroskopu elektronowego wykryto w biopunktacie nerki liczne koncentryczne złogi lizosomalne w komórkach śródbłonka i komórkach nabłonka kłębuszków i cewek. Obraz kliniczny
i histologiczny sugeruje chorobę:
Pytanie 13
W diagnostyce różnicowej guza olbrzymiokomórkowego kości (giant cell tumor) oraz torbieli tętniakowatej (aneurysmal bone cyst) z obecnością komórek olbrzymich i wielojądrzastych pomocne mogą być następujące cechy kliniczno-morfologiczne omawianych guzów:
1) wiek chorej/chorego - guz olbrzymiokomórkowy dotyczy chorych w pierwszych dwóch dekadach życia, natomiast torbiel tętniakowata obserwowana jest u chorych w wieku od 20-40 lat;
2) wiek chorej/chorego - torbiel tętniakowata dotyczy chorych w pierwszych dwóch dekadach życia, natomiast guz olbrzymiokomórkowy stwierdza się u chorych w wieku od 20-40 lat;
3) umiejscowienie guza - torbiel tętniakowata jest najczęściej zlokalizowana w przynasadzie kości długich, natomiast guz olbrzymiokomórkowy głównie w obrębie nasady;
4) umiejscowienie guza - guz olbrzymiokomórkowy jest najczęściej zlokalizowany w przynasadzie kości długich, natomiast torbiel tętniakowata głównie w obrębie nasady;
5) komórki jednojądrowe guza olbrzymiokomórkowego cechują się ekspresją liganda receptora RANK.
Prawidłowa odpowiedź to:
Pytanie 14
U 28-letniej kobiety chorującej na toczeń rumieniowaty trzewny stwierdzono wysokie miano przeciwciał przeciwko kardiolipinie i zwiększoną skłonność do zakrzepów. Najprawdopodobniej przyczyną opisanych objawów jest zespół:
Pytanie 15
Wskaż najczęstsze zmiany narządowe stwierdzane u chorych na toczeń rumieniowaty układowy:
1) zapalenie stawów; 4) zapalenie opłucnej;
2) kłębuszkowe zapalenie nerek; 5) zapalenie skóry.
3) zapalenie wątroby;
Prawidłowa odpowiedź to:
Pytanie 16
Do prokarcynogenów nie należą:
Pytanie 17
Epidemiczna forma mięsaka Kaposiego związana z AIDS prawdopodobnie jest zależna od wirusa:
Pytanie 18
Niedobór witaminy A powoduje:
1) owrzodzenie rogówki; 4) upośledzenie gojenia się ran;
2) niedokrwistość złośliwą; 5) nadmierne rogowacenie naskórka i mieszków włosowych.
3) ślepotę zmierzchową;
Prawidłowa odpowiedź to:
Pytanie 19
U 5-letniej dziewczynki klinicznie stwierdzono nawracające zapalenia płuc, niewydolność zewnątrzwydzielniczą trzustki i niedożywienie. Obraz kliniczny sugeruje:
Pytanie 20
Przeciwzakrzepowe działanie komórek śródbłonka ujawnia się za pośrednictwem produkcji:
1) aktywatora plazminogenu; 4) prostacykliny;
2) trombomoduliny; 5) czynnika von Willebranda.
3) inhibitora aktywatora plazminogenu;
Prawidłowa odpowiedź to:
Pytanie 21
Najczęstszą wadą serca u noworodków jest:
Pytanie 22
Stłuszczenie drobnokropelkowe hepatocytów stwierdza się:
Pytanie 23
Wskaż chorobę skóry o etiologii bakteryjnej:
Pytanie 24
U 47-letniego mężczyzny sekcyjnie stwierdzono jasnoczerwone zabarwienie mózgu, przekrwienie i obrzęk mózgu. Mikroskopowo wykryto symetryczną martwicę rozpływną w gałce bladej i istocie czarnej. Opisane zmiany morfologiczne są typowe dla zatrucia:
Pytanie 25
Wszystkie niżej wymienione substancje przyśpieszają zaprogramowaną śmierć komórki, z wyjątkiem:
Pytanie 26
Do zespołów, wynikających z dziedziczenia mutacji genów kontrolujących naprawę uszkodzonego DNA, zaliczamy następujące z wyjątkiem:
Pytanie 27
Do powstania zespołu „serca płucnego” predysponują następujące choroby (stany), z wyjątkiem:
Pytanie 28
Dla kardiomiopatii przerostowej charakterystyczne są następujące cechy morfologiczne:
1) symetryczny przerost przegrody międzykomorowej jest często związany ze znacznego stopnia obstrukcją i zmniejszeniem przepływu podczas rozkurczu komory;
2) powiększenie serca jest spowodowane kombinacją poszerzenia i przerostu wszystkich jam serca;
3) w większości przypadków przegroda międzykomorowa jest grubsza niż niezmieniona boczna ściana lewej komory;
4) w obrazie mikroskopowym stwierdza się przerost miocytów, włóknienie śródmiąższowe, faliste włókna mięśniowe i w niektórych przypadkach skąpy naciek zapalny;
5) w obrazie mikroskopowym stwierdza się przypadkowy układ przerośniętych, nieprawidłowo rozgałęzionych miocytów otoczonych zwiększoną ilością tkanki łącznej.
Prawidłowa odpowiedź to:
Pytanie 29
Które z opisów typu choroby trzewnej (enteropatii glutenowej) wg obecnie obowiązującej histologicznej klasyfikacji Marsha są prawdziwe?
1) typ 1: jest to typ naciekowy, charakteryzujący się prawidłową architekturą kosmków, prawidłową wysokością krypt i zwiększoną liczbą limfocytów śródnabłonkowych, przekraczającą 25 limfocytów na 100 enterocytów;
2) typ 2: jest to typ hiperplastyczny, charakteryzujący się prawidłową architekturą kosmków, hiperplazją (wzrostem wysokości) krypt oraz zwiększoną liczbą limfocytów śródnabłonkowych przekraczającą 25 limfocytów na 100 enterocytów;
3) typ 3a: charakteryzuje się łagodnym skróceniem kosmków, prawidłową wysokością krypt i liczbą limfocytów śródnabłonkowych poniżej 25 limfocytów na 100 enterocytów;
4) typ 3b: charakteryzuje się wyraźnym skróceniem kosmków, wzrostem wysokości krypt i wzrostem liczby limfocytów śródnabłonkowych do 25 lub więcej na 100 enterocytów;
5) typ 3c: charakteryzuje się płaską błoną śluzową z wysokimi kryptami i liczbą limfocytów śródnabłonkowych poniżej 25 limfocytów na 100 enterocytów.
Prawidłowa odpowiedź to:
Pytanie 30
Które z poniżej wymienionych cech obrazu makroskopowego są charakterystyczne dla wrzodziejącego zapalenia jelita grubego?
1) zajęte jest zawsze jelito grube (jelito kręte może być zajęte tylko przez ciągłość);
2) ściana jelita jest z reguły gruba a światło jelita znacznie zwężone;
3) ściana jelita jest z reguły cienka a światło jelita nieznacznie poszerzone;
4) obecne są liczne płytkie owrzodzenia w błonie śluzowej jelita;
5) obecne są głębokie szczelinowate owrzodzenia mogące tworzyć przetoki.
Prawidłowa odpowiedź to:
Pytanie 31
Połącz wymienione poniżej nowotwory z charakterystycznymi dla nich objawami paraneoplastycznymi:
1) carcinoma pulmonis; a) zespół Meigsa;
2) carcinoma prostatae; b) podatność na wstrząs;
3) carcinoma clarocellulare (conventionale) renis; c) zwiększona liczba erytrocytów;
4) phaeochromocytoma; d) afibrynogenemia;
5) fibroma ovarii; e) zespół nerczycowy.
Prawidłowa odpowiedź to:
Pytanie 32
Zespół objawów obejmujący nagłe wystąpienie wysypki, bólów brzucha, bólów stawów, krwiomoczu, podwyższonego poziomu IgA w surowicy krwi jest charakterystyczny dla:
Pytanie 33
Połącz wymienione poniżej nowotwory ślinianek z ich charakterystycznymi cechami:
1) adenoma pleomorphum; a) najrzadziej występujący guz ślinianek;
2) carcinoma adenoides cysticum; b) najczęstszy złośliwy guz ślinianek u dzieci;
3) guz Warthina (adenolymphoma), c) łagodny, czasami wieloogniskowy lub obustronny nowotwór, często torbielowaty;
4) carcinoma mucoepidermale; d) nowotwór charakterystyczny dla małych gruczołów ślinowych,
5) carcinoma acinosum; e) najczęstszy nowotwór ślinianek, zwłaszcza przyusznicy.
Prawidłowa odpowiedź to:
Pytanie 34
Ziarniniak Wegenera charakteryzuje się następującymi cechami, z wyjątkiem:
Pytanie 35
W badaniu histopatologicznym powiększonego węzła chłonnego karku stwierdzono: nasilony odczyn grudkowy, drobne ziarniniaki nabłonkowatokomórkowe nie ulegające martwicy, które znajdują się na obrzeżach ośrodków rozmnażania i w ich obrębie oraz odczyn zatokowy z obecnością limfocytów monocytoidalnych. Powyższy obraz histologiczny jest charakterystyczny dla:
Pytanie 36
W których z niżej wymienionych chorób zapalnych występuje ropno-ziarniniakowe zapalenie węzłów chłonnych?
1) mononukleozie zakaźnej; 4) ziarniniaku wenerycznym;
2) chorobie kociego pazura; 5) zapaleniu węzłów krezkowych (Yersiniosis).
3) toksoplazmozie;
Prawidłowa odpowiedź to:
Pytanie 37
Wskazaniem do wykonania trepanobiopsji nie jest:
Pytanie 38
Która z poniżej wymienionych cech nie jest typowa dla klasycznego chłoniaka Hodgkina (CHL)?
Pytanie 39
Komórki Reed-Sternberga w klasycznym chłoniaku Hodgkina (CHL) wykazują ekspresję:
1) CD20; 2) CD30; 3) CD15; 4) LCA; 5) Oct-2.
Prawidłowa odpowiedź to:
Pytanie 40
Który z niżej wymienionych markerów ma znaczenie diagnostyczne w diagnostyce różnicowej przewlekłej białaczki limfocytarnej z komórek B/chłoniaka z drobnych limfocytów B (CLL/SLL) i chłoniaka z komórek płaszcza (MCL)?
Pytanie 41
W diagnostyce różnicowej pomiędzy chłoniakiem grudkowym (FL) a odczynem grudkowym węzła chłonnego znaczenie ma ocena ekspresji:
Pytanie 42
Komórki łódkowate:
Pytanie 43
Wskaż cechy charakterystyczne dla chłoniaków/białaczek z komórek prekursorowych (ALL/LBL):
1) wywodzą się z komórek, które już zrearanżowały geny kodujące receptory antygenowe: IgH, IgL i TCR;
2) wykazują ekspresję transferazy dezoksynukleotydylowej (TdT);
3) występują równie często u dzieci jak i u dorosłych;
4) rokowanie jest bardzo dobre u dzieci <1 roku życia;
5) u osób wyleczonych ryzyko zachorowania na nowotwory wtórne jest 10-krotnie wyższe niż ryzyko populacyjne.
Prawidłowa odpowiedź to:
Pytanie 44
Chłoniak Burkitta:
1) wywodzi się z obwodowych limfocytów B ośrodków rozmnażania;
2) wykazuje izolowaną translokację genu C-MYC;
3) w postaci sporadycznej występuje prawie wyłącznie u dzieci;
4) charakteryzuje się niemal 100% frakcją proliferacyjną;
5) mimo intensywnego leczenia 5-letnie przeżycie u dzieci nie przekracza 10%.
Prawidłowa odpowiedź to:
Pytanie 45
U 60-letniego pacjenta przypadkowo stwierdzono obecność białka monoklonalnego (M) w surowicy krwi (2,5 g/dl) i plazmacytozę w szpiku ok. 5%. Przeprowadzone badanie przedmiotowe, inne badania laboratoryjne, ani obrazowe nie wykazały zmian. Obraz ten odpowiada rozpoznaniu:
Pytanie 46
Które z poniższych stwierdzeń dotyczących wewnątrznabłonkowej neoplazji/zmian śródpłaskonabłonkowych (CIN/SIL) są prawdziwe?
1) zmiany typu CIN/SIL najczęściej występują w trzeciej i czwartej dekadzie życia;
2) u ok. 60% kobiet CIN I ulega samoistnej regresji;
3) CIN/SIL najczęściej pojawia się w strefie transformacji;
4) zmiany typu CIN III mogą utrzymywać się przez wiele lat w formie stacjonarnej lub ulegać progresji do raka inwazyjnego, nie ulegają natomiast samoistnej regresji;
5) w CIN I występuje zakażenie jedynie typami HPV małego ryzyka.
Prawidłowa odpowiedź to:
Pytanie 47
Nie jest prawdą, że:
Pytanie 48
Do cech zespołu znamion dysplastycznych nie zalicza się:
Pytanie 49
Do mikroskopowych cech znamienia dysplastycznego nie zalicza się:
Pytanie 50
Cecha mikroskopowa guzów podścieliskowych przewodu pokarmowego (GIST) o istotnym znaczeniu rokowniczym i predykcyjnym, będąca podstawą do oceny ryzyka agresywności tego nowotworu to:
Pytanie 51
Nie jest prawdą, że rak jelita grubego z fenotypem mutatorowym (niestabilnością mikrosatelitarną) charakteryzuje się:
Pytanie 52
Nie jest prawdą, że:
Pytanie 53
Hepatoblastoma u 5-letniego dziecka może być pierwszym kryterium rozpoznania zespołu:
Pytanie 54
Ostre rozdęcie okrężnicy (megacolon toxicum) jest powikłaniem:
Pytanie 55
Wrzodziejące zapalenie jelita grubego (colitis ulcerosa) charakteryzuje się następującym obrazem morfologicznym:
Pytanie 56
Makroskopowy 4 typ zaawansowanego raka żołądka (linitis plastica) wiąże się z:
Pytanie 57
Prawdą jest, że:
Pytanie 58
Charakterystyczne dla metaplazji jelitowej w przełyku Barretta komórki kubkowe cechuje:
Pytanie 59
Eozynofilowe zapalenie błony śluzowej przełyku może współistnieć z:
Pytanie 60
Cecha mikroskopowa wykluczająca rozpoznanie mięśniaka z komórek dziwacznych (leiomyoma bizzare) to:
Pytanie 61
Wskaż fałszywą cechę kliniczno-morfologicznych typu I raka endometrium:
Pytanie 62
Hiperplazja endometrium może być następstwem:
Pytanie 63
Rak płaskonabłonkowy mikroinwazyjny szyjki macicy, niewidoczny makroskopowo, określany stopniem Ia1 wg pTNM, odpowiada:
Pytanie 64
Neoplazja płaskonabłonkowego dużego stopnia (HSIL) w ciągu 2 lat obserwacji ulega:
Pytanie 65
Komórki gwiaździste wątroby:
1) zwane są inaczej komórkami Kupffera;
2) zwane są inaczej komórkami owalnymi;
3) w zdrowej wątrobie są położone w przestrzeniach Dissego i magazynują tłuszcze;
4) w trakcie przebudowy marskiej ulegają aktywacji do komórek miofibroblastycznych;
5) w procesie przebudowy marskiej są jednymi z najważniejszych komórek odpowiadających za produkcję kolagenu.
Prawidłowa odpowiedź to:
Pytanie 66
Sporadyczny rak rdzeniasty tarczycy:
Pytanie 67
Które z wymienionych stwierdzeń dotyczących guzów kory nadnercza są fałszywe?
1) zespół Li-Fraumeni i zespół Beckwith-Wiedemanna predysponują do wystąpienia raków kory nadnerczy;
2) czynne i nieczynne guzy kory nadnercza mogą być różnicowane na podstawie cech morfologicznych;
3) zanik przylegającej kory jest cechą wszystkich guzów kory nadnercza bez względu na ich czynność hormonalną;
4) przerzuty do nadnercza są znacznie rzadsze niż pierwotny rak kory nadnercza;
5) cechy wirylizacji częściej występują u chorych z rakiem niż z gruczolakiem kory nadnercza.
Prawidłowa odpowiedź to:
Pytanie 68
Które z poniższych zdań odnoszących się do obrazu morfologicznego choroby Wilsona jest fałszywe?
Pytanie 69
Czynnikami ryzyka związanymi z występowaniem raka z nabłonka dróg żółciowych (cholangiocarcinoma) są:
1) PSC; 4) zakażenie przywrami z rodzaju Opisthorchis sinensis;
2) PBC; 5) choroba Caroliego.
3) narażenie na aflatoksyny;
Prawidłowa odpowiedź to:
Pytanie 70
Które ze stwierdzeń dotyczących niedoboru alfa1-antytrypsyny jest prawdziwe?
Pytanie 71
Które z poniższych stwierdzeń dotyczących raka brodawkowatego tarczycy (rbt) jest fałszywe?
Pytanie 72
Rak włóknisto-blaszkowy:
Pytanie 73
W raku trzustki najczęściej stwierdzane nieprawidłowości (mutacje) dotyczą genu:
Pytanie 74
Które z stwierdzeń dotyczących ostrego zapalenia trzustki (ozt) jest fałszywe?
Pytanie 75
Najczęstszą przyczyną pierwotnej przewlekłej niewydolności kory nadnercza (choroba Addisona) w krajach rozwiniętych jest:
Pytanie 76
Oftalmopatia w przebiegu choroby Gravesa jest spowodowana przez:
Pytanie 77
Do chorób z zanikaniem przewodzików żółciowych (vanishing bile duct diseases) u osób dorosłych należą:
1) PBC; 4) przewlekłe odrzucanie wątroby;
2) PSC; 5) wzw typu C.
3) ostre odrzucanie wątroby;
Prawidłowa odpowiedź to:
Pytanie 78
W zespole WAGR stwierdza się wrodzony brak:
Pytanie 79
W których z niżej wymienionych glomerulopatii nie stwierdza się złogów kompleksów immunologicznych w kłębuszkach nerkowych?
1) ostre rozlane rozplemowe kłębuszkowe zapalenie nerek;
2) nefropatia zmian minimalnych (minimal change disease);
3) błoniasto-rozplemowe kłębuszkowe zapalenie nerek - typu I;
4) zespół Alporta;
5) nefropatia błoniasta.
Prawidłowa odpowiedź to:
Pytanie 80
Rozpoznanie odrzucania humoralnego przeszczepu nerki opiera się na stwierdzeniu złogów C4d:
Pytanie 81
Linijne złogi IgG wzdłuż pętli naczyniowych kłębuszków nerkowych występują w:
Pytanie 82
Wskaż stwierdzenia prawdziwe dla wielotorbielowatości nerek typu dorosłych:
1) występuje u chorych przewlekle dializowanych;
2) współistnieje z tętniakami tętnic podstawy mózgu;
3) dziedziczy się autosomalnie recesywnie;
4) w obrazie makroskopowym obie nerki są znacznie powiększone z bardzo licznymi torbielami w korze i rdzeniu nerki;
5) klinicznie manifestuje się nadciśnieniem tętniczym.
Prawidłowa odpowiedź to:
Pytanie 83
Gwałtownie postępujące kłębuszkowe zapalenie nerek - typu III występuje w przebiegu:
1) cukrzycy; 4) plamicy Schönleina-Henocha;
2) ziarniniaka Wegnera; 5) zespołu Goodpasture’a.
3) mikroskopowego zapalenia naczyń;
Prawidłowa odpowiedź to:
Pytanie 84
W biopsji gruboigłowej wątroby u chorego po allogenicznym przeszczepie szpiku kostnego stwierdzono obliterację światła żył centralnych przez proliferującą tkankę łączną. Najbardziej prawdopodobnym rozpoznaniem jest:
Pytanie 85
Ogniskowy rozrost guzkowy wątroby:
1) jest zmianą dziedziczną;
2) występuje przed 2 rokiem życia;
3) jest zwykle bezobjawowy;
4) w obrazie histologicznym charakteryzuje się obecnością centralnej blizny z grubościennymi naczyniami krwionośnymi;
5) zwiększa ryzyko wystąpienia pierwotnego raka wątroby.
Prawidłowa odpowiedź to:
Pytanie 86
Wskaż stwierdzenia prawdziwe dla pierwotnego stwardniającego zapalenia przewodów żółciowych (PSC):
1) PSC występuje częściej u kobiet niż u mężczyzn;
2) PSC charakteryzuje się zapaleniem ściany przewodów wewnątrz- i zewnątrzwątrobowych z włóknieniem i segmentalnym zwężeniem światła;
3) u części pacjentów z PSC w krwi obwodowej stwierdza się ANCA;
4) PSC zwiększa ryzyko wystąpienia cholangiocarcinoma;
5) PSC u części pacjentów współistnieje z colitis ulcerosa.
Prawidłowa odpowiedź to:
Pytanie 87
Do wad serca z przeciekiem prawo-lewym (związanych ze wczesną sinicą) należą:
1) tetralogia Fallota; 4) całkowite nieprawidłowe przyłączenie żył płucnych;
2) przełożenie naczyń; 5) przetrwały przewód tętniczy.
3) wspólny pień tętniczy;
Prawidłowa odpowiedź to:
Pytanie 88
Guz mieszany skóry najczęściej lokalizuje się:
Pytanie 89
Zanik komórek mięśnia sercowego, któremu towarzyszy rozplem tkanki łącznej i tłuszczowej stwierdza się w przebiegu:
Pytanie 90
Najważniejsze jednostki kliniczne odzwierciedlające reakcję nadwrażliwości typu III to:
1) toczeń rumieniowaty układowy;
2) popaciorkowcowe kłębuszkowe zapalenie nerek;
3) guzkowe zapalenie tętnic;
4) anemia hemolityczna;
5) przewlekłe odrzucanie przeszczepu.
Prawidłowa odpowiedź to:
Pytanie 91
Najczęściej spotykaną zmianą w grasicy w przebiegu nużliwości mięśni jest:
Pytanie 92
U narkomanów zażywających dożylnie heroinę obserwuje się:
1) encefalopatię Wernickego;
2) zapalenie wsierdzia zastawek prawej części serca;
3) ogniskowe stwardnienie kłębuszków nerkowych;
4) zwiększoną podatność na zakażenia;
5) zespół Mallory’ego-Weissa.
Prawidłowa odpowiedź to:
Pytanie 93
Dysfunkcja śródbłonka wiodąca do miażdżycy może być spowodowana:
1) nadmiarem LDL w surowicy;
2) zwiększeniem stężenia homocysteiny;
3) infekcją Chlamydia pneumoniae;
4) nadmiarem estrogenów u kobiet w okresie menopauzalnym;
5) apoptozą komórek mięśniowych błony środkowej tętnicy.
Prawidłowa odpowiedź to:
Pytanie 94
U 67-letniego mężczyzny wykryto znaczne powiększenie śledziony, monocytopenię i neutropenię. Wykonano trepanobiopsję szpiku, która ujawniła liczne komórki nowotworowe o fenotypie: CD20+, CD11c+, CD103+, z obkurczoną cytoplazmą i cienkimi wypustkami cytoplazmatycznymi. Opisane zmiany kliniczne i morfologiczne są typowe dla:
Pytanie 95
Wskaż określenia charakteryzujące zmiany morfologiczne w jelicie w chorobie Leśniowskiego-Crohna:
1) proces zapalny uszkadzający błonę śluzową jest wyraźnie odgraniczony i obejmuje całą grubość ściany;
2) w 40-60% przypadków widoczne są ziarniniaki bez cech martwicy serowatej;
3) stwierdza się szczeliny, które mogą formować przetoki;
4) typowe jest owrzodzenia kępek Peyera;
5) widoczne są liczne PAS-pozytywne makrofagi w błonie śluzowej jelita.
Prawidłowa odpowiedź to:
Pytanie 96
Najważniejszym powikłaniem ciąży bliźniaczej jest:
Pytanie 97
Wskaż chorobę która prawdopodobnie ma etiologiczny związek z zapaleniem pozagałkowym nerwu wzrokowego:
Pytanie 98
Wskaż czynniki ryzyka raka trzonu macicy:
1) otyłość; 4) wczesna menopauza;
2) cukrzyca; 5) infekcja HPV typu 6 i 10.
3) nadciśnienie;
Prawidłowa odpowiedź to:
Pytanie 99
W PIN high grade nie spotyka się:
Pytanie 100
Komórki podstawne w gruczole krokowym mogą zostać uwidocznione za pomocą kilku odczynów immunohistochemicznych, m.in. w kierunku cytokeratyny o wysokiej masie cząsteczkowej (CK-HWM 34βE12), cytokeratyn 5/6 oraz p63. Ich zastosowanie może być nieco odmienne ponieważ:
Pytanie 101
Brodawczak z nabłonka dróg moczowych:
Pytanie 102
Obecność trzech populacji komórek nowotworowych znacznie różniących się rozmiarem jest charakterystyczna dla:
Pytanie 103
Nowotworzenie śródkanalikowe w jądrze (intratubular germ cell neoplasia - unclassified):
Pytanie 104
Komórki adenomatoid tumor wykazują fenotyp:
Pytanie 105
Ponad 95% zatorów płucnych powstaje z zakrzepów w:
Pytanie 106
Dla chorób takich jak: toczeń układowy, reumatoidalne zapalenie stawów, skleroderma i zapalenie skórno-mięśniowe, wspólnym powikłaniem płuc może być:
Pytanie 107
13-letnia dziewczynka uskarżała się na bolesność w okolicy pachy. Kilka tygodni wcześniej dziewczynka zauważyła na przedramieniu wyniosłą zmianę. Podobne objawy miała jej koleżanka. Obie jako wolontariuszki od kilku miesięcy pracują w schronisku dla zwierząt. W badaniu lekarskim stwierdzono powiększony węzeł chłonny pachy, który pobrano do badania. W węźle chłonnym w badaniu mikroskopowym stwierdzono ziarniniaki z komórek nabłonkowatych otaczających drobne ogniska martwicze z granulocytami obojętnochłonnymi. Opisany przebieg kliniczny oraz zmiany morfologiczne najbardziej odpowiadają zakażeniu:
Pytanie 108
Rezydent patologii analizując kartę zgonu przed przystąpieniem do sekcji, stwierdził, iż według klinicystów zgon pacjenta nastąpił w wyniku wstrząsu na podłożu reakcji nadwrażliwości I typu. Do potencjalnych następstw reakcji nadwrażliwości typu I należą wszystkie niżej wymienione sytuacje, z wyjątkiem:
Pytanie 109
U podłoża reakcji przeszczep przeciwko gospodarzowi (GvHD, graft versus host disease) leży:
Pytanie 110
Martwicze zapalenie powięzi (fascitis necroticans) jest wywołane przez:
Pytanie 111
Przed wystąpieniem objawów klinicznych i zmian patomorfologicznych trądu prątki można wykryć w:
Pytanie 112
Symetryczna martwica w gałce bladej i istocie czarnej mózgu jest znamienną cechą patologiczną:
Pytanie 113
Potrójnie negatywny rak piersi molekularnie najbardziej zbliżony jest do typu:
Pytanie 114
Objaw Trousseau jest zmianą towarzyszącą:
Pytanie 115
Ropne zapalenie sutka dotyczy najczęściej:
Pytanie 116
Rozpoznanie celiakii stawia się z reguły po badaniu histopatologicznym wycinków z błony śluzowej:
Pytanie 117
Ciałka Mallory’ego zbudowane są głównie z:
Pytanie 118
Gnilec, obecnie rzadka choroba, może pojawić się u:
Pytanie 119
W komórkach nowotworowych guza Ewinga stwierdza się:
Pytanie 120



