Wyszukaj egzamin lub pytanie
Egzamin PES Patomorfologia / wiosna 2012
120 pytań
Pytanie 1
Które z poniższych stwierdzeń odnoszących się do przerzutów nowotworowych do kości jest prawdziwe?
Pytanie 2
U 13-letniego chłopca, bez objawów, znaleziono w prześwietleniu rtg klatki piersiowej pojedynczą zmianę w żebrze odpowiadającą: dysplasia fibrosa. Które z poniższych zdań dotyczących tej choroby jest poprawne?
Pytanie 3
Komórki olbrzymie wielojądrzaste typu osteoklasta występują najczęściej w:
Pytanie 4
Nieprawdą jest, że:
Pytanie 5
Wskaż prawdziwe stwierdzenie:
Pytanie 6
Typ II nadwrażliwości nie występuje w:
Pytanie 7
Wskaż fałszywe stwierdzenie na temat zapalenia wsierdzia Libmana-Sachsa:
Pytanie 8
Do zakażeń wywołanych bakteriami wewnątrzkomórkowymi zaliczamy:
Pytanie 9
Które z poniżej podanych stwierdzeń dotyczących promienicy jest poprawne?
Pytanie 10
Zaburzenia rozwojowe dotyczące kieszonek skrzelowych mogą być przyczyną:
Pytanie 11
W chorobie Hashimoto w odróżnieniu od choroby Riedla:
Pytanie 12
Wspólną cechą dla zespołów MEN 2A, MEN 2B, von Hippel-Lindaua i zespołu von Recklinghausena jest występowanie:
Pytanie 13
Wtórna nadczynność przytarczyc:
Pytanie 14
Zapalenie tarczycy typu Riedla:
Pytanie 15
Autoimmunizacja nie odgrywa istotnej roli w powstawaniu:
Pytanie 16
Centralna otyłość, hirsutyzm, osteoporoza, chwiejność emocjonalna, nietolerancja glukozy są objawami występującymi w:
Pytanie 17
Uszkodzenie podocytów jest zmianą charakterystyczną dla:
Pytanie 18
Wtórna nefropatia błoniasta najczęściej rozwija się u chorych na:
1) nowotwory złośliwe; 4) AIDS;
2) układowe zapalenia naczyń; 5) chorobę trzewną.
3) wirusowe zapalenie wątroby typu B;
Prawidłowa odpowiedź to:
Pytanie 19
Mutacje i aktywacja protoonkogenu MET pełnią rolę w karcinogenezie:
Pytanie 20
Skryning cytologiczny rozmazów z szyjki macicy powinien być wykonywany:
1) przy użyciu obiektywu x10;
2) przy użyciu obiektywu x40;
3) w średnim czasie 6 min./rozmaz;
4) przy zastosowaniu barwienia preparatów metodą Papanicolaou lub metodą Giemzy, wg zwyczaju w laboratorium;
5) przez cytomorfologa medycznego, który rocznie ocenia przynajmniej 7000 rozmazów.
Prawidłowa odpowiedź to:
Pytanie 21
Które ze stwierdzeń odnoszących się do żółtaczek okresu noworodkowego i niemowlęcego są prawdziwe?
1) w zespole Crigler-Najarra typu I i II biopsja wątroby nie wykazuje zmian morfologicznych w mikroskopie świetlnym i elektronowym;
2) najczęstszą wrodzoną hiperbilirubinemią jest zespół Gilberta;
3) żółtaczka typu noworodkowego (do ok. 2 tyg. życia) jest związana z rozpadem erytrocytów;
4) przedłużająca się żółtaczka (powyżej 2 tyg. życia) jest najczęściej związana z zespołem Crigler-Najarra typu I;
5) zespół Dubin-Johnsona jest spowodowany defektem genu UGTA.
Prawidłowa odpowiedź to:
Pytanie 22
Ostra, zlewna martwica wątroby może wystąpić w przebiegu:
Pytanie 23
Które z podanych poniżej zestawów cech może wystąpić jako powikłanie ostrego zapalenia trzustki?
1) wstrząs normowolemiczny; 4) pseudotorbiele;
2) DIC; 5) cukrzyca.
3) ropień trzustki;
Prawidłowa odpowiedź to:
Pytanie 24
Która z podanych zmian występujących w śliniankach nie posiada torbielowatej budowy?
Pytanie 25
Która z poniżej podanych cech nie charakteryzuje gruczolaka wielopostaciowego ślinianki?
Pytanie 26
Dla guzkowego zapalenia tętnic (polyarteritis nodosa) charakterystyczne są:
1) zmiany zapalne w tętnicach dużego kalibru;
2) nacieki zapalne (z neutrofilów, eozynofilów, monocytów i limfocytów) w ścianie tętnicy i jej martwica włóknikowa;
3) zakrzepy w świetle zmienionych chorobowo tętnic, które mogą prowadzić do powstania zawałów;
4) depozyty IgG w ogniskach martwicy włóknikowatej;
5) zmiany zapalne w tętnicach płucnych małego i średniego kalibru.
Prawidłowa odpowiedź to:
Pytanie 27
Które z poniższych stwierdzeń odnoszą się do zespołu Goodpasture’a?
1) w obrazie mikroskopowym kłębuszków nerkowych charakterystyczna jest proliferacja komórek warstwy ściennej torebki Bowmana;
2) w patogenezie zespołu istotną rolę odgrywa autoimmunizacja na fragment kolagenu typu III;
3) jest przykładem II typu nadwrażliwości;
4) w badaniu immunofluorescencyjnym widoczne jest linijne świecenie wzdłuż błon podstawnych;
5) w surowicy krwi wykrywa się zazwyczaj przeciwciała w stosunku do cytoplazmy granulocytów (test ANCA).
Prawidłowa odpowiedź to:
Pytanie 28
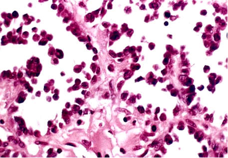
Zapalenie płuc, w którym płuca są sinoczerwone, powietrzne, o wzmożonej spoistości i cechują się pogrubieniem zrębu płucnego, jego obrzękiem i nacieczeniem przez limfocyty i makrofagi, występujące częściej u ludzi niedożywionych i z niedoborami immunologicznymi jest spowodowane przez:
Pytanie 29
W przebiegu trwającego od 10 lat przewlekłego zapalenia wątroby, związanego z zakażeniem HBV, wykonano biopsję. W obrazie morfologicznym w obrębie zrazików wątrobowych przeważały blizny łącznotkankowe oraz bardzo intensywny przewlekły naciek zapalny. Rezydent specjalizujący się w patomorfologii zauważył wśród nacieku także ogniskowo obecność granulocytów obojętno-chłonnych. W odniesieniu do opisanej sytuacji wskaż nieprawdziwe stwierdzenie spośród zamieszczonych poniżej:
Pytanie 30
Do mechanizmów działania przeciwnowotworowego (reakcji gospodarz przeciw nowotworowi) nie należy aktywacja:
Pytanie 31
Postacią glomerulopatii w której w badaniu mikroskopowo-elektronowym stwierdza sie złogi elektronowogęste nie jest:
Pytanie 32
Model kłębuszkowego zapalenia nerek Masugi imituje występującą u człowieka chorobę, a mianowicie:
Pytanie 33
Mutacje w obrębie genów TSC1 i TSC2 są typowe dla:
Pytanie 34
Rak rdzeniasty występuje jako:
Pytanie 35
Spośród histologicznych wariantów tłuszczakomięsaka (liposarcoma) wysoce agresywny przebieg kliniczny, z obecnością częstych wznów miejscowych i przerzutów do odległych narządów jest związany z odmianą:
Pytanie 36
Zaprezentowany na zdjęciu nowotwór jest:
1) jednym z podtypów najczęstszego mięsaka tkanek miękkich w grupie chorych w 5-8 dekadzie życia;
2) jednym z podtypów najczęstszego mięsaka tkanek miękkich w u dzieci;
3) jednym z guzów zbudowanych z małych okrągłych komórek (small round cell tumors), w diagnostyce którego wykorzystywane są badania cytogenetyczne na obecność specyficznej translokacji z udziałem genu FKHR (13q14);
4) nowotworem, którego komórki nie wykazują obecności specyficznej translokacji, dlatego w jego diagnostyce rolę odgrywają jedynie badania immunohistochemiczne;
5) nowotworem, którego komórki cechują się ekspresją desminy, myogeni-ny i antygenu MyoD1.
Prawidłowa odpowiedź to:

Pytanie 37
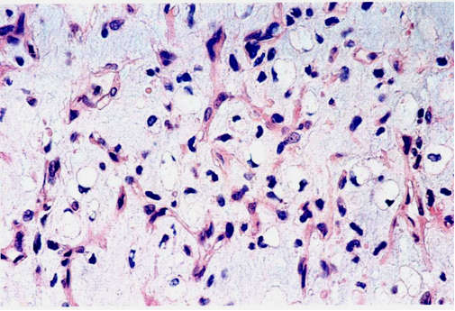
Pacjentka lat 35, z objawami silnych napadowych bólów głowy, została przyjęta do szpitala. W trakcie badania fizykalnego stwierdzono liczne czerwono-purpurowe guzki podskórne. Badanie CT wykazało liczne rozsiane zmiany ogniskowe w ośrodkowym układzie nerwowym. W badaniach laboratoryjnych krwi pacjentki stwierdzono leukopenię z limfopenią. Do badania histopatologicznego pobrano zmianę podskórną. Stwierdzono: proliferację włośniczek wysłanych powiększonymi, nabłonkowatymi komórkami śródbłonka, w których obecne były cechy atypii jądrowej oraz liczne figury podziału. W zmianie widoczne ponadto były bardzo liczne granulocyty obojętnochłonne. Na podstawie opisu można rozpoznać:
Pytanie 38
Nowotwór, którego typowe utkanie histologiczne przedstawiono na zdjęciu ma charakter:

Pytanie 39
Kostniejące zapalenie mięśni (myositis ossificans):
1) jest odczynową reakcją zapalną w odpowiedzi na przerzut mięsaka kości do tkanek miękkich (najczęściej do mięśni szkieletowych);
2) jest rzekomonowotworowym rozrostem tkanki łącznej włóknistej, któremu towarzyszy powstawanie ognisk metaplastycznej tkanki kostnej;
3) dotyczy osób w podeszłym wieku z przewlekłą niewydolnością nerek i zaburzeniami gospodarki wapniowo-fosforanowej i objawia się m.in. powstawaniem tzw. „przerzutów wapniowych” w obrębie mięśni szkieletowych;
4) najczęściej rozwija się u młodych mężczyzn, w połowie przypadków w związku z przebytym urazem;
5) histologicznie charakteryzuje się strefowym charakterem zmian morfologicznych: obwodową strefę rozrostu stanowi dojrzała blaszkowata kość, natomiast centralną proliferująca tkanka łączna włóknista imitująca rozrost typu „nodular fasciitis”;
6) histologicznie charakteryzuje się strefowym charakterem zmian morfologicznych: centralną strefę rozrostu stanowi dojrzała blaszkowata kość, natomiast obwodową - proliferująca tkanka łączna włóknista imitująca rozrost typu „nodular fasciitis”.
Prawidłowa odpowiedź to:
Pytanie 40
Włókniakowatość, dotycząca głęboko umiejscowionych tkanek miękkich (desmoid), to choroba charakteryzująca się:
1) miejscowo złośliwym (naciekającym tkanki otoczenia) rozrostem fibroblastów, które wykazują znacznego stopnia atypię oraz nasiloną aktywność mitotyczną;
2) rozrostem fibroblastów, które pomimo braku cech atypii jąder i niewielkiej aktywności mitotycznej naciekają tkanki otoczenia oraz wykazują zdolność do tworzenia odległych przerzutów;
3) jednakową częstością występowania u mężczyzn i u kobiet, zarówno w przypadku umiejscowienia nacieku w obrębie mięśni barku, ściany klatki piersiowej i kończyn, jak i w przypadku umiejscowienia zmiany w obrębie mięśni powłok brzucha;
4) jednakową częstością występowania u mężczyzn i u kobiet, w przypadku umiejscowienia nacieku w obrębie mięśni barku, ściany klatki piersiowej i kończyn, ale znacznie częstszym występowaniem u kobiet w przypadku zmian w obrębie mięśni i powięzi powłok brzucha;
5) mutacjami w genach APC i C-KIT w komórkach rozrostów dotyczących krezki jelita.
Prawidłowa odpowiedź to:
Pytanie 41
W procesie powstawania przerzutów nowotworowych mają miejsce wszystkie poniżej wymienione zjawiska, z wyjątkiem:
Pytanie 42
Spośród niżej wymienionych wskaż przykład onkogennego wirusa RNA:
Pytanie 43
W których z niżej wymienionych chorób, w płucach u ludzi dorosłych mogą być obecne błony szkliste?
1) wirusowe zapalenie płuc;
2) zapalenie płuc wywołane Moraxella catarrhalis;
3) mocznica;
4) zapalenie płuc wywołane Mycobacterium tuberculosis;
5) zapalenie płuc wywołane Chlamydia pneumoniae.
Prawidłowa odpowiedź to:
Pytanie 44
Wskaż nieprawidłowe stwierdzenie dotyczące guza liściastego piersi:
Pytanie 45
Wskaż nieprawidłowe stwierdzenie dotyczące brodawczaka wewnątrzprzewodowego piersi:
Pytanie 46
Czynnikiem bezpośrednio odpowiedzialnym za rozrost guzkowy gruczołu krokowego jest dihydrotestosteron (DHT). Jest to substancja wytwarzana:
1) w komórkach Leydiga w jądrze;
2) w komórkach Sertoliego w jądrze;
3) w komórkach podścieliska stercza;
4) w komórkach warstwy podstawnej nabłonka stercza;
5) przez 5-alfa reduktazę;
6) przez aromatazę;
7) przez 3-beta reduktazę.
Prawidłowa odpowiedź to:
Pytanie 47
Przyczyną nadczynności tarczycy w chorobie Graves-Basedova jest:
1) gruczolak lub nowotwór przysadki wydzielający TSH;
2) przedawkowanie hormonów podawanych w trakcie terapii;
3) gruczolak lub rak pęcherzykowy tarczycy;
4) immunoglobuliny (TSI) pobudzające tarczycę do produkcji hormonów w procesie niekontrolowanym przez układ podwzgórzowo-przysadkowy;
5) niedobór jodu.
Prawidłowa odpowiedź to:
Pytanie 48
60-letni mężczyzna w ostatnich kilku tygodniach uskarżał się na bóle głowy, miał kilka ataków padaczkowych i wykazywał cechy psychotyczne. Badanie obrazowe wykazało masę guzowatą w płacie czołowym i mniejsze zmiany guzkowe w pozostałych lokalizacjach płatów mózgowia. Mikroskopowo, poza litym naciekiem niskodojrzałych komórek tworzących zmianę guzowatą zwracało uwagę szerzenie się komórek okołonaczyniowo w przestrzeniach Virchowa. Komórki te wykazały ekspresję CD79a. Która z poniżej wymienionych cech jest typowa dla tego nowotworu?
Pytanie 49
Do przyczyn powstawania przesięków w jamie otrzewnej należą:
1) przewlekła niewydolność prawokomorowa serca; 4) przewlekła niewydolność lewokomorowa serca;
2) marskość wątroby; 5) zapalenie otrzewnej.
3) niewydolność nerek;
Prawidłowa odpowiedź to:
Pytanie 50
Immunohistochemicznie w nasieniaku spodziewamy się stwierdzić:
Pytanie 51
W przebiegu rakowiaka przewodu pokarmowego zwłaszcza z przerzutami występuje zespół klinicznych objawów związanych z endokrynną aktywnością guza. Która z poniższych cech nie występuje w zespole rakowiaka?
Pytanie 52
Najczęściej występującym czynnym hormonalnie neuroendokrynnym guzem trzustki jest:
Pytanie 53
Komórki ,,matowego szkła” (ground - glass cells) są charakterystyczne dla zapalenia wątroby:
Pytanie 54
Nowotworem pierwotnym wątroby nie jest:
Pytanie 55
Jedyną pewną cechą złośliwości phaeochromocytoma jest:
Pytanie 56
Która z wymienionych zmian histopatologicznych może mieć związek przyczynowy z długotrwałym stosowaniem leków antykoncepcyjnych?
Pytanie 57
Jedną z cięższych postaci zapalenia jelita cienkiego i grubego jest zapalenie rzekomobłoniaste. Która z niżej podanych przyczyn nie wywołuje tej postaci zapalenia jelit?
Pytanie 58
Która z poniżej podanych przewlekłych chorób wątroby może u części pacjentów współistnieć z chorobą Leśniowskiego-Crohna?
Pytanie 59
Które z poniżej podanych cech morfologicznych zmian w błonie śluzowej żołądka mogą doprowadzić do rozwoju raka żołądka?
Pytanie 60
Które z podanych poniżej określeń charakteryzujących przełyk Barretta jest nieprawdziwe?
Pytanie 61
U chorego leczonego z powodu przewlekającej się postaci gruźlicy płucnej stwierdzono guz jelita grubego w okolicy zastawki krętniczo-kątniczej oraz niedrożność jelit (ileus). Chorego operowano w trybie nagłym usuwając guz z węzłami krezki oraz uwalniając zrosty raczej włókniste lub łącznotkankowe, które były przyczyną niedrożności. Która z poniżej podanych przyczyn jest wysoce prawdopodobna?
Pytanie 62
W przebiegu szpiczaka mnogiego w nerkach może rozwinąć się:
1) ogniskowe segmentowe stwardnienie kłębuszków;
2) glomerulopatia łańcuchów lekkich;
3) rozlana martwica kory nerek;
4) skrobiawica nerek;
5) nefropatia wałeczkowa łańcuchów lekkich.
Prawidłowa odpowiedź to:
Pytanie 63
U 68-letniego mężczyzny chorującego od 15 lat na cukrzycę typu 2 wykonano biopsję nerki z powodu utrzymującego się dużego białkomoczu i krwinkomoczu. W biopunktacie stwierdzono rozlane pogrubienie ścian włośniczek kłębuszkowych, a badanie immunofluorescencyjne ujawniło obecność regularnie rozmieszczonych wzdłuż pętli włośniczkowych ziarnistych depozytów zawierających immunoglobulinę G i składową dopełniacza C3. Opisany obraz morfologiczny odpowiada:
Pytanie 64
Najczęstszą przyczyną zespołu nerczycowego u dorosłych jest:
Pytanie 65
Kamica nerkowa stwierdzana u chorych na sarkoidozę zależna jest od:
Pytanie 66
U 55-letniego mężczyzny stwierdzono krwiomocz, gorączkę i policytemię. Wyżej wymienione objawy przemawiają za rakiem:
Pytanie 67
Obecność ziarniniaków z centralną martwicą i gwiazdkowatych ropnii w węzłach chłonnych i narządach rodnych to najprawdopodobniej:
Pytanie 68
Który z wymienionych chłoniaków występujących w układzie pokarmowym może być wywołany przez przewlekłe zakażenie Helicobacter pylori?
Pytanie 69
Która z niżej wymienionych chorób nie ma związku z infekcją wirusową?
Pytanie 70
Nie należy doszukiwać się związku między zespołem Cushinga a:
Pytanie 71
Do wrodzonych przyczyn wodonercza należą:
1) znacznego stopnia odpływ pęcherzowo-moczowodowy;
2) rak gruczołu krokowego;
3) zwężenie szyi pęcherza moczowego;
4) zwężenie proksymalnego odcinka moczowodu;
5) wypadanie narządu rodnego.
Prawidłowa odpowiedź to:
Pytanie 72
Torbielowata dysplazja nerek jest:
Pytanie 73
Nefropatia poanalgetyczna usposabia do powstania:
Pytanie 74
Które z niżej wymienionych chorób występują u chorych z dziedzicznie uwarunkowanym niedoborem alfa-1 antytrypsyny (genotyp PiZZ)?
1) zrzeszotnienie kości; 4) przewlekłe zapalenie trzustki;
2) choroba von Willebranda; 5) rozedma płuc.
3) marskość wątroby;
Prawidłowa odpowiedź to:
Pytanie 75
Zespół przeciwciał antyfosfolipidowych wiąże się z:
Pytanie 76
Początek procesu wapnienia wewnątrzkomórkowego występuje w:
Pytanie 77
Cechą charakterystyczną komórek apoptotycznych jest przemieszczenie fosfatydyloseryny:
Pytanie 78
Wskaż przykłady wapnienia dystroficznego:
1) zwapnienie ścian tętnic w miażdżycy;
2) zwapnienie zastawek serca;
3) ciałka piaszczakowate w raku brodawkowatym tarczycy;
4) ciałka Russella w twardzieli;
5) wapnienie mas serowatych w gruźlicy.
Prawidłowa odpowiedź to:
Pytanie 79
Który z niżej wymienionych typów amyloidu jest charakterystyczny dla chorych przewlekle hemodializowanych i odkłada się w układzie kostno-stawowym (maziówka, stawy, rozcięgna)?
Pytanie 80
Choroba, która objawia się powiększeniem węzłów chłonnych i śledziony, gorączką, bólem gardła. W obrazie mikroskopowym węzła chłonnego w rozwiniętej chorobie dominuje ławicowy rozplem komórek typu immunoblasta, z obecnością form atypowych przypominających komórki Reed-Sternberga z ekspresją CD30. Pomocne dla potwierdzenia rozpoznania choroby jest zlecenie poniższych czynności:
1) wykonanie odczynu immunohistochemicznego na HHV-8;
2) wykonanie badania rozmazu krwi;
3) odczyny serologiczne w kierunku infekcji EBV;
4) odczyny serologiczne w kierunku toksoplazmozy;
5) barwienie immunohistochemiczne na Ki-67.
Prawidłowa odpowiedź to:
Pytanie 81
Progeria to:
Pytanie 82
Dwa z białek wirusa HPV wiążą się z białkiem P53 i Rb. Są to:
Pytanie 83
Penetracja genu odzwierciedla:
Pytanie 84
Talasemia jest spowodowana nieprawidłowością struktury:
Pytanie 85
Który z poniższych onkogenów jest białkiem transportującym sygnał z receptora do wnętrza komórki?
Pytanie 86
Wstępnym sygnałem w apoptozie może być:
Pytanie 87
Chorzy na AIDS częściej chorują na:
Pytanie 88
Mięsak Kaposiego jest związany przyczynowo z infekcją:
Pytanie 89
W którym z łagodnych, nienowotworowych rozrostów w sutku może nie występować warstwa komórek myoepitelialnych?
Pytanie 90
W którym z naciekających raków sutka są obecne warstwy komórek myoepitelialnych?
Pytanie 91
Wskaż zdanie nieprawdziwe dotyczące raka jasnokomórkowego nerki:
Pytanie 92
Ekspresja cykliny D1, markera chłoniaka z komórek płaszcza (mantle cell lymphoma) jest wynikiem translokacji:
Pytanie 93
42-letnia kobieta zgłosiła się do lekarza z powodu duszności. Stwierdzono u niej guz śródpiersia, zbudowany z tkanki limfatycznej tworzącej wyraźne guzki, których komórki wykazywały silną ekspresję CD10, CD20 i bcl2. Nowotwór ten prawdopodobnie posiada również translokację:
Pytanie 94
Komórki Hodgkina i RS w klasycznym chłoniaku Hodgkina nie powinny wykazywać ekspresji:
Pytanie 95
Które z wymienionych zaburzeń molekularnych jest typowym dla skąpodrzewiaków (oligodendroglioma)?
Pytanie 96
W przewlekłej białaczce szpikowej ma miejsce translokacja skutkująca chromosomem Philadelfia i wzmożoną aktywnością kinazową powstałej hybrydowej chimery. Translokacja z chromosomu 9 obejmuje:
Pytanie 97
Wyróżniamy następujące typy „prawdziwej” rozedmy płuc:
1) rozedma kompensacyjna; 4) rozedma okołoprzegrodowa;
2) rozedma środkowej części zrazika; 5) rozedma starcza.
3) rozedma całego zrazika;
Prawidłowa odpowiedź to:
Pytanie 98
Do wspólnych cech zapaleń wirusowych płuc należy:
1) częste występowanie u niemowląt i osób w podeszłym wieku;
2) obecność nacieków zapalnych w ścianach pęcherzyków;
3) przewaga granulocytów obojętnochłonnych w obrębie nacieków zapalnych;
4) obecność wysięku włóknikowego w świetle pęcherzyków;
5) obecność błon szklistych w świetle pęcherzyków.
Prawidłowa odpowiedź to:
Pytanie 99
Do nowotworów jądra ze sznurów płciowych i podścieliska należą:
1) nasieniak spermatocytowy; 4) nowotwór z pęcherzyka żółtkowego;
2) guz z komórek Leydiga; 5) ziarniszczak.
3) guz z komórek Sertoliego;
Prawidłowa odpowiedź to:
Pytanie 100
Które z poniższych stwierdzeń jest charakterystyczne dla raka prącia?
1) na podłożu papulosis bowenoides (z neoplazją wewnątrzpłaskonabłonkową) w 10% przypadków może rozwinąć się rak płaskonabłonkowy prącia;
2) na podłożu choroby Bowena i erytroplazji Queyrata (z neoplazją wewnątrzpłaskonabłonkową) w 10% przypadków może rozwinąć się rak płaskonabłonkowy prącia;
3) najczęstszą postacią histologiczną raka płaskonabłonkowego prącia jest rak nisko zróżnicowany;
4) rak prącia bardzo rzadko występuje u osób obrzezanych wkrótce po urodzeniu;
5) rak prącia umiejscowiony jest najczęściej na żołędzi, w pobliżu rowka zażołędnego i na wewnętrznej powierzchni napletka.
Prawidłowa odpowiedź to:
Pytanie 101
Do stanów przedrakowych jamy ustnej należy:
1) erytroplakia; 4) xeroderma pigmentosum;
2) zespół Plummer-Vinsona; 5) lichen planus.
3) leukoplakia;
Prawidłowa odpowiedź to:
Pytanie 102
W colitis lymphocytica stwierdza się:
Pytanie 103
Rak jelita grubego występuje najczęściej w obrębie:
Pytanie 104
Ryzyko rozwoju raka w przebiegu colitis ulcerosa z zajęciem całego jelita grubego (pancolitis) po 20 latach trwania choroby wynosi około:
Pytanie 105
Typowym wykładnikiem morfologicznym pemfigoidu jest obecność:
Pytanie 106
Typowym wykładnikiem morfologicznym pęcherzycy zwyczajnej jest obecność:
Pytanie 107
Wskaż stwierdzenie, które jest nieprawdziwe:
Pytanie 108
35-letni mężczyzna zauważył niebolesne guzowate zgrubienie na skórze barku powiększające się od kilku lat. Obecnie zmiana ma około 4 cm w największym wymiarze, jest nieregularnie guzowata i silnie związana z otaczającymi tkankami (nieprzesuwalna). Biopsja wykazała obecność monotonnej populacji komórek wrzecionowatych tworzących układy plecionkowe, bez zajęcia naskórka. Które z poniższych stwierdzeń jest prawdziwe w odniesieniu do tego nowotworu?
Pytanie 109
Współistnienie zapalenia błony stawowej, pochewek ścięgnistych i powięzi o obrazie przypominającym gośćcowe zapalenie stawów z zapaleniem cewki moczowej i spojówek to:
Pytanie 110
Postać rozlana guza olbrzymiokomórkowego błony maziowej i pochewek ścięgnistych najczęściej występuje:
Pytanie 111
Kostniakomięsaki wtórne najczęściej rozwijają się:
1) w przebiegu choroby Pageta; 4) w przebiegu choroby Scheuermana;
2) w przebiegu osteoid osteoma; 5) po napromienianiu.
3) w przebiegu zawałów kości;
Prawidłowa odpowiedź to:
Pytanie 112
Które z niżej wymienionych nowotworów występują częściej u dzieci i młodych dorosłych niż u osób starszych?
1) chondrosarcoma centrale; 4) osteochondroma;
2) osteosarcoma primarium; 5) osteoid osteoma.
3) osteoma;
Prawidłowa odpowiedź to:
Pytanie 113
Metaplazja oksyfilna nabłonka pęcherzyków tarczycy i obfite nacieki limfocytarne najbardziej charakterystyczne są dla:
Pytanie 114
NAFLD (non alcoholic fatty liver disease):
1) staje się progresywnie najczęstszą przyczyną chorób wątroby;
2) w obrazie dominuje głównie grubokropelkowe stłuszczenie hepatocytów;
3) pomnożenie włókien kolagenowych jest głównie okołowrotne;
4) nigdy nie występują ciałka Malory’ego;
5) często występuje tzw. włóknienie śródmiąższowe (perisinusoidal fibrosis) oraz pomnożenie włókien kolagenowych wokół żył centralnych.
Prawidłowa odpowiedź to:
Pytanie 115
W przypadku przerzutu raka rdzeniastego do węzła chłonnego szyi komórki nowotworowe będą cechować się następującą immunoreaktywnością:
Pytanie 116
Phaeochromocytoma może być związany z zespołem:
Pytanie 117
Niebakteryjne zakrzepowe zapalenie wsierdzia charakteryzują następujące stwierdzenia, z wyjątkiem:
1) są to drobne (1-5 mm) pojedyncze wyrośla płatków zastawek serca u bardzo ciężko chorych pacjentów;
2) wyrośla składają się z włóknika, płytek oraz morfotycznych składników krwi;
3) niebakteryjne zakrzepowe zapalenie wsierdzia często współistnieje z zakrzepicą żył i zatorowością płucną;
4) wyroślom towarzyszą zmiany uszkadzające wsierdzia, a niekiedy także mięśnia sercowego;
5) niebakteryjne zakrzepowe zapalenie wsierdzia często występuje u pacjentów z rakiem gruczołowym oraz z zespołem Trousseau.
Prawidłowa odpowiedź to:
Pytanie 118
Które ze stwierdzeń dotyczących zwężenia łuku aorty (coarctatio aortae) jest prawdziwe?
1) jest dość rzadką wrodzoną wadą serca, występującą z częstością około 1%;
2) zwiększona zapadalność występuje u płci męskiej i chorych z zespołem Turnera;
3) postać dziecięca charakteryzuje się wysoką śmiertelnością;
4) w postaci dorosłych zwężenie występuje proksymalnie w stosunku do zamkniętego przewodu tętniczego;
5) wada ta może towarzyszyć innym anomaliom, m.in. ubytkowi w przegrodzie międzyprzedsionkowej lub międzykomorowej.
Prawidłowa odpowiedź to:
Pytanie 119
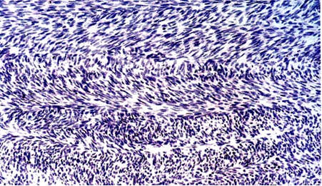
Zaprezentowane na zdjęciu histologiczne utkanie nowotworu określane jest w patomorfologii mięsaków tkanek miękkich terminem:

Pytanie 120



