Wyszukaj egzamin lub pytanie
Egzamin PES Patomorfologia / jesień 2011
120 pytań
Pytanie 1
Żywoczerwony język z wyraźnie widocznymi brodawkami, tzw.język malinowy jest charakterystycznym objawem morfologicznym dla:
Pytanie 2
Który z niżej wymienionych należy do nowotworów miejscowo złośliwych pochodzenia zębowego?
Pytanie 3
Do torbieli zębopochodnych należą:
1) cystis ductus nasopalatini; 4) cystis radicularis;
2) cystis follicularis; 5) cystis branchigenes.
3) cystis dermoidalis;
Prawidłowa odpowiedź to:
Pytanie 4
Do cech typowych dla błoniasto-rozplemowego kłębuszkowego zapalenia nerek typu I nie należy:
Pytanie 5
Wskaż zdanie fałszywe dotyczące torbielowatości nerek:
Pytanie 6
Uszkodzenie kłębków nerkowych nie jest typowe dla:
Pytanie 7
Niesterydowe leki przeciwzapalne mogą powodować:
Pytanie 8
Która z wymienionych substancji wchodzi w skład zbitek neurofibrylarnych (neurofibrillary tangles) w neuronach u chorych z chorobą Alzheimera?
Pytanie 9
4-letni chłopiec uskarżał się na bóle głowy i wymioty, które narastały od kilku miesięcy. Badanie CT ujawniło litą zmianę guzowatą w robaku móżdżku. Biopsja guza ujawniła obecność niskodojrzałych komórek o wysokim stosunku objętości jądra do cytoplazmy. Która z poniższych cech nie jest charakterystyczna dla tego nowotworu?
Pytanie 10
Który z poniżej wymienionych typów oponiaków charakteryzuje się najbardziej agresywnym przebiegiem klinicznym?
Pytanie 11
Który z poniżej wymienionych nowotworów występuje jako składnik zespołu von Hippel-Lindau?
Pytanie 12
Od kilku miesięcy u 22-letniej kobiety pojawiły się ataki padaczki i bóle głowy. Badanie obrazowe wykazało masę torbielowato-litą w płacie skroniowym, zlokalizowaną powierzchownie w kontakcie z oponą. Mikroskopowo, część litą nowotworu tworzyły różnorodne, często duże komórki z obecnością komórek wielojądrowych i posiadających piankowatą cytoplazmę. Komórki otaczała gęsta sieć włókien retikulinowych, a same komórki wykazywały ekspresję GFAP. Jaki nowotwór należy rozpoznać w oparciu o ten obraz kliniczno-patologiczny?
Pytanie 13
Które z poniższych stwierdzeń odnoszących się do zaburzeń genetycznych w znamionach barwnikowych i czerniaku złośliwym skóry jest prawdziwe?
Pytanie 14
35-letni mężczyzna z astmą w wywiadzie, zgłosił się do dermatologa z powodu dość licznych zmian skórnych o typie fioletowo-sinych, wielokątnych i swędzących grudek, zlokalizowanych na przedramionach, udach i narządach płciowych. W wycinku pobranym z grudki widoczne są cechy hiperkeratozy i hipergranulozy naskórka, a na granicy skórno-naskórkowej wykazującej nieregularne w kształcie wpuklenia międzybrodawkowe, widoczny jest obfity naciek z limfocytów, z cechami apoptozy nielicznych keratynocytów i licznymi tzw. ciałkami koloidnymi. Najbardziej prawdopodobne rozpoznanie w tym wypadku to:
Pytanie 15
Który z poniżej wymienionych czynników może mieć korzystny wpływ rokowniczy w przebiegu czerniaka złośliwego skóry?
Pytanie 16
Immunofenotyp nowotworowych limfocytów (komórek Lutznera) w „klasycznym” wariancie ziarniniaka grzybiastego (mycosis fungoides) to:
Pytanie 17
Dla rumienia guzowatego (erythema nodosum) zmianą typową diagnostycznie jest obecność:
Pytanie 18
Opryszczkowe zapalenie skóry (dermatitis herpetiformis, choroba Duhringa) manifestuje się zajęciem skóry. Jakie dolegliwości pozaskórne mogą współwystępować u chorych z tą dermatozą?
Pytanie 19
Ropnie Munro stanowią jedną z mikroskopowych cech diagnostycznych:
Pytanie 20
Która z poniżej wymienionych cech nie stanowi czynnika różnicującego pomiędzy włókniakiem histiocytarnym skóry (dermatofibroma) i włókniakomięsakiem skórnym (dermatofibrosarcoma)?
Pytanie 21
Która z poniżej wymienionych postaci czerniaka skóry jest związana z przewlekłą ekspozycją na promieniowanie słoneczne?
Pytanie 22
Mutacje konstytutywne którego z poniżej wymienionych genów są podłożem genetycznym zespołu Gorlina?
Pytanie 23
W którym z poniższych nowotworów występują ciałka Kamino?
Pytanie 24
Który z niżej wymienionych nowotworów najczęściej występuje w kościach twarzy i czaszki?
Pytanie 25
Choroba wrodzona, stanowiąca główną przyczynę karłowatości i charakteryzująca się upośledzeniem dojrzewania chrząstki w rozwijającej się płytce wzrostowej to:
Pytanie 26
Które z niżej wymienionych translokacji typowo występują w mięsaku Ewinga/PNET?
1) t(8;14); 4) t(11;22)(q24;q12);
2) t(11;14); 5) t(21;22)(q22;q12).
3) t(9;22)(q34;q11);
Prawidłowa odpowiedź to:
Pytanie 27
Czynnik reumatoidalny to przeciwciało przeciw:
Pytanie 28
Marmurkowatość kości cechuje się:
Pytanie 29
Osteochondroza Freiberga wiąże się z martwicą:
Pytanie 30
Chrzęstniakomięsak powierzchowny przeważnie powstaje na podłożu:
Pytanie 31
U osób dorosłych mięsak kościopochodny najczęściej zajmuje:
Pytanie 32
Najczęstszą lokalizacją torbieli tętniakowatej kości jest:
Pytanie 33
Zmiana prezentowana na zdjęciu stanowi około 10% wszystkich pierwotnych zmian serca i zwykle stanowi przypadkowe znalezisko w czasie autopsji. Zlokalizowana jest najczęściej na komorowej powierzchni zastawek półksiężycowatych oraz na przedsionkowej powierzchni zastawek ujść żylnych. Strzępki pochodzące ze zmiany mogą stanowić materiał zatorowy. Przedstawiona zmiana to:

Pytanie 34
Wybierz prawdziwe stwierdzenia dotyczące zwyrodnienia torbielowatego błony środkowej aorty:
1) jest to najczęstsza zmiana poprzedzająca rozwarstwienie aorty;
2) zwyrodnienie torbielowate jest niekiedy nazywane „martwicą torbielowatą błony środkowej”, co związane jest z obecnością ogniskowej martwicy skrzepowej;
3) charakteryzuje się fragmentacją tkanki sprężystej;
4) małe, szczelinowate przestrzenie w ścianie aorty wypełnione są przez masy martwiczo-zapalne;
5) zwyrodnienie to często towarzyszy zespołowi Marfana.
Prawidłowa odpowiedź to:
Pytanie 35
Stwierdzenie w obrazie mikroskopowym koncentrycznego, warstwowego pogrubienia ścian tętniczek z martwicą włóknikowatą (arteriolitis necroticans) jest charakterystyczne dla:
Pytanie 36
Do morfologicznych kryteriów rozpoznania zapalenia mięśnia sercowego, obok przesłanek klinicznych, należą:
1) obecność martwicy lub/i inne głębokie uszkodzenie kardiomiocytów;
2) obecność nacieku zapalnego;
3) obecność komórek wielojądrowych pochodzenia histiocytarnego;
4) stłuszczenie i otłuszczenie kardiomiocytów;
5) obecność włóknienia.
Prawidłowa odpowiedź to:
Pytanie 37
W czasie ewolucji zawału mięśnia sercowego dochodzi do sekwencji zmian mikroskopowych. Które ze stwierdzeń prawidłowo opisuje mikroskopowe cechy zawału mięśnia sercowego stwierdzane w 1-3 dobie?
Pytanie 38
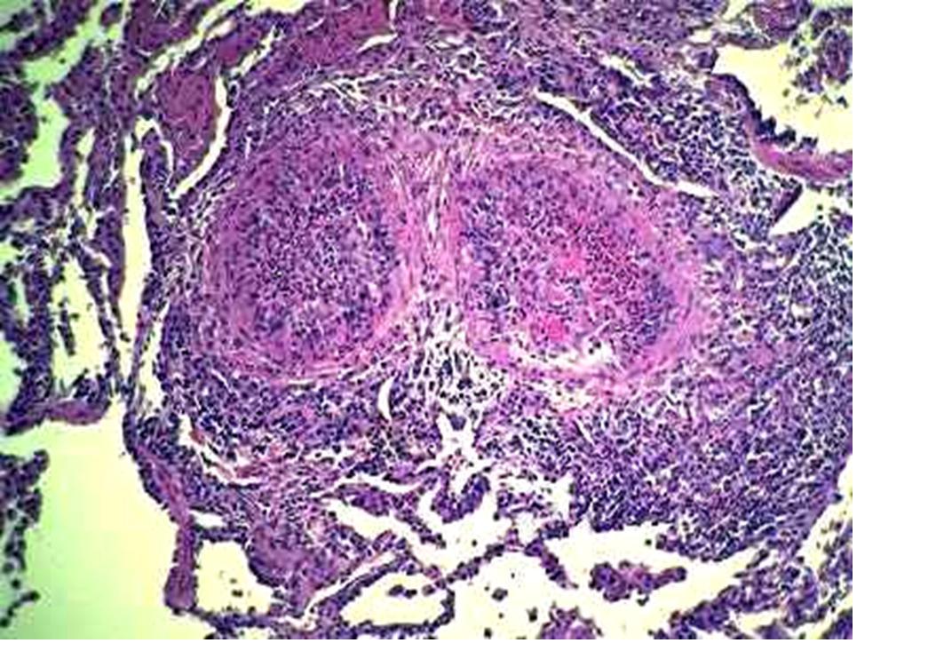
Zmiana przedstawiona na zdjęciu, nazywana jest inaczej alergicznym ziarniniakowym zapaleniem naczyń. Obejmuje ono zarówno tętniczki, włośniczki oraz żyłki, m.in. płuc. Klinicznie przebiega często pod postacią astmy oskrzelowej. Typowo we krwi pacjenta można stwierdzić obecność przeciwciał typu pANCA. Na podstawie opisu i zdjęcia można rozpoznać:

Pytanie 39
Które z poniższych stwierdzeń nie jest prawdziwe dla tętniaka zapalnego aorty brzusznej?
Pytanie 40
Carcinoma juvenile (secretory) piersi nie cechuje się:
Pytanie 41
Typem raka zrazikowego piersi nie jest typ:
Pytanie 42
Czynnikiem ryzyka zachorowania na raka piersi nie jest:
Pytanie 43
W jakim co najmniej odsetku swojego utkania rak rdzeniasty piersi powinien posiadać utkanie syncytialne (brak widocznych błon międzykomórkowych)?
Pytanie 44
U chorego operowanego z powodu „ostrego brzucha” stwierdzono na granicy jelita czczego i krętego zmianę segmentarną dł. 15 cm, ostro odgraniczoną, o zmatowiałej i pokrytej białawym nalotem surowicówce, usztywnionej ścianie o zabarwieniu wiśniowym. Na przekroju warstwowość ściany jelita była zatarta, a śluzówka owrzodziała. Obraz ten odpowiada typowo:
Pytanie 45
U 14-letniej pacjentki endoskopowo stwierdzono w trzonie żołądka kopulaste uwypuklenie śluzówki z centralnym owrzodzeniem, a w badaniach obrazowych uwidoczniono tam dwa sąsiadujące, śródścienne, lite guzy śr. 4 i 1,5 cm. Histologicznie guzy były wrzecionowatokomórkowe, ich komórki wykazywały dodatnie odczyny immunohistochemiczne na CD117 w 80-90%, na CD34 w 60%, na desminę w i aktynę gładkomięśniową odpowiednio w 10 i 30% komórek, a na białko S-100 w 10%. Należy rozpoznać:
Pytanie 46
Wskaż prawidłowe stwierdzenia na temat polipów hiperplastycznych żołądka:
1) występują jako zmiany pojedyncze lub mnogie, także w niektórych zespołach polipowatości przewodu pokarmowego;
2) uważa się, że zwykle rozwijają się w związku z przewlekłym zapaleniem jako zmiana rozrostowa, odczynowa;
3) obecność na terenie polipa metaplazji jelitowej wskazuje, że jest on zmianą przedrakową;
4) polipy te często lokalizują się w trzonie żołądka, a w ich utkaniu obecne są gruczoły trawieńcowe;
5) ich średnica wynosi od kilku mm do 1,5 cm i więcej.
Prawidłowa odpowiedź to:
Pytanie 47
Najważniejszym wskaźnikiem prognostycznym w raku jelita grubego jest:
Pytanie 48
Polipy hamartomatyczne nie występują w:
Pytanie 49
U osób z rodzin obciążonych genetycznie zespołem gruczolakowej rodzinnej polipowatości celem wykrycia ewentualnych nowotworów powinno się przebadać:
1) jelito grube; 4) trzustkę;
2) tarczycę; 5) przełyk.
3) jelito cienkie;
Prawidłowa odpowiedź to:
Pytanie 50
Najczęstszą przyczyną masywnego krwawienia z dolnego odcinka przewodu pokarmowego u ludzi starych jest:
Pytanie 51
W rodzinnym rozlanym raku żołądka najczęściej mutacja dotyczy genu:
Pytanie 52
Wrodzony, nie związany z polipowatością rak jelita grubego (HNPCC) - zespół Lyncha:
Pytanie 53
W zespole wrodzonego (rodzinnego) niepolipowatego raka jelita grubego (zespół Lyncha - hereditary nonpolyposis colon cancer) wykrywa się mutacje genów:
Pytanie 54
U 16-letniego chłopca stwierdzono w jelicie grubym kilkaset polipów o budowie gruczolaka. Badanie molekularne wykazało mutację genu, którego jednym z istotnych zadań jest regulacja:
Pytanie 55
Które z poniższych stwierdzeń odnoszących się do zmian cholestatycznych jest prawdziwe?
1) obrzęk, nacieki neutrofilne w przestrzeniach wrotnych oraz zwyrodnienie pierzaste hepatocytów występują w mechanicznej cholestazie;
2) reaktywne (odczynowe) proliferacje przewodzików żółciowych występują w mechanicznej cholestazie, pierwotnym stwardniającym zapaleniu dróg żółciowych i pierwotnej marskości żółciowej;
3) reaktywnym proliferacjom przewodzików dróg żółciowych towarzyszą głównie limfocytarne nacieki zapalne;
4) pierwotne stwardniające zapalenie dróg żółciowych polega wyłącznie na okołoprzewodowym włóknieniu bez atroficznych zmian nabłonka gruczołowego;
5) wiele zmian typu stwardniającego zapalenia dróg żółciowych współistnieje z autoimmunizacyjnym zapaleniem trzustki i jest związana z podwyższeniem IgG4.
Prawidłowa odpowiedź to:
Pytanie 56
Ciałek Mallory’ego nie spotyka się w:
Pytanie 57
Hepatocyty o szklistej, homogennej cytoplazmie (ground-glass hepatocytes):
Pytanie 58
Hepatitis fulminans, cechujące się rozległymi obszarami martwicy miąższu wątroby, najczęściej jest spowodowane przez:
1) wirusowe zapalenie wątroby głównie typu C;
2) infekcje wirusowe z grupy herpesvirus;
3) zatrucie acetaminophenem;
4) wirusowe zapalenie wątroby głównie typu B;
5) nadużycie sulfonamidów.
Prawidłowa odpowiedź to:
Pytanie 59
Przyjmowanie doustnych kobiecych środków antykoncepcyjnych jest związane z:
1) poszerzeniem zatok (sinusoidów) wątroby;
2) martwicami hepatocytów;
3) niealkoholowym zapaleniem wątroby;
4) rakiem z nabłonka dróg żółciowych;
5) gruczolakiem wątrobowokomórkowym.
Prawidłowa odpowiedź to:
Pytanie 60
U chorej na reumatoidalne zapalenie stawów stwierdzono wzrost aktywności aminotransferaz. Wykonano biopsję wątroby diagnozując przewlekłe aktywne zapalenie wątroby dużego stopnia. Najbardziej prawdopodobnym rozpoznaniem jest:
Pytanie 61
W której z wymienionych jednostek chorobowych nie występuje stłuszczenie wątroby?
Pytanie 62
Które z poniższych stwierdzeń odnoszą się do zespołu zaburzeń oddychania noworodków?
1) bezpośrednią przyczyną tego zespołu jest niedobór surfaktanta;
2) w obrazie mikroskopowym płuc stwierdza się niedodmę;
3) w obrazie mikroskopowym płuc obecne jest niedokrwienie;
4) pęcherzyki płucne wytapetowane są przez błony szkliste;
5) bezpośrednią przyczyną tego zespołu jest niedotlenienie wewnątrzmaciczne u noworodka donoszonego (np. owinięcie pępowiny wokół szyi).
Prawidłowa odpowiedź to:
Pytanie 63
Do przewlekłych obturacyjnych chorób płuc zalicza się:
1) pylicę krzemową; 4) astmę oskrzelową;
2) rozedmę płuc; 5) rozstrzenie oskrzeli.
3) sarkoidozę;
Prawidłowa odpowiedź to:
Pytanie 64
Częstymi przyczynami zespołu ostrej niewydolności oddechowej (ARDS) są:
1) zapalenia; 4) mocznica;
2) zaaspirowanie zawartości żołądka; 5) ciężki uraz ze wstrząsem.
3) zator tłuszczowy;
Prawidłowa odpowiedź to:
Pytanie 65
Błony szkliste występują w przebiegu:
1) płatowego zapalenia płuc;
2) wirusowego zapalenia płuc;
3) zespołu ostrej niewydolności oddechowej (ARDS);
4) przewlekłej restrykcyjnej choroby płuc (CRDS);
5) zespołu zaburzeń oddychania noworodków.
Prawidłowa odpowiedź to:
Pytanie 66
Które ze stwierdzeń dotyczących raka płaskonabłonkowego płuca są prawdziwe?
1) większość przypadków zlokalizowanych jest w dużych oskrzelach;
2) guzy te najczęściej rosną do światła oskrzela i mogą powodować obwodową niedodmę;
3) większość przypadków zlokalizowanych jest w części obwodowej płuca;
4) podstawowym postępowaniem terapeutycznym jest chemioterapia;
5) podstawowym postępowaniem terapeutycznym jest zabieg chirurgiczny.
Prawidłowa odpowiedź to:
Pytanie 67
Które ze stwierdzeń dotyczących raka gruczołowego płuca są prawdziwe?
1) cechuje się możliwością wytwarzania hormonu adrenokortykotropowego i antydiuretycznego;
2) zwykle rozwija się obwodowo i w związku z tym jest nowotworem skąpoobjawowym;
3) dla tego typu nowotworu charakterystyczna jest mutacja K-RAS;
4) jest nowotworem, w którym stwierdza się produkcję śluzu przez komórki nowotworowe;
5) w większości przypadków w komórkach nowotworowych stwierdza się ekspresję markerów neuroendokrynnych.
Prawidłowa odpowiedź to:
Pytanie 68
W obrazie histologicznym stwardnienia zastoinowego płuc stwierdza się:
1) płyn przesiękowy w świetle pęcherzyków płucnych;
2) martwicę przegród międzypęcherzykowych;
3) proliferację tkanki łącznej w przegrodach międzypęcherzykowych;
4) makrofagi obładowane hemosyderyną w świetle pęcherzyków płucnych;
5) makrofagi obładowane lipofuscyną w świetle pęcherzyków płucnych.
Prawidłowa odpowiedź to:
Pytanie 69
Materiał zatorowy w średniego kalibru odgałęzieniach tętnic płucnych spowoduje:
Pytanie 70
Obecność drobnych skupień komórek nabłonkowatych na terenie ośrodków namnażania grudki limfatycznej jest charakterystyczna dla niżej wymienionych, z wyjątkiem:
1) choroby Rosai-Dorfmana; 4) toksoplazmozy;
2) reumatoidalnego zapalenia stawów; 5) choroby Kimury.
3) mononukleozy zakaźnej;
Prawidłowa odpowiedź to:
Pytanie 71
Wskaż nieprawdziwe stwierdzenie dotyczące nasieniaka spermatocytowego:
Pytanie 72
Dwuletniemu chłopcu usunięto jądro z powodu guza. W obrazie histologicznym nowotworu stwierdzono struktury brodawkowate, gruczołowe i drobnotorbielkowate oraz ciałka Schillera-Duvala. W surowicy krwi stwierdzono wysoki poziom AFP. Należy rozpoznać:
Pytanie 73
Wskaż właściwe stwierdzenia dotyczące nasieniaka:
1) jest promienioczuły;
2) w około 30-40% zawiera komórki syncycjotrofoblastu rozsiane wśród komórek nowotworowych, komórkom syncycjotrofoblastu towarzyszą komórki cytotrofoblastu;
3) zbudowany jest z dość dużych, okrągłych lub wielobocznych komórek nowotworowych o jednakowych rozmiarach i jasnej cytoplazmie, granice międzykomórkowe są wyraźne;
4) zbudowany jest z gniazd anaplastycznych nabłonkowych komórek nowotworowych o dużym polimorfizmie, granice międzykomórkowe nie są wyraźnie widoczne;
5) komórki nowotworowe tworzą lite pola porozdzielane pasmami tkanki łącznej z naciekami limfocytarnymi.
Prawidłowa odpowiedź to:
Pytanie 74
25-letni chory z mieszanym guzem jądra z komórek rozrodczych, może mieć w surowicy podwyższone stężenia:
Pytanie 75
U mężczyzn po 60 roku życia, najczęstszym nowotworem jądra jest:
Pytanie 76
Wskaż zdanie nieprawdziwe dotyczące guzów jąder:
Pytanie 77
W różnicowaniu, czy naciek pęcherza moczowego jest pierwotnym rakiem z urothelium, czy też naciekiem z prostaty, który z wyników odczynów immunohistochemicznych z dużym prawdopodobieństwem odpowiada rakowi urotelialnemu?
Pytanie 78
W biopsji gruboigłowej prostaty niekiedy może wystąpić trudność różnicowania pomiędzy PIN a rozrostem komórek podstawnych. Metodą która najefektywniej wspomoże diagnostę będzie odczyn immunohistochemiczny w kierunku:
Pytanie 79
Immunoreaktywność komórek guza tarczycy : tyreoglobulina (+), kalcytonina (-), CEA(-), chromogranina (-), E-kadheryna (-) oraz wysoki indeks Ki-67 przemawia za:
Pytanie 80
Pacjenci z zapaleniem limfocytarnym tarczycy typu Hashimoto mają wyższe ryzyko zachorowania na następujący nowotwór tarczycy:
Pytanie 81
W zespole Wermera występują:
Pytanie 82
Charakterystyczną cechą raka kory nadnercza jest:
Pytanie 83
O rozpoznaniu złośliwej postaci barwiaka chromochłonnego rdzenia nadnercza decyduje:
Pytanie 84
Pierwotna nadczynność przytarczyc występuje najczęściej w:
Pytanie 85
Wskaż zdanie nieprawdziwe dotyczące nowotworów endokrynnych trzustki:
Pytanie 86
W czasie procesów towarzyszących reakcji zapalnej może dochodzić do uszkodzenia tkanek. Za ten proces odpowiada/ją:
Pytanie 87
W czasie reakcji zapalnej obserwuje się zmiany ogólnoustrojowe w postaci: podwyższenia ciepłoty ciała, wzmożonej senności, spadku łaknienia. Obserwuje się także zmiany w układach komórkowych, takie jak: wzrost aktywności prokoagulacyjnej śródbłonków, wzrost wydzielania interleukiny 6 przez leukocyty oraz proliferacja fibroblastów i wzrost produkcji kolagenu przez fibroblasty. Wszystkie te reakcje są związane ze wzrostem poziomu jednej z niżej wymienionych cytokin:
Pytanie 88
Znacząco podwyższone poziomy a-fetoproteiny w surowicy towarzyszą następującym nowotworom:
Pytanie 89
Spośród niżej wymienionych jeden z nowotworów jest jednym z najczęstszych przykładów nowotworzenia na bazie amplifikacji onkogenu. Wskaż prawidłową odpowiedź:
Pytanie 90
W których z niżej wymienionych stanów stwierdza się zwiększone ryzyko rozwoju zakrzepicy?
1) mutacja czynnika V; 4) zespół trombocytopenii indukowanej
2) niedobór antytrombiny III; heparyną;
3) zawał mięśnia sercowego; 5) niedobór żelaza.
Prawidłowa odpowiedź to:
Pytanie 91
W skład amyloidu wchodzą:
1) białko C-reaktywne; 4) białka włókienkowe o średnicy 7,5 nm;
2) białko M; 5) kompleksy lipidów z białkami.
3) komponent P;
Prawidłowa odpowiedź to:
Pytanie 92
Wskaż zdanie/a prawdziwe dotyczące procesu otłuszczenia:
1) otłuszczenie to gromadzenie tłuszczów prostych w postaci kropli wewnątrz komórki;
2) otłuszczenie to gromadzenie tłuszczów złożonych w postaci kropli wewnątrz komórki;
3) otłuszczenie to jeden z rodzajów uszkodzenia odwracalnego komórek;
4) otłuszczenie to jeden z rodzajów uszkodzenia nieodwracalnego komórek;
5) najczęstszą przyczyną otłuszczenia wątroby jest nadużywanie alkoholu lub niewłaściwa (wysokotłuszczowa) dieta;
6) narządami, w których często występuje otłuszczenie są: trzustka i serce.
Prawidłowa odpowiedź to:
Pytanie 93
Zanik to jeden z procesów adaptacyjnych komórek:
Pytanie 94
Apoptoza i martwica to dwa różniące się typy śmierci komórki, które mają też cechy wspólne:
Pytanie 95
Stymulatorem przerostu mogą być:
Pytanie 96
Zespół Chediaka-Higashiego polega na:
Pytanie 97
Do cech morfologicznych komórek apoptotycznych należą:
1) obkurczenie komórek;
2) nadmierne gromadzenie triglicerydów w cytoplazmie;
3) kondensacja chromatyny jądrowej;
4) poszerzenie kanałów siateczki śródplazmatycznej i powiększenie mitochondriów w następstwie nadmiernego gromadzenia wody;
5) fragmentacja jądra komórkowego.
Prawidłowa odpowiedź to:
Pytanie 98
Wskaż zdanie prawdziwe:
Pytanie 99
Miejscem, w którym najczęściej rozwija się szyjkowa neoplazja śródnabłonkowa (CIN) jest:
Pytanie 100
Które ze stwierdzeń są nieprawdziwe?
1) choroba Pageta sromu jest w większości przypadków śródnabłonkową proliferacją komórek nowotworowych;
2) komórki nowotworowe w chorobie Pageta sromu mogą być obecne na terenie nabłonka mieszków włosowych i gruczołów potowych;
3) chorobie Pageta sromu częściej towarzyszy rak naciekający niż w chorobie Pageta brodawki sutkowej;
4) komórki nowotworowe choroby Pageta sromu histochemicznie wybarwiają się pozytywnie wyłącznie w barwieniu metodą PAS;
5) choroba Pageta sromu wykazuje się wysoką częstością nawrotów.
Prawidłowa odpowiedź to:
Pytanie 101
Które ze stwierdzeń jest nieprawdziwe?
Pytanie 102
W diagnostyce różnicowej pomiędzy leiomyoma i leiomyosarcoma corporis uteri należy zwrócić uwagę przede wszystkim na:
1) obecność martwicy skrzepowej; 4) wielkość guza;
2) ilość mitoz na 10 DPW; 5) obecność zwapnień.
3) polimorfizm komórkowy;
Prawidłowa odpowiedź to:
Pytanie 103
Które ze stwierdzeń odnoszących się do nowotworów jajnika są prawdziwe?
1) gruczolakotorbielaki śluzowe jajnika złośliwieją częściej niż surowicze;
2) ciałka piaszczakowate są zmianą patognomoniczną dla gruczolakotorbielakoraków surowiczych;
3) guzy surowicze o granicznej złośliwości (borderline tumors) mogą naciekać podścielisko na głębokość nie większą niż
1 mm;
4) rak jasnokomórkowy jajnika rokuje gorzej niż raki surowicze;
5) nadekspresja genu HER2 i mutacja genu p53 w rakach jajnika wiążą się z gorszym rokowaniem.
Prawidłowa odpowiedź to:
Pytanie 104
Które stwierdzenie w odniesieniu do nowotworów jajnika jest nieprawdziwe?
Pytanie 105
U pacjentki oceniono stan hormonalny w rozmazie z szyjki macicy za pomocą indeksu dojrzewania, który przedstawiał się następująco: 90:10:0. Wynik ten jest charakterystyczny dla:
Pytanie 106
Cechą cytologiczną gruczolakoraka endocerwikalnego nie są:
Pytanie 107
U 45-letniej kobiety w rozmazie z szyjki macicy rozpoznano H-SIL. Jakie postępowanie powinno być wdrożone jako pierwsze?
Pytanie 108
Przyczynami obecności pobudzonych (atypowych) komórek międzybłonka w płynie z otrzewnej są:
Pytanie 109
Dla zespołu rakowiaka nie jest typowe:
Pytanie 110
Dla ostrego gruźliczego zapalenia płuc charakterystyczne są następujące stadia:
1) stłuszczenia; 4) zwątrobienia czerwonego;
2) zapalenia galaretowatego; 5) rozejścia.
3) serowacenia;
Prawidłowa odpowiedź to:
Pytanie 111
Najważniejszymi cechami mikroskopowymi odróżniającymi gruczolaka od raka pęcherzykowego minimalnie inwazyjnego są:
Pytanie 112
Cechą mikroskopową odróżniającą guzek rozrostowy od gruczolaka tarczycy jest:
Pytanie 113
Brodawkowate rozrosty do światła pęcherzyków tarczycy charakteryzujące się brakiem włóknisto-naczyniowego rdzenia charakterystyczne są dla:
Pytanie 114
Schorzenia tarczycy rozwijające się na tle immunologicznym to:
1) choroba Graves-Basedova;
2) zapalenie Hashimoto;
3) zapalenie De Quervain’a;
4) wole limfocytarne;
5) wole endemiczne wieloguzkowe.
Prawidłowa odpowiedź to:
Pytanie 115
Zespół MEN 2 A charakteryzuje występowanie:
Pytanie 116
Zespół Zollingera-Ellisona charakteryzuje:
Pytanie 117
Dla obrazu mikroskopowego zapalenia ostrego charakterystyczne są:
1) nacieki zapalne złożone przede wszystkim z limfocytów;
2) zmiany zwyrodnieniowe i ogniska martwicy w zajętym narządzie;
3) nacieki zapalne złożone głównie z neutrofilów;
4) obrzęk podścieliska i krwinkotoki;
5) rozplem ziarniny zapalnej.
Prawidłowa odpowiedź to:
Pytanie 118
Zapaleniem ziarniniakowatym nie jest:
Pytanie 119
Które z wymienionych powikłań nie występuje w przebiegu duru brzusznego?
Pytanie 120



