Wyszukaj egzamin lub pytanie
Egzamin PES Ortopedia i traumatologia narządu ruchu / wiosna 2024
120 pytań
Pytanie 1
Na obrazie tomografii komputerowej widoczne jest uszkodzenie kości piszczelowej. Jak należy je zakwalifikować?

Pytanie 2
W typie krzywkowym konfliktu udowo-panewkowego jego przyczyną jest:
Pytanie 3
U 27-letniego sportowca w badaniu klinicznym stwierdzono objawy konfliktu udowo-panewkowego w biodrze prawym. Jakie badania diagnostyczne i ilościową ocenę deformacji należy zaproponować w tym przypadku?
Pytanie 4
27-letni mężczyzna w trakcie wypadku komunikacyjnego (kierowca motocykla) upadł doznając urazu okolicy krętarzowej. W oddziale ratunkowym na podstawie zdjęcia radiologicznego rozpoznano złamanie podkrętarzowe. Wskaż dalsze postępowanie lecznicze:
Pytanie 5
12-letnia dziewczynka upadła w czasie zajęć wychowania fizycznego w szkole. Nie doznała żadnych widocznych uszkodzeń. Z uwagi na to, że zaczęła skarżyć się na dolegliwości bólowe stawu kolanowego lewego, rodzice udali się z dzieckiem do poradni ortopedycznej. Lekarz stwierdził utykanie oraz ograniczenie zgięcia, odwiedzenia i rotacji wewnętrznej w lewym stawie biodrowym. Wskaż prawidłowe postępowanie diagnostyczne i lecznicze:
Pytanie 6
Do poradni ortopedycznej zgłosił się 13-letni chłopiec z rodzicami. Lekarz stwierdził utykanie na prawą kończynę dolną, a rodzice wskazali, że objawy trwają od około 3 miesięcy i nasilają się. Wskaż najbardziej prawdopodobne podejrzenie rozpoznania na podstawie oceny wykonanej tomografii komputerowej biodra prawego:

Pytanie 7
82-letnia kobieta upadła w czasie prac domowych doznając urazu okolicy krętarzowej. W oddziale ratunkowym na podstawie zdjęcia radiologicznego rozpoznano złamanie przezkrętarzowe. Wskaż dalsze postępowanie lecznicze:
Pytanie 8
14-letnia dziewczynka zgłosiła się z bólem biodra zlokalizowanym w lewej pachwinie. W dzieciństwie leczona była z użyciem szyny Koszli. Klinicznie: stwierdzono normalny zakres ruchów, z objawem FADIR i chód z minimalnym utykaniem na stronę lewą. Wskaż prawidłowe rozpoznanie i leczenie:

Pytanie 9
U chorej w wieku 38 lat stwierdzono dysfunkcję biodra prawego spowodowaną chorobą zwyrodnieniową na tle dysplazji rozwojowej tego stawu. Planując leczenie operacyjne określ, które elementy leczenia istotnie wpływają na dobry odległy wynik leczenia z użyciem endoprotezoplastyki:
Pytanie 10
Do poradni ortopedycznej zgłosiła się matka z córką w wieku 12 lat. Głównym objawem jest koślawość lewego stawu kolanowego. Wskaż odpowiednie postępowanie diagnostyczne i lecznicze:
Pytanie 11
U 65-letniego mężczyzny ze złamaniem trzonu kręgu L1 powstałym po upadku z własnej wysokości wykonano biopsję przeznasadową z trzonu złamanego kręgu L1. Najbardziej prawdopodobnym rozpoznaniem histopatologicznym postawionym na podstawie materiału z ww. biopsji będzie:
Pytanie 12
Klasyfikacja wg Andersona i d’Alonzo dotyczy:
Pytanie 13
Objaw Gowersa jest charakterystyczny dla:
Pytanie 14
Do poradni ortopedycznej zgłosiła się z rodzicami 13-letnia dziewczynka w celu uzyskania niezależnej opinii odnośnie sposobu leczenia. Przed 3 miesiącami podczas badań w szkole wysunięto podejrzenie skoliozy. Chora została skierowana przez lekarza podstawowej opieki zdrowotnej do poradni ortopedycznej. W poradni ortopedycznej wykonano zdjęcie rentgenowskie kręgosłupa w pozycji stojącej, na podstawie którego rozpoznano skoliozę idiopatyczną piersiową prawostronną z kątem Cobba 65 st, a test Rissera określono jako 1. W poradni ortopedycznej zalecono leczenie gorsetowe z powodu niedojrzałości szkieletu. W tej sytuacji klinicznej należy zalecić:
Pytanie 15
Jałowa martwica głowy drugiej kości śródstopia nazywana jest:
Pytanie 16
U chorych z zespołem Downa (trisomia 21) występuje zwiększone ryzyko:
Pytanie 17
Najczęstszym typem złamania końca dalszego kości ramiennej u osób w wieku rozwojowym jest:
Pytanie 18
Objaw Thompsona stwierdza się w przypadku:
Pytanie 19
U 3-letniego dziecka podczas leczenia infekcji bakteryjnej górnych dróg oddechowych wystąpiło przymusowe ustawienie głowy i szyi w zgięciu i skręceniu w stronę lewą. Najbardziej prawdopodobną przyczyną jest:
Pytanie 20
Wskaż prawdziwe stwierdzenie:
Pytanie 21
Tkanka kostna pełni funkcje:
Pytanie 22
Wskazaniem do rewaskularyzacji kości księżycowatej przeszczepem uszypułowanym z nasady dalszej kości promieniowej w chorobie Kienbocka jest:
Pytanie 23
W wyniku sprzężenia i równowagi pomiędzy procesem resorpcji i kościotworzenia zachowana zostaje masa szkieletu. Jednak już w kilka lat po osiągnięciu szczytowej masy kości:
Pytanie 24
Macierz organiczna kości:
Pytanie 25
Wskaż prawdziwe stwierdzenia dotyczące złamań przeciążeniowych/zmęczeniowych:
1) 95% złamań zmęczeniowych jest zlokalizowanych w kończynach dolnych;
2) złamanie kości strzałkowej nazywane jest „złamaniem biegaczy”;
3) jeśli złamanie jest „nieme radiologicznie” złotym standardem jest wykonanie scyntygrafii z technetem 99;
4) złamania atypowe są odmianą złamań powolnych a ich najczęstszą lokalizacją jest trzon kości ramiennej;
5) najczęstszą lokalizacją złamań zmęczeniowych są kości śródstopia.
Prawidłowa odpowiedź to:
Pytanie 26
Do oceny zaawansowania zmian zwyrodnieniowych stawu promieniowo-nadgarstkowego służy klasyfikacja:
Pytanie 27
Przyczyną powstania tak zwanego barku pływającego jest:
Pytanie 28
Wskaż prawdziwe stwierdzenia dotyczące wrodzonego biodra szpotawego:
1) leczenie operacyjne wskazane jest w okresie pomiędzy 18. a 24. miesiącem życia;
2) nawroty wady po zastosowanym leczeniu są bardzo częste;
3) w rozpoznaniu różnicowym należy wziąć pod uwagę rozwojową dysplazję stawu biodrowego;
4) w badaniu klinicznym stwierdza się ujemny objaw Trendelenburga-Duchenne’a;
5) kąt szyjkowo-trzonowy przekracza 110 stopni.
Prawidłowa odpowiedź to:
Pytanie 29
Wskaż prawdziwe stwierdzenia dotyczące mięsaka kościopochodnego:
1) wytwarza kostninę;
2) najczęściej umiejscawia się w odcinku lędźwiowym kręgosłupa;
3) kostniakomięsak powierzchniowy najczęściej zlokalizowany jest w okolicy końca bliższego kości ramiennej;
4) kostniakomięsak rdzeniowy najczęściej występuje po 60. roku życia;
5) ryzyko zachorowania na mięsaka wzrasta u chorych z chorobą Pageta.
Prawidłowa odpowiedź to:
Pytanie 30
Oznaczenie D-dimerów w diagnostyce zakrzepicy żył głębokich ma szczególnie istotną wartość diagnostyczną:
Pytanie 31
Naukowe dowody medyczne wskazują na istotnie zwiększone ryzyko zakażenia okołoprotezowego po iniekcji dostawowej w przypadku protezoplastyki biodra i kolana i nakazują odroczenie operacji bezwzględnie o:
Pytanie 32
Który rodzaj artykulacji stosowany w protezoplastyce stawu biodrowego jest obarczony najwyższym ryzykiem wystąpienia zakażenia okołoprotezowego?
Pytanie 33
Do zwichnięcia tylnego endoprotezy bipolarnej najczęściej dochodzi wskutek:
Pytanie 34
Procedura DAIR jest stosowana:
Pytanie 35
Jakie są przeciwwskazania do stosowania antybiotyków w czasowym „spacerze” cementowym w leczeniu zakażenia okołoprotezowego stawu biodrowego?
1) okres terapeutycznego uwalniania krótszy niż 6 tygodni;
2) stosowanie drenażu pooperacyjnego;
3) brak wrażliwości wyhodowanego patogenu;
4) obserwowana wcześniej reakcja niepożądana;
5) termoniestabilność.
Prawidłowa odpowiedź to:
Pytanie 36
W protezoplastyce rewizyjnej panewki stawu biodrowego wykonywanej z dostępu tylnego, nadmierne preparowanie i odsuwanie mięśnia pośladkowego wielkiego grozi uszkodzeniem:
Pytanie 37
W artrotycznym kolanie koślawym podczas protezoplastyki z użyciem typowych narzędzi i przymiarów śródoperacyjnych istnieje zwiększone ryzyko:
Pytanie 38
W leczeniu początkowych postaci artrozy przedziału przyśrodkowego kolana z deformacją szpotawą można wykonać:
Pytanie 39
Wskaż fałszywe stwierdzenie dotyczące uszkodzenia więzozrostu piszczelowo-strzałkowego:
Pytanie 40
Stabilne osadzenie bezcementowego trzpienia rewizyjnego przy ubytkach segmentowych ściany kości udowej przekraczających 30% średnicy kości jest możliwe, jeżeli trzpień bezcementowy sięga obwodowo od ubytku na odległość co najmniej:
Pytanie 41
W przypadku braku możliwości rekonstrukcji nerwu szwem koniec do końca wykorzystuje się przeszczepy nerwu. W tym celu pobiera się nerw:
Pytanie 42
Leczeniem z wyboru palca młoteczkowatego ręki, na skutek złamania paliczka dalszego, które nie przekracza 10% powierzchni stawowej jest:
Pytanie 43
Uraz łokcia w wypadku motocyklowym. Złamanie głowy kości promieniowej z jej rozkawałkowaniem jest wskazaniem do:
Pytanie 44
Samoistne zerwanie długiego prostownika kciuka (EPL) jest wskazaniem do:
Pytanie 45
W drugim przedziale troczka prostowników palców ręki znajduje/ą się:
Pytanie 46
Kluczowymi dla rekonstrukcji ścięgien zginaczy palców ręki są troczki:
Pytanie 47
Wyraźne skrócenie kości łokciowej bez urazu, względem kości promieniowej na zdjęciu RTG wykonanym w pełnej supinacji przedramienia (ulna - ), predysponuje do:
Pytanie 48
W przypadku braku funkcji nerwu promieniowego jako powikłanie po operacyjnym zespoleniu trzonu kości ramiennej w drugiej dobie po operacji, najistotniejszym badaniem jest:
Pytanie 49
Złamanie kości łódeczkowatej jest charakterystyczne dla:
Pytanie 50
Krytycznym czasem zimnego niedokrwienia (ok. 4°C) amputatu, który nie zawiera tkanki mięśniowej, do momentu replantacji jest czas:
Pytanie 51
Najważniejsze czynniki prognostyczne dobrego wyniku leczenia choroby Perthesa to:
1) stopień zniekształcenia głowy kości udowej;
2) granica wieku 5 lat;
3) stopień zajęcia głowy kości udowej;
4) czas trwania choroby;
5) płeć - gorsze rokowanie u chłopców.
Prawidłowa odpowiedź to:
Pytanie 52
Wskazaniem do leczenia zachowawczego złamań kości łódeczkowatej jest:
Pytanie 53
W postępowaniu replantacyjnym kończyny górnej istotne znaczenie ma postępowanie pooperacyjne. Które z wymienionych problemów mają istotny wpływ na losy przyszytej kończyny?
Pytanie 54
Argumentem przemawiającym za stosowaniem endoprotezy stawu kolanowego typu PS jest:
Pytanie 55
Pomiary długości kończyn pozwalają na wysunięcie wniosków rozpoznawczych. Pomiar długości bezwzględnej jest uzależniony od:
Pytanie 56
W przebiegu choroby Blounta dochodzi do deformacji piszczeli. Elementami deformacji są:
Pytanie 57
Wyrośla chrzęstno-kostne:
1) to najczęstsze łagodne zmiany kostne;
2) mogą być pojedyncze lub mnogie;
3) występują najczęściej u dzieci;
4) mogą ulec zezłośliwieniu;
5) leczenie polega na ich usunięciu.
Prawidłowa odpowiedź to:
Pytanie 58
W zakażeniach okołoprotezowych najmniej wartościowym badaniem jest:
Pytanie 59
Obrazem klinicznym uszkodzenia nerwu pośrodkowego jest zaburzenie czucia:
Pytanie 60
Aktualnie najczęściej stosowaną klasyfikacją jałowej martwicy głowy kości udowej u dzieci w chorobie Perthesa jest klasyfikacja:
Pytanie 61
Wskaż prawdziwe stwierdzenia dotyczące złamań kości u dzieci:
1) charakteryzują się sezonowym występowaniem;
2) większość z nich dotyczy kości przedramienia;
3) występują najczęściej w wieku 1-10 lat;
4) są spowodowane upadkiem jednopoziomowym;
5) drugie miejsce wśród złamań kości u dzieci zajmuje obojczyk.
Prawidłowa odpowiedź to:
Pytanie 62
Czynnikiem klinicznym ryzyka w chorobie Perthesa nie jest:
Pytanie 63
Wskaż prawdziwe stwierdzenia dotyczące klatki piersiowej lejkowatej:
1) najskuteczniejszą metodą leczenia jest leczenie operacyjne;
2) operacja Nussa jest małoinwazyjną techniką operacyjną klatki piersiowej lejkowatej;
3) najlepszym okresem na wykonanie korekcji wady jest okres dojrzewania;
4) korekcję klatki piersiowej lejkowatej wykonuje się także u dorosłych;
5) wskazaniem do korekcji operacyjnej jest ucisk na serce lub płuca.
Prawidłowa odpowiedź to:
Pytanie 64
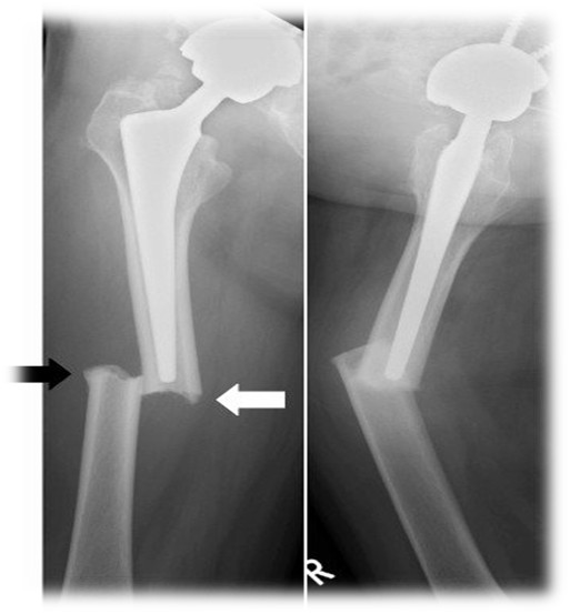
rzedstawiony radiogram wskazuje na złamanie okołoprotezowe typu:

Pytanie 65
W ocenie ultrasonograficznej stawu biodrowego noworodka, badanego metodą Grafa, kąt alfa określa:
Pytanie 66
Dodatni objaw Trendelenburga stwierdza się badając staw:
Pytanie 67
U 2/3 pacjentów ognisko przerzutu nowotworu do kości pochodzi z:
Pytanie 68
Wieloogniskowe zmiany typu chrzęstniak umiejscowione niesymetrycznie, zwykle z zajęciem kości śródręcza lub kości stóp (przedstawione na rycinach) są określone jako:

Pytanie 69
Złamanie typu II plateau piszczeli wg klasyfikacji Schatzkera to złamanie:
Pytanie 70
Podstawową przyczyną schorzenia osteogenesis imperfecta jest:
Pytanie 71
Ryzyko zakażenia okołoprotezowego stawu biodrowego jest podwyższone u chorych z:
Pytanie 72
Zwichnięcie stawu kolanowego jest pilnym stanem w ortopedii i traumatologii. 20%-50% zwichnięć może ulec samoistnemu nastawieniu. Najczęściej dochodzi do zwichnięcia kolana podczas urazu wysokoenergetycznego, a co najmniej 3 z 4 głównych struktur więzadłowych kolana ulegają uszkodzeniu. Wskaż prawdziwe stwierdzenia dotyczące tej patologii:
1) zwichnięcie nastawia się w trybie pilnym nie czekając niejednokrotnie na zdjęcie rentgenowskie, ponieważ ocena wizualna w przypadku zwichnięcia kolana wystarczy;
2) objawy uszkodzenia kompleksu tylno-bocznego, z ang. PLC, objawiają się dodatnim testem szpotawienia przy zgiętym stawie kolanowym do 30°, jak i w pełni wyprostowanym, zwiększoną rotacją zewnętrzną podudzia oraz nasiloną translacją tylną podudzia;
3) konieczna jest dokładna ocena ukrwienia kończyny, częstość uszkodzeń tętnicy podkolanowej wynosi 20-40%;
4) jeśli po repozycji tętno na obwodzie kończyny jest słabe, wskazane jest wykonanie angio-TK;
5) najczęściej dochodzi do zwichnięć bocznych wg klasyfikacji Kennedy’ego.
Prawidłowa odpowiedź to:
Pytanie 73
Ścięgno Achillesa jest najczęściej uszkadzanym ścięgnem ludzkiego organizmu, etiologia uszkodzeń jest często wieloczynnikowa, a istotne znaczenie mają powtarzające się mikroprzeciążenia. Wskaż prawdziwe stwierdzenia dotyczące problematyki urazów tego ścięgna:
1) najczęściej do uszkodzenia dochodzi w miejscu przyczepu ścięgna - entezy - do kości piętowej, z uwagi na osłabione ukrwienie tej okolicy tzw. watershed area;
2) ścięgno Achillesa nie posiada własnej pochewki maziowej, natomiast otoczone jest przez ościęgno, które pozwala na ślizg ścięgna;
3) ścięgno ukrwione jest poprzez naczynia pochodzące ze strefy mięśniowo-naczyniowej, przyczepu kostnego, ościęgna;
4) testem klinicznym stwierdzającym przerwanie ciągłości ścięgna i jego niewydolność jest test Thompsona;
5) testem klinicznym stwierdzającym przerwanie ciągłości ścięgna i jego niewydolność jest test Thomasa.
Prawidłowa odpowiedź to:
Pytanie 74
Powszechnie wiadomo, że uszkodzenie więzadła krzyżowego przedniego prowadzi do niestabilności przednio-bocznej, w części przypadków zerwaniu ulega nie tylko więzadło krzyżowe przednie, ale także struktury przednio-boczne stawu. Obecnie techniki stosowane w przypadku występowania złożonej niestabilności przednio-bocznej i rotacyjnej sprowadzają się do rekonstrukcji tych struktur lub tenodezy bocznej. Wskaż prawdziwe stwierdzenia:
1) metoda tenodezy bocznej wg MacIntosha wymaga wiercenia kanału udowego;
2) metoda tenodezy bocznej wg Lemair’a nie wymaga wiercenia kanału udowego;
3) metoda tenodezy bocznej wg Marcacciego i Zaffagniniego wykorzystuje pasmo biodrowo-piszczelowe celem stabilizacji rotacyjnej;
4) jednym ze wskazań do tenodezy bocznej jest rewizyjna operacja uszkodzonego więzadła krzyżowego przedniego;
5) jednym ze wskazań do tenodezy bocznej jest pierwotna operacja uszkodzonego więzadła krzyżowego przedniego u pacjenta zawodowo zajmującego się sportem.
Prawidłowa odpowiedź to:
Pytanie 75
Śmiertelność związana z zakażeniami okołoprotezowymi stawów biodrowych wynosi:
Pytanie 76
Według podziału Tsukayamy zakażeń okołoprotezowych stawu biodrowego:
1) wczesna infekcja pooperacyjna ma początek do 1. miesiąca od operacji, a późna infekcja pooperacyjna ma początek od 2. miesiąca od operacji;
2) wczesna infekcja pooperacyjna ma początek do 3. miesiąca od operacji, a późna od 5. miesiąca od operacji;
3) wczesna infekcja pooperacyjna ma początek do 2 miesięcy od operacji, a późna od 3 miesięcy;
4) ostre krwiopochodne zakażenie ma początek do 7. dnia od operacji, przy współistniejącym odległym źródle zakażenia;
5) ostre krwiopochodne zakażenie ma początek ponad miesiąc od operacji, przy współistniejącym odległym źródle zakażenia.
Prawidłowa odpowiedź to:
Pytanie 77
Leczenie późnego, głębokiego zakażenia okołoprotezowego stawu biodrowego polega na:
Pytanie 78
Podwyższona wartość CRP u pacjentów bez zakażenia po endoprotezoplastyce pierwotnej stawu biodrowego może się utrzymywać do:
Pytanie 79
Wskaż fałszywe stwierdzenie dotyczące jednofragmentowych złamań spiralnych kości długich:
Pytanie 80
Kompresję międzyodłamową uzyskuje się przez zastosowanie śruby ciągnącej, gdy w złamanej kości korowej wykona się otwory poślizgowe i gwintowane w bliższej i przeciwległej warstwie korowej:
Pytanie 81
Podczas zespalania poprzecznego złamania kości długiej płytką dynamicznej kompresji (DCP) docisk osiowy odłamów osiąga się po wkręceniu śrub po jednej stronie złamania i następnie wywierceniu otworu dla śruby wkręcanej w przeciwległy odłam:
Pytanie 82
Rozwiercanie jamy szpikowej celem wprowadzenia gwoździa sródszpikowego w leczeniu złamań kości długich:
1) uszkadza ukrwienie śródkostne;
2) uszkadza ukrwienie odokostnowe;
3) podnosi ciśnienie w jamie szpikowej;
4) wpływa na wzrost częstości zatorowości płucnej;
5) prowadzi do uzyskania bezwzględnej stabilności odłamów.
Prawidłowa odpowiedź to:
Pytanie 83
W nowoczesnym podejściu do leczenia złamań stawowych dorosłych:
Pytanie 84
W złamaniach końca bliższego kości ramiennej stosuje się często dostęp w bruździe naramienno-piersiowej. W tym dojściu nie zlokalizuje się:
Pytanie 85
Złamanie poprzeczne trzonu kości ramiennej jest:
Pytanie 86
Najmocniejsze mechanicznie zespolenie jednofragmentowego złamania wyrostka łokciowego to:
Pytanie 87
Dojście operacyjne stosowane w zespoleniu jednofragmentowego złamania wyrostka łokciowego powinno:
Pytanie 88
Do złamania głowy kości promieniowej dochodzi w wyniku:
Pytanie 89
Wskaż fałszywe stwierdzenie dotyczące złamań zamkniętych trzonów kości przedramienia:
Pytanie 90
Pourazowe zaburzenia funkcji nerwów przebiegających w okolicy obwodu przedramienia występujące w złamaniach końca dalszego kości promieniowej, według częstości występowania od najczęściej do najrzadziej to:
Pytanie 91
W leczeniu złamań kręgosłupa pogranicza piersiowo-lędźwiowego (Th12, L1) wprowadza się śruby przeznasadowe pod odpowiednim kątem w stosunku do linii środkowej (płaszczyzny strzałkowej), który wynosi na tej wysokości kręgosłupa:
Pytanie 92
Całkowite uszkodzenie rdzenia kręgowego prowadzące do natychmiastowej śmierci to uszkodzenie na wysokości:
Pytanie 93
Złamaniom kości piętowych, wynikającym z upadku z wysokości towarzyszą inne obrażenia układu kostno-szkieletowego. Należą tu jednocześnie złamania:
Pytanie 94
Wgniecenie powierzchni stawowej głowy kości ramiennej - objaw Hilla-Sachsa na przedniej powierzchni to objaw przebytego zwichnięcia:
Pytanie 95
Do rozległych uszkodzeń rdzenia kręgowego, pomimo niewielkich przemieszczeń kostnych kręgosłupa, wynikających z niewielkiej „rezerwy przestrzennej” w kanale kręgowym, dochodzi w odcinku:
Pytanie 96
Uszkodzenie funkcji czuciowej nerwu łokciowego powoduje zaburzenia czucia powierzchni dłoniowej:
Pytanie 97
U chorego ze złamaniem szyjki kości udowej nie występuje:
Pytanie 98
W endoprotezoplastyce rewizyjnej stawu kolanowego optymalne osadzenie implantów:
Pytanie 99
Skrót DAIR w odniesieniu do alloplastyki oznacza:
Pytanie 100
Mięsak kościopochodny - osteosarcoma:
Pytanie 101
Spośród rozlicznych dostępnych systemów kwalifikacji wrodzonego niedorozwoju kości udowej, w Polsce do podejmowania decyzji terapeutycznych stosowana jest klasyfikacja:
Pytanie 102
Wskaż prawdziwe stwierdzenie dotyczące złamań podkrętarzowych kości udowej:
Pytanie 103
Do poradni ortopedycznej zgłosili się rodzice z 5-letnim chłopcem, którego dwa tygodnie temu zaopatrzono w SOR z powodu nagłego utykania, prawdopodobnie po nieznacznym upadku w przedszkolu. W ramach SOR wykonano RTG miednicy w projekcji AP (brak dostępnych obrazów, w dostępnej dokumentacji opis radiologa „bez uchwytnych zmian urazowych”), w karcie wypisowej z SOR zaznaczono, że stwierdzono niewielką ilość płynu w stawie biodrowym lewym; zlecono ibuprofen. Obecnie dziecko porusza się sprawnie, bez utykania i nie zgłasza dolegliwości. Wobec tego należy:
Pytanie 104
W przypadku stosowania do zespolenia trzonu kości piszczelowej śrub o średnicy 4,5 mm i zastosowania techniki śruby ciągnącej, prawidłowym postępowaniem jest użycie:
Pytanie 105
Mięsień pośladkowy średni oddziałuje na odłam bliższy w złamaniach trzonu kości udowej przede wszystkim w następujący sposób:
1) zgina;
2) prostuje;
3) rotuje do wewnątrz;
4) rotuje na zewnątrz;
5) odwodzi.
Prawidłowa odpowiedź to:
Pytanie 106
Wskaż fałszywe stwierdzenie dotyczące leczenia operacyjnego złamań 1/3 dalszej piszczeli:
Pytanie 107
Złotym standardem, w którym z niżej wymienionych jest gwoździowanie śródszpikowe?
Pytanie 108
Wskaż fałszywe stwierdzenie dotyczące operacyjnego zespolenia złamania szyjki kości udowej:
Pytanie 109
Które z poniższych, dotyczące możliwej konfiguracji śrub w czasie operacyjnego zespolenia złamania szyjki kości udowej jest fałszywe?
Pytanie 110
W złamaniu szyjki kości skokowej typu II-IV w klasyfikacji według Hawkinsa do zabiegu najczęściej stosuje się następujący dostęp:
Pytanie 111
W leczeniu kompleksowego zespołu bólu regionalnego (choroby Sudecka) najistotniejszym postępowaniem jest:
Pytanie 112
Przy rozpoznaniu złamania niskoenergetycznego jednego kręgu (Th 6) w diagnostyce różnicowej należy uwzględnić:
1) osteoporozę;
2) chorobę Pageta;
3) przerzut nowotworowy;
4) szpiczaka mnogiego;
5) chorobę Scheuermanna.
Prawidłowa odpowiedź to:
Pytanie 113
U 78-letniej pacjentki, pensjonariuszki domu pomocy społecznej, skarżącej się na rozlane bóle kostne, osłabienie siły głównie proksymalnych mięśni bez innych istotnych dolegliwości, w pierwszej kolejności należy podejrzewać:
Pytanie 114
Wskaż prawdziwe stwierdzenia dotyczące osteoporotycznych złamań kręgosłupa:
1) powinny być hospitalizowane;
2) są bezobjawowe w 60%;
3) wymagają unieruchomienia w opatrunku gipsowym;
4) są złamaniami stabilnymi;
5) są wskazaniami do wertebroplastyki.
Prawidłowa odpowiedź to:
Pytanie 115
Pacjentka w wieku 45 lat z izolowanymi dolegliwościami bólowymi ze strony palucha koślawego stopy prawej, konfliktem z dobraniem obuwia, bez metatarsalgii i deformacji palców II-V, bez istotnej hipermobilności I promienia stopy. W radiogramach stóp AP + BOK na stojąco stwierdza się: kąt koślawości palucha 30 stopni, kąt intermetatarsalny I-II 14 stopni, podwichnięcie boczne trzeszczek, kąt koślawości międzypaliczkowej palucha 12 stopni, kąt nachylenia dystalnej powierzchni stawowej głowy I kości śródstopia 12 stopni, bez zmian zwyrodnieniowych stawu śródstopno-palcowego I. Pacjentkę należy zakwalifikować do:
Pytanie 116
Dostęp przednio-przyśrodkowy do stawu kolanowego może wiązać się z uszkodzeniem następującej struktury:
1) gałąź podrzepkowa nerwu udowego;
2) gałąź nadrzepkowa nerwu udowego;
3) nerw strzałkowy wspólny;
4) nerw piszczelowy;
5) żyła odpiszczelowa.
Prawidłowa odpowiedź to:
Pytanie 117
W oddzielającej martwicy chrzęstno-kostnej kości skokowej (OCD):
1) uszkodzenie zlokalizowane w części tylno-przyśrodkowej może powstać w mechanizmie zgięcia podeszwowego oraz inwersji stopy;
2) uszkodzenie zlokalizowane w części przednio-bocznej może powstać w mechanizmie zgięcia podeszwowego oraz inwersji stopy;
3) uszkodzenia po stronie przyśrodkowej występują częściej niż po stronie bocznej;
4) uszkodzenia po stronie bocznej występują częściej niż po przyśrodkowej;
5) uszkodzenia po stronie bocznej częściej ulegają przemieszczeniu;
6) uszkodzenia po stronie przyśrodkowej częściej ulegają przemieszczeniu.
Prawidłowa odpowiedź to:
Pytanie 118
Przeciwwskazaniami do wykonania jednoprzedziałowej alloplastyki stawu kolanowego są:
1) koślawość stawu kolanowego > 5 stopni;
2) przykurcz zgięciowy stawu kolanowego 15 stopni lub większy;
3) zakres ruchomości stawu kolanowego < 90 st.;
4) szpotawość stawu kolanowego > 5 stopni;
5) niewydolność więzadła krzyżowego przedniego (ACL);
6) uszkodzenia chrząstki w obrębie drugiego, niewymienianego przedziału;
7) artroza na tle zapalnym;
8) przykurcz zgięciowy stawu kolanowego 5 stopni.
Prawidłowa odpowiedź to:
Pytanie 119
Wykonując zespolenie złamania głowy kości promieniowej implanty (płytkę) umieszcza się na:
Pytanie 120



