Wyszukaj egzamin lub pytanie
Egzamin PES Ortopedia i traumatologia narządu ruchu / wiosna 2023
120 pytań
Pytanie 1
Wrodzona łamliwość kości jest skutkiem:
Pytanie 2
Do czynników ryzyka chondrolizy w przebiegu młodzieńczego złuszczenia głowy kości udowej należą:
1) unieruchomienie stawu biodrowego w opatrunku gipsowym;
2) penetracja implantów do stawu biodrowego;
3) niedokrwistość;
4) jednostronne młodzieńcze złuszczenie głowy kości udowej;
5) terapia niesteroidowymi lekami przeciwzapalnymi.
Prawidłowa odpowiedź to:
Pytanie 3
12-letni, otyły chłopiec zgłosił się z matką do poradni ortopedycznej z powodu trwających od około 6 tygodni dolegliwości bólowych prawego stawu kolanowego. Dolegliwości nasilają się podczas chodzenia. Chłopiec neguje jakikolwiek uraz w ostatnich miesiącach, nie jest aktywny ruchowo. Dziecko nie choruje przewlekle, nie przyjmuje żadnych leków. W przebiegu badania przedmiotowego można spodziewać się stwierdzenia:
Pytanie 4
Według klasyfikacji Andersona i D’Alonzo złamanie zęba obrotnika (drugiego kręgu szyjnego) typu II charakteryzuje się:
1) przebiegiem szczeliny złamania przez trzon obrotnika;
2) przebiegiem szczeliny złamania przez talię zęba obrotnika;
3) istotnym ryzykiem braku zrostu;
4) występowaniem u osób starszych w wyniku urazu o małej energii;
5) awulsyjnym uszkodzeniem szczytu zęba obrotnika.
Prawidłowa odpowiedź to:
Pytanie 5
Wskaż strukturę anatomiczną, która jest narażona na największe ryzyko uszkodzenia podczas zabiegu operacyjnego discektomii i spondylodezy międzytrzonowej z dostępu przedniego segmentu ruchowego pomiędzy czwartym kręgiem szyjnym (C4) a piątym kręgiem szyjnym (C5) wykonywanego z dostępu po stronie lewej:
Pytanie 6
Wskazaniami do rozpoczęcia leczenia gorsetowego skoliozy idiopatycznej młodzieńczej są:
1) brak współpracy ze strony chorego;
2) wartości kąta Cobba przekraczające 20°-25°;
3) kąt rotacji tułowia mierzony skoliometrem wynoszący 20°-25°;
4) dodatni test Rissera;
5) ujemny test Rissera.
Prawidłowa odpowiedź to:
Pytanie 7
Wskaż prawdziwe stwierdzenia dotyczące zapalenia krążka międzykręgowego:
1) występuje głównie u osób dorosłych;
2) wywoływane jest najczęściej przez ziarniaki Gram-ujemne;
3) wywoływane jest najczęściej przez prątki kwasooporne;
4) występuje najczęściej w kręgosłupie lędźwiowym;
5) u dzieci wymaga najczęściej leczenia nieoperacyjnego.
Prawidłowa odpowiedź to:
Pytanie 8
Wskaż prawdziwe stwierdzenie dotyczące cech charakterystycznych tzw. ręki spastycznej:
Pytanie 9
Do charakterystycznych cech skolioz dystroficznych występujących u chorych z neurofibromatozą typu 1 należą:
1) krótki i ostry łuk skrzywienia;
2) kifoza na szczycie skrzywienia;
3) brak progresji w okresie wzrastania;
4) wrodzone wady segmentacji kręgów;
5) poszerzenie kanału kręgowego i otworów międzykręgowych.
Prawidłowa odpowiedź to:
Pytanie 10
Wskaż prawdziwe stwierdzenia dotyczące dziecka z przepukliną oponowo-rdzeniową z zachowaną czynnością neurosegmentów do L4 włącznie:
1) należy do grupy III według Sharrarda;
2) należy do grupy IV według Sharrarda;
3) ma zachowaną pełną siłę zginaczy i przywodzicieli stawów biodrowych;
4) obarczone jest zwiększonym ryzykiem wystąpienia porażennego zwichnięcia stawów biodrowych;
5) obarczone jest zwiększonym ryzykiem wystąpienia złamań patologicznych.
Prawidłowa odpowiedź to:
Pytanie 11
Podczas zabiegów rewizyjnych panewki, implantacja nowej panewki bezcementowej może wiązać się z użyciem śrub przezpanewkowych. Wasielewski i wsp. opracowali użyteczny klinicznie system określania bezpiecznych obszarów wprowadzania śrub. System opierający się na wyznaczeniu dwóch linii, jednej wykreślonej od kolca biodrowego przedniego górnego przez środek panewki i drugiej poprowadzonej prostopadle do pierwszej, tworzy cztery kwadranty. Najbezpieczniejszy kwadrant panewki to:
Pytanie 12
Uszkodzenie trzpienia endoprotezy jest rzadkim powikłaniem po przebytej endoprotezoplastyce stawu biodrowego. Jeśli jednak dojdzie do takiego powikłania to:
Pytanie 13
Według klasyfikacji Khanuja i wsp. trzpień endoprotezy stawu biodrowego typu 6 jest trzpieniem:
Pytanie 14
Przy stosowaniu cementowanego trzpienia w kości udowej podczas alloplastyki stawu biodrowego, optymalna warstwa cementu powinna wynosić około:
Pytanie 15
Wskaż pożądane cechy antybiotyków dodawanych do cementu kostnego, używanego do leczenia zakażonych sztucznych stawów biodrowych i kolanowych:
1) termostabilność;
2) niskie powinowactwo do wiązania z białkami osocza;
3) wysokie powinowactwo do wiązania z białkami osocza;
4) dostępność w formie płynnej, aby nie zwiększać porowatości cementu;
5) duża różnica między dawką terapeutyczną a toksyczną;
6) szerokie spektrum działania.
Prawidłowa odpowiedź to:
Pytanie 16
Wskaż typowe anatomiczne położenie nerwu kulszowego narażonego na uszkodzenie podczas protezoplastyki stawu biodrowego, wykonywanej z dostępu tylnego lub tylno-bocznego:
Pytanie 17
Który z podziałów ubytków tkanki kostnej panewki nie występuje w ortopedii?
Pytanie 18
Osteotomia bliższego końca piszczeli wg Maqueta oznacza:
Pytanie 19
Do czynników ryzyka jałowej martwicy kości udowej u osoby dorosłej należą:
1) nadużywanie alkoholu;
2) stosowanie glikokortykosteroidów;
3) palenie tytoniu;
4) koagulopatie;
5) przewlekłe zapalenie trzustki.
Prawidłowa odpowiedź to:
Pytanie 20
W przypadku alloplastyki stawu kolanowego zmiany okołooperacyjnej profilaktyki antybiotykowej wymagają pacjenci:
Pytanie 21
Artykulacji metal-metal nie stosuje się w przypadku:
1) pacjentów poniżej 30. roku życia;
2) pacjentów uczulonych na metale;
3) pacjentów z niewydolnością nerek;
4) kobiet w okresie rozrodczym;
5) kobiet z nadczynnością tarczycy.
Prawidłowa odpowiedź to:
Pytanie 22
Podczas kontroli po przebytej endoprotezoplastyce stawu biodrowego pacjent zgłasza ból rozruchowy w okolicy pachwiny. Objaw ten może wskazywać na:
Pytanie 23
Przy rozpoznaniu złamania niskoenergetycznego jednego kręgu (Th6) w diagnostyce różnicowej należy uwzględnić:
1) osteoporozę;
2) chorobę Pageta;
3) przerzut nowotworowy;
4) szpiczaka mnogiego;
5) chorobę Scheuermanna.
Prawidłowa odpowiedź to:
Pytanie 24
U każdej chorej z niskoenergetycznym złamaniem typu Collesa niezależnie od leczenia złamania należy bezzwłocznie:
1) wdrożyć prewencję upadków;
2) przeprowadzić diagnostykę różnicową;
3) poinformować o ryzyku kolejnych złamań;
4) rozpoznać osteoporozę i wdrożyć adekwatne leczenie;
5) wykonać badanie densytometryczne DXA drugiego przedramienia.
Prawidłowa odpowiedź to:
Pytanie 25
Określenie „zrost opóźniony kości łódeczkowatej” oznacza brak zrostu w okresie:
Pytanie 26
Awulsyjne uszkodzenie ścięgna zginacza głębokiego palca ręki:
Pytanie 27
Złamania obojczyka są zlokalizowane w części przyśrodkowej, środkowej i bocznej. Które z nich występują najrzadziej, a które najczęściej?
Pytanie 28
Mężczyzna o masie ciała 75 kg, leczony wyciągiem szkieletowym kończyny dolnej nie powinien mieć zastosowanego wyciągu większego niż z użyciem ciężarków:
Pytanie 29
Lecząc uraz kończyny dolnej opatrunkiem gipsowym udowym ustawia się kolano:
Pytanie 30
Wskazania do leczenia operacyjnego złamania kości piętowej to:
1) złamanie wyrostka przedniego obejmujące 10% powierzchni stawu piętowo-sześciennego;
2) złamanie z przemieszczeniem guza piętowego;
3) złamania pozastawowe z minimalnym przemieszczeniem;
4) przemieszczone złamania obejmujące powierzchnię stawową skokową tylną;
5) nieprzemieszczone złamanie śródstawowe;
6) złamanie ze zwichnięciem.
Prawidłowa odpowiedź to:
Pytanie 31
Panewka dwumobilna jest dobrym wskazaniem w przypadku rewizji stawu biodrowego z powodu:
Pytanie 32
W czasie zespolenia śródszpikowego części dystalnej kości udowej śruby odbojowe (poller screws) odpowiadają za:
1) kontrolę zagięcia kątowego;
2) kontrolę przesunięcia odłamu dalszego;
3) substytut kontaktu gwoździa z kością korową;
4) kontrolę rotacji;
5) kontrolę długości.
Prawidłowa odpowiedź to:
Pytanie 33
Wskaż prawdziwe stwierdzenia dotyczące osteoporotycznego złamania kręgosłupa:
1) jest wskazaniem do wertebroplastyki;
2) ryzyko następnego złamania wzrasta od 2-krotnie do 10-krotnie;
3) jest wskazaniem do założenia gorsetu gipsowego;
4) wymaga diagnostyki różnicowej.
Prawidłowa odpowiedź to:
Pytanie 34
W którym z wymienionych typów złamań stawu skokowego, z dużym prawdopodobieństwem nie będzie konieczności zespalania więzozrostu piszczelowo-strzałkowego?
Pytanie 35
Więzadło Lisfranca przebiega między kością klinowatą:
Pytanie 36
Unaczynienie płata pachwinowego, stosowanego w leczeniu ubytków tkanek, oparte jest na tętnicy:
Pytanie 37
Wskaż prawdziwe stwierdzenie/a dotyczące artropatii neurogennej (Charcota):
Pytanie 38
Wskaż prawdziwe stwierdzenia dotyczące guza olbrzymiokomórkowego:
1) występuje najczęściej przed 20. r.ż.;
2) występuje najczęściej po 60. r.ż.;
3) występuje najczęściej w końcach kości długich;
4) występuje najczęściej w kościach płaskich;
5) powoduje występowanie dolegliwości bólowych okolicy, w której się rozwija.
Prawidłowa odpowiedź to:
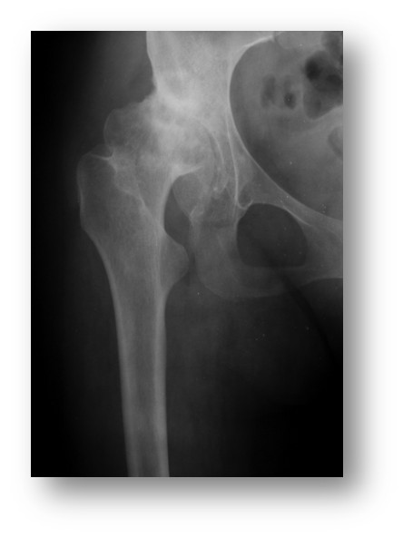
Pytanie 39
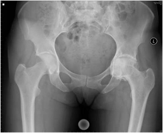
Poniższy radiogram stawów biodrowych w projekcji AP przedstawia:

Pytanie 40
Niedostateczna antetorsja trzpienia endoprotezy stawu biodrowego powoduje zwiększone ryzyko:
Pytanie 41
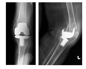
Wskaż prawdziwe stwierdzenia dotyczące endoprotezoplastyki stawu kolanowego po uprzednio wykonanej osteotomii korekcyjnej:
1) jest możliwa jedynie teoretycznie;
2) jest wykonywana jedynie u chorych w stosunkowo młodym wieku;
3) jest możliwa jedynie w krótkim okresie czasu od wykonania pierwotnego zabiegu (do około 2 lat);
4) daje podobne odległe wyniki operacyjne;
5) jest zazwyczaj trudniejsza technicznie do wykonania.
Prawidłowa odpowiedź to:
Pytanie 42
Wskaż prawdziwe stwierdzenie/a dotyczące zapobiegania zaburzeniom gojenia się rany pooperacyjnej u chorych po wielokrotnych wcześniejszych operacjach na stawie kolanowym:
1) należy wykonać cięcie skórne leżące najbardziej bocznie od poprzednich;
2) należy wykonać cięcie skórne niekrzyżujące się pod katem mniejszym niż 60 stopni z innym cięciem;
3) należy wykonać cięcie skórne leżące najbardziej przyśrodkowo od wcześniejszych;
4) wartość kąta krzyżowania się z innymi cięciami nie ma znaczenia.
Prawidłowa odpowiedź to:
Pytanie 43
Dominujące znaczenie dla prawidłowego toru rzepki w endoprotezoplastyce pierwotnej stawu kolanowego ma:
Pytanie 44
Złamanie podchrzęstne głowy kości udowej obserwowane w obrazie RTG w przebiegu choroby Perthesa:
Pytanie 45
„Obecność deformacji końskiej stopy, skrócenie kończyny dolnej, połączone z rotacją wewnętrzną kończyny, zgięcie w stawie biodrowym i kolanowym u dziecka z niedowładem spastycznym jednostronnym. Wywiad okołoporodowy dziecka obciążony jednostronnym krwawieniem śródczaszkowym. Dziecko samodzielnie chodzi”. Powyższe stanowią podstawę do rozpoznania:
Pytanie 46
13-letni chłopiec grający regularnie w koszykówkę, obserwowany z powodu licznych wad wrodzonych odcinka lędźwiowo-krzyżowego kręgosłupa, został skierowany przez lekarza rodzinnego do ortopedy z powodu częstych omdleń, zawrotów głowy, zaburzeń oddawania moczu (moczenie nocne). Wskaż prawdziwą decyzję diagnostyczną:
Pytanie 47
Wskaż prawdziwe stwierdzenie dotyczące złamań typu pilon kości podudzia:
Pytanie 48
Dostęp operacyjny Campbella stosowany w celu przeprowadzenia otwartego nastawienia i stabilizacji wewnętrznej złamania końca dalszego kości ramiennej:
1) jest dostępem tylno-bocznym;
2) wymaga przeprowadzenia osteotomii wyrostka łokciowego;
3) wymaga wypreparowania nerwu łokciowego;
4) wymaga wypreparowania nerwu promieniowego;
5) przebiega z wytworzeniem języka ze ścięgna mięśnia trójgłowego ramienia;
6) ma charakter oszczędzający mięsień trójgłowy ramienia przez co pozwala na wcześniejsze rozpoczęcie ruchów czynnych w stawie po zabiegu operacyjnym.
Prawidłowa odpowiedź to:
Pytanie 49
Dostęp operacyjny wg Henry’ego stosowany w leczeniu złamania 1/3 bliższej trzonu kości promieniowej:
1) przeprowadza się po stronie grzbietowo-promieniowej przedramienia;
2) rozpoczyna się cięciem skórnym przeprowadzonym od okolicy przyczepu ścięgna mięśnia dwugłowego ramienia;
3) przeprowadza się w przestrzeni pomiędzy mięśniem ramiennym i zginaczem promieniowym nadgarstka a mięśniem ramienno-promieniowym;
4) wymaga przecięcia i zaopatrzenia niektórych gałęzi tętnicy promieniowej w tym tętnicy promieniowej wstecznej;
5) wymaga odsunięcia nerwu promieniowego;
6) wymaga przecięcia mięśnia odwracacza.
Prawidłowa odpowiedź to:
Pytanie 50
Dostęp Kaplana:
1) przeprowadza się pomiędzy mięśniem łokciowym a prostownikiem łokciowym nadgarstka;
2) jest dostępem międzymięśniowym;
3) stosowany jest w celu uzyskania dobrego wglądu w część tylną stawu łokciowego;
4) przebiega z rozdzieleniem więzadła pobocznego promieniowego;
5) wymaga nacięcia torby stawowej z tyłu od strony brzegu przedniego mięśnia łokciowego;
6) jest ryzykowny ze względu na możliwość potencjalnego uszkodzenia nerwu międzykostnego tylnego.
Prawidłowa odpowiedź to:
Pytanie 51
Przemieszczenie w złamaniu Bennetta ma charakter:
Pytanie 52
Uszkodzenie Morela-Lavallee`a to oddzielenie:
Pytanie 53
89-letnia chora po urazie stawu kolanowego doznanego w wyniku upadku z własnej wysokości. Wskaż właściwe postępowanie:

Pytanie 54
Objaw Trendelenburga świadczy o:
Pytanie 55
Wskaż kolejność stabilizatorów zewnętrznych od najmniej do najbardziej wydolnych mechanicznie:
Pytanie 56
Całkowite uszkodzenie rdzenia kręgowego prowadzi do wyłączenia oddychania przeponą i uduszenia, gdy dochodzi do uszkodzenia ośrodków ruchowych dla przepony znajdujących się na wysokości:
Pytanie 57
15-letnia dziewczynka zgłosiła się z bólem biodra zlokalizowanym w lewej pachwinie. W dzieciństwie leczona była z użyciem szyny odwodzącej. Normalny zakres ruchów, z objawem FADIR i chód z minimalnym utykaniem na stronę lewą. Wskaż prawidłowe rozpoznanie i leczenie:

Pytanie 58
Po wystąpieniu urazowego uszkodzenia nerwu obwodowego, leczenie operacyjne znajduje zastosowanie w:
Pytanie 59
Wskazaniem do synowektomii stawów śródręczno-paliczkowych (MCP) w RZS jest:
Pytanie 60
Do uzupełnienia ubytku nerwu, który powstał po jego urazie, wykorzystuje się najczęściej przeszczepy z nerwu:
Pytanie 61
Wkład panewki „związanej” blokujący głowę kości udowej nie powinien być stosowany w zapobieganiu zwichnięciu wskutek:
Pytanie 62
Złamanie otwarte z rozległym ubytkiem tkanek miękkich z uszkodzeniem okostnej i odsłonięciem kości, ale bez uszkodzenia naczyń wymagającego chirurgicznej naprawy to według Gustilo i Andersona typ:
Pytanie 63
Wskaż fałszywe stwierdzenie dotyczące kostniakochrzęstniaka (osteochondroma):
Pytanie 64
Wskazania do operacyjnego zespolenia złamania tylnego brzegu piszczeli to:
1) złamanie obejmujące powyżej 1/4 powierzchni stawowej;
2) przemieszczenie odłamów powyżej 2 mm;
3) utrzymujące się tylne podwichnięcie kości skokowej;
4) złamanie nieprzemieszczone.
Prawidłowa odpowiedź to:
Pytanie 65
Wskaż fałszywe stwierdzenia dotyczące ostrego uszkodzenia ścięgna Achillesa:
1) uszkodzenia ścięgnistego aparatu wyprostnego stawu kolanowego są częstsze niż uszkodzenie ścięgna Achillesa;
2) najczęściej występują w grupie wiekowej pomiędzy 50. a 60. r.ż.;
3) u chorych z ostrym uszkodzeniem ścięgna Achillesa ryzyko uszkodzenia po stronie przeciwnej jest wielokrotnie większe;
4) rozpoznanie uszkodzenia opiera się na palpacyjnym stwierdzeniu ubytku w przebiegu ścięgna i niemożności wspięcia się na palcach;
5) do uszkodzenia najczęściej dochodzi w wyniku urazu bezpośredniego gdy ścięgno jest napięte.
Prawidłowa odpowiedź to:
Pytanie 66
W wysokoenergetycznych zamkniętych złamaniach typu pilon preferowaną strategią postępowania z pacjentem jest:
Pytanie 67
Wskaż prawdziwe stwierdzenie dotyczące śruby ciągnącej:
Pytanie 68
Pewnym objawem zakażenia okołoprotezowego stawu biodrowego jest:
Pytanie 69
Ryzyko wystąpienia uszkodzenia nerwu kulszowego w czasie operacji endoprotezoplastyki stawu biodrowego jest większe u chorych:
Pytanie 70
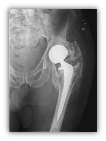
Wskaż stopień skostnienia pozaszkieletowego widoczny na radiogramie po zabiegu alloplastyki stawu biodrowego wg klasyfikacji Brookera:

Pytanie 71
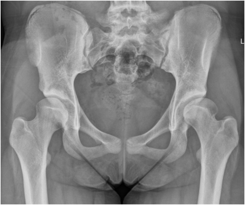
Przedstawiony radiogram wykazuje zmiany zwyrodnieniowe stawu biodrowego powstałe w wyniku:

Pytanie 72
Wskaż strukturę, która jest zagrożona w czasie wykonywania dostępu Kochera-Langenbecka:
Pytanie 73
Wskazaniem do protezoplastyki stawu biodrowego obarczonym największym zagrożeniem pooperacyjną nierównością kończyn jest:
Pytanie 74
Wyciąg typu Zeno wprowadza się przez:
Pytanie 75
Złamanie oznaczone symbolem 33C3 to według klasyfikacji AO:
Pytanie 76
Wskazaniem do leczenia operacyjnego złamania końca dalszego kości promieniowej u chorego dorosłego jest:
Pytanie 77
Wskaż fałszywe stwierdzenie dotyczące złamań kości przedramienia typu Monteggia:
Pytanie 78
Wskaż prawdziwe stwierdzenie dotyczące techniki operacyjnej w złamaniu kostek goleni z uszkodzeniem więzozrostu piszczelowo-strzałkowego:
Pytanie 79
Wskaż fałszywe stwierdzenie:
Pytanie 80
Dopuszczalny czas zimnego niedokrwienia (ok. 4°C) amputowanego kciuka od urazu do replantacji wynosi:
Pytanie 81
Całkowite przecięcie ścięgna w III strefie ostrym narzędziem wymaga:
Pytanie 82
Który/e z objawów radiologicznych jest/są wskazaniem do wykonania osteotomii okołopanewkowej miednicy?
Pytanie 83
Objaw Thomasa służy do oceny:
Pytanie 84
Ustawienie palca wskazującego ręki w zgięciu w stawie międzypaliczkowym dalszym i przeproście w stawie międzypaliczkowym bliższym nazywa się zniekształceniem:
Pytanie 85
Przyjmując optymalną szybkość regeneracji aksonalnej oraz zaistnienie w obrębie nerwu kulszowego na wysokości stawu biodrowego urazowego uszkodzenia włókna aksonalnego (aksonotmezy) bez uszkodzenia endoneurium ani perineurium, proces regeneracji nerwu kulszowego powinien zakończyć się w ciągu:
Pytanie 86
Dopuszczalny maksymalny czas utrzymywania całkowitego niedokrwienia ręki w operacjach planowych i urazowych nie powinien przekraczać:
Pytanie 87
Uszkodzenie nerwu międzykostnego tylnego powoduje brak funkcji mięśnia:
Pytanie 88
Przed przystąpieniem do operacji wymiany stawu biodrowego z powodu jego zwyrodnienia na tle dysplazji stawu biodrowego należy:
Pytanie 89
Nadmierna antewersja zaimplantowanej panewki stawu biodrowego powoduje, że niebezpieczne są ruchy:
Pytanie 90
O stabilności endoprotezy we wczesnym okresie po zabiegu alloplastyki decyduje:
1) rozmiar głowy endoprotezy;
2) pozycja implantowanej panewki;
3) pozycja implantowanego trzpienia endoprotezy;
4) artykulacja stawowa;
5) cementowanie trzpienia endoprotezy.
Prawidłowa odpowiedź to:
Pytanie 91
Noworodek płci żeńskiej, z pierwszej ciąży donoszonej, o masie 3400 g, urodzony cięciem cesarskim z położenia miednicowego został zbadany klinicznie w oddziale neonatologicznym. Lekarz badająca dowiedziała się od matki, że miała ona w dzieciństwie operowane z powodu dysplazji stawów biodrowych oba stawy. W badaniu neonatolog nie była pewna swoich spostrzeżeń klinicznych. Wskaż prawidłowe postępowanie:
Pytanie 92
Najlepsze kotwiczenie śruby warunkujące stabilność mechaniczną zespolenia w obrębie głowy kości ramiennej uzyskuje się umieszczając śrubę:
Pytanie 93
W celu zapewnienia najlepszej ochrony nerwu międzykostnego tylnego, dostęp tylno-boczny do głowy i szyjki kości promieniowej wykonywany jest pomiędzy mięśniami:
Pytanie 94
Wykonanie dostępu operacyjnego przednio-bocznego w celu uwidocznienia złamania pogranicza 1/3 środkowej i dystalnej trzonu kości ramiennej będzie uwzględniało rozwarstwienie mięśnia:
Pytanie 95
Wskazaniem do leczenia operacyjnego izolowanego złamania trzonu kości łokciowej jest przemieszczenie:
Pytanie 96
W przypadku objawowego, zastarzałego zwichnięcia stawu barkowo-obojczykowego wskazane jest przeprowadzanie zabiegu operacyjnego wg:
Pytanie 97
Leczenie operacyjne złamań kości promieniowej wymaga odtworzenia anatomicznego jej wygięcia w stronę promieniową. Wynika to z faktu, że każde 5° utraty krzywizny powoduje ograniczenie ruchu rotacji o:
Pytanie 98
Ścięgnem najczęściej ulegającym zerwaniu w wyniku drażnienia przez materiał zespalający po osteosyntezie płytkowej złamania końca dalszego kości promieniowej z dostępu grzbietowego jest ścięgno mięśnia:
Pytanie 99
W złamaniu końca bliższego kości piszczelowej typu V według klasyfikacji Schatzkera wykonuje się dostęp:
Pytanie 100
Wskaż rodzaj unaczynienia, który ma kluczowe znaczenie w zaopatrywaniu kości w procesie gojenia przy złamaniu 1/3 bliższej trzonu kości piszczelowej:
Pytanie 101
Złamanie kostki bocznej leczy się operacyjnie z wykorzystaniem różnych implantów, z wyjątkiem:
Pytanie 102
Objaw radiologiczny przerwania łuku Shentona świadczy o:
Pytanie 103
Co nie jest objawem uszkodzenia nerwu promieniowego na poziomie ½ ramienia?
Pytanie 104
Stosowanie cienkiej wkładki polietylenowej piszczelowej w endoprotezie kolana jest związane z szybszym jej zużyciem. Wiele badań sugeruje, że stosowane wkładki powinny mieć grubość co najmniej:
Pytanie 105
Wskaż prawdziwe stwierdzenia dotyczące kostniaka kostnawego:
1) zaliczany jest do nowotworów wytwarzających tkankę kostną;
2) najczęstszą lokalizacją są kości czaszki i żuchwa;
3) guz w 80% występuje u ludzi do 25. roku życia;
4) dolegliwości bólowe łagodzą pochodne kwasu salicylowego;
5) w leczeniu operacyjnym stosowana jest termoablacja.
Prawidłowa odpowiedź to:
Pytanie 106
32-letni mężczyzna odczuwa ból biodra prawego. Dotychczas dość intensywnie uprawiał sporty walki. Klinicznie: stwierdza się ograniczony bólem zakres ruchów, z pomniejszeniem zgięcia, przywiedzenia i rotacji wewnętrznej. Na podstawie obrazu przekroju osiowego stawu biodrowego, na przekroju zegarowym 12:00 - 6:00, wskaż właściwe postępowanie lecznicze:

Pytanie 107
Badania doświadczalne i obserwacje kliniczne wykazały, że zjawisko ekranowania mechanicznego (stress shielding) wokół trzpieni bezcementowych i wywołane tym zmniejszenie gęstości tkanki kostnej jest następstwem:
Pytanie 108
Wskaż prawdziwe stwierdzenie dotyczące złamania ceramicznej głowy endoprotezy stawu biodrowego:
Pytanie 109
Skąpoobjawowe zakażenia okołoprotezowe stawu biodrowego nie są wywołane przez szczepy bakterii:
1) Escherichia coli;
2) Staphylococcus aureus;
3) Enterococcus spp.;
4) Cutibacterium spp.;
5) Streptococcus spp.
Prawidłowa odpowiedź to:
Pytanie 110
Do „kryteriów małych” rozpoznania infekcji okołoprotezowych, wg Konsensusu Filadelfijskiego z 2018 r., należą:
1) podwyższone stężenie CRP we krwi (>10 mg/l);
2) obecność przetoki drążącej do stawu lub endoproteza widoczna przez powłoki skórne;
3) dodatni wynik testu wykrywającego obecność alfa-defensyny w płynie stawowym;
4) dodatni wynik badania scyntygrafii ze znakowanymi leukocytami;
5) dwa dodatnie wyniki posiewu ze stwierdzeniem patogenu o tym samym fenotypie z materiału pobranego z okolicy endoprotezy.
Prawidłowa odpowiedź to:
Pytanie 111
Wskaż prawdziwe stwierdzenie dotyczące chorych z infekcją okołoprotezową:
Pytanie 112
Badanie ultrasonograficzne używane jest w diagnostyce stawów biodrowych noworodków i niemowląt. Zgodnie z klasyfikacją Grafa niestabilne są stawy biodrowe typu:
Pytanie 113
Stadium fragmentacji obserwowane na radiogramach w trakcie przebiegu choroby Perthesa oznacza:
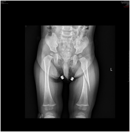
Pytanie 114
Zdrowy 16-miesięczny chłopiec trafił do izby przyjęć. Rodzice poinformowali lekarza dyżurnego, że dziecko upadło w domu potykając się o niewielką przeszkodę. Lekarz zlecił wykonanie zdjęcia radiologicznego kończyn dolnych (poniżej). Najbardziej prawdopodobną przyczyną urazu jest:

Pytanie 115
Wskaż prawdziwe stwierdzenia dotyczące zwichnięć stawu łokciowego:
1) najczęściej występują u osób między 50. a 60. r.ż.;
2) najczęściej występują zwichnięcia tylno-boczne;
3) TK i MRI są zalecane w rozpoznaniu uszkodzeń więzadłowych i złamań kości;
4) zwichnięciu może towarzyszyć awulsyjne złamanie przyśrodkowego i bocznego nadkłykcia, złamanie głowy kości promieniowej, złamanie wyrostka dziobiastego, uszkodzenia chrzęstno-kostne;
5) urazowe zwichnięcie stawu łokciowego znajduje się na pierwszym miejscu pod względem częstotliwości występowania u ludzi.
Prawidłowa odpowiedź to:
Pytanie 116
Złamania spiralne są wynikiem:
Pytanie 117
Awulsyjne złamanie guzka większego kości ramiennej:
Pytanie 118
Kluczowe troczki ścięgien zginaczy palców ręki to:
Pytanie 119
Przeniesienie ścięgna mięśnia nawrotnego obłego na krótki prostownik promieniowy nadgarstka stosuje się w nieodwracalnym uszkodzeniu nerwu:
Pytanie 120



