Wyszukaj egzamin lub pytanie
Egzamin PES Ortopedia i traumatologia narządu ruchu / jesień 2023
120 pytań
Pytanie 1
Leczenie operacyjne mięśniowego kręczu szyi, niepoddającego się leczeniu zachowawczemu, polegające na przecięciu trzech przyczepów mięśnia mostkowo-obojczykowo-sutkowego wykonuje się:
Pytanie 2
Wskaż zalecane postępowanie w przypadku dużego stopnia młodzieńczego złuszczenia głowy kości udowej:
Pytanie 3
Odpowiednie umiejscowienie śruby szyjkowej w leczeniu operacyjnym złamań przezkrętarzowych ma istotne znaczenie dla zmniejszenia ryzyka destabilizacji zespolenia. Wskaż graniczną wartość wskaźnika TAD prowadzącą do wykładniczego wzrostu ryzyka destabilizacji:
Pytanie 4
Korzystając z klasyfikacji radiologicznej według Hertla, istotnym czynnikiem wpływającym na typ leczenia złamań końca bliższego kości ramiennej jest:
Pytanie 5
50-letni mężczyzna ma postępujące osłabienie i zanik mięśni w prawej ręce. Badanie EMG wskazuje na uszkodzenie nerwu łokciowego. Wskaż objawy charakterystyczne dla uszkodzenia tego nerwu:
1) przeprost w stawach międzypaliczkowych;
2) przeprost w stawach śródręczno-paliczkowych;
3) przykurcz w stawach międzypaliczkowych;
4) przykurcz w stawach śródręczno-paliczkowych;
5) osłabienie przywiedzenia kciuka;
6) zanik mięśni kłębu.
Prawidłowa odpowiedź to:
Pytanie 6
Wskazania do leczenia operacyjnego złamań kości piętowej to:
1) złamania śródstawowe z przemieszczeniem obejmujące powierzchnię stawową skokową tylną;
2) nieprzemieszczone złamania śródstawowe;
3) złamania kości piętowej z towarzyszącym zwichnięciem;
4) złamanie wyrostka przedniego kości piętowej obejmujące mniej niż 25% powierzchni stawu piętowo-sześciennego;
5) złamanie wyrostka przedniego kości piętowej obejmujące więcej niż 25% powierzchni stawu piętowo-sześciennego;
6) złamanie guza piętowego z przemieszczeniem;
7) wybrane złamania otwarte kości piętowej;
8) złamania pozastawowe bez przemieszczenia lub z minimalnym przemieszczeniem.
Prawidłowa odpowiedź to:
Pytanie 7
Wskaż typowe radiologiczne (RTG) cechy przewlekłego czynnego zapalenia kości:
1) zniszczenie części szpikowej kości;
2) odczynowa osteoskleroza;
3) odokostnowe nowotworzenie kości;
4) obecność martwaków.
Prawidłowa odpowiedź to:
Pytanie 8
Wskaż prawdziwe stwierdzenia dotyczące guza olbrzymiokomórkowego:
1) stanowi około 20% guzów łagodnych kości;
2) w około 60% rozwija się w kościach długich, umiejscawiając się niemal zawsze w ich końcach stawowych;
3) występuje niemal wyłącznie u osób przed osiągnięciem dojrzałości szkieletowej;
4) występuje dwukrotnie częściej u kobiet;
5) jego wieloogniskowa manifestacja jest częsta.
Prawidłowa odpowiedź to:
Pytanie 9
Do powikłań wczesnych w leczeniu złamań kości zalicza się:
1) przerwanie ciągłości skóry;
2) krwawienie do jamy stawu;
3) zespół przedziałów powięziowych;
4) zespół Sudecka;
5) zaniki mięśni.
Prawidłowa odpowiedź to:
Pytanie 10
Wskaż prawdziwe stwierdzenia dotyczące obrazowania złamań przeciążeniowych:
1) początkowe radiogramy często wykazują prawidłowy obraz;
2) początkowe radiogramy zawsze wykazują pęknięcie;
3) pierwszą zmianą radiologiczną, której należy poszukiwać jest dyskretne zatarcie obrysów warstwy korowej (tzw. objaw „szarej kory”);
4) scyntygrafia kości jest badaniem nieprzydatnym;
5) scyntygrafia kości jest badaniem bardzo czułym i często wykazuje charakterystyczne wrzecionowate obszary lub poprzeczne pasma zwiększonego wychwytu znacznika;
6) badanie rezonansu magnetycznego jest badaniem nieprzydatnym;
7) badanie rezonansu magnetycznego jest badaniem przydatnym i wykazuje typowe objawy obszaru niskiego sygnału w szpiku kostnym w obrazach T1-zależnych oraz wysokiego sygnału w obrazach T2-zależnych;
8) tomografia komputerowa jest badaniem podstawowym o największej czułości w rozpoznawaniu złamań przeciążeniowych;
9) rola tomografii komputerowej w rozpoznawaniu złamań przeciążeniowych jest ograniczona, technika ta jest mniej czuła niż scyntygrafia kostna i klasyczne RTG.
Prawidłowa odpowiedź to:
Pytanie 11
Wskaż prawdziwe stwierdzenia dotyczące pomiaru długości względnej kończyny dolnej:
1) jest pomiarem wykonywanym w pozycji stojącej;
2) oznacza względną długość uda w stosunku do podudzia (proporcje poszczególnych segmentów kończyn dolnych);
3) jest mierzona od kolca biodrowego przedniego górnego do szczytu kostki przyśrodkowej;
4) jest pomiarem wykazującym ewentualną nierówność kończyn dolnych wynikającą z nieprawidłowego położenia jednej z głów kości udowych
w panewce;
5) odnosi się do średniej długości kończyny dolnej z uwzględnieniem wieku, płci i BMI.
Prawidłowa odpowiedź to:
Pytanie 12
Wskaż czynnik poprawiający rokowanie na uzyskanie dobrego wyniku w leczeniu choroby Perthesa:
Pytanie 13
Wskaż prawdziwe stwierdzenie/a dotyczące wykonywania testu Thomasa podczas badania ortopedycznego:
1) to ocena wykluczająca przykurcz odwiedzeniowy w stawie biodrowym;
2) wykonywany jest w pozycji leżącej;
3) to ocena przykurczu zgięciowego w stawie biodrowym;
4) to ocena zakresu ruchomości odcinka lędźwiowego kręgosłupa;
5) to test pomocny w rozpoznawaniu niewydolności mięśni pośladkowych.
Prawidłowa odpowiedź to:
Pytanie 14
W przypadku idiopatycznej koślawości kolan u dzieci i młodzieży na radiogramach sylwetkowych kończyn dolnych:
Pytanie 15
Wskaż prawdziwe stwierdzenie dotyczące wrodzonego stawu rzekomego kości piszczelowej:
Pytanie 16
„Containment”, czyli zanurzenie głowy kości udowej w panewce w chorobie Perthesa:
Pytanie 17
Zniekształceniem w obrębie kończyny dolnej, współtowarzyszącym aplazji kości strzałkowej nie jest:
Pytanie 18
Złamanie bliższego końca kości udowej powinno być operowane w ciągu:
Pytanie 19
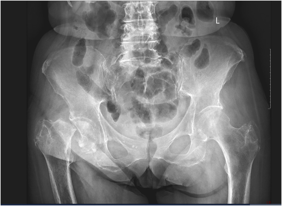
75-letnia chora została przywieziona przez zespół ratownictwa medycznego do Szpitalnego Oddziału Ratunkowego. Lekarz dyżurny zlecił wykonanie radiogramu (poniżej) oraz konsultację specjalisty w dziedzinie ortopedii i traumatologii narządu ruchu.
W wywiadzie i badaniu przedmiotowym u chorej można stwierdzić z dużym prawdopodobieństwem:
1) przebyty uraz niskoenergetyczny, np. upadek z własnej wysokości;
2) ustawienie prawej kończyny dolnej w rotacji zewnętrznej;
3) ograniczenie bólowe zakresu ruchów w prawym stawie biodrowym;
4) skrócenie długości względnej prawej kończyny dolnej;
5) skrócenie długości bezwzględnej prawej kończyny dolnej.
Prawidłowa odpowiedź to:

Pytanie 20
U dorosłego mężczyzny, bez wrodzonych czy rozwojowych patologii kręgosłupa, największym wymiarem szerokości i wysokości nasady łuku kręgu z niżej wymienionych cechuje się:
Pytanie 21
Wskaż prawdziwe stwierdzenia dotyczące jałowej martwicy głowy kości udowej u dziecka z rozwojową dysplazją stawu biodrowego:
1) jest najczęściej naturalną konsekwencją dysplazji stawu biodrowego;
2) jest najczęściej następstwem leczenia zwichnięcia stawu biodrowego;
3) wynika z zaburzenia przepływu krwi w tętnicy Adamkiewicza;
4) jej częstość zmniejszyła się wraz ze zmianą sposobów leczenia rozwojowej dysplazji stawu biodrowego;
5) może być konsekwencją stosowania ortez wymuszających forsowne odwiedzenie i rotację wewnętrzną w stawie biodrowym.
Prawidłowa odpowiedź to:
Pytanie 22
Wskaż prawdziwe stwierdzenia dotyczące ciasnoty (stenozy) kanału kręgowego kręgosłupa lędźwiowego na poziomie ruchowym L4-L5 u osoby dorosłej bez zaburzeń wrodzonych czy rozwojowych kręgosłupa i rdzenia kręgowego:
1) może być wywołana przez zmiany zwyrodnieniowe stawów międzykręgowych;
2) może być wywołana przez pogrubienie więzadła żółtego;
3) może być wywołana przez wypuklinę krążka międzykręgowego;
4) powoduje istotny ucisk rdzenia kręgowego z zaburzeniem jego czynności;
5) u osób z achondroplazją występuje częściej niż w populacji ogólnej.
Prawidłowa odpowiedź to:
Pytanie 23
Wskazaniami do leczenia operacyjnego skolioz idiopatycznych są:
1) progresja skoliozy;
2) obciążony wywiad rodzinny w kierunku skolioz idiopatycznych;
3) wartości kąta Cobba przekraczające 45-50°;
4) dodatni test Rissera;
5) kąt rotacji tułowia wynoszący 7°.
Prawidłowa odpowiedź to:
Pytanie 24
Wskaż prawdziwe stwierdzenia dotyczące patologii widocznej na poniższym skanie w płaszczyźnie strzałkowej z tomografii komputerowej:
1) jest wadą wrodzoną przejścia czaszkowo-szyjnego;
2) jest typem trzecim złamania zęba obrotnika według Andersona i D’Alonzo;
3) jest obarczona istotnym ryzykiem braku zrostu;
4) występuje u osób starszych w wyniku urazu o małej energii;
5) nie wymaga leczenia;
Prawidłowa odpowiedź to:

Pytanie 25
Test Rissera służy do:
Pytanie 26
Wskaż prawdziwe stwierdzenie dotyczące klasyfikacji Lodera:
Pytanie 27
Leczeniem z wyboru młodzieńczego złuszczenia głowy kości udowej, w którym największe przemieszczenie kątowe nasady głowy kości udowej względem przynasady wynosi 25° jest:
Pytanie 28
Artroskopię stawu biodrowego wykonuje się z powodu:
Pytanie 29
U 30-letniego sportowca stwierdzono objawy kliniczne konfliktu udowo-panewkowego. Jakie badania diagnostyczne i ilościową ocenę deformacji należy zaproponować w tym przypadku?
Pytanie 30
Który z poniższych objawów radiologicznych jest typowy dla konfliktu udowo-panewkowego typu kleszczowego?
Pytanie 31
Wskaż przyczynę konfliktu udowo-panewkowego typu krzywkowego:
Pytanie 32
Wskaż przyczynę konfliktu udowo-panewkowego typu kleszczowego:
Pytanie 33
W typie krzywkowym konfliktu udowo-panewkowego proponowane leczenie to:
Pytanie 34
29-letnia chora skarży się na bóle w lewej pachwinie. Lekarz w badaniu stwierdził bardzo dobrą ruchomość obu stawów biodrowych. W lewym stawie biodrowym wykazał bolesność w pachwinie w czasie wykonywania jednoczesnego ruchu zgięcia, przywiedzenia i rotacji wewnętrznej. Na zdjęciu stwierdzono dysplazję lewego stawu biodrowego z jego decentracją i kątem Wiberga 10°. Wskaż dalsze postępowanie:
Pytanie 35
13-letni chłopiec upadł w czasie zajęć wychowania fizycznego w szkole. Nie doznał żadnych widocznych uszkodzeń, jednak zaczął skarżyć się na dolegliwości bólowe lewego stawu kolanowego. Rodzice zauważyli, że zaczął również utykać. Z uwagi na fakt, że dolegliwości nie ustępowały rodzice wraz z dzieckiem zgłosili się do ortopedy. Wskaż prawidłowe postępowanie diagnostyczne i lecznicze:
Pytanie 36
Do poradni ortopedycznej zgłosiła się matka z 12-letnią córką. Głównym objawem jest koślawość lewego stawu kolanowego. Wskaż odpowiednie postępowanie diagnostyczne i lecznicze:
Pytanie 37
22-letni mężczyzna odczuwa ból obu bioder, z przewagą po stronie lewej, dotychczas uprawiał sport. Klinicznie: stwierdza się ograniczony zakres ruchów, z pomniejszeniem zgięcia, przywiedzenia i rotacji wewnętrznej. Wskaż prawidłowe rozpoznanie:

Pytanie 38
15-letnia dziewczynka zgłosiła się z bólem biodra zlokalizowanym w lewej pachwinie. W dzieciństwie leczona była z użyciem szyny odwodzącej. Normalny zakres ruchów, z objawem FADIR i chód z minimalnym utykaniem na stronę lewą. Wskaż prawidłowe rozpoznanie i zaproponuj leczenie:

Pytanie 39
72-letnia kobieta upadła w czasie prac domowych doznając urazu okolicy krętarzowej. W oddziale ratunkowym na podstawie zdjęcia radiologicznego rozpoznano złamanie przezkrętarzowe. Wskaż dalsze postępowanie lecznicze:
Pytanie 40
6-letnia dziewczynka leczona jest z powodu złamania nadkłykciowego kości ramiennej typu III według Gartlanda. Wskaż sposób zespolenia po wykonaniu zamkniętej repozycji:
Pytanie 41
27-letni mężczyzna w trakcie wypadku komunikacyjnego (kierowca motocykla) upadł doznając urazu okolicy krętarzowej. W oddziale ratunkowym na podstawie zdjęcia radiologicznego rozpoznano złamanie podkrętarzowe. Wskaż dalsze postępowanie lecznicze:
Pytanie 42
35-letni mężczyzna w trakcie wypadku komunikacyjnego upadł doznając urazu wielomiejscowego. W oddziale ratunkowym na podstawie zdjęcia radiologicznego poza złamaniem kości ramiennej i promieniowej rozpoznano złamanie podkrętarzowe niestabilne, odwrócone. Wskaż dalsze postępowanie lecznicze:
Pytanie 43
Zdrowy, 14-letni chłopiec upadł z ostatniego stopnia schodów w domu doznając urazu, który spowodował silny ból w okolicy pod lewym kolanem. Lekarz w Izbie Przyjęć zwrócił uwagę na stosunkowo dużą masę chłopca, która wynosiła 80 kg. Na zdjęciu radiologicznym stwierdzono złamanie nadkłykciowe kości udowej i skierowano chorego do leczenia operacyjnego z użyciem gwoździa śródszpikowego. Co powinien wykluczyć lekarz, zanim przystąpi do leczenia operacyjnego?
Pytanie 44
Noworodek o masie 4200 g, po porodzie przedłużonym pierwiastki zakończonym z użyciem wyciągacza próżniowego, znajduje się w oddziale neonatologii. W 3. dobie matka zgłosiła, że dziecko nie rusza jedną kończyną górną. Stan ogólny dziecka był dobry, dziecko nie gorączkowało. Wskaż najbardziej prawdopodobne rozpoznanie:
Pytanie 45
12-letni chłopiec upadł w czasie jazdy na nartach doznając złamania zamkniętego trzonu kości udowej w ⅓ środkowej jej długości, szczelina złamania poprzeczna. Masa chorego wynosi 42 kg. Wskaż dalsze postępowanie:
Pytanie 46
Do poradni zgłosili się rodzice z 2,5-letnim dzieckiem z powodu asymetrycznego ustawienia łopatek. Lekarz na podstawie badania rozpoznał zespół Sprengla (wrodzone wysokie ustawienie łopatki). Na jakie inne zniekształcenia powinien zwrócić uwagę ortopeda monitorujący rozwój dziecka?
Pytanie 47
W oddziale noworodkowym konsultantem jest ortopeda, który wykonuje badania przesiewowe w kierunku rozwojowej dysplazji stawów biodrowych. Z czego powinno składać się badanie?
Pytanie 48
Jedną z deformacji kończyn dolnych jest szpotawość kolana. W przypadku zniekształcenia jednostronnego idiopatycznego występuje nierówność kończyn dolnych w formie:
Pytanie 49
Podstawowymi badaniami wykonywanymi podczas diagnostyki choroby Pageta kości są:
Pytanie 50
Wskaż prawdziwe stwierdzenia dotyczące osteoporotycznych złamań kręgosłupa:
1) powinny być hospitalizowane;
2) są bezobjawowe w 60%;
3) wymagają unieruchomienia w opatrunku gipsowym;
4) są złamaniami stabilnymi;
5) są wskazaniami do wertebroplastyki.
Prawidłowa odpowiedź to:
Pytanie 51
Wskaż prawdziwe stwierdzenia dotyczące złamania Collesa:
1) występuje najczęściej u kobiet po 50. r.ż., ryzyko powikłań jest niewielkie;
2) jest najczęściej skutkiem upadku;
3) złamanie bliższego końca kości udowej jest mało prawdopodobne po złamaniu Collesa;
4) ryzyko złamania bliższego końca kości udowej wzrasta 2-krotnie;
5) występuje najczęściej u kobiet po 50. r.ż., ryzyko powikłań jest znaczne.
Prawidłowa odpowiedź to:
Pytanie 52
W leczeniu kompleksowego zespołu bólu regionalnego (choroby Sudecka) najistotniejszym postępowaniem jest:
Pytanie 53
W czasie operacyjnej repozycji i stabilizacji złamań typu pilon postępowaniem akceptowalnym nie jest:
1) brak zespolenia strzałki w przypadku złamania poprzecznego wykazującego cechy stabilności;
2) zespolenie strzałki prętem Rusha w przypadku złamania poprzecznego;
3) zespolenie strzałki grotem Steinmana w przypadku złamania poprzecznego;
4) zespolenie strzałki śrubami kompresyjnymi i płytką neutralizującą w przypadku złamania wielofragmentowego;
5) zespolenie strzałki prętem Rusha w przypadku złamania wielofragmentowego.
Prawidłowa odpowiedź to:
Pytanie 54
W złamaniu typu IV według klasyfikacji Sandersa nie powinno się stosować:
Pytanie 55
W którym z wymienionych typów złamań stawu skokowego z dużym prawdopodobieństwem będzie konieczność zespalania więzozrostu piszczelowo-strzałkowego?
1) supinacja, addukcja (SA);
2) supinacja, rotacja zewnętrzna (SER);
3) pronacja, rotacja zewnętrzna (PER);
4) pronacja, abdukcja (PA);
5) Weber C.
Prawidłowa odpowiedź to:
Pytanie 56
Wskaż prawdziwe stwierdzenie dotyczące leczenia złamań rzepki:
Pytanie 57
Przy zastosowaniu dostępu bocznego przy zaopatrywaniu złamania kości piętowej uszkodzeniu może ulec nerw:
Pytanie 58
W jaki sposób mięsień biodrowo-lędźwiowy oddziałuje na odłam bliższy w złamaniach bliższej części trzonu kości udowej?
1) zgina;
2) prostuje;
3) rotuje do wewnątrz;
4) rotuje na zewnątrz;
5) odwodzi.
Prawidłowa odpowiedź to:
Pytanie 59
Złamanie „Tillaux” jest złamaniem obejmującym:
Pytanie 60
Przeciwwskazaniem do zastosowania gwoździowania śródszpikowego wstecznego (retrograde) w złamaniu trzonu kości udowej jest:
Pytanie 61
Wskaż fałszywe stwierdzenie dotyczące złamania kości piętowej:
Pytanie 62
Zabezpieczenie amputatu w niedokrwieniu zimnym:
Pytanie 63
Zdjęcie rentgenowskie w projekcji Roberta:
1) jest wykorzystywane w diagnostyce obrazowej złamań kości czworobocznej większej;
2) eliminuje nakładanie się cienia I kości śródręcza na kość czworoboczną większą;
3) eliminuje nakładanie się cienia II kości śródręcza na kość czworoboczną większą;
4) jest wykorzystywane w diagnostyce obrazowej złamań kości łódeczkowatej;
5) minimalizuje efekt fizjologicznego nachylenia dłoniowego kości łódeczkowatej, co pozwala na jej lepsze zobrazowanie.
Prawidłowa odpowiedź to:
Pytanie 64
O aseptycznym obluzowaniu pierwotnej całkowitej cementowej endoprotezy stawu kolanowego w obrazie rentgenowskim świadczy linia przejaśnienia na styku kość-cement o szerokości co najmniej:
Pytanie 65
Wskaż prawdziwe stwierdzenia dotyczące mózgowego porażenia dziecięcego (MPD):
1) częstość występowania wzrasta w grupie wcześniaków;
2) zwichnięciu i podwichnięciu stawu biodrowego w przebiegu MPD nie towarzyszą dolegliwości bólowe;
3) w mechanizmie powstawania deformacji główną rolę odgrywa zaburzenie balansu mięśniowego pomiędzy antagonistycznymi grupami mięśni;
4) objawy atetozy w przebiegu MPD ustępują podczas snu;
5) u chorych z atetozą w przebiegu MPD występuje zmienne napięcie mięśniowe.
Prawidłowa odpowiedź to:
Pytanie 66
Pentoda Trillata-Vidala to uszkodzenie:
1) obu więzadeł krzyżowych kolana;
2) jednej z łąkotek kolana (łąkotki bocznej lub łąkotki przyśrodkowej);
3) obu łąkotek kolana;
4) więzadła pobocznego piszczelowego lub pobocznego strzałkowego;
5) obu więzadeł pobocznych kolana.
Prawidłowa odpowiedź to:
Pytanie 67
W leczeniu operacyjnym artropatii na tle masywnego uszkodzenia mięśni rotatorów wykorzystuje się:
Pytanie 68
Wskaż prawdziwe stwierdzenia dotyczące osteoporozy:
1) u chorych na osteoporozę występują złamania typu kostki kredy;
2) jednym z czynników ryzyka wystąpienia osteoporozy wtórnej polekowej jest długotrwałe zażywanie benzodwuazepin;
3) rozpoznaje się ją kiedy wartość współczynnika T-score mieści się w przedziale od -2.5 do -1.5 SD;
4) najczęściej występującym typem jest osteoporoza pomenopauzalna;
5) w przebiegu osteoporozy starczej chorobą dotknięta jest w równym stopniu kość zbita i gąbczasta.
Prawidłowa odpowiedź to:
Pytanie 69
Zgodnie z podziałem według De Anderson i Baksaca, do czynników ryzyka żylnej choroby zakrzepowo-zatorowej o znaczeniu średnim zalicza się:
Pytanie 70
Rozpoznanie zwichnięcia stawu oznacza utratę kontaktu sąsiadujących powierzchni stawowych w:
Pytanie 71
Złamanie rozszczepienno-zgnieceniowe dotyczy:
Pytanie 72
Wskaż uszeregowane od najmniejszego do największego uszkodzenia chrzęstne według klasyfikacji Outerbridge`a:
1) pęknięcia i fragmentacje dochodzące do kości podchrzęstnej bez jej odsłonięcia;
2) pęknięcia i fragmentacje chrząstki niepełnej grubości;
3) spluszowacenie i obrzęk chrząstki (rozmiękanie);
4) ubytki chrząstki odsłaniające warstwę podchrzęstną.
Prawidłowa odpowiedź to:
Pytanie 73
Zespół ciasnoty przedziałów powięziowych należy rozpoznać przy wystąpieniu typowych objawów klinicznych w dotkniętej kończynie i zmierzeniu bezwzględnej wartości ciśnienia w przedziale powięziowym powyżej:
Pytanie 74
Obecność krwi w stawie po przebytym urazie jest dla stawu:
Pytanie 75
Pourazowa jałowa martwica kości nie powstaje w następstwie złamań:
Pytanie 76
Badaniem potwierdzającym zakończenie procesu dojrzewania pourazowych skostnień okołostawowych jest normalizacja:
Pytanie 77
Pilne leczenie operacyjne wycięcia skostnień okołostawowych, jeszcze w fazie ich tworzenia:
Pytanie 78
W kompleksowym leczeniu odleżyn szczególne znaczenie rokownicze posiada zapewnienie prawidłowych parametrów krwi obwodowej, w tym najbardziej:
Pytanie 79
Sześciostopniowa skala Lovetta służy do oceny pourazowych uszkodzeń motoryki (od 0 do 5). Funkcja mięśni pozwalająca na czynny ruch przeciw grawitacji to wartość:
Pytanie 80
Uszkodzenie części strzałkowej nerwu kulszowego typu axonotmesis na wysokości panewki stawu biodrowego wymaga regeneracji nerwu. Do powrotu ostatecznej funkcji mięśni prostowników stopy potrzeba:
Pytanie 81
Złamanie szyjki kości udowej można „rozpoznać wstępnie” przez ból okolicy pachwiny i charakterystyczne układanie kończyny dolnej w stawie biodrowym w:
Pytanie 82
Złamanie wyrostka łokciowego z mechanizmu pośredniego z przemieszczeniem:
Pytanie 83
Do złamania obojczyka dochodzi:
Pytanie 84
Przemieszczenie końca barkowego zwichniętego obojczyka w stawie obojczykowo-barkowym do góry wynika z działania mięśnia:
Pytanie 85
Wskaż nieprawidłowe określenie struktury anatomicznej:
Pytanie 86
Złamania podprotezowe kości udowej według klasyfikacji Vancouver to złamania:
Pytanie 87
Krwawienie występujące po złamaniu trzonu kości udowej może prowadzić do utraty krwi do otaczających tkanek w ilości do:
Pytanie 88
Niedowład nerwu promieniowego powstały po złamaniu trzonu kości ramiennej, zakwalifikowanym do leczenia nieoperacyjnego, można obserwować w oczekiwaniu powrotu funkcji przez okres do:
Pytanie 89
Złamanie w obrębie obu kolumn obwodowej części kości ramiennej:
Pytanie 90
Śmiertelność w przebiegu okołoprotezowego zapalenia stawu biodrowego wynosi:
Pytanie 91
Antybiotykiem, którego nigdy nie można stosować w monoterapii zakażenia okołoprotezowego stawu biodrowego jest:
Pytanie 92
Pewnym objawem zakażenia okołoprotezowego stawu biodrowego jest:
Pytanie 93
Ryfampicyna w leczeniu skojarzonym zakażeń okołoprotezowych może być najwcześniej stosowana:
1) od pierwszej doby po operacji rewizyjnej z powodu septycznego obluzowania endoprotezy;
2) gdy rana pooperacyjna jest sucha;
3) gdy rana pooperacyjna jest zagojona i są zdjęte szwy;
4) gdy jest założony dren;
5) gdy jest usunięty dren.
Prawidłowa odpowiedź to:
Pytanie 94
Zniesienie kąta Böhlera wskazuje na potrzebę:
Pytanie 95
Przymusowe ustawienie palca środkowego ręki w zgięciu w stawie DIP i przeproście w stawie PIP to zniekształcenie:
Pytanie 96
W zwichnięciu zasłonowym kończyna układa się w:
Pytanie 97
Uszereguj ograniczenia zakresu ruchów w stawie biodrowym w typowym przebiegu pierwotnej choroby zwyrodnieniowej tego stawu w kolejności pojawiania się, zaczynając od najwcześniejszego:
Pytanie 98
Stosunek wielkości określonej przez pomiar odległości między linią łączącą „łzy” Köhlera a połączeniem szyjki i głowy kości udowej po stronie chorego biodra do średnicy głowy kości udowej przeciwnego, zdrowego biodra mierzonej w pionie służy do określania:
Pytanie 99
Uszkodzenie nerwu piersiowego długiego objawia się:
Pytanie 100
W leczeniu operacyjnym wieloodłamowych złamań dalszego końca kości ramiennej stosuje się dostęp operacyjny z osteotomią wyrostka łokciowego. Wskaż prawdziwe stwierdzenie:
Pytanie 101
Wskaż fałszywe stwierdzenia dotyczące rewizji panewki endoprotezy stawu biodrowego:
1) przy istotnej domiednicznej migracji panewki protezy cementowanej należy wykonać badanie obrazujące przebieg naczyń;
2) przy migracji górnej, panewki bezcementowej gwintowanej należy przygotować możliwość dostępu pozaotrzewnowego;
3) należy najpierw odcinać dłutem połączenie cement-kość ze względu na łatwość usunięcia całego mankietu cementu zamocowanego do panewki;
4) po wymianie panewki istnieje większe niż po protezoplastyce pierwotnej ryzyko zwichnięcia głowy endoprotezy stawu biodrowego.
Prawidłowa odpowiedź to:
Pytanie 102
Wskaż prawdziwe stwierdzenia dotyczące leczenia złamania podstawy I kości śródręcza:
1) złamania pozastawowe podstawy I kości śródręcza z zagięciem kątowym większym niż 10° wymagają zawsze repozycji i stabilizacji;
2) w złamaniu typu Bennetta mały odłam stawowy jest nieprzemieszczony dzięki napięciu więzadła przedniego skośnego;
3) otwartej repozycji złamania Rolanda nie powinno się dokonywać z wykorzystaniem dostępu dłoniowo-promieniowego ze względu na ryzyko uszkodzenia gałązek powierzchownych nerwu promieniowego;
4) utrzymanie nastawienia złamania Rolanda umożliwia zastosowanie stabilizatora zewnętrznego między kością czworoboczną większą i trzonem I kości śródręcza.
Prawidłowa odpowiedź to:
Pytanie 103
Panewka dwumobilna jest właściwym wskazaniem w:
Pytanie 104
Wskaż czynniki ryzyka złamania szyjki kości udowej po endoprotezoplastyce powierzchniowej stawu biodrowego:
1) ubytki kostne szyjki kości udowej;
2) płeć żeńska;
3) płeć męska;
4) szpotawe ustawienie implantu;
5) koślawe ustawienie implantu.
Prawidłowa odpowiedź to:
Pytanie 105
Wskaż czynniki ryzyka powikłań po endoprotezoplastyce powierzchniowej stawu biodrowego:
1) biodro szpotawe;
2) biodro koślawe;
3) niewydolność nerek;
4) duży rozmiar głowy i panewki stawu biodrowego.
Prawidłowa odpowiedź to:
Pytanie 106
Wskaż czynniki uszkodzenia nerwów podczas endoprotezoplastki stawu biodrowego:
1) płeć żeńska;
2) płeć męska;
3) operacje rewizyjne;
4) rozwojowa dysplazja stawu biodrowego;
5) pourazowe zmiany artropatyczne.
Prawidłowa odpowiedź to:
Pytanie 107
Endoprotezoplastyka stawu biodrowego jest istotnym zagrożeniem wystąpienia żylnej choroby zakrzepowo-zatorowej. Wskaż czynniki wywołujące kaskadę krzepnięcia podczas operacji:
1) wprowadzanie trzpienia do kanału kości udowej każdego typu;
2) wbijanie sztucznej panewki;
3) niedrożność naczyń udowych podczas przygotowywania i wprowadzania komponentu udowego;
4) skręcenie kończyny dolnej podczas implantacji trzpienia;
5) nastawianie stawu biodrowego.
Prawidłowa odpowiedź to:
Pytanie 108
Wskaż stany kliniczne mające negatywny wpływ na wynik endoprotezoplastyki stawu biodrowego i wystąpienie powikłań:
1) niedokrwistość sierpowata;
2) choroba Parkinsona;
3) choroba Pageta;
4) dializy;
5) łuszczycowe zapalenia stawów.
Prawidłowa odpowiedź to:
Pytanie 109
Czterofragmentowe złamanie głowy kości ramiennej połączone z jej zwichnięciem tylnym u 65-letniego pacjenta z rozpoznanym całkowitym, zdekompensowanym uszkodzeniem pierścienia rotatorów wymaga:
Pytanie 110
Całkowite przecięcie nerwu łokciowego na poziomie przedramienia powoduje:
Pytanie 111
W zespole kanału Guyona zaburzenia czucia występują:
Pytanie 112
Wskaż najskuteczniejszy sposób leczenia zastarzałego, całkowitego uszkodzenia ścięgna długiego prostownika kciuka:
Pytanie 113
Wskaż prawdziwe stwierdzenie dotyczące uszkodzenia nerwu o typie neurotmesis:
Pytanie 114
Brak możliwości prostowania stawu kolanowego po alloplastyce stawu biodrowego może świadczyć o uszkodzeniu nerwu:
Pytanie 115
Efektywnym sposobem zapobiegania występowaniu odleżyn po całkowitym uszkodzeniu rdzenia kręgowego jest regularna zmiana obciążanej okolicy ciała porażonego przynajmniej co:
Pytanie 116
Do uszkodzenia (objawu) Hilla-Sachsa, czyli ubytku w tylno-bocznej części głowy kości ramiennej dochodzi w:
Pytanie 117
Złamanie kości łódeczkowatej prowadzi do upośledzenia ukrwienia tej kości. Do jałowej martwicy kości łódeczkowatej dochodzi najczęściej w:
Pytanie 118
Paprosky i wsp. opracowali system klasyfikacji oparty na przedoperacyjnych rentgenogramach oraz wynikach badań śródoperacyjnych, w którym podział na grupy opiera się na położeniu panewki endoprotezy względem panewki kostnej oraz na ocenie stanu tkanki kostnej na podstawie anatomicznych punktów odniesienia. Wg tej klasyfikacji migracja w kierunku przyśrodkowym oznacza typ:
Pytanie 119
Złamanie okołoprotezowe typu B2 wg klasyfikacji Vancouver jest wskazaniem do leczenia przy użyciu:
Pytanie 120



