Wyszukaj egzamin lub pytanie
Egzamin PES Ortopedia i traumatologia narządu ruchu / wiosna 2021
120 pytań
Pytanie 1
Przyczynami operacji rewizyjnych panewki protezy stawu biodrowego są: 1) zmiany osteolityczne tkanki kostnej wokół panewki, 2) przejaśnienie tkanki kostnej wokół panewki w badaniu RTG o grubości ok. 2 mm, 3) zużycie implantu, 4) skostnienia tkanki kostnej powyżej panewki IIP w skali Brookera, 5) objawy choroby resztek w obszarze nadpanewkowym.
Pytanie 2
W przypadku obluzowania tylko panewki stawu biodrowego należy wykonać: 1) całkowitą wymianę endoprotezy (wszystkie elementy), 2) wymianę wkładki, w przypadku endoprotezy bezcementowej, 3) wymianę wszystkich elementów panewkowych, w przypadku endoprotezy bezcementowej, 4) zawsze wymianę głowy endoprotezy, 5) wymianę głowy endoprotezy, zgodnie z zastosowaną panewką (ten sam system protezowy).
Pytanie 3
Podczas wykonywania rewizji stawu biodrowego z dostępu tylnego należy zwrócić uwagę na nerw pośladkowy górny. Wskaż fałszywe stwierdzenie:
Pytanie 4
Wskaż prawdziwe stwierdzenia dotyczące rekonstrukcji górnej części panewki: 1) w przypadku konieczności rekonstrukcji górnego brzegu panewki wskazane jest odsłonięcie nerwu pośladkowego górnego, 2) trójkąt Ranawata pozwala na lepszą ocenę ubytku tkanki kostnej ponad stropem panewki, 3) ubytki tkanki kostnej wymagają jedynie użycia przeszczepów kostnych różnego typu, 4) użycie wzmacniających pierścieni panewkowych mocowanych do kości biodrowej może być przyczyną uszkodzenia nerwu pośladkowego górnego, 5) podczas operacji rewizyjnych panewki stawu biodrowego praktycznie nie dochodzi do uszkodzenia nerwu pośladkowego górnego.
Pytanie 5
Podczas usuwania trzpienia endoprotezy bezcementowej należy kierować się następującymi zasadami: 1) w przypadku znacznego zagłębienia się trzpienia w kości udowej należy w sposób kontrolowany odciąć krętarz większy kości udowej, 2) należy dążyć do usunięcia tkanki kostnej lub bliznowatej z powierzchni bocznej trzpienia, 3) usunięcie tkanek z powierzchni bocznej trzpienia zapobiega złamaniu krętarza dużego, 4) po osteotomii krętarza większego są zachowane dobre warunki do jego zrostu, 5) okienko wykonane na powierzchni przednio-bocznej kości udowej poniżej krętarza dużego pozwala na zachowanie nieuszkodzonego krętarza dużego.
Pytanie 6
Podczas wykonywania operacji rewizyjnej okienka w kości udowej należy przestrzegać następujących zasad: 1) okienko w kości udowej wycina się w jej części przednio-bocznej, 2) długość okienka nie powinna przekraczać 3 cm, 3) linię cięcia należy poprowadzić skośnie, aby wycięty fragment kostny pozostał stabilny po położeniu go na swoje miejsce, 4) na ogół wycięte okienka kostne nie wymagają stabilizacji np. pętlami drutu, 5) okienko może być wycięte w dowolnym miejscu kości udowej na jego obwodzie.
Pytanie 7
W przypadku usuwania trzpienia cementowanego obowiązują następujące zasady: 1) w pierwszej kolejności usuwany jest cement z końca bliższego kości udowej, 2) w celu usunięcia cementu położonego dystalnie lub korka blokującego kanał udowy zalecane jest wykonanie okienka kostnego, 3) po usunięciu trzpienia endoprotezy konieczne jest całkowite usunięcie pozostałego cementu kostnego, 4) najwięcej trudności sprawia usunięcie korka blokującego kanał udowy, 5) do usunięcia cementu przydatne jest użycie specjalnych wierteł.
Pytanie 8
Wskaż prawdziwe stwierdzenia dotyczące postępowania chirurgicznego w przypadku zastarzałego złamania części krętarza większego kości udowej: 1) jest to najczęściej wynik wcześniej przeprowadzonych protezoplastyk, 2) najczęściej stwierdza się wolny fragment kostny, 3) wolna tkanka kostna może wykazywać cechy martwicy, 4) leczeniem z wyboru jest usunięcie wolnego fragmentu krętarza, 5) przesuwający się wolny fragment krętarza powoduje u chorego uczucie niestabilności stawu.
Pytanie 9
Jeżeli podczas wprowadzania rewizyjnego trzpienia bezcementowego dojdzie do podłużnego pęknięcia kości udowej, to należy:
Pytanie 10
Podczas operacji rewizyjnych zalecanym dostępem jest:
Pytanie 11
Po zabiegach aloplastyk stawowych można spotkać się z kostnieniem pozaszkieletowym. Według jakiej klasyfikacji oceniany jest stopień skostnień okołostawowych?
Pytanie 12
W odwróconej protezie barku, tzw. „notching” to konflikt między elementem protezy a:
Pytanie 13
U osób powyżej 65. roku życia, które doznały wielofragmentowego złamania bliższego końca kości ramiennej, najczęściej rekomendowanym leczeniem operacyjnym jest:
Pytanie 14
U pacjenta zakwalifikowanego do aloplastyki stawu biodrowego z powodu wcześniej leczonej rozwojowej dysplazji z pozostawionymi łącznikami kości z wcześniejszych zabiegów, należy spodziewać się: 1) przedłużonego czasu trwania zabiegu, 2) zwiększonej utraty krwi, 3) skrócenia kończyny po zabiegu, wydłużenia kończyny po zabiegu, 4) powikłań zakrzepowych.
Pytanie 15
Poniższy radiogram stawów biodrowych w projekcji AP przedstawia:

Pytanie 16
Które z wymienionych czynników zwiększają ryzyko powikłań po aloplastyce stawu biodrowego? 1) demencja, 2) choroby psychiczne, 3) otyłość, płeć męska, 4) długotrwałe stosowanie leków z grupy NLPZ.
Pytanie 17
Wskazaniami do leczenia operacyjnego skolioz idiopatycznych młodzieńczych są: 1) dodatni test Rissera, 2) wartości kąta rotacji tułowia przekraczające 7°, 3) wartości kąta Cobba przekraczające 45-50°, 4) progresja skoliozy, 5) męska.
Pytanie 18
Zapalenie krążka międzykręgowego: 1) występuje głównie u dzieci i młodzieży, 2) wywoływane jest najczęściej przez gronkowce, 3) wywoływane jest najczęściej przez paciorkowce, występuje najczęściej w kręgosłupie lędźwiowym i piersiowym, 5) wymaga najczęściej leczenia nieoperacyjnego.
Pytanie 19
Objaw Kleina-Trethowana jest charakterystyczny dla:
Pytanie 20
Co nie jest elementem definicji skoliozy idiopatycznej?
Pytanie 21
Podział młodzienczego złuszczenia głowy kości udowej na postać stabilną bądź niestabilną na podstawie stanu klinicznego określa:
Pytanie 22
Do charakterystycznych objawów podmiotowych i przedmiotowych patologii widocznej na radiogramach należą: 1) ból w pachwinie promieniujący na przednią powierzchnię uda, 2) objaw Kleina-Trethowana, 3) objaw Ortolaniego, 4) objaw Drehmanna, 5) objaw Gage.

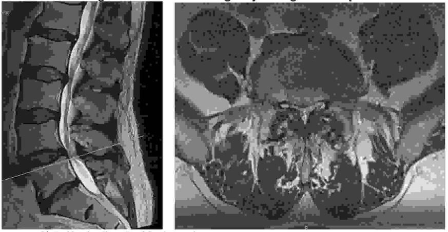
Pytanie 23
Do charakterystycznych objawów patologii widocznej na poniższych obrazach tomografii rezonansu magnetycznego należą: 1) osłabienie lub brak odruchu kolanowego, 2) ból promieniujący do kończyny dolnej wzdłuż przedniej powierzchni uda, 3) ból promieniujący do kończyny dolnej wzdłuż bocznej powierzchni uda, tylnej powierzchni podudzia, pięty, 4) osłabienie zgięcia podeszwowego stopy, 5) osłabienie lub brak odruchu ze ścięgna Achillesa.

Pytanie 24
Do rozwoju skoliozy nerwowo-mięśniowej może dojść w przebiegu:
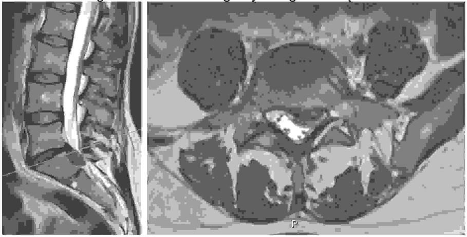
Pytanie 25
Do charakterystycznych objawów patologii widocznej na poniższych obrazach tomografii rezonansu magnetycznego należą: 1) ból okolicy lędźwiowej, 2) parestezje, ból promieniujący do kończyn dolnych w pozycji stojącej podczas chodzenia, 3) osłabienie siły zgięcia stawu biodrowego, 4) osłabienie odruchu kolanowego, 5) zmniejszenie dolegliwości bólowych promieniujących do kończyn dolnych po przyjęciu pozycji siedzącej.

Pytanie 26
Test Rissera służy do oceny:
Pytanie 27
6-letnia dziewczynka leczona jest z powodu złamania nadkłykciowego kości ramiennej typu II. Wskaż prawidłowy sposób wykonania zespolenia po zamkniętej repozycji:
Pytanie 28
22-letni mężczyzna, dotychczas uprawiający sport, odczuwa ból obu bioder, z przewagą po stronie lewej. Klinicznie stwierdza się dodatni objaw FADIR, bolesne ograniczone zgięcie, przywiedzenie i rotację wewnętrzną. Wskaż najwłaściwsze badania obrazowe:

Pytanie 29
32-letni mężczyzna, który dotychczas uprawiał sport, odczuwa ból w obu pachwinach, z przewagą po stronie prawej. Klinicznie stwierdza się bolesne ograniczenie zgięcia, przywiedzenia oraz rotacji wewnętrznej badanych jednocześnie. Na podstawie zdjęcia uzyskanego z tomografii rezonansu magnetycznego wskaż prawdziwe rozpoznanie:

Pytanie 30
U chorej w wieku 37 lat stwierdzono dysfunkcję biodra prawego spowodowaną chorobą zwyrodnieniową na tle dysplazji rozwojowej tego stawu. Planując leczenie operacyjne, określ, które wymienione poniżej elementy leczenia istotnie wpływają na dobry odległy wynik leczenia z użyciem endoprotezoplastyki:
Pytanie 31
15-letnia dziewczynka zgłosiła się z bólem biodra zlokalizowanym w lewej pachwinie. W dzieciństwie leczona była z użyciem szyny odwodzącej. Normalny zakres ruchów, z objawem FADIR i chód z minimalnym utykaniem na stronę lewą: Wskaż prawidłowe rozpoznanie i leczenie:

Pytanie 32
Kobieta w wieku 72 lat upadła w czasie prac domowych, doznając urazu okolicy krętarzowej. W oddziale ratunkowym na podstawie zdjęcia radiologicznego rozpoznano złamanie przezkrętarzowe typu III wg Boyda-Griffina. W prawidłowym postępowaniu leczniczym należy:
Pytanie 33
Mężczyzna w wieku 25 lat w trakcie wypadku komunikacyjnego (kierowca motocykla) upadł, doznając urazu wielomiejscowego: W oddziale ratunkowym na podstawie zdjęcia radiologicznego poza złamaniem kości ramiennej promieniowej, rozpoznano złamanie podkrętarzowe niestabilne, odwrócone. W dalszym postępowaniu leczniczym należy:
Pytanie 34
U chorego mężczyzny w wieku 25 lat w trakcie wypadku komunikacyjnego (kierowca skutera) doszło do urazu wielomiejscowego. W oddziale ratunkowym na podstawie zdjęcia radiologicznego poza złamaniem kości ramiennej promieniowej rozpoznano złamanie nadkłykciowe międzykłyciowe kości udowej. W drugiej dobie zespolono odłamy, odtwarzając powierzchnię stawową oraz ciągłość kości udowej z użyciem dopasowanej płytki kątowo-stabilnej. Po 6 miesiącach stwierdzono destabilizację zespolenia. Wskaż najwłaściwsze dalsze postępowanie lecznicze:
Pytanie 35
Objaw Trendelenburga świadczy o:
Pytanie 36
Pacjent w wieku 3 lat trafił z matką do Poradni Ortopedycznej z następującymi objawami: utykanie, ból kończyny dolnej lewej, ograniczenie odwiedzenia i rotacji wewnętrznej w stawie biodrowym, dolegliwości trwają od 2 tygodni, bez uchwytnego początku, badanie radiologiczne wykazuje obniżenie nasady głowy kości udowej lewej. Wskaż prawdziwe stwierdzenie dotyczące diagnozy oraz prawidłowego postępowania terapeutycznego:
Pytanie 37
Zjawisko cut-out szyjkowej (wyrwanie śruby szyjkowej):
Pytanie 38
W przypadku złamań krętarzowych kości udowej celem postępowania operacyjnego jest uzyskanie anatomicznej repozycji. W przypadku złamań niestabilnych anatomiczna repozycja nie zawsze jest nieosiągalna. Akceptowalne będzie: 1) repozycja na koślawo, 2) repozycja na szpotawo, 3) ustawienie szczytu śruby szyjkowej w górnym kwadrancie głowy kości udowej, 4) ustawienie szczytu śruby szyjkowej w dolnym kwadrancie głowy kości udowej, 5) nie wymagana jest repozycja.
Pytanie 39
Wskaż prawdziwe stwierdzenia dotyczące klasyfikacji wewnątrztorebkowych złamań bliższego końca kości udowej: 1) Pauwels III to złamanie niestabilne, 2) Garden IV to złamanie przemieszczone, występuje proksymalne skrócenie odłamu dalszego, 3) Pauwels II kąt szczeliny złamania wynosi 60°, 4) Garden III występuje duże skrócenie odłamu dalszego, 5) powyższe klasyfikacje nie dotyczą złamań wewnątrztorebkowych.
Pytanie 40
Cechami charakterystycznymi złamań typu Pilon kości podudzia są:
Pytanie 41
Wskaż fałszywe stwierdzenie dotyczące urazów kości tylostopia:
Pytanie 42
Wskaż prawdziwe stwierdzenia dotyczące złamań kończyny dolnej: 1) zespolenie płytą LISS stanowi złoty standard zaopatrywania złamań końca bliższego kości piszczelowej, 2) planując założenie gwoździa śródszpikowego z rozwierceniem kanału szpikowego należy założyć opaskę Esmarcha celem ograniczenia utraty krwi, 3) złamania szyjki kości udowej współtowarzyszą złamaniu trzonu kości udowej w około 5% przypadków, 4) złamania końca bliższego kości udowej typu reverse oblique stanowią wskazanie do zespolenia śrubą płytką DHS, 5) tzw. śruba więzozrostowa to śruba kątowostabilna.
Pytanie 43
Wskaż fałszywe stwierdzenia dotyczące złamań typu pilon kości podudzia: 1) może im towarzyszyć uszkodzenie naczyń i nerwów, 2) tomografia komputerowa odgrywa istotną rolę, 3) zawsze towarzyszy im złamanie kości piętowej, 4) towarzyszy im często masywne uszkodzenie tkanek miękkich, 5) zawsze wiążą się z uszkodzeniem powierzchni stawowej.
Pytanie 44
Wykonanie manewru Allgöwera zamkniętej repozycji zwichnięcia stawu biodrowego wiąże się z największym ryzykiem jatrogennego złamania szyjki kości udowej.
Pytanie 45
Wskaż prawdziwe stwierdzenia dotyczące złamania głowy kości udowej typu II wg klasyfikacji Pipkina: 1) leczenie operacyjne jest postępowaniem z wyboru, 2) preferowany jest dostęp Hardinga, 3) dla osiągnięcia lepszej stabilności wskazane jest użycie śrub Herberta 5,0 mm, 4) najczęściej towarzyszy zwichnięciu tylnemu stawu biodrowego.
Pytanie 46
Wskaż fałszywe stwierdzenie dotyczące zastosowania wstecznego gwoździa śródszpikowego do stabilizacji złamań kości udowej:
Pytanie 47
Do zespolenia złamania typu 33-C1 wg AO na pewno nie można użyć:
Pytanie 48
W przypadku stosowania do zespolenia trzonu kości piszczelowej w złamaniu typu pilon śrub o średnicy 4,5 mm oraz płyt kątowo-stabilnych systemu 5,0 oraz konieczności zastosowania śruby ciągnącej, prawidłowym postępowaniem jest użycie:
Pytanie 49
Pręt Hagie'go stosuje się do leczenia złamań:
Pytanie 50
Wskazaniem do leczenia operacyjnego złamania łopatki jest: 1) złamanie śródstawowe obejmujące 20-25% powierzchni stawowej, 2) złamanie wydrążenia stawowego obejmujące 25-30% powierzchni stawowej, 3) złamanie szyjki łopatki z zagięciem kątowym odłamów 45° w płaszczyźnie czołowej, 4) złamanie szyjki łopatki z przemieszczeniem wydrążenia stawowego o 1,5 cm przyśrodkowo, 5) złamanie szyjki łopatki z przemieszczeniem wydrążenia stawowego o ponad 2 cm przyśrodkowo, wieloodłamowe złamanie grzebienia łopatki.
Pytanie 51
Dostęp tylny do trzonu kości ramiennej wykonuje się w przestrzeni pomiędzy głową:
Pytanie 52
Zamknięte nastawienie metodą Meyna i Quigleya wykonuje się w pozycji:
Pytanie 53
Dostęp operacyjny Campbella stosowany w celu przeprowadzenia otwartego nastawienia stabilizacji wewnętrznej złamania końca dalszego kości ramiennej: 1) jest dostępem tylno-bocznym, 2) wymaga przeprowadzenia osteotomii wyrostka łokciowego, 3) wymaga wypreparowania nerwu łokciowego, 4) wymaga wypreparowania nerwu promieniowego, 5) przebiega z wytworzeniem języka ze ścięgna mięśnia trójgłowego ramienia, ma charakter oszczędzający mięsień trójgłowy ramienia, przez co pozwala na wcześniejsze rozpoczęcie ruchów czynnych w stawie po zabiegu operacyjnym.
Pytanie 54
Wskaż prawdziwe stwierdzenia dotyczące złamania Hahna-Steinthala: 1) jest złamaniem śródstawowym, 2) powstaje w wyniku działania sił ścinających, 3) najczęściej wymaga leczenia operacyjnego z dostępu Kocher'a, 4) najczęściej wymaga osteosyntezy z zastosowaniem śrub, 5) najczęściej wymaga resekcji złamanego fragmentu, 6) po zabiegu operacyjnym wymaga zastosowania ćwiczeń ruchów czynnych.
Pytanie 55
Najważniejszym czynnikiem pozwalającym odtworzyć ruchy rotacyjne przedramienia po leczeniu operacyjnym otwartego nastawienia i stabilizacji wewnętrznej złamania poprzecznego trzonu kości promieniowej jest:
Pytanie 56
Dostęp operacyjny wg Henry'ego stosowany w leczeniu złamania 1/3 bliższej trzonu kości promieniowej: 1) przeprowadza się po stronie grzbietowo-promieniowej przedramienia, 2) rozpoczyna się cięciem skórnym przeprowadzonym od okolicy przyczepu ścięgna mięśnia dwugłowego ramienia, 3) przeprowadza się w przestrzeni pomiędzy mięśniem ramiennym zginaczem promieniowym nadgarstka a mięśniem ramienno-promieniowym, 4) wymaga przecięcia zaopatrzenia niektórych gałęzi tętnicy promieniowej, w tym tętnicy promieniowej wstecznej, 5) wymaga odsunięcia nerwu promieniowego oraz przecięcia mięśnia odwracacza.
Pytanie 57
Wskaż prawdziwe stwierdzenia dotyczące dostępu Kaplana: 1) przeprowadza się pomiędzy mięśniem łokciowym a prostownikiem łokciowym nadgarstka, 2) jest dostępem międzymięśniowym, 3) stosowany jest w celu uzyskania dobrego wglądu w część tylną stawu łokciowego, 4) przebiega z rozdzieleniem więzadła pobocznego promieniowego, 5) wymaga nacięcia torby stawowej z tyłu od strony brzegu przedniego mięśnia łokciowego, 6) jest ryzykowny ze względu na możliwość potencjalnego uszkodzenia nerwu międzykostnego tylnego.
Pytanie 58
Przemieszczenie w złamaniu Bennetta ma charakter:
Pytanie 59
W prawidłowym przebiegu pooperacyjnym u chorych po endoprotezoplastyce całkowitej stawu biodrowego wartość CRP osiąga najwyższe wartości i ulega najwcześniej normalizacji, odpowiednio w:
Pytanie 60
Częstość występowania zakażeń okołoprotezowych po endoprotezoplastyce pierwotnej stawów biodrowych wynosi ok:
Pytanie 61
Pacjent lat 25, pourazowe skrócenie długości bezwzględnej funkcjonalnej lewej kończyny dolnej 5 cm, przypada na segment udowy. W celu egalizacji długości kończyn dolnych można wykonać:
Pytanie 62
Przeciwwskazaniem do wydłużania kończyny dolnej z użyciem stabilizatora zewnętrznego jest: 1) zwichnięcie sąsiedniego stawu, 2) stan zapalny w miejscu planowanego powstawania regeneratu, 3) choroba psychiczna lub upośledzenie umysłowe uniemożliwiające współpracę w trakcie leczenia, 4) niedojrzałość kostna chorego, 5) zaburzenie osi występujące jednocześnie ze skróceniem kończyny.
Pytanie 63
Wskaż prawdziwe stwierdzenie dotyczące wrodzonej stopy piętowej:
Pytanie 64
Które stwierdzenie jest prawdziwe w odniesieniu do wrodzonego braku kości piszczelowej?
Pytanie 65
Wrodzony staw rzekomy kości piszczelowej:
Pytanie 66
Które ze stwierdzeń dotyczących hemimelii strzałkowej (hipoplazji lub aplazji kości strzałkowej) jest fałszywe?
Pytanie 67
Klasyfikacja wg Herringa mająca zastosowanie w chorobie Perthesa:
Pytanie 68
Złamanie podchrzęstne głowy kości udowej obserwowane w obrazie RTG w przebiegu choroby Perthesa:
Pytanie 69
Uszkodzenie Morela-Lavallee'a to:
Pytanie 70
Wskaż kolejność stabilizatorów zewnętrznych od najmniej do najbardziej wydolnych mechanicznie:
Pytanie 71
Złamania okołoprotezowe w trakcie pierwotnych pourazowych endoprotezoplastyk stawów:
Pytanie 72
Czynnikiem epidemiologicznym lub patogenetycznym niezwiązanym ze złamaniem osteoporotycznym jest:
Pytanie 73
Zbadano, że utrzymujące się objawy całkowitego uszkodzenia funkcji rdzenia kręgowego po upływie pewnego okresu czasu od chwili urazu oznaczają całkowite i nieodwracalne jego strukturalne uszkodzenie. Jest to okres:
Pytanie 74
Całkowite uszkodzenie rdzenia kręgowego prowadzi do wyłączenia oddychania przeponą i uduszenia, gdy dochodzi do uszkodzenia ośrodków ruchowych dla przepony znajdujących się na wysokości:
Pytanie 75
Wskaż kolejność uszkodzenia urazowego nerwów obwodowych od najcięższego do najlżejszego:
Pytanie 76
Po wystąpieniu urazowego uszkodzenia nerwu obwodowego leczenie operacyjne znajduje zastosowanie w:
Pytanie 77
WALANT to:
Pytanie 78
Wskazaniem do synowektomii stawów śródręczno-paliczkowych (MCP) w RZS jest:
Pytanie 79
W przypadku uszkodzenia tętnicy podkolanowej w pierwotnej endoprotezoplastyce stawu kolanowego do amputacji kończyny dochodzi w:
Pytanie 80
Do uzupełnienia ubytku nerwu, powstałego po jego urazie, wykorzystuje się najczęściej przeszczepy z nerwu:
Pytanie 81
Palec butonierkowaty powstały po urazie ręki jest wynikiem:
Pytanie 82
Wskaż prawdziwe stwierdzenie dotyczące osteotomii ześlizgowej krętarza dużego:
Pytanie 83
Złamanie okołoprotezowe typu B1 wg Klasyfikacji Vancouver oznacza:
Pytanie 84
Klasyfikacja d'Antonio wsp. przyjęta przez AAOS opisuje:
Pytanie 85
Niedostateczna antetorsja trzpienia endoprotezy stawu biodrowego powoduje zwiększone ryzyko:
Pytanie 86
Metoda Collisa-Dubrula z użyciem jednorazowego wiertła trepanacyjnego służy do:
Pytanie 87
Dane naukowe uzasadniają zastosowanie panewki dwumobilnej w przypadku:
Pytanie 88
Wkład panewki związanej blokujący głowę kości udowej nie powinien być stosowany w zapobieganiu zwichnięciu wskutek:
Pytanie 89
Wskaż prawdziwe stwierdzenia dotyczące zniekształceń skoliotycznych klatki piersiowej: 1) rotacja kręgów piersiowych pociąga za sobą żebra, powstaje garb żebrowy, 2) żebra ulegają deformacji po stronie wypukłej skrzywienia, a po stronie wklęsłej nie zmieniają się, 3) im większa skolioza, im większa rotacja kręgosłupa, tym większy garb żebrowy, 4) klatka piersiowa u dziecka ze skoliozą na przekroju poprzecznym ma kształt owalny, 5) garb wewnętrzny to wg Dubousset'a fragment kręgosłupa wpuklony do wewnątrz klatki piersiowej w dużych skoliozach piersiowych.
Pytanie 90
Diagnostyka różnicowa w chorobie Scheuermanna obejmuje:
Pytanie 91
Do zespołów bólowych w przebiegu kręgozmyku w okolicy L4-L5-S1 zalicza się:
Pytanie 92
U 89-letniej chorej po urazie stawu kolanowego doznanego w wyniku upadku z własnej wysokości najwłaściwszym postępowaniem będzie:

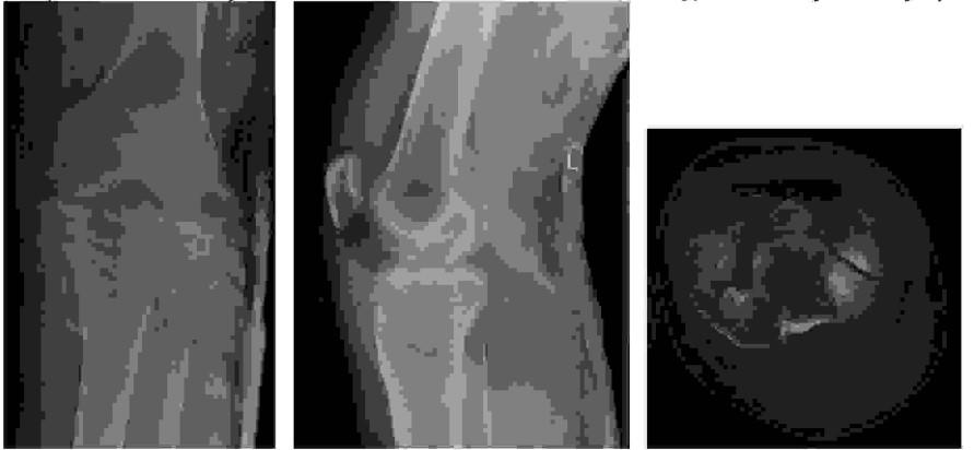
Pytanie 93
Złamanie końca bliższego goleni u 45-letniego mężczyzny o morfologii jak na przedstawionych RTG i CT. Wskaż, które postępowanie jest najlepsze:

Pytanie 94
Niedobór witaminy D powoduje: 1) osłabienie siły mięśniowej i osteomalację, 2) osteomalację zanik plamisty kości, 3) wzrost ryzyka upadku i osteoporozę, 4) opóźnienie zrostu złamania i osłabienie siły mięśniowej, 5) wzrost ryzyka zapalenia żył.
Pytanie 95
Wskaż prawdziwe stwierdzenia dotyczące osteoporotycznych złamań kręgosłupa: 1) powinny być hospitalizowane, 2) są bezobjawowe w 60%, 3) wymagają unieruchomienia w opatrunku gipsowym, są złamaniami stabilnymi, są wskazaniami do wertebroplastyki.
Pytanie 96
U każdej chorej z niskoenergetycznym złamaniem Collesa niezależnie od leczenia złamania należy bezzwłocznie: 1) wdrożyć prewencję upadków, 2) przeprowadzić diagnostykę różnicową, 3) poinformować o ryzyku kolejnych złamań, 4) rozpoznać osteoporozę i wdrożyć adekwatne leczenie, 5) wykonać badanie densytometryczne DXA drugiego przedramienia.
Pytanie 97
Zmniejszenie ryzyka złamania we wrodzonej łamliwości kości można uzyskać stosując: 1) preparaty soli wapniowych i wit. D, 2) bisfosfoniany doustne, 3) bisfosfoniany dożylne, 4) pochodne parathormonu, 5) sterydy.
Pytanie 98
W leczeniu kompleksowego zespołu bólu regionalnego (choroby Sudecka) najistotniejszym postępowaniem jest:
Pytanie 99
Złamania osteoporotyczne dotyczą najczęściej:
Pytanie 100
Optymalne ustawienie w stawie biodrowym podczas wykonania artrodezy wynosi:
Pytanie 101
Po wykonaniu diagnostyki złamania szyjki kości udowej, złamania podgłowowe nieprzemieszczone, w tym zaklinowane, przezszyjkowe przezkrętarzowe kwalifikują się do stabilizacji biomechanicznej. Wskaż zdanie fałszywe:
Pytanie 102
Wskaż prawdziwe stwierdzenie dotyczące zagadnienia totalnej alloplastyki stawu kolanowego:
Pytanie 103
Pacjentka w wieku 53 lat z izolowanymi dolegliwościami bólowymi ze strony palucha koślawego stopy prawej, konfliktem z dobraniem obuwia, bez metatarsalgii deformacji palców II-V, z istotną hipermobilnością promienia stopy. W radiogramach stóp AP + BOK na stojąco z obciążaniem masą ciała stwierdzono: kąt koślawości palucha 38°, kąt intermetatarsalny I-II 21°, podwichnięcie boczne trzeszczek, podwichnięcie boczne palucha w stawie śródstopno-palcowym I, kąt koślawości międzypaliczkowej palucha 13°, kąt nachylenia dystalnej powierzchni stawowej głowy kości śródstopia 7°, brak zmian zwyrodnieniowych stawu śródstopno-palcowego I. Pacjentkę należy zakwalifikować do:
Pytanie 104
Przeciwwskazaniem do wykonania osteotomii korekcyjnej bliższego końca piszczeli jest: 1) ból kolana w przebiegu choroby zwyrodnieniowej ograniczający aktywność i sprawność chorego, 2) artroza obydwu przedziałów kolana w przebiegu choroby zwyrodnieniowej, 3) artroza przedziału bocznego lub przyśrodkowego kolana w przebiegu choroby zwyrodnieniowej, 4) szpotawość lub koślawość kolana potwierdzona badaniem radiologicznym wykonanym na stojąco, 5) ograniczenie ruchów kolana (poniżej 90° zgięcia).
Pytanie 105
Wskaż prawdziwe stwierdzenia dotyczące endoprotezoplastyki stawu kolanowego po uprzednio wykonanej osteotomii korekcyjnej: 1) jest możliwa jedynie teoretycznie, 2) jest wykonywana jedynie u chorych w stosunkowo młodym wieku, 3) jest możliwa jedynie w krótkim okresie czasu od wykonania pierwotnego zabiegu (do około 2 lat), 4) daje podobne odległe wyniki operacyjne, 5) jest zazwyczaj trudniejsza technicznie do wykonania.
Pytanie 106
Wskaż prawdziwe postępowanie w przypadku niepowodzenia endoprotezoplastyki stawu skokowego:
Pytanie 107
Standardowo, przed planowaniem protezoplastyki stawu ramiennego należy wykonać:
Pytanie 108
Protezoplastyka całkowita stawu ramiennego: 1) jest wskazana w początkowym stadium choroby zwyrodnieniowej tego stawu, 2) jest wskazana w schyłkowym stadium choroby zwyrodnieniowej stawu, 3) jest wskazana w niestabilności stawu ramiennego niepoddającej się leczeniu, 4) jest wskazana w przypadku braku możliwości stabilnego osadzenia panewki stawu ramiennego, 5) jest przeciwwskazana w przypadku nienaprawialnego uszkodzenia stożka rotatorów.
Pytanie 109
Badanie kliniczne 7-letniego dziecka płci żeńskiej z mózgowym porażeniem wykazuje obecność skrócenia lewej kończyny dolnej, ograniczenie odwodzenia lewej kończyny dolnej oraz dodatni objaw przeskakiwania w obrębie stawu biodrowego lewego. Dziecko samodzielnie nie chodzi, nie odczuwa dolegliwości bólowych ze strony stawu biodrowego. Stwierdzone objawy stanowią kliniczną podstawę do rozpoznania:
Pytanie 110
Obecność deformacji końskiej stopy, skrócenia kończyny dolnej, często połączone z rotacją wewnętrzną kończyny, zgięciem w stawie biodrowym i kolanowym u dziecka z niedowładem spastycznym jednostronnym. Wywiad okołoporodowy dziecka obciążony jednostronnym krwawieniem śródczaszkowym. Dziecko samodzielnie chodzi. Stanowi to podstawę do rozpoznania:
Pytanie 111
Stwierdzone współwystępowanie objawów wiotkości wielostawowej, arachnodaktylii, bocznego skrzywienia kręgosłupa, deformacji klatki piersiowej typu kurzej bądź lejkowatej, protruzji bioder wskazuje na rozpoznanie:
Pytanie 112
Kanonem współczesnego leczenia deformacji dynamicznych chodu u dzieci ze złożonymi deformacjami kończyn, tzw. deformacjami dźwigniowo-zależnymi, jest jednoczasowa wielopoziomowa korekcja operacyjna. Polega ona na:
Pytanie 113
Neurogenne boczne skrzywienie kręgosłupa u niechodzącego dziecka z mózgowym porażeniem dziecięcym, GMFCS V leczy się:
Pytanie 114
13-letni chłopiec grający regularnie w koszykówkę, obserwowany z powodu licznych wad wrodzonych odcinka lędźwiowo-krzyżowego kręgosłupa, został skierowany przez lekarza rodzinnego do ortopedy z powodu częstych omdleń, zawrotów głowy, zaburzeń oddawania moczu (moczenie nocne). Wskaż prawdziwą decyzję diagnostyczną:
Pytanie 115
Postępowanie chirurgiczne w zmianach zwyrodnieniowych stawu kolanowego sprowadza się do następujących interwencji, z wyjątkiem:
Pytanie 116
zapobiec zaburzeniom gojenia się rany pooperacyjnej u chorych po wielokrotnych wcześniejszych operacjach na stawie kolanowym należy: 1) wykonać cięcie skórne leżące najbardziej bocznie od poprzednich, 2) wykonać cięcie skórne niekrzyżujące się kątem mniejszym niż 60° z innym cięciem, 3) wykonać cięcie skórne leżące najbardziej przyśrodkowo od wcześniejszych, 4) wartość kąta krzyżowania się z innymi cięciami nie ma znaczenia.
Pytanie 117
Wskaż prawdziwe stwierdzenia dotyczące infekcji występujących po operacjach aloplastyki stawu kolanowego: 1) występują w 0,05 - 1,29 przypadków, 2) występują w 0,5 - 12% przypadków, 3) przy pierwotnym zastosowaniu endoprotezy zawiasowo-rotacyjnej w aloplastyce stawu kolanowego liczba infekcji pooperacyjnych zwiększa się, 4) przy pierwotnym zastosowaniu endoprotezy zawiasowo-rotacyjnej w aloplastyce stawu kolanowego ryzyko infekcji pooperacyjnych maleje.
Pytanie 118
Protezy zawiasowe w pierwotnej endoprotezoplastyce stawu kolanowego mogą mieć zastosowanie w:
Pytanie 119
Dominujące znaczenie dla prawidłowego toru rzepki w endoprotezoplastyce pierwotnej stawu kolanowego ma:
Pytanie 120



