Wyszukaj egzamin lub pytanie
Egzamin PES Ortopedia i traumatologia narządu ruchu / wiosna 2020
120 pytań
Pytanie 1
Jaki stopień osteolizy bliższego końca kości udowej wokół trzpienia stanowi wskazanie do operacji rewizyjnej?
Pytanie 2
Do najważniejszych czynników mających wpływ na dobry wynik operacji rewizyjnej stawu biodrowego należą: 1) oszczędzanie tkanek miękkich podczas operacji; 2) krótki czas operacji; 3) rozszerzony dostęp operacyjny; 4) użycie implantów wzmacniających tkankę kostną, jak pierścienie i koszyki; 5) stosowanie implantów osadzonych na cemencie kostnym. Prawidłowa odpowiedź to:
Pytanie 3
Wykonując rewizję stawu biodrowego z dostępu tylnego należy tak postępować, aby nie uszkodzić nerwu pośladkowego górnego. Wskaż prawdziwe stwierdzenia dotyczące tego nerwu: 1) unerwia mięsień pośladkowy średni; 2) unerwia mięsień pośladkowy duży; 3) przebiega ok. 5 cm powyżej krętarza dużego; 4) przebiega ok. 2 cm powyżej krętarza dużego; 5) ze wskazanego dojścia nie można uszkodzić nerwu pośladkowego górnego. Prawidłowa odpowiedź to:
Pytanie 4
Jakie techniki mogą być stosowane podczas usuwania trzpienia endoprotezy bezcementowej biodra? 1) czasowa osteotomia krętarza dużego (techniką extended slide); 2) wykonanie okienka w kości udowej; 3) okienko powinno być wykonane na powierzchni przednio-bocznej kości udowej; 4) okienko powinno być wykonane na powierzchni tylno-bocznej kości udowej; 5) zaleca się wykonanie okienka w okolicy podkrętarzowej kości udowej jak jedynej bezpiecznej lokalizacji. Prawidłowa odpowiedź to:
Pytanie 5
Po usunięciu implantu udowego endoprotezy z wycięciem okienka kostnego, w dalszych etapach operacji rewizyjnej należy:
Pytanie 6
Podczas usuwania cementu kostnego z kanału udowego: 1) należy dążyć do całkowitego usunięcia cementu; 2) najwięcej trudności sprawia usunięcie dystalnych fragmentów cementu kostnego; 3) usuwanie korka z kanału udowego nie jest konieczne; 4) można osadzić implant rewizyjny udowy tej samej długości co usunięty; 5) implant rewizyjny udowy powinien być co najmniej 5 cm dłuższy od usuniętego. Prawidłowa odpowiedź to:
Pytanie 7
Wskaż prawdziwe stwierdzenia dotyczące postępowania w przypadku braku zrostu odłamu krętarza dużego kości udowej u chorych poddanych operacji rewizyjnej stawu biodrowego: 1) ze względu na przesunięcie w kierunku dogłowowym odłamu i interpozycję tkanek miękkich, są małe szanse na rekonstrukcję krętarza i jego przyrośnięcie do kości udowej; 2) tkanka kostna krętarza jest często zmieniona martwiczo, co uniemożliwia rekonstrukcję; 3) metodą z wyboru jest usunięcie wolnego fragmentu krętarza dużego; 4) można pozostawić nieprzyrośnięty krętarz duży bez konsekwencji klinicznych; 5) podczas usuwania wolnego fragmentu krętarza może dojść do uszkodzenia mięśnia pośladkowego średniego i obszernego bocznego. Prawidłowa odpowiedź to:
Pytanie 8
W lokalizacji zmian osteolitycznych wokół panewki protezy stawu biodrowego pomaga klasyfikacja:
Pytanie 9
Według podziału Tsukayamy zakażeń okołoprotezowych stawu biodrowego: 1) wczesna infekcja pooperacyjna ma początek do 1. miesiąca od operacji, a późna infekcja pooperacyjna ma początek od 2. miesiąca od operacji; 2) wczesna infekcja pooperacyjna ma początek do 3. miesiąca od operacji, a późna od 4. miesiąca od operacji; 3) wczesna infekcja pooperacyjna ma początek do 2 miesięcy od operacji, a późna od 3 miesięcy; 4) ostre krwiopochodne zakażenie ma początek do 14 dni od operacji, przy współistniejącym odległym źródle zakażenia; 5) ostre krwiopochodne zakażenie ma początek ponad miesiąc od operacji, przy współistniejącym odległym źródle zakażenia. Prawidłowa odpowiedź to:
Pytanie 10
Śmiertelność związana z zakażeniami okołoprotezowymi stawów biodrowych wynosi:
Pytanie 11
Ryzyko zakażenia okołoprotezowego stawu biodrowego jest podwyższone u chorych z:
Pytanie 12
Leczenie późnego, głębokiego zakażenia okołoprotezowego stawu biodrowego polega na:
Pytanie 13
Podwyższona wartość CRP i OB u pacjentów bez zakażenia po endoprotezoplastyce pierwotnej stawu biodrowego może się utrzymywać:
Pytanie 14
Obszar znieczulicy skóry okolicy kolana obserwowany po zabiegach pro- tezoplastyki rewizyjnej stawu kolanowego wykonywanej z dostępu przyrzepkowe- go przyśrodkowego wynika z uszkodzenia:
Pytanie 15
Złamanie okołoprotezowe typ II wg klasyfikacji Rorabecka, Angelsa i Lewisa wymaga:
Pytanie 16
Wskaż fałszywe stwierdzenie dotyczące protezoplastyki kolana:
Pytanie 17
Wskaż prawdziwe stwierdzenie dotyczące korygowania ubytków kostnych w protezoplastyce rewizyjnej stawu kolanowego:
Pytanie 18
Złamanie C3 (klasyfikacja Vancouver) wokół trzpienia cementowanego wymaga:
Pytanie 19
Wskaż prawdziwe stwierdzenia: 1) pewnym objawem obluzowania panewki bezcementowej jest jej migracja; 2) osteoliza na poziomie końca stabilnie zamocowanego trzpienia bezcemento- wego jest skutkiem zjawiska ekranowania mechanicznego (stress shielding); 3) zużycie wkładki panewki stawu biodrowego z postępującą osteolizą jest wskazaniem do rewizji nawet przy braku cech obluzowania panewki; 4) metoda stereofotogrametryczna pozwala ocenić gęstość kości wokół implantu; 5) osteoliza okołoprotezowa nie występuje przy stosowaniu artykulacji ceramika- ceramika. Prawidłowa odpowiedź to:
Pytanie 20
Osadzenie trzpienia endoprotezy stawu biodrowego w zbyt małej antetorsji szyjki powoduje, że niebezpieczny jest ruch:
Pytanie 21
Wskaż prawdziwe stwierdzenia dotyczące rewizji panewki endoprotezy stawu biodrowego: 1) przed usuwaniem wgojonej panewki bezcementowej zawsze najpierw należy usunąć wkładkę artykulacyjną; 2) nie należy odcinać dłutem połączenia cement-proteza ze względu na późniejszą trudność usunięcia cementu z panewki; 3) przy domiednicznej migracji panewki protezy cementowanej wskutek zakażenia należy przygotować możliwość dostępu pozaotrzewnowego; 4) przy migracji górnej panewki bezcementowej gwintowanej należy przed operacją rewizyjną wykonać badanie arterio- i flebograficzne; 5) pozostawienie cementu w miednicy z przypadku infekcji okołoprotezowej jest błędem. Prawidłowa odpowiedź to:
Pytanie 22
Po stabilnym zespoleniu złamania rzepki popręgiem Webera standardowym postępowaniem jest:
Pytanie 23
Jak wykonuje się dostęp operacyjny do trzonu kości udowej w celu otwartej repozycji?
Pytanie 24
Panewka dwumobilna jest dobrym wskazaniem w przypadku rewizji stawu biodrowego z powodu:
Pytanie 25
W przypadku stosowania do zespolenia trzonu I kości śródstopia śrub o średnicy 3,5 mm i zastosowaniu techniki śruby ciągnącej, prawidłowym postępo- waniem jest użycie:
Pytanie 26
Złamanie tylnego brzegu kłykcia bocznego kości piszczelowej wymaga leczenia operacyjnego z dostępu:
Pytanie 27
Złamanie oznaczone symbolem 33C3 to według klasyfikacji AO:
Pytanie 28
U otyłego pacjenta ze złamaniem trzonu kości udowej najlepszym sposobem leczenia jest:
Pytanie 29
W przypadku stosowania śrub gąbczastych 6,5 mm do zespolenia kłykcia bocznego kości piszczelowej w technice śruby ciągnącej prawidłowa jest następująca kolejność:
Pytanie 30
Złamanie trzonu kości piszczelowej z zachowaną kością strzałkową u 44-letniego mężczyzny uzależnionego od alkoholu należy leczyć:
Pytanie 31
42-letni mężczyzna zgłosił się do poradni ortopedycznej z wynikiem rezonansu magnetycznego stawu kolanowego po urazie stawu kolanowego na motocyklu. W rezonansie opisano - złamania awulsyjne kłykcia przyśrodkowego kości piszczelowej z fragmentem tylnym wyniosłości międzykłykciowej przemiesz- czonym 1 cm. Wskaż leczenie z wyboru:
Pytanie 32
Najlepszym testem oceniającym uszkodzenie więzozrostu piszczelowo- strzałkowego jest test:
Pytanie 33
Jakie postępowanie jest właściwe w przypadku urazowego, otwartego uszkodzenia splotu ramiennego? 1) w czasie chirurgicznego opracowania obrażeń należy wykonać autogenny przeszczep nerwu; 2) wszystkie wielopoziomowo przerwane korzenie nerwowe zawsze należy zszyć; 3) elektromiografia, bezpośrednio po urazie, jest badaniem koniecznym do oceny uszkodzeń; 4) w chirurgicznym opracowaniu rany można użyć silikonowej przegrody oddzielającej nerwy od naczyń; 5) w chirurgicznym opracowaniu rany należy szwami oznaczyć kikuty uszkodzonych pęczków. Prawidłowa odpowiedź to:
Pytanie 34
W jakich przypadkach wskazane jest zespolenie złamania wyrostka łokciowego płytą? 1) w złamaniach z poprzeczną szczeliną przełomu; 2) w złamaniach wieloodłamowych bez przemieszczenia; 3) w złamaniach wielofragmentowych z przemieszczeniem; 4) w złamaniach ze skośną szczeliną przełomu; 5) w złamaniach z przemieszczeniem typu Monteggia. Prawidłowa odpowiedź to:
Pytanie 35
Wskaż prawdziwe zdania dotyczące uszkodzenia nerwu mięśniowo-skórnego: 1) najczęściej ulega uszkodzeniu w urazach przenikających; 2) uszkodzenie tego nerwu powoduje zaburzenie czynności mięśnia dwugłowego ramienia; 3) całkowite zaburzenie czucia skórnego jest rzadkie; 4) przerwanie nerwu jest zawsze wskazaniem do jego zszycia; 5) ulega uszkodzeniu w zwichnięciu stawu barkowo-obojczykowego. Prawidłowa odpowiedź to:
Pytanie 36
Wskaż prawdziwe stwierdzenie dotyczące ostrej niestabilności stawu łokciowego:
Pytanie 37
Jakie obrażenie najczęściej towarzyszy tylnemu zwichnięciu stawu ramiennego?
Pytanie 38
W jakich przypadkach nie należy rozważać leczenia operacyjnego złamania trzonu kości ramiennej?
Pytanie 39
Wskaż prawdziwe stwierdzenia dotyczące mielodysplazji/wad dysraficznych kręgosłupa: 1) są to wady cewy nerwowej, nie mające żadnego wpływu na kształt kręgosłupa; 2) zaburzenie zamykania cewy nerwowej może doprowadzić do niespojenia łuków o typie spina bifida oculta lub przepukliny oponowo-rdzeniowej; 3) skolioza w wadach dysraficznych ma charakter i częstość występowania zbliżone do populacji ogólnej; 4) nagłe zwiększenie skrzywienia lub narastanie spastyczności, czy też podniesienie poziomu porażenia u chorych z przepukliną oponowo- rdzeniową wymaga szczegółowej diagnostyki rdzenia kręgowego (MR); 5) ze względu na wady rdzenia, u tych pacjentów skoliozę można leczyć tylko zachowawczo. Prawidłowa odpowiedź to:
Pytanie 40
W jakich przypadkach wskazane jest leczenie operacyjne ostrych złamań kości łódeczkowatej? 1) złamania guzka lub talii z przemieszczeniem do 1 mm; 2) złamania wieloodłamowe; 3) złamania bieguna bliższego; 4) złamania połączone z uszkodzeniami około kości księżycowatej; 5) złamania nieprzemieszczone bieguna dalszego i guzka. Prawidłowa odpowiedź to:
Pytanie 41
Jakie powikłania miejscowe mogą wystąpić po złamaniu bliższego końca kości ramiennej? 1) brak zrostu; 2) zrost opóźniony; 3) martwica niedokrwienna głowy kości ramiennej; 4) przerwanie ścięgna mięśnia kruczo-ramiennego; 5) niedowład nerwu nadłopatkowego. Prawidłowa odpowiedź to:
Pytanie 42
Które powikłania występują najczęściej po operacyjnym leczeniu złamań obu trzonów kości przedramienia? 1) przerwanie błony międzykostnej; 2) kościozrost promieniowo-łokciowy; 3) złamanie powtórne po usunięciu materiału zespalającego; 4) niedowład nerwu pośrodkowego; 5) zaburzenia zrostu kości. Prawidłowa odpowiedź to:
Pytanie 43
Jakiego postępowania wymaga zamknięte nastawienie złamania dalszego końca kości promieniowej z przemieszczeniem grzbietowym? 1) zastosowania wyciągu w osi długiej; 2) nawrócenia; 3) zagięcia promieniowego; 4) odwrócenia; 5) zgięcia dłoniowego. Prawidłowa odpowiedź to:
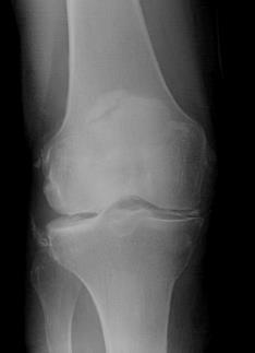
Pytanie 44
Przedstawiony poniżej obraz rentgenowski stawu kolanowego u chorego po urazie skrętnym bez zaburzeń stabilności w płaszczyźnie czołowej i strzałko- wej oraz ruchomości biernej i czynnej kolana oraz bez balotowania rzepki jest wskazaniem do:

Pytanie 45
Silne bóle stawu kolanowego ograniczające ruchomość stawu w trzeciej dobie po zespoleniu złamania podudzia z obrazem Rtg jak poniżej są wskazaniem do:

Pytanie 46
W przypadku złamania szyjki kości udowej u pacjenta z RZS powinno się wykonać:
Pytanie 47
W przypadku niemożności wykonania pilnego zespolenia złamania szyjki kości udowej należy:
Pytanie 48
Które ze złamań szyjki kości udowej są uważane za stabilne i w większości przypadków może być leczone zachowawczo?
Pytanie 49
Wskaż prawdziwe stwierdzenie dotyczące wprowadzanie śrub kaniulowanych w leczeniu złamań szyjki kości udowej:
Pytanie 50
W okołoksiężycowatym, przezłódeczkowatym zwichnięciu nadgarstka dochodzi do złamania:
Pytanie 51
Złamanie Bennetta jest najczęściej złamaniem:
Pytanie 52
Rozerwanie więzozrostu barkowo-obojczykowego II stopnia (typu II) wymaga:
Pytanie 53
Leczenie złamania głowy kości promieniowej Mason I wymaga:
Pytanie 54
Warunkiem przeprowadzenia rewizyjnej protezoplastyki stawu biodrowego jest:
Pytanie 55
W planowaniu protezoplastyki biodra ostrożność w powiększaniu antewersji i inklinacji osadzenia panewki wynika z obawy o:
Pytanie 56
Nadkłykciowe, okołoprotezowe złamanie kości udowej po założeniu protezy stawu kolanowego z tylną stabilizacją:
Pytanie 57
Podczas sekwencji uszkodzeń w mechanizmie supinacyjno-addukcyjnym wg Lauge-Hansena jako pierwsze powstaje uszkodzenie w postaci:
Pytanie 58
Wskazaniem do wykonania osteotomii korekcyjnej bliższego końca piszczeli jest: 1) potwierdzona badaniem USG artroza przedziału bocznego lub przyśrodkowego kolana; 2) artroza przedziału bocznego lub przyśrodkowego kolana w przebiegu rzs; 3) artroza przedziału bocznego lub przyśrodkowego kolana w przebiegu choroby zwyrodnieniowej; 4) szpotawość lub koślawość kolana potwierdzona badaniem radiologicznym wykonanym na stojąco; 5) ból i obrzęk kolana utrzymujący się powyżej 3 tygodni. Prawidłowa odpowiedź to:
Pytanie 59
Kiedy powinna być wykonana osteotomia korekcyjna koślawości kolana na poziomie dalszego końca kości udowej? 1) jeśli deformacja koślawa przekracza 15°; 2) jeśli współistnieje niestabilność stawu kolanowego w płaszczyźnie czołowej; 3) jeśli zmniejszony jest zakres zgięcia kolana do 90°; 4) jeśli szczelina stawu jest odchylona od poziomu ponad 10°; 5) zależnie wyłącznie od preferencji operatora. Prawidłowa odpowiedź to:
Pytanie 60
Wiek kostny pacjenta można określić za pomocą kilku testów. Jednym z nich jest metoda Rissera. Wskaż prawdziwe stwierdzenia dotyczące tej metody: 1) metoda opisuje 5 stadiów kostnienia kości biodrowej; 2) cień jądra kostnienia talerza kości biodrowej pojawia się w okolicy przedniego górnego kolca biodrowego; 3) cień jądra kostnienia talerza kości biodrowej pojawia się w okolicy tylnego górnego kolca biodrowego; 4) stopnie 0, 1 i 2 uznajemy za ujemny wynik testu; 5) w stopniu 4 cień jądra kostnienia talerza zlewa się z kością biodrową całkowicie. Prawidłowa odpowiedź to:
Pytanie 61
Wskaż prawdziwe stwierdzenia dotyczące dysplazji włóknistej: 1) postać wieloogniskowa schorzenia daje obraz zespołu Olliera; 2) u dzieci dysplazja włóknista zwykle nie występuje w zakresie nasad; 3) schorzenie wykrywane jest najczęściej między 10. a 50. rokiem życia; 4) najczęstszą lokalizacją występowania schorzenia są kości czaszki. Prawidłowa odpowiedź to:
Pytanie 62
Wskaż prawdziwe stwierdzenie dotyczące odległości końcowo-szczytowej TAD (tip-apex distance) - parametru oceniającego poprawność umiejscowienia śruby szyjkowej w obrębie głowy kości udowej:
Pytanie 63
Celem zaplanowania protezoplastyki stawu kolanowego:
Pytanie 64
W chorobie de Quervaina, czyli zaciskającym zapaleniu pochewki ścięgien pierwszego przedziału prostowników: 1) zajęte są ścięgna mięśni: adductor pollicis longus (ABL), extensor pollicis brevis (EPB); 2) pacjentami znacznie częściej są mężczyźni; 3) przyczyną często jest przeciążenie lub choroba związana jest z RZS; 4) objaw Finkelsteina może być dodatni; 5) jednym z powikłań leczenia operacyjnego jest dłoniowe podwichanie ścięgien pierwszego przedziału; 6) w leczeniu pooperacyjnym stosuje się gips syntetyczny przez okres 4-6 tygodni. Prawidłowa odpowiedź to:
Pytanie 65
Pacjentka w wieku 50 lat z izolowanymi dolegliwościami bólowymi ze strony palucha koślawego stopy prawej, konfliktem z dobraniem obuwia, bez metatarsalgii i deformacji palców II-V, bez hipermobilności I promienia stopy. W radiogramach stóp AP + BOK na stojąco z obciążaniem masą ciała stwierdza się: kąt koślawości palucha 37 stopni, kąt intermetatarsalny I-II 17 stopni, podwich- nięcie boczne trzeszczek, podwichnięcie boczne palucha w stawie śródstopno- palcowym I, kąt koślawości międzypaliczkowej palucha 8 stopni, kąt nachylenia dystalnej powierzchni stawowej głowy I kości śródstopia 9 stopni, brak zmian zwyrodnieniowych stawu śródstopno-palcowego I. Pacjentka kwalifikuje się do:
Pytanie 66
Wskaż prawdziwe stwierdzenie dotyczące kąta Bohlera:
Pytanie 67
Pierwotna linia złamania kości piętowej wg. klasyfikacji Essexa- Loprestiego biegnie:
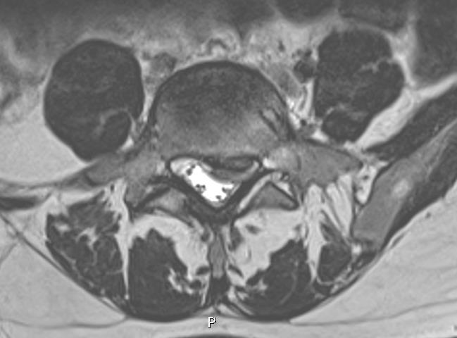
Pytanie 68
Do charakterystycznych objawów patologii widocznej na poniższych obrazach tomografii rezonansu magnetycznego należą: 1) ból okolicy lędźwiowej; 2) ból promieniujący do kończyny dolnej wzdłuż bocznej powierzchni uda, tylnej powierzchni podudzia i pięty; 3) osłabienie czucia powierzchniowego dotyku w okolicy spoidła I i II palca stopy; 4) osłabienie siły zgięcia grzbietowego stopy; 5) osłabienie siły zgięcia podeszwowego stopy. Prawidłowa odpowiedź to:

Pytanie 69
Wskazaniami do rozpoczęcia leczenia gorsetowego skoliozy idiopatycznej są: 1) progresja skoliozy; 2) wartości kąta Cobba przekraczające 20-25°; 3) płeć męska; 4) wady w budowie kręgów; 5) wady segmentacji kręgosłupa. Prawidłowa odpowiedź to:
Pytanie 70
Wskazaniami do leczenia operacyjnego skolioz idiopatycznych młodzieńczych są: 1) płeć żeńska; 2) progresja skoliozy; 3) wartości kąta Cobba przekraczające 45-50°; 4) kąt Mehty przekraczający 20°; 5) obciążony wywiad rodzinny w kierunku skoliozy idiopatycznej. Prawidłowa odpowiedź to:
Pytanie 71
Zapalenie krążka międzykręgowego: 1) występuje głównie u osób dorosłych; 2) wywoływane jest najczęściej przez gronkowce; 3) wywoływane jest najczęściej przez prątki kwasooporne; 4) występuje najczęściej w kręgosłupie lędźwiowym i piersiowym; 5) u dzieci wymaga najczęściej leczenia operacyjnego. Prawidłowa odpowiedź to:
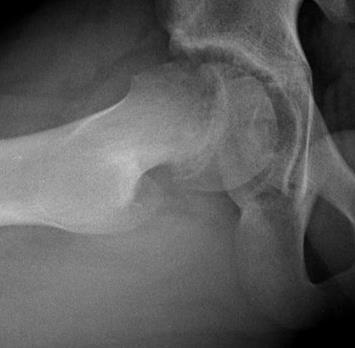
Pytanie 72
Do charakterystycznych objawów podmiotowych i przedmiotowocyh patologii widocznej na radiogramach należą: 1) ból w pachwinie promieniujący na przednią powierzchnię uda; 2) objaw Kleina-Trethowana; 3) objaw Capenera-Durbina; 4) objaw Drehmanna; 5) objaw Gage. Prawidłowa odpowiedź to:

Pytanie 73
Objaw Drehmanna jest charakterystyczny dla:
Pytanie 74
Co nie jest elementem definicji skoliozy idiopatycznej?
Pytanie 75
Podział młodzieńczego złuszczenia głowy kości udowej na postać stabilną bądź niestabilną na podstawie stanu klinicznego określa klasyfikacja:
Pytanie 76
Klasyfikacja Lenkego: 1) dotyczy skolioz idiopatycznych; 2) dotyczy skolioz nerwowo-mięśniowych; 3) oparta jest na pomiarze kąta rotacji tułowia; 4) uwzględnia płaszczyznę czołową i strzałkową kręgosłupa; 5) uwzględnia test Rissera. Prawidłowa odpowiedź to:
Pytanie 77
Bezpośrednia przyczyna deformacji kostno-stawowych występujących u chorych ze schorzeniami nerwowo-mięśniowymi, takimi jak mózgowe porażenie dziecięce bądź niedowłady w przebiegu przepukliny oponowo-rdzeniowej to:
Pytanie 78
Wskaż prawdziwe stwierdzenia dotyczące złamań kości długich u dzieci z przepukliną oponowo-rdzeniową: 1) są jednym z elementów obrazu klinicznego; 2) są wynikiem zmian trofiki kości na podłożu zaburzeń gospodarki wapniowo-fosforanowej oraz białkowej; 3) wynikają z braku pionizacji chorego; 4) większość z nich lokalizuje się w bezpośrednim sąsiedztwie stawu kolanowego; 5) zrost złamania następuje szybko. Prawidłowa odpowiedź to:
Pytanie 79
Pojęcie hemiplegii spastycznej o klasyfikacji funkcjonalnej GMFCS I oznacza:
Pytanie 80
W obrazie radiologicznym kości udowej u dziecka z wrodzoną łamliwością kości stwierdza się: 1) wydłużenie trzonów kości udowych; 2) trzony kości udowych bardzo krótkie, bardzo cienką warstwę korową; 3) szerokie trzony i przynasady; 4) wąskie trzony i przynasady; 5) kości o strukturze piankowatej; 6) obecność przebytych złamań w różnym stadium gojenia. Prawidłowa odpowiedź to:
Pytanie 81
Długotrwały niedobór witaminy D powoduje: 1) osłabienie siły mięśniowej i osteomalację; 2) osteomalację i zanik plamisty kości; 3) wzrost ryzyka upadku i osteoporozę; 4) opóźnienie zrostu złamania i osłabienie siły mięśniowej; 5) osteoporozę miejscową i plamisty zanik kości. Prawidłowa odpowiedź to:
Pytanie 82
U chorych, którzy doznali złamania Collesa, ryzyko złamania bliższego końca kości udowej jest zwiększone:
Pytanie 83
Stosowanie cienkiej wkładki polietylenowej piszczelowej w endoprotezie kolana jest związane z szybszym jej zużyciem. Wiele badań sugeruje, że stosowane wkładki powinny mieć grubość co najmniej:
Pytanie 84
Trudności w diagnozowaniu choroby zwyrodnieniowej stawu kolanowego nastręczają najczęściej:
Pytanie 85
Obluzowanie każdego z elementów endoprotezy stawu kolanowego może być widoczne na zdjęciu rtg jako linijne przejaśnienie wokół implantu na styku kość-cement, w przypadku endoprotezoplastyki cementowanej o szerokości co najmniej:
Pytanie 86
Wskaż prawdziwe stwierdzenia dotyczące wymiany rzepki w alloplastyce całkowitej stawu kolanowego: 1) alloplastyka z zastosowaniem implantów z częścią udową, która ma anatomicznie wyprofilowany bloczek, daje podobne wyniki kliniczne niezależnie od wymiany rzepki; 2) badania prospektywne dotyczące wymiany rzepki w całkowitej endoprotezoplastyce kolana nie wykazały istotnych różnic co do preferencji pacjentów, wyników funkcjonalnych, bólu przedziału przedniego, odsetka rewizji; 3) powyższe stwierdzenie (pkt. 2) dotyczy jedynie endoprotezoplastyki cementowanej stawu kolanowego; najnowsze badania wskazują, iż w przypadku alloplastyki bezcementowej wymiana rzepki pozwala uzyskiwać lepsze wyniki funkcjonalne oraz mniejszy odsetek rewizji; 4) ból przedniego przedziału jest związany z budową samego implantu protezy i rotacją elementu udowego bardziej niż z wymianą rzepki; 5) obecnie zaleca się wymianę rzepki w każdej bezcementowej alloplastyce stawu kolanowego. Prawidłowa odpowiedź to:
Pytanie 87
Planując endoprotezoplastykę stawu kolanowego, w przypadku zaawan- sowanych zmian zwyrodnieniowych stawów biodrowych i stawu skokowo-golenio- wego w tej samej kończynie, należy wykonać:
Pytanie 88
Wcześniejsza osteotomia końca bliższego kości piszczelowej:
Pytanie 89
Obciążenie kości przekraczające jej odporność mechaniczną prowadzi do jej uszkodzenia - złamania, przy czym:
Pytanie 90
W wielofragmentowych złamaniach końca bliższego kości ramiennej bardzo słabo unaczynionym fragmentem (co skutkuje ryzykiem wystąpienia jałowej martwicy kości) jest:
Pytanie 91
Brak elektromiograficznych cech gojenia nerwu promieniowego 3-4 mie- siące po przebytym złamaniu kości ramiennej oznacza, ze doszło do uszkodzenia
Pytanie 92
Złamania trzonu kości promieniowej lub łokciowej z podwichnięciem w jednym ze stawów promieniowo-łokciowych (złamanie Galleazziego lub Monteggii) są wskazaniem do leczenia:
Pytanie 93
Do większości złamań głowy kości promieniowej dochodzi wskutek:
Pytanie 94
Występowanie kompleksowego regionalnego zespołu bólowego (zespołu Sudecka) wiąże się z występującym po urazie i w trakcie leczenia uciskiem nerwu:
Pytanie 95
Podawanie kortykosteroidów po urazie kręgosłupa połączonym z uszkodzeniem rdzenia kręgowego jest:
Pytanie 96
Klasyfikacja Denisa (1981) przydatna w celu oceny stabilności złamanego kręgosłupa i podejmowania decyzji o rodzaju leczenia operacyjnego uwzględnia podział na:
Pytanie 97
Standardowe przednio-boczne dojście do kręgosłupa szyjnego pozwala dotrzeć do trzonów kręgów:
Pytanie 98
Rdzeń kręgowy kończy się u osobnika dorosłego obwodowo na wysokości kręgów:
Pytanie 99
Zastosowanie dojścia piersiowo-naramiennego w alloplastyce barku: 1) zmniejsza ryzyko niestabilności protezy anatomicznej; 2) zmniejsza ryzyko niestabilności protezy połowiczej; 3) zmniejsza ryzyko uszkodzenia nerwu pachowego; 4) uniemożliwia zastosowanie protezy odwróconej; 5) zwiększa ryzyko uszkodzenia nerwu pachowego. Prawidłowa odpowiedź to:
Pytanie 100
32-letni mężczyzna odczuwa ból biodra prawego, dotychczas dość intensywnie uprawiał sztuki walki. Klinicznie stwierdza się ograniczony bólem zakres ruchów, z jednoczesnym pomniejszeniem zgięcia, przywiedzenia i rotacji wewnętrznej. Wskaż postępowanie:

Pytanie 101
Wskutek złamania kości ramiennej najczęściej dochodzi do uszkodzenia nerwu:
Pytanie 102
Alloplastyka powierzchniowa (kapoplastyka) stawu biodrowego wykonana u kobiety, u której zastosowano mały element panewkowy:
Pytanie 103
Noworodek o masie 4200g po porodzie przedłużonym pierwiastki zakończonym z użyciem wyciągacza próżniowego znajduje się w oddziale neonatologii. W III dobie matka zgłosiła, że dziecko nie rusza jedną kończyną górną. Stan ogólny dziecka był dobry, dziecko nie gorączkowało. Najbardziej prawdopodobnym rozpoznaniem jest podejrzenie:
Pytanie 104
Zdrowy 13-letni chłopiec upadł z ostatniego stopnia schodów w domu doznając urazu, który spowodował silny ból w okolicy pod lewym kolanem. Lekarz w Izbie Przyjęć zwrócił uwagę na stosunkowo dużą masę chłopca, która wynosiła 80 kg. Na zdjęciu radiologicznym stwierdzono złamanie nadkłykciowe kości udo- wej i skierowano chorego do leczenia operacyjnego z użyciem gwoździa śródszpi- kowego. Które z wymienionych schorzeń powinien wykluczyć ortopeda w pierwszej kolejności, zanim przystąpi do leczenia operacyjnego?
Pytanie 105
W przypadku złamania barku typu Neer 4 u osoby powyżej 65. r.ż. najgorsze wyniki funkcjonalne i największą ilość powikłań po 2 latach od leczenia osiąga się w przypadku:
Pytanie 106
W przypadku implantacji endoprotezy anatomicznej barku kluczowe jest odtworzenie ciągłości mięśnia:
Pytanie 107
22-letni mężczyzna odczuwa ból obu bioder, z przewagą po stronie lewej, z charakterystycznym objawem odwróconego 'C', dotychczas dość intensywnie uprawiał sport. Klinicznie stwierdza się ograniczony bólowo zakres ruchów, z pomniejszeniem zgięcia, przywiedzenia i rotacji wewnętrznej Wskaż najbardziej prawdopodobne rozpoznanie:

Pytanie 108
Zastosowanie odwróconej protezy barku jest bezwzględnie przeciwwskazane w przypadku:
Pytanie 109
Chory w wieku 12 lat upadł w czasie jazdy na nartach doznając złamania zamkniętego trzonu kości udowej w 1/3 środkowej jej długości, szczelina złamania poprzeczna. Masa chorego wynosi 52 kg. Wskaż rozwiązanie lecznicze:
Pytanie 110
Na stabilność endoprotezy stawu biodrowego po zabiegu alloplastyki wpływa: 1) rozmiar głowy endoprotezy; 2) pozycja implantowanej panewki; 3) pozycja implantowanego trzpienia endoprotezy; 4) dojście operacyjne; 5) dobór właściwych zaleceń dla pacjenta. Prawidłowa odpowiedź to:
Pytanie 111
Które z trzech wymienionych czynników stanowią najczęstsze powikłanie po alloplastyce stawu biodrowego?
Pytanie 112
Kobieta w wieku 52 lat upadła w czasie prac domowych doznając urazu okolicy krętarzowej. W oddziale ratunkowym na podstawie zdjęcia radiologicz- nego rozpoznano złamanie szyjki kości udowej. Dodatkowo stwierdzono, że kobieta leczyła się z powodu niedoborów wit. D3 i obraz radiologiczny wykazywał istotny zanik kostny. Wskaż dalsze postępowanie lecznicze:
Pytanie 113
3,5-letnia dziewczynka leczona jest z powodu złamania nadkłykciowego kości ramiennej typu I wg Gartlanda. Wskaż sposób zespolenia po wykonaniu zamkniętej repozycji:
Pytanie 114
Jedną z deformacji kończyn dolnych jest szpotawość kolana. W przypad- ku zniekształcenia jednostronnego idiopatycznego występuje nierówność kończyn dolnych w formie:
Pytanie 115
Rodzice zgłosili się z dzieckiem 2,5-letnim do poradni z powodu asymetrycznego ustawienia łopatek. Lekarz na podstawie badania rozpoznał zespół Sprengela - wrodzone wysokie ustawienie łopatki. Na jakie inne zniekształcenia powinien zwrócić uwagę monitorujący rozwój dziecka ortopeda?
Pytanie 116
W oddziale noworodkowym konsultantem jest ortopeda, który wykonuje badania i ukierunkowuje diagnostykę i leczenie. Neonatolog podejrzewa artrogry- pozę. Jakie elementy powinno obejmować badanie ortopedy?
Pytanie 117
Wadom wrodzonym kręgosłupa szczególnie często mogą towarzyszyć:
Pytanie 118
Wedle światowych rejestrów, średnia 20-letnia 'przeżywalność' endoprotezy anatomicznej barku kształtuje się na poziomie':
Pytanie 119
Późne powikłania w leczeniu operacyjnym skolioz idiopatycznych to:
Pytanie 120



