Wyszukaj egzamin lub pytanie
Egzamin PES Ortopedia i traumatologia narządu ruchu / jesień 2020
120 pytań
Pytanie 1
Zaopatrzenie operacyjne złamania główki kości ramiennej: 1) wskazane jest we wszystkich typach złamania niezależnie od stopnia przemieszczenia; 2) powinno uwzględniać resekcję złamanego fragmentu w przypadku złamania Hahna-Steinthala; 3) polega na przeprowadzeniu otwartego nastawienia oraz stabilizacji wewnętrznej w przypadku złamania Kochera-Lorenza; 4) wymaga zastosowania dostępu tylnego lub tylno-bocznego; 5) najczęściej wymaga zastosowania śrub wprowadzanych od tyłu ku przodowi; 6) powinno spełniać kryteria stabilnej osteosyntezy, aby umożliwić rozpoczęcie wczesnych ruchów stawu łokciowego. Prawidłowa odpowiedź to:
Pytanie 2
Zamknięte nastawienie metodą Parvina wykonuje się w pozycji:
Pytanie 3
Leczenie niestabilności rotacyjnej tylno-bocznej stawu łokciowego: 1) ma na celu odtworzenie przede wszystkim stabilności stawu łokciowo- ramiennego; 2) ma na celu odtworzenie powierzchni stawowej wcięcia bloczkowego; 3) najczęściej wymaga otwartego nastawienia i stabilizacji wewnętrznej złamania głowy kości promieniowej; 4) najczęściej wymaga otwartego nastawienia i stabilizacji wewnętrznej złamania wyrostka dziobiastego; 5) najczęściej wymaga naprawy więzadła pobocznego łokciowego; 6) najczęściej wymaga naprawy pasma przedniego więzadła pobocznego promieniowego. Prawidłowa odpowiedź to:
Pytanie 4
Dostęp operacyjny wg Henry'ego: 1) wskazany jest w przypadku operacyjnego zaopatrywania złamań w obrębie 1/3 bliższej trzonu kości łokciowej; 2) wymaga wykonania cięcia skórnego poprowadzonego od okolicy przyczepu dalszego ścięgna mięśnia dwugłowego ramienia do okolicy wyrostka rylcowatego kości łokciowej; 3) wymaga preparowania w przestrzeni pomiędzy mięśniem ramienno- promieniowym i zginaczem promieniowym nadgarstka w przypadku operacyjnego zaopatrywania złamań w obrębie 1/2-1/3 bliższej trzonu kości promieniowej; 4) wymaga odsunięcia nerwu promieniowego powierzchownego na stronę boczną w przypadku operacyjnego zaopatrywania złamań w obrębie 1/2- 1/3 bliższej trzonu kości promieniowej; 5) wymaga nacięcia mięśnia odwracacza w części przyśrodkowej i uniesie- nie go ponad poziom kości w przypadku operacyjnego zaopatrywania złamań w obrębie 1/2-1/3 bliższej trzonu kości promieniowej; 6) powinien być wykonywany w pełen supinacji przedramienia w celu ochro- ny nerwu międzykostnego tylnego w przypadku operacyjnego zaopatry- wania złamań w obrębie 1/2-1/3 bliższej trzonu kości promieniowej. Prawidłowa odpowiedź to:
Pytanie 5
Złamanie Monteggi wymaga zastosowania otwartego nastawienia i stabilizacji wewnętrznej złamania kości:
Pytanie 6
Dostęp operacyjny naramienno-piersiowy: 1) wymaga odsunięcia żyły odgłowowej bocznie lub przyśrodkowo; 2) wymaga przecięcia powięzi obojczykowo-piersiowej; 3) wymaga zastosowania artrotomii przedniej stawu ramienno-łopatkowego z rozwarstwieniem poziomym ścięgna mięśnia podłopatkowego; 4) wymaga ochrony nerwu pachowego w części przyśrodkowo-proksymalnej dostępu; 5) wymaga ochrony nerwu mięśniowo-skórnego w części przyśrodkowo- dystalnej dostępu; 6) może przebiegać z wytworzeniem okna dostępowego uzyskanego poprzez przecięcie interwału rotatorów w górnej granicy ścięgna mięśnia podłopatkowego. Prawidłowa odpowiedź to:
Pytanie 7
Zespolenie metodą Eatona-Belsky'ego polega na wprowadzeniu:
Pytanie 8
Strefa bezpieczna powierzchni bocznej głowy kości promieniowej, w obrębie której implantować można materiał zespalający, stanowi obszar:
Pytanie 9
Wskazaniem do repozycji złamania końca dalszego kości promieniowej są: 1) kąt inklinacji wynoszący 16°; 2) kat nachylenia dłoniowego wynoszący 2° 3) kąt nachylenia dłoniowego wynoszący 13°; 4) wysokość promieniowa wynosząca 8 mm; 5) wysokość promieniowa wynosząca 12 mm; 6) uskok powierzchni stawowej wynoszący 2 mm. Prawidłowa odpowiedź to:
Pytanie 10
Najczęściej stosowany dostęp operacyjny grzbietowy, umożliwiający przeprowadzenie otwartego nastawienia oraz stabilizacji wewnętrznej złamania stawowego końca dalszego kości promieniowej wykonywany jest przez dno:
Pytanie 11
Bezwzględne wskazanie do leczenia operacyjnego złamań bliższego końca kości piszczelowej to:
Pytanie 12
Do zespolenia złamania typu 33-A2 wg AO na pewno nie użyjesz:
Pytanie 13
W przypadku złamań końca dalszego kości udowej, charakterystyczne jest przemieszczenie odłamu dalszego ze względu na działanie mięśni, głównie przywodziciela wielkiego i brzuchatego łydki. Jaki jest kierunek tego przemieszczenia przy wyprostowanej kończynie?
Pytanie 14
Złamaniom końca bliższego kości piszczelowej często towarzyszy uszko- dzenie nerwu strzałkowego, objawiające się jego porażeniem. Z tego powodu:
Pytanie 15
Wybierz prawdziwe odpowiedzi dotyczące śruby więzozrostowej: 1) stosujemy ją gdy test Cottona jest dodatni; 2) stosujemy rutynowo przy złamaniach kości strzałkowej typu Weber A; 3) podczas zakładania wykonujemy maksymalne zgięcie grzbietowe; 4) powinna być wprowadzona 2-3 cm proksymalnie od krawędzi stawu skokowego; 5) należy ją usunąć 10 tygodni po zabiegu. Prawidłowa odpowiedź to:
Pytanie 16
Dostęp tylno-boczny do repozycji i zespolenia złamań typu pilon:
Pytanie 17
Złamanie kości piętowej typ IIIAB wg Sandersa:
Pytanie 18
W przypadku stosowania śrub gąbczastych 6,5 mm do zespolenia kłykcia bocznego kości piszczelowej w technice śruby ciągnącej prawidłowa jest następująca kolejność:
Pytanie 19
U znacznie otyłego pacjenta ze złamaniem trzonu kości udowej najlepszym sposobem leczenia jest:
Pytanie 20
Uszereguj rosnąco złamania niskoenergetyczne (osteoporotyczne) według wskaźnika śmiertelności:
Pytanie 21
Mechanizm działania wankomycyny to:
Pytanie 22
Wśród wymienionych, działanie niepożądane najbardziej związane z zastosowaniem niesteroidowych leków przeciwzapalnych to:
Pytanie 23
Który z poniższych leków stosowanych w zapobieganiu powikłaniom zakrzepowo-zatorowym u dorosłych po przebytej planowej aloplastyce całkowitej stawu kolanowego lub biodrowego oddziałuje hamująco na czynnik IIA (trombinę)?
Pytanie 24
Czego należy unikać u małych dzieci (do około 7 roku życia) po urazie?
Pytanie 25
Mechanizm urazu w przypadku zwichnięcia stawów międzykręgowych w szyjnym odcinku kręgosłupa to:
Pytanie 26
Współczynnik korówkowy oznacza się na poziomie:
Pytanie 27
Wskaż prawidłowe stwierdzenie dotyczące mechanizmu zwichnięcia obrotowego przyśrodkowego w obrębie stawu Choparta:
Pytanie 28
Wskaż prawidłowe zdanie na temat zniekształceń stóp u dzieci:
Pytanie 29
W złamaniu pronacyjno-rotacyjnym (PER) w klasyfikacji Lauge-Hansena złamanie strzałki ma lokalizację i przebieg:
Pytanie 30
Pobranie przeszczepu trójkorowego z przedniej części talerza kości biodrowej może:
Pytanie 31
Pacjentka w wieku 44 lat zgłasza się z powodu palucha koślawego. Nie zgłasza dolegliwości bólowych ani konfliktu z dobraniem obuwia. Mówi, że nie po- doba jej się wygląd stopy. W radiogramach stóp AP + BOK na stojąco z obciąża- niem masą ciała stwierdzasz: kąt koślawości palucha 25 stopni, kąt intermetatar- salny I-II 13 stopni, podwichnięcie boczne trzeszczek, podwichnięcie boczne palucha w stawie śródstopno-palcowym I, kąt koślawości międzypaliczkowej palucha 16 stopni, kąt nachylenia dystalnej powierzchni stawowej głowy I kości śródstopia 14 stopni, brak zmian zwyrodnieniowych stawu śródstopno-palcowego I. Pacjentkę zakwalifikujesz do:
Pytanie 32
Złamania guzowatości V kości śródstopia: 1) to złamania w strefie II bliższej części piątej kości śródstopia; 2) to złamania w strefie I bliższej części piątej kości śródstopia; 3) to złamania w strefie III bliższej części piątej kości śródstopia; 4) to prawdziwe złamania typu Jonesa; 5) stanowią 93% wszystkich złamań bliższej części piątej kości śródstopia; 6) to złamania rzekome typu Jonesa; 7) to złamania zmęczeniowe bliższej części piątej kości śródstopia; 8) stanowią 4% wszystkich złamań bliższej części piątej kości śródstopia. Prawidłowa odpowiedź to:
Pytanie 33
Który z radiologicznych typów bliższego końca kości udowej wg. Dorra koreluje z niższymi wartościami wskaźnika korówkowego?
Pytanie 34
Złamania osteoporotyczne kręgosłupa leczymy z zasady:
Pytanie 35
Właściwym postępowaniem, oprócz leczenia złamania niskoenergetycznego, u chorej na oddziale ortopedycznym jest: 1) podawanie witaminy D, bisfosfonianu i preparatów wapnia; 2) podawanie denousumabu, witaminy D, skierowanie do poradni leczącej osteoporozę; 3) podawanie witaminy D, poinformowanie o ryzyku następnych złamań; 4) podawanie bisfosfonianu, poinformowanie o ryzyku kolejnych złamań, skierowanie na badanie densytometryczne; 5) podawanie witaminy D, skierowanie do poradni leczącej osteoporozę. Prawidłowa odpowiedź to:
Pytanie 36
Przy rozpoznaniu złamania niskoenergetycznego jednego kręgu (Th6) w diagnostyce różnicowej należy uwzględnić:
1) osteoporozę;
2) chorobę Pageta;
3) przerzut nowotworowy;
4) szpiczak mnogi;
5) chorobę Scheuermana.
Prawidłowa odpowiedź to:
Pytanie 37
Typową cecha osteomalacji jest: 1) podwyższenie OB; 2) obniżenie poziomu wit. D; 3) bóle krzyża; 4) wzrost poziomu fosfatazy alkalicznej; 5) występowanie złamań zmęczeniowych. Prawidłowa odpowiedź to:
Pytanie 38
Kryteriami rozpoznania kompleksowego zespołu bólu regionalnego (choroby Sudecka) są: 1) silny ból nasilający się pomimo leczenia; 2) zanik plamisty kości na radiogramie; 3) zaburzenia czucia; 4) obrzęk kończyny; 5) zwiększony wychwyt w badaniu izotopowym. Prawidłowa odpowiedź to:
Pytanie 39
Strefa druga tzw. 'pole ziemi niczyjej' w leczeniu uszkodzeń ścięgien zginaczy palców ręki obejmuje obszar:
Pytanie 40
Dwuetapową plastykę ścięgna głębokiego zginacza palca wykonuje się:
Pytanie 41
Uszkodzenie w strefie I prostownika palców ręki wymaga:
Pytanie 42
Neuropraxia:
Pytanie 43
Które ze stwierdzeń dotyczących linii tzw. złamania podchrzęstnego, obserwowanego na radiogramach u chorych z chorobą Perthesa jest prawdziwe? 1) występuje w obrębie głowy kości udowej; 2) występuje w obrębie głowy kości udowej i odpowiadającej jej lokaliza- cyjnie powierzchni obciążanej panewki ('lustrzany objaw Catteralla'); 3) jest jednym z czynników ryzyka w klasyfikacji Catteralla; 4) jest objawem radiologicznym patognomonicznym dla choroby Perthesa; 5) występuje tylko w tzw. 'bocznej kolumnie' głowy kości udowej. Prawidłowa odpowiedź to:
Pytanie 44
Klasyfikacja Herringa opisująca zmiany w głowie kości udowej w chorobie Perthesa oparta jest na:
Pytanie 45
Które ze stwierdzeń na temat choroby Perthesa jest nieprawdziwe?
Pytanie 46
Objawem, którego nie obserwuje się u chorych z hemimelią strzałkową, jest:
Pytanie 47
Które z poniższych stwierdzeń jest prawdziwe w odniesieniu do wrodzonego zwichnięcia stawu kolanowego?
Pytanie 48
Wrodzony staw rzekomy kości piszczelowej:
Pytanie 49
Termin 'os tibiale externum' oznacza:
Pytanie 50
Badanie ultrasonograficzne wykonane u chorego z podejrzeniem choroby Perthesa:
Pytanie 51
Złamanie okolicy stawu kolanowego o morfologii przedstawionej poniżej, u 52-letniego mężczyzny, bez obecności masywnych uszkodzeń okołostawowych tkanek miękkich, najkorzystniej leczyć jest:

Pytanie 52
Złamanie kości udowej 33C2 wg AO, przy braku współistniejących oznak masywnego uszkodzenia powłok najkorzystniej jest leczyć:
Pytanie 53
Złamanie rzepki u 82-letniego mężczyzny o konfiguracji jak na przedstawionych obrazach Rtg najkorzystniej jest:

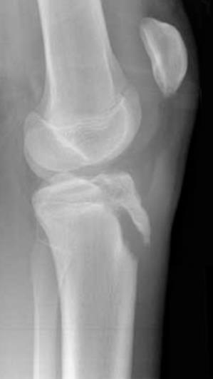
Pytanie 54
U 27-letniej chorej z negatywnym wywiadem urazowym w przeszłości, 3 godziny po urazie bezpośrednim stawu kolanowego doznanym w wyniku upadku na asfaltowe podłoże podczas jazdy na rolkach i z obrazem Rtg jw., najkorzystniej jest:

Pytanie 55
Przedstawiony poniżej obraz Rtg stawu kolanowego wykonany u chorego z bardzo silnym bólem stwierdzanym cztery godziny po urazie, doznanym podczas gry w siatkówkę, upoważnia do:

Pytanie 56
Które stwierdzenie jest prawdziwe w charakterystyce zwichnięcia stawu mostkowo-obojczykowego?
Pytanie 57
Które z wymienionych są czynnikami ryzyka wystąpienia pourazowego kościozrostu promieniowo-łokciowego? 1) oddzielne dostępy operacyjne do zespolenia kości promieniowej i łokciowej; 2) rozległe uszkodzenie tkanek miękkich i wieloodłamowe złamanie; 3) towarzyszące uszkodzenie błony międzykostnej; 4) wczesne leczenie operacyjne nastawienia i stabilizacji złamań; 5) złamanie kości promieniowej i łokciowej na różnych poziomach. Prawidłowa odpowiedź to:
Pytanie 58
Które stwierdzenia są właściwe w opisie złamania obojczyka? 1) każde złamanie 1/3 przyśrodkowej obojczyka stanowią bezwzględne wskazanie do leczenia operacyjnego; 2) złamania obojczyka są częstymi obrażeniami; najczęściej dotyczą̨ jego środkowej 1/3 części; 3) wskazania bezwzględne leczenia operacyjnego: złamania otwarte, towarzyszące obrażenia naczyń́, napinanie skóry przez odłamy; 4) najlepszym wyborem jest operacyjna stabilizacja śrubami z płytą rekonstrukcyjną lub płytą mostującą; 5) biomechanicznie uzasadnione jest zespolenie śródszpikowe prostym gwoździem Steinmanna lub drutami Kirschnera. Prawidłowa odpowiedź to:
Pytanie 59
Które twierdzenia są nieprawdziwe w opisie obrażenia stawu barkowo- obojczykowego? 1) naciągnięcie więzadeł barkowo-obojczykowych powoduje dogłowowe zwichnięcie końca barkowego obojczyka; 2) o wskazaniach do leczenia operacyjnego decyduje tylko badanie tomografii komputerowej; 3) najlepsze wyniki obserwuje się po pierwotnym, operacyjnym usztywnieniu stawu barkowo-obojczykowego; 4) w leczeniu nieoperacyjnym wystarczające jest stosowanie temblaka; 5) pourazowa artroza stawu barkowo-obojczykowego, z zespołem bólowym, polega na artroskopowej lub klasycznej resekcji dalszej części obojczyka. Prawidłowa odpowiedź to:
Pytanie 60
Które opinie w opisie złamania łopatki są prawdziwe? 1) złamania łopatki występują częściej niż złamania bliższego końca kości ramiennej; 2) w większość złamań trzonu łopatki istnieją wskazania do leczenia operacyjnego; 3) należy rozważyć́ operacyjną stabilizację w uszkodzeniu typu 'barku pływającego' (złamanie trzonu obojczyka oraz szyjki łopatki); 4) leczenie operacyjne złamania szyjki łopatki jest zalecane przy medializacji panewki >1 cm, przemieszczeniu panewki i głowy kości ramiennej powy- żej 40° w kierunku przednim do odłamu bliższego, pochyleniu doogonowym panewki; 5) badanie TK jest preferowane w ocenie uszkodzeń i decyzji o sposobie leczenia. Prawidłowa odpowiedź to:
Pytanie 61
Który z czynników ma najmniejsze znaczenie w planowaniu sposobu leczenia w złamaniu końca bliższego kości ramiennej?
Pytanie 62
Które stwierdzenie jest prawdziwe w charakterystyce złamania końca dalszego kości ramiennej u dorosłych? 1) w złamaniach dalszego końca kości ramiennej wczesne powikłania naczyniowo nerwowe występują bardzo rzadko; 2) w zabiegu otwartego nastawienia z wewnętrzną̨ stabilizacją dopuszczalne są̨ dwie metody położenia płytek - równolegle bądź prostopadłe; 90-90; 3) u osób starszych z dużą fragmentacją kości i osteoporozą należy rozważyć protezoplastykę stawu łokciowego; 4) badanie TK jest wykonywane przy planowaniu operacji, szczególnie w złamaniach wewnątrzstawowych; 5) nie obserwuje się pooperacyjnego kostnienia heterotopowego w okolicy łokcia. Prawidłowa odpowiedź to:
Pytanie 63
Które twierdzenia są nieprawdziwe w opisie złamania wyrostka dziobiastego? 1) występują̨ jako obrażenia związane ze zwichnięciem stawu łokciowego; 2) złamania szczytu wyrostka dziobatego ze stabilnym łokciem leczy się nieoperacyjnie w krótkotrwałym unieruchomieniu z wczesnym zwiększaniem zakresu ruchów; 3) mechanizm urazu to uszkodzenie ścinające w momencie, gdy koniec dalszy kości ramiennej uderza w wyrostek dziobiasty; 4) MRI jest konieczne w rozpoznaniu i ocenie przemieszczeń odłamów złamania; 5) złamaniu nigdy nie towarzyszy złamanie głowy kości promieniowej i uszkodzenie więzadeł łokcia. Prawidłowa odpowiedź to:
Pytanie 64
W przypadku bólów kręgosłupa u dzieci i młodzieży, do przyczyn związanych z przeciążeniami statyczno-dynamicznymi (dominują bóle typu mechanicznego) zalicza się:
Pytanie 65
Które stwierdzenia są prawdziwe w charakterystyce zwichnięcia stawu łokciowego? 1) najczęściej występują u osób między 40. a 50. rokiem życia; 2) najczęściej występują zwichnięcia tylno-boczne; 3) TK i MRI są zalecane w rozpoznaniu uszkodzeń więzadłowych i złamań kości; 4) zwichnięciu może towarzyszyć awulsyjne złamanie przyśrodkowego i bocznego nadkłykcia, złamanie głowy kości promieniowej, złamanie wyrostka dziobiastego, uszkodzenia chrzęstno-kostne; 5) urazowe zwichnięcie stawu łokciowego znajduje się na pierwszym miejscu ze względu na częstotliwość występowania u ludzi. Prawidłowa odpowiedź to:
Pytanie 66
Które stwierdzenia są prawdziwe w charakterystyce złamania trzonu kości promieniowej i łokciowej? 1) obserwuje się wysoką częstotliwość występowania złamań́ otwartych; 2) zazwyczaj powstają̨ w wyniku bezpośredniego urazu wysokoenergetycznego; 3) świeże przeszczepy kostne wskazane są̨ przy segmentalnych ubytkach kostnych >2 cm; 4) badanie TK jest konieczne w każdym przypadku złamania trzonów kości przedramienia; 5) bardzo rzadko istnieje prawdopodobieństwo wystąpienia zespołu ciasnoty przedziałów powięziowych. Prawidłowa odpowiedź to:
Pytanie 67
Zapalenie krążka międzykręgowego:
Pytanie 68
W przypadku kręgosłupa dziecka z przepukliną oponowo-rdzeniową: 1) może występować nadmierna kifoza, hyperlordoza lub skolioza, a zwykle jakaś kombinacja tych zniekształceń; 2) deformacja kręgosłupa nie pojawi się, jeśli odpowiednio wcześnie wykonamy korekcję deformacji w zakresie kończyn dolnych; 3) zwiększona kifoza ze sztywnym zagięciem kątowym zwykle dotyczy obszaru na którym jest rozszczep; 4) wskazaniami do leczenia operacyjnego deformacji kręgosłupa jest m.in. znaczna progresja skrzywienia, trudności w utrzymaniu przez to pozycji siedzącej, odleżyny; 5) postępowaniem z wyboru w tych deformacjach kręgosłupa jest fizykoterapia i odpowiednio dobrany gorset. Prawidłowa odpowiedź to:
Pytanie 69
Klasyfikacja skolioz wg Lenke'go: 1) dotyczy skolioz funkcjonalnych, i obejmuje 5 typów skolioz; 2) kręgosłup lędźwiowy jest w tej klasyfikacji poddany analizie w płaszczyźnie strzałkowej (sagittal modifier); 3) klasyfikacja obejmuje uproszczoną analizę kręgosłupa szyjnego (cervical modifier); 4) dotyczy skolioz strukturalnych, i obejmuje 6 typów skolioz; 5) klasyfikacja obejmuje uproszczoną analizę zniekształcenia w płaszczyźnie strzałkowej (sagittal thoracic modifier). Prawidłowa odpowiedź to:
Pytanie 70
Wskaż zdanie właściwie opisujące osteoporozę:
Pytanie 71
Do głównych czynników ryzyka osteoporozy nie zalicza się:
Pytanie 72
W profilaktyce zapobiegania osteoporozie zaleca się stosowanie dziennych dawek:
Pytanie 73
Wskaż zdanie prawdziwe:
Pytanie 74
Strefy Loosera-Milkmanna są charakterystyczne dla:
Pytanie 75
Czynnikiem ryzyka dysplazji stawu biodrowego nie jest:
Pytanie 76
W czasie badania w poradni preluksacyjnej, u 3 tygodniowego noworodka lekarz stwierdził objaw przeskakiwania Ortolaniego po stronie lewej. Wykonane badanie ultrasonograficzne wykazało typ IB dla biodra prawego i typ D dla biodra lewego. Zaproponuj dalsze postępowanie lecznicze:
Pytanie 77
Zaproponuj postępowanie terapeutyczne u pacjenta w wieku 3 lat, który trafił z matką do poradni ortopedycznej, z następującymi objawami: utykanie i ból kończyny dolnej lewej, ograniczenie odwiedzenia i rotacji wewnętrznej w stawie biodrowym, dolegliwości trwają od 2 tygodni, bez uchwytnego początku, badanie radiologiczne wykazuje linijne oddzielenie fragmentu powierzchni głowy kości udowej lewej:
Pytanie 78
Objaw Trendelenburga świadczy o:
Pytanie 79
Przykurcz przywiedzeniowy w stawie biodrowym powoduje:
Pytanie 80
Chłopiec w wieku 13 lat z nadwagą, upadł na lekcji wychowania fizyczne- go. Spowodowało to silny ból i brak możliwości poruszania się. Transportem sanitarnym został przewieziony do SOR, gdzie wykonano badanie radiologiczne. Lekarz SOR na zdjęciu radiologicznym stwierdził przemieszczenie się nasady głowy kości udowej z kątowym rozszerzeniem chrząstki nasadowej. Które stwierdzenia są prawdziwe?
Pytanie 81
Objaw Drehmanna charakterystyczny dla przewlekłego młodzieńczego złuszczenia głowy kości udowej, to:
Pytanie 82
Deformacja typu rękojeści pistoletu może być przyczyną objawów typowych dla:
Pytanie 83
W trakcie leczenia dysplastycznej choroby zwyrodnieniowej typu Crowe III z użyciem endoprotezo plastyki, występuje zwiększone ryzyko powikłań. Która z poniższych odpowiedzi jest prawdziwa?
Pytanie 84
Złamanie krętarzowe kości udowej leczy się operacyjnie biorąc pod uwagę:
Pytanie 85
Które z poniższych nie należy do najczęstszych powikłań endoprotezoplastyki?
Pytanie 86
Nawracające zwichnięcie endoprotezy stawu biodrowego cementowanej, u 78-letniej chorej, może stanowić wskazanie do: 1) ponownej repozycji i długotrwałego unieruchomieni a chorej w pozycji odwodzącej kończyn dolnych; 2) przeanalizowania ułożenia przestrzennego elementów endoprotezy i wymiany panewki; 3) wymiany panewki zwykłej na 'snap'; 4) plastyki mięśni pośladkowych, małego i średniego; 5) przesłanie choreju do innego ośrodka ortopedycznego celem dalszego leczenia. Prawidłowa odpowiedź to:
Pytanie 87
Który z podziałów uszkodzenia panewki nie występuje w ortopedii?
Pytanie 88
Wskaż prawdziwe stwierdzenia dotyczące endoprotezoplastryki rewizyjnej stawu biodrowego: 1) zmniejsza się udział obluzowań aseptycznych; 2) rośnie liczba obluzowań septycznych; 3) zwiększa się liczba wielokrotnych rewizji; 4) rewizje to już ok. 30% wszystkich endoprotezoplastyk; 5) dominującym problemem jest ubytek tkanki kostnej w stropie panewki naturalnej. Prawidłowa odpowiedź to:
Pytanie 89
W diagnostyce obluzowań stawu biodrowego najmniej przydatne jest:
Pytanie 90
Typ 2A uszkodzenia panewki kostnej wg. podziału Paprosky'ego obejmuje:
Pytanie 91
Leczenie ubytku panewki stawu biodrowego wg. Paprosky'ego 3A i3B polega na: 1) odtworzenia dna panewki przeszczepami kostnymi; 2) stworzenie oparcia dla panewki endoprotezy implantami rekonstrukcyjnymi; 3) używamy ubitych przeszczepów kostnych o objętości ok. 1 cm sześciennego; 4) rekonstru panewkę formujemy frezem do panewki na wstecznych obrotach; 5) materiały syntetyczne można mieszać z naturalnymi w proporcji 50:50. Prawidłowa odpowiedź to:
Pytanie 92
W planowaniu rewizji panewki stawu biodrowego musimy uwzględnić: 1) odtworzenie pierwotnej i wtórnej stabilności implantów endoprotezy; 2) rekonstrukcję ubytków kostnych; 3) wzmocnienie podłoża kostnego; 4) przywrócenie ruchomości endoprotezy; 5) zabezpieczenie implantu przed ponownymi rewizjami. Prawidłowa odpowiedź to:
Pytanie 93
Które z powikłań nie występują po operacji rewizyjnej panewki stawu biodrowego: 1) zwichnięcia endoprotezy; 2) znaczne ograniczenie odwodzenia stawu; 3) pooperacyjna infekcja; 4) resorpcja przeszczepu kostnego auto/allogenicznego; 5) przyczyną resorpcji przeszczepów kostnych są mikroruchy pomiędzy implantem a przeszczepem (≤ 40 -50 mikrometry). Prawidłowa odpowiedź to:
Pytanie 94
U pacjentki 59-letniej, z utrzymującym się od roku bólem nocnym oraz nasilającymi się dolegliwościami przy aktywności fizycznej, analizując dołączony radiogram i opierając się o najnowsze doniesienia o wynikach klinicznych leczenia zaproponujesz:

Pytanie 95
W jakim typie zmian zwyrodnieniowych stawu biodrowego stosowana jest klasyfikacja Crowe?
Pytanie 96
Na podstawie analizy pomiarów dokonanych na skanach tomografii komputerowej barku 66 letniego mężczyzny, skarżącego się na uporczywe, budzące w nocy dolegliwości bólowe prawego barku, w którym przypadku zaproponować się powinno odwróconą protezę stawu ramienno-łopatkowego:
Pytanie 97
Klasyfikację Hamady można zastosować w przypadku migracji:
Pytanie 98
Przystępując do planowania aloplastyki stawu biodrowego należy pamiętać o różnicach w budowie anatomicznej bliższego końca kości udowej, w zależności od płci pacjenta. Które z poniższych twierdzeń jest prawdziwe? 1) kobiety mają węższy kanał szpikowy; 2) mężczyźni mają większy kąt szyjkowo-trzonowy; 3) kobiety mają większy kąt antetorsji szyjki kości udowej; 4) mężczyźni mają dłuższą szyjkę kości udowej; 5) u kobiet występuje mniejszy offset. Prawidłowa odpowiedź to:
Pytanie 99
Wpływ rodzaju stabilizacji na ilość powstającej kostniny w procesie gojenia złamania najtrafniej opisuje stwierdzenie:

Pytanie 100
Jaki typ zmian zwyrodnieniowych stawu biodrowego przedstawia radiogram?
Pytanie 101
Działanie pośrednich sił skręcających prowadzi do złamań:
Pytanie 102
Gwoździowanie śródszpikowe z frezowaniem kości długiej:
Pytanie 103
Stabilizatory od najbardziej do najmniej stabilizujących złamanie przedstawia zestawienie:
Pytanie 104
Otwarte złamanie kości wynikłe z postrzału, które nie uszkodziło ukrwienia, to złamanie otwarte wg Gustilo i Andersona stopnia:
Pytanie 105
Wolne, unaczynione przeszczepy kostne, stosowane do uzupełniania ubytków kostnych w braku zrostu, pochodzą najczęściej z:
Pytanie 106
Planowanie leczenia operacyjnego w złamaniach końca bliższego kości ramiennej, wymaga wykonania badania rtg w:
Pytanie 107
Złamania bliższej części kości ramiennej mogą prowadzić do uszkodzenia nerwu:
Pytanie 108
Złamanie patologiczne, to złamanie:
Pytanie 109
Optymalna długość kości podudzia w kikucie, przy amputacji kończyny bez cech niedokrwienia u mężczyzny wzrostu 180 cm wynosi:
Pytanie 110
Gojenie ran pourazowych i pooperacyjnych wymaga odpowiedniego stanu odżywienia pacjenta. Zbyt niskie stężenia albumin w surowicy oznacza wskazanie do wprowadzenia żywienia dojelitowego lub parenteralnego. Sytuacja taka występuje gdy stężenie albumin wynosi poniżej:
Pytanie 111
Wskazaniami do rozpoczęcia leczenia gorsetowego skoliozy idiopatycznej są: 1) progresja skoliozy; 2) wartości kąta Cobba przekraczające 20-25°; 3) płeć żeńska; 4) zespół wad wrodzonych; 5) wady segmentacji kręgosłupa. Prawidłowa odpowiedź to:
Pytanie 112
Wiek kostny można oszacować za pomocą:
Pytanie 113
Klasyfikacja Lodera:
Pytanie 114
Charakterystycznym objawem radiologicznym młodzieńczego złuszczenia głowy kości udowej jest:
Pytanie 115
Klasyfikacja Lenke'go: 1) dotyczy skolioz idiopatycznych; 2) dotyczy skolioz wrodzonych; 3) oparta jest na pomiarze kąta rotacji tułowia; 4) oparta jest na analizie zdjęć rentgenowskich; 5) uwzględnia płaszczyznę czołową i strzałkową kręgosłupa. Prawidłowa odpowiedź to:
Pytanie 116
Planując endoprotezoplastykę stawu kolanowego, w przypadku zaawansowanych zmian zwyrodnieniowych biodra w tej samej kończynie, należy rozważyć jego wymianę:
Pytanie 117
Wskaż prawdziwe stwierdzenia dotyczące guza olbrzymiokomórkowego kości: 1) należy do najczęściej występujących guzów kości; 2) guz olbrzymiokomórkowy ma postać jedynie łagodną; 3) może dawać ogniska wtórne np. w płucach; 4) zajmuje najczęściej trzony kości długich; 5) guz olbrzymiokomórkowy wzrasta jedynie w obrębie tkanki kostnej i nie nacieka tkanek miękkich. Prawidłowa odpowiedź to:
Pytanie 118
Wskaż prawdziwe stwierdzenie dotyczące torbieli tętniakowatej (cystis aneurysmatica ossis):
Pytanie 119
Zespół Ehlersa-Danlosa oraz zespół Marfana to zespoły:
Pytanie 120

