Wyszukaj egzamin lub pytanie
Egzamin PES Ortopedia i traumatologia narządu ruchu / wiosna 2019
120 pytań
Pytanie 1
Pacjenci ze złamaniem bliższego końca kości udowej, jeśli pozwala na to stan ich zdrowia, powinni być poddani operacji:
Pytanie 2
Każdy chory ze złamaniem niskoenergetycznym powinien:
1) być operowany;
2) otrzymać suplementację wapniem i witaminą D;
3) być objęty programem prewencji upadków;
4) otrzymać lek antyresorpcyjny.
Prawidłowa odpowiedź to:
Pytanie 3
Niedobór witaminy D powoduje: 1) osłabienie siły mięśniowej; 2) osteomalację; 3) wzrost ryzyka upadku; 4) opóźnienie zrostu złamania; 5) zanik plamisty kości; 6) wzrost ryzyka zapalenia żył; 7) osteoporozę. Prawidłowa odpowiedź to:
Pytanie 4
U 72-letniej chorej, wygięcie płyty stabilizującej złamanie okołoprotezowe trzonu kości udowej na wysokości szczytu trzpienia endoprotezy stawu biodrowego (typu C wg klasyfikacji Vancouver) o wartości 35 stopni na kontrolnym Rtg wykonanym w szóstym miesiącu po wykonaniu zespolenia, wymaga:
Pytanie 5
U pacjenta z osteopenią stwierdzono w badaniach laboratoryjnych: wapń i fosforany w surowicy w normie; znacznie zwiększony poziom fosfatazy alkalicznej w surowicy, hydroksyprolina w moczu. Wskaż najbardziej prawdopodobne rozpoznanie:
Pytanie 6
W technice chirurgicznego zwichnięcia stawu biodrowego opracowanej przez Ganza: 1) potrzebne jest czasowe odcięcie krętarza większego k. udowej; 2) kluczowe jest zachowanie ukrwienia głowy k. udowej; 3) możliwa jest wizualizacja panewki i obrębka stawowego; 4) konieczna jest osteotomia szyjki kości udowej; 5) konieczne jest wycięcie więzadła głowy kości udowej. Prawidłowa odpowiedź to:
Pytanie 7
Złamanie otwarte z rozległym ubytkiem tkanek miękkich z uszkodzeniem okostnej i odsłonięciem kości, ale bez uszkodzenia naczyń wymagającego chirur- gicznej naprawy to według Gustilo i Andersona typ:
Pytanie 8
Zespolenie złamanego wyrostka łokciowego techniką popręgu wymaga użycia implantów o odpowiednich parametrach. Są to:
Pytanie 9
Dojściem operacyjnym używanym w przypadku urazowego uszkodzenia stożka rotatorów jest dojście przez mięsień naramienny. Zbyt rozległe preparowanie może jednak prowadzić do uszkodzenia:
Pytanie 10
Zjawisko 'stress-shielding' polega na:
Pytanie 11
Paprosky i wsp. opracowali system klasyfikacji oparty na przedoperacyj- nych rentgenogramach oraz wynikach badań śródoperacyjnych, w którym podział na grupy opiera się na położeniu panewki endoprotezy względem panewki kostnej oraz na ocenie stanu tkanki kostnej na podstawie anatomicznych punktów odnie- sienia. Wg tej klasyfikacji migracja górno-przyśrodkowa panewki nieprzekraczająca 2 cm wskazuje na stopień:
Pytanie 12
Większość zakażeń okołoprotezowych jest wywołana przez:
Pytanie 13
Uszereguj występujące od najczęstszych do najrzadszych powikłania po przebytej alloplastyce biodra:
Pytanie 14
W trakcie operacji rewizyjnej stawu biodrowego, wskazane jest śródopera- cyjne podanie dodatkowej dawki antybiotyku, jeśli czas trwania operacji jedno - lub dwukrotnie przekracza czas półtrwania antybiotyku albo obserwuje się znacz- ną utratę krwi podczas operacji. Wytyczne dotyczące stosowania cefazoliny to:
Pytanie 15
Boczne podwichnięcie rzepki po alloplastyce stawu kolanowego może być spowodowane:
Pytanie 16
Ostateczna funkcjonalność protezy stawu kolanowego po wygojeniu się złamania okołoprotezowego zależy od:
Pytanie 17
Wskaż fałszywe stwierdzenia dotyczące deformacji koślawej stawu kolanowego: 1) występuje często u pacjentów z RZS; 2) występuje u pacjentów z hipoplazją kłykcia bocznego kości udowej; 3) jest najczęściej występującą deformacją w chorobie zwyrodnieniowej stawu kolanowego; 4) występuje u pacjentów z hipoplazją kłykcia przyśrodkowego kości udowej. Prawidłowa odpowiedź to:
Pytanie 18
Na rycinach widoczne są:

Pytanie 19
Do czynników ryzyka złamania nadkłykciowego kości udowej po endoprotezoplastyce stawu kolanowego nie należy:
Pytanie 20
Podczas operacji rewizyjnej stawu kolanowego: 1) najlepiej usunąć najpierw element udowy, ponieważ pozwala to na lepsze odsłonięcie elementu piszczelowego; 2) element rzepkowy endoprotezy należy usunąć, jeśli występują cechy jego zużycia lub obluzowania; 3) element rzepkowy należy w każdym przypadku pozostawić, ponieważ jego usunięcie często prowadzi do złamania rzepki lub obluzowania się nowego elementu; 4) w protezach cementowanych należy przykładać osteotom do połączenia implant-cement; 5) w protezach cementowanych należy przykładać osteotom do połączenia cement-kość. Prawidłowa odpowiedź to:
Pytanie 21
Wskaż prawdziwe stwierdzenia: 1) rewizja protez jednoprzedziałowych do całkowitej endoprotezoplastyki stawu kolanowego wiąże się z mniejszą trwałością w stosunku do pierwotnej całkowitej endoprotezoplastyki; 2) rewizja protez jednoprzedziałowych do całkowitej endoprotezoplastyki stawu kolanowego wiąże się z większą trwałością w stosunku do pierwotnej całkowitej endoprotezoplastyki; 3) nie zaobserwowano różnic pod względem przeżywalności implantu po- między konwersją protez jednoprzedziałowych do całkowitej endoprotezo- plastyki stawu kolanowego oraz pierwotną alloplastyką stawu kolanowego; 4) zastosowanie protez jednoprzedziałowych stawu kolanowego pozwala na osiągnięcie bardziej zbliżonego do normalnego stanu stawu kolanowego po krótszym okresie rehabilitacji; 5) alloplastyka całkowita stawu kolanowego pozwala na osiągnięcie bardziej zbliżonego do normalnego stanu stawu kolanowego po krótszym okresie rehabilitacji w stosunku do alloplastyki jednoprzedziałowej. Prawidłowa odpowiedź to:
Pytanie 22
Proteza zawiasowa kolana znajduje zastosowanie w przypadku:
Pytanie 23
Wskaż prawdziwe stwierdzenia dotyczące chrzęstniaka (chondroma): 1) charakterystycznym objawem radiologicznym zmiany jest uwypuklanie wyniosłości kostnej na zewnętrznej powierzchni kości, rosnącej na szerszej lub węższej szypule; 2) najczęstszą lokalizacją guza są kości śródręcza, śródstopia i paliczków; 3) typowy wiek rozpoznania zmiany to wiek pomiędzy 10. a 15. r.ż; 4) zmiana bardzo często umiejscowiona jest w obrębie obręczy barkowej lub biodrowej; 5) charakterystycznym objawem są bóle nasilające się w nocy, a często łagodzą je pochodne kw. salicylowego. Prawidłowa odpowiedź to:
Pytanie 24
Choroba Olliera charakteryzuje się występowaniem licznych:
Pytanie 25
Wskaż fałszywe stwierdzenie dotyczące kostniakochrzęstniaka (osteochondroma):
Pytanie 26
Wskaż prawdziwe stwierdzenia dotyczące guza olbrzymiokomórkowego kości: 1) guz olbrzymiokomórkowy ma postać jedynie łagodną; 2) występuje najczęściej pomiędzy 20. a 40. rokiem życia; 3) zajmuje najczęściej końce kości długich; 4) zajmuje najczęściej trzony kości długich; 5) u chorych nie występują złamania patologiczne. Prawidłowa odpowiedź to:
Pytanie 27
Wskaż fałszywe stwierdzenie dotyczące dysplazji włóknistej:
Pytanie 28
W przypadku wykonywania alloplastyki stawu biodrowego w tzw. biodrze protruzyjnym, po zabiegu należy się liczyć z:
Pytanie 29
Klasyfikacja Brookera dotyczy:
Pytanie 30
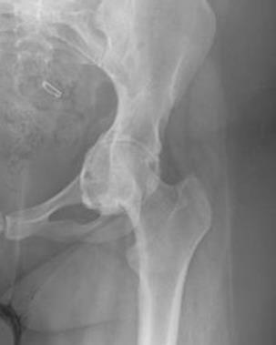
Poniższy radiogram przedstawia:

Pytanie 31
Klasyfikacja CROWE służy do oceny:
Pytanie 32
W przypadku złamania okołoprotezowego trzonu kości udowej po alloplastyce stawu biodrowego typ B1 wg klasyfikacji VANCOUVER, należy:
Pytanie 33
Wskaż prawdziwe stwierdzenia dotyczące badania radiologicznego w skoliozie: 1) kręgi krańcowe (graniczne) są to kręgi ograniczające łuk skrzywienia, najmniej nachylone w stosunku do poziomu i maksymalnie zniekształcone torsyjnie, z największą w łuku rotacją osiową; 2) metoda Perdriolle'a służy do oceny dojrzałości kostnej kręgosłupa obok testu Rissera; 3) kręgi krańcowe (graniczne) są to kręgi ograniczające łuk skrzywienia, najbardziej nachylone w stosunku do poziomu i najmniej zniekształcone torsyjnie, ze znikomą (lub zerową) rotacją osiową; 4) szczególną formą oceny wieku kostnego jest test Rissera, pozwala na śledzenie okresu pokwitaniowego skoku wzrostowego kręgosłupa; 5) szczególną formą oceny wieku kostnego jest test RVAD, pozwala na śledzenie okresu pokwitaniowego skoku wzrostowego kręgosłupa. Prawidłowa odpowiedź to:
Pytanie 34
Wskaż prawdziwe stwierdzenia dotyczące leczenia operacyjnego w kręgoszczelinie i kręgozmyku: 1) odbarczenie korzeni nerwowych bywa dodatkowym elementem operacji w przypadku blizn łącznotkankowych lub wewnątrzkanałowych progów kostnych; 2) w kręgozmykach I i II stopnia leczenie operacyjne polegające na resekcji przemieszczonego kręgu L5 ze stabilizacją na śrubach przeznasadowych jest techniką podstawową; 3) wskazania do leczenia operacyjnego to: ubytkowe objawy neurologiczne, stałe dolegliwości bólowe, postępujące ześlizgi u dzieci i młodzieży z kręgozmykiem dysplastycznym; 4) wskazaniem do leczenia operacyjnego jest dodatni objaw Adamsa podczas badania fizykalnego oraz powyżej 75% ześlizgu w obrazie rtg; 5) rekonstrukcja węziny jest techniką z wyboru w leczeniu kręgozmyków dużego stopnia i spondyloptozy. Prawidłowa odpowiedź to:
Pytanie 35
Wskaż prawdziwe stwierdzenie dotyczące porażennego skrzywienia kręgosłupa:
Pytanie 36
Skolioza w nerwiakowłókniakowatości (chorobie Recklinghausena):
Pytanie 37
Wykonując artrodezę stawu skokowo-goleniowego jednym z najważniej- szych elementów jest prawidłowe ustawienie. Prawidłowe ustawienie to:
Pytanie 38
Pacjentka w wieku 50 lat z izolowanymi dolegliwościami bólowymi ze strony palucha koślawego stopy prawej, konfliktem z dobraniem obuwia, bez metatarsalgii i deformacji palców II-V, bez hipermobilności I promienia stopy. W radiogramach stóp AP + BOK na stojąco z obciążaniem masą ciała stwierdzono: kąt koślawości palucha 28 stopni, kąt intermetatarsalny I-II 13 stopni, podwichnię- cie boczne trzeszczek, podwichnięcie boczne palucha w stawie śródstopno- palcowym I, kąt koślawości międzypaliczkowej palucha 18 stopni, kąt nachylenia dystalnej powierzchni stawowej głowy I kości śródstopia 15 stopni, brak zmian zwyrodnieniowych stawu śródstopno-palcowego I. Pacjentkę należy zakwalifikować do:
Pytanie 39
Wskazania do operacyjnego zespolenia złamania tylnego brzegu piszczeli to:
1) złamanie obejmujące powyżej 1/4 powierzchni stawowej;
2) przemieszczenie odłamów powyżej 2 mm;
3) utrzymujące się tylne podwichnięcie kości skokowej;
4) złamanie nieprzemieszczone.
Prawidłowa odpowiedź to:
Pytanie 40
Częścią składową łuku podłużnego zewnętrznego stopy jest: 1) guz piętowy; 2) kość łódkowata; 3) kość sześcienna; 4) piąta kość śródstopia; 5) paliczek bliższy palca V. Prawidłowa odpowiedź to:
Pytanie 41
Wskaż fałszywe stwierdzenie dotyczące hemimelii strzałkowej:
Pytanie 42
Wskaż fałszywe stwierdzenia dotyczące koalicji kości stępu: 1) może mieć charakter włóknisty, chrzęstny lub kostny; 2) dotyczy zawsze tylko kości skokowej i piętowej; 3) jej objawy ujawniają się zawsze w pierwszym roku życia i można je potwierdzić na podstawie badania rentgenowskiego; 4) ogranicza ruchy pro- i supinacji stępu po uzyskaniu dojrzałości szkieletowej; 5) jest zawsze bezobjawowa, jeśli chodzi o dolegliwości bólowe. Prawidłowa odpowiedź to:
Pytanie 43
Wskaż prawdziwe stwierdzenie dotyczące wrodzonej stopy piętowej:
Pytanie 44
Wskaż prawdziwe stwierdzenie dotyczące wrodzonego niedorozwoju bliższego końca kości udowej:
Pytanie 45
Wskaż prawdziwe stwierdzenie dotyczące wrodzonego stawu rzekomego kości piszczelowej:
Pytanie 46
Stadium fragmentacji opisane w chorobie Perthesa przez Reinberga:
Pytanie 47
Wskaż fałszywe stwierdzenie dotyczące choroby Perthesa:
Pytanie 48
Klasyfikacja wg Herringa:
Pytanie 49
Wskaż prawdziwe stwierdzenie dotyczące hemimelii strzałkowej:
Pytanie 50
Co nie jest elementem definicji skoliozy idiopatycznej?
Pytanie 51
Test Rissera służy do oceny:
Pytanie 52
Wskazaniami do rozpoczęcia leczenia gorsetowego skoliozy idiopatycznej młodzieńczej są: 1) progresja skoliozy; 2) wartości kąta Cobba przekraczające 20-25°; 3) kąt rotacji tułowia mierzony skoliometrem wynoszący 7°; 4) test Rissera: 5; 5) test Rissera: 1. Prawidłowa odpowiedź to:
Pytanie 53
Wskazaniami do leczenia operacyjnego skolioz idiopatycznych są: 1) progresja skoliozy; 2) obciążony wywiad rodzinny w kierunku skolioz idiopatycznych; 3) wartości kąta Cobba przekraczające 45-50°; 4) test Rissera: 5; 5) zmniejszona kifoza piersiowa. Prawidłowa odpowiedź to:
Pytanie 54
Wskaż prawdziwe stwierdzenia dotyczące klasyfikacji Lenkego: 1) dotyczy skolioz idiopatycznych; 2) dotyczy skolioz nerwowo-mięśniowych; 3) dotyczy skolioz wrodzonych 4) jest klasyfikacją opartą na analizie radiogramów kręgosłupa; 5) uwzględnia płaszczyznę poprzeczną kręgosłupa. Prawidłowa odpowiedź to:
Pytanie 55
Do charakterystycznych objawów podmiotowych lub przedmiotowych patologii widocznej na radiogramach należą: 1) dolegliwości bólowe zlokalizowane w okolicy stawu biodrowego; 2) dolegliwości bólowe zlokalizowane w okolicy stawu kolanowego; 3) gorączka; 4) objaw Drehmanna; 5) objaw Ortolaniego. Prawidłowa odpowiedź to:

Pytanie 56
Charakterystycznym objawem radiologicznym młodzieńczego złuszczenia głowy kości udowej jest:
Pytanie 57
Do czynników ryzyka wystąpienia chondrolizy w przebiegu młodzieńczego złuszczenia głowy kości udowej należą: 1) unieruchomienie stawu biodrowego w opatrunku gipsowym; 2) penetracja implantów do stawu biodrowego; 3) rasa czarna; 4) obustronne młodzieńcze złuszczenie głowy kości udowej; 5) typ ostry złuszczenia. Prawidłowa odpowiedź to:
Pytanie 58
Na jakim poziomie przebiega linia amputacji kończyny dolnej według Syme'a?
Pytanie 59
Przyczyną powstania zespołu ciasnoty przedziałów powięziowych nie jest:
Pytanie 60
Które z wymienionych złamań kości u dzieci są najczęściej wskazaniem do leczenia operacyjnego? 1) złamanie trzonu kości ramiennej; 2) złamanie kłykcia bocznego kości ramiennej; 3) złamanie trzonu obojczyka; 4) złamanie szyjki kości udowej; 5) złamanie przynasady dalszej kości piszczelowej. Prawidłowa odpowiedź to:
Pytanie 61
Jakie obrażenie współistniejące, w przypadkach wskazań do stabilizacji zła- mania trzonu kości ramiennej, nie wymaga jednoczasowego leczenia operacyjnego?
Pytanie 62
Jakie sposoby postępowania są właściwe w leczeniu chorego z rozpoznaniem zgorzeli gazowej? 1) chirurgiczne usunięcie martwych, zniszczonych i zakażonych tkanek (débridement); 2) antybiotykoterapia; 3) leczenie w komorze hiperbarycznej; 4) wstrzyknięcie poliwalentnej anatoksyny; 5) wczesna, operacyjna, wewnętrzna stabilizacja złamań. Prawidłowa odpowiedź to:
Pytanie 63
Wskaż prawdziwe stwierdzenia dotyczące ostrego zespołu ciasnoty powięziowej: 1) najczęściej występuje w obrębie uda; 2) najczęstszymi przyczynami są obrażenia mechaniczne; 3) współistniejące obrażenia naczyń nie mają żadnego wpływu na wystąpienie zespołu ciasnoty; 4) czynnikiem ryzyka wystąpienia zespołu ciasnoty jest stosowanie leków przeciwzakrzepowych; 5) najważniejszym objawem zespołu ciasnoty powięziowej jest ból. Prawidłowa odpowiedź to:
Pytanie 64
Wskaż fałszywe stwierdzenia dotyczące ostrego uszkodzenia ścięgna Achillesa: 1) uszkodzenia ścięgnistego aparatu wyprostnego stawu kolanowego są częstsze niż uszkodzenie ścięgna Achillesa; 2) najczęściej występuje w grupie wiekowej pomiędzy 50 a 60 r.ż.; 3) u chorych z ostrym uszkodzeniem ścięgna Achillesa ryzyko uszkodzenia po stronie przeciwnej jest wielokrotnie większe; 4) rozpoznanie uszkodzenia opiera się na palpacyjnym stwierdzeniu ubytku w przebiegu ścięgna i niemożności wspięcia się na palcach; 5) do uszkodzenia najczęściej dochodzi w wyniku urazu bezpośredniego gdy ścięgno jest napięte. Prawidłowa odpowiedź to:
Pytanie 65
Najczęstsze przyczyny ubytków panewki stawu biodrowego mogące stanowić podstawę do operacji rewizyjnej to: 1) ubytek zrębu kostnego spowodowany osteolizą; 2) ubytek zrębu kostnego spowodowany infekcją tkanki kostnej; 3) nadmierna resekcji kości w trakcie pierwotnej operacji; 4) ubytek kostny, który nie został zrekonstruowany w czasie pierwotnej operacji; 5) torbiel kostna nadpanewkowa. Prawidłowa odpowiedź to:
Pytanie 66
Błędy techniki operacyjnej mające wpływ na obluzowanie się trzpienia cementowanego endoprotezy stawu biodrowego to: 1) podawanie cementu w kilku porcjach; 2) acentralne ułożenie trzpienia w kanale udowym; 3) koślawe ustawianie trzpienia celem uzyskania lepszego zakotwiczenia mechanicznego; 4) pozostawienie pustych przestrzeni w obrębie cementu; 5) usunięcie całej kości gąbczastej z kanału udowego. Prawidłowa odpowiedź to:
Pytanie 67
O obluzowaniu elementu udowego endoprotezy stawu biodrowego może świadczyć: 1) radioprzezierność pomiędzy mankietem cementu a otaczającą kością; 2) osiadanie trzpienia z otaczającym cementem lub bez; 3) szpotawe przemieszczenie trzpienia; 4) fragmentacja płaszcza cementowego; 5) złamanie trzpienia w 1/3 dalszej. Prawidłowa odpowiedź to:
Pytanie 68
W przypadku planowania realoplastyki stawu biodrowego po zakażeniu okołoprotezowym, należy przy podejmowaniu decyzji uwzględnić: 1) ograniczenia funkcjonalne chorego; 2) rodzaj drobnoustrojów; 3) skuteczność chirurgicznego oczyszczenia łożyska kostnego; 4) wyleczenie miejscowych i odległych miejsc infekcji; 5) poglądy chorego na celowość operacji. Prawidłowa odpowiedź to:
Pytanie 69
Reimplantacja dwuetapowa po septycznym obluzowaniu endoprotezy biodra: 1) zapewnia lepsze chirurgiczne oczyszczenie tkanek; 2) zapewnia dokładniejszą identyfikację czynnika sprawczego; 3) zapewnia wykonanie badania pod kątem przetrwałych ognisk infekcji; 4) zapewnia możliwość eradykacji odległych ognisk infekcji; 5) zmniejsza ryzyko nawrotu infekcji. Prawidłowa odpowiedź to:
Pytanie 70
Istotny wpływ na aseptyczne obluzowanie edoprotezy stawu biodrowego mogą mieć następujące czynniki: 1) nadwaga; 2) oderwanie krętarza dużego - brak zrostu; 3) zaburzenia przemiany materii; 4) czynny proces reumatoidalny; 5) szpotawe osadzenie trzpienia endoprotezy. Prawidłowa odpowiedź to:
Pytanie 71
Wskaż prawdziwe stwierdzenia dotyczące zwichnięć stawu biodrowego po endoprotezoplastyce: 1) do zwichnięcia dochodzi u około 3% operowanych chorych; 2) przyczyną może być złamanie krętarza dużego z brakiem zrostu; 3) przyczyną może być sarkopenia; 4) przyczyną może być mały wymiar średnicy głowy endoprotezy, przeważnie poniżej 28 mm; 5) przyczyną często może być tylne lub tylno-boczne dojście do stawu biodrowego. Prawidłowa odpowiedź to:
Pytanie 72
Za wady dwuetapowej rekonstrukcji uważa się: 1) przedłużony okres niepełnosprawności; 2) zwiększone koszty leczenia; 3) opóźnioną rehabilitację; 4) utrudnienia operacyjne spowodowane wytworzeniem się blizn; 5) tendencję do powstawania skostnień okołostawowych. Prawidłowa odpowiedź to:
Pytanie 73
W wysokoenergetycznych zamkniętych złamaniach typu pilon preferowaną strategią postępowania z pacjentem będzie:
Pytanie 74
Złamanie 32B2 wg klasyfikacji AO to:
Pytanie 75
To złamanie według klasyfikacji AO powinno być oznaczone symbolem:

Pytanie 76
Śruba ciągnąca:
Pytanie 77
W przypadku stosowania do zespolenia trzonu kości piszczelowej śrub o średnicy 4,5 mm i zastosowania techniki śruby ciągnącej, prawidłowym postępowaniem jest użycie:
Pytanie 78
W przypadku złamań końca dalszego kości promieniowej leczonych za- chowawczo istnieje ryzyko wtórnego przemieszczenia odłamów lub utraty repo- zycji. Do oceny tego ryzyka odnoszą się kryteria Lafontaine'a. Należą do nich między innymi:
Pytanie 79
Płyta mostująca to:
Pytanie 80
W przypadku złamania stawowego w obrębie stawu kolanowego z przemieszczeniem odłamów obowiązują następujące zasady:
Pytanie 81
W przypadku pierwszorazowego przedniego zwichnięcia stawu ramiennego rokowanie co do wyniku leczenia i ryzyka nawrotu niestabilności:
Pytanie 82
W przypadku wieloodłamowego zamkniętego złamania plateau piszczeli bez powikłań naczyniowo-nerwowych obowiązują następujące zasady:
Pytanie 83
Wskaż prawdziwe stwierdzenie dotyczące zastosowania w ortopedii opatrunków podciśnieniowych:
Pytanie 84
Złamanie typu II według klasyfikacji Schatzkera to złamanie:
Pytanie 85
Złamanie typu V według klasyfikacji Schatzkera leczone jest operacyjnie z dostępu:
Pytanie 86
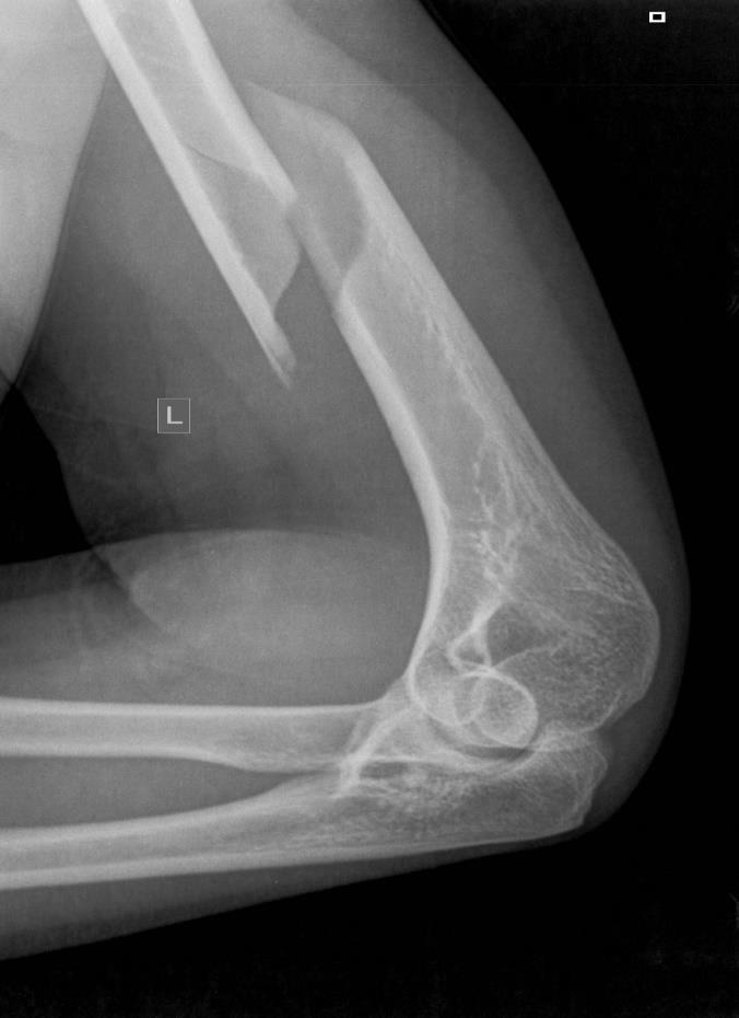
Wskaż jakim symbolem należy oznaczyć według klasyfikacji AO i jak powinno być leczone złamanie widoczne na zdjęciu:

Pytanie 87
Złamanie poprzeczne gałęzi kości łonowej współistniejące ze złamaniem talerza kości biodrowej typu półksiężyca (crescent) odpowiada wg klasyfikacji Younga i Burgessa typowi:
Pytanie 88
Tylne podwichnięcie stawu krzyżowo-biodrowego można uwidocznić wykonując projekcję:
Pytanie 89
Wskaż prawdziwe stwierdzenia dotyczące unaczynienia kości łódeczkowatej: 1) pochodzi od tętnicy łokciowej po stronie dłoniowej; 2) pochodzi od tętnicy promieniowej po stronie grzbietowej; 3) część dystalna zaopatrywana jest przez gałęzie grzbietowe; 4) część proksymalna zaopatrywana jest przez gałęzie dłoniowe; 5) 70-80% kości łódeczkowatej jest zaopatrywana przez gałęzie dłoniowe. Prawidłowa odpowiedź to:
Pytanie 90
Uszkodzenie typu SLAP (SLAP-lesion): 1) dotyczy części obrąbka wraz ze ścięgnem głowy długiej mięśnia dwugłowego; 2) dotyczy uszkodzenia więzadeł obrąbkowo-ramiennych górnych i środkowych; 3) dotyczy uszkodzenia więzadeł obrąbkowo-ramiennych środkowych i dolnych; 4) powstaje w wyniku ostrego urazu trakcyjnego ramienia; 5) w badaniu fizykalnym cechuje się dodatnim testem O'Briena. Prawidłowa odpowiedź to:
Pytanie 91
Złamanie Monteggia typu Bado III to zwichnięcie:
Pytanie 92
Najczęstszym rodzajem uszkodzenia aparatu torebkowo-więzadłowego stawu kolanowego jest:
Pytanie 93
Złamanie wyrostka łokciowego typu Mayo IIA należy leczyć:
Pytanie 94
Obraz przewróconej filiżanki od herbaty odpowiada wg Mayfielda postępującej okołoksiężycowatej niestabilności nadgarstka w fazie:
Pytanie 95
Radiologicznymi objawami statycznej niestabilności łódeczkowato- księżycowatej są: 1) poszerzenie szczeliny stawu łódeczkowato-księżycowatego na radiogramach w projekcji AP powyżej 1 mm; 2) zwiększenie wartości kąta łódeczkowato-księżycowatego na radiogramach w projekcji bocznej powyżej 70°; 3) zmniejszenie wartości kąta łódeczkowato-księżycowatego na radiogramach w projekcji AP poniżej 30°; 4) przerwanie linii Giluli; 5) dodatni objaw pierścienia. Prawidłowa odpowiedź to:
Pytanie 96
Test Watsona polega na prowokacji bólu:
Pytanie 97
W przypadku złamania trzonu kości ramiennej dystalnie względem guzowatości mięśnia naramiennego:
Pytanie 98
Akceptowalne parametry radiologiczne w złamaniach trzonów kości śródręcza to: 1) przemieszczenie rotacyjne 10°; 2) ugięcie kątowe grzbietowe 10° w przypadku II kości śródręcza; 3) ugięcie kątowe grzbietowe 20° w przypadku III kości śródręcza; 4) ugięcie kątowe grzbietowe 20° w przypadku IV kości śródręcza; 5) ugięcie kątowe grzbietowe 40° w przypadku V kości śródręcza. Prawidłowa odpowiedź to:
Pytanie 99
Wskazaniem do interwencji operacyjnej w przypadku złamania panewki stawu biodrowego nie jest:
Pytanie 100
Klasyfikacja zwichnięć pierwszego stawu śródstopno-paliczkowego wg Jahssa:
Pytanie 101
Uszkodzenie stawu barkowo-obojczykowego z przemieszczeniem końca barkowego obojczyka ku górze i ku tyłowi w obręb mięśnia czworobocznego, stanowi wg klasyfikacji Damerona-Rockwooda typ uszkodzenia:
Pytanie 102
Kryterium stabilności złamań końca bliższego kości udowej stanowi wg Evansa:
Pytanie 103
Zwichnięcie stawu kolanowego: 1) powstaje na skutek działania siły szpotawiącej w przypadku zwichnięcia bocznego; 2) najczęściej ma charakter zwichnięcia tylnego; 3) podlega klasyfikacji anatomicznej wg Schencka; 4) najczęściej wymaga nastawienia otwartego w przypadku zwichnięcia tylno-bocznego; 5) wymaga leczenia operacyjnego po nastawieniu w przypadku uszkodzenia więzadła krzyżowego tylnego. Prawidłowa odpowiedź to:
Pytanie 104
W przypadku złamań śródstawowych plateau piszczeli: 1) obserwuje się jednoczesne występowanie uszkodzeń łąkotek w 50% przypadków; 2) obserwuje się jednoczesne występowanie uszkodzeń więzadeł krzyżowych i pobocznych w 30% przypadków; 3) w celu pełnej oceny zastosować można podział tych złamań wg Moore'a; 4) wskazaniem do leczenia operacyjnego jest niestabilność czołowa stawu powyżej 10° względem strony zdrowej oceniana w prawie całkowitym wyproście stawu kolanowego; 5) zgodnie z aktualnym piśmiennictwem, dopuszczalny stopień obniżenia powierzchni stawowej zawiera się w przedziale od 2 mm do 1 cm w zależności od autora. Prawidłowa odpowiedź to:
Pytanie 105
Parametrem wskazującym na brak zmian pourazowych w badaniu RTG stawu łokciowego u dziecka jest: 1) wartość kąta Baumana 105-135º; 2) wartość kąta trzonowo-kłykciowego 35-45º; 3) linia wyrostka dziobiastego styczna do zarysu przedniej powierzchni kłykcia bocznego; 4) linia trzonowo-ramienna przednia przecinająca przestrzeń 1/3 przedniej jądra kostnienia główki kości ramiennej; 5) obecność figury łzowej. Prawidłowa odpowiedź to:
Pytanie 106
Wskaż wzorzec deformacji ręki występujący u osób z hemiplegią spastyczną (stany poudarowe, mózgowe porażenie dziecięce, urazy mózgu):
Pytanie 107
Pojęcie diplegii spastycznej o klasyfikacji funkcjonalnej GMFCS II oznacza:
Pytanie 108
Wskaż prawdziwe stwierdzenie:
Pytanie 109
U dziecka z przepukliną oponowo-rdzeniową ryzyko zwichnięcia stawów biodrowych wzrasta wraz z: 1) niższym poziomem uszkodzenia neurologicznego; 2) wyższym poziomem uszkodzenia neurologicznego; 3) przewagą siły mięśniowej mięśni przywodzicieli nad mięśniami odwodzicielami w stawie biodrowym; 4) przewagą siły mięśniowej mięśni odwodzicieli nad mięśniami przywodzicielami w stawie biodrowym; 5) rozwojem funkcji samodzielnego chodzenia; 6) brakiem możliwości samodzielnego chodzenia. Prawidłowa odpowiedź to:
Pytanie 110
Do Poradni Preluksacyjnej celem badania stawów biodrowych trafiło niemowlę w 2. miesiącu życia. Lekarz ortopeda stwierdził w badaniu klinicznym prawidłowy obrys stawów biodrowych, biodra były stabilne, a zakres ruchów nieograniczony. Wykonane badanie ultrasonograficzne stawów biodrowych wykazało typ IA wg Grafa. U dziecka stwierdzono po urodzeniu wadę: rozszczep wargi i podniebienia. Wskaż właściwe postępowanie:
Pytanie 111
Noworodek płci żeńskiej, z pierwszej ciąży donoszonej, o masie 3400 g, uro- dzony naturalnie z położenia główkowego został zbadany klinicznie w oddziale neona- tologicznym. Lekarz badający dowiedział się od matki, że miała ona w dzieciństwie operowane z powodu dysplazji stawów biodrowych oba stawy. W badaniu neonatolog nie był pewny swoich spostrzeżeń klinicznych. Wskaż właściwe postępowanie:
Pytanie 112
3-letni pacjent trafił do Poradni Ortopedycznej z następującymi objawami: utykanie i ból kończyny dolnej lewej, ograniczenie odwiedzenia i rotacji wewnętrznej w stawie biodrowym. Dolegliwości trwają od 2 tygodni, bez uchwytnego początku, temperatura ciała w normie, badanie ultrasonograficzne wykazuje płyn w stawie biodrowym lewym, badanie radiologiczne wykazuje obniżenie nasady głowy kości udowej lewej. Wskaż diagnozę i postępowanie terapeutyczne:
Pytanie 113
13-letni chłopiec z nadwagą, upadł na lekcji wychowania fizycznego. Spowodowało to ból lewej kończyny dolnej i utykanie. Po kilku dniach dolegliwości zmniejszyły się. Chłopiec jednak utykał i skarżył się na bóle kolana lewego, co powodowało niepokój rodziców. Po kilku miesiącach chłopiec zeskoczył z wysokości około 50 cm i zaczął skarżyć się na silniejsze dolegliwości bólowe biodra i kolana lewego. Rodzice zgłosili się z dzieckiem do lekarza ortopedy, gdzie wykonano badanie radiologiczne. Lekarz na zdjęciu radiologicznym stwierdził przemieszczenie się nasady głowy kości udowej z kątowym rozszerzeniem chrząstki nasadowej. Zwróciło uwagę poszerzenie przynasady z zaokrągleniem jej zewnętrznego brzegu. Kąt przemieszczenia nasady wynosił 65 stopni. Wskaż fałszywe stwierdzenie dotyczące tego pacjenta:
Pytanie 114
Wskaż prawdziwe stwierdzenie dotyczące zwiększonej antetorsji szyjki kości udowej:
Pytanie 115
Przed przystąpieniem do operacji wymiany stawu biodrowego z powodu jego zwyrodnienia na tle dysplazji stawu biodrowego należy:
Pytanie 116
W trakcie leczenia dysplastycznej choroby zwyrodnieniowej typu Crowe II z użyciem endoprotezoplastyki, implant panewkowy należy umiejscowić:
Pytanie 117
Wskaż prawdziwe stwierdzenie dotyczące złamania podkrętarzowego kości udowej:
Pytanie 118
Objaw radiologiczny przerwania łuku Menarda-Shentona świadczy o:
Pytanie 119
Przykurcz zgięciowy w stawie biodrowym:
Pytanie 120



