Wyszukaj egzamin lub pytanie
Egzamin PES Ortopedia i traumatologia narządu ruchu / wiosna 2013
120 pytań
Pytanie 1
W dystroficznym typie skoliozy w przebiegu nerwiakowłókniakowatości Recklinghausena nie obserwuje się:
Pytanie 2
Patologia łopatki w chorobie Sprengla polega na:
1) wysokim ustawieniu łopatki;
2) obróceniu łopatki w płaszczyźnie czołowej (scapula valga);
3) obróceniu łopatki w płaszczyźnie czołowej (scapula vara);
4) pochyleniu łopatki do przodu;
5) łopatka jest krótsza i szersza niż po stronie zdrowej;
6) zmniejszeniu ruchomości łopatki w wyniku dodatkowych połączeń z kręgosłupem i klatką piersiową.
Prawidłowa odpowiedź to:
Pytanie 3
Radiologiczne zmiany obserwowane w chorobie Scheuermanna obejmują:
1) zmiany w płytkach granicznych (podwójny obrys, sklerotyzacja);
2) guzki Schmorla;
3) sklinowacenie trzonu kręgu;
4) spłaszczenie i wydłużenie trzonu kręgu;
5) zwężenie przestrzeni międzytrzonowej;
6) poszerzenie przestrzeni międzytrzonowej z powodu ubytku brzeżnego.
Prawidłowa odpowiedź to:
Pytanie 4
Do powikłań młodzieńczego biodra szpotawego i terapii tego schorzenia należy:
1) jałowa martwica głowy kości udowej;
2) chondroliza;
3) nawrót złuszczenia;
4) złamanie podkrętarzowe po usunięciu implantu;
5) skrócenie kończyny;
6) protruzja stawu.
Prawidłowa odpowiedź to:
Pytanie 5
Oddzielająca jałowa martwica kostno-chrzęstna w stawie skokowo-goleniowym lokalizuje się najczęściej w części:
Pytanie 6
Porażenie wiotkie kończyn dolnych:
Pytanie 7
Mrożone allogeniczne przeszczepy gąbczaste cechują się:
Pytanie 8
Najmniej prawdopodobnym złamaniem kończyny górnej lub obręczy barkowej wskutek potknięcia się i upadku jest złamanie:
Pytanie 9
Występowanie bólu promieniującego do kończyn dolnych podczas próby Valsalvy (tłoczni brzusznej):
Pytanie 10
Zespół Ehlers-Danlosa:
Pytanie 11
Złamania osteoporotyczne kręgosłupa leczy się z zasady:
Pytanie 12
Które z poniższych zdań są prawdziwe?
1) witamina D jest niezbędna do wchłaniania wapnia z jelit i utrzymania prawidłowej siły mięśniowej;
2) niedobór witaminy D prowadzi do zaburzeń wzrostu kości;
3) niedobór witaminy D powoduje osteomalację;
4) niedobór witaminy D powoduje podwyższenie stężenia wapnia w surowicy i obniżenia w moczu.
Prawidłowa odpowiedź to:
Pytanie 13
Po złamaniu bliższego końca kości udowej na skutek powikłań w ciągu roku umiera:
Pytanie 14
Które z poniższych twierdzeń są typowe dla osteoporotycznych złamań kręgosłupa?
1) powinny być hospitalizowane;
2) są bezobjawowe w 60%;
3) wymagają unieruchomienia w opatrunku gipsowym;
4) są złamaniami stabilnymi;
5) są wskazaniami do wertebroplastyki.
Prawidłowa odpowiedź to:
Pytanie 15
Które z poniższych stwierdzeń są prawdziwe?
1) kompleksowy zespół bólu regionalnego (zespół Sudecka) jest najczęściej skutkiem zbyt długiego unieruchomienia w opatrunku gipsowym;
2) kompleksowy zespół bólu regionalnego (zespół Sudecka) powstaje na skutek zaburzeń najczęściej po złamaniach Collesa;
3) w leczeniu kompleksowego zespołu bólu regionalnego (zespołu Sudecka) jest wykorzystywana rehabilitacja, leczenie przeciwobrzękowe i przeciwzapalne;
4) kompleksowy zespół bólu regionalnego (zespół Sudecka) wymaga leczenia antyresorpcyjnego ze względu na plamisty zanik kości.
Prawidłowa odpowiedź to:
Pytanie 16
Typowymi objawami kompleksowego zespołu bólu regionalnego (choroba Sudecka) są:
1) ochłodzenie skóry; 4) osłabienie tętna;
2) nasilenie bólu nieproporcjonalne do urazu; 5) potliwość.
3) zasinienie skóry;
Prawidłowa odpowiedź to:
Pytanie 17
Podstawowymi badaniami wykonywanymi podczas diagnostyki choroby Pageta kości są:
Pytanie 18
U 30-letniej kobiety stwierdzono objawy kliniczne i radiologiczne dysplazji stawu biodrowego. Które objawy stanowią przeciwwskazanie do wykonania osteotomii okołopanewkowej?
Pytanie 19
Dodatni objaw Trendelenburga świadczy o:
Pytanie 20
Objaw Thomasa służy do oceny:
Pytanie 21
Które z poniższych następstw są powikłaniem leczenia nieoperacyjnego dysplazji stawu biodrowego?
Pytanie 22
29-letnia chora skarży się na bóle w lewej pachwinie. Lekarz w badaniu stwierdził bardzo dobrą ruchomość obu stawów biodrowych. W lewym stawie biodrowym wykazał bolesność w pachwinie w czasie wykonywania jednoczesnego ruchu zgięcia, przywiedzenia i rotacji wewnętrznej. Skrócenie lewej kończyny wynosi 2 cm. Na zdjęciu stwierdzono dysplazję lewego stawu biodrowego z jego decentracją i kątem Wiberga -10°. Zaproponuj dalsze postępowanie:
Pytanie 23
Chory w wieku 8 lat upadł w czasie zajęć wychowania fizycznego w szkole. Doznał urazu stawu łokciowego. Lekarz w izbie przyjęć stwierdził złamanie kłykciowe boczne kości ramiennej typu II wg Milcha. Zaproponuj postępowanie terapeutyczne:
Pytanie 24
Proszę wskazać ustawienie kończyny dolnej obserwowane przy zwichnięciu zasłonowym stawu biodrowego:
Pytanie 25
Badający ortopeda wykonuje test kliniczny kolana w następujący sposób: kolano wyprostowane, następnie rotacja wewnętrzna, ucisk kciukiem na głowę strzałki do przodu, koślawienie i powolne zginanie kolana. Wskaż prawidłowe stwierdzenia dotyczące tego badania:
1) jest to test Pivot-shift;
2) ocenia stabilność kolana w płaszczyźnie czołowej;
3) służy do oceny wydolności więzadła pobocznego piszczelowego;
4) jest związany z działaniem mięśni kulszowo-goleniowych;
5) służy do oceny ACL.
Prawidłowa odpowiedź to:
Pytanie 26
Wskaż prawidłowe stwierdzenie dotyczące zespołu ciasnoty przedziałów powięziowych w obrębie kończyny dolnej:
Pytanie 27
W zmianach nowotworowych bliższego odcinka kości udowej na ogół zaleca się zespolenie, gdy dochodzi do zniszczenia ponad 50% warstwy korowej w 1/3 obwodu. Wskazaniem do leczenia operacyjnego są również dolegliwości bólowe podczas obciążania kończyny.
Pytanie 28
Wskaż prawidłowe stwierdzenie dotyczące złamań krętarza mniejszego kości udowej:
Pytanie 29
Najczęstszym w kolejności umiejscowieniem gruźlicy kości i stawów jest:
Pytanie 30
13-letni chłopiec zgłasza się do SOR po meczu piłki nożnej z dolegliwościami bólowymi stawu kolanowego. Deformacja i obrzęk głównie w zakresie guzowatości piszczeli, trudności z wyprostem w stawie kolanowym. Dolegliwości w wywiadzie występują okresowo po przeciążeniu. Jakie jest najbardziej prawdopodobne rozpoznanie?
Pytanie 31
W złamaniu szyjki kości skokowej:
Pytanie 32
U 16-letniej, miesiączkującej od 3 lat dziewczynki stwierdzono prawostronną skoliozę idiopatyczną w odcinku Th4-Th11, wynoszącą 35° wg Cobba, bez cech progresji. Postępowanie powinno obejmować:
Pytanie 33
Wskaż wyrażoną procentowo możliwość postępu skrzywienia u 13-letniego chłopca z młodzieńczą skoliozą w odcinku lędźwiowym o kącie skrzywienia 19° wg Cobba i z testem Rissera 3:
Pytanie 34
U 12-letniej pacjentki rozpoznano skoliozę piersiową o wartości 45 stopni wg Cobba. Przeprowadzone dwa lata wcześniej przesiewowe badanie ortopedyczne nie wykazało u niej odchyleń w kształcie tułowia. Dziewczynka nie miesiączkuje, a jej test Rissera oceniono na 1. Prawidłowe postępowanie powinno polegać na:
Pytanie 35
Fizjologiczne wartości kąta kifozy piersiowej kręgosłupa zawierają się w granicach:
Pytanie 36
Brak czynnego odwodzenia w stawie barkowym stwierdzany u chorego ze zwichnięciem stawu ramienno-łopatkowego jest najprawdopodobniej spowodowany uszkodzeniem:
Pytanie 37
Które grupy złamań według klasyfikacji Saltera-Harrisa są zazwyczaj leczone metodą zamkniętej repozycji i unieruchomieniem bez konieczności stabilizacji wewnętrznej?
Pytanie 38
Do wskazań do przezskórnej wertebroplastyki zalicza się:
Pytanie 39
Pierwszym objawem zespołu ciasnoty przedziału powięziowego jest:
Pytanie 40
W otwartym złamaniu III° B trzonu kości piszczelowej (wg podziału Gustilo-Andersona) jako ostateczne zaopatrzenie zaleca się:
Pytanie 41
Zalecanym obecnie sposobem zespolenia zamkniętego, spiralnego złamania trzonu kości udowej o długiej szczelinie przełomu u osoby dorosłej jest zespolenie:
Pytanie 42
Izolowane, patologiczne złamanie podkrętarzowe kości udowej wywołane przerzutem raka sutka najlepiej jest:
Pytanie 43
Zalecanym sposobem leczenia zaklinowanego złamania szyjki kości udowej typu Garden I u osoby 40-letniej jest:
Pytanie 44
Jaka wartość kąta zgięcia kolana po operacji wszczepienia całkowitej protezy tego stawu jest konieczna do swobodnego wstania z krzesła?
Pytanie 45
Najczęstszą lokalizacją gruźlicy kręgosłupa jest:
Pytanie 46
Złamanie miednicy typu Duverney`a należy do złamań:
Pytanie 47
Młodzieńcze złuszczenie głowy kości udowej zaklasyfikowane jako przewlekłe, stabilne, o wartości przemieszczenia (ześlizgu) głowy kości udowej poniżej 20° jest wskazaniem do:
Pytanie 48
Najczęstszymi powikłaniami mogącymi wystąpić po leczeniu operacyjnym młodzieńczego złuszczenia głowy kości udowej są:
Pytanie 49
Czynnikami ryzyka wystąpienia młodzieńczego złuszczenia głowy kości udowej są:
1) płeć żeńska;
2) wiek od 7 do 10 lat;
3) przebyte liczne infekcje w wywiadzie;
4) zaburzenia hormonalne w zakresie testosteronu i estrogenów szczególnie u chłopców;
5) otyłość z masą ciała powyżej 90 percentyla;
6) zwiększona aktywność ruchowa, w tym uprawianie sportu.
Prawidłowa odpowiedź to:
Pytanie 50
Najczęstszymi przyczynami tzw. zespołu biodra bolesnego u dzieci są:
1) przemijające wysiękowe zapalenie stawu biodrowego;
2) choroba Perthesa;
3) ostra białaczka limfoblastyczna;
4) młodzieńcze złuszczenie głowy kości udowej;
5) guzy kostne przerzutowe;
6) zapalenie dróg moczowych;
7) septyczne zapalenie stawu biodrowego;
8) stany przeciążeniowe i pourazowe.
Prawidłowa odpowiedź to:
Pytanie 51
Faza podparcia kończyny podczas chodu stanowi:
Pytanie 52
Cechami radiologicznymi złamań przeciążeniowych szyjki kości udowej w ich II okresie są:
Pytanie 53
W złamaniu kości piętowej typ I (postać języka) wg Essen - Lopresti i Palmera siła przechodząca przez kość skokową jest skierowana:
Pytanie 54
Złamanie podstawy V kości śródstopia powstaje typowo w mechanizmie urazu:
Pytanie 55
Uszkodzenie łąkotki przyśrodkowej w badaniu MR należące do typu II odpowiada:
Pytanie 56
Kostno-chrzęstna martwica oddzielająca w obrębie stawu kolanowego zajmuje najczęściej:
Pytanie 57
Strefy Loosera są typowym objawem:
Pytanie 58
Oderwanie bocznego brzegu dalszej części kości piszczelowej ze szczeliną złamania biegnącą pionowo od powierzchni stawowej kości piszczelowej, a następnie bocznie w kierunku warstwy korowej kości to złamanie:
Pytanie 59
Które zdanie odnoszące się do endoprotezoplastyki połowiczej biodra wykonywanej z powodu złamania bliższego odcinka kości udowej jest nieprawdziwe?
Pytanie 60
Ropień nadtwardówkowy najczęściej wywoływany jest przez:
Pytanie 61
W zespole przedziałów powięziowych:
Pytanie 62
Przykurcz zgięciowy powyżej 30 stopni u chorego przed planowaną endoprotezoplastyką stawu kolanowego powinien:
Pytanie 63
Zapalenie krążka międzykręgowego u dzieci należy leczyć:
Pytanie 64
Który z czynników ma najmniejsze znaczenie przy planowaniu realloplastyki stawu kolanowego?
Pytanie 65
Ścieranie polietylenu jest poważnym powikłaniem endoprotezoplastyki stawu kolanowego. Wskaż twierdzenie nieprawdziwe:
Pytanie 66
Balans tkankowy w endoprotezoplastyce stawu kolanowego polega na:
Pytanie 67
Wskaż zdanie nieprawdziwe:
Pytanie 68
Do specyficznych kryteriów rozpoznania jałowej martwicy głowy kości udowej wg Mont M.A. nie należy:
Pytanie 69
Autogeniczne przeszczepy z kości gąbczastej uznawane są za najlepszy rodzaj przeszczepów ze względu na szybkość ich przebudowy. Zastosowanie przeszczepów kości gąbczastej pobranej z grzebienia kości biodrowej wiąże się jednak z licznymi powikłaniami w miejscu pobrania, do których należą:
1) dolegliwości bólowe;
2) uszkodzenie struktur naczyniowo-nerwowych;
3) złamanie awulsyjne kolca biodrowego przedniego górnego;
4) powstanie przepukliny brzusznej;
5) uszkodzenie cewki moczowej.
Prawidłowa odpowiedź to:
Pytanie 70
W przypadku izolowanego złamania głowy kości promieniowej wymagającego zespolenia operacyjnego najczęściej stosuje się dostęp tylno-boczny opisany przez Kochera przebiegający między:
Pytanie 71
Znaczne przemieszczenie odłamów kostnych w złamaniu podkrętarzowym kości udowej bardzo utrudnia leczenie operacyjne. Przemieszczenia te są wynikiem działania silnych mięśni mających przyczepy w okolicy końca bliższego kości udowej. Wybierz prawidłowe stwierdzenia dotyczące ustawienia odłamów kostnych w złamaniu podkrętarzowym:
1) odłam bliższy ulega zgięciu, odwiedzeniu i rotacji zewnętrznej;
2) odłam bliższy ulega zgięciu, przywiedzeniu i rotacji zewnętrznej;
3) odłam bliższy ulega zgięciu, przywiedzeniu i rotacji wewnętrznej;
4) odłam dalszy ulega przywiedzeniu i rotacji zewnętrznej;
5) odłam dalszy ulega przywiedzeniu i rotacji wewnętrznej;
6) odłam dalszy ulega przywiedzeniu i jest podciągnięty ku górze.
Prawidłowa odpowiedź to:
Pytanie 72
W czasie dyżuru lekarskiego w godzinach rannych do Oddziału został przyjęty 56-letni, otyły pacjent z izolowanym złamaniem trzonu kości udowej, którego doznał w drodze do pracy. Pacjenta zakwalifikowano do leczenia operacyjnego - zespolenia złamania za pomocą gwoździa śródszpikowego. Zabieg zaplanowano na godziny przedpołudniowe tego samego dnia. Pierwszą dawkę heparyn drobnocząsteczkowych zaleca się podać:
Pytanie 73
Powszechnie uznanym sposobem leczenia złamań trzonów kości przedramienia u dorosłych są zespolenia płytkowe. Dostępy operacyjne do trzonu kości promieniowej wiążą się z ryzykiem uszkodzenia ważnych dla funkcji kończyny struktur. Dostęp dłoniowy do bliższej trzeciej części trzonu kości promieniowej stwarza zagrożenie dla następującej struktury:
Pytanie 74
Złamania kości przedramienia typu Galeazziego polegają na złamaniu kości promieniowej z jednoczesnym uszkodzeniem stawu promieniowo-łokciowego dalszego. Wskaż fałszywe zdanie dotyczące ww. typu złamania:
Pytanie 75
Złamania trzonu łopatki należą do rzadkich obrażeń ciała. Powstają zwykle w mechanizmie urazu bezpośredniego. Większość z nich można z powodzeniem leczyć nieoperacyjnie. Wskazaniem do leczenia operacyjnego złamań łopatki może być:
1) złamanie obejmujące zagłębienie stawowe z przemieszczeniem 7 mm;
2) złamanie szyjki łopatki z przemieszczeniem przyśrodkowym odłamu bocznego o 5 mm;
3) złamanie szyjki łopatki z przemieszczeniem kątowym 59 stopni;
4) złamanie szyjki łopatki połączone ze złamaniem wyrostka barkowego oraz rozerwaniem więzadeł kruczo-obojczykowych;
5) współwystępujące złamania żeber.
Prawidłowa odpowiedź to:
Pytanie 76
Mężczyzna 46-letni upadł na rękę w czasie wyczynowej jazdy na rolkach doznając pośredniego urazu okolicy barku. W trakcie diagnostyki stwierdzono złamanie bliższego końca kości ramiennej z przemieszczeniem kątowym głowy kości ramiennej, ze szpotawym ustawieniem trzonu kości ramiennej z przemieszczeniem tylno-przyśrodkowym guzka większego oraz przyśrodkowym guzka mniejszego o ponad 1 cm. Zaproponuj postępowanie o najlepszych rokowaniach:
Pytanie 77
U pacjenta z przemieszczonym, niestabilnym złamaniem końca dalszego kości promieniowej zastosowano pierwotnie leczenie zamkniętym nastawieniem i stabilizacją drutami K. Niestety, po tygodniu w kontrolnym Rtg stwierdzono destabilizację i wtórne przemieszczenie odłamów. Do ponownego zespolenia użyto płytki dłoniowej LCP ze śrubami blokowanymi. Pacjent zgłosił się do poradni po 5 tygodniach od zespolenia skarżąc się na wyraźne ograniczenie prostowania kciuka. Jakiego uszkodzenia należy się spodziewać?
Pytanie 78
Stabilizator zewnętrzny umożliwia skuteczne zaopatrzenie niestabilnych złamań pierścienia miednicy typu kompresji przednio-tylnej. Rama do stabilizacji zewnętrznej C-Clamp w odróżnieniu od przednich stabilizatorów zewnętrznych umożliwia czasową stabilizację tylnej części pierścienia miednicy. Które z przedstawionych uszkodzeń mogą być przeciwwskazaniami do założenia ramy do tylnej stabilizacji zewnętrznej?
Pytanie 79
Dobrym dostępem operacyjnym w leczeniu złamań tylnej ściany i tylnej kolumny panewki stawu biodrowego jest dostęp Kochera Langenbecka. W przypadku tego dostępu istnieje niebezpieczeństwo spowodowania martwicy głowy kości udowej z powodu uszkodzenia następującego naczynia:
Pytanie 80
Które z więzadeł składających się na więzozrost piszczelowo-strzałkowy ma największe znaczenie dla stabilizacji stawu skokowego będąc najsilniejszym ograniczeniem ruchów do boku?
Pytanie 81
Jaki nerw jest uciśnięty w „zespole mięśnia nawrotnego obłego”?
Pytanie 82
Jakie objawy są charakterystyczne dla wiądu rdzenia kręgowego w przebiegu kiły?
1) rozszczepienie czucia;
2) zniekształcenia dotyczące głównie stawów rąk;
3) zaburzenia chodu - ataxia;
4) zmiany artropatyczne występujące głównie w stawach kończyn dolnych;
5) owrzodzenia troficzne stóp.
Prawidłowa odpowiedź to:
Pytanie 83
Jakie zaburzenie w obrębie kręgosłupa szyjnego jest najczęściej obserwowane u chorych z reumatoidalnym zapaleniem stawów?
Pytanie 84
Jaki rodzaj zespolenia należy wykorzystać w stabilizacji złamania typu Galeazziego, w części dalszej trzonu kości łokciowej?
Pytanie 85
Jakie cechy są charakterystyczne dla postaci młodzieńczej jałowej martwicy oddzielającej kostno-chrzęstnej w stawie kolanowym?
1) w powstaniu choroby znaczenie mają mikrourazy;
2) częściej występuje u płci męskiej;
3) zawsze dochodzi do wydzielenia martwaka kostnego do jamy stawu;
4) zmiana jest częstsza w kłykciu przyśrodkowym kości udowej;
5) lokalizacja najczęściej dotyczy powierzchni obciążanej kłykcia kości udowej.
Prawidłowa odpowiedź to:
Pytanie 86
Zespół dziecka maltretowanego jest najbardziej prawdopodobny w następującej sytuacji:
Pytanie 87
Wskaż prawdziwe stwierdzenie dotyczące podstawowych zasad leczenia urazowych uszkodzeń narządu ruchu u dzieci:
Pytanie 88
Najczęstszą przyczyną złamań kończyn u dziecka 2-letniego jest:
Pytanie 89
Złuszczenie nasady dalszej kości promieniowej z przemieszczeniem dłoniowym typu Salter-Harris I u 10-letniego dziecka powinno być:
Pytanie 90
Zaopatrzenie poprzecznego złamania kości udowej w okolicy nadkłykciowej u 10-letniego dziecka metodą elastyczno-stabilnego zespolenia polega na:
Pytanie 91
Spośród niżej wymienionych uszkodzeń okolicy dziecięcego łokcia pozastawowym obrażeniem jest złamanie:
Pytanie 92
Zaopatrzenie złamania trzonów kości przedramienia prętami elastyczno-stabilnymi polega na:
Pytanie 93
Do cech charakterystycznych dla nerwiakowłókniakowatości (choroby Recklinghausena) nie należy/nie należą:
Pytanie 94
Markerem immunohistochemicznym mięsaka Ewinga jest:
Pytanie 95
Wartość różnicy dla każdej ze stron kątów żebrowo-kręgowych według Mehty świadcząca o możliwości progresji skoliozy wczesnodziecięcej wynosi powyżej:
Pytanie 96
Wartość kąta alfa dla prawidłowego stawu biodrowego w klasyfikacji Grafa powinna wynosić:
Pytanie 97
Wskaż prawdziwe zdanie dotyczące klasyfikacji Herringa:
Pytanie 98
Cechą charakterystyczną dla uszkodzenia pierścienia rotatorów nie jest:
Pytanie 99
Które komponenty wchodzą w skład złamania typowego dalszego końca kości promieniowej?
1) radializacja; 4) palmaryzacja;
2) supinacja; 5) kompresja odłamów.
3) dorsalizacja;
Prawidłowa odpowiedź to:
Pytanie 100
Cechą idiopatycznej skoliozy piersiowej nie jest:
Pytanie 101
Leczenie przykurczu Dupuytrena III°:
Pytanie 102
Ostre przecięcie ścięgien zginaczy palców ręki w strefie drugiej wymaga:
Pytanie 103
Zerwanie bliższego końca ścięgna głowy długiej mięśnia dwugłowego ramienia u osoby 50-letniej wymaga:
Pytanie 104
Zniekształcenie palca typu „łabędziej szyjki” u chorego na RZS wynika z:
Pytanie 105
W pierwszym stopniu ulnaryzacji palców w przebiegu RZS wykonuje się:
Pytanie 106
Które z poniższych sformułowań dotyczących uszkodzenia więzadeł kciuka są prawdziwe?
1) tzw. „kciuk narciarza” to uszkodzenie więzadła pobocznego łokciowego stawu śródręczno-paliczkowego kciuka;
2) tzw. „kciuk narciarza” to uszkodzenie więzadła pobocznego łokciowego stawu międzypaliczkowego kciuka;
3) w uszkodzeniu typu Stenera gojenie dystalnego fragmentu więzadła pobocznego jest niemożliwe z powodu interpozycji aponeurozy przywodziciela kciuka;
4) w uszkodzeniu typu Stenera gojenie dystalnego fragmentu więzadła pobocznego jest niemożliwe z powodu interpozycji ścięgna zginacza długiego kciuka;
5) uszkodzenie typu Stenera powinno być leczone operacyjnie.
Pytanie 107
Które z poniższych sformułowań dotyczących choroby Dupuytrena są prawdziwe?
1) stadium III - suma kątów przykurczu wynosi od 31° do 90°;
2) główne przykurczenia w stawach powstają w fazie przerostu rozcięgna;
3) w około 40% przypadków udaje się znaleźć związek między przykurczem a rodzajem wykonywanej pracy;
4) zajęcie więzadła poprzecznego powierzchownego i więzadeł pływackich uniemożliwia odwodzenie palców;
5) leczenie przykurczu Dupuytrena jest przede wszystkim operacyjne;
6) największą grupę operacji stanowią fasciotomie.
Prawidłowa odpowiedź to:
Pytanie 108
Który z wymienionych czynników najczęściej towarzyszy aseptycznemu obluzowaniu cementowanej panewki stawu biodrowego?
Pytanie 109
Jaki procent składu kości stanowi woda?
Pytanie 110
Test Mortona jest stosowany do diagnostyki:
Pytanie 111
Objaw Thomasa służy do wykrywania:
Pytanie 112
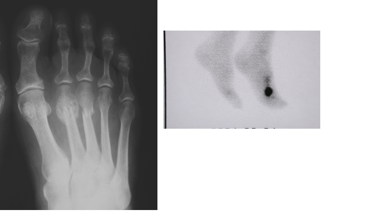
Przedstawiony radiogram oraz scyntygrafia stopy w projekcji AP 34-letniego mężczyzny wykazuje:

Pytanie 113
Podstawowymi objawami w diagnostyce rozwojowej dysplazji stawu biodrowego u noworodka są:
Pytanie 114
U 3-letniego dziecka stwierdzono progresującą skoliozę o wartości 40° z półkręgiem na wysokości Th11. Stwierdza się także blok kostny po przeciwnej stronie kręgosłupa na poziomie Th9 - Th12. Lekarz powinien zalecić:
Pytanie 115
U 4-letniego dziecka rozpoznano chorobę Perthesa z martwicą głowy kości udowej obejmującą 25% jej obszaru. Badanie kliniczne wykazało ograniczenie w stawie biodrowym rotacji do wewnątrz o 10° i odwodzenia o 15° w porównaniu z biodrem przeciwnym. Po zastosowaniu odciążenia i fizykoterapii uzyskano bezbolesny pełen zakres ruchów w stawie biodrowym. Obecnie lekarz powinien zastosować:
Pytanie 116
Wskaż prawdziwe stwierdzenia:
1) syndaktylia to wada polegająca na braku rozdzielenia palców;
2) powstaje ok. 8. tygodnia życia płodowego;
3) istotą leczenia jest rozdzielenie palcozrostu z wytworzeniem dobrego spoidła międzypalcowego;
4) optymalnym okresem jest rozpoczęcie leczenia około 3. roku życia bez względu na postać syndaktylii;
5) leczenie powinno być zakończone w wieku przedszkolnym.
Prawidłowa odpowiedź to:
Pytanie 117
Wskaż prawdziwe stwierdzenia:
1) złamania kości łódeczkowatej stanowią od 50 do 80% złamań w obrębie nadgarstka;
2) najczęstsze są złamania w obrębie talii kości łódeczkowatej i stanowią ok. 80% złamań;
3) złamania typu B kości łódeczkowatej w klasyfikacji Herberta i Fishera są złamaniami stabilnymi;
4) złamania typu B kości łódeczkowatej w klasyfikacji Herberta i Fishera powinno się leczyć operacyjnie;
5) badanie rezonansem magnetycznym jest uznawane za „złoty standard” w diagnostyce złamań kości łódeczkowatej.
Prawidłowa odpowiedź to:
Pytanie 118
U 72-letniego chorego w 14 dni po zabiegu operacyjnym endoprotezoplastyki stawu kolanowego utrzymują się dolegliwości bólowe stawu, obrzęk i zaczerwienienie okolicy rany pooperacyjnej. Temperatura ciała w godzinach rannych 37,5 st. C, w godzinach popołudniowych 38,7 st. C. Najbardziej właściwym postępowaniem będzie:
Pytanie 119
Typowym odległym następstwem złamania trzonu kości udowej u 2-letniego dziecka jest:
Pytanie 120



