Wyszukaj egzamin lub pytanie
Egzamin PES Ortopedia i traumatologia narządu ruchu / jesień 2013
120 pytań
Pytanie 1
Złamanie kości promieniowej w miejscu typowym w mechanizmie upadku na powierzchnię dłoniową nie prowadzi do:
Pytanie 2
Alloplastyka jednoprzedziałowa stawu kolanowego jest wskazana:
Pytanie 3
Podjęcie decyzji o wszczepieniu protezy poresekcyjnej w chorobie nowotworowej narządu ruchu należy uzależnić od:
Pytanie 4
Złamanie trzonu kości udowej wyleczone z użyciem gwoździa śródszpikowego:
Pytanie 5
Który z nowotworów powodujących wystąpienie przerzutów do kości ma potwierdzone tło genetyczne choroby?
Pytanie 6
Operowanie uszkodzeń głowy kości ramiennej z dojścia bezpośredniego przez mięsień naramienny grozi uszkodzeniem nerwu:
Pytanie 7
W prawidłowym stawie:
Pytanie 8
O powodzeniu leczenia operacyjnego złamania krętarzowego w największym stopniu decyduje skuteczne odtworzenie anatomicznej ciągłości korówki kości udowej:
Pytanie 9
Uczucie skrócenia kończyny dolnej w zaawansowanej postaci jednostronnego zwyrodnienia stawu biodrowego, ale bez zniekształcenia głowy lub szyjki kości udowej, wynika najczęściej z:
Pytanie 10
Amputacja, tak zwana fizjologiczna, połączona z zaprotezowaniem już na stole operacyjnym uznana została za oryginalny polski wkład do światowej wiedzy ortopedycznej. Głównym propagatorem tego sposobu leczenia był:
Pytanie 11
Mięsień pośladkowy średni odgrywający kluczową rolę w sprawności chodu po alloplastyce stawu biodrowego jest unerwiony przez nerw:
Pytanie 12
Do rozpoznania osteoporozy upoważnia:
1) stwierdzenie niskoenergetycznego złamania;
2) badanie DXA szyjki kości udowej;
3) obniżenie poziomu wapnia w surowicy;
4) stwierdzenie podwyższonego OB;
5) badanie DXA przedramienia.
Prawidłowa odpowiedź to:
Pytanie 13
Życiowe ryzyko złamania osteoporotycznego u 50-letniej kobiety wynosi około:
Pytanie 14
Które z powyższych zdań jest prawdziwe?
1) witamina D jest niezbędna do wchłaniania wapnia z jelit i utrzymania prawidłowej siły mięśniowej;
2) niedobór witaminy D prowadzi do osteomalacji i wzrostu kości;
3) witamina D jest metabolizowana w wątrobie a następnie w nerkach;
4) niedobór witaminy D powoduje podwyższenie poziomu wapnia w surowicy i obniżenie w moczu.
Prawidłowa odpowiedź to:
Pytanie 15
Przy rozpoznaniu złamania niskoenergetycznego jednego kręgu (Th 6) w diagnostyce różnicowej należy uwzględnić:
1) osteoporozę; 4) szpiczak mnogi;
2) chorobę Pageta; 5) chorobę Scheuermana.
3) przerzut nowotworowy;
Prawidłowa odpowiedź to:
Pytanie 16
Które z poniższych stwierdzeń są prawdziwe?
1) złamanie Collesa występuje najczęściej u kobiet po 50 r.ż. Ryzyko powikłań jest niewielkie;
2) złamanie Collesa jest najczęściej skutkiem upadku. Ryzyko powikłań jest znaczne;
3) złamanie bliższego końca kości udowej jest mało prawdopodobne po złamaniu Collesa;
4) po złamaniu Collesa ryzyko powikłań jest znaczne. Ryzyko złamania bliższego końca kości udowej wzrasta 2-krotnie;
5) złamanie Collesa występuje najczęściej u kobiet po 50 r.ż. Ryzyko powikłań jest znaczne.
Prawidłowa odpowiedź to:
Pytanie 17
Każdy chory ze złamaniem niskoenergetycznym powinien:
1) być operowany;
2) otrzymać suplementację wapniem i witaminą D;
3) być objęty programem prewencji upadków;
4) otrzymać lek antyresorpcyjny.
Prawidłowa odpowiedź to:
Pytanie 18
Złamania osteoporotyczne kręgosłupa leczymy z zasady:
Pytanie 19
Podstawowymi badaniami wykonywanymi podczas diagnostyki choroby Pageta kości są:
Pytanie 20
Leczenie dysplazji włóknistej obejmuje:
Pytanie 21
Objaw Pellegrini-Stieda jest następstwem:
Pytanie 22
Obraz rentgenowski stawu biodrowego o charakterze „rączki pistoletu” jest typowy dla:
Pytanie 23
Objaw trójkąta Capenera może być istotny w diagnostyce:
Pytanie 24
Wskaż prawidłowe stwierdzenie dotyczące występowania mięsaków w chorobie Pageta:
Pytanie 25
Wskaż prawdziwe stwierdzenia dotyczące zespołu cieśni kanału nadgarstka:
1) w przebiegu choroby dochodzi do zaniku funkcji mięśnia zginacza krótkiego kciuka;
2) częstość występowania zespołu cieśni u cukrzyków jest mniejsza niż w całej populacji;
3) nasilenie objawów powodujących budzenie w nocy wynika z silniejszej masy mięśni zginaczy wymuszającej podczas snu ustawienie nadgarstka w pozycji zgięciowej;
4) w technice otwartej cięcie należy wykonać wzdłuż promieniowej granicy palca środkowego, aby uniknąć uszkodzenia dłoniowej gałęzi skórnej nerwu pośrodkowego;
5) drętwienie lub parestezje najczęściej dotyczą palca serdecznego lub środkowego, a następnie kciuka.
Prawidłowa odpowiedź to:
Pytanie 26
Wskaż prawdziwe stwierdzenia dotyczące chrzęstniaka wewnątrzkostnego:
1) jest łagodnym chrzęstnych guzem kości;
2) jest najczęstszym łagodnym guzem kości w obrębie ręki;
3) zwykle pojawia się w dojrzałym kośćcu;
4) w ręce najczęściej pojawia się w kościach śródręcza oraz paliczkach bliższych i środkowych;
5) zwykle zmiana jest asymptomatyczna i wykrywana przypadkowo.
Prawidłowa odpowiedź to:
Pytanie 27
Uszkodzenie Essex-Lopresti składa się z:
1) uszkodzenia błony międzykostnej;
2) złamania wyrostka dziobiastego;
3) złamania wieloodłamowego głowy kości promieniowej;
4) zwichnięcia stawu promieniowo-łokciowego bliższego;
5) uszkodzenia kompleksu chrząstki trójkątnej TFCC.
Prawidłowa odpowiedź to:
Pytanie 28
Całkowita, częściowo związana endoproteza stawu łokciowego pozwala na ograniczoną rotację i ruch koślawości/szpotawości pomiędzy komponentem ramiennym i łokciowym, aby zmniejszyć przenoszenie obciążenia między kością a cementem.
Pytanie 29
Najczęstszą przyczyną zmian o typie wtórnej chondromalacji rzepki jest/są:
Pytanie 30
Dla zesztywniającego zapalenia stawów kręgosłupa oprócz zajęcia stawów krzyżowo-biodrowych oraz kręgosłupa charakterystyczne są:
1) zajęcie drobnych stawów rąk i stóp;
2) możliwość wystąpienia towarzyszącego zapalenia tęczówki oka;
3) niewystępowanie u kobiet;
4) obecność antygenu HLA-B 27 u około 90% chorych;
5) obecność antygenu HLA-B 28 u około 90% chorych.
Prawidłowa odpowiedź to:
Pytanie 31
Do profilaktyki antybiotykowej okołooperacyjnej u chorego bez znanych uczuleń na antybiotyki należy zastosować w przypadku całkowitej protezoplastyki stawu kolanowego wykonywanej w niedokrwieniu kończyny:
Pytanie 32
Ćwiczenia czynne wolne możemy wprowadzić u chorych, u których siła mięśniowa w skali Lovetta wynosi co najmniej:
Pytanie 33
Granicą możliwości wykonania replantacji kończyny, pod warunkiem schłodzenia amputowanej części bezpośrednio po urazie do temperatury 2 - 4ºC jest czas:
Pytanie 34
Wymień cechy prawidłowego płynu stawowego:
1) pH 7,1 - 6,5;
2) zawartość białka 1,8 - 2,0 g%;
3) stężenie glukozy niższe od stężenia w surowicy;
4) liczba komórek poniżej 200 w mm³;
5) odsetek granulocytów poniżej 25.
Prawidłowa odpowiedź to:
Pytanie 35
Który rodzaj zwichnięcia stawu ramiennego prowadzi najczęściej do powikłań naczyniowo-nerwowych?
Pytanie 36
Który z wymienionych poniżej mięśni nie wchodzi w skład stożka rotatorów barku?
Pytanie 37
Deformacja typu Madelunga dotyczy:
Pytanie 38
W brucelozie zmiany najczęściej nie obejmują:
Pytanie 39
Młodzieńcze złuszczenie głowy kości udowej zaklasyfikowane jako przewlekłe, stabilne, o wartości przemieszczenia (ześlizgu) głowy kości udowej powyżej 30° jest wskazaniem do:
Pytanie 40
Najczęstszym powikłaniem mogącym wystąpić po leczeniu zachowawczym i/lub operacyjnym rozwojowego zwichnięcia stawu biodrowego jest/są:
Pytanie 41
Czynnikami ryzyka wystąpienia rozwojowej dysplazji stawu biodrowego są:
1) płeć żeńska;
2) niska masa urodzeniowa;
3) przebyte liczne infekcje wewnątrzmaciczne w wywiadzie;
4) zaburzenia hormonalne w zakresie testosteronu i estrogenów szczególnie u chłopców;
5) obciążony wywiad rodzinny - występowanie rozwojowej dysplazji stawów biodrowych u rodziców i/lub rodzeństwa;
6) obecność innych wad wrodzonych stwierdzonych bezpośrednio po porodzie np. kręczu szyi, przywiedzenia przodostopia itp.
Prawidłowa odpowiedź to:
Pytanie 42
Cechą różnicującą wrodzoną stopę płaską od innych deformacji jest:
1) pionowe ustawienie kości skokowej w obrazie radiologicznym stopy w rzucie bocznym;
2) supinacja przodostopia;
3) skośne ustawienie stawu skokowo-piszczelowego;
4) brak kości łódeczkowatej;
5) obecność palców młoteczkowatych;
6) rotacja wewnętrzna stopy;
7) obecność martwicy guza piętowego.
Prawidłowa odpowiedź to:
Pytanie 43
Chód kuczny u chorego z mózgowym porażeniem dziecięcym w stanie funkcjonalnym GMFCS III wynika z:
1) deformacji kończyn dolnych wynikających głównie z niedowładów spastycznych;
2) znacznego upośledzenia funkcji ruchowych wynikających z braku odruchów postawy oraz upośledzenia koordynacji ruchów;
3) obecności wysokiego ryzyka wystąpienia zwichnięcia stawów biodrowych i bocznego skrzywienia kręgosłupa;
4) obecności zaburzeń bilansu mięśniowego okolicy stawu kolanowego;
5) deformacji o charakterze dźwigniowo-zależnym wynikających m.in. z zaburzeń rotacyjnych kończyn.
Prawidłowa odpowiedź to:
Pytanie 44
Powikłaniem mogącym wystąpić w przebiegu leczenia złamań w obrębie dalszej części kości udowej jest/są:
Pytanie 45
Uszkodzenie nerwu strzałkowego podczas zwichnięcia stawu kolanowego dotyczy:
Pytanie 46
Wskaż prawdziwe stwierdzenie dotyczące złamania bliższego końca kości piszczelowej:
Pytanie 47
Wskaż prawdziwe stwierdzenia:
1) uszkodzenia ścięgna mięśnia czworogłowego uda dotyczą zazwyczaj pacjentów powyżej 40. roku życia;
2) uszkodzenia ścięgna mięśnia czworogłowego uda dotyczą zazwyczaj pacjentów poniżej 40. roku życia;
3) uszkodzenia więzadła rzepki dotyczą zazwyczaj osób poniżej 40. roku życia;
4) uszkodzenia więzadła rzepki dotyczą zazwyczaj osób powyżej 40. roku życia.
Prawidłowa odpowiedź to:
Pytanie 48
Podczas endoprotezoplastyki kolan, po etapie wymierzenia i przycięcia kłykci piszczelowych i udowych sprawdzamy balans kolana. Mówimy wtedy o przestrzeni (z ang. gap) między przyciętymi powierzchniami kości w zgięciu i wyproście, czyli odpowiednio, jak podaje piśmiennictwo anglojęzyczne, flexion gap i extension gap. Znajdź zdanie fałszywe:
Pytanie 49
W przypadku endoprotezoplastyki całkowitej kolana u pacjentów ze znaczną deformacją szpotawą możemy mieć problem z prawidłowym balansem kolana. Jakie struktury uwalniamy, aby poradzić sobie z tym problemem?
Pytanie 50
Które elementy wpływają na fakt, że technika operacji endoprotezoplastyki biodra w przypadku artrozy wtórej do rozwojowej dysplazji stawu jest bardzo wymagającą technicznie procedurą?
1) panewka jest płytka i zazwyczaj ma ubytek przedniej ściany;
2) osłabiony i zorientowany poziomo mięsień pośladkowy średni;
3) nadmierne skrócenie i napięcie przywodzicieli, m. biodrowo-lędźwiowego i głowy prostej utrudniające nastawienie protezy;
4) konieczność stosowania bardzo dużych panewek o śr. > 60 mm;
5) wąski i bardziej przodowygięty kanał kości udowej;
6) retrowersja szyjki, utrudniająca osadzenie trzpienia w udzie.
Prawidłowa odpowiedź to:
Pytanie 51
Stosując w endoprotezoplastyce biodra dojście tylno-boczne należy liczyć się z ryzykiem zwichnięcie endoprotezy nawet dwukrotnie większym niż to jest w przypadku dojścia przednio-bocznego. Wytłumaczeniem tego zjawiska jest:
Pytanie 52
W przypadku dolegliwości bólowych operowanego stawu utrzymujących się kilka miesięcy po endoprotezoplastyce zawsze należy podejrzewać zakażenie okołoprotezowe. Rozpoznanie infekcji okołoprotezowej jest niezwykle trudne. Które z niżej wymieniowych objawów można uznać za najbardziej pewne diagnozy?
Pytanie 53
Podaj kolejność uszkodzeń struktur kostno-więzadłowych w przypadku złamania kostek z mechanizmu pronacji i rotacji zewnętrznej P-ER wg Lauge’a-Hansena :
Pytanie 54
Pionowa szczelina złamania kostki przyśrodkowej jest typowa dla złamania typu:
Pytanie 55
Największą wartość prognostyczną co do wystąpienia choroby Blounta w przypadku występowania szpotawości kolan u dzieci ma:
Pytanie 56
Jakie wskazania decydują o rozpoczęciu leczenia skoliozy w gorsecie typu podramiennego?
1) skrzywienie do kąta 20-25° według Cobba;
2) ujemny test Rissera;
3) lordoza w części piersiowej kręgosłupa;
4) korektywność skrzywienia;
5) wiek dziecka powyżej 10 lat.
Prawidłowa odpowiedź to:
Pytanie 57
Które złamania stanowią przeciwwskazanie do leczenia czynnościowego?
1) złamanie rzepki z przemieszczeniem;
2) złamanie wielopoziomowe trzonu kości udowej;
3) złamanie trzonów kości przedramienia;
4) złamanie szyjki kości udowej;
5) złamanie śródstawowe stawu kolanowego.
Prawidłowa odpowiedź to:
Pytanie 58
Jakie zniekształcenia obserwuje się w badaniu klinicznym stopy płasko-koślawej statycznej?
1) wydłużenie ścięgna Achillesa;
2) obniżenie łuku podłużnego stopy;
3) koślawe ustawienie stępu;
4) przywiedzenie przodostopia;
5) pronację przodostopia.
Prawidłowa odpowiedź to:
Pytanie 59
W jakiej kolejności należy znieść przemieszczenia w nastawieniu złamania dalszego końca kości promieniowej typu Colles’a?
1) rozklinować szczeliny przełomu;
2) znieść przemieszczenie dołokciowe odłamu obwodowego;
3) unieruchomić w zgięciu dłoniowym w stawie promieniowo-nadgarstkowym;
4) wykonać nawrócenie odłamu obwodowego;
5) dokonać przemieszczenia dłoniowego odłamu obwodowego.
Prawidłowa odpowiedź to:
Pytanie 60
Stosowanie artykulacji metal - metal w pierwotnej alloplastyce stawu biodrowego jest przeciwwskazaniem u chorych:
Pytanie 61
U dziecka z mózgowym porażeniem z postacią spastyczną kończyna dolna ustawia się:
1) w zgięciu, przywiedzeniu i rotacji do wewnątrz w stawie biodrowym;
2) w zgięciu, odwiedzeniu i rotacji do wewnątrz w stawie biodrowym;
3) w zgięciu, przywiedzeniu i rotacji na zewnątrz w stawie biodrowym;
4) w przykurczu zgięciowym w stawie kolanowym;
5) w wyproście w stawie kolanowym.
Prawidłowa odpowiedź to:
Pytanie 62
Na jaki typ zmian zwyrodnieniowych wskazuje przedstawiony poniżej radiogram stawu biodrowego?

Pytanie 63
Osteotomia nadwięzadłowa kości piszczelowej w leczeniu zmian zwyrodnieniowych stawu kolanowego jest przeciwwskazana u pacjentów:
1) powyżej 80. roku życia;
2) z zaawansowanymi zmianami zwyrodnieniowymi stawu kolanowego;
3) z zaawansowanymi zmianami zwyrodnieniowymi stawu biodrowego;
4) z zaawansowanymi zmianami zwyrodnieniowymi stawu skokowego;
5) z zaawansowanymi zmianami zwyrodnieniowymi kręgosłupa.
Prawidłowa odpowiedź to:
Pytanie 64
W chwili obecnej najbardziej uznaną metodą leczenia wrodzonej stopy końsko-szpotawej jest metoda:
Pytanie 65
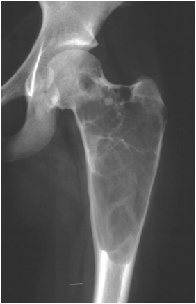
Przedstawiony poniżej radiogram 17-letniego chłopca wykazuje zmiany w odcinku bliższym kości udowej. Zmiana została wykryta przypadkowo, a chory do tej pory nie zgłaszał żadnych dolegliwości. Obraz radiologiczny sugeruje :

Pytanie 66
Które z wymienionych stwierdzeń jest prawdziwe w stosunku do osteotomii szpotawiącej bliższego końca kości udowej?
1) powoduje dekompresję nieobciążanej części nasady;
2) umożliwia dowolną korekcję;
3) uwalnia wzmożone ciśnienie śródkostne;
4) powoduje skrócenie kończyny;
5) powoduje osłabienie mięśni odwodzicieli stawu biodrowego.
Prawidłowa odpowiedź to:
Pytanie 67
Poniżej przedstawiono radiogram stawów biodrowych w projekcji AP i Lauensteina 11-letniego chłopca, który od 2 dni skarży się na bóle w obrębie lewego stawu biodrowego, trudności w chodzeniu i ograniczenie ruchów. Obraz radiologiczny najbardziej odpowiada :

Pytanie 68
Poniżej przedstawiono radiogram stawów biodrowych u 45-letniego mężczyzny po alloplastyce obustronnej stawów biodrowych. Który z opisów tego radiogramu jest prawdziwy?

Pytanie 69
Klasyfikacja Gartlanda dotycząca oceny przemieszczenia odłamów w złamaniach nadkłykciowych kości ramiennej u dzieci:
Pytanie 70
Awulsyjne złamanie kolca biodrowego przedniego dolnego:
Pytanie 71
Spośród ogólnych zasad leczenia urazów narządu ruchu u dzieci wskaż nieprawdziwe:
Pytanie 72
Do typowych powikłań złamań kłykcia bocznego kości ramiennej u dzieci zalicza się:
Pytanie 73
Typowym powikłaniem złamania bliższej nasady piszczeli typu Salter-Harris I lub II u dzieci jest:
Pytanie 74
Podczas operacji rewizyjnej endoprotezy cementowanej stawu biodrowego celem ułatwienia usunięcia trzpienia i cementu z kości udowej należy:
Pytanie 75
Które z wymienionych schorzeń nie są czynnikami ryzyka nawrotowego zwichnięcia rzepki?
1) zespół Downa;
2) obniżona wartość kąta Q;
3) wrodzone wysokie ustawienie rzepki;
4) zaburzenia torsyjne kości udowej;
5) wrodzone niskie ustawienie rzepki.
Prawidłowa odpowiedź to:
Pytanie 76
Lateralizacja guzowatości kości piszczelowej jest istotnym czynnikiem ryzyka nawrotowego zwichnięcia rzepki. Dlatego medializacja guzowatości kości piszczelowej jest metodą z wyboru w leczeniu tej choroby u dorastających przed zakończeniem wzrostu.
Pytanie 77
U pacjenta w wieku 60 lat stwierdza się okrągły, lityczny guz w końcu dalszym kości udowej, z permeatywnym charakterem wzrostu, obecny odczyn okostnowy. Najbardziej prawdopodobnym rozpoznaniem jest:
Pytanie 78
W przypadku których pierwotnych guzów kości podstawowym miejscem wyjścia jest nasada kości:
1) guz olbrzymiokomórkowy;
2) kostniako-chrzęstniak zarodkowy;
3) guz Ewinga;
4) mięsak kostny;
5) mięsak kostny przykorowy.
Prawidłowa odpowiedź to:
Pytanie 79
Przyczyną przykurczu Dupuytrena są zmiany w obrębie:
Pytanie 80
Wrodzonemu brakowi kości promieniowej najczęściej towarzyszy:
Pytanie 81
W zespole kanału Gyona - neuropatii nerwu łokciowego na poziomie nadgarstka - zaburzenia czucia występują:
Pytanie 82
W zaawansowanym zespole kanału nadgarstka dochodzi do zaniku:
Pytanie 83
W uszkodzeniu nerwu o typie axonothmesis:
Pytanie 84
Autorem pierwszego podręcznika ortopedycznego wydanego w Paryżu w 1741 r. był:
Pytanie 85
Powstanie Polskiej Ortopedii datuje się od powstania Zakładu Gąsiorowskich w roku:
Pytanie 86
Przyporządkuj funkcję do odpowiedniego rotatora barku:
1) m. nadgrzebieniowy; a) rotacja wewnętrzna;
2) m. podłopatkowy; b) rotacja zewnętrzna;
3) m. podgrzebieniowy; c) odwodzenie.
Prawidłowa odpowiedź to:
Pytanie 87
Który nerw jest szczególnie zagrożony przy tylnym dostępie do łokcia, stosowanym do zespolenia złamania końca dalszego kości ramiennej?
Pytanie 88
Zalecanym sposobem leczenia niestabilnego zamkniętego złamania kości promieniowej typu Galeazzi u osoby dorosłej jest:
Pytanie 89
Właściwym sposobem postępowania u nieprzytomnego chorego ze złamaniem wyrostka łokciowego z przemieszczeniem jest:
Pytanie 90
Patologia łopatki w chorobie Sprengla polega na:
1) wysokim ustawieniu łopatki;
2) obróceniu łopatki w płaszczyźnie czołowej (scapula valga);
3) obróceniu łopatki w płaszczyźnie czołowej (scapula vara);
4) pochyleniu łopatki do przodu;
5) łopatka jest krótsza i szersza niż po stronie zdrowej;
6) zmniejszeniu ruchomości łopatki w wyniku dodatkowych połączeń z kręgosłupem i klatką piersiową.
Prawidłowa odpowiedź to:
Pytanie 91
Chłopiec w wieku 10 lat upadł doznając urazu kończyny górnej prawej. W izbie przyjęć lekarz po wykonaniu zdjęcia radiologicznego stwierdził złamanie trzonów obu kości przedramienia. Zaproponuj postępowanie terapeutyczne:
Pytanie 92
Które z poniższych objawów radiologicznych są wskazaniem do wykonania osteotomii okołopanewkowej miednicy?
Pytanie 93
W którym typie mózgowego porażenia dziecięcego najczęściej jest obserwowane boczne skrzywienie kręgosłupa?
Pytanie 94
Złamania trzonu kości ramiennej zazwyczaj leczy się:
Pytanie 95
W przypadku choroby Perthesa za najbardziej wiarygodną i mającą największą wartość prognostyczną uznaje się klasyfikację:
Pytanie 96
W chorobie Perthesa wg kryteriów Catterala następcze remodelowanie ma miejsce w grupie:
Pytanie 97
Wskaż nieprawdziwe stwierdzenie dotyczące osteotomii okołopanewkowej wg Ganza:
Pytanie 98
Która część kręgosłupa jest najczęściej objęta zmianami w chorobie Scheuermanna?
Pytanie 99
Która z projekcji klasycznego, przeglądowego badania radiologicznego umożliwia uwidocznienie złamania zęba obrotnika?
Pytanie 100
Wskaż prawdziwe stwierdzenia dotyczące złamania bliższego końca kości ramiennej:
1) uszkodzenia nerwów występują u ponad 60% pacjentów ze złamaniem bliższego końca kości ramiennej;
2) najczęściej dochodzi do uszkodzenia nerwu nadłopatkowego;
3) znaczna większość złamań bliższego końca kości ramiennej wymaga leczenia operacyjnego;
4) najczęstszymi powikłaniami po złamaniu bliższego końca kości ramiennej są martwica niedokrwienna oraz brak zrostu;
5) złamanie szyjki anatomicznej u osób po 40. roku życia jest wskazaniem do endoprotezoplastyki połowiczej.
Prawidłowa odpowiedź to:
Pytanie 101
Częstym następstwem urazu skrętnego stawu skokowego jest oddzielająca martwica chrzęstno-kostna górnej powierzchni stawowej kości skokowej. Typowymi objawami są obrzęki okolicy stawu skokowo-goleniowego oraz dolegliwości bólowe o różnym stopniu nasilenia uzależnione od stadium zaawansowania zmian. Stadium III (wg Berndta i Harty’ego) to całkowicie oddzielony fragment chrzęstno-kostny pozostający w obrębie kraterowatego ubytku. Postępowanie w ww. stadium choroby polega na:
Pytanie 102
Które zdanie odnoszące się do dostępu przedniego do stawu biodrowego wg Smith-Petersena jest prawdziwe?
Pytanie 103
Wskaż zdanie nieprawdziwe odnośnie zwichnięcia wkładki polietylenowej endoprotezy stawu biodrowego:
Pytanie 104
Wskaż zdanie prawdziwe odnośnie młodzieńczego złuszczenia głowy kości udowej:
Pytanie 105
Jak należy leczyć zerwanie więzadła krzyżowego przedniego?
Pytanie 106
Pięciolatek z bólem biodra i utykaniem od 48 godzin przychodzi z rodzicami na izbę przyjęć. Pomiar temperatury wskazuje 38,5°C, badania laboratoryjne: CRP czterokrotnie przekracza normę, obecna jest znaczna leukocytoza. W badaniu radiologicznym widoczne cechy wysięku w stawie. Twoim kolejnym krokiem jest:
Pytanie 107
Pourazowe skostnienia pozastawowe są powikłaniem spowodowanym uszkodzeniem mięśni. Wskaż twierdzenie nieprawdziwe:
Pytanie 108
Klasyfikacja Saltera-Harrisa stosowana jest do oceny:
Pytanie 109
U 11-letniej dziewczynki stwierdzono przypadkowo na radiogramach bezobjawowy kręgozmyk L5/S1 o wartości przemieszczenia 20%. Prawidłowe postępowanie powinno polegać na:
Pytanie 110
Po zbadaniu siedemdziesięciodwuletniej kobiety po endoprotezoplastyce cementowej stawu biodrowego z objawami porażenia nerwu kulszowego w oddziale opieki pooperacyjnej zaleca się:
Pytanie 111
Badanie scyntygrafii trójfazowej kośćca stosowane w diagnostyce patologii kostnej:
Pytanie 112
Patologiczne złamania kości długich, oceniane ilością złamań na 100 000 osób, występują najczęściej w:
Pytanie 113
Koślawość kolan:
Pytanie 114
Optymalnym sposobem leczenia złamania podgłowowego szyjki kości udowej u 70-letniej kobiety jest:
Pytanie 115
U pacjenta sprawnego ruchowo, ale z zespołem psychorganicznym, rozpoznano zastarzałe i przemieszczone złamanie szyjki kości udowej. W celu zminimalizowania niebezpieczeństwa zwichnięcia po całkowitej alloplastyce stawu biodrowego należy wybrać dojście operacyjne:
Pytanie 116
Przyczepy bliższe mięśni glistowatych znajdują się na:
1) kości śródręcza II-IV;
2) więzadle poprzecznym nadgarstka;
3) rozcięgnie dłoniowym śródręcza;
4) ścięgnach głębokich zginaczy w strefie III.
Prawidłowa odpowiedź to:
Pytanie 117
Obraz „jarmułki” w badaniu radioizotopowym kości jest typowy dla:
Pytanie 118
Jednolicie wysycone ognisko osteosklerotyczne w kości gąbczastej z wyraźnymi odchodzącymi promieniście pasmami („wieniec z kolców”), zazwyczaj brak wzmożonego wychwytu znacznika w badaniu scyntygraficznym to:
Pytanie 119
Objaw „odwróconej czapki Napoleona” jest charakterystyczny dla:
Pytanie 120



