Wyszukaj egzamin lub pytanie
Egzamin PES Ortopedia i traumatologia narządu ruchu / jesień 2012
120 pytań
Pytanie 1
Do poradni ortopedycznej zgłosiła się matka z dziewczynką w wieku 12 lat. Głównym objawem jest koślawość lewego stawu kolanowego. Zaproponuj odpowiednie postępowanie diagnostyczne i lecznicze:
Pytanie 2
Chory w wieku 13 lat upadł w czasie zajęć wychowania fizycznego w szkole. Nie doznał żadnych widocznych uszkodzeń. Jednakże zaczął skarżyć się na dolegliwości bólowe stawu kolanowego lewego. Rodzice zauważyli, że zaczął również utykać. Z uwagi na fakt, że dolegliwości nie ustępowały rodzice wraz z chorym zgłosili się do ortopedy. Zaproponuj postępowanie diagnostyczne i lecznicze:
Pytanie 3
29-letnia chora skarży się na bóle w lewej pachwinie. Lekarz w badaniu stwierdził bardzo dobrą ruchomość obu stawów biodrowych. W lewym stawie biodrowym wykazał bolesność w pachwinie w czasie wykonywania jednoczesnego ruchu zgięcia, przywiedzenia i rotacji wewnętrznej. Na zdjęciu stwierdzono dysplazję lewego stawu biodrowego z jego decentracją i kątem Wiberga -10 stopni. Zaproponuj dalsze postępowanie:
Pytanie 4
W typie kleszczowym konfliktu udowo-panewkowego proponowanym leczeniem powinno być:
Pytanie 5
W typie krzywkowym konfliktu udowo-panewkowego proponowanym leczeniem powinno być:
Pytanie 6
Przyczyną konfliktu udowo-panewkowego typu krzywkowego jest:
Pytanie 7
Które z poniższych objawów radiologicznych są typowe dla konfliktu udowo-panewkowego typu kleszczowego?
Pytanie 8
U 30-letniego sportowca stwierdzono objawy kliniczne konfliktu udowo-panewkowego. Zaproponuj badania diagnostyczne:
Pytanie 9
Mężczyzna w wieku 25 lat, sportowiec, skarży się na bóle w pachwinie promieniujące w stronę krętarza większego. Lekarz badając chorego stwierdził bolesność w pachwinie w czasie wykonywania ruchu zgięcia, przywiedzenia i rotacji wewnętrznej w stawie biodrowym. Co należy podejrzewać?
Pytanie 10
Występującą obustronnie oddzielającą martwicę kostno-chrzęstną stawu kolanowego (osteochondrosis dissecans) należy różnicować z:
Pytanie 11
Wskaż prawidłowe stwierdzenie dotyczące leków określanych mianem „koksyby”:
Pytanie 12
W badaniu histologicznym łąkotki stawu kolanowego obrazy przedstawiają strukturą tkankę:
Pytanie 13
Za typowy dla tkanki chrzęstnej uznawany jest kolagen typu:
Pytanie 14
Właściwe leczenia ropnia Brodiego obejmuje:
Pytanie 15
Najczęstszymi czynnikami etiologicznymi ropnego krwiopochodnego zapalenia stawu u dziecka w wieku od 3 do 13 lat są:
Pytanie 16
Rozpoznanie ostrego krwiopochodnego zapalenia kości jest możliwe na podstawie objawów radiologicznych:
Pytanie 17
Klasyczna sekwestrektomia to operacja polegająca na:
Pytanie 18
Na zespół ogona końskiego kręgosłupa składają się następujące objawy:
Pytanie 19
Która z wymienionych poniżej klasyfikacji nie dotyczy złamań bliższego końca kości udowej?
Pytanie 20
Klasyfikacja Lauge-Hansena dotyczy:
Pytanie 21
Wieloodłamowe złamanie dalszego końca kości piszczelowej u dorosłych, spowodowane siłą działającą na staw skokowy w osi kończyny, nazywane jest złamaniem typu:
Pytanie 22
Złamanie trzonu kości strzałkowej w 1/3 bliższej określane jest mianem złamania:
Pytanie 23
Leczenie przewlekłej, bocznej, objawowej funkcjonalnie niestabilności stawu skokowego u sportowca, powstałej na skutek oderwania więzadeł pobocznych stawu skokowego powinno polegać na:
Pytanie 24
W porażeniach spastycznych zwiększone napięcie wykazują następujące grupy mięśni:
Pytanie 25
Do oceny stopnia spastyczności mięśni stosuje się skalę:
Pytanie 26
Porażenie nerwu pachowego, jako powikłanie przedniego zwichnięcia stawu łopatkowo-ramiennego manifestuje się klinicznie:
Pytanie 27
Po repozycji zwichnięcia głowy kości ramiennej z oderwaniem guzka większego i uzyskaniu anatomicznej repozycji złamanego guzka zalecanym ustawieniem unieruchomionej kończyny jest:
Pytanie 28
Najczęstszym powikłaniem neurologicznym złamania trzonu kości ramiennej jest uszkodzenie nerwu:
Pytanie 29
Za przyczynę wystąpienia zespołu Volkmana po złamaniu nadkłykciowym kości ramiennej należy przyjąć:
Pytanie 30
Wskaż prawdziwe stwierdzenie dotyczące łokcia tenisisty:
Pytanie 31
W przypadku przykurczu pourazowego stawu łokciowego z obecnością skostnień pozaszkieletowych zaleca się:
1) wczesne leczenie operacyjne;
2) stosowanie indometacyny w okresie pooperacyjnym;
3) rozpoczęcie mobilizacji pooperacyjnej łokcia po 2 tygodniach unieruchomienia;
4) możliwie wczesną mobilizację stawu łokciowego po operacji;
5) leczenie operacyjne po upływie co najmniej roku od urazu.
Prawidłowa odpowiedź to:
Pytanie 32
Oceń poprawność poniższych twierdzeń:
1) przemieszczenie powyżej 1 mm w przypadku każdego złamania kości łódeczkowatej stanowi wskazanie do wykonania zespolenia operacyjnego.
2) na zwykłych radiogramach stopień przemieszczenia jest często niedoszacowany, a wykonanie TK (tomografii komputerowej) jest użyteczną dodatkową metodą bardziej dokładnej oceny.
Pytanie 33
Zamknięte nastawienie złamania typu Bennetta wykonuje się przez zapewnienie:
1) wyciągu w osi długiej kciuka;
2) nacisku w osi długiej kciuka;
3) nawróceniu kciuka;
4) odwróceniu kciuka;
5) nacisku skierowanego dłoniowo i łokciowo na podstawę kości śródręcza;
6) nacisku skierowanego dłoniowo i promieniowo na podstawę kości śródręcza.
Prawidłowa odpowiedź to:
Pytanie 34
Siły destabilizujące działające w złamaniu typu Bennetta pochodzą od:
1) mięśnia odwodziciela kciuka długiego;
2) mięśnia zginacza kciuka długiego;
3) mięśnia prostownika kciuka krótkiego;
4) mięśnia prostownika kciuka długiego;
5) mięśnia przywodziciela kciuka.
Prawidłowa odpowiedź to:
Pytanie 35
Zwichnięcie okołoksiężycowate stanowi III stopień niestabilności wg Mayfielda. Najlepszym sposobem leczenia tego rodzaju uszkodzenia jest:
1) zamknięte nastawienie i unieruchomienie w opatrunku gipsowym jako postępowanie ostateczne;
2) w przypadku objawów ucisku nerwu pośrodkowego doraźne zamknięte nastawienie w minimalnym znieczuleniu;
3) ostatecznie zawsze leczenie operacyjne;
4) zamknięte lub operacyjne nastawienie w zależności od preferencji chirurga.
Prawidłowa odpowiedź to:
Pytanie 36
Określenie „nieszczęśliwa triada” w odniesieniu do urazów stawu łokciowego to:
Pytanie 37
W stopniu IV jałowej martwicy głowy kości udowej u dorosłych wg Ficata i Arlet, przy uporczywych dolegliwościach bólowych, leczeniem z wyboru jest/są:
Pytanie 38
Objaw Finkelsteina jest charakterystyczny dla:
Pytanie 39
Leczenie operacyjne kręczu szyi pochodzenia mięśniopochodnego należy przeprowadzić:
Pytanie 40
Rozejście spojenia łonowego podczas porodu o 3 cm wymaga leczenia:
Pytanie 41
Wprowadzony w 1955 roku przez Ingrama podział mózgowego porażenia dziecięcego zawiera pojęcie tetraplegii spastycznej. W praktyce klinicznej oznacza ono:
Pytanie 42
Spastyczność mięśniowa oceniana w oparciu o skalę Ashwortha jako stopień 2 w praktyce klinicznej oznacza:
Pytanie 43
Priorytetami leczenia wrodzonego niedorozwoju bliższego końca kości udowej jest/są:
1) stworzenie warunków zastosowania właściwej protezy kończyny dolnej;
2) zapewnienie prawidłowego zakresu ruchu w obrębie stawu skokowego;
3) aktywacja mięśni w odpowiedzi na bodźce nieswoiste;
4) zabezpieczenie stabilności stawu biodrowego;
5) egalizacja nierówności długości kończyn;
6) zniesienie przykurczeń w obrębie stawu biodrowego i kolanowego.
Prawidłowa odpowiedź to:
Pytanie 44
Załączony radiogram przedstawia stawy biodrowe 5-letniego dziecka z mózgowym porażeniem dziecięcym zaklasyfikowanym jako GMFCS V. Oceniana w oparciu o przedstawione radiogramy niestabilność stawu biodrowego lewego stanowi wskazanie do:

Pytanie 45
Podstawowymi elementami zniekształcenia wrodzonej stopy końsko-szpotawej stwierdzanymi bezpośrednio po urodzeniu dziecka są:
1) ustawienie końskie stopy;
2) odwrócenie (szpotawość);
3) ustawienie stopy na zewnątrz w płaszczyźnie podłoża;
4) ustawienie stopy do wewnątrz w płaszczyźnie podłoża;
5) odwiedzenie przodostopia;
6) pronacja przodostopia;
7) ewersja stopy;
8) przywiedzenie i szpotawość przodostopia względem stępu.
Prawidłowa odpowiedź to:
Pytanie 46
14-letni chłopiec z mózgowym porażeniem dziecięcym w większości okoliczności przemieszcza się za pomocą wózka ręcznego z regulacją pozycji tułowia i obręczy kończyn dolnych; na dłuższych dystansach korzysta z wózka z napędem elektrycznym; potrafi przemieszczać się obciążając kończyny dolne lecz jedynie z pomocą jednej lub dwóch osób. Jego stan funkcjonalny określa stopień funkcjonalny GMFCS:
Pytanie 47
Deformację płasko-koślawą stopy tzw. wiotkiej od deformacji stopy określonej jako płasko-koślawa statyczna różnicuje:
Pytanie 48
18-letnia chora z uogólnioną wiotkością wielostawową, arachnodaktylią i skoliozą piersiową zgłosiła się z powodu pojawiających się objawów nawykowego zwichnięcia obu rzepek. W wywiadzie stwierdzono jednokrotne złamanie kości piszczelowej po urazie w okresie wczesnego dzieciństwa. U ww. chorej podejrzewać należy:
Pytanie 49
Optymalnym czasem rozpoczęcia leczenia operacyjnego dziecka z palcozrostem prostym częściowym jest:
Pytanie 50
Ile powinno wynosić ciśnienie w opasce uciskowej zakładanej podczas operacji w obrębie kończyny górnej?
Pytanie 51
Jaka jest przyjęta granica czasowa możliwości wykonania replantacji kończyny zawierającej mięśnie przechowywanej w temperaturze 2-4°C?
Pytanie 52
Co nie jest objawem uszkodzenia nerwu promieniowego na poziomie ½ ramienia?
Pytanie 53
Wspólne cechy skoliozy funkcjonalnej i skoliozy idiopatycznej to:
Pytanie 54
W diagnostyce zespołu cieśni nadgarstka stwierdzisz:
1) dodatni objaw Drehmanna;
2) dodatni objaw Tinela;
3) dodatni objaw Phalena;
4) zanik mięśni kłębu, mrowienie palca V i połowy palca IV;
5) mrowienie palców I - III i połowy palca IV.
Prawidłowa odpowiedź to:
Pytanie 55
W 16% zwichnięć stawu biodrowego dochodzi do złamań głowy kości udowej. Uzupełnij poniższe zdanie: Ponieważ najczęstszym zwichnięciem stawu biodrowego jest zwichnięcie ...(a)…, typową lokalizacją towarzyszącego mu złamania jest ……(b)….. część głowy kości udowej.
Pytanie 56
W zwichnięciu tylnym stawu ramiennego kończyna górna jest ustawiona w charakterystycznej pozycji przymusowej, tj.:
Pytanie 57
Do zwichnięcia w stawie Lisfranca dochodzi przy upadku z wysokości na zgiętą podeszwowo stopę. Działające na stopę duże siły powodują zgięcie w stawach stępowo-śródstopnych w kierunku podeszwowym. Dochodzi wówczas do przemieszczenia kości śródstopia w kierunku:
Pytanie 58
Do zalet nowoczesnego systemu komputerowego przedoperacyjnego planowania endoprotezoplastyki stawu kolanowego Signature należą:
Pytanie 59
Do przyczyn wtórnych zmian zwyrodnieniowych stawów nie zaliczamy:
Pytanie 60
Które ze zdań dotyczących patogenezy choroby zwyrodnieniowej stawów jest prawdziwe?
1) etiopatogeneza choroby zwyrodnieniowej stawów ma charakter zapalny z obrzękiem i przekrwieniem chrząstki stawowej;
2) etiologia choroby zwyrodnieniowej jest niezapalna, jednak w patogenezie biorą udział mediatory prozapalne;
3) w patogenezie choroby zwyrodnieniowej stawów udział biorą mediatory takie jak kalmodulina, interferon, białko C-reaktywne;
4) w patogenezie udział biorą cytokiny, metaloproteinazy i prostaglandyny;
5) czynniki wzrostu takie jak TGF-beta, bFGF, IGF-1 stymulują regenerację chrząstki stawowej.
Prawidłowa odpowiedź to:
Pytanie 61
Pacjent lat 46 zgłasza stałe dolegliwości bólowe stawu kolanowego, nasilające się po dłuższym chodzeniu. Brak chorób towarzyszących, BMI 28. W badaniu klinicznym bolesność ograniczona do przedziału przyśrodkowego, istotne szpotawe zagięcie osi kolana. W RTG szpotawość 15°, zwężenie szpary stawowej przyśrodkowej (II° wg Kellgren-Lawrence). Leczeniem operacyjnym z wyboru jest:
Pytanie 62
Najwcześniej rozpoznanie jałowej martwicy głowy kości udowej postawimy na podstawie wyniku badania:
Pytanie 63
Guzami pierwotnymi kości mającymi punkt wyjścia w nasadzie kości długiej są:
Pytanie 64
Wskaż prawdziwe stwierdzenia dotyczące osadzenia komponentu panewkowego pierwotnej endoprotezy stawu biodrowego:
1) u młodych, aktywnych pacjentów korzystne jest bardziej pionowe ustawienie panewki ze względu na wynikający z tego większy zakres ruchomości;
2) niezależnie od wieku i stopnia aktywności pacjentów kąt inklinacji powinien wynosić około 45°;
3) dopuszczalne jest niewielkie wystawanie brzegu panewki spod stropu panewki dla uzyskania korzystnej inklinacji;
4) ze względu na przenoszenie obciążeń cała górna część komponentu panewkowego musi znajdować się pod stropem niezależnie od wynikającej z tego inklinacji;
5) przy ubytkach stropu panewki wysokie ustawienie panewki jest korzystne biomechanicznie.
Prawidłowa odpowiedź to:
Pytanie 65
Prawidłowym postępowaniem w przypadku mięsaka chrzęstnego przynasady dalszej kości udowej bez przekroczenia warstwy korowej jest:
Pytanie 66
U każdej chorej z niskoenergetycznym złamaniem Collesa niezależnie od leczenia złamania należy bezzwłocznie:
1) wdrożyć prewencję upadków;
2) przeprowadzić diagnostykę różnicową;
3) poinformować o ryzyku kolejnych złamań;
4) rozpoznać osteoporozę i wdrożyć adekwatne leczenie;
5) wykonać badanie densytometryczne DXA drugiego przedramienia.
Prawidłowa odpowiedź to:
Pytanie 67
Które ze stwierdzeń jest prawdziwe?
Pytanie 68
Typową cechą osteomalacji jest:
Pytanie 69
Każdy chory ze złamaniem niskoenergetycznym powinien:
1) być operowany;
2) otrzymać suplementację wapniem i witaminą D;
3) być objęty programem prewencji upadków;
4) otrzymać lek antyresorpcyjny.
Prawidłowa odpowiedź to:
Pytanie 70
Które z poniższych stwierdzeń są prawdziwe?
1) kompleksowy zespół bólu regionalnego (zespół Sudecka) jest najczęściej skutkiem zbyt długiego unieruchomienia w opatrunku gipsowym;
2) odruchowa dystrofia współczulna występuje najczęściej po złamaniach Collesa;
3) w leczeniu odruchowej dystrofii współczulnej istotna jest rehabilitacja, leczenie przeciwobrzękowe i przeciwzapalne;
4) odruchowa dystrofia współczulna wymaga leczenia antyresorpcyjnego ze względu na plamisty zanik kości.
Prawidłowa odpowiedź to:
Pytanie 71
Celem leczenia kompleksowego zespołu bólu regionalnego (Zespołu Sudecka) jest:
Pytanie 72
Podstawowymi badaniami wykonywanymi podczas diagnostyki choroby Pageta kości są:
Pytanie 73
Leczenie dysplazji włóknistej obejmuje:
Pytanie 74
Chłopiec 12-letni zgłasza się do poradni ortopedii dziecięcej z powodu dolegliwości bólowych kończyn dolnych. W badaniu stwierdza się opóźnienie wzrostu, ograniczenie zakresu ruchu bioder i kolan, zaburzenia chodu, przykurcze zgięciowe kolan i łokci, skrócenie palców rąk i stóp. W badaniach obrazowych szpotawa deformacja bioder i kolan, opóźnione kostnienie nasad, wczesne zmiany zwyrodnieniowe w stawach biodrowych. Prawdopodobne rozpoznanie to:
Pytanie 75
Wskaż stwierdzenie prawdziwe dotyczące złamań awulsyjnych wyniosłości międzykłykciowej u dzieci:
Pytanie 76
Wskaż prawdziwe stwierdzenie dotyczące „złamania snowboardzisty”:
Pytanie 77
Wskaż prawdziwe stwierdzenie dotyczące braku zrostu po stabilizacji złamania trzonu kości udowej gwoździem śródszpikowym:
Pytanie 78
Matka zgłasza się do poradni ortopedycznej z chłopcem w 5. roku życia, który ostatnio zaczął chodzić na palcach obu stóp; dziecko nie zgłasza bólu, w badaniu klinicznym stwierdza się nieznaczne cechy przerostu obu łydek i niewielkie osłabienie mięśni uda. U ojca dziecka (nieżyjący) stwierdzono chorobę neurologiczną, lecz nie jest dostępna dokumentacja. W diagnostyce różnicowej należy brać pod uwagę przede wszystkim:
Pytanie 79
Wskaż prawdziwe stwierdzenie dotyczące kostniaka zarodkowego (osteoblastoma):
Pytanie 80
Spastyczność:
Pytanie 81
Guz Ewinga:
Pytanie 82
Kostniak kostninowy (kostnawy) jest:
Pytanie 83
Wskaż błędne sformułowanie:
Pytanie 84
Skostnienia okołostawowe występują najczęściej:
Pytanie 85
Badanie scyntygrafii trójfazowej kośćca zastosowane w wykrywaniu przerzutów:
Pytanie 86
W podejmowaniu decyzji o optymalnym czasie do przeprowadzenia leczenia operacyjnego skostnień okołostawowych powinniśmy kierować się:
Pytanie 87
Chrzęstniak zarodkowy (chondroblastoma benignum) występuje w:
1) dalszej nasadzie kości udowej;
2) bliższej nasadzie kości piszczelowej;
3) bliższej nasadzie kości ramiennej;
4) bliższej nasadzie kości udowej;
5) dalszej nasadzie kości ramiennej.
Prawidłowa odpowiedź to:
Pytanie 88
Zmiany w stawie ramienno-łopatkowym charakterystyczne dla syringomielii polegają na:
1) jałowej martwicy głowy kości ramiennej;
2) zmianach artopatycznych końców stawowych;
3) niestabilności stawu;
4) rozmiękaniu stawowej chrząstki szklistej;
5) zapaleniu stawu.
Prawidłowa odpowiedź to:
Pytanie 89
Typ IIIb według ultrasonograficznej klasyfikacji stawów biodrowych świadczy o:
Pytanie 90
Do pierwszego szeregu kości nadgarstka (kość łódeczkowata, księżycowata, trójgraniasta) przyczepiają się ścięgna następujących mięśni:
1) extensor carpi radialis longus (ECRL); 3) flexor carpi radialis (FCR);
2) extensor carpi ulnaris (ECU); 4) flexor carpi ulnaris (FCU).
Prawidłowa odpowiedź to:
Pytanie 91
Okołoporodowe, typowe złamanie trzonu obojczyka:
Pytanie 92
Przemieszczone złamanie trzonów kości przedramienia, jedno z najczęstszych złamań dziecięcych powinno być u dziecka
8-letniego:
Pytanie 93
Awulsyjne oderwania kolców biodrowych i guza kulszowego w obrębie miednicy:
Pytanie 94
Zespolenie śródszpikowe w leczeniu złamań trzonów kości przedramienia u dzieci polega na:
Pytanie 95
Urazowe zwichnięcie biodra u kilkuletniego dziecka:
Pytanie 96
Złamanie trzonu kości udowej u noworodka:
Pytanie 97
Repozycji złamania trzonów kości przedramienia typu „zielonej gałązki” u 4 letniego dziecka:
Pytanie 98
Spośród ogólnych zasad leczenia urazów narządu ruchu u dzieci prawdziwe jest:
Pytanie 99
U 11-letniej dziewczynki stwierdzono boczne skrzywienie kręgosłupa w odcinku piersiowym wynoszące 44°. Dwa lata wcześniej podczas kontroli ortopedycznej w szkole nie stwierdzono u niej żadnych odchyleń w zakresie kręgosłupa. Dziewczynka nie miesiączkuje, a jej test Rissera oceniono na 1. Leczenie powinno obejmować:
Pytanie 100
Przedstawiony ultrasonogram stawu biodrowego noworodka przedstawia następujący typ rozwojowy wg klasyfikacji Grafa:

Pytanie 101
Wykonywanie ultrasonografii stawu biodrowego w celu diagnostyki rozwojowej dysplazji stawu biodrowego powyżej 12 miesiąca życia dziecka nie jest wskazane ze względu na:
Pytanie 102
W diagnostyce ultrasonograficznej stawu biodrowego wg techniki Grafa obowiązują pewne zasady badania, które obejmują:
1) badanie dziecka w pozycjach standardowych w ułożeniu na plecach;
2) badanie dziecka w pozycjach standardowych w ułożeniu na boku;
3) używanie do badania wyłącznie sondy liniowej;
4) używanie do badania wyłącznie sondy sektorowej;
5) stosowanie sondy minimum 7,5 MHz u dzieci poniżej 3 miesiąca życia.
Prawidłowa odpowiedź to:
Pytanie 103
Nieleczone podwichnięcie stawu biodrowego w przebiegu rozwojowej dysplazji stawu biodrowego jest najczęstszą przyczyną:
Pytanie 104
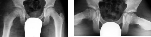
Dziecko w wieku 5 lat i 9 miesięcy zgłosiło się do ortopedy z powodu dolegliwości bólowych lewego stawu kolanowego i okresowych dolegliwości bólowych lewego stawu biodrowego. W badaniu klinicznym stwierdzono niewielkie ograniczenie ruchów odwodzenia w stawie biodrowym i rotacji do wewnątrz. Podczas chodzenia dziecko wyraźnie utyka na kończynę dolną lewą. Objaw Trendelenburga jest dodatni. Wykonany w dniu badania radiogram stawów biodrowych zamieszczony jest poniżej. Obraz kliniczny i radiologiczny przemawia za:

Pytanie 105
W przebiegu choroby Legg-Calve-Perthesa zmiany martwicze w stawach biodrowych zaliczanych do I grupy wg Catteralla są zlokalizowane w:
Pytanie 106
Przedstawione radiogramy stawów biodrowych w projekcji AP i osiowej (Lauensteina) 13 letniego chłopca, skarżącego się na narastający ból stawu biodrowego i kolanowego przedstawiają:

Pytanie 107
W wieloletnich obserwacjach pacjentów po endoprotezoplastyce biodra zauważa się zjawisko nazywane z języka angielskiego stress shielding, polegające na redystrybucji sił nacisku działających na kość udową po zaimplantowaniu w niej trzpienia. Wskaż zdania prawdziwe opisujące to zjawisko:
1) jest to zjawisko korzystne związane z prawem Delpecha-Wolffa;
2) jest to zjawisko niekorzystne doprowadzające do osteopenii i atrofii kości w odcinku proksymalnym uda;
3) nacisk na odcinku proksymalnym uda jest zmniejszony, ponieważ siły przenoszone są przez trzpień (z ang. by-pass);
4) zmniejszenie ww. zjawiska występuje w przypadku trzpieni stożkowych, zwężanych;
5) nasilenie ww. zjawiska występuje szczególnie w protezach wykonanych ze stopów tytanowych.
Prawidłowa odpowiedź to:
Pytanie 108
Jednym z powikłań zabiegu endoprotezoplastyki stawu ramiennego może być niestabilność. Wskaż, który z niżej wymienionych czynników nie wpływa na obecność niestabilności przedniej:
Pytanie 109
Która z niżej podanych metod nie jest metodą stosowaną do nastawienia tylnego zwichnięcia stawu biodrowego?
Pytanie 110
Złamaniem Jonesa określamy złamanie podstawy V kości śródstopia w okolicy dystalnej, około 1,5 cm od guzowatości. Które z niżej wymienionych zdań jest fałszywe?
Pytanie 111
Złamania półksiężycowate kości krzyżowej lub zwichnięcia stawu krzyżowo-biodrowego leczy się operacyjnie przy pomocy 2 śrub biodrowo-krzyżowych. Trudnością zabiegu jest prawidłowo pozycjonowanie śrub, które ma zapobiec najczęstszym powikłaniom. Zachowanie której z niżej przedstawionych zasad pozwala na pewność, że umieszczenie śrub biodrowo-krzyżowych jest prawidłowe:
Pytanie 112
W pytaniu poprzednim (nr 111) przedstawiono problem pozycjonowania śrub biodrowo-krzyżowych. Które z niżej przedstawionych ważnych struktur najczęściej może ulec uszkodzeniu w wyniku błędnego umiejscowienia śruby lub drutu kierunkowego?
Pytanie 113
Metodą oceniającą złamanie panewki miednicy, mającą za zadanie oszacowanie czy złamanie dotyczy obciążanej, górnej powierzchni stawowej, jest wyznaczanie kąta łuku stropu (z ang. roof arc angle) na zdjęciach radiologicznych. Które ze stwierdzeń niżej podanych są prawdziwe?
1) kąt ocenia się w projekcji A-P oraz projekcjach skośnych (biodrowej i zasłonowej);
2) kąt ocenia się tylko na projekcjach skośnych (biodrowej i zasłonowej);
3) aby prawidłowo ocenić szczelinę należy zastosować wyciąg w osi kończyny;
4) o złamaniu obciążanej powierzchni świadczy fakt, że szczelina złamania wnika w obręb stawu pod kątem mniejszym niż 45° na którejkolwiek z projekcji;
5) o złamaniu obciążanej powierzchni świadczy fakt, że szczelina złamania wnika w obręb stawu pod kątem mniejszym niż 45°, gdy jest widoczny na każdej z projekcji;
6) metoda kątów nie może być użyta w przypadku złamania dwóch kolumn lub złamaniach ściany tylnej.
Prawidłowa odpowiedź to:
Pytanie 114
Które ze zdań niżej wymienionych dotyczących złamania szyjki kości udowej jest prawdziwe?
Pytanie 115
Pojęcie trybu natychmiastowego zaopatrzenia obrażenia odnosi się do sytuacji, w których dochodzi do takiego uszkodzenia narządu ruchu, które musi być zaopatrzone w ramach bloku operacyjnego w czasie do 1-2 godzin od urazu. W przypadku którego z niżej podanych obrażeń narządu ruchu możemy zwlekać z zabiegiem operacyjnym do maksymalnie kilku - kilkunastu godzin od zaistnienia urazu?
Pytanie 116
Do poradni ortopedycznej przyprowadzone zostało 8-letnie dziecko z płaskostopiem stwierdzonym podczas rutynowego badania w szkole. W poradni ortopedycznej stwierdzono stopy płasko-koślawe obustronne, a podczas stawania na palcach szpotawe ustawienie pięty i pojawienie się podłużnego i poprzecznego sklepienia stopy, brak ograniczenia zgięcia podeszwowego i grzbietowego. Dziecko nie podaje żadnych dolegliwości bólowych, jest aktywne na zajęciach sportowych. Najwłaściwszym postępowaniem będzie:
Pytanie 117
Mechanizm upadku na rękę zgiętą grzbietowo może powodować bezpośrednie uszkodzenia bliższego szeregu nadgarstka. Jednym z częstszych uszkodzeń tego typu jest niestabilność łódeczkowato-księżycowata. Które z niżej wymienionych cech radiologicznych zdjęcia nadgarstka są charakterystyczne dla uszkodzenia stawu łódeczkowo-księżycowatego?
1) szczelina stawu łódeczkowo-księżycowatego powyżej 3mm widoczna na zdjęciu AP;
2) złamana kość łódeczkowata;
3) zmniejszona wartość kąta łódeczkowo-księżycowatego na zdjęciu bocznym;
4) zmniejszona wartość kąta łódeczkowo-księżycowatego na zdjęciu AP;
5) zwiększona wartość kąta łódeczkowo-księżycowatego na zdjęciu AP.
Prawidłowa odpowiedź to:
Pytanie 118
Które ze zdań dotyczących uszkodzenia zwanego z jęz. angielskiego jersey finger są prawdziwe?
1) obrażenie to dotyczy okolicy podstawy paliczka dystalnego palca ręki;
2) obrażenie powstaje w wyniku forsownego zgięcia palców przeciwko działaniu siły prostującej;
3) gdy obrażeniu towarzyszy złamanie awulsyjne, to występuje ono od strony grzbietowej paliczka;
4) obraz kliniczny to brak czynnego zgięcia paliczka dystalnego z równoczesną deformacją młoteczkowatą palca;
5) obrażenie to można leczyć zarówno operacyjnie, jak i zachowawczo w szynie Stacka.
Prawidłowa odpowiedź to:
Pytanie 119
Do poradni ortopedycznej zgłasza się matka z 2-letnim synem zaniepokojona faktem, że dziecko chodzi „rotując stopy do środka”. Poza tym chód dziecka prawidłowy (stosownie do wieku), bez obciążenia chorobami nerwowo-mięśniowymi. W badaniu zauważono brak „zezowania rzepek” i nadmiernej rotacji wewnętrznej stawu biodrowego, szpotawość obu kolan między 0-5 stopni oraz rotację wewnętrzną stóp związaną z rotacją piszczeli około 10 stopni. Prawidłowe postępowanie w tym przypadku to:
Pytanie 120



