Wyszukaj egzamin lub pytanie
Egzamin PES Ortopedia i traumatologia narządu ruchu / wiosna 2005
120 pytań
Pytanie 1
W badaniu ultrasonograficznym stawu biodrowego noworodka, określenie typu rozwojowego IV wg klasyfikacji Grafa oznacza:
Pytanie 2
Wykonywanie ultrasonografii stawu biodrowego w celu diagnostyki rozwojowej dysplazji stawu biodrowego powyżej 12 miesiąca życia dziecka nie jest wskazane ze względu na:
Pytanie 3
W diagnostyce ultrasonograficznej stawu biodrowego wg techniki Grafa obowiązują pewne zasady badania, które obejmują:
1) badanie dziecka w pozycjach standardowych w ułożeniu na plecach;
2) badanie dziecka w pozycjach standardowych w ułożeniu na boku;
3) używanie do badania wyłącznie sondy liniowej;
4) używanie do badania wyłącznie sondy sektorowej;
5) stosowanie sondy minimum 7,5 MHz u dzieci poniżej 3 miesiąca życia.
Prawidłowa odpowiedź to:
Pytanie 4
Najczęstszymi przyczynami uniemożliwiającymi repozycję zachowawczą stawu biodrowego w przebiegu rozwojowej dysplazji stawu biodrowego są :
1) więzadło poprzeczne panewki;
2) zawinięty obrąbek stawowy;
3) zwiększony kąt szyjkowo-trzonowy kości udowej;
4) ścięgno mięśnia iliopsoas;
5) zmniejszony kąt antetorsji kości udowej.
Prawidłowa odpowiedź to:
Pytanie 5
Radiologicznym objawem rozwojowej dysplazji stawu biodrowego ze zwichnięciem jest :
1) zwiększony kąt szyjkowo-trzonowy kości udowej;
2) zmniejszony kąt szyjkowo-trzonowy kości udowej;
3) hypotrofia jądra kostnienia głowy kości udowej;
4) zmniejszony do 15º kąt pochylenia panewki (acetabular index);
5) przemieszczenie bliższego końca kości udowej ku górze i na zewnątrz w stosunku do panewki.
Prawidłowa odpowiedź to:
Pytanie 6
Wskazaniem do leczenia operacyjnego w przypadku szpotawego biodra dziecięcego jest:
1) utykanie spowodowane niewydolnością mięśnia pośladkowego średniego;
2) zwiększony kąt antetorsji szyjki kości udowej;
3) kąt szyjkowo-trzonowy o wartości poniżej 105º;
4) postępująca martwica głowy kości udowej;
5) widoczny radiologicznie ubytek w obrębie dolnej części szyjki kości udowej.
Prawidłowa odpowiedź to:
Pytanie 7
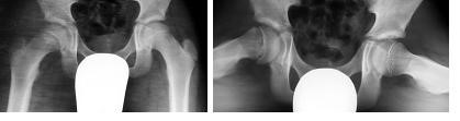
Dziecko w wieku 5 lat i 9 miesięcy zgłosiło się do ortopedy z powodu dolegliwości bólowych lewego stawu kolanowego i okresowych dolegliwości bólowych lewego stawu biodrowego. W badaniu klinicznym stwierdzono niewielkie ograniczenie ruchów odwodzenia w stawie biodrowym i rotacji do wewnątrz. Podczas chodzenia dziecko wyraźnie utyka na kończynę dolną lewą. Objaw Trendelenburga jest dodatni. Wykonany w dniu badania radiogram stawów biodrowych zamieszczony jest poniżej. Obraz kliniczny i radiologiczny przemawia za:

Pytanie 8
W przebiegu choroby Legg-Calve-Perthesa zmiany martwicze w stawach biodrowych zaliczanych do I grupy wg Catteralla są zlokalizowane w:
Pytanie 9
Rokowanie w chorobie Legg-Calve-Perthesa jest zależne od następujących czynników:
1) zakresu ruchów w stawie biodrowym;
2) wielkości skrócenia kończyny;
3) wieku dziecka, w którym rozpoznano chorobę;
4) stopnia deformacji w zakresie bliższego końca kości udowej;
5) obecności wysięku w stawie biodrowym.
Prawidłowa odpowiedź to:
Pytanie 10
Obszar złamania podchrzęstnego w nasadzie głowy kości udowej w przebiegu choroby Legg-Calve-Perthesa jest podstawą do klasyfikacji wg:
Pytanie 11
Dodatni objaw Trendelenburga jest:
1) charakterystyczny dla dysplazji stawu biodrowego ze zwichnięciem u dzieci chodzących;
2) charakterystyczny dla choroby Legg-Calve-Perthesa;
3) związany z niewydolnością mięśnia pośladkowego wielkiego;
4) związany z niewydolnością mięśnia pośladkowego średniego;
5) związany z niewydolnością mięśnia biodrowo-lędźwiowego.
Prawidłowa odpowiedź to:
Pytanie 12
Przy zwichnięciu przednim stawu ramiennego najmniej traumatyczną metodą nastawienia jest:
Pytanie 13
Przedstawione radiogramy stawów biodrowych w projekcji AP i osiowej (Lauensteina) 13 letniego pacjenta, skarżącego się na narastający ból stawu biodrowego i kolanowego przedstawiają:

Pytanie 14
Po zwiększonej aktywności na lekcji WF, 13-to letni pacjent zaczął utykać na kończynę dolną lewą i zgłasza dolegliwości bólowe stawu kolanowego lewego oraz okresowe dolegliwości lewego biodra. W badaniu klinicznym stwierdza się niewielkiego stopnia bólowe ograniczenie ruchów w stawie biodrowym z objawem Drehmana. Przed 2 dniami dziecko miało wykonano radiogram stawów biodrowych w projekcji AP (patrz poniżej), na którym pediatra rodzinny nie dopatrzył się zmian, zalecając odciążenie kończyny i leki przeciwbólowe. W celu ustalenia ostatecznego rozpoznania koniecznym jest wykonanie:

Pytanie 15
U 4-letniego dziecka rozpoznano chorobę Perthesa z martwicą głowy kości udowej obejmującą jej 25% obszaru. Badanie kliniczne wykazało brak ograniczeń ruchów w stawie biodrowym w porównaniu z biodrem przeciwnym. Po zastosowaniu fizykoterapii uzyskano bezbolesny pełen zakres ruchów w stawie biodrowym. Obecnie lekarz powinien zastosować:
Pytanie 16
Porażenie nerwu pachowego manifestuje się:
Pytanie 17
Morfologia czteroodłamowego złamania głowy k.ramiennej wykazuje najsilniejszy związek z:
Pytanie 18
Po anatomicznej repozycji zwichnięcia głowy k. ramiennej z oderwaniem guzka większego najlepszym ustawieniem kończyny do unieruchomienia jest:
Pytanie 19
W złamaniu trzonu kości ramiennej najczęstszym powikłaniem nerwowym jest uszkodzenie nerwu:
Pytanie 20
Przyczyną zespołu Volkmanna przy złamaniu nadkłykciowym kości ramiennej może być:
Pytanie 21
Złamanie Monteggia to:
Pytanie 22
Złamanie Galeazziego to:
Pytanie 23
Złamanie Essex-Lopriestiego to:
Pytanie 24
Złamanie Collesa charakteryzuje się przemieszczeniem odłamu obwodowego:
Pytanie 25
Złamanie Smitha charakteryzuje się przemieszczeniem odłamu obwodowego:
Pytanie 26
Złamanie Bartona opisują następujące cechy:
1) śródstawowe; 2) niestabilne; 3) zmęczeniowe.
Prawidłowa odpowiedź to:
Pytanie 27
Powikłanie neurologiczne wygojonych złamań Collesa to najczęściej:
Pytanie 28
Zwichnięcie barkowo-obojczykowe najsilniej związane jest z:
Pytanie 29
Najczęściej spotykane zwichnięcie podkrucze stawu ramiennego jest spowodowane upadkiem na:
Pytanie 30
W złamaniach poniżej przyczepu mięśnia nawrotnego obłego odłam bliższy ustawia się w:
Pytanie 31
W zwichnięciu przednim stawu ramiennego najczęściej rozerwaniu ulega ścięgno mięśnia:
Pytanie 32
Stosując dojście boczne do nerwu promieniowego w 1/3 dalszej ramienia nerw należy zidentyfikować pomiędzy mięśniami:
Pytanie 33
W zwichnięciu przednim głowa kości ramiennej nie przemieszcza się:
Pytanie 34
Złamanie nadkłykcia przyśrodkowego najczęściej występuje u dorosłych i nadkłykieć czasem przemieszcza się do stawu łokciowego.
Pytanie 35
Nadkłykieć boczny przyrasta do kości ramiennej w 20 r.ż i złamania nadkłykcia bocznego dotyczą przeważnie dzieci.
Pytanie 36
Test Allena służy do:
Pytanie 37
Ocena siły mięśniowej jako M2 w skali Lovetta oznacza:
Pytanie 38
Powszechnie stosowany w pokrywaniu ubytków skóry kończyny górnej płat pachwinowy oparty jest na tętnicy:
Pytanie 39
W zależności od kierunku przemieszczenia, zwichnięcia stawu biodrowego można podzielić na:
1) biodrowe; 2) łonowe; 3) kulszowe; 4) kroczowe; 5) zasłonowe.
Do zwichnięć przednich zaliczamy:
Pytanie 40
Do wczesnych powikłań zwichnięcia stawu biodrowego nie należy:
Pytanie 41
Na izbę przyjęć został przewieziony pacjent po urazie prawej kończyny dolnej. Pacjent sygnalizuje dolegliwości bólowe okolicy biodra. Ze względu na zmiany demencyjne nie można zebrać obiektywnego wywiadu dotyczącego mechanizmu urazu, W badaniu klinicznym stwierdzono: skrócenie kończyny, zgięcie, przywiedzenie i rotację wewnętrzną w stawie biodrowym, znaczne ograniczenie ruchomości kończyny w stawie biodrowym. Na podstawie badania fizykalnego najbardziej prawdopodobne wydaje się być następujące rozpoznanie:
Pytanie 42
Wybierz prawdziwe stwierdzenia dotyczące tylnego zwichnięcia stawu biodrowego:
1) występuje rzadziej niż zwichnięcie przednie;
2) często jest następstwem wypadku komunikacyjnego tzw. „uraz typu deski rozdzielczej”;
3) często towarzyszy mu złamanie tylnej krawędzi panewki;
4) kończyna ustawia się w zgięciu, przywiedzeniu i rotacji zewnętrznej;
5) często opisywanym powikłaniem jest uszkodzenie nerwu kulszowego.
Prawidłowa odpowiedź to:
Pytanie 43
W klasyfikacji złamań bliższego końca kości udowej nie stosujemy klasyfikacji:
Pytanie 44
Leczenie operacyjne złamania szyjki kości udowej za pomocą endoprotezoplastyki połowiczej sposobem Austin-Moora stosuje się u pacjentów w wieku:
Pytanie 45
Zespolenie stabilne (masywne) złamania szyjki kości udowej:
1) polega na zespoleniu odłamów wiązką drutów Kirschnera;
2) jest obarczone większym ryzykiem jałowej martwicy głowy kości udowej niż zespolenie minimalne;
3) jest preferowane u pacjentów powyżej 65 r.ż.;
4) jest preferowane u pacjentów ze złamaniem szyjki na tle nowotworowym;
5) umożliwia wczesne podjęcie usprawniania ruchowego pacjenta.
Prawidłowa odpowiedź to:
Pytanie 46
Leczenie zachowawcze urazowego złamania szyjki kości udowej u dorosłych:
Pytanie 47
Leczenie operacyjne złamania trzonu kości udowej za pomocą ryglowanego gwoździa śródszpikowego wprowadzanego metodą „na zamknięto” w porównaniu do zespolenia płytą i śrubami:
1) daje lepszą kontrolę nad ustawieniem odłamów;
2) jest obarczone mniejszym ryzykiem powikłań infekcyjnych;
3) w większym stopniu upośledza ukrwienie odłamów;
4) wiąże się z mniejszą śródoperacyjną utratą krwi.
Prawidłowa odpowiedź to:
Pytanie 48
Klasyfikacja Lauge-Hansena jest wykorzystywana do oceny:
Pytanie 49
Poniżej wymieniono klasyfikacje mające zastosowanie w traumatologii narządu ruchu:
1) Lauge-Hansena; 2) Neera; 3) Danisa-Webera; 4) AO; 5) Evansa.
Spośród wymienionych klasyfikacji do oceny urazów okolicy stawu skokowego używamy:
Pytanie 50
Złamanie typu Tillaux to:
Pytanie 51
Wieloodłamowe „wybuchowe” złamanie kostek podudzia u dorosłych, spowodowane siłą działającą na staw skokowy w osi kończyny nosi nazwę złamania:
Pytanie 52
Złamanie trzonu strzałki w 1/3 bliższej to inaczej złamanie:
Pytanie 53
Na Izbę Przyjęć przewieziono pacjenta ze złamaniem otwartym lewego podudzia (po upadku z konia). W badaniu klinicznym widoczna rana tłuczona podudzia długości ok. 4,5cm, w dnie rany widoczne fragmenty kości. Kończyna chłodna, tętno na t. grzbietowej stopy i t. piszczelowej tylnej niewyczuwalne. Biorąc pod uwagę obraz kliniczny rozpoznajesz złamanie otwarte, które klasyfikujesz wg Gustilo-Andersona jako typ:
Pytanie 54
Leczenie przewlekłej niestabilności stawu skokowego powstałej na skutek oderwania więzadeł pobocznych kostki bocznej polega na:
Pytanie 55
Do oceny uszkodzenia więzozrostu piszczelowo-strzałkowego można wykorzystać zdjęcie rtg celowane, które wykonuje się w pozycji zbliżonej do rtg stawu skokowego AP, ale przy stopie zrotowanej:
Pytanie 56
W ocenie urazów kości piętowej na zdjęciu rtg pomocne jest wyznaczenie kąta:
Pytanie 57
Leczenie zachowawcze złamań stawowych kości piętowej obejmuje nastawienie złamania oraz unieruchomienie w opatrunku gipsowym przeciętnie przez okres:
Pytanie 58
Poniżej podano szereg stwierdzeń dotyczących złamań kości śródstopia:
1) najczęściej powstają z urazu bezpośredniego;
2) zwykle dotyczą szyjek kości śródstopia;
3) wymagają zwykle leczenia operacyjnego;
4) zrost w nieprawidłowym położeniu powoduje dolegliwości bólowe stopy przy chodzeniu.
Prawidłowa odpowiedź to:
Pytanie 59
Nadwichnięcia i chwilowe zwichnięcia stawów międzykręgowych można rozpoznać radiologicznie na postawie:
Pytanie 60
Tylne usztywnienie kręgosłupa zgodnie z techniką Ramadiera-Bombarta uwzględnia przeprowadzenie pętli drutu:
1) nad łukiem zwichniętego kręgu i zapętlenie drutu za wyrostek kręgu leżącego powyżej;
2) pod łukiem zwichniętego kręgu i zapętlenie drutu za wyrostek kręgu leżącego poniżej;
3) przez więzadło międzykolcowe nad wyrostkiem kolczystym kręgu wyższego od zwichniętego, a następnie ósemkami przez przestrzenie międzywyrostkowe pozostałych 3 kręgów;
4) przez więzadło międzykolcowe nad wyrostkiem kolczystym kręgu niższego od zwichniętego, a nastepnie ósemkami przez przestrzenie międzywyrostkowe pozostałych 3 kręgów;
5) przez więzadło międzykolcowe nad wyrostkiem kolczystym kręgu niższego od zwichniętego, a nastepnie ósemkami przez przestrzenie międzywyrostkowe pozostałych 2 kręgów.
Prawidłowa odpowiedź to:
Pytanie 61
Złamania niestabilne kręgosłupa powstają z mechanizmu:
1) zgięciowego; 4) zgięciowo-skrętnego;
2) kompresyjnego; 5) wyprostnego.
3) wyprostno-skrętnego;
Prawidłowa odpowiedź to:
Pytanie 62
Wykonując przednie usztywnienie kręgosłupa szyjnego:
1) cięcie skórne wykonuje się poprzecznie w fałdzie skóry;
2) cięcie skórne wykonuje się skośnie 1-2cm ku przodowi od obrysu mięśnia mostkowo-obojczykowo-sutkowego;
3) w krążek uszkodzony wprowadza się igłę;
4) w krążek najbliższy uszkodzonego wprowadza się igłę;
5) po wbiciu przeszczepu w górną część łożyska bardzo ostrożnie wbija się go w część dolną;
6) po wbiciu przeszczepu w dolną część łożyska bardzo ostrożnie wbija się go w część górną.
Prawidłowa odpowiedź to:
Pytanie 63
Przy zalecaniu gorsetu ortopedycznego należy pamiętać, że w złamaniach kręgosłupa w odcinku:
1) od Th1 do Th6 obowiązuje unieruchomienie w gorsecie z podparciem pod żuchwę i potylicę - gorset Blaunta lub Jevetta;
2) od Th1 do Th8 obowiązuje unieruchomienie w gorsecie z podparciem pod żuchwę i potylicę - gorset Blaunta lub Jevetta;
3) od Th7 do L3 można zastosować/ obowiązuje wysoki gorset Jevetta;
4) od Th9 do L2 można zastosować/ obowiązuje wysoki gorset Jevetta;
5) L4-L5 można zastosować/ obowiązuje tzw. niski gorset Jevetta;
6) od L3 do L5 można zastosować/ obowiązuje tzw. niski gorset Jevetta.
Prawidłowa odpowiedź to:
Pytanie 64
Wykonując spondylodezę śrubę transpedikularną wprowadza się:
Pytanie 65
Podczas leczenia złamań kręgosłupa za pomocą wyciągu zalecane obciążenie wynosi odpowiednio:
Pytanie 66
Wskaż nieprawdziwe stwierdzenie dotyczące leczenia operacyjnego uszkodzeń kręgosłupa szyjnego:
Pytanie 67
Technika tylnobocznej dekompresji kanału kręgowego jest skuteczna w złamaniach:
Pytanie 68
Wskaż fałszywe stwierdzenie:
Pytanie 69
Przepuklina krążka międzykręgowego L3/L4 powoduje:
Pytanie 70
Na zespół ogona końskiego składają się następujące objawy:
Pytanie 71
Fibromialgia to:
Pytanie 72
Protezoplastyka krążka międzykręgowego wskazana jest u chorych w:
Pytanie 73
Usztywnienie kręgosłupa jest postępowaniem z wyboru u chorych:
Pytanie 74
Chemonukleoliza jest postępowaniem z wyboru u chorych:
Pytanie 75
Foraminotomia jest wskazana u chorego:
Pytanie 76
Rozpoznanie stenozy kanału kręgowego stawia się, jeśli wymiar strzałkowy kanału kręgowego w odcinku lędźwiowym wynosi:
Pytanie 77
Leczenie operacyjne zespołów bólowych kręgosłupa jest wskazane:
Pytanie 78
Leczenie operacyjne w przepuklinie jądra miażdżystego z bólem kręgosłupa lędźwiowego jest konieczne u:
Pytanie 79
Najczęstszym czynnikiem etiologicznym ropnego krwiopochodnego zapalenia stawu u dziecka w wieku 3-13 lat jest:
Pytanie 80
Po stwierdzeniu w punkcji stawu biodrowego u noworodka treści ropnej optymalne dla stawu postępowanie obejmuje:
Pytanie 81
Leczeniem z wyboru ropnia Brodiego jest:
Pytanie 82
Klasyfikacja Cierny i Madera dotyczy:
Pytanie 83
Rozpoznanie ostrego krwiopochodnego zapalenia kości jest możliwe na podstawie objawów radiologicznych:
Pytanie 84
Leczeniem z wyboru w infekcji, której objawy wystąpiły 3 tygodnie po wszczepieniu endoprotezy stawu biodrowego u 45 letniej kobiety jest:
Pytanie 85
Klasyczna sekwestrektomia to:
Pytanie 86
Optymalnym postępowaniem w leczeniu aktywnego przewlekłego zapalenia przynasady dalszej I kości śródstopia jest:
Pytanie 87
W 7 dni po artroskopowej rekonstrukcji więzadła krzyżowego przedniego z użyciem wolnego przeszczepu z więzadła rzepki zamocowanego śrubami interferencyjnymi 20 letni chory ma obrzęk stawu kolanowego i gorączkuje. Dalsze postępowanie obejmuje:
Pytanie 88
Z którą z jednostek chorobowych należy różnicować rozpoznanie obustronnie występującego osteochodrosis dissecans kolana:
Pytanie 89
Badanie ultrasonograficzne jest pomocne we wczesnym rozpoznawaniu ostrego krwiopochodnego zapalenia kości, ponieważ:
Pytanie 90
Wskaż prawidłowe stwierdzenie w odniesieniu do leków z grupy „koksybów”:
Pytanie 91
Histologicznie, łąkotki przedstawiają strukturą tkankę:
Pytanie 92
Które z poniżej wymienionych typów kolagenu są uznawane za specyficzne dla chrząstki
Pytanie 93
Objaw Drehmana jest charakterystyczny dla:
Pytanie 94
W której z wymienionych poniżej sytuacji klinicznych istnieją wskazania do miejscowego podania Płytkopochodnego Czynnika Wzrostu (PDGF)?
Pytanie 95
Charakterystyczne dla uszkodzeń ośrodkowego neuronu ruchowego oprócz zaburzeń ruchowych są:
1) wzmożone napięcie mięśniowe o typie spastyczności;
2) wygórowanie odruchów głębokich;
3) osłabienie odruchów głębokich;
4) klonusy;
5) niedowład jednego mięśnia lub grupy mięśni.
Prawidłowa odpowiedź to:
Pytanie 96
W porażeniach spastycznych większe napięcie wykazują:
Pytanie 97
Do oceny nasilenia spastyczności służy skala:
Pytanie 98
W celu obniżenia spastyczności stosuje się metody:
Pytanie 99
Który z wymienionych zabiegów elektroterapii stosuje się w przypadku spastycznego napięcie mięśni?
Pytanie 100
W jakim mechanizmie urazu dochodzi najczęściej do wyprostnego złamania nadkłykciowego kości ramiennej u dzieci?
Pytanie 101
Występującymi powikłaniami złamania nadkłykciowego kości ramiennej typu wyprostnego są (wg częstości występowania):
Pytanie 102
W złamaniach obu kości przedramienia w 1/3 dalszej powinno wykonywać się repozycję złamania i unieruchomienie kończyny w opatrunku gipsowym ustawiając przedramię w:
Pytanie 103
Zespół ciasnoty przedziału powięziowego występuje najczęściej u dzieci w wyniku złamania wysokoenergetycznego kości (wymień lokalizacje wg częstości występowania):
Pytanie 104
Na radiogramach, w obrębie nasady dalszej kości ramiennej, najwcześniej pojawia się jądro kostnienia (wymień wg kolejności pojawiania się):
Pytanie 105
Wartość kąta nasadowo-trzonowego kości ramiennej (zawartego pomiędzy osią długą trzonu, a osią długą nasady dalszej) oceniana na radiogramach stawu łokciowego w projekcji bocznej, wynosząca:
1) 30˚-40˚ jest prawidłowa;
2) 40˚-50˚jest za duża i powoduje zmniejszenie zakresu ruchu prostowania;
3) 20˚-30˚jest prawidłowa;
4) 50˚-60˚jest za duża i powoduje zwiększenie zakresu prostowania, a zmniejszenie zakresu zginania;
5) 10˚-20˚ jest za mała i powoduje zmniejszony zakres ruchu zginania, a umożliwia uzyskanie przeprostu.
Prawidłowa odpowiedź to:
Pytanie 106
Powikłania po urazach chrząstki w postaci asymetrycznego wzrostu kości, najczęściej występują w typie złuszczenia (wg podziału Saltera-Harrisa):
Pytanie 107
Urazowe złuszczenie dalszej nasady chrząstki wzrostowej kości promieniowej i łokciowej dokonuje się w obrębie warstwy:
Pytanie 108
U dzieci powyżej 10 roku życia najczęściej występującym typem złuszczenia wg podziału Saltera-Harrisa jest typ:
Pytanie 109
Najczęściej występującym złamaniem kości u noworodków jest złamanie:
Pytanie 110
Pourazową jałową martwicę nasad kości długich (np. głowy kości udowej, skokowej) powoduje:
Pytanie 111
Choroba Legg-Waldenstrom-Calve jest jałową martwicą:
Pytanie 112
Jak długo trwa choroba Perthesa w pierwszych trzech okresach?
Pytanie 113
Ile okresów zmian anatomiczno-patologicznych występuje w chorobie Perthesa?
Pytanie 114
Czy choroba Osgood-Schlattera jest?
Pytanie 115
Najczęstszym złamaniem w osteoporozie pomenopauzalnej jest złamanie:
Pytanie 116
II stopień w klasyfikacji Genanta złąmań osteoporotycznych trzonów kręgów to zniekształcenie trzonu kręgu:
Pytanie 117
U chorej z niewydolnością nerek i osteoporozą najskuteczniejszym preparatem wit. D3 jest:
Pytanie 118
Jaka aktywność fizyczna u chorych z osteoporozą wspomaga jej leczenie?
Pytanie 119
Które stwierdzenie jest prawdziwe?
Pytanie 120
Przedstawiony ultrasonogram stawu biodrowego noworodka przedstawia następujący typ rozwojowy wg klasyfikacji Grafa:




