Wyszukaj egzamin lub pytanie
Egzamin PES Onkologia i hematologia dziecięca / jesień 2005
120 pytań
Pytanie 1
Jakie są kryteria rozpoznania niedokrwistości z niedoboru żelaza?
Pytanie 2
Do podstawowych badań, które należy wykonać w celu rozpoznania niedokrwistości należą?
Pytanie 3
Które ze stwierdzeń dotyczących niedokrwistości hemolitycznej jest nieprawdziwe?
Pytanie 4
Które ze stwierdzeń odnoszących się do sferocytozy wrodzonej jest fałszywe?
Pytanie 5
Które ze stwierdzeń odnoszących się do wrodzonych zespołów hemolitycznych jest fałszywe?
Pytanie 6
Które ze stwierdzeń odnoszących się do plamicy alergicznej (zespołu Schönlein-Henocha) jest prawdziwe?
1) istotą choroby jest plamica skórna skojarzona z bólami brzucha i krwawieniami z przewodu pokarmowego oraz ze zmianami w moczu;
2) zespół Schönlein-Henocha wywołany jest odczynem uczuleniowo-zapalnym drobnych naczyń krwionośnych powodującym ich wzmożoną przepuszczalność;
3) zwykle występuje w czasie anginy paciorkowcowej lub w przebiegu lambliozy;
4) plamica występuje zwykle na kończynach dolnych, najczęściej na stopach i w okolicach stawów skokowych, na wyprostnych częściach podudzi i ud oraz na pośladkach;
5) po ustąpieniu ostrego okresu choroby bardzo ważne jest wykonanie sanacji jamy ustnej.
Prawidłowa odpowiedź to:
Pytanie 7
Zakreśl prawidłową odpowiedź:
1) zespoły mielodysplastyczne ( MDS) obejmują heterogenna grupę stanów chorobowych określanych dawniej jako stan przedbiałaczkowy, tląca się białaczka, podostra białaczka;
2) u podłoża MDS leży dysfunkcja macierzystej komórki krwiotwórczej z następową dyshematopoezą jedno-, dwu- lub trzyukładową;
3) MDS są częstą chorobą u dzieci;
4) MDS rzadko skojarzony jest z wadami rozwojowymi;
5) leczeniem z wyboru w MDS jest transplantacja szpiku kostnego.
Prawidłowa odpowiedź to:
Pytanie 8
Do grupy niedokrwistości spowodowanych zaburzeniem w zakresie hemoglobiny nie zaliczamy:
Pytanie 9
Które ze stwierdzeń jest fałszywe?
Pytanie 10
W jakich stanach należy się spodziewać niedoboru kwasu foliowego?
1) u wcześniaków;
2) w stanach wzmożonej hemolizy krwinek czerwonych;
3) przy karmieniu mlekiem kozim;
4) w marskości wątroby;
5) przy stosowaniu niektórych leków przeciwdrgawkowych.
Prawidłowa odpowiedź to:
Pytanie 11
Profilaktyczne podawanie żelaza dzieciom z grup ryzyka:
1) powinno rozpocząć się od 3 miesiąca życia w dawce 3-4 mg Fe++/kgmc/dobę;
2) powinno być kontynuowane przez okres 6 miesięcy;
3) powinno być kontynuowane do 12 miesiąca życia;
4) powinno rozpocząć się od 3 miesiąca życia w dawce 2 mg Fe++/kgmc/dobę;
5) nie powinno być stosowane.
Prawidłowa odpowiedź to:
Pytanie 12
Które ze stwierdzeń odnoszące się do niedokrwistości wcześniaków jest fałszywe?
Pytanie 13
Do rozpoznania czerwienicy prawdziwej niezbędne jest stwierdzenie:
1) zwiększonej objętości krwinek czerwonych;
2) wysycenia krwi tętniczej tlenem ≥ 92%;
3) zwiększonej aktywności fosfatazy alkalicznej w leukocytach;
4) splenomegalii;
5) leukocytozy >12000 komórek/mm3.
Prawidłowa odpowiedź to:
Pytanie 14
Wskaż fałszywą odpowiedź:
Erytroblasty obecne są w rozmazie krwi obwodowej u pacjentów:
Pytanie 15
Które ze stwierdzeń dotyczących choroby Kostmana jest fałszywe?
Pytanie 16
Które ze stwierdzeń dotyczące zespołu Schwachmana jest fałszywe?
Pytanie 17
Które ze stwierdzeń odnoszących się do samoistnej skazy małopłytkowej jest prawdziwe?
Pytanie 18
Spośród opisanych poniżej wybierz tę sytuację, gdzie podejrzenie etiologii nowotworowej powiększenia węzła chłonnego jest najmniej prawdopodobne:
Pytanie 19
U 14-letniego chłopca od 3 tygodni utrzymuje się niebolesne powiększenie węzła chłonnego we wcięciu jarzmowym mostka o średnicy do 1,5 cm, a w chwili przyjęcia do szpitala stwierdzono ponadto: obrzęk szyi i okolicy ślinianek przyusznych, poszerzenie żył szyjnych i suchy, niecharakterystyczny kaszel. Wybierz najwłaściwszy sposób postępowania z pacjentem wraz z uzasadnieniem:
Pytanie 20
U dziecka z limfadenopatią szyjną oraz z objawami zespołu żyły głównej górnej zastosowanie znieczulenia ogólnego z intubacją w celu pobrania węzła chłonnego do badania wiąże się z zagrożeniem życia chorego. W takiej sytuacji uzasadnione jest:
1) odstąpienie od jakichkolwiek badań diagnostycznych i wdrożenie leczenia pełnymi dawkami sterydów (2,0 mg/kg.) oraz cyklofosfamidem (1000 mg/kg/db);
2) wykonanie badań rutynowych krwi i jeżeli są cechy zajęcia szpiku przez proces chorobowy podjęcie próby ustalenia rozpoznania poprzez ocenę komórek blastycznych szpiku (immunofenotypowanie), co pozwala niekiedy uniknąć zabiegu operacyjnego;
3) jeżeli nie ma cech zajęcia szpiku w badaniach rutynowych, należy brać pod uwagę pobranie węzła obwodowego (tu szyjnego) w znieczuleniu miejscowym;
4) nasilone objawy zespołu żyły głównej górnej uzasadniają krótkotrwałe wprowadzenie leczenia stopniowo zwiększanymi dawkami sterydów ew. cyklofosfamidu, w celu stabilizacji stanu pacjenta przed pobraniem węzła chłonnego lub/i do czasu uzyskania wyniku badania histopatologicznego ustalenia pewnej diagnozy.
Prawidłowa odpowiedź to:
Pytanie 21
Powiększenie węzłów chłonnych pachowych lewych jako powikłanie miejscowe po szczepieniu BCG może być konsekwencją:
Pytanie 22
Limfadenopatia jako objaw nadwrażliwości na leki najczęściej pojawia się przy stosowaniu:
Pytanie 23
W zakażeniu wirusem różyczki najbardziej typowym objawem klinicznym choroby poza wysypką jest:
Pytanie 24
U 12-letniej dziewczynki z powiększeniem węzłów chłonnych szyjnych rozpoznano i leczono toksoplazmozę nabytą. W rok później nadal stwierdzano utrzymujące się bezbolesne powiększenie pojedynczego węzła chłonnego podżuchwowego lewego do średnicy 4 cm. W tej sytuacji jako najbardziej istotne dla szybkiego ustalenia właściwej diagnozy zlecisz:
Pytanie 25
Przerzuty do węzłów chłonnych powodujące ich powiększenie mogą dawać niektóre guzy lite. Najczęściej obserwujemy je w przypadku:
Pytanie 26
U dziecka z limfadenopatią szyjną i obecnością 15% limfocytów atypowych (tzw. wirocytów) w rozmazach krwinek białych należy w rozpoznaniu różnicowym brać pod uwagę:
1) zakażenie EBV lub CMV; 4) zakażenie adenowirusowe;
2) toksoplazmozę; 5) zarażenie Toxocara cati lub Toxocara canis.
3) zakażenie Mycobacterium avium;
Prawidłowa odpowiedź to:
Pytanie 27
U 8-letniego chłopca z zaczerwienionym gardłem i migdałkami, miernego stopnia hepatosplenomegalią i powiększeniem węzłów chłonnych szyjnych do 3 cm za rozszerzeniem diagnostyki w kierunku zakażenia CMV przemawia:
Pytanie 28
Spośród niżej wymienionych jednostek chorobowych wybierz te, w których obraz radiologiczny zmian kostnych odpowiadać może zmianom widywanym w LCH:
1) bakteryjne zapalenie kości; 4) torbiele kostne;
2) chłoniak nieziarniczy kości; 5) choroba Rosai-Dorfmana.
3) choroba kociego pazura;
Prawidłowa odpowiedź to:
Pytanie 29
10-letnią dziewczynkę przyjęto do szpitala z powodu utrzymującej się od około 10 dni wysokiej gorączki, limfadenopatii szyjnej, powiększenia wątroby i plamisto-grudkowej wysypki na tułowiu i kończynach. Wobec pogarszania się stanu dziecka wynikającego z narastającej duszności wdechowo-wydechowej jako pilne należy wykonać następujące badania:
1) badania serologiczne potwierdzające zakażenie EBV,CMV bądź toksoplazmozę;
2) odczyn tuberkulinowy;
3) RTG/TK klatki piersiowej;
4) badania biochemiczne z uwzględnieniem poziomów mocznika, kreatyniny, kwasu moczowego i LDH;
5) badanie histopatologiczne pobranego węzła chłonnego i badanie szpiku kostnego.
Prawidłowa odpowiedź to:
Pytanie 30
18-miesieczny chłopczyk trafił do szpitala z powodu narastania obwodu brzucha spowodowanego hepatosplenomegalią (twarda śledziona sięgała 2 cm powyżej talerza biodrowego). Ponadto stwierdzono uogólnioną limfadenopatię i niecharakterystyczną plamisto-grudkową wysypkę na twarzy i tułowiu. Leukocytoza krwi 48 000/mm3. Najbardziej prawdopodobne rozpoznanie wstępne to:
Pytanie 31
U 18-miesięcznego dziecka z masywną splenomegalią, wysypką skórną i limfadenopatią uogólnioną rozpoznanie JCML potwierdzisz poprzez stwierdzenie:
Pytanie 32
U 12-letniego chłopca z limfadenopatią uogólnioną i stanami gorączkowymi rozpoznanie różnicowe powinno uwzględniać chorobę rozrostową. Dlatego rutynowo zlecone badanie biochemiczne powinno obejmować:
Pytanie 33
Najczęstszym bezpośrednio zagrażającym życiu powikłaniem mononukleozy zakaźnej - EBV jest:
Pytanie 34
Cechy uszkodzenia wątroby pod postacią 2-3- krotnego podwyższenia transaminaz u chorych z EBV-mononukleozą zakaźną (EBV-MZ) stwierdzane są u około 80% chorych. Które z poniższych stwierdzeń najlepiej opisuje inne związane z tym zaburzenia?
Pytanie 35
Najbardziej użytecznym i powszechnie wykonywanym badaniem diagnostycznym w zakażeniu EBV jest test serologiczny na obecność przeciwciał heterofilnych. U jakiego odsetka dzieci przed 5 rokiem życia test ten wypada dodatnio:
Pytanie 36
14-letni chłopiec został przyjęty do szpitala w stanie ogólnym bardzo dobrym z powodu przypadkowo stwierdzonej masywnej splenomegalii (16 cm poniżej łuku żebrowego). Za rozpoznaniem CML - przewlekłej białaczki szpikowej przemawiać będzie równoczesne występowanie:
1) wysokiej leukocytozy powyżej 50x109/l;
2) podwyższenia fosfatazy alkalicznej granulocytów;
3) obecności translokacji BCR/ABL;
4) obniżenie liczby płytek poniżej 50x109/l;
5) podwyższenie liczby płytek powyżej 700x109/l.
Prawidłowa odpowiedź to:
Pytanie 37
Najbardziej specyficznym markerem komórki Langerhansa jest:
Pytanie 38
Histologicznie pewna diagnoza LCH wg kryteriów stopnia C oznacza:
Pytanie 39
W fazie aktywnej LCH najczęstszym objawem klinicznym wskazującym na zajęcie CUN przez proces chorobowy jest:
Pytanie 40
Spośród niżej wymienionych wybierz tę kość, w której zmiany w przebiegu LCH lokalizują się najczęściej:
Pytanie 41
W przypadku ALL-HR, wskazaniem do allogenicznej transplantacji szpiku w I remisji jest:
Pytanie 42
Wskazaniem do allogenicznego przeszczepu szpiku od dawcy niespokrewnionego w przypadku I CR ALL-HR jest:
Pytanie 43
W przypadku I CR ANLL-HR wskazaniem do transplantacji szpiku jest:
Pytanie 44
Autologiczny przeszczep szpiku nie ma zastosowania w:
Pytanie 45
Najczęstszym endokrynologicznym objawem ubocznym po TBI (napromienianie całego ciała) jest:
Pytanie 46
Przyczyną zaćmy jako powikłania po przeszczepie szpiku jest:
Pytanie 47
Uszkodzenie czynności gonady męskiej najczęściej jest wynikiem zastosowania:
Pytanie 48
Czynnikiem ryzyka w transplantacji szpiku jest:
Pytanie 49
Wskazaniem do autologicznego przeszczepu szpiku w neuroblastoma jest:
Pytanie 50
Scyntygrafia z Galem67 znajduje zastosowanie w wykrywaniu:
Pytanie 51
Stwierdzenie zmian guzkowych w skórze, powiększenie węzłów chłonnych, obecność antygenu Ki-1 (CD 30+) w komórkach bioptatu guza wskazuje na:
Pytanie 52
Guz zlokalizowany w jamie brzusznej z zajęciem kości miednicy i tkanek miękkich, w badaniu patomorfologicznym wykazuje obecność drobnych, okrągłych, niezróżnicowanych komórek z ekspresją antygenu MIC2 i translokacją t(11:22) w komórkach guza przemawia za rozpoznaniem:
Pytanie 53
Zespół lizy guza charakteryzuje się:
Pytanie 54
W trakcie terapii cisplatyną możemy zaobserwować poniższe, z wyjątkiem:
Pytanie 55
Badaniem rozstrzygającym w rozpoznaniu erytroleukemii (M6-FAB) jest:
Pytanie 56
U niskorosłej dziewczynki, z płetwiastą szyją, wadą wrodzoną serca obserwuje się od okresu niemowlęcego niedokrwistość, niskie wartości retikulocytozy, prawidłową liczbą krwinek białych i płytek, a w szpiku - brak prekursorów układu czerwonokrwinkowego. Kariotyp dziecka 46xx. Powyższy obraz sugeruje:
Pytanie 57
W przypadku znacznej toksyczności metotreksatu na skutek jego zaburzonej eliminacji, w celu inaktywacji jego metabolitów istnieją wskazania do zastosowania:
Pytanie 58
Zmiany tęczówki oka widoczne na fotografii to:

Pytanie 59
U pacjentki 14-letniej, która zgłosiła się z powodu bólów głowy, oczopląsu i objawów móżdżkowych w badaniu dna oka stwierdzono obecność naczyniaka siatkówki. Badanie USG jamy brzusznej ujawniło pojedyncze torbiele w nerce i wątrobie. W badaniu MRI czaszki stwierdzono obecność guza w obrębie półkuli móżdżku. Dla potwierdzenia rozpoznania przeprowadzono badania molekularne, w którym stwierdzono obecność mutacji w obrębie krótkiego ramienia chromosomu 3. Jakie rozpoznanie zostało ustalone?
Pytanie 60
Które z poniższych czynników stanowią ryzyko rozwoju czerniaka złośliwego u dzieci?
1) naczyniakowatość uogólniona; 4) obecność pojedynczych znamion dysplastycznych na skórze;
2) xeroderma pigmentosum; 5) nadmierne owłosienie skóry.
3) obciążony chorobą wywiad rodzinny;
Prawidłowa odpowiedź to:
Pytanie 61
Wśród pierwotnych guzów serca u dzieci najczęściej rozpoznawane są:
1) rhabdomyoma; 4) myxoma;
2) ameloblastoma; 5) rhabdomyosarcoma.
3) fibroma;
Prawidłowa odpowiedź to:
Pytanie 62
Pierwotną lokalizacją paraganglioma może być:
1) nadnercze; 4) szyjna okolica przykręgosłupowa;
2) przestrzeń zaotrzewnowa; 5) płuca.
3) kłębek szyjny;
Prawidłowa odpowiedź to:
Pytanie 63
W rozwoju zespołów guzowych dziedzicznych odkryto zaburzenia syntezy dwóch białek: hamartyny i tuberyny. Jakie geny odpowiedzialne są za syntezę tych białek?
Pytanie 64
Które spośród niżej wymienionych badań są istotne w diagnostyce i monitorowaniu leczenia raka rdzeniastego tarczycy?
1) obecność del 1p; 4) poziom antygenu CEA w surowicy;
2) obecność mutacji RET; 5) poziom kalcytoniny w surowicy.
3) poziom NSE w surowicy;
Prawidłowa odpowiedź to:
Pytanie 65
Jakie rozpoznania różnicowe należy brać pod uwagę w przypadku myofibromatosis?
Pytanie 66
Aktualne schematy leczenia zaawansowanego stadium raka jasnokomórkowego nerki obejmują:
1) zabieg chirurgicznego usunięcia ogniska pierwotnego; 4) IFN alfa;
2) chemioterapię; 5) IL-2.
3) radioterapię;
Prawidłowa odpowiedź to:
Pytanie 67
Jakiego typu nowotwory rozwijają się w grasicy?
1) grasiczak; 2) ameloblastoma; 3) guzy zarodkowe; 4) carcinoid; 5) rak.
Prawidłowa odpowiedź to:
Pytanie 68
Klinicznymi objawami raka jasnokomórkowego mogą być:
1) bóle okolicy kręgosłupa; 4) wymioty i brak łaknienia;
2) krwiomocz; 5) bóle kostne.
3) ginekomastia;
Prawidłowa odpowiedź to:
Pytanie 69
Pojedyncze naczyniaki krwionośne skóry mają tendencję do samoistnej inwolucji. Jakie istnieją wskazania do aktywnego leczenia naczyniaków skóry?
1) barwa ciemnoczerwona;
2) lokalizacja w miejscach narażonych na urazy np. dłonie;
3) naczyniaki uszypułowane;
4) względy psychologiczne - defekt kosmetyczny;
5) rozległe naczyniaki twarzy.
Prawidłowa odpowiedź to:
Pytanie 70
Do złośliwych nowotworów naczyniowych występujących u dzieci należą:
1) hemangioma; 4) hemangioendotelioma;
2) sarcoma Kaposi; 5) angiosarcoma.
3) angioma;
Prawidłowa odpowiedź to:
Pytanie 71
Jakie zachowawcze metody leczenia stosowane są w zespole Kassabacha-Merrita?
1) cytostatyki; 4) IFN alfa;
2) steroidoterapia; 5) salicylany w wysokich dawkach.
3) dipyrydamol;
Prawidłowa odpowiedź to:
Pytanie 72
U 2-letniego chłopca z zespołem Downa, wystąpiły objawy wskazujące na mielodysplazję. Istnieje więc duże prawdopodobieństwo rozwinięcia - w ciągu kilku miesięcy - ostrej białaczki. Jakiego typu?
Pytanie 73
Wśród czynników rokowniczych w ALL wymienia się ploidalność komórek. O tzw. lepszym rokowaniu można mówić gdy stwierdza się kariotyp:
Pytanie 74
Która z wymienionych niżej translokacji stwierdzona jest wyłącznie w ostrej białaczce promielocytarnej (APL)?
Pytanie 75
Do rozwoju białaczki u dzieci predysponują między innymi:
Pytanie 76
Reakcja z glikoforyną A jest jednym z rozstrzygających badań w rozpoznaniu białaczki typu:
Pytanie 77
Wiek jest jednym z czynników rokowniczych w ALL. Która grupa wiekowa jest uznana za czynnik bardzo złego rokowania?
Pytanie 78
U 12-letniego chłopca obraz szpiku uzasadniał rozpoznanie ostrej białaczki. Otrzymany wynik badania immunofenotypizacji: CD19(+), CD10(+), CD22(+), HLA-DR(+), cyt μ (-) odpowiada:
Pytanie 79
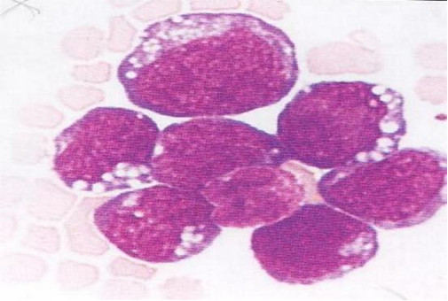
U 12-letniego chłopca, u którego dane z wywiadu i badanie fizykalne sugerują ostrą białaczkę, wykonano punkcję aspiracyjną szpiku. Obraz morfologiczny przedstawił się jak poniżej. Jakiemu typowaniu wg FAB odpowiada taki obraz?

Pytanie 80
5-letnia dziewczynka zgłosiła się do poradni z następującym wywiadem: od 5 dni gorączka, ból gardła, osłabienie, brak apetytu, bóle brzucha. W badaniu fizykalnym stwierdzono: powiększenie migdałków z „szarawym” nalotem, fetor ex ore, powiększone obustronnie tkliwe węzły chłonne podżuchwowe, szyjne, pachowe i pachwinowe, powiększenie wątroby (2cm) i śledziony (3cm). Morfologia: Hb - 10,2g/dl, ER - 3,8 x 1012/l, leukocyty - 19,6 x 109/l, we wzorze odsetkowym 12% komórek opisanych jako nieprawidłowe (młode?, blasty?). W rozważaniach na pierwszym miejscu należy uwzględnić:
Pytanie 81
U 14-letniej dziewczynki leczonej z powodu ALL, pod koniec protokołu II w trakcie granulocytopenii wystąpiły objawy: gorączka, biegunka, bóle w dolnym prawym kwadrancie brzucha i pogarszający się stan ogólny dziecka. Granulocyty 0,6 x 109/l, OB-80mm/h. Najbardziej prawdopodobne jest rozpoznanie:
Pytanie 82
Brązowo-czerwone grudki i/lub guzki na skórze o średnicy od kilku milimetrów do 2-3 centymetrów, stwierdza się w:
Pytanie 83
Z opracowań PPGLBiC przedstawionych na zjazdach w 2003 roku, u dzieci w grupie standardowego ryzyka leczonych programem ALL-BFM 90 wznowy rozpoznano u:
Pytanie 84
Najczęstszym pierwotnym umiejscowieniem sporadycznego chłoniaka B typu Burkitta jest:
Pytanie 85
Wśród toksyczności spowodowanych chemioterapią wymienia się dysfunkcję gonad. Które z cytoststyków mogą ją spowodować?
Pytanie 86
Stan 12-letniego chłopca przyjętego z powodu hiperleukocytozy 280x109/l szybko - w ciągu kilku godzin uległ pogorszeniu. Temperatura 39,8º, tachykardia, tachypnoe, kaszel, krwioplucie, skarżył się na ból głowy, światłowstręt, zaburzenia widzenia, szum w uszach. W badaniu fizykalnym skaza krwotoczna na skórze, hepatosplenomegalia (4 cm i 5 cm), priapizm. Objawy te wskazują na:
Pytanie 87
Wskaż nieprawdziwe twierdzenie dotyczące czynnika von Willebranda (vWF):
Pytanie 88
Głębokie niedobory czynnika XII nie powodują objawów skazy krwotocznej, ponieważ fizjologicznym aktywatorem czynnika XI jest trombina utworzona na szlaku zewnątrzpochodnego krzepnięcia krwi.
Pytanie 89
Czynnik tkankowy nie jest produkowany przez następujące komórki:
Pytanie 90
U 12-letniego chłopca, z łagodnym zakażeniem dróg oddechowych trwającym od kilku dni, wystąpiła bladość skóry, wybroczyny, zażółcenie białkówek, następnie dołączyły się zaburzenia widzenia i świadomości. W badaniach dodatkowych krwi stwierdzono zmniejszone stężenie hemoglobiny do 8 g/dl, niewielkie podwyższenie stężenia pośredniej bilirubiny, wzrost stężenia LDH, obniżoną liczbę płytek krwi do 50,0 G/l, fragmentocyty w rozmazie krwi obwodowej. Za najbardziej prawdopodobne uznasz podejrzenie:
Pytanie 91
U 3-miesięcznego niemowlęcia leczonego od dwóch dni ciągłym wlewem heparyny niefrakcjonowanej w dawce leczniczej z powodu skrzepliny w prawym przedsionku po cewnikowaniu serca, stwierdzono obniżenie liczby płytek krwi do 100,0 G/l. Należy:
Pytanie 92
Wskaż nieprawdziwe twierdzenie charakteryzujące układ hemostazy noworodka w porównaniu do osób dorosłych:
Pytanie 93
U chłopca chorego na ciężką postać hemofilii A, ważącego 33 kg, wykonano ekstrakcję zęba po podaniu 1000 j koncentratu czynnika VIII. W 4 dobie po zabiegu wystąpiło krwawienie z zębodołu. Jaki błąd w postępowaniu jest najbardziej prawdopodobną przyczyną krwawienia?
Pytanie 94
U 2-letniego chłopca chorego na ciężką postać hemofilii stwierdzono inhibitor czynnika VIII o mianie 12 j.B./ml. Właściwym postępowaniem jest:
Pytanie 95
Leki antyfibrynolityczne stosujemy u chorych na hemofilię, jako leczenie wspomagające w następujących sytuacjach:
Pytanie 96
U chłopca z łagodną postacią hemofilii A (poziom czynnika VIII 6%n), ważącego 20 kg podano dożylnie dezmopresynę w dawce 8 µg (2 amp.) przed ekstrakcją zęba mlecznego. Godzinę po zabiegu wystąpiło krwawienie. Najbardziej prawdopodobna przyczyna to:
Pytanie 97
Wskaż nieprawdziwe zdanie: heparyny drobnocząsteczkowe coraz częściej stosowane są u dzieci zamiast heparyny niefrakcjonowanej, ponieważ:
Pytanie 98
U noworodków stosuje się wyższe dawki heparyny niefrakcjonowanej i heparyn drobnocząsteczkowych niż u dzieci starszych i dorosłych, ponieważ stężenie antytrombiny III jest u nich niższe.
Pytanie 99
Leczenie trombolityczne u noworodków może być nieskuteczne, ponieważ w tym wieku występuje obniżone stężenie plazminogenu.
Pytanie 100
Dziewczynka 10-letnia, której przed rokiem usunięto śledzionę z powodu przewlekłej autoimmunologicznej plamicy małopłytkowej, zagorączkowała do 40ºC. Przed splenektomią otrzymała szczepionkę Pneumo 23 i Meningococcique A+C. Które wstępne postępowanie będzie najbardziej właściwe?
Pytanie 101
U noworodka urodzonego o czasie, z niepowikłanej ciąży i porodu, w dobrym stanie ogólnym, z licznymi wybroczynami w skórze, stwierdzono obniżoną liczbę płytek krwi, 25,0 G/l. Postępowaniem właściwym jest w pierwszej kolejności:
Pytanie 102
Ochronę przed wystąpieniem artropatii hemofilowej można zapewnić choremu na ciężką postać hemofilii A przez:
Pytanie 103
Najgorzej rokującym nowotworem ośrodkowego układu nerwowego u dzieci jest:
Pytanie 104
U dziecka leczonego z powodu guza Wilmsa stwierdza się nefropatię i hermafrodytyzm. Należy podejrzewać zespół:
Pytanie 105
Dziewczynka po leczeniu germinoma ośrodkowego układu nerwowego odczuwa senność, osłabienie, apatię. Należy wykonać:
Pytanie 106
Złym czynnikiem rokowniczym w medulloblastoma jest
Pytanie 107
Dziecko w 10 dni po zabiegu usunięcia medulloblastoma tylnej jamy czaszki jest przytomne ale nie nawiązuje kontaktu słownego z otoczeniem. Jest to:
Pytanie 108
Które stwierdzenia dotyczące medulloblastoma są prawdziwe?
Pytanie 109
U pacjenta z zespołem ataksja-telangiektazja i rozpoznanym nowotworem złośliwym, w leczeniu należy unikać:
Pytanie 110
Pacjent był operowany z powodu guza tylnej jamy czaszki, który usunięto w całości. W wywiadzie rodzinnym starsza siostra matki aktualnie leczona jest z powodu raka nerki, a wujek matki zmarł w latach 50-tych „z powodu wylewu”. W przypadku otrzymania wyniku badania histopatologicznego brzmiącego „hemangioblastoma” należy:
1) wykonać kontrolne badanie NMR rdzenia kręgowego;
2) jako leczenie uzupełniające zastosować napromienianie;
3) wykonać badanie genetyczne z podejrzeniem zespołu Li-Fraumeni;
4) wykonać badanie USG jamy brzusznej, tarczycy, badanie okulistyczne;
5) wykonać badanie genetyczne z podejrzeniem zespołu von Hippel-Lindau;
6) wykonać pełny układ krzepnięcia z oznaczeniem antytrombiny III.
Prawidłowa odpowiedź to:
Pytanie 111
U niemowlęcia stwierdzono opsomioklonie. Należy przeprowadzić diagnostykę w kierunku:
Pytanie 112
U pacjentów z obustronną postacią retinoblastoma do mutacji genu RB 1 dochodzi w komórkach:
Pytanie 113
Ryzyko wystąpienia siatkówczaka u potomstwa ozdrowieńca z obustronną postacią retinoblastoma wynosi:
Pytanie 114
Stadium 4 s neuroblastoma charakteryzuje się:
Pytanie 115
Moczówka prosta może wystąpić jako objaw:
Pytanie 116
Do guzów jajnika najbardziej wrażliwych na napromienianie zalicza się:
Pytanie 117
Objawy neurotoksyczne wywołać może:
Pytanie 118
Przerzuty zlokalizowane poza ośrodkowym układem nerwowym mogą wystąpić w przebiegu:
Pytanie 119
Obecność komórek nowotworowych w płynie mózgowo rdzeniowym nie jest rutynowo badana w przebiegu:
Pytanie 120



