Wyszukaj egzamin lub pytanie
Egzamin PES Okulistyka / wiosna 2024
120 pytań
Pytanie 1
Znajomość anatomii unaczynienia siatkówki jest niezbędna do poznania patofizjologii stanów chorobowych takich jak cukrzycowy obrzęk plamki czy zakrzep żyły środkowej siatkówki. Wskaż prawidłowe połączenie splotu naczyniowego z jego lokalizacją w obrębie siatkówki:
Pytanie 2
Wskaż prawdziwe stwierdzenie dotyczące nabłonka barwnikowego siatkówki (RPE):
Pytanie 3
Wskaż prawdziwe połączenie obrazu zaniku geograficznego plamki siatkówki w zwyrodnieniu plamki związanym z wiekiem (GA, atrofia geograficzna) z wynikiem badania diagnostycznego:
Pytanie 4
56-letnia pacjentka z cukrzycą typu 2 zgłosiła się do badania okulistycznego. Ostrość wzroku pacjentki wynosiła 0,5 obuocznie (na tablicach Snellena). W badaniu dna oka stwierdzono liczne mikroaneuryzmaty oraz wysięki twarde w odległości mniejszej niż 500 mikrometrów od centrum dołka ze zgrubieniem przylegającej siatkówki do 400 mikrometrów. Wskaż prawidłowe rozpoznanie:
Pytanie 5
U pacjenta z zespołem von Hippla-Lindaua (VHL) najczęstsze, możliwe objawy oczne obejmują:
Pytanie 6
Wskaż prawdziwe stwierdzenie dotyczące idiopatycznego otworu plamki siatkówki w stadium 2:
Pytanie 7
Dystrofia rogówki istoty właściwej charakteryzująca się występowaniem złogów glikozaminoglikanów zlokalizowanych od rąbka do rąbka i towarzyszącym ścieńczeniem rogówki to dystrofia:
Pytanie 8
W badaniu okulistycznym 53-letniego mężczyzny stwierdzono obustronnie zmniejszony refleks dołka, powierzchowne krystaliczne złogi siatkówki w plamce. W badaniu OCT widoczna linijna, hiporefleksyjna przestrzeń w warstwach wewnętrznych, której podłużna oś jest równoległa do powierzchni siatkówki. W obrazie angiografii fluoresceinowej widoczne są poszerzone drobne naczynia żylne oraz późny przeciek fluoresceiny z uszkodzonych naczyń. W angioOCT widoczne zmiany w głębokim splocie naczyń włosowatych. Wywiad w kierunku chorób ogólnych ujemny. Wskaż prawdopodobne rozpoznanie:
Pytanie 9
Obustronne ubytki centralnego pola widzenia oraz utrata warstwy elipsoidalnej wewnętrznych segmentów w paracentralnym obszarze, które w badaniu OCT przyjmuje kształt „latającego spodka” to cechy toksycznego uszkodzenia siatkówki, które mogą być związane z przyjmowaniem:
Pytanie 10
Retinopatia krystaliczna może być związana z następującymi przyczynami:
Pytanie 11
U 3-miesięcznego niemowlęcia urodzonego o czasie nie nawiązującego kontaktu wzrokowego i nie wykazującego reakcji wzrokowych należy podjąć następujące działania:
1) skierować na konsultację neurologiczną połączoną z badaniem USG przezciemieniowym;
2) wykonać pełne badanie okulistyczne z oceną refrakcji po cykloplegii;
3) odczekać i zalecić kolejną wizytę za miesiąc z oceną reakcji wzrokowych;
4) wykonać badanie VEP;
5) wykonać w trybie pilnym badanie obrazowe głowy.
Prawidłowa odpowiedź to:
Pytanie 12
U noworodka z centralnym bielmem rogówki oraz przyleganiem soczewki do zmienionej patologicznie rogówki występującym w jednym oku należy podejrzewać:
Pytanie 13
U 14-letniego chłopca pochodzenia azjatyckiego stwierdzono na spojówce powieki górnej brodawki przypominające kamienie brukowe pokryte gęstą, lepką wydzieliną. U chłopca dominującym objawem jest silny świąd. Należy u niego podejrzewać:
Pytanie 14
U 3-letniej pacjentki stwierdzono od okresu wczesno-niemowlęcego słabe reakcje wzrokowe, oczopląs, silny światłowstręt oraz wysoką nadwzroczność. Rodzice dziecka podają, że dziewczynka znacznie lepiej funkcjonuje wzrokowo w warunkach przyciemnionego światła, nie rozpoznaje kolorów. Należy u niej podejrzewać:
Pytanie 15
Niewydolność komórek macierzystych rąbka rogówki, jaskra, oczopląs, hipoplazja plamki to objawy:
Pytanie 16
Współwystępowanie zwyrodnienia barwnikowego z wrodzoną częściową lub głęboką neurosensoryczną utratą słuchu to:
Pytanie 17
Wskazanie do retinopeksji pneumatycznej to pojedyncze przedarcie lub grupa przedarć zlokalizowanych w obrębie:
Pytanie 18
„Pęknięcia lakieru” występują w:
Pytanie 19
Wskaż prawidłowe połączenie między zmianami w polu widzenia a rozpoznaniem klinicznym:
a) neuropatia niedokrwienna nerwu wzrokowego;
b) obrzęk tarczy nerwu wzrokowego;
c) neuropatia toksyczna;
d) dziedziczna neuropatia Lebera;
1) mroczek centrocekalny;
2) poszerzenie plamy ślepej;
3) mroczek altitudinalny;
4) mroczek centralny.
Prawidłowa odpowiedź to:
Pytanie 20
Jaki procent kory wzrokowej odpowiada za aktywność plamki, czyli obszar 30° pola widzenia?
Pytanie 21
Wskaż fałszywe stwierdzenie dotyczące oponiaka osłonek nerwu wzrokowego:
Pytanie 22
Do kryteriów klasyfikacyjnych olbrzymiokomórkowego zapalenia tętnic według Amerykańskiego Towarzystwa Reumatologicznego nie należy:
Pytanie 23
Zespół „jeden i pół” jest zaliczany do:
Pytanie 24
Które zmiany nie są zaliczane do kryteriów diagnostycznych nerwiakowłókniakowatości typu 1?
Pytanie 25
Przyczyną nieinfekcyjnego zapalenia nerwu wzrokowego może być:
Pytanie 26
W lewostronnym porażeniu nerwu bloczkowego wyrównawcze ustawienie głowy jest następujące:
Pytanie 27
Uszkodzenia skrzyżowania wzrokowego mogą powodować:
Pytanie 28
W przebiegu, której z chorób nie należy spodziewać się podwyższonego ciśnienia wewnątrzgałkowego?
Pytanie 29
Wskaż prawdziwe stwierdzenia dotyczące skurczu odruchu do bliży (skurczu konwergencyjno-akomodacyjnego):
1) często ma podłoże psychogenne;
2) wiąże się z obustronnym symetrycznym poszerzeniem źrenic;
3) kąt zeza zbieżnego jest zmienny i czasem przechodzi w ortotropię;
4) występuje ograniczenie odwodzenia przy zwrotach gałek ocznych;
5) chorzy dobrze reagują na cykloplegiki;
6) w leczeniu przeciwwskazane jest stosowanie toksyny botulinowej.
Prawidłowa odpowiedź to:
Pytanie 30
Wyrównawczy skręt głowy w lewo u pacjenta z zezem może być wywołany przez:
Pytanie 31
Rodzice zgłosili się z powodu podejrzenia zeza rozbieżnego, który obserwują od pewnego czasu u swego 3-letniego dziecka. Wskaż prawdziwe stwierdzenie dotyczące wyniku badania pacjenta:
Pytanie 32
Leczenie niedowidzenia u dotychczas nieleczonego 3-letniego dziecka z obniżeniem ostrości wzroku w oku niedowidzącym do 0,63 na tablicach Lea, przy pełnej ostrości wzroku w drugim oku należy rozpocząć od:
Pytanie 33
Które z poniższych nie stanowi wskazania do zastosowania korekcji pryzmatycznej?
Pytanie 34
4-letni chłopiec zgłosił się z rodzicami w celu leczenia zeza zbieżnego. W badaniu refrakcji po cykloplegii stwierdza się OP +4,0 Dsph, OL +6,5 Dsph. Ostrość wzroku na tablicach Lea OP 1,0, OL 0,63. Zez zbieżny w naprzemiennym teście zasłaniania Dal +20 dpt, Bliż +45 dpt. Bliż z soczewką +3,0 Dsph: +20 dpt. W okularach Bagoliniego dziecko widzi X. Która z metod leczenia nie znajdzie zastosowania w tym przypadku?
Pytanie 35
Jaki jest mechanizm jaskry pierwotnie zamkniętego kąta przesączania w przebiegu zespołu płaskiej tęczówki (iris plateau)?
Pytanie 36
Który z typów jaskry nie należy do jaskry wtórnej otwartego kąta przesączania?
Pytanie 37
Zespół Uveitis-Glaucoma-Hyphema (UGH) charakteryzuje się przewlekłym stanem zapalnym, podwyższonym ciśnieniem wewnątrzgałkowym, nawracającymi krwotokami do komory przedniej oraz torbielowatym obrzękiem plamki i wtórną neowaskularyzacją tęczówki. Jest on najczęściej spowodowany:
Pytanie 38
Jaskra posteroidowa (indukowana kortykosteroidami) jest jaskrą wtórną otwartego kąta spowodowaną ich przedłużonym stosowaniem w kroplach, okołogałkowo, w inhalacjach i ogólnie. Czynnikiem ryzyka wystąpienia tego rodzaju jaskry nie jest:
Pytanie 39
Co może spowodować zamknięcie kąta przesączania w mechanizmie pociągania tęczówki ku przodowi prowadzącego do kontaktu z utkaniem beleczkowania?
Pytanie 40
Nieprzenikający lub tępy uraz oka może być powodem wystąpienia zwyżek ciśnienia wewnątrzgałkowego w następującym mechanizmie:
Pytanie 41
Wskaż prawdziwe stwierdzenie dotyczące naczyń krwionośnych występujących w kącie przesączania:
Pytanie 42
Objawem charakterystycznym dla udaru przysadki nie jest:
Pytanie 43
Cechą charakterystyczną druzów tarczy nerwu II jest:
Pytanie 44
W leczeniu samoistnego nadciśnienia śródczaszkowego kontrowersyjne jest:
Pytanie 45
Które z badań elektrofizjologicznych jest najbardziej przydatne we wczesnej diagnostyce dziedzicznej neuropatii nerwu wzrokowego Lebera?
Pytanie 46
Kluczowym diagnostycznym testem niekompletnej postaci wrodzonej stacjonarnej ślepoty nocnej jest:
Pytanie 47
Wskaż prawdziwe stwierdzenia dotyczące gruczolaka wielopostaciowego:
1) jest najczęstszym nowotworem gruczołu łzowego pochodzenia nabłonkowego;
2) jest nowotworem łagodnym;
3) charakteryzuje się powolnym bezbolesnym wzrostem;
4) leczeniem z wyboru jest całkowite chirurgiczne wycięcie z marginesem zdrowych tkanek oczodołu;
5) biopsja guza jest wskazana w celu potwierdzenia rozpoznania.
Prawidłowa odpowiedź to:
Pytanie 48
Cechą charakterystyczną transformacji nowotworowej znamienia spojówki nie jest:
Pytanie 49
W izolowanym obwodowym porażeniu nerwu twarzowego nie stwierdza się:
Pytanie 50
Do cech świadczących o transformacji znamienia w czerniaka błony naczyniowej należy:
1) udokumentowany wzrost;
2) obecność cienia akustycznego w badaniu USG;
3) nieobecność „halo”;
4) obecność pomarańczowego barwnika na powierzchni zmiany;
5) obecność druz.
Prawidłowa odpowiedź to:
Pytanie 51
W celu pokrycia ubytku powieki dolnej obejmującego do 30% centralnej powieki najlepszą metodą rekonstrukcji jest:
Pytanie 52
Do standardowych metod postępowania w przypadku stwierdzenia czerniaka błony naczyniowej należy:
1) endoresekcja guza;
2) egzoresekcja;
3) brachyterapia;
4) terapia protonowa;
5) enukleacja.
Prawidłowa odpowiedź to:
Pytanie 53
Wskaż fałszywe stwierdzenie:
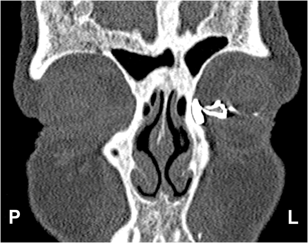
Pytanie 54
Rycina przedstawia obraz badania:

Pytanie 55
Konoida Sturma to:
Pytanie 56
Pozostałością po leczeniu retinopatii wcześniaków (ROP) może być:
Pytanie 57
Brązowo-żółty pierścień Kaysera-Fleischera oraz zmiany soczewki opisywane jako „zaćma słonecznikowa” występują u pacjentów z:
Pytanie 58
Zaburzenie widzenia barw (dyschromatopsja) występuje u pacjentów:
Pytanie 59
Dyskretna dyschromatopsja, zaburzenie widzenia barw w osi czerwono-zielonej oraz w osi żółto-niebieskiej może wystąpić u pacjentów:
Pytanie 60
Zmiana koloru tęczówek może wystąpić u pacjentów przyjmujących:
Pytanie 61
Przemieszczenie soczewki jest typowe dla:
1) zespołu Marfana;
2) homocystynurii;
3) niedoboru oksydazy siarczanowej;
4) rubeozy tęczówki;
5) soczewki kulistej.
Prawidłowa odpowiedź to:
Pytanie 62
Stożek soczewki występuje w:
1) zespole Alporta;
2) trisomii chromosomu 21;
3) niedoborze oksydazy siarczanowej;
4) rubeozie tęczówki;
5) dyschromatopsji.
Prawidłowa odpowiedź to:
Pytanie 63
Pierwsze profilaktyczne badanie okulistyczne u dzieci przedwcześnie urodzonych należy wykonać:
Pytanie 64
Objaw nietypowy dla jaskry pierwotnej wrodzonej to:
Pytanie 65
Odwarstwienie siatkówki otworopochodne bez zajęcia plamki u dzieci należy leczyć:
Pytanie 66
Obustronną zaćmę wrodzoną całkowitą operuje się u niemowlęcia:
Pytanie 67
U półrocznego dziecka pojawił się zez jednego oka. Wskaż właściwe postępowanie:
Pytanie 68
Wskaż fałszywe stwierdzenie dotyczące zwyrodnieniowej krótkowzroczności:
Pytanie 69
Wskaż prawdziwe stwierdzenia dotyczące objawów centralnej surowiczej chorioretinopatii:
1) płyn podsiatkówkowy gromadzi się pod częścią neurosensoryczną siatkówki;
2) naczyniówka w optycznej koherentnej tomografii jest ścieńczała;
3) w autofluorescencji dna oka występują zaburzenia na poziomie RPE układające się zgodnie z siłą grawitacji, tworząc tzw. kapiącą konfigurację („ogon komety”);
4) powikłaniem choroby może być neowaskularyzacja podsiatkówkowa;
5) u części chorych obserwuje się redukcję płynu podsiatkówkowego po doustnym zastosowaniu blokerów kanału wapniowego.
Prawidłowa odpowiedź to:
Pytanie 70
Do okulisty zgłosił się 75-letni mężczyzna z utrzymującymi się i nasilającymi się od 3. tygodni mętami w polu widzenia i stopniowym pogorszeniem widzenia oka prawego. W wywiadzie nadciśnienie tętnicze, rak płuca prawego w trakcie chemioterapii. W badaniu okulistycznym stwierdzono BCVA PO - 0,2, LO - 0,8. Przedni odcinek PO - mierny odczyn zapalny w przedniej komorze z indeksem komórek zapalnych +2. Przedni odcinek LO - prawidłowy. W badaniu oftalmoskopowym w ciele szklistym oka prawego stwierdzono obecność mętów oraz kremowe puszyste ognisko zapalne zlokalizowane przy łuku naczyniowym skroniowo-górnym z towarzyszącymi krwotokami środsiatkówkowymi oraz pochewkami wzdłuż naczyń żylnych w okolicy nacieku zapalnego. Poza tym w dnie oka prawego nie stwierdzono innych patologii. Dno LO - poza łagodną postacią retinopatii nadciśnieniowej bez istotnych odchyleń od stanu prawidłowego. Najbardziej prawdopodobnym rozpoznaniem jest:
Pytanie 71
Które z cech są typowe dla pierwotnego zaniku nerwu wzrokowego?
1) ostre granice tarczy nerwu wzrokowego;
2) źle widoczna blaszka sitowa;
3) brak zmian w siatkówce wokół tarczy nerwu wzrokowego;
4) miąższ tarczy nerwu wzrokowego jest kredowo-biały;
5) mogą być obecne płomykowate wybroczyny na brzegu tarczy nerwu wzrokowego.
Prawidłowa odpowiedź to:
Pytanie 72
Do okulisty zgłosiła się 45-letnia kobieta z silnym bólem głowy i gałki ocznej lewej. Dolegliwościom bólowym oka lewego towarzyszyło pogorszenie widzenia tym okiem. Pacjentka zgłaszała nasilający się ból oka lewego zwłaszcza przy ruchach gałki ocznej. U chorej stwierdzono: BCVA PO - 1,0, LO - 0,2, Ta PO 13 mmHg i Ta LO 25 mmHg. Badanie fizykalne gałki ocznej lewej wykazało mierne przekrwienie oka, przednią komorę prawidłowej głębokości, płyn przednio-komorowy bez obecności komórek zapalnych, źrenica równa, okrągła, reaktywna, soczewka przezierna. W dnie oka lewego stwierdzono tarczę nerwu II o zatartych granicach z cechami obrzęku oraz ograniczone wysiękowe odwarstwienie siatkówki obejmujące tylny biegun dna oka. Które z badań jest najbardziej wskazane w postawieniu właściwego rozpoznania?
Pytanie 73
Wskaż fałszywe stwierdzenie dotyczące jaskry złośliwej:
Pytanie 74
Zwiększenie mocy wszczepianej soczewki wewnątrzgałkowej będzie konieczne, gdy:
Pytanie 75
Które ze schorzeń nie predysponuje do neowaskularyzacji tęczówki?
Pytanie 76
Zaćma obustronna wrodzona nie występuje w:
Pytanie 77
Która ze zmian stwierdzanych podczas badania dna oka jest charakterystyczna dla zespołu Gardnera?
Pytanie 78
Najczęstszą tkanką oka zajętą w białaczkach jest:
Pytanie 79
Wskaż fałszywe stwierdzenie dotyczące raka podstawnokomórkowego skóry:
Pytanie 80
Wskaż fałszywe stwierdzenie dotyczące guzów przerzutowych do gałki ocznej:
Pytanie 81
Czynnikiem sugerującym złośliwość zmiany barwikowej tęczówki nie jest:
Pytanie 82
Wskaż fałszywe stwierdzenie dotyczące badania elektrookulografii (EOG):
Pytanie 83
Wskaż prawdziwe stwierdzenie dotyczące pasm naczyniastych:
Pytanie 84
Reguła 4:2:1 w retinopatii cukrzycowej oznacza obecność:
Pytanie 85
Wskaż prawdziwe stwierdzenie dotyczące ostrej neuroretinopatii plamkowej (AMN, Acute Macular Neuroretinopathy):
Pytanie 86
Który z zespołów i zaburzeń nie jest związany z częstszym występowaniem wysokiej krótkowzroczności?
Pytanie 87
Wskaż prawdziwe stwierdzenie dotyczące neowaskularyzacji plamkowej typu trzeciego:
Pytanie 88
Wskaż fałszywe stwierdzenie dotyczące naczyniówki:
Pytanie 89
Wskaż fałszywe stwierdzenie:
Pytanie 90
Wskaż fałszywe stwierdzenie:
Pytanie 91
Do kategorii bezpieczeństwa C wg FDA nie należy:
Pytanie 92
Widzenie niebieskich pierścieni lub zmian typu „halo” wokół źródeł światła może być efektem ubocznym stosowania:
Pytanie 93
Wskaż fałszywe stwierdzenie:
Pytanie 94
Do kategorii bezpieczeństwa B wg FDA należy:
Pytanie 95
Wskaż fałszywe stwierdzenie dotyczące przełomu jaskrowo-rzęskowego:
Pytanie 96
Objawem ubocznym miotyków nie jest:
Pytanie 97
Złogi barwnika na przedniej oraz tylnej powierzchni torebki soczewki w pobliżu jej równika stwierdzane w oczach z zespołem rozproszonego barwnika określa się jako linia:
Pytanie 98
Powstawanie złogów w rogówce może być spowodowane przewlekłym stosowaniem:
1) niesteroidowych leków przeciwzapalnych;
2) amiodaronu;
3) glikozydów nasercowych;
4) leków blokujących receptory β-adrenergiczne;
5) chlorochiny.
Prawidłowa odpowiedź to:
Pytanie 99
Który ze stanów będzie dyskwalifikował pacjenta z zabiegu wszczepienia soczewki fakijnej do komory tylnej oka?
Pytanie 100
Wskaż fałszywe stwierdzenie dotyczące operacji pacjentów po keratotomii radialnej:
Pytanie 101
Który ze stanów dyskwalifikuje pacjentów z zabiegu laserowej korekcji wady wzroku?
Pytanie 102
Wskaż prawdziwe stwierdzenie dotyczące techniki SMILE stosowanej w korekcji wad wzroku:
Pytanie 103
25-letnia pacjentka z krótkowzrocznością OP -10,5 Dsph/-2,5 Dcyl ac 170, OL -9,5 Dsph/-3,0 Dcyl ax165, OP Kmin 41,0 D Kmax 43,5 D OL Kmin 40,5 D Kmax 43,0 D pachymetria OP 0,498 mm OL 0,501 mm. WTW 12,3 mm. Głębokość komory przedniej mierzonej od śródbłonka rogówki OP 3,15 mm OL 3,05 mm. Gęstość komórek śródbłonka OPL 2900 kk/mm2. Pupilometria w warunkach mezotopowych 6,7 mm. Który z zabiegów będzie najbardziej odpowiedni?
Pytanie 104
W której z sytuacji nie jest konieczne zastosowanie protokołów korekcji opartych na analizie czoła fali lub topografii rogówki?
Pytanie 105
Które z powikłań nie jest typowe dla powierzchownych ablacji laserowych?
Pytanie 106
Wskaż prawdziwe stwierdzenia dotyczące krzywej rozogniskowania soczewki wewnątrzgałkowej:
1) tworzy się, gdy pacjent patrzy przez soczewkę wieloogniskową;
2) daje informację co pacjent zobaczy z różnych odległości;
3) wpływa na nią szerokość źrenicy;
4) wpływa na nią astygmatyzm;
5) rozogniskowanie -3 D sugeruje, że pacjent widzi dobrze z 30 cm.
Prawidłowa odpowiedź to:
Pytanie 107
Wskaż fałszywe stwierdzenie dotyczące analogów prostaglandyn w leczeniu jaskry:
Pytanie 108
Przeciwwskazaniem do trabekuloplastyki laserowej nie jest:
Pytanie 109
Czynnikiem ryzyka wystąpienia czerniaka naczyniówki nie jest:
Pytanie 110
W badaniu oftalmoskopowym stwierdzono przy brzegu tarczy mocno ubarwiony, wręcz czarny guz o wielkości 1 dd. Rozpoznano melanocytomę. Wskaż dalsze postępowanie:
Pytanie 111
67-letni mężczyzna zgłosił się na badanie okulistyczne z powodu postępującej starczowzroczności. W badaniu dna oka uwidoczniono nieregularne uniesienie siatkówki, które po badaniach dodatkowych (USG, AF, OCT) rozpoznano jako przerzut ze źródła pierwotnego o nieustalonym umiejscowieniu w organizmie. Biorąc pod uwagę częstość występowania przerzutów do gałki ocznej, badania diagnostyczne mające na celu ustalić źródło pierwotne należy zacząć od:
Pytanie 112
Na badanie zgłosiła się matka z 5-letnim dzieckiem podając, że oko lewe wieczorami lub w okresach rozkojarzenia zezuje na zewnątrz, problem występuje od 3. roku życia, ale nie nasila się. Dziecko dopytane podaje okresowo podwójne widzenie występujące mniej więcej raz w tygodniu, gdy jest zmęczone, szybko jednak ustępuje. W badaniu ujawniono ortoforię w pozycji pierwotnej, w teście zasłaniania do bliży odchylenie rozbieżne oka lewego 5 PD, do dali 12 PD, potwierdzono eksces dywergencji. Po odsłonięciu badanego oka dziecko szybko wraca do równoległego ustawienia. W pomiarze refrakcji OP -0,25 Dsph, OL -0,5 Dsph po cykloplegii, Vis w korekcji 1,0 dla obojga oczu, fuzja -. W pierwszej kolejności należy:
Pytanie 113
Okulista zostaje wezwany na pediatryczny SOR do 8-letniego dziecka z prawostronnym obrzękiem powiek uniemożliwiającym samoczynne otworzenie oka. Dodatkowo w zajętym obszarze występuje tkliwość, nadmierne ucieplenie, zaczerwienienie, po mechanicznym otwarciu szpary powiekowej niewielka ilość wydzieliny ropnej. Temperatura ciała wynosi 38,9°C, CRP 100 mg/l. W wywiadzie bez urazów. Na pytanie rodzica co jest najczęstszą przyczyną tego schorzenia okulista powinien odpowiedzieć:
Pytanie 114
Wskaż prawdziwe stwierdzenia:
1) skojarzone spojrzenie na wprost rozwija się u noworodków w 3. miesiącu życia;
2) skojarzone spojrzenie pionowe rozwija się u noworodków w 6. miesiącu życia;
3) okresowy zez może wystąpić nawet u ⅓ noworodków;
4) gdy wystąpi zez okresowy najczęściej ustępuje samoistnie do ukończenia 2.-3. miesiąca życia;
5) akomodacja i konwergencja rozwijają się u noworodka w 3. miesiącu życia.
Prawidłowa odpowiedź to:
Pytanie 115
Soczewka wewnątrzgałkowa wykorzystująca aberracje sferyczne do uzyskania wydłużonej ogniskowej, a co za tym idzie większej głębi ostrości to soczewka typu:
Pytanie 116
Wskaż prawdziwe stwierdzenie dotyczące leczenia przeciwjaskrowego kroplami:
Pytanie 117
Prawidłowy poziom menisku łzowego wynosi:
Pytanie 118
Obrazowanie ciała rzęskowego wykonuje się za pomocą:
Pytanie 119
Zaznacz zmianę niepredysponującą do odwarstwienia siatkówki:
Pytanie 120



