Wyszukaj egzamin lub pytanie
Egzamin PES Neurologia / wiosna 2015
120 pytań
Pytanie 1
Wskaż fałszywe stwierdzenie dotyczące SM:
Pytanie 2
Wskaż prawdziwe stwierdzenia dotyczące SM:
1) aktywność limfocytów supresorowych jest zwiększona;
2) w SM dochodzi do uszkodzenia aksonów;
3) ciąża wpływa na aktywność rzutową w tym okresie;
4) czynniki genetyczne warunkują podatność na rozwój demielinizacji;
5) reakcja immunologiczna jest poliklonalna i skierowana przeciwko kilku antygenom.
Prawidłowa odpowiedź to:
Pytanie 3
Wskaż prawdziwe stwierdzenie dotyczące SM:
1) zmęczenie występuje u 59-85% chorych;
2) niekorzystnym czynnikiem rokowniczym jest początek wieloobjawowy;
3) postać pierwotnie postępująca występuje u 10-15% chorych;
4) nerwoból nerwu trójdzielnego jest rzadkim objawem choroby;
5) w chorobie występują zaburzenia funkcji poznawczych.
Prawidłowa odpowiedź to:
Pytanie 4
Wskaż fałszywe stwierdzenia dotyczące zmęczenia w stwardnieniu rozsianym:
1) zależy od stopnia niesprawności fizycznej;
2) często poprzedza rzut choroby;
3) istnieje związek z depresją i niedoborem snu;
4) w leczeniu stosuje się amantadynę.
Prawidłowa odpowiedź to:
Pytanie 5
U pacjenta 30-letniego wystąpiły dwa rzuty w postaci zapalenia pozagałkowego prawego nerwu wzrokowego. W której z niżej wymienionych sytuacji można rozpoznać SM?
Pytanie 6
Wskaż prawdziwe stwierdzenia dotyczące zmian w płynie mózgowo-rdzeniowym w stwardnieniu rozsianym:
1) prążki oligoklonalne występują u około 90% chorych;
2) stężenie IgG podwyższone jest u około 50% pacjentów;
3) stężenie białka jest prawidłowe lub nieznacznie podwyższone u 50% chorych;
4) stężenie glukozy jest obniżone u 20% chorych;
5) liczba limfocytów jest nieprawidłowa u około 60% pacjentów.
Prawidłowa odpowiedź to:
Pytanie 7
Wśród następujących czynników wskaż te, które są korzystne rokowniczo w SM:
1) początkowe objawy czuciowe lub zapalenie nerwu wzrokowego;
2) początek jednoobjawowy;
3) początek choroby przed 35 rokiem życia;
4) występowanie objawów móżdżkowych;
5) uszkodzenie dróg korowo-rdzeniowych.
Prawidłowa odpowiedź to:
Pytanie 8
Wskaż prawdziwe stwierdzenia dotyczące terapii SM:
1) interferony beta mogą powodować objawy rzekomogrypowe;
2) octan glatirameru zawiera mieszankę polimerów czterech aminokwasów;
3) plazmafereza może być stosowana w ostrych rzutach choroby;
4) natalizumab redukuje częstość rzutów choroby o około 30%;
5) tizanidyna jest lekiem wpływającym na zmniejszenie spastyki.
Prawidłowa odpowiedź to:
Pytanie 9
Który z niżej wymienionych leków stosowanych w terapii SM powoduje wśród objawów ubocznych postępującą wieloogniskową leukoencefalopatię (PML)?
Pytanie 10
Gwiaździaki złośliwe należą do III i IV stopnia wg. klasyfikacji Światowej Organizacji Zdrowia, WHO. Nie należy do nich:
Pytanie 11
W barwieniach histologicznych PAS oraz na włókna kolagenowe- van Gieson, czerwone zabarwienie ścian naczyń krwionośnych ryc.1 i ryc 2, wskazuje na następującą patologię naczyń:

Pytanie 12
W ocenie neuropatologicznej, rozpoznanie wysoce prawdopodobnej choroby Alzheimera, można postawić gdy w mózgu po śmierci wykazano obecność:
Pytanie 13
W skład jąder podkorowych mózgu/zwojów podstawy (basal ganglia) wchodzi ciało prążkowane (corpus striatum), które składa się z czterech wymienionych podjednostek (oznaczonych gwiazdkami). W skład ciała prążkowanego nie wchodzi:

Pytanie 14
Mózgowa angiopatia amyloidowa (CAA) jest częstą przyczyną następującej choroby naczyniowej mózgu:
Pytanie 15
Która z wymienionych chorób należy do chorób demielinizacyjnych, a nie do dysmielinizacyjnych jak pozostałe z wymienionych chorób?
Pytanie 16
Do neurogleju, który rozwija się z ektodermy nie zalicza się jednej z wymienionych komórek gleju, która wywodzi się z mezodermy:
Pytanie 17
W ścianie tętniczki (L-światło naczynia, EC- komórka śródbłonka, MC- komórka mięśnia gładkiego) strzałkami oznaczono leżące w błonie podstawnej:

Pytanie 18
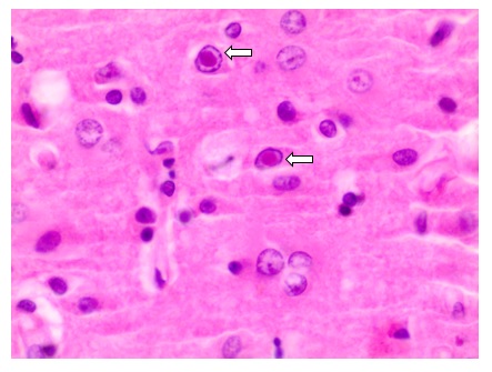
W barwieniu hematoksyliną-eozyną- eozynofilne wtręty śródjądrowe, typu Cowdry A (oznaczone strzałkami) wskazują na następującą jednostkę chorobową:

Pytanie 19
Przyczyną idiopatycznej padaczki uogólnionej mogą być wymienione zmiany rozwojowe, z wyjątkiem:
Pytanie 20
W badaniu metodą rezonansu magnetycznego mózgu u pacjenta z udarem niedokrwiennym mózgu prawdą jest że:
1) w okresie 0-6 godzin od zachorowania obraz w sekwencji T1 może nie wykazywać „świeżego” ogniska niedokrwienia;
2) w okresie 0-6 godzin od zachorowania obraz w sekwencji T2 zwykle wykazuje „świeże” ognisko niedokrwienne;
3) opcja T* jest sekwencją najszybciej wykazującą „świeże” niedokrwienie mózgu;
4) „świeże” ognisko niedokrwienne mózgu w okresie 0-6 godzin od zachorowania ma obraz hiperintensywny w sekwencji DWI i hipointensywny w ADC.
Prawidłowa odpowiedź to:
Pytanie 21
W przypadku pacjenta z wysokim ciśnieniem tętniczym > 220/110 mmHg z udarem niedokrwiennym mózgu, u którego planujemy leczenie trombolityczne prawdą jest że:
Pytanie 22
Wskaż prawdziwe stwierdzenia dotyczące obrazu klinicznego zespołu CADASIL:
1) choroba rozpoczyna się zwykle po 60 r.ż;
2) pierwszymi objawami są najczęściej napady padaczkowe;
3) choroba rozpoczyna się od udarów niedokrwiennych mózgu lub TIA (85% przypadków);
4) udary mózgu występujące w przebiegu zespołu zwykle są lakunarne i dotyczą istoty białej;
5) choroba ma przebieg postępujący.
Prawidłowa odpowiedź to:
Pytanie 23
Na obraz kliniczny zespołu PRESS oprócz wzrostu ciśnienia tętniczego składają się najczęściej:
1) napady padaczkowe niedrgawkowe;
2) zaburzenia widzenia (widzenie za mgłą, kwadrantowe ubytki pola widzenia, niedowidzenie połowicze, nawet ze ślepotą korową);
3) bóle głowy z reguły połowicze;
4) nudności, wymioty;
5) spowolnienie ruchowe, senność, splątanie, a nawet śpiączka.
Prawidłowa odpowiedź to:
Pytanie 24
Wskaż stany będące częstą przyczyną krwotoku śródmózgowego:
1) tętniak mózgu;
2) naczyniak jamisty;
3) zakrzepica żylna;
4) naczyniak tętniczo-żylny;
5) żylna anomalia rozwojowa.
Prawidłowa odpowiedź to:
Pytanie 25
Gdzie najczęściej są zlokalizowane tętniaki naczyń mózgowych?
Pytanie 26
Najwcześniej ognisko niedokrwienne można stwierdzić w następujących sekwencjach rezonansu magnetycznego:
Pytanie 27
Wskazaniami do stosowania rywaroksabanu są:
1) przebyty udar niedokrwienny mózgu w przebiegu niezastawkowego migotania przedsionków;
2) leczenie zakrzepicy żył głębokich u pacjenta po przebytym udarze niedokrwiennym mózgu;
3) przebyty udar niedokrwienny mózgu u pacjenta z wszczepioną biologiczną zastawką mitralną;
4) zakrzepica żył wewnątrzczaszkowych;
5) zespół antyfosfolipidowy.
Prawidłowa odpowiedź to:
Pytanie 28
Zaburzenia ruchowe polekowe mogą powodować:
Pytanie 29
Wskaż prawdziwe stwierdzenie dotyczące choroby Huntingtona:
Pytanie 30
Niezależnym predyktorem dyskinez polekowych w przebiegu leczenia lewodopą jest/są:
Pytanie 31
Wskaż prawdziwe stwierdzenia dotyczące choroby Parkinsona:
1) drżenie najlepiej poprawia się po leczeniu lewodopą;
2) fluktuacje ruchowe i dyskinezy występują rzadko po leczeniu lewodopą;
3) zaburzenia psychotyczne nie należą do działań niepożądanych podczas przewlekłej terapii lewodopą;
4) w trakcie leczenia lewodopą każdy objaw choroby Parkinsona ulega poprawie w różnym stopniu;
5) lewodopa wyraźnie działa na spowolnienie i sztywność mięśniową.
Prawidłowa odpowiedź to:
Pytanie 32
Cechą charakterystyczną postępującego porażenia nadjądrowego są:
1) zespół parkinsonowski;
2) omamy;
3) oftalmoplegia nadjądrowa;
4) hipotonia ortostatyczna;
5) upadki we wczesnym okresie choroby.
Prawidłowa odpowiedź to:
Pytanie 33
Wskaż typowe objawy opryszczkowego zapalenia mózgu:
1) zaburzenia świadomości;
2) ruchy pląsawicze;
3) bóle głowy;
4) drgawki;
5) spadki ciśnienia tętniczego krwi.
Prawidłowa odpowiedź to:
Pytanie 34
Leki stosowane w leczeniu zapalenia opon mózgowo-rdzeniowych wywołanego przez Listeria monocytogenes to:
1) trimetoprim/sulfametoksazol;
2) cefalosporyna;
3) streptomycyna;
4) penicylina G;
5) ampicylina.
Prawidłowa odpowiedź to:
Pytanie 35
Niedowład połowiczy po stronie przeciwnej to spotykane powikłanie:
1) natychmiastowe półpaśca ocznego;
2) po wielu tygodniach po półpaścu ocznym;
3) natychmiastowe półpaśca usznego;
4) półpaśca w obrębie tułowia;
5) półpaśca w obrębie zwojów rdzeniowych.
Prawidłowa odpowiedź to:
Pytanie 36
Wskaż fałszywe stwierdzenia dotyczące leptospirozy u ludzi:
1) do zakażenia dochodzi poprzez kontakt z wydalinami chorych zwierząt;
2) występuje zapalenie opon mózgowo-rdzeniowych;
3) u chorego może wystąpić skaza krwotoczna;
4) w okresie późniejszym choroby pojawiają się dodatnie odczyny serologiczne;
5) leczenie rozpoczyna się od podawania wankomycyny.
Prawidłowa odpowiedź to:
Pytanie 37
Najskuteczniejszą metodą leczenia w zespole Guillaina-Barrego jest:
1) plazmafereza;
2) immunoglobuliny;
3) acyklowir;
4) sterydy;
5) cefalosporyny.
Prawidłowa odpowiedź to:
Pytanie 38
Wskaż fałszywe stwierdzenie dotyczące atypowych napadów nieświadomości:
Pytanie 39
Zmiany w płacie skroniowym są odpowiedzialne za następujący odsetek napadów ogniskowych z zaburzeniami świadomości:
Pytanie 40
Napady zgięciowe (zespół Westa) charakteryzują się następującymi cechami, z wyjątkiem:
Pytanie 41
Wskaż fałszywe stwierdzenie dotyczące padaczki mioklonicznej okresu młodzieńczego:
Pytanie 42
Wskaż fałszywe stwierdzenie dotyczące padaczki czołowej:
Pytanie 43
Współczynniki zapadalności na padaczkę są najwyższe wśród:
Pytanie 44
Wskaż fałszywe stwierdzenie dotyczące łagodnej ogniskowej padaczki wieku dziecięcego (padaczka z okolicy bruzdy Rolanda):
Pytanie 45
Na lekooporność napadów padaczkowych mają wpływ następujące czynniki, z wyjątkiem:
Pytanie 46
Do czynników ryzyka napadów padaczkowych nie należy:
Pytanie 47
Wskaż fałszywe stwierdzenie dotyczące stanu padaczkowego bezdrgawkowego:
Pytanie 48
U 82-letniego mężczyzny z rakiem płuca w wywiadzie, obciążonego cukrzycą typu 2, pojawiły się kilkupoziomowe bóle pleców, a badanie ujawniło osłabienie odruchów głębokich w kończynach dolnych. W pierwszej kolejności należy myśleć o:
Pytanie 49
W odniesieniu do nowotworów okolicy szyszynki prawidłowe są sformułowania:
1) stanowią około 20% guzów wieku dziecięcego;
2) objawy związane są głównie z ciasnotą wewnątrzczaszkową;
3) należą do nich nowotwory germinalne;
4) częstym zespołem klinicznym jest hipogonadyzm;
5) markerem nowotworów tej okolicy jest alfa-fetoproteina.
Prawidłowa odpowiedź to:
Pytanie 50
Biopsja stereotaktyczna mózgowia wykonywana jest w celu:
Pytanie 51
U chorych z wyściółczakiem istotne znaczenie rokownicze mają:
1) radykalność resekcji;
2) lokalizacja nowotworu;
3) płeć;
4) wiek pacjenta;
5) napady padaczkowe jako wczesny objaw guza.
Prawidłowa odpowiedź to:
Pytanie 52
Pierwotne zapalenie naczyń ośrodkowego układu nerwowego charakteryzuje się:
1) roczną zachorowalnością 5,0/milion osób;
2) zazwyczaj prawidłowymi wynikami badań laboratoryjnych;
3) niewielkimi, nieswoistymi zmianami w płynie mózgowo-rdzeniowym;
4) zwykle zajęciem małych naczyń;
5) niewielkim deficytem funkcji poznawczych.
Prawidłowa odpowiedź to:
Pytanie 53
Wątpliwości co do rozpoznania przemijającego napadu niedokrwiennego powinny nasuwać:
1) utrata przytomności;
2) afazja;
3) ślepota jednooczna;
4) zaburzenia zwieraczy;
5) nieukładowe zawroty głowy.
Prawidłowa odpowiedź to:
Pytanie 54
Wskaż prawdziwe stwierdzenie dotyczące skurczu naczyniowego w przebiegu krwotoku podpajęczynówkowego:
1) pojawia się zwykle w pierwszej dobie krwotoku;
2) dotyczy około 70% chorych;
3) powinno się mu zapobiegać, utrzymując prawidłowe lub nieco podwyższone ciśnienie tętnicze;
4) lekami z wyboru w zapobieganiu i zwalczaniu skurczu są preparaty nimodypiny;
5) pogarsza rokowanie u osób w starszym wieku.
Prawidłowa odpowiedź to:
Pytanie 55
Wskaż prawdziwe stwierdzenia dotyczące zakrzepicy wewnątrzczaszkowej:
1) dotyczy przede wszystkim osób młodych;
2) występuje częściej u mężczyzn;
3) należy do powikłań zespołu nerczycowego;
4) może rozpoczynać się nagłym bólem głowy;
5) powinna być leczona antykoagulantami przez 3-4 tygodnie.
Prawidłowa odpowiedź to:
Pytanie 56
Wskaż prawdziwe określenia, charakteryzujące chorobę Huntingtona:
1) należy do chorób poliglutaminowych;
2) początek jest wcześniejszy przy dużej liczbie powtórzeń tripletu CAG;
3) postać młodzieńcza choroby przebiega dużo wolniej;
4) w obrazie klinicznym występuje także dystonia;
5) tetrabenazyna jest lekiem skutecznym w postaci Westphala;
6) współistnieje depresja, ale ryzyko próby samobójczej jest niskie.
Prawidłowa odpowiedź to:
Pytanie 57
Do spektrum objawów choroby Parkinsona należą wszystkie wymienione, z wyjątkiem:
Pytanie 58
Chory lat 65 prezentuje postępujące od 3 lat zaburzenia chodu (chodzi na poszerzonej podstawie) oraz pogorszenie pamięci od roku. Próba palec-nos i pięta-kolano są prawidłowe. Od pół roku pojawiły się trudności z utrzymaniem moczu. W diagnostyce różnicowej obraz kliniczny najbardziej odpowiada rozpoznaniu:
Pytanie 59
Przymus wykonania ruchu może poprzedzać pojawienie się ruchu mimowolnego lub celowego. Wskaż zestaw zaburzeń dla których to stwierdzenie jest prawdziwe:
Pytanie 60
W leczeniu dyskinez pląsawiczych szczytu dawki, będących późnym powikłaniem choroby Parkinsona znajdują zastosowanie następujące metody postępowania:
Pytanie 61
Upadki są groźnym powikłaniem zespołów parkinsonowskich. Wskaż prawidłową charakterystykę schorzenia, gdzie występują one od samego początku choroby i są jej osiowym objawem:
Pytanie 62
Drżenie, które ma zawsze charakter objawowy, zwykle dużą amplitudę ruchów i pojawia się z pewną latencją od zadziałania czynnika sprawczego to:
Pytanie 63
Dystonia ma zwykle samoistny lub genetycznie uwarunkowany charakter, ale w niektórych swoich postaciach może być objawem innych chorób lub mieć inne przyczyny. Wskaż prawidłowy zestaw: schorzenie podstawowe - obraz dystonii:
Pytanie 64
Do leków zalecanych w leczeniu psychoz w chorobie Parkinsona należą:
1) amantadyna;
2) risperidon;
3) olanzapina;
4) kwetiapina;
5) selegilina;
6) pramipeksol;
7) klozapina.
Prawidłowa odpowiedź to:
Pytanie 65
30-letni mężczyzna od kilku miesięcy zauważa pogorszenie sprawności ruchowej - głównie zaburzenia chodu, trudności w wykonywaniu ruchów precyzyjnych (jest elektronikiem z zawodu). Nie wie dokładnie kiedy się to zaczęło. Matka nie leczy się przewlekle, z ojcem nie utrzymuje kontaktu, młodsza 6 lat siostra jest zdrowa. W badaniu stwierdzono: niepłynne ruchy gałek ocznych, niewielka ataksja czterech kończyn, o. ścięgniste symetryczne, żywe, bez o. patologicznych, chód na szerokiej podstawie. Jako najmniej prawdopodobne w diagnostyce różnicowej należy uznać:
Pytanie 66
26-letni mężczyzna pracujący jako spawacz, od kilku lat ma trudności w poruszaniu się: trudniej mu podbiec, ma uczucie sztywności nóg. Wie, że brat matki też ma podobne kłopoty i porusza się przy pomocy wózka inwalidzkiego. Rodzice nie leczą się przewlekle. W badaniu neurologicznym stwierdzono objawy paraparezy spastycznej oraz zniesienie odruchów skokowych.
Najmniej przydatnym w procesie diagnostycznym jest:
Pytanie 67
Znajoma prosi Cię o poradę w sprawie męża - 45-letniego mężczyzny, któremu „wykręca mu głowę”. Trwa to przynajmniej od kilku miesięcy, ale początkowo myślał, że odruchowo przechyla głowę w lewo z powodu uczucia napięcia i bólu w karku. Dwa lata wcześniej miał artroskopię prawego kolana, pali 20 papierosów dziennie od 25 lat, pracuje jako księgowy. Zanim zbadasz mężczyznę, zastanawiasz się nad badaniami, które mogą być pomocne. Za najmniej przydatne należy uznać:
Pytanie 68
60-letni mężczyzna skarży się na zaburzenia równowagi i chodu, mowy - parokrotnie został posądzony, że jest pijany. Źle toleruje też dłuższe stanie - robi mu się słabo, 4 razy w ciągu ostatnich 2 lat (tyle mniej więcej czasu trwają jego problemy) stracił na chwilę przytomność, przy czym raz z powodu doznanego przy upadku urazu głowy był w SORze. Neguje używki - uprawiał biegi przełajowe, nie leczy się przewlekle. W badaniu stwierdza się m.in. zespół móżdżkowy z dyzartrią, nieco hipomimiczną twarz, po pionizacji w teście Schellonga spadek skurczowego ciśnienia krwi o 30 mmHg. Najbardziej prawdopodobnym podejrzeniem jest:
Pytanie 69
Badasz 67-letniego mężczyznę, którego przyprowadziła żona zaniepokojona jego kłopotami z pamięcią. Od ok. 2 lat zauważyła, że mąż staje się coraz bardziej mrukliwy - unika kontaktów towarzyskich, nawiązywania nowych znajomości, przestał się interesować sportem (niegdyś zagorzały kibic piłkarski), nie czyta książek, od kiedy kupili nowy telewizor, nie potrafi poradzić sobie z jego obsługą, nie chce używać nowego telefonu komórkowego. Zaczął też zaniedbywać płacenie rachunków, zapomina o terminach uroczystości rodzinnych. Początkowo podejrzewano depresję związaną z przejściem na emeryturę, jednak mimo zażywania leków przeciwdepresyjnych, objawy się stopniowo nasilają. W badaniu nie stwierdzasz objawów ogniskowych, MMSE 22 pkt. Za najbardziej prawdopodobną diagnozę przyjmujesz:
Pytanie 70
Dla rozpoznania choroby Alzheimera kluczowym badaniem biochemicznym jest oznaczenie w płynie mózgowo-rdzeniowym:
Pytanie 71
Wiele chorób neurozwyrodnieniowych uwarunkowanych genetycznie dotyczy nie tylko układu nerwowego. Chorzy powinni być przynajmniej skonsultowani przez lekarza innej specjalności. W przypadku podejrzenia adrenoleukodystrofii w pierwszej kolejności pacjent powinien zostać skierowany do:
Pytanie 72
Przeciwwskazaniem do głębokiej stymulacji mózgu w chorobie Parkinsona nie jest:
Pytanie 73
Najczęstszą przyczyną otępienia w populacji europejskiej jest:
Pytanie 74
Drżenie pozycyjne kończyn górnych powinno być leczone preparatami lewodopy ponieważ drżenie samoistne często wyprzedza objawy choroby Parkinsona.
Pytanie 75
U 75-letniego chorego z 8-letnim wywiadem choroby Parkinsona, leczonego lewodopą w dawce 4 x 250 mg na dobę i amantadyną w dawce 2 x 100 mg na dobę, pojawiły się halucynacje. Pierwszą reakcją lekarza powinno być:
Pytanie 76
U dziecka z objawami dystonii, które pojawiły się w 7. roku życia, należy w pierwszej kolejności podać:
Pytanie 77
W leczeniu drżenia samoistnego opisywano poprawę przy leczeniu poniższymi lekami, z wyjątkiem:
Pytanie 78
Objawy parkinsonowskie mogą się pojawić w następstwie leczenia poniższymi lekami, z wyjątkiem:
Pytanie 79
Dystonia wtórna może być następstwem:
1) udaru mózgu;
2) stwardnienia rozsianego;
3) chorób autoimmunologicznych;
4) chorób mitochondrialnych;
5) zażywania niektórych leków.
Prawidłowa odpowiedź to:
Pytanie 80
Fluktuacje i dyskinezy w przebiegu leczenia choroby Parkinsona są wskazaniem do:
Pytanie 81
Badanie genetyczne w kierunku wykrycia mutacji DYT1 jest wskazane u:
Pytanie 82
Głęboka stymulacja mózgu jest stosowana w leczeniu:
Pytanie 83
Zespół Lennoxa-Gastauta charakteryzują:
1) cechy hipsarytmii w EEG;
2) prawidłowy rozwój umysłowy;
3) we wczesnym okresie obserwuje się często napady zgięciowe;
4) opóźnienie rozwoju umysłowego;
5) w większości są to przypadki idiopatyczne;
6) najczęściej jest to padaczka ustępująca w wieku dojrzałym.
Prawidłowa odpowiedź to:
Pytanie 84
Wskaż leki przeciwpadaczkowe o szerokim spektrum terapeutycznym:
1) lewetyracetam;
2) kwas walproinowy;
3) zonisamid;
4) retigabina;
5) lamotrygina;
6) etosuksymid.
Prawidłowa odpowiedź to:
Pytanie 85
Pacjent dotychczas nie chorował. Obecnie od około 15 roku życia występują epizody zrywania w zakresie kończyn górnych zwykle po przebudzeniu (często przy śniadaniu przewraca naczynia). Dodatkowo występują napady toniczne-kloniczno uogólnione w ciągu dnia. Rozwój umysłowy prawidłowy. Pacjent jest jedynakiem a w rodzinie nie było przypadków padaczki. Wskaż najbardziej prawdopodobne rozpoznanie:
Pytanie 86
Ryzyko nawrotu napadu po pierwszym w życiu incydencie napadu padaczkowego u dzieci i dorosłych w ciągu 2 kolejnych lat wynosi:
Pytanie 87
Wskaż prawdziwe stwierdzenia dotyczące zespołu nagłej, niewytłumaczonej śmierci w padaczce (SUDEP):
1) występuje z jednakową częstością jak w populacji ogólnej;
2) występuje 5-krotnie częściej u osób z padaczką niż w populacji ogólnej;
3) występuje 25-krotnie częściej u osób z padaczką niż w populacji ogólnej;
4) obejmuje przypadki osób, u których stwierdzono współistniejącą chorobę serca;
5) czynnikiem ryzyka są niekontrolowane napady padaczkowe;
6) czynnikiem ryzyka jest podawanie leków przeciwpadaczkowych.
Prawidłowa odpowiedź to:
Pytanie 88
Wskaż czynniki obniżające próg drgawkowy:
1) deprywacja snu;
2) hiperwentylacja;
3) palenie papierosów;
4) estrogeny;
5) progesteron;
6) alkohol etylowy.
Prawidłowa odpowiedź to:
Pytanie 89
Leki przeciwpadaczkowe, które mają wpływ na działanie leków antykoncepcyjnych to:
1) karbamazepina;
2) gabapentyna;
3) kwas walproinowy;
4) fenytoina;
5) lewetyracetam.
Prawidłowa odpowiedź to:
Pytanie 90
Pacjent praworęczny od około 10 roku życia podaje epizody zaburzeń świadomości, poprzedzone często bólami brzucha. Pacjent nieruchomieje patrząc w dal a następnie wykonuje ruchy rękoma rozpinając i zapinając guziki koszuli. Często występują również napady uogólnione toniczno-kliniczne. W MRI obecna znaczna asymetria w zakresie struktur przyśrodkowych płatów skroniowych z cechami atrofii i podwyższonym sygnałem po stronie prawej. Leczenie farmakologiczne przyniosło tylko częściową poprawę. W dzieciństwie rodzice obserwowali drgawki gorączkowe. Postępowaniem z wyboru dla tego pacjenta jest kwalifikacja do:
Pytanie 91
Wskaż prawdziwe stwierdzenie dotyczące padaczki częściowej ciągłej:
1) jest łagodną formą padaczki o spontanicznej remisji;
2) wywołana jest strukturalnym uszkodzeniem mózgu;
3) polega na stałych wyładowaniach w EEG bez manifestacji klinicznej;
4) często wiąże się z wtórnym uogólnieniem;
5) może rozpocząć się w każdym wieku;
6) jest zespołem uwarunkowanym genetycznie.
Prawidłowa odpowiedź to:
Pytanie 92
Zespoły padaczkowe o bardzo dobrym rokowaniu co do trwałej spontanicznej remisji napadów to:
1) nocna padaczka płata czołowego;
2) młodzieńcza padaczka miokloniczna;
3) drgawki gorączkowe proste;
4) zespół Westa;
5) padaczka z okolicy bruzdy Rolanda.
Prawidłowa odpowiedź to:
Pytanie 93
Zaburzenia psychopatologiczne związane z padaczką najczęściej charakteryzują się:
1) występowaniem w okresie bezpośrednio ponapadowym;
2) występują jako niezależna manifestacja choroby psychicznej;
3) najczęściej występują w okresie międzynapadowym;
4) zwykle są łagodne i nie wymagają leczenia;
5) mogą stanowić behawioralną manifestację porażenia Todda.
Prawidłowa odpowiedź to:
Pytanie 94
Wskaż leki przeciwpadaczkowe, które mogą wywoływać hiponatremię:
1) karbamazepina;
2) zonisamid;
3) kwas walproinowy;
4) okskarbazepina;
5) lewetyracetam;
6) fenobarbital.
Prawidłowa odpowiedź to:
Pytanie 95
Jaka forma β amyloidu jest najbardziej toksyczna dla neuronów?
Pytanie 96
Wskaż prawdziwe stwierdzenie dotyczące patologii naczyniopochodnej w chorobie Alzheimera:
Pytanie 97
Które z poniższych otępień występuje częściej w wieku < 65 roku życia?
Pytanie 98
Mutacje którego z poniższych genów stanowią najczęstszą przyczynę FAD?
Pytanie 99
Który wzór upośledzenia patologii PET i SPECT jest typowy dla otępienia z ciałami Lewy’ego?
Pytanie 100
Która z dawek transdermalnego systemu rywastygminy jest zarejestrowana przez Ministerstwo Zdrowia?
Pytanie 101
Dla jakich przypadków jest zarejestrowane w Polsce użycie memantyny z refundacją?
Pytanie 102
Pacjentka lat 84 przywieziona przez Pogotowie Ratunkowe do szpitala o godzinie 14.00 z zaburzeniami świadomości, objawami głębokiego niedowładu lewostronnego oraz także po stronie lewej niedowidzenia połowiczego jednoimiennego, porażenia ośrodkowego n. twarzowego i niedoczulicy połowiczej (punktacja NIHSS = 17 pkt). Z wywiadu wynika, że objawy wystąpiły o godzinie 10.30. W badaniu tomografii komputerowej głowy stwierdzono hiperdensję tętnicy środkowej mózgu prawej. Ciśnienie tętnicze krwi 160/80 mmHg, wyniki badań laboratoryjnych bez odchyleń od normy. Które z poniższych stwierdzeń dotyczących leczenia w Oddziale Udarowym w odniesieniu do przedstawionej sytuacji klinicznej jest prawdziwe?
Pytanie 103
Które z poniższych stwierdzeń dotyczących powikłań krwotoku podpajęczynówkowego są prawdziwe?
1) największe ryzyko ponownego pęknięcia tętniaka występuje w ciągu pierwszych 24 godzin po jego pierwotnym pęknięciu i wystąpieniu krwotoku;
2) w krwotoku podpajęczynówkowym nie występuje uogólniony obrzęk mózgu, można natomiast spotkać ogniskowy obrzęk mózgu związany z występowaniem dużych krwiaków śródczaszkowych;
3) po krwotoku podpajęczynówkowym często występuje hiponatremia;
4) objawy skurczu naczyniowego występują najczęściej w pierwszym lub drugim dniu po krwotoku;
5) skurcz naczyniowy w przebiegu krwotoku nie powoduje zaburzeń świadomości, ich wystąpienie wskazuje na rozwój wodogłowia.
Prawidłowa odpowiedź to:
Pytanie 104
W przypadku przemijającego zaniewidzenia jednoocznego (amaurosis fugax) prawdą jest, że:
Pytanie 105
Wskaż fałszywe stwierdzenie dotyczące krwotoków śródmózgowych:
Pytanie 106
Wskaż fałszywe stwierdzenie dotyczące rozwarstwienia tętnicy szyjnej wewnętrznej:
Pytanie 107
Wskaż fałszywe stwierdzenie dotyczące odwracalnej leukoencefalopatii tylnej części mózgowia:
Pytanie 108
Wskaż prawdziwe stwierdzenia dotyczące chorób naczyniowych rdzenia kręgowego:
1) ryzyko niedokrwienia rdzenia kręgowego towarzyszy operacjom tętniaka aorty piersiowej lub brzusznej, ryzyko takie gwałtownie wzrasta jeśli czas zamknięcia aorty jest dłuższy niż 5 minut;
2) udar rdzenia kręgowego może wystąpić w przypadku rozwarstwienia aorty;
3) w udarze rdzenia z powodu niedrożności tętnicy Adamkiewicza (korzeniowej wielkiej) od początku choroby dochodzi do niedowładu spastycznego kończyn dolnych;
4) u chorych z podejrzeniem udaru rdzenia kręgowego w różnicowaniu przyczyn choroby konieczne jest wykonanie badania płynu mózgowo-rdzeniowego;
5) w niedokrwieniu rdzenia kręgowego w przypadku zawału żylnego z reguły zaburzone jest czucie ułożenia i wibracji;
6) w przypadku udaru niedokrwiennego rdzenia kręgowego niezwykle rzadko występuje korzeniowy ból pleców, natomiast występuje on często w krwotokach do rdzenia.
Prawidłowa odpowiedź to:
Pytanie 109
Wskaż fałszywe stwierdzenia dotyczące tętniaka septycznego:
1) tętniak septyczny najczęściej występuje u osób z bakteryjnym zapaleniem wsierdzia;
2) tętniaki septyczne zazwyczaj zlokalizowane są w odgałęzieniach tętnicy środkowej mózgu;
3) tętniaki septyczne zazwyczaj zlokalizowane są w odgałęzieniach tętnicy tylnej mózgu;
4) tętniaki septyczne zazwyczaj zlokalizowane są w odgałęzieniach tętnic opony miękkiej;
5) tętniaków septycznych nie należy leczyć operacyjnie ze względu na duże ryzyko wystąpienia zapalenia opon mózgowo-rdzeniowych i mózgu;
6) śmiertelność w przypadku pęknięcia tętniaka septycznego wynosi z reguły od 10-20%.
Prawidłowa odpowiedź to:
Pytanie 110
Wskaż prawdziwe stwierdzenia dotyczące unaczynienia rdzenia kręgowego:
1) w odcinku szyjnym rdzeń kręgowy unaczyniony jest poprzez tętnice segmentalne odchodzące od aorty zstępującej;
2) szczególnie podatny na niedokrwienie jest odcinek piersiowy Th 4 do Th9;
3) odcinek piersiowy rdzenia kręgowego w środkowej części unaczyniony jest przez gałęzie zstępujące od tętnic kręgowych i podobojczykowych oraz wstępujące od aorty brzusznej;
4) środkowa część odcinka piersiowego rdzenia kręgowego ze względu na bogate unaczynienie rzadko ulega niedokrwieniu;
5) tętnica korzeniowa wielka (tętnica Adamkiewicza) - odchodzi najczęściej od aorty na poziomie L4-L5-S1;
6) stożek i ogon koński często są zaopatrywane od tętnic biodrowych.
Prawidłowa odpowiedź to:
Pytanie 111
Wskaż prawdziwe stwierdzenia dotyczące zapalenia tętnicy skroniowej:
1) w badaniu histologicznym występują w dużej liczbie wielojądrzaste komórki olbrzymie w wewnętrznej warstwie tętnic;
2) odczyn Biernackiego zawsze jest większy niż 80 mm/h;
3) może dojść do zamknięcia tętnicy środkowej siatkówki;
4) może wystąpić tzw. chromanie żuchwy;
5) stosuje się prednizolon najczęściej przez 6 do 12 miesięcy;
6) zawsze uzyskuje się pozytywny wynik biopsji tętnicy.
Prawidłowa odpowiedź to:
Pytanie 112
Najczęstszą kategorią guzów nowotworowych mózgu są:
Pytanie 113
Najczęstszą lokalizacją naczyniaków (hemangioma) wewnątrzczaszkowych u kobiet w średnim wieku jest:
Pytanie 114
Oponiaki wywodzą się z:
Pytanie 115
Pierwotne chłoniaki układu nerwowego mogą mieć umiejscowienie:
Pytanie 116
Do objawów niedoczynności przysadki zalicza się:
Pytanie 117
Do guzów wrodzonych zalicza się:
Pytanie 118
Wskaż prawdziwe stwierdzenie dotyczące gwiaździaków móżdżku:
Pytanie 119
Za rozszerzenie łożyska naczyniowego podczas napadu migreny odpowiada:
Pytanie 120



