Wyszukaj egzamin lub pytanie
Egzamin PES Neurologia / wiosna 2014
120 pytań
Pytanie 1
Widoczny na rycinie (gwiazdka), zawał/udar mózgu blady z towarzyszącym obrzękiem, wystąpił w rejonie unaczynienia tętnicy:

Pytanie 2
Liczne jamki po przebytych ogniskach martwicy wokół naczyń (zwojów podstawy, strzałki) mogą wskazywać na:

Pytanie 3
W kryteriach diagnostycznych/neuropatologicznych CERAD (The Consortium to Establish a Registry for Alzheimer’s Disease) ilość blaszek starczych i częstość występowania zwyrodnienia neurowłókienkowego na mm2, oceniana w co najmniej pięciu regionach mózgu (zakręcie czołowym środkowym, z. skroniowym górnym, z. skroniowym środkowym, hipokampie i śródmózgowiu) jest korelowana z:
Pytanie 4
Zawał, w którym poza obrzękiem istoty szarej i białej dochodzi do przesiąkania krwi przez uszkodzone ściany naczyń krwionośnych, co powoduje tzw. „nadziankę krwawą” z licznymi wybroczynami, występującymi głównie w korze (ryc.), nazywa się:

Pytanie 5
W badaniu neuropatologicznym mózgu 60-letniego pacjenta z otępieniem i miokloniami, opisano zgąbczenia istoty szarej z ubytkami neuronów oraz rozplemem astrogleju. Reakcja immunohistochemiczna ujawniła nagromadzenie białka PrP pod postacią: blaszek i ziarnistości, złogów okołoneuronalnych, synaptycznych oraz wokół jamek. Obraz morfologiczny wskazuje na chorobę:

Pytanie 6
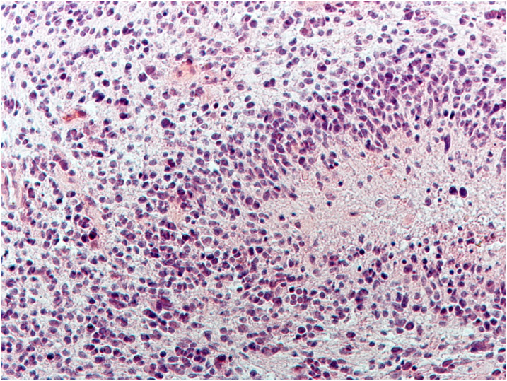
W którym z wymienionych nowotworów OUN, występują następujące cechy złośliwości: naciekający typ rozrostu, hiperplazja, polimorfizm, figury podziałów, obszary martwicy i rozrost naczyń krwionośnych?

Pytanie 7
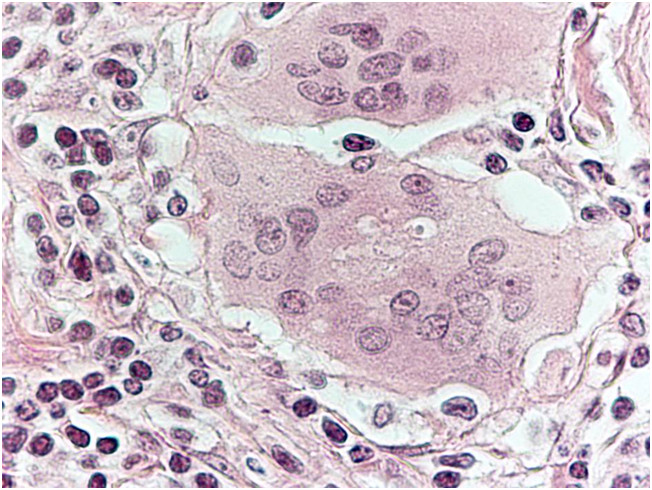
Komórki olbrzymie typu Langhansa w ośrodkowym układzie nerwowym mogą występować w następującej chorobie:

Pytanie 8
Wścieklizna jest chorobą wywołaną przez RNA wirus należący do grupy Rhabdoviridae, który do ośrodkowego układu nerwowego wnika poprzez:
Pytanie 9
Guz wyraźnie odgraniczony, najczęściej kulisty, przenoszony do OUN drogą krwi to zwykle:

Pytanie 10
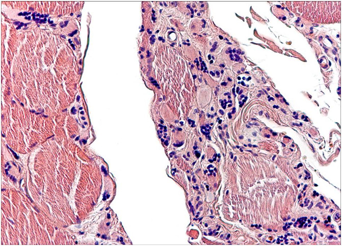
Choremu (60 lat) po przebytym operacyjnie leczeniu obustronnej ginekomastii, z postępującym osłabieniem mięśni kończyn dolnych i okresowymi zaburzeniami połykania wykonano biopsję mięśnia czworogłowego uda, w którym obserwowano cechy neuropatycznego uszkodzenia (zarówno włókna atroficzne jak i przerośnięte, z obecnością tzw. „woreczków jądrowych”). W badaniu genetycznym wykazano zwiększoną liczbę rejonu powtórzeń trójnukleotydu CAG w egzonie 1 genu kodującego szlak poliglutaminowy w białku receptora androgenowego na chromosomie Xq 11-12. Obraz kliniczny, morfologiczny biopsji mięśnia oraz badania genetyczne wskazują na:

Pytanie 11
W leczenie krwotoków śródmózgowych stosuje się rutynowo u wszystkich pacjentów:
1) czynnik rFVIIa;
2) leczenie operacyjne;
3) leki hipotensyjne;
4) steroidy.
Prawidłowa odpowiedź to:
Pytanie 12
W przypadku wystąpienia udaru niedokrwiennego mózgu z wartościami ciśnienia tętniczego ≤ 220/120 mmHg należy pacjenta niezwłocznie leczyć hipotensyjnie:
1) zawsze - doprowadzając do normalizacji wartości ciśnienia tętniczego tj. < 140/90 mmHg;
2) w przypadku współistnienia z udarem rozwarstwienia aorty;
3) w przypadku współistnienia z udarem mózgu ostrej niewydolności nerek;
4) w przypadku przyjmowania doustnych antykoagulantów.
Prawidłowa odpowiedź to:
Pytanie 13
Wskaż prawdziwe stwierdzenia w przypadku wzmożonego ciśnienia śródczaszkowego w przebiegu udaru żylnego:
1) izolowane nadciśnienie śródczaszkowe występuje u około 40% chorych z zakrzepicą żylną mózgu;
2) u pacjentów z podwyższonym ciśnieniem wewnątrzczaszkowym zaleca się rozpoczęcie leczenia acetozolamidem;
3) punkcja lędźwiowa, dekompresja nerwu wzrokowego lub neurochirurgiczna są opcjami w leczeniu wzmożonego ciśnienia śródczaszkowego;
4) steroidy są lekiem z wyboru;
5) czas leczenia przeciwobrzękowego nie powinien być dłuższy niż 7 dni.
Prawidłowa odpowiedź to:
Pytanie 14
Intensywna redukcja w ostrej fazie udaru mózgu do wartości skurczowego ciśnienia tętniczego 140 mmHg wiąże się ze:
1) zmniejszeniem śmiertelności;
2) zwiększeniem śmiertelności;
3) zmniejszeniem ryzyka niesprawności;
4) wtórnym niedokrwieniem;
5) mniejszym ryzykiem powiększania objętości ogniska krwotocznego.
Prawidłowa odpowiedź to:
Pytanie 15
Który z poniższych leków może powodować ciężkie, śmiertelne uszkodzenie wątroby?
1) dabigatran;
2) ksimelagatran;
3) rywaroksaban;
4) apiksaban;
5) warfaryna.
Prawidłowa odpowiedź to:
Pytanie 16
Które z poniższych leków wykazują skuteczność kliniczną w ostrej fazie udaru niedokrwiennego mózgu?
1) aspiryna;
2) alteplaza podawana dożylnie;
3) piracetam;
4) heparyny drobnocząsteczkowe;
5) klopidogrel.
Prawidłowa odpowiedź to:
Pytanie 17
Naczyniak jamisty ośrodkowego układu nerwowego może być rozpoznany na podstawie:
Pytanie 18
Który z poniższych leków znamiennie redukuje ryzyko udaru niedokrwiennego u pacjentów z migotaniem przedsionków w porównaniu z warfaryną?
Pytanie 19
Elektroencefalograficznym wyznacznikiem typowych napadów nieświadomości są:
Pytanie 20
Do cech charakterystycznych zespołu padaczki przyśrodkowej części płata skroniowego nie należy/nie należą:
Pytanie 21
Do charakterystycznych cech zespołu Lennoxa-Gastauta nie należy/nie należą:
Pytanie 22
Do czynników ryzyka nawrotu napadów padaczkowych nie należy/nie należą:
Pytanie 23
Karbamazepina może nasilać napady padaczkowe, z wyjątkiem:
Pytanie 24
Lekiem przeciwpadaczkowym nieantagonizującym działania doustnych środków antykoncepcyjnych na drodze indukcji enzymatycznej jest:
Pytanie 25
Lekiem przeciwpadaczkowym w najmniejszym stopniu wydzielanym do mleka jest:
Pytanie 26
Na leczenie jednym lekiem przeciwpadaczkowym nie odpowiada:
Pytanie 27
Dla guzów okolicy szyszynki charakterystyczne są:
Pytanie 28
Badaniem z wyboru u chorych z guzem mózgu jest badanie:
Pytanie 29
Wskaż co jest charakterystyczne dla guzów o wysokim stopniu złośliwości w badaniu spektroskopowym rezonansu magnetycznego:
Pytanie 30
Głównymi objawami nerwiaka nerwu słuchowego są:
Pytanie 31
Przerzuty do mózgu występują rzadko w przypadku:
Pytanie 32
Najczęściej występującym pierwotnym bólem głowy jest:
Pytanie 33
Najskuteczniejszym leczeniem klasterowego bólu głowy jest:
Pytanie 34
Leczeniem z wyboru w napadowej hemikranii jest:
Pytanie 35
Nietypowym objawem w klasterowym bólu głowy jest:
Pytanie 36
Do stałych objawów zespołu przewlekłego zmęczenia należą:
Pytanie 37
Obecność fibrylacji w spoczynku w badaniu elektromiograficznym jest charakterystyczna dla:
1) stwardnienia zanikowego bocznego;
2) miotonii wrodzonej;
3) zapalenia skórno-mięśniowego;
4) miopatii nitkowatej;
5) zespołu Eatona-Lamberta;
6) encefalomiopatii mitochondrialnej.
Prawidłowa odpowiedź to:
Pytanie 38
Do zespołów paraneoplastycznych zalicza się wszystkie poniższe, z wyjątkiem:
Pytanie 39
Które stwierdzenia są prawdziwe dla ostrej porfirii przerywanej?
1) ból brzucha może być jedynym objawem choroby;
2) występuje zmiana zabarwienia moczu na kolor czerwony;
3) dziedziczenie jest autosomalne recesywne;
4) podawanie barbituranów może spowodować napad;
5) propranolol zalecany jest w leczeniu zaburzeń autonomicznych;
6) najbardziej skutecznym leczeniem jest podawanie hematyny.
Prawidłowa odpowiedź to:
Pytanie 40
Dla padaczki mioklonicznej z obecnością włókien szmatowatych (myoclonic epilepsy with ragged red fibers - MERRF) charakterystyczne są:
1) mioklonie;
2) uogólnione napady drgawkowe;
3) początek w niemowlęctwie;
4) początek w dzieciństwie lub wieku dojrzałym;
5) bóle głowy migreno-podobne;
6) liczne symetryczne włókniaki.
Prawidłowa odpowiedź to:
Pytanie 41
Do cech wspólnych stwardnienia zanikowego bocznego (amyotrophic lateral sclerosis - ALS) i wieloogniskowej ruchowej neuropatii (multifocal motor neuropaty - MMN) należą:
1) początek najczęściej po 40. r.ż.;
2) częściej chorują mężczyźni;
3) szybki postęp choroby;
4) przewaga zajęcia kończyn górnych;
5) obecność cech odnerwienia w zapisie EMG;
6) uogólnione fascykulacje w początkowym okresie choroby.
Prawidłowa odpowiedź to:
Pytanie 42
Do cech charakterystycznych przewlekłej zapalnej polineuropatii demielinizacyjnej (chronic inflammatory demyelinating polyneuropathy) odnoszą się następujące stwierdzenia:
1) częsta poprzedzająca niespecyficzna infekcja wirusowa;
2) przewlekle postępujący przebieg choroby;
3) szybko postępujący zanik mięśni kończyn;
4) brak odpowiedzi po podaniu kortykosteroidów;
5) dobry efekt leczenia kortykosteroidami;
6) pogorszenie po zastosowaniu plazmaferez.
Prawidłowa odpowiedź to:
Pytanie 43
Do wspólnych objawów charakterystycznych miastenii i zespołu miastenicznego Lamberta-Eatona należą:
1) podwójne widzenie;
2) zaburzenia mowy i połykania;
3) kliniczne objawy męczliwości;
4) cechy torowania w próbie elektrostymulacyjnej;
5) wyraźna poprawa po podaniu edrofonium;
6) dobry efekt podawania IVIg.
Prawidłowa odpowiedź to:
Pytanie 44
Do cech charakterystycznych miopatii wrodzonych należą:
1) wiotkość po urodzeniu;
2) opóźniony rozwój ruchowy;
3) cechy dyzmorfizmu kostnego;
4) wysoki poziom CK w surowicy;
5) zaawansowane zmiany miopatyczne w EMG;
6) zwiększone ryzyko wystąpienia hipertermii złośliwej.
Prawidłowa odpowiedź to:
Pytanie 45
W odniesieniu do patologii mózgu w chorobie Alzheimera nieprawdą jest, że:
Pytanie 46
U 62-letniego mężczyzny z nadciśnieniem tętniczym od ok. roku stopniowo narastają zaburzenia mowy - stała się mniej płynna, wyraźne są problemy z doborem odpowiednich słów. W badaniu oprócz tych zaburzeń mowy, nie stwierdza się innych objawów ogniskowych; według neuropsychologa są dyskretne zaburzenia pamięci. Najbardziej prawdopodobne rozpoznanie to:
Pytanie 47
W przypadku 50-letniego mężczyzny z postępującą od ok. 10 lat paraparezą spastyczną, najmniej prawdopodobnym rozpoznaniem jest:
Pytanie 48
65-letnia kobieta, dotychczas nielecząca się przewlekle, została przyprowadzona przez córkę zaniepokojoną zaburzeniami pamięci nasilającymi się od kilku-kilkunastu miesięcy, utratą napędu i powtarzającymi się omami wzrokowymi. W badaniu stwierdza się m.in.: spowolnienie, hipomimiczną twarz, wzmożone plastycznie napięcie w 4 kończynach, chód drobnymi krokami z ubogimi współruchami kończyn górnych. W Mini-Mental State Examination - 20 pkt. Za najbardziej prawdopodobne rozpoznanie można przyjąć:
Pytanie 49
Dla choroby Wilsona prawdą jest, że:
Pytanie 50
Okulista skierował do neurologa 18-letniego mężczyznę ze zwyrodnieniem barwnikowym siatkówki z powodu postępujących od kilku lat zaburzeń chodu. W badaniu stwierdza się m.in. ataksję czterokończynową i neuropatię obwodową. Z badań laboratoryjnych najmniej pomocne będzie:
Pytanie 51
Agoniści receptora dopaminergicznego stosowani w chorobie Parkinsona mogą powodować różne działania niepożądane, z wyjątkiem:
Pytanie 52
Upadki w początkowym okresie choroby u osoby z zespołem parkinsonowskim są najbardziej charakterystyczne dla:
Pytanie 53
Największą grupą mioklonii są mioklonie:
Pytanie 54
Najmniej prawdopodobną przyczyną pląsawicy, która pojawiła się u 26-letniej kobiety jest:
Pytanie 55
W których z wymienionych schorzeń nie dochodzi do zjawiska przymusu wykonania ruchu mimowolnego lub dowolnego?
1) dystonii;
2) miokloniach;
3) akatyzji;
4) tikach;
5) pląsawicy;
6) zespole niespokojnych nóg;
7) drżeniu.
Prawidłowa odpowiedź to:
Pytanie 56
Najważniejszym objawem koniecznym do postawienia rozpoznania choroby Parkinsona jest:
Pytanie 57
Do najczęstszych ataksji dziedzicznych zalicza się:
Pytanie 58
U chorego z chorobą Parkinsona właściwym i skutecznym sposobem postępowania będzie zwiększenie dawek lewodopy w przypadku:
Pytanie 59
U 10-letniego dziecka wystąpiły zaburzenia chodu - wykręcanie stopy po stronie lewej, objawy mają skłonność do nasilania się w godzinach popołudniowych. Z czasem doszło do zajęcia drugiej kończyny dolnej i chodu na palcach. W badaniu neurologicznym stwierdza się wzmożenie napięcia mięśniowego, spowolnienie, żywe odruchy ścięgniste. W badaniu MRI mózgowia - obraz prawidłowy. Najbardziej prawdopodobne rozpoznanie to:
Pytanie 60
Hemibalizm jest objawem różnych schorzeń, powodujących uszkodzenie jądra niskowzgórzowego lub jego połączeń. U chorego z objawami hemibalizmu postępowaniem z wyboru jest podawanie:
Pytanie 61
Do Oddziału Ratunkowego zgłosił się chory lat 24, któremu lekarz rodzinny włączył 3 dni wcześniej metoklopramid z powodu zawrotów głowy, nudności i wymiotów. U chorego wystąpiły niekontrolowane ruchy wysuwania języka z jamy ustnej utrudniające mówienie i jedzenie. Najlepszym sposobem postępowania w tym przypadku jest podawanie:
Pytanie 62
Następujące cechy charakteryzują młodzieńczą postać choroby Huntingtona (tzw. wariant Westphala), z wyjątkiem:
Pytanie 63
Dyskinezy pląsawicze szczytu dawki w przebiegu choroby Parkinsona:
1) występują częściej i szybciej u chorych o późnym początku choroby;
2) są związane z dłuższym czasem leczenia lewodopą;
3) mogą także pojawić się po zastosowaniu agonistów dopaminy;
4) skuteczne w ich leczeniu jest zwiększenie pojedynczej dawki lewodopy;
5) skuteczne w ich leczeniu może być zastosowanie amantadyny;
6) skuteczne w ich leczeniu może być zastosowanie klozapiny;
7) selegilina i inhibitory COMT zmniejszają ich nasilenie;
8) skuteczny może być zabieg stymulacji części wewnętrznej gałki bladej.
Prawidłowa odpowiedź to:
Pytanie 64
Spośród następujących stwierdzeń dotyczących SM wskaż prawdziwe:
1) obserwuje się spadek liczby indukujących supresorowych limfocytów T;
2) w SM następuje zarówno aktywacja limfocytów T jak i B;
3) z patogenezą SM związane są herpesvirus typu 6 (HHV6) oraz wirus Epsteina-Barr;
4) w uszkodzeniu mieliny biorą udział cytokiny pozapalne;
5) w patogenezie SM biorą udział astrocyty.
Prawidłowa odpowiedź to:
Pytanie 65
W obrazie neuropatologicznym podczas autopsji stwierdzono martwicę środkowej części ciała modzelowatego i spoidła przedniego z zaoszczędzeniem części brzeżnych. Opisywane zmiany są charakterystyczne dla:
Pytanie 66
Wśród następujących objawów wymień najrzadziej spotykany w przebiegu stwardnienia rozsianego:
Pytanie 67
U 40-letniego pacjenta od roku występuje postępujący niedowład kończyn. Jedną z możliwych przyczyn jest pierwotnie postępujące stwardnienie rozsiane. Dla potwierdzenia tego rozpoznania należy wykazać:
Pytanie 68
Wśród następujących czynników wymień te, które są korzystne rokowniczo w stwardnieniu rozsianym:
1) początek choroby przed 35. rokiem życia;
2) początkowe objawy czuciowe lub zapalenie nerwu wzrokowego;
3) występowanie objawów móżdżkowych;
4) uszkodzenie dróg korowo-rdzeniowych;
5) płeć żeńska.
Prawidłowa odpowiedź to:
Pytanie 69
Wśród następujących jednostek chorobowych wskaż te, które wymagają różnicowania ze stwardnieniem rozsianym:
1) kiła układu nerwowego;
2) choroba Behceta;
3) guzkowe zapalenie wielotętnicze;
4) toczeń układowy;
5) zespół SUNCT.
Prawidłowa odpowiedź to:
Pytanie 70
Spośród poniższych stwierdzeń dotyczących terapii SM wskaż prawdziwe:
1) natalizumab jest przeciwciałem monoklonalnym hamującym napływ limfocytów do OUN;
2) modafinil stosuje się w leczeniu zespołu zmęczenia w SM;
3) plazmafereza może być stosowana w ostrych rzutach choroby;
4) natalizumab redukuje częstość rzutów choroby o około 40%;
5) tizanidyna jest lekiem wpływającym na zmniejszenie spastyki.
Prawidłowa odpowiedź to:
Pytanie 71
Spośród poniższych stwierdzeń dotyczących terapii SM wskaż prawdziwe:
1) wśród objawów ubocznych leczenia interferonami mogą występować objawy rzekomogrypowe oraz niewydolność szpiku;
2) u 30% chorych leczonych interferonem beta 1b pojawiają się przeciwciała neutralizujące;
3) w przypadku długoterminowej terapii octanem glatirameru może dochodzić do martwicy tkanki tłuszczowej;
4) mitoksantron podaje się co 3 miesiące we wlewach dożylnych w dawce 400 mg/m²;
5) natalizumab podaje się raz w miesiącu w dawce 1000 mg dożylnie.
Prawidłowa odpowiedź to:
Pytanie 72
Drżenie samoistne:
Pytanie 73
U 90-letniej kobiety, u której od wczesnej młodości występują cechy niepostępującego zespołu parkinsonowskiego, pojawiają się, ze zmienną częstością 20-minutowe napady przymusowego spojrzenia, tiki i okresowo dysforyczne zaburzenia zachowania. Najbardziej prawdopodobnym rozpoznaniem jest:
Pytanie 74
Występowanie ruchów pląsawiczych w chorobie Huntingtona związane jest najprawdopodobniej z uszkodzeniem/zanikiem:
Pytanie 75
48-letni mężczyzna zaczął skarżyć się na trudności w czytaniu i kłopoty w ocenie odległości przy schodzeniu po schodach. Po kilku miesiącach dołączyły się zaburzenia połykania, osoby z otoczenia zauważyły zmianę mowy - stała się chrapliwa i bezdźwięczna. Zauważono także nadmiernie wyprostowaną sylwetkę w czasie chodzenia, pojawiły się również zaburzenia równowagi i sporadyczne upadki - nie powodowane potknięciem. Po kolejnych kilku miesiącach zauważono spowolnienie mowy i upośledzenie jej płynności. Na tym etapie rozwoju objawów najbardziej prawdopodobnym rozpoznaniem jest:
Pytanie 76
W przebiegu stwardnienia zanikowego bocznego upośledzenie funkcji poznawczych pod postacią otępienia występuje u:
Pytanie 77
Przypadki rodzinne stwardnienia zanikowego bocznego niemapujące się do genu dla dysmutazy nadtlenkowej są dowodem na heterogeniczność locus genowego w chorobie. Wśród nich najczęstsze są mutacje w genie dla:
Pytanie 78
Wynik badania metabolizmu w neuronach prążkowia, badanego przy użyciu pozytronowej tomografii emisyjnej (PET) wykazuje:
Pytanie 79
Zlokalizowana w półkuli móżdżku torbielowata zmiana z obecnością przyściennego guzka, silnie wzmacniająca się po podaniu środka kontrastowego odpowiada najprawdopodobniej:
Pytanie 80
Wskaż zdanie fałszywe dotyczące plak demielinizacyjnych:
Pytanie 81
W zakażeniu wirusem opryszczki typu I zmiany w badaniu MR głowy lokalizują się przede wszystkim w obrębie:
Pytanie 82
Wskaż zdanie fałszywe dotyczące zespołu pustego siodła:
Pytanie 83
Wskaż prawdziwe zdanie dotyczące diagnostyki choroby Alzheimera:
Pytanie 84
Które z wymienionych guzów nie należą do grupy guzów nadsiodłowych?
Pytanie 85
W pediatrycznej grupie wiekowej najrzadziej spotykanym guzem mózgu jest:
Pytanie 86
Jaka jest zdecydowanie najczęstsza lokalizacja nacieku opon w gruźlicy OUN?
Pytanie 87
Wskaż stwierdzenie fałszywe dotyczące choroby Huntingtona:
Pytanie 88
Który chory z dystonią najprawdopodobniej zareaguje pozytywnie na leczenie lewodopą?
Pytanie 89
W przypadku choroby Sydenhama:
1) śmierć występuje często;
2) śmierć występuje rzadko;
3) najczęściej przyczyną śmierci jest udar mózgu;
4) najczęściej przyczyną śmierci jest obrzęk mózgu;
5) najczęściej przyczyną śmierci są powikłania kardiologiczne.
Prawidłowa odpowiedź to:
Pytanie 90
Podstawowe leki w leczeniu drżenia samoistnego to:
1) propranolol;
2) gabapentyna;
3) klonazepam;
4) prymidon;
5) topiramat.
Prawidłowa odpowiedź to:
Pytanie 91
Leczenie choroby Hansena (trądu) polega na podawaniu:
Pytanie 92
Wskaż prawdziwe stwierdzenia dotyczące przyczyn ropnia mózgu u osób dorosłych:
1) prawie nigdy nie jest powikłaniem bakteryjnego zapalenia opon mózgowo-rdzeniowych;
2) powstaje wskutek bezpośredniego szerzenia się w obrębie czaszki;
3) krwiopochodne zakaźne przerzuty z ognisk zlokalizowanych w odległych częściach ciała;
4) zakażenie jako powikłanie złamania kości czaszki;
5) zawsze jest powikłaniem bakteryjnego zapalenia opon mózgowo-rdzeniowych.
Prawidłowa odpowiedź to:
Pytanie 93
Wskaż fałszywe stwierdzenie dotyczące podostrego stwardniającego zapalenia mózgu (SSPE):
Pytanie 94
W leczeniu wągrzycy (cysticerkozy) mózgu stosuje się niżej wymienione, z wyjątkiem:
Pytanie 95
Skutecznym lekiem w terapii tężca jest:
Pytanie 96
U 77-letniej chorej z migotaniem przedsionków, po przebytym udarze niedokrwiennym mózgu, obciążonej nadciśnieniem tętniczym i cukrzycą, roczne ryzyko udaru, uwzględniając wynik w skali CHADS2-VASc wynosi:
Pytanie 97
U 67-letniego chorego z migotaniem przedsionków, po przebytym udarze mózgu, przyjmującego doustny antykoagulant, u którego wyniki badania INR są niestabilne, ryzyko krwawienia na podstawie skali HAS-BLED wynosi:
Pytanie 98
Zgodnie z klasyfikacją WHO nowotworów OUN, zmodyfikowaną w 2007 roku, skąpodrzewiakogwiaździak (oligoastrocytoma) należy do grupy:
Pytanie 99
Wskaż, które stwierdzenia są prawdziwe w odniesieniu do badań obrazowych, wykorzystywanych w diagnostyce guzów OUN:
1) przezczaszkowe badanie USG przydatne jest w monitorowaniu wznowy w loży pooperacyjnej;
2) w badaniu angiograficznym guzy podstawy płata czołowego powodują przemieszczenie tętnicy przedniej mózgu ku tyłowi;
3) w badaniu TK nerwiaki i oponiaki ulegają silnemu wzmocnieniu po podaniu kontrastu;
4) w badaniu tomografii rezonansu magnetycznego odróżnienie wznowy nowotworu od martwicy popromiennej nie nastręcza trudności;
5) do metod umożliwiających lokalizację funkcji mózgowych należy pozytonowa tomografia emisyjna (PET).
Prawidłowa odpowiedź to:
Pytanie 100
U 39-letniego mężczyzny pojawiły się szybko narastające objawy niepokoju, zaburzenia snu, zaburzenia pamięci, wkrótce dołączyły się zaburzenia chodu, równowagi i pionowych ruchów gałek ocznych. W rozpoznaniu różnicowym, spośród zespołów paranowotworowych, należy uwzględnić:
Pytanie 101
U 63-letniego mężczyzny stopniowo rozwinęło się osłabienie siły w mięśniach proksymalnych, chwilowo zmniejszające się pod wpływem ruchu, suchość w ustach, osłabienie odruchów głębokich. Wysunięto podejrzenie zespołu miastenicznego. Które z niżej podanych zestawów badań potwierdzi rozpoznanie?
1) elektrofizjologiczne;
2) tomografia komputerowa śródpiersia;
3) wycinek skórno-mięśniowy;
4) oznaczenie przeciwciał przeciwko kanałom wapniowym bramkowanym napięciem;
5) badanie w kierunku raka prostaty.
Prawidłowa odpowiedź to:
Pytanie 102
Wskaż prawdziwe stwierdzenie w odniesieniu do nowotworów OUN występujących u dzieci:
Pytanie 103
Całkowite zaniewidzenie obuoczne może wystąpić w przypadku:
1) obustronnego zawału w obrębie płatów potylicznych mózgu;
2) krwotoku do przysadki mózgowej;
3) krwotoku o szyszynki;
4) guza szyszynki;
5) obustronnego zawału płatów czołowych;
6) obustronnego wielkokomórkowego (olbrzymiokomórkowego) zapalenia tętnic z zajęciem tętnic skroniowych.
Prawidłowa odpowiedź to:
Pytanie 104
Przemijające zaniewidzenie jednooczne:
1) może być spowodowane zatorem w obrębie tętnicy ocznej spowodowanym zmianami miażdżycowymi w przeciwstronnej tętnicy szyjnej wewnętrznej;
2) może być spowodowane zatorem w obrębie tętnicy ocznej spowodowanym zmianami miażdżycowymi w jednoimiennej tętnicy szyjnej wewnętrznej;
3) może być spowodowane skurczem naczyniowym w przebiegu migreny;
4) w przypadku przemijającego zaniewidzenia jednoocznego, wykonane po ustąpieniu objawów badanie dna oka nie wykazuje nigdy zmian patologicznych, w odróżnieniu od zaniewidzeń utrzymujących się do czasu badania;
5) przemijające zaniewidzenie jednooczne może być spowodowane przeciwstronnym zawałem (udarem niedokrwiennym) płata potylicznego;
6) przyczyną przemijającego zaniewidzenia jednoocznego może być zator tętnicy środkowej siatkówki.
Prawidłowa odpowiedź to:
Pytanie 105
U mężczyzny lat 65 chorującego na nadciśnienie tętnicze i cukrzycę stwierdzono w badaniu DWI (badaniu dyfuzyjnym) rezonansu magnetycznego ograniczenie (restrykcję) dyfuzji w obrębie lewego wzgórza.
Pytanie 106
Wskaż prawdziwe stwierdzenia dotyczące krwotoków namózgowych:
1) krwotok nadtwardówkowy jest pochodzenia tętniczego;
2) krwotok nadtwardówkowy jest pochodzenia żylnego;
3) krwiak podtwardówkowy ma zazwyczaj pochodzenie żylne;
4) krwiak podtwardówkowy ma zazwyczaj pochodzenie tętnicze;
5) krwotok nadtwardówkowy może mieć szybki przebieg powodując wklinowanie i śpiączkę;
6) objawy krwotoku nadtwardówkowego mają przebieg powolny i od urazu czaszki do wystąpienia objawów krwotoku może upłynąć wiele dni lub nawet tygodnie;
7) objawy krwotoku podtwardówkowego mają przebieg powolny i od urazu czaszki do wystąpienia objawów krwotoku może upłynąć wiele dni lub nawet tygodnie.
Prawidłowa odpowiedź to:
Pytanie 107
U chorego po przebytym udarze niedokrwiennym mózgu z migotaniem przedsionków należy:
Pytanie 108
Wskaż prawdziwe stwierdzenia dotyczące leczenia antykoagulacyjnego w profilaktyce wtórnej udaru niedokrwiennego:
1) leczenie antykoagulacyjne jest wskazane u wszystkich chorych po przebytym udarze niedokrwiennym jako profilaktyka wtórna;
2) obecnie zarejestrowane do stosowania w profilaktyce wtórnej udaru niedokrwiennego są wyłącznie preparaty z grupy antagonistów witaminy K;
3) „nowe” antykoagulanty (rywaroksaban, dabigatran, apiksaban) są antagonistami witaminy K drugiej generacji i należy tak dobrać ich dawkę, aby uzyskać wartość międzynarodowego współczynnika znormalizowanego (ang. International Normalized Ratio) INR od 2,0 do 3,0;
4) w przypadku stosowania „nowych” antykoagulantów (rywaroksaban, dabigatran, apiksaban) pomiar wskaźnika INR nie jest miarodajny przy ocenie efektywności leczenia;
5) „nowe” antykoagulanty (rywaroksaban, dabigatran, apiksaban) mogą być stosowane w niezastawkowym migotaniu przedsionków u chorych w profilaktyce wtórnej udaru niedokrwiennego;
6) po przemijającym ataku niedokrwiennym należy, tak jak po udarze niedokrwiennym, zalecić profilaktykę w postaci antagonistów witaminy K lub „nowych” antykoagulantów (rywaroksaban, dabigatran, apiksaban).
Prawidłowa odpowiedź to:
Pytanie 109
Wskaż prawdziwe stwierdzenie dotyczące udaru niedokrwiennego mózgu:
Pytanie 110
U osób po przebytym udarze niedokrwiennym mózgu, ze stwierdzonym zwężeniem tętnicy szyjnej wewnętrznej po stronie uszkodzonej półkuli, prawdą jest, że:
Pytanie 111
Jaka jest rola białka tau?
Pytanie 112
Które z poniżej wymienionych sekretaz doprowadzają do odkładania się beta-amyloidu w neuropilu?
Pytanie 113
Przyjmuje się, że czynnikiem ryzyka zachorowania na chorobę Alzheimera jest:
Pytanie 114
Czym charakteryzują się łagodne zaburzenia funkcji poznawczych w chorobie Parkinsona?
Pytanie 115
Czym się różni postać CJD o dziedziczeniu autosomalnie-dominującym od przypadków sporadycznych?
Pytanie 116
Asymetryczny zanik mózgu, zajecie lewego płata czołowego lub/i skroni lewej, agramatyzmy, trudności w powtarzaniu słów to cechy charakteryzujące:
Pytanie 117
Niedobór której witaminy nie przejawia się otępieniem?
Pytanie 118
Halucynacje wzrokowe, zaburzenia fazy REM snu, fluktuacje objawów w ciągu dnia przemawiają za rozpoznaniem:
Pytanie 119
Deficyt w obrębie którego z rodzajów pamięci typowo rozpoczyna chorobę Alzheimera?
Pytanie 120



