Wyszukaj egzamin lub pytanie
Egzamin PES Neurologia dziecięca / jesień 2023
120 pytań
Pytanie 1
U pacjenta wystąpiły trzy napady jednostronnego bólu twarzy odpowiadającego unerwieniu drugiej gałęzi nerwu V, trwające przez około 30 sekund, o bardzo znacznym nasileniu i charakterze kłującym. Badaniem neurologicznym nie stwierdzono objawów ubytkowych. W oparciu o kryteria ICHD-3 można rozpoznać:
Pytanie 2
Nerwoból nerwu pośredniego charakteryzuje się napadowym, krótkim jednostronnym bólem zlokalizowanym w:
Pytanie 3
Rozpoznanie zespołu Tolosy-Hunta można postawić, jeśli występuje:
1) jednostronny ból oczodołowy;
2) tożstronne porażenie jednego lub więcej nerwów czaszkowych: III, IV, VI;
3) ziarniniakowe zapalenie zatoki jamistej górnej szczeliny oczodołu lub oczodołu potwierdzone badaniem MR lub biopsją;
4) objawy ustępują w ciągu 72. godzin po podaniu steroidów;
5) tarcza zastoinowa na dnie oka tożstronnie do bólu.
Prawidłowa odpowiedź to:
Pytanie 4
Uczucie strachu, rozszerzenie źrenic, przyspieszenie czynności serca i wzrost ciśnienia tętniczego może wystąpić na skutek drażnienia:
Pytanie 5
Podwzgórze jest częścią międzymózgowia stanowiącą ścianę:
Pytanie 6
U 11-letniego chłopca w trakcie lekcji wystąpił nagły, silny, obustronny ból głowy oraz zawroty głowy, a następnie niedowład lewej kończyny górnej i opadnięcie lewego kącika ust. TK głowy z opcją angioTK wykonane w SOR bez uchwytnych zmian. Ogniskowe objawy neurologiczne ustąpiły w ciągu 2. godzin, a ból głowy w ciągu 4. godzin. U pacjenta można podejrzewać:
Pytanie 7
Ostry ból głowy przypisywany urazowi głowy to ból głowy, który:
1) wystąpił w ciągu 7. dni od urazu głowy;
2) pojawił się nie później niż 7 dni po odzyskaniu przytomności po urazie głowy;
3) wystąpił wyłącznie w ciągu pierwszych 24. godzin po urazie głowy;
4) jest skutkiem wstrząśnienia mózgu;
5) jest związany z pourazowym krwawieniem wewnątrzczaszkowym.
Prawidłowa odpowiedź to:
Pytanie 8
W celu zmniejszenia nasilenia działań niepożądanych leku Zolgensma stosowanego w leczeniu rdzeniowego zaniku mięśni stosuje się:
Pytanie 9
Do działań niepożądanych, które mogą występować po zastosowaniu terapii genowej zalicza się:
Pytanie 10
Jednym z kryteriów włączenia pacjenta do programu leczenia terapią genową rdzeniowego zaniku mięśni jest kryterium wiekowe, które wynosi:
Pytanie 11
Do skutków ubocznych po zastosowaniu terapii genowej (onasemnogen abeparvovec) w leczeniu rdzeniowego zaniku mięśni, które występują w ciągu kilku pierwszych dni po jej podaniu nie zalicza się:
Pytanie 12
Skala GMFCS bazująca na stopniu ograniczeń funkcjonalnych w zakresie samodzielnej lokomocji określona jest pięcioma poziomami funkcjonalnymi. Poziom II obejmuje osoby:
Pytanie 13
Wskaż fałszywe stwierdzenie dotyczące genetycznie uwarunkowanych chorób mięśni:
Pytanie 14
Typową cechą porażenia okresowego hipokaliemicznego jest:
1) związek porażenia mięśni z odpoczynkiem po wysiłku;
2) związek porażenia mięśni z niskim stężeniem glukozy we krwi;
3) osłabienie odruchów głębokich w czasie napadu;
4) trwanie epizodu przez wiele godzin;
5) zmniejszenie ilości epizodów po leczeniu acetazolamidem.
Prawidłowa odpowiedź to:
Pytanie 15
Wskaż fałszywe stwierdzenie dotyczące diagnostyki chorób genetycznych w neurologii dziecięcej:
Pytanie 16
Wskaż prawdziwe stwierdzenia dotyczące kompleksu GATOR1 i jego związku z padaczką:
1) geny wchodzące w skład kompleksu to m.in. DEPDC5, NPRL3 i NPRL2;
2) u pacjentów z mutacjami genów kompleksu typowym objawem jest znaczna niepełnosprawność intelektualna i atypowe napady nieświadomości;
3) u pacjentów z mutacjami genów kompleksu typowym objawem jest padaczka ogniskowa;
4) u pacjentów z mutacjami genów szlaku GATOR1 należy poszukiwać dysplazji korowej jako przyczyny padaczki.
Prawidłowa odpowiedź to:
Pytanie 17
12-letnia dziewczynka po powrocie z wakacji nad morzem zaczęła zgłaszać bóle głowy, a następnie narastające w okresie kilku tygodni zaburzenia pamięci, snu oraz stany lękowe. W szkole otrzymywała gorsze oceny ze sprawdzianów, uwagi za przeszkadzanie na lekcji. W przeddzień hospitalizacji stała się agresywna wobec rodziców. W dniu przyjęcia do szpitala wystąpiły drgawki toniczno-kloniczne. Diagnostyka neurologiczna przeprowadzona w warunkach szpitalnych pozwoliła na rozpoznanie choroby. Co mogło istotnie przyczynić się do jej wystąpienia?
Pytanie 18
U 2-letniego dziecka terapia z wyboru ropnego zapalenia opon mózgowo-rdzeniowych wywołanego przez bakterie Streptococcus pneumoniae, których wrażliwość określona minimalnym stężeniem hamującym (MIC) wyniosła dla penicyliny >1 mg/l, a dla cefalosporyny ³2 mg/ml, powinna być oparta o:
Pytanie 19
Do objawów obrzęku mózgu w meningokokowym zapaleniu opon mózgowo-rdzeniowych u dzieci zalicza się:
1) wymioty;
2) biegunkę;
3) bradykardia;
4) wysypkę krwotoczną;
5) silne bóle głowy;
6) zapadnięte ciemiączko;
7) zaburzenia krzepnięcia krwi;
8) podwyższone CRP, OB;
9) głuchotę.
Prawidłowa odpowiedź to:
Pytanie 20
Do typowych zmian w płynie mózgowo-rdzeniowym w neuroboreliozie zalicza się:
1) podwyższoną cytozę z przewagą neutrocytów;
2) obniżone stężenie glukozy;
3) podwyższone stężenie białka;
4) intratekalną syntezę swoistych przeciwciał klasy IgM;
5) obniżenie stężenia chlorków;
6) podwyższoną cytozę z przewagą limfocytów i monocytów;
7) podwyższone stężenie mleczanów;
8) obecność erytrocytów;
9) obecność materiału genetycznego Bartonella henselae.
Prawidłowa odpowiedź to:
Pytanie 21
W związku z wywiadem ciążowym matki, u noworodka po urodzeniu badano w surowicy krwi przeciwciała przeciwko Toxoplasma gondii. Stwierdzono obecność swoistych przeciwciał w klasie IgG w wysokim mianie, przeciwciał w klasie IgM nie wykryto. Matka dziecka przebyła w ciąży zakażenie Toxoplasma gondii i była leczona zgodnie z wytycznymi. W celu ustalenia przebycia zakażenia przez dziecko:
Pytanie 22
Wskaż czynniki etiologiczne mogące wywołać aseptyczne zapalenie opon mózgowo-rdzeniowych u dzieci:
1) Haemophilus influenzae;
2) wirus polio;
3) wirus grypy;
4) wirus Epsteina-Barr;
5) Bartonella henselae;
6) Streptococcus agalactiae;
7) Cryptococcus neoformans;
8) Mycoplasma pneumoniae;
9) Escherichia coli.
Prawidłowa odpowiedź to:
Pytanie 23
Wskaż fałszywe stwierdzenie dotyczące zapalenia mózgu wywołanego zakażeniem wirusem opryszczki zwykłej:
Pytanie 24
U 6-miesięcznego niemowlęcia stwierdzono padaczkę, opóźnienie w rozwoju psychoruchowym, dysmorfię, wklęsłe brodawki sutkowe, kardiomiopatię, zaburzenia krzepnięcia, zanik móżdżku. Które z badań laboratoryjnych ma istotne znaczenie w procesie diagnostycznym?
Pytanie 25
Fenylomaślan glicerolu stosowany jest w leczeniu wspomagającym:
Pytanie 26
Kwas kargluminowy nie jest stosowany w leczeniu:
Pytanie 27
Apraksja gałek ocznych należy do obrazu klinicznego:
Pytanie 28
Która z wrodzonych wad metabolizmu jest wykrywana w Polsce w badaniach przesiewowych noworodków?
Pytanie 29
Enzymatyczna terapia substytucyjna nie jest stosowana w chorobie:
Pytanie 30
Leukodystrofia globoidalna Krabbego spowodowana jest deficytem aktywności enzymu:
Pytanie 31
U 2-letniego chłopca stwierdzono moczówkę prostą, cukrzycę, zanik nerwów wzrokowych, głuchotę. W procesie diagnostycznym należy uwzględnić zespół:
Pytanie 32
Które z badań biochemicznych ma istotne znaczenie w diagnostyce adrenoleukodystrofii sprzężonej z chromosomem X?
Pytanie 33
Lek Koselugo zarejestrowany jest do leczenia:
Pytanie 34
Everolimus jest zarejestrowany przez Europejską Agencję Leków (EMA) do leczenia następujących objawów stwardnienia guzowatego:
1) guzów serca;
2) guzów nerek angiomyolipoma;
3) guzów mózgu SEGA;
4) padaczki;
5) zmian angiofibroma na twarzy.
Prawidłowa odpowiedź to:
Pytanie 35
Obustronne guzy Schwannoma nerwu przedsionkowego należą do obrazu klinicznego:
Pytanie 36
W jakim odsetku populacji dziecięcej występują napady afektywnego bezdechu?
Pytanie 37
Wskaż prawdziwe stwierdzenie dotyczące leczenia padaczki za pomocą wszczepienia stymulatora nerwu błędnego (VNS):
Pytanie 38
Zupełne zahamowanie progresji choroby w stwardnieniu rozsianym określa się jako:
Pytanie 39
Do kryteriów NEDA-3 zalicza się:
1) brak rzutów choroby;
2) brak nowych zmian w MRI mózgu;
3) brak progresji niepełnosprawności;
4) utratę objętości mózgu nie przekraczającą 0,4% średniorocznie;
5) stężenie łańcuchów lekkich neurofilamentów.
Prawidłowa odpowiedź to:
Pytanie 40
Do aktualnych (jesień 2023) kryteriów kwalifikujących do programu terapeutycznego lekiem satralizumab w NMOSD (Neuromelitis Optica Spectrum Disorders) nie zalicza się:
Pytanie 41
Wskaż fałszywe stwierdzenie dotyczące zespołu MOGAD (MOG-antibody associated disorder):
Pytanie 42
Objawy uszkodzenia pola najdalszego obejmują:
Pytanie 43
U 13-letniego pacjenta z agresywną, rzutowo-remisyjną postacią stwardnienia rozsianego wykonano badanie serologiczne stwierdzające obecność przeciwciał przeciwko wirusowi JC. W związku z tym pacjent:
Pytanie 44
Do kryteriów rozpoznania nerwiakowłókniakowatości typu I (NF-1) nie zalicza się:
Pytanie 45
Właściwa dawka wigabatryny dla rocznego dziecka ze stwardnieniem guzowatym i padaczką z napadami odogniskowymi wynosi:
Pytanie 46
U niemowlęcia ze stwardnieniem guzowatym, bez padaczki, w wieku do 6. miesiąca życia, zgodnie z międzynarodowymi wytycznymi należy co:
Pytanie 47
Wskaż fałszywe stwierdzenie dotyczące olbrzymiokomórkowych gwiaździaków podwyściółkowych:
Pytanie 48
Wskaż prawdziwe stwierdzenie dotyczące nerwiakowłókniakowatości typu 2 (NF-2):
Pytanie 49
Aktualne rekomendacje dotyczące leczenia przedobjawowych dzieci z SMA zidentyfikowanych w badaniu przesiewowym noworodków obejmują:
Pytanie 50
12-miesięczny pacjent został skierowany do poradni neurologicznej z powodu braku osiągania kamieni milowych rozwoju. Dziecko w 9. miesiącu życia samodzielnie siadało, ale nie rozwinęło samodzielnego stania i czworakowania. Dziecko prawidłowo rozwinięte pod względem funkcji poznawczych i społecznych. Kończyny dolne są wiotkie, nie ma odruchów ścięgnistych. Chłopiec urodził się jako wcześniak w 34. tygodniu ciąży, a jego stan oceniono na 7 pkt. w skali Apgar. W okresie noworodkowym było wykonywane badanie przesiewowe w kierunku rdzeniowego zaniku mięśni i wynik był negatywny. W pierwszej kolejności należy wykonać badanie:
Pytanie 51
Rysdyplam jest lekiem stosowanym w:
Pytanie 52
Wskaż prawdziwe stwierdzenie dotyczące nusinersenu:
Pytanie 53
Do cech charakterystycznych choroby Unverrichta-Lundborga nie zalicza się:
Pytanie 54
Do genów, których mutacja najczęściej odpowiada za rodzinną samoograniczającą się padaczkę noworodkową zalicza się:
Pytanie 55
Wskaż prawdziwe stwierdzenia dotyczące lamotryginy:
1) może wywołać zespół Stevensa-Johnsona;
2) nie wchodzi w interakcje z kwasem walproinowym;
3) dawka nie zależy od masy ciała;
4) mechanizm działania polega na blokowaniu przewodnictwa w napięciowozależnych kanałach sodowych;
5) może nasilać napady miokloniczne.
Prawidłowa odpowiedź to:
Pytanie 56
Wskaż prawdziwe stwierdzenie dotyczące padaczki z napadami miokloniczno-atonicznymi:
Pytanie 57
Punktacja APE2 służąca do oceny prawdopodobieństwa autoimmunologicznej etiologii padaczki uwzględnia:
1) objawy neuropsychiatryczne;
2) dyskinezy twarzy;
3) zaburzenia autonomiczne;
4) wynik płynu mózgowo-rdzeniowego;
5) napady padaczkowe;
6) wynik badania MR głowy.
Prawidłowa odpowiedź to:
Pytanie 58
5-letnia dziewczynka trafiła do szpitala z powodu nocnych incydentów polegających na wielokrotnym wybudzaniu i wykonywaniu gwałtownych ruchów kończynami dolnymi (wg rodziców: „jakby kopała nogami w niewidzialnego przeciwnika”). Objawy występują od 3. miesięcy. Incydenty trwają do 30. sekund, rodzice nie są pewni czy dziecko wówczas rozumie ich słowa. W badaniu MR głowy nie stwierdzono nieprawidłowości. W badaniu EEG we śnie zarejestrowano pojedyncze fale ostre w okolicach czołowo-skroniowych. Wskaż lek pierwszego wyboru u tej pacjentki:
Pytanie 59
Wskaż lek pierwszego rzutu w leczeniu drgawek noworodkowych:
Pytanie 60
Wskaż najczęstszą przyczynę drgawek u donoszonych noworodków:
Pytanie 61
Uszkodzenie nerwu strzałkowego wspólnego spowodowane jest najczęściej uciskiem na nerw w okolicy:
Pytanie 62
Do drogi wzrokowej nie zalicza się:
Pytanie 63
Do leukodystrofii demielinizacyjnych zalicza się chorobę:
Pytanie 64
Agenezja ciała modzelowatego występuje w:
Pytanie 65
W leczeniu zespołu Lennoxa-Gastauta lekiem pierwszego rzutu jest kwas walproinowy. Ze względu na ryzyko nasilenia częstości napadów padaczkowych mioklonicznych i atonicznych w terapii tego zespołu unika się podawania:
1) wigabatryny;
2) karbamazepiny;
3) rufinamidu;
4) topiramatu;
5) lamotryginy.
Prawidłowa odpowiedź to:
Pytanie 66
Kannabidiol (CBD) uzyskał rejestrację do leczenia padaczki u dzieci w przypadku zespołu:
Pytanie 67
Klasyczne objawy rozpoczynają się zwykle od zaburzeń sensorycznych w postaci parestezji wokół ust i w opuszkach palców, potem dołączają się obustronne, mimowolne, nierzadko bolesne skurcze mięśniowe. Początkowo skurcze dotyczą rąk, głównie w obrębie mięśni kłębu kciuka, prowadząc do charakterystycznego ułożenia ręki. Opis dotyczy:
Pytanie 68
Ataksja przewlekła może pojawić się w przebiegu zespołu:
Pytanie 69
Jaki objaw łączy ze sobą ceroidolipofuscynozy, chorobę Niemanna-Picka typu C, gangliozydozę GM2, niedobór transportera glukozy typu 1 i chorobę Refsuma?
Pytanie 70
Wskaż prawdziwe stwierdzenia dotyczące pacjenta z hiperamonemią:
1) w leczeniu obrzęku mózgu podawanie kortykosteroidów nie jest wskazane z uwagi na jej nasilanie;
2) w badaniach laboratoryjnych występuje także alkaloza oddechowa, kwasica mleczanowa i hipoglikemia;
3) w leczeniu objawowym drgawek zaleca się kwas walproinowy;
4) wskazane jest poszerzenie diagnostyki metabolicznej, w tym ocena wydalania kwasu orotowego z moczem;
5) najczęstszym deficytem cyklu mocznikowego jest deficyt transkarbamylazy ornitynowej.
Prawidłowa odpowiedź to:
Pytanie 71
Wskaż prawdziwe stwierdzenie dotyczące nowotworów pochodzenia zarodkowego:
Pytanie 72
Około 50% guzów mózgu to nowotwory pochodzenia glejowego. Gwiaździaki o niższym stopniu złośliwości stanowią 30% guzów mózgu u dzieci. Dziecięca grupa glejaków o niższym stopniu złośliwości najczęściej wiąże się ze współistnieniem z:
Pytanie 73
Najczęstszym guzem okolicy podwzgórzowo-przysadkowej jest:
Pytanie 74
Kardiomiopatia nie stanowi jednego z ważniejszych objawów w:
Pytanie 75
Fenyloketonuria (PKU) jest jedną z pierwszych opisanych wrodzonych chorób metabolicznych. Wskaż prawdziwe stwierdzenia:
1) 98% jest wynikiem deficytu aktywności enzymu hydroksylazy fenyloalaniny (PAH);
2) noworodki z deficytem PAH rodzą się ze wszystkimi objawami PKU;
3) rozpoznanie opiera się na skryningu noworodkowym - badaniu suchej kropli krwi pobranej po 72. godzinach życia;
4) natężenie zmian w istocie białej koreluje z aktualną ekspozycją na wysokie stężenia fenyloalaniny;
5) opiera się na skryningu noworodkowym - badaniu suchej kropli krwi pobranej po 4. godzinie życia.
Prawidłowa odpowiedź to:
Pytanie 76
Przyczyną napadowej ataksji z miokimiami jest kanałopatia potasowa związana z mutacją w genie KCNA1 o początku w dzieciństwie lub okresie dojrzewania. Do leków zmniejszających częstość i nasilenie incydentów napadowych zalicza się:
Pytanie 77
Mutacje w obrębie genu CACNA1 kodującego podjednostkę kanału wapniowego wywołują 3 alleliczne choroby. Dwie z nich to rodzinna migrena połowiczoporaźna i napadowa ataksja typu 2. Brakującą, trzecią jednostką jest:
Pytanie 78
Na konsultacje neurologiczną zgłosiła się mama z 23-miesięczną córką z powodu pojawienia się (od 5 miesięcy) zaburzeń chodu (chód na palcach), niezgrabności ruchowej, pogorszenia mowy czynnej, zahamowania rozwoju psychoruchowego. Konsultujący neurolog z odchyleń od normy w badaniu neurologicznym stwierdził wzmożone napięcie mięśniowe oraz cechy neuropatii obwodowej. Wskaż wstępne rozpoznanie:
Pytanie 79
Niedobór dekarboksylazy L-aminokwasów aromatycznych jest chorobą dziedziczoną autosomalnie recesywnie. W obrazie klinicznym występuje:
Pytanie 80
U 3-letniego dziecka 1,5 godziny po posiłku stwierdzono hipoglikemię. Poszerzona diagnostyka laboratoryjna ujawniła charakter ketotyczny hipoglikemii. Dodatkowo zaobserwowano acydemię mleczanową, hipertrójglicerydemię, hipercholesterolemię i hiperurykemię. W badaniu pediatrycznym zwracało uwagę zahamowanie przyrostu długości ciała oraz hepatomegalia. W diagnostyce różnicowej należy brać pod uwagę:
Pytanie 81
Do objawów zakażenia wirusem Zikka zalicza się:
Pytanie 82
Ropnie mózgu mogą pojawić się jako powikłanie:
Pytanie 83
Napady padaczkowe z grzbietowo-bocznej części płata czołowego często objawiają się:
Pytanie 84
Jedną z chorób metabolicznych, w której mogą pojawić się nawracające udary, a także zapalenie trzustki, zaburzenia ruchowe (dystonie, choreoatetoza), niepełnosprawność intelektualna jest:
Pytanie 85
W przypadku tłuszczaka kanału kręgowego podstawowym problemem klinicznym jest:
Pytanie 86
Kannabidiol wykazuje najsilniejsze działania niepożądane w skojarzeniu z:
Pytanie 87
W którym zespole jednym z bardzo częstych i istotnych klinicznie objawów jest refluks żołądkowo-przełykowy?
Pytanie 88
W większości chorób wywołanych mutacjami dynamicznymi w obciążonych rodzinach obserwuje się zjawisko antycypacji. W następujących po sobie pokoleniach stwierdza się wcześniejsze ujawnienie i cięższy przebieg choroby. Zjawiska antycypacji nie obserwuje się w:
Pytanie 89
Która z genetycznie uwarunkowanych chorób z ataksją nie zostanie wykryta w badaniu metodą sekwencjonowania następnej generacji (NGS lub WES)?
Pytanie 90
Obrazowanie mózgowia MR często może sugerować rozpoznanie leukodystrofii. Przewagę zmian leukodystroficznych w płatach czołowych mózgu stwierdza się w:
Pytanie 91
W wielu chorobach sprzężonych z chromosomem X, niektóre objawy mogą być również obecne u nosicielek choroby. Objawy spastycznego niedowładu kończyn dolnych mogą występować u kobiet nosicielek w:
1) zespole kruchego chromosomu X;
2) adrenoleukodystrofii (XALD);
3) chorobie Fabry’ego;
4) chorobie Pelizaeusa-Merzbachera;
5) zespole Coffina-Lowry’ego.
Prawidłowa odpowiedź to:
Pytanie 92
Upośledzenie węchu, zanik prosty nerwu wzrokowego po stronie guza, po stronie przeciwnej obrzęk tarczy nerwu wzrokowego to objawy zespołu:
Pytanie 93
Wskaż fałszywe stwierdzenie dotyczące dysplazji włóknisto-mięśniowej:
Pytanie 94
Do objawów zespołu Ehlersa-Danlosa nie zalicza się:
Pytanie 95
Wskaż fałszywe stwierdzenie dotyczące zespołu CADASIL?
Pytanie 96
Wskaż fałszywe stwierdzenie dotyczące zaburzeń mowy:
Pytanie 97
W dystonii typu 5 leczeniem z wyboru jest zastosowanie:
Pytanie 98
Do „obwodowych” możliwości operacyjnego leczenia dystonii zalicza się:
Pytanie 99
W dystonii prowokowanej wysiłkiem w toku diagnostyki różnicowej należy uwzględnić:
Pytanie 100
Wskaż prawdziwe stwierdzenie dotyczące monitorowania diety ketogennej:
Pytanie 101
Wskaż prawdziwe stwierdzenie dotyczące prowadzenia diety ketogennej (DK):
Pytanie 102
Wskaż typy napadów padaczkowych niewystępujące w padaczce z napadami miokloniczno-atonicznymi zwanej dawniej padaczką z napadami miokloniczno-astatycznymi lub zespołem Doose`go:
1) miokloniczne;
2) atoniczne;
3) nieświadomości;
4) atypowe napady nieświadomości;
5) zgięciowe;
6) uogólnione toniczno-kloniczne;
7) niedrgawkowego stanu padaczkowego;
8) ogniskowe;
9) toniczne.
Prawidłowa odpowiedź to:
Pytanie 103
Fragment zapisu czynności bioelektrycznej mózgu (EEG) wykonano we śnie u 5-letniego chorego. Zapis prezentuje charakterystyczne zmiany, które są konieczne do rozpoznania jednej z encefalopatii rozwojowej i padaczkowej, która jest spowodowana szerokim zakresem przyczyn. Zapis ten może odpowiadać:

Pytanie 104
SUDEP (sudden unexplained death in epilepsy) - nagła niespodziewana śmierć w padaczce jest przyczyną śmierci nawet u 20% chorych w jednej z encefalopatii padaczkowej i rozwojowej. Odsetek ten jest najwyższy w:
Pytanie 105
W przypadku rozpoznania chorób ze spektrum NMO (zapalenie rdzenia i nerwów wzrokowych tj. NMOSD) w ich leczeniu nie należy stosować:
1) preparatów INFb1;
2) fingolimodu;
3) natalizumabu;
4) rytuksymabu;
5) azatiopryny.
Prawidłowa odpowiedź to:
Pytanie 106
Fragment zapisu czynności bioelektrycznej mózgu 15-letniej chorej pokazuje 15 sekundowy napad padaczkowy z wyładowaniami serii zespołów iglica-fala wolna i wieloiglicy z falą wolną, fala o częstotliwości 3,5 Hz. Na podstawie jedynie zapisu EEG można podejrzewać, że zarejestrowano:

Pytanie 107
Które z leków przeciwpadaczkowych, przeciwnapadowych nie mają metabolizmu wątrobowego?
1) etosuksymid;
2) gabapentyna;
3) lamotrygina;
4) wigabatryna;
5) lewetyracetam;
6) klobazam;
7) lakozamid;
8) perampanel.
Prawidłowa odpowiedź to:
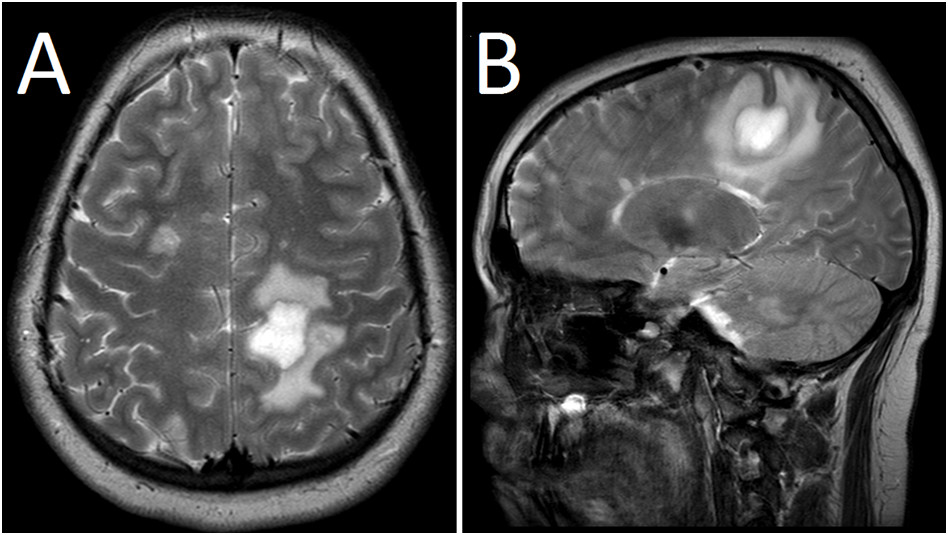
Pytanie 108
MR głowy wykonano u 12-letniego chorego (A - przekrój poprzeczny, B - przekrój strzałkowy). Wskaż najbardziej prawdopodobne rozpoznanie:

Pytanie 109
W diagnostyce ostrego rozsianego zapalenia mózgu i rdzenia (ADEM) istotną rolę pełni badanie płynu mózgowo-rdzeniowego, którego wyniki mogą wykazać:
Pytanie 110
Jedną z najczęstszych przyczyn niepełnosprawności intelektualnej uwarunkowanej genetycznie jest zespół Downa. Najczęstszą przyczynę tego zespołu stanowi trisomia 21 (prosta trisomia). Wskaż prawdziwe stwierdzenia dotyczące zespołu Downa:
1) rzadziej występuje postać mozaikowa (u około 1% dzieci) będąca zmianą sporadyczną, częstość występowania tych postaci wzrasta z wiekiem matki;
2) u około 3-4% dzieci występuje postać translokacyjna, translokacja może pochodzić od matki;
3) u około 3-4% dzieci występuje postać translokacyjna, translokacja może pochodzić od ojca;
4) zaburzenia ze spektrum autyzmu występują u ponad 30% osób z tym zespołem;
5) zaburzenia ze spektrum autyzmu występują z częstością zbliżoną do populacyjnej.
Prawidłowa odpowiedź to:
Pytanie 111
Wskaż fałszywe stwierdzenia dotyczące niepełnosprawności intelektualnej (NI):
1) w populacji ogólnej odsetek osób z niepełnosprawnością intelektualną mieści się w granicach 6-8%;
2) w populacji ogólnej odsetek osób z niepełnosprawnością intelektualną mieści się w granicach 1-3%;
3) w grupie osób z NI, osoby z niepełnosprawnością w stopniu lekkim stanową około 60%;
4) w grupie osób z NI, osoby z niepełnosprawnością w stopniu lekkim stanową około 85%;
5) w grupie osób z NI, osoby z niepełnosprawnością w stopniu lekkim stanową >95%.
Prawidłowa odpowiedź to:
Pytanie 112
Wskaż prawdziwe stwierdzenia dotyczące mioklonicznej padaczki niemowlęcej:
1) częściej chorują dziewczęta;
2) mioklonie są jedynym typem napadów;
3) w 2 r.ż. z reguły dołączają się napady uogólnione toniczno-kloniczne;
4) napady padaczkowe mogą być indukowane fotostymulacją;
5) remisja napadów następuje do 5 roku życia.
Prawidłowa odpowiedź to:
Pytanie 113
Do neurologa zgłosił się 8-letni chłopiec z powodu wystąpienia napadów padaczkowych. Wywiad rodzinny obciążony padaczką oraz zaburzeniami neurorozwojowymi. Wywiad płodowo-okołoporodowy nieobciążony, parametry rozwoju somatycznego na 50 percentylu. Rozwój psychoruchowy w granicach normy. W ostatnim czasie wystąpiły zaburzenia koncentracji uwagi, nadmierna męczliwość. W badaniu neurologicznym obwód głowy między 10 a 25 percentylem, cechy niezgrabności ruchowej, bez wyraźnych objawów ogniskowego uszkodzenia OUN. Napady występują najczęściej rano po obudzeniu, czasem w seriach, polegają na opadaniu głowy i szarpnięciu ramion. Jeden raz nad ranem wystąpił napad toniczno-kloniczny. Obraz MRI mózgu prawidłowy. W zapisie EEG międzynapadowym, w czuwaniu, na tle prawidłowej czynności podstawowej występują kilkusekundowe uogólnione wyładowania zespołów iglica/wieloiglica-fala. Które z zaburzeń należy przede wszystkim brać pod uwagę?
1) padaczkę z napadami miokloniczno-atonicznymi (dawniej zespół Doosego);
2) zespół Lennoxa-Gastauta;
3) postępującą padaczkę miokloniczną;
4) ceroidolipofuscynozę;
5) deficyt transportera glukozy typu I.
Prawidłowa odpowiedź to:
Pytanie 114
U 10-miesięcznego niemowlęcia z mózgowym porażeniem dziecięcym pod postacią niedowładu spastycznego czterokończynowego można stwierdzić obecność:
1) nasilonego odruchu tonicznego szyjnego symetrycznego;
2) nasilonego odruchu tonicznego szyjnego asymetrycznego;
3) odruchu skrzyżowanego wyprostu;
4) odruchu tonicznego błędnikowego.
Prawidłowa odpowiedź to:
Pytanie 115
Wskaż schorzenia, w których nie występuje małogłowie:
1) kwasica glutarowa typu I;
2) zespół Retta;
3) zespół Cornelii de Lange;
4) zespół Sotosa;
5) zespół Angelmana.
Prawidłowa odpowiedź to:
Pytanie 116
Wskaż prawdziwe stwierdzenia dotyczące rozwoju psychoruchowego:
1) u dzieci urodzonych przedwcześnie tor rozwojowy powinno się oceniać według wieku skorygowanego do końca 18. miesiąca życia;
2) u dzieci urodzonych przedwcześnie tor rozwojowy powinno się oceniać według wieku skorygowanego do końca 24. miesiąca życia;
3) całościowe opóźnienie (neuro)rozwojowe (global developmental delay) oznacza opóźnienie o co najmniej 2 odchylenia standardowe w co najmniej 2. sferach rozwojowych;
4) całościowe opóźnienie (neuro)rozwojowe oznacza opóźnienie o co najmniej 2 odchylenia standardowe w co najmniej 3. sferach rozwojowych;
5) całościowe opóźnienie (neuro)rozwojowe oznacza opóźnienie o co najmniej 3 odchylenia standardowe w co najmniej 2. sferach rozwojowych.
Prawidłowa odpowiedź to:
Pytanie 117
Zgodnie z kwalifikacją Charcot Foundation, typ prążków, w którym poza prążkami identycznymi jak w surowicy obecne są dodatkowe prążki w płynie mózgowo-rdzeniowym to typ:
Pytanie 118
Wskaż prawdziwe stwierdzenie dotyczące EEG:
Pytanie 119
Wskaż objawy homocystynurii klasycznej:
1) marfanoidalny wygląd;
2) podwichnięcie soczewek;
3) nadwzroczność;
4) zakrzepica;
5) niepełnosprawność intelektualna;
6) napady padaczkowe;
7) zaburzenia psychiatryczne.
Prawidłowa odpowiedź to:
Pytanie 120



