Wyszukaj egzamin lub pytanie
Egzamin PES Neurologia dziecięca / jesień 2019
120 pytań
Pytanie 1
Wskaż fałszywe stwierdzenia dotyczące autyzmu: 1) do osiowych objawów należą zaburzenia mowy i kontaktów społecznych; 2) wczesne objawy autyzmu zaczynają pojawiać się w drugim półroczu 2. r. ż.; 3) u dzieci z autyzmem częściej niż w populacji ogólnej występują zaburzenia odporności i alergia; 4) u dziecka z autyzmem można obserwować regres w rozwoju; 5) dzieci z autyzmem są bardzo zainteresowane otoczeniem i chętnie zmieniają środowisko. Prawidłowa odpowiedź to:
Pytanie 2
Ośrodek ruchowy mowy zawiadujący analizą ruchów artykulacyjnych (tzw. ośrodek ruchowy mowy) znajduje się:
Pytanie 3
Wskaż kryteria rozpoznania ADHD: 1) występowanie nadruchliwości i/lub impulsywności i/lub nieuwagi; 2) upośledzenie funkcjonowania widoczne w co najmniej dwóch środowiskach; 3) upośledzenie funkcjonowania występuje w każdym środowisku; 4) utrzymywanie się objawów ponad 3 miesiące. Prawidłowa odpowiedź to:
Pytanie 4
LETM - zmiany zapalne obejmujące powyżej 3 segmenty rdzenia kręgowego są charakterystyczne dla:
Pytanie 5
W diagnostyce różnicowej poprzecznego zapalenia rdzenia uwzględnia się:
Pytanie 6
Do leków stosowanych w pierwszej linii leczenia SM u dzieci w Polsce należą:
Pytanie 7
Chłopiec 12-miesięczny urodzony z ciąży I, siłami natury o czasie, z masą ciała 2600 g, oceniony na 1 pkt w skali Apgar. W badaniu neurologicznym stwierdza się: małogłowie, wzmożone napięcie mięśniowe z przewagą kończyn dolnych, wygórowane odruchy głębokie, opóźnienie rozwoju psychomotorycznego. Badanie MR głowy wykazuje niedorozwój ciała modzelowatego i robaka móżdżku, zaniki korowo-podkorowe z poszerzeniem układu komorowego. Wskaż rozpoznanie:
Pytanie 8
Przeciwwskazaniem do leczenia spastyczności za pomocą wstrzyknięć toksyny botulinowej A u dziecka z mózgowym porażeniem dziecięcym są: 1) wiek poniżej 2. roku życia; 2) zespół wiotki; 3) utrwalone przykurcze; 4) infekcja w miejscu wstrzyknięcia; 5) zaburzenia miasteniczne. Prawidłowa odpowiedź to:
Pytanie 9
Technika rehabilitacji neurologicznej oparta na torowaniu prawidłowych ruchów poprzez rozciąganie i opór przy współpracy pacjenta to metoda:
Pytanie 10
Wskaż badania dodatkowe, które należy zlecić u pacjenta z podejrzeniem rdzeniowego zaniku mięśni: 1) badanie EMG; 2) badanie genetyczne genu SMN1; 3) biopsja mięśnia; 4) punkcja lędźwiowa; 5) rezonans magnetyczny rdzenia kręgowego. Prawidłowa odpowiedź to:
Pytanie 11
Względnym przeciwwskazaniem do stosowania diety ketogennej jest:
Pytanie 12
Wskaż cechy charakterystyczne zespołu bólowego wskazujące na prawdopodobny proces uciskowy rdzenia kręgowego odcinka szyjnego: 1) niewielki uraz kręgosłupa w wywiadzie; 2) miejscowe bóle kręgosłupa, nasilające się w pozycji leżącej w godzinach nocnych; 3) stałe przymusowe ustawienie szyi w pochyleniu do przodu; 4) nagłe napadowe bóle kończyn górnych; 5) bolesne odczucie zimna lub gorąca w obrębie kończyn. Prawidłowa odpowiedź to:
Pytanie 13
U dziecka 8-letniego z nawracającymi wielokrotnie w ciągu roku atakami silnego lub umiarkowanego bólu brzucha można podejrzewać migrenę brzuszną, gdy: 1) ból zlokalizowany jest w prawym podżebrzu; 2) ból brzucha trwa od 15 minut do 2 godzin; 3) ból ma charakter pulsujący; 4) bólowi brzucha towarzyszy jednostronny ból głowy; 5) między atakami utrzymują się brak apetytu i nudności. Prawidłowa odpowiedź to:
Pytanie 14
U 5-letniego chłopca wystąpił w nocy we śnie epizod silnego bólu głowy ze zblednięciem powłok, następnie nudności, wymioty, zwrot gałek ocznych w bok, przełykanie, ślinienie, zaburzenia rytmu serca, narastające zaburzenia świadomości. Objawy ustąpiły całkowicie w ciągu 30 minut, bez następstw neurologicznych. Obraz kliniczny incydentu może wskazywać na:
Pytanie 15
Wskaż zdanie fałszywe dotyczące toksyny botulinowej stosowanej w leczeniu spastyczności:
Pytanie 16
Przyczyną zespołu Retta jest mutacja genu:
Pytanie 17
Do objawów złamania piramidy kości skroniowej nie zalicza się:
Pytanie 18
Zgodnie z klasyfikacją ICD 10 do całościowych zaburzeń rozwojowych nie zalicza się:
Pytanie 19
Najczęstszym objawem niepożądanym stosowania octanu glatirameru jest/są:
Pytanie 20
Wskaż prawdziwe stwierdzenie dotyczące rytuksymabu:
Pytanie 21
Wskaż prawdziwe stwierdzenia dotyczące ADEM: 1) ADEM występuje przede wszystkim w populacji dziecięcej, ze średnim wiekiem zachorowania w 5.-8. r.ż.; 2) przebieg kliniczny ADEM jest jednofazowy, ale objawy mogą rozwijać się i fluktuować w ciągu kilku tygodni; 3) za typowe dla ADEM w obrazie MR uważa się ogniska dobrze odgrani- czone, owoidalne, o lokalizacji okołokomorowej lub w ciele modzelowatym albo prostopadle do jego długiej osi; 4) jednym z 4 warunków rozpoznania ADEM w populacji pediatrycznej jest występowanie objawów encefalopatii; 5) lekiem pierwszego rzutu w ADEM jest metyloprednizolon, w cięższych przypadkach przy braku poprawy stosuje się wlewy immunoglobulin. Prawidłowa odpowiedź to:
Pytanie 22
Torbielki podwyściókowe stwierdzane w badaniu ultrasonograficznym mózgu u 2-tygodniowego noworodka donoszonego z żółtaczką cholestatyczną i hepatosplenomegalią wymagają diagnostyki w kierunku:
Pytanie 23
Wskaż możliwe skutki pierwotnego zarażenia pierwotniakiem Toxoplasma gondii:
Pytanie 24
We wrodzonej listeriozie u noworodka urodzonego przedwcześnie stwierdzane są: 1) pozapalne zmiany na dnie oczu; 2) ropnie mózgu w badaniu ultrasonograficznym mózgu; 3) głównie podwyższone transaminazy; 4) wysoka pleocytoza i niskie stężenie białka w płynie mózgowo- rdzeniowym; 5) swoiste przeciwciała w kierunku zakażenia Listeria monocytogenes. Prawidłowa odpowiedź to:
Pytanie 25
Zmiany zapalne na dnie oczu noworodka o typie 'sól i pieprz' są charakterystyczne dla:
Pytanie 26
Chłopiec 20-miesięczny został przywieziony przez rodziców do izby przyjęć szpitala z powodu utrzymującej się od kilku godzin gorączki 38-39°C, wymiotów oraz narastających zaburzeń świadomości. Podczas badania przedmiotowego lekarz stwierdził sztywność karku, objawy Brudzińskiego górny i dolny dodatnie. Jakie antybiotyki/antybiotyk należy wdrożyć u dziecka w terapii empirycznej?
Pytanie 27
Zjawisko Uthoffa to występujące w SM pogorszenie stanu pacjenta z powodu:
Pytanie 28
Zapaleniu opon mózgowo-rdzeniowych w neuroboreliozie towarzyszy często:
Pytanie 29
Wskaż prawdziwe stwierdzenie dotyczące zastosowania IVIG w SM:
Pytanie 30
Wskaż zasady antybiotykoterapii w leczeniu bakteryjnego zapalenia opon mózgowo-rdzeniowych: 1) antybiotykoterapia powinna być wdrożona jak najszybciej; 2) należy wdrożyć antybiotyk przed pobraniem materiału na badanie mikrobiologiczne; 3) antybiotyk należy wdrożyć po uzyskaniu wyniku badania mikrobiologicznego; 4) antybiotykoterapia empiryczna zależy od wieku pacjenta; 5) zaleca się stosowanie antybiotyków bakteriobójczych; 6) zaleca się stosowanie antybiotyków bakteriostatycznych. Prawidłowa odpowiedź to:
Pytanie 31
Do izolowanych pierwotnych dystonii należą:
Pytanie 32
W postaci młodzieńczej choroby Huntingtona (tzw. wariant Westphala) wcześnie pojawiają się:
Pytanie 33
U którego pacjenta zastosowano niewłaściwą farmakoterapię?
Pytanie 34
W której wrodzonej wadzie metabolizmu nie występuje obrzęk płodu?
Pytanie 35
W chorobie Fabry'ego stwierdza się deficyt aktywności enzymu:
Pytanie 36
W której chorobie lizosomalnej występuje katapleksja?
Pytanie 37
Miglustat stosowany jest w leczeniu choroby:
Pytanie 38
Przejściowe napady niedokrwienne (TIA), akroparestezje, zmiany skórne (angiokeratoma), kardiomiopatia przerostowa, niewydolność nerek występują w:
Pytanie 39
Niepełnosprawność intelektualna, zakrzepica naczyń tętniczych i żylnych, podwichnięcie soczewek, wiotkość łącznotkankowa występują w:
Pytanie 40
Ataksja, opóźnienie rozwoju psychoruchowego, bezdechy, objawy wielonarządowe, objaw 'zęba trzonowego' w badaniu MR głowy występują w:
Pytanie 41
W zespole wklinowania w guzach umiejscowionych nadnamiotowo występuje przemieszczenie zakrętu hipokampa do wcięcia namiotu móżdżku. Który z objawów nie należy do tego zespołu?
Pytanie 42
U noworodka z dwoma guzami serca wykryto patogenną mutację w genie TSC2. Badanie prenatalne MRI mózgu nie wykazało charakterystycznych zmian dla stwardnienia guzowatego (SG). Noworodek nie ma także zmian na skórze. Wskaż prawidłowe zdanie:
Pytanie 43
Obecność mutacji genu GNAQ można wykryć w zmianach skórnych w przypadku:
Pytanie 44
Zmiany odbarwieniowe na skórze są charakterystycznym objawem w: 1) stwardnieniu guzowatym; 2) nerwiakowłókniakowatości typu 1; 3) zespole Sturge'a-Webera; 4) hipomelanozie Ito; 5) zespole Jadassohna. Prawidłowa odpowiedź to:
Pytanie 45
Wskaż cechę, która nie należy do kryteriów rozpoznawania nerwiakowłókniakowatości typu 1 (NF1):
Pytanie 46
W jakim odsetku chorych z nerwiakowłókniakowatością typu 1 stwierdza się padaczkę?
Pytanie 47
Właściwą skalą do oceny stanu funkcjonalnego pacjenta z SMA typu 3, który potrafi samodzielnie przejść 5 metrów jest:
Pytanie 48
U pacjenta w wieku 3 lat, który potrafi przejść kilka kroków i u którego badanie genetyczne wykazało delecję eksonu 7 i 8 genu SMN1 oraz 4 kopie genu SMN2:
Pytanie 49
Wskaż czynnik ryzyka nawrotów napadów padaczkowych po odstawieniu leczenia:
Pytanie 50
Wskaż fałszywe stwierdzenie dotyczące dziecięcej padaczki z napadami nieświadomości:
Pytanie 51
Wskaż charakterystyczną cechę POLG-patii:
Pytanie 52
U dziecka z lekooporną padaczką, której towarzyszy postępujący niedowład połowiczy i regres funkcji poznawczych, należy:
Pytanie 53
Kryterium rozpoznania neurofibromatozy typu 2 nie jest:
Pytanie 54
Wskaż prawidłowe stwierdzenie dotyczące hipomelanozy Ito:
Pytanie 55
U niemowlęcia ze stwardnieniem guzowatym lekiem pierwszego wyboru w napadach padaczkowych jest:
Pytanie 56
U 14-letniego pacjenta z pierwszym epizodem demielinizacji pod postacią niedowładu połowiczego stwierdza się jedynie 1 wzmacniające się kontrastem ognisko w MRI, zlokalizowane w torebce wewnętrznej kontralateralnie do niedowładu. U tego pacjenta:
Pytanie 57
Leczeniem rekomendowanym u pacjentów z NMO-SD jest:
Pytanie 58
Częstość występowania encefalopatii niedotlenieniowo-niedokrwiennej szacuje się na:
Pytanie 59
Kryteria dyskwalifikacji z hipotermii leczniczej noworodka obejmują:
Pytanie 60
Kontrola pola widzenia perymetrem Goldmana co 6 miesięcy zalecana jest u pacjentów leczonych:
Pytanie 61
Wskaż prawidłowe zestawienie leków stosowanych w zespole Dravet, zgodnie z rekomendacjami Polskiego Towarzystwa Neurologów Dziecięcych z 2016 roku:
Pytanie 62
Do Poradni Neurologicznej zgłosiła się matka z 15-letnim synem, chorują- cym na padaczkę - rozpoznany zespół Janza, w celu uzyskania zgody na uprawianie hokeja na lodzie. Chłopiec leczony jest kwasem walproinowym. Ostatni napad miał miejsce 2 lata temu. W tej sytuacji:
Pytanie 63
Do zespołów padaczkowych, które nie wymagają leczenia przeciwpadaczkowego zalicza się: 1) zespół Panayiotopoulosa; 2) samoograniczające się rodzinne padaczki ogniskowe niemowlęce; 3) samoograniczające się nierodzinne padaczki ogniskowe niemowlęce; 4) dziecięcą padaczkę z iglicami w okolicy centralno-skroniowej; 5) zespół Doose'a. Prawidłowa odpowiedź to:
Pytanie 64
Gwiaździak olbrzymiokomórkowy (SEGA) występujący wyłącznie w przebiegu stwardnienia guzowatego, zlokalizowany w komorach bocznych z przyczepem w obrębie głowy jądra ogoniastego, należy do grupy:
Pytanie 65
W leczeniu zespołu Lennoxa-Gastauta lekiem pierwszego rzutu jest kwas walproinowy. Ze względu na ryzyko nasilenia częstości napadów padaczkowych (mioklonicznych i atonicznych) w terapii tego zespołu unika się natomiast podawania: 1) wigabatryny; 2) karbamazepiny; 3) rufinamidu; 4) felbamatu; 5) gabapentyny. Prawidłowa odpowiedź to:
Pytanie 66
W przypadku obecności triady objawów: objawy zespołu wzmożonego ciśnienia wewnątrzczaszkowego, zaburzenia pola widzenia lub zaburzenia ostrości wzroku, deficyty endokrynne (niskorosłość, moczówka prosta oraz zaburzenia gospodarki hormonalnej tarczycy), w pierwszej kolejności należy podejrzewać:
Pytanie 67
Nowotwory ośrodkowego układu nerwowego u dzieci: 1) rozpoznaje się najczęściej między 10. a 12. rokiem życia; 2) występują nieco częściej u chłopców; 3) stanowią w Polsce w ciągu ostatnich lat około 20% nowotworów rozpoznawanych u dzieci w wieku 0-17 lat; 4) najczęściej lokalizują się podnamiotowo; 5) głównie manifestują się jako glejaki o wysokim stopniu złośliwości. Prawidłowa odpowiedź to:
Pytanie 68
W przypadku hiperamonemii: 1) najgroźniejszym powikłaniem jest obrzęk mózgu; 2) w leczeniu obrzęku mózgu podawanie kortykosteroidów nie jest wskazane z uwagi na nasilanie hiperamonemii; 3) w badaniach laboratoryjnych występuje także alkaloza oddechowa, kwasica mleczanowa i hipoglikemia; 4) w leczeniu objawowym drgawek zaleca się kwas walproinowy; 5) wskazane jest poszerzenie diagnostyki metabolicznej, w tym ocena wydalania kwasu orotowego z moczem. Prawidłowa odpowiedź to:
Pytanie 69
Wskaż fałszywe stwierdzenie dotyczące tętniaków wewnątrzczaszkowych:
Pytanie 70
Wskaż fałszywe stwierdzenie dotyczące zespołu MELAS:
Pytanie 71
Który z objawów nie występuje w zespole Ehlersa-Danlosa?
Pytanie 72
Zamknięcie światła tętnicy przedniej mózgu powoduje: 1) niedowład przeciwległej kończyny dolnej, zwłaszcza części dystalnych; 2) zaburzenia czucia kończyny dolnej po stronie niedowładu z niedoczulicą na ból i dotyk; 3) zaburzenia czucia kończyny dolnej po stronie niedowładu bez zaburzeń czucia ułożenia; 4) przeciwstronne niedowidzenie połowicze jednostronne; 5) zaburzenia czucia kończyny dolnej po stronie niedowładu z zaburzeniami czucia ułożenia. Prawidłowa odpowiedź to:
Pytanie 73
Zawrotów głowy o charakterze przewlekłym (trwających ponad 15 dni), nawet o łagodnym nasileniu, nie wolno ignorować, gdyż mogą one być manifestacją:
Pytanie 74
Wskaż cechy charakterystyczne migreny przedsionkowej: 1) obecność migreny z aurą lub migreny bez aury w przeszłości; 2) obecność tylko migreny z aurą; 3) objawy przedsionkowe umiarkowane lub ciężkie trwające od 5 minut do 72 godzin; 4) rozpoznanie aktualnie lub w przeszłości migreny z aurą lub bez aury; 5) zawroty głowy mogą być prowokowane bodźcem wzrokowym. Prawidłowa odpowiedź to:
Pytanie 75
Zespół kliniczny zawału mózgu w całym przednim kręgu unaczynienia charakteryzują:
Pytanie 76
Wystąpienie u 3-letniego dziecka, dotychczas rozwijającego się prawidło- wo, połowiczego niedowładu prawostronnego, zaburzeń mowy i połykania, a następnie zaburzeń świadomości, w pierwszej kolejności wymaga:
Pytanie 77
Rodzice zgłosili się do Szpitalnego Oddziału Ratunkowego z 2-letnią dziewczynką, która od kilku godzin prezentuje zaburzenia chodu i wymioty. Badaniem neurologicznym stwierdzono zaburzenia chodu pod postacią chodu na szerokiej podstawie, ataksję kończyn górnych i oczopląs. Od 3 dni dziewczynka leczona antybiotykiem (cefalosporyną I generacji) z powodu infekcji gardła. W różnicowaniu w pierwszej kolejności należy wykluczyć:
Pytanie 78
Wskaż prawdziwe stwierdzenia dotyczące szczepień w drgawkach gorączkowych: 1) łączenie szczepień podczas jednej wizyty szczepiennej nie stanowi ryzyka napadu indukowanego szczepieniem u pacjenta z drgawkami gorączkowymi; 2) drgawki gorączkowe indukowane szczepieniem MMR mają prawdopodobnie determinację genetyczną; 3) u pacjentów poniżej 12. miesiąca życia przedłużające się drgawki gorączkowe są wskazaniem do diagnostyki w kierunku zespołu Dravet i Dravet-like; 4) drgawki gorączkowe indukowane szczepieniami to drgawki występujące w okresie 72 godzin po wykonaniu szczepienia; 5) należy rozważyć włączenie profilaktyki lekami przeciwgorączkowymi w dniu szczepienia. Prawidłowa odpowiedź to:
Pytanie 79
Izolowany zespół radiologiczny (RIS) spełniający kryteria DIS i DIT: 1) jest wskazaniem do włączenia przewlekłej terapii modyfikującej przebieg choroby; 2) wymaga systematycznej kontroli klinicznej i neuroobrazowej; 3) jest wystarczający do rozpoznania stwardnienia rozsianego; 4) wymaga pogłębionego różnicowania z użyciem wzrokowych potencjałów wywołanych i badania płynu mózgowo-rdzeniowego; 5) nie wyczerpuje kryteriów rozpoznania stwardnienia rozsianego. Prawidłowa odpowiedź to:
Pytanie 80
Agresywnie postępujące warianty TDL (tumefactive demyelinating lesions) w stwardnieniu rozsianym to: 1) stwardnienie koncentryczne Balό; 2) zjawisko Uhthoffa; 3) zespół Froina; 4) choroba Marburga; 5) zespół Millera-Fishera. Prawidłowa odpowiedź to:
Pytanie 81
Akumulacja żelaza w mózgu jest objawem neurozwyrodnieniowym w:
Pytanie 82
Ewolucja częstego epizodycznego bólu głowy w ból przewlekły (z codzien- nymi lub bardzo częstymi bólami głowy) prowadzi do nadużywania leków przeciw- bólowych i pojawieniem się tzw. bólów głowy z odbicia. W takim przypadku przydatne są następujące sposoby postępowania: 1) podawanie trójpierścieniowych leków antydepresyjnych, tj. amitryptyliny; 2) prowadzenie terapii behawioralnej; 3) stosowanie benzodiazepin; 4) stosowanie leków przeciwpadaczkowych; 5) stosowanie leków ziołowych - reklamowanych jako uspokajające; 6) stosowanie rehabilitacji - masaży relaksujących. Prawidłowa odpowiedź to:
Pytanie 83
Jak długo powinno trwać leczenie dietą ketogenną przy zadawalającym efekcie klinicznym?
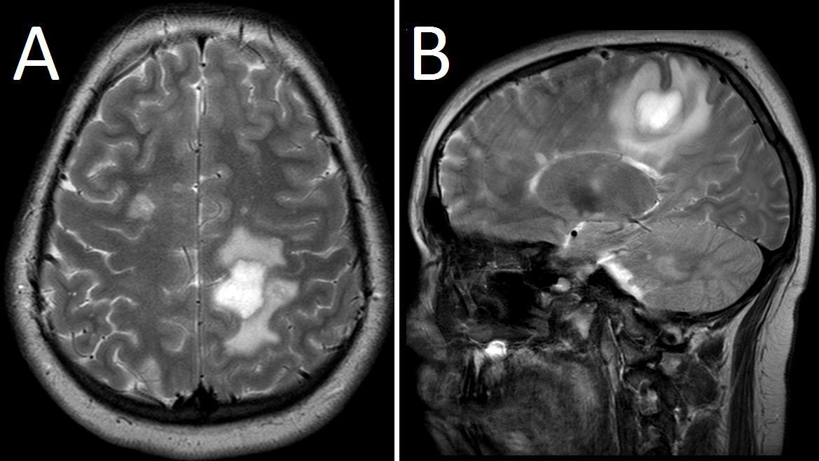
Pytanie 84
Poniższy obraz badania MR głowy wykonano u 12-letniego chorego (A przekrój poprzeczny, B przekrój strzałkowy). Wskaż najbardziej prawdopodobne jest rozpoznanie:

Pytanie 85
Wskaż prawdziwe stwierdzenie dotyczące najczęstszego przebiegu zapalenia rdzenia i nerwów wzrokowych (NMO):
Pytanie 86
Wskaż fałszywe stwierdzenie dotyczące pęczka podłużnego przyśrodkowego:
Pytanie 87
Które z niżej wymienionych zespołów padaczkowych nie wymagają leczenia przeciwpadaczkowego? 1) samoograniczające się rodzinne lub nierodzinne padaczki ogniskowe niemowlęce; 2) łagodna dziecięca padaczka z wyładowaniami w okolicy centralno- skroniowej; 3) łagodna padaczka ogniskowa z wyładowaniami w okolicy potylicy (zespół Panayiotopoulosa); 4) dziecięca padaczka z napadami nieświadomości; 5) samoograniczające się napady noworodkowe i rodzinna padaczka noworodkowa. Prawidłowa odpowiedź to:
Pytanie 88
Wystąpienie jakich typów napadów padaczkowych jest konieczne do rozpoznania zespołu Landaua-Kleffnera (ZLK)?
Pytanie 89
W którym zespole padaczkowym można obserwować podczas badania eeg następujące objawy: upośledzenie fiksacji, wyłączenie widzenia centralnego nasila występowanie grafoelementów padaczkokształtnych. Na dołączonych rycinach zaznaczono początek i koniec wyłączenia widzenia centralnego. Prawidłowa odpowiedź to:

Pytanie 90
Najczęstszą formą napadów występujących u dzieci do 2. roku życia są:
Pytanie 91
Wskaż prawdziwe stwierdzenie dotyczące drgawek gorączkowych prostych:
Pytanie 92
Wskaż zasady postępowania terapeutycznego u pacjentów z padaczką w przebiegu mutacji w genie SCN1A: 1) leki zalecane to: walproiniany, styrypentol, klobazam, diazepam; 2) leki zalecane to: walproiniany, styrypentol, okskarbazepina, klobazam, diazepam; 3) topiramat jest lekiem przeciwwskazanym; 4) karbamazepina, lamotrygina są lekami przeciwwskazanymi; 5) przeciwwskazany jest nadmierny wysiłek fizyczny. Prawidłowa odpowiedź to:
Pytanie 93
Leki przeciwpadaczkowe działające poprzez kanały sodowe to:
Pytanie 94
U dziecka z podejrzeniem nagłej dekompensacji metabolicznej wskazane jest: 1) wykonanie badań biochemicznych (gazometria, elektrolity, glukoza, CK, CRP, aminotransferazy, próby nerkowe, koagulogram), stężenia amo- niaku, kwasu mlekowego; 2) zabezpieczenie materiału (surowica, krew pobrana na bibułę filtracyjną, mocz) w celu uzupełnienia diagnostyki w kierunku IEM; 3) zapobieganie procesom katabolicznym poprzez podaż dożylną 10% glukozy (100-150 ml/kg m.c./dobę); 4) zapobieganie procesom katabolicznym poprzez podaż dożylną 5% glukozy (100-150 ml/kg m.c./dobę); 5) wstrzymanie podaży białka - przy podejrzeniu kwasic organicznych. Prawidłowa odpowiedź to:
Pytanie 95
U 11-letniego chłopca od około 3 miesięcy występują napady nieświado- mości trwające około 15-18 sekund, obserwowane 1-3 razy dziennie. Po deprywacji snu rano wystąpił napad uogólniony toniczno-kloniczny. EEG w czuwaniu: uogólnione wyładowania zespołów 3,5 Hz iglica, wieloiglica - fala wolna trwające 17 sekund. Chłopiec z nieobciążonym wywiadem rodzinnym, płodowo- okołoporodowym, prawidłowym rozwojem umysłowym, bez zespołu neurologicz- nego. Badanie MRI mózgu opisane jako prawidłowe. Który zespół padaczkowy należy brać pod uwagę?
Pytanie 96
Do grupy samoograniczających się zespołów padaczkowych należą: 1) rodzinne drgawki noworodkowo-niemowlęce; 2) rodzinna i nierodzinna padaczka niemowlęca; 3) padaczka z napadami miokloniczno-atonicznymi (zespół Doose'go); 4) młodzieńcza padaczka z napadami nieświadomości; 5) drgawki gorączkowe plus. Prawidłowa odpowiedź to:
Pytanie 97
Porażenie okresowe hipokaliemiczne występuje u pacjentów z mutacjami genów kodujących: 1) kanał wapniowy; 2) kanał sodowy; 3) kanał chlorkowy; 4) kanał potasowy; 5) pompę sodowo-potasową. Prawidłowa odpowiedź to:
Pytanie 98
U dziewczynki 10-letniej, dotychczas zdrowej, rozpoznano zespół FIRES. Wskaż, które z poniższych objawów przemawiają za słusznością rozpoznania: 1) napady toniczno-kloniczne gromadne wystąpiły w stanie zdrowia, poprzedzone niewielkim urazem głowy i stresem. Po 5 dniach dołączyła się gorączka > 38°C i objawy zaplenia płuc; 2) stan padaczkowy drgawkowy wystąpił w czasie infekcji gardła z gorączką; 3) napady padaczkowe ustąpiły w 4-tej dobie pobytu w OIOM-ie. Ponownie pojawiły się po roku od wypisu ze szpitala; 4) napady padaczkowe ustąpiły po 7 dniach i w czasie 2-letniej obserwacji nie było nawrotu napadów; 5) napady padaczkowe występowały prawie codziennie przez 2 lata dalszej obserwacji. Prawidłowa odpowiedź to:
Pytanie 99
Wskaż fałszywe stwierdzenia dotyczące mutacji w genie POLG: 1) gen POLG odpowiada za syntezę jednego z enzymów lizosomalnych; 2) polimeraza gamma odgrywa istotną rolę w uwalnianiu neurotransmiterów z pęcherzyków synaptycznych; 3) polimeraza gamma odgrywa istotną rolę w replikacji i naprawie mitochondrialnego DNA; 4) mutacje w genie POLG prowadzą do uszkodzenia łańcucha oddechowego; 5) w przypadku stwierdzenia mutacji POLG zaleca się utrzymywanie stężenia kwasu walproinowego w surowicy na poziomie ≤70 µg/ml. Prawidłowa odpowiedź to:
Pytanie 100
Nawracające zakażenia układu oddechowego i skóry oraz podwyższone ryzyko chorób rozrostowych są charakterystyczne dla:
Pytanie 101
Wskaż fałszywe stwierdzenie:
Pytanie 102
Do szpitala przyjęto 5-miesięcznego chłopca po drgawkach, z wymiotami i temperaturą 38,9°C. Nie uzyskano z wywiadu danych odnośnie rozwoju i wcześ- niejszych problemów. Dziecko nie chodziło do pediatry i nie było szczepione. Stwierdzono obwód głowy - 25 c, brak kontaktu wzrokowego, napięcie mięśniowe wzmożone w kończynach, obniżone osiowo, zaciśnięte dłonie, przywiedziony kciuk. W badaniach laboratoryjnych cechy zakażenia wirusowego. W PMR białko 293 mg/dl. Po ustąpieniu infekcji stan neurologiczny nie uległ zmianie; w kontrol- nym badaniu PMR: białko 293 mg/dl. W MR mózgu nie stwierdzono mielinizacji, również w zakresie torebek wewnętrznych i pnia. W rozpoznaniu przede wszystkim należy wziąć pod uwagę:
Pytanie 103
Dziewczynka z nieobciążonym wywiadem rodzinnym, płodowo-okołopo- rodowym oraz prawidłowym rozwojem w pierwszych latach życia zachorowała w wieku 5 lat na cukrzycę. Następnie zauważono, że 'dziwnie kręci głową' kiedy układa puzzle. Do neurologa trafiła kiedy zaczęła chwiejnie chodzić. Stwierdzono oftalmoplegię zewnętrzną i ataksję. W badaniu MR cechy leukoencefalopatii ze zmianami w jądrach podstawy. W płynie mózgowo-rdzeniowym: stężenie białka powyżej 100 mg/dl. W badaniu okulistycznym zwyrodnienie barwnikowe siatkówki. Najbardziej prawdopodobnym rozpoznaniem jest:
Pytanie 104
Wskaż prawdziwe stwierdzenie dotyczące rozwoju dziecka:
Pytanie 105
Wskaż prawdziwe stwierdzenie dotyczące rozwoju odruchowego:
Pytanie 106
Wskaż prawdziwe stwierdzenie dotyczące rozwoju mowy i jej zaburzeń:
Pytanie 107
Wskaż fałszywe stwierdzenie dotyczące rozwoju dzieci zdrowych i z deficytami zmysłowymi:
Pytanie 108
Prążki oligoklonalne typu 2 to sytuacja, w której:
Pytanie 109
Która z poniższych dystonii należy do dobrze reagujących na L-DOPĘ? 1) dystonia w deficycie cyklohydrolazy GTP I; 2) dystonia DYT 1; 3) dystonia w deficycie reduktazy sepiapterynowej; 4) dystonia w deficycie hydroksylazy tyrozyny; 5) dystonia w chorobie neurozwyrodnieniowej z odkładaniem żelaza w mózgu. Prawidłowa odpowiedź to:
Pytanie 110
Do objawów pozaneurologicznych charakterystycznych dla ataksji Friedreicha należą:
Pytanie 111
Które z poniżej podanych objawów nie są charakterystyczne dla przebiegu klinicznego ADEM u dzieci? 1) objawy encefalopatii z cechami wieloogniskowego uszkodzenia OUN; 2) drażliwość, bóle głowy, nudności, wymioty; 3) zaburzenia widzenia związane z zajęciem nerwów wzrokowych przez zmiany zapalne; 4) drgawki, a nawet stan padaczkowy; 5) nieobecność zmian demielinizacyjnych obwodowego układu nerwowego. Prawidłowa odpowiedź to:
Pytanie 112
Wskaż prawdziwe stwierdzenie dotyczące diagnostyki elektrofizjologicznej u dzieci:
Pytanie 113
W przebiegu neuroboreliozy może wystąpić: 1) zapalenie opon mózgowo-rdzeniowych; 2) zespół Bannwartha; 3) zapalenie nerwów czaszkowych; 4) zapalenie mózgu; 5) ropień móżdżku; 6) zespół Stevensa-Johnsona. Prawidłowa odpowiedź to:
Pytanie 114
Dzięki leczeniu glikokortykoidami w dystrofii typu Duchenne'a oczekuje się uzyskania następujących efektów: 1) przedłużenia czasu kiedy chłopiec chodzi samodzielnie; 2) zmniejszenia ryzyka skoliozy; 3) poprawy funkcji oddechowej lub zmniejszenie się tempa pogarszania funkcji oddechowej; 4) poprawy jakości życia; 5) opóźnienia dysfunkcji serca. Prawidłowa odpowiedź to:
Pytanie 115
Osłabienie mięśni oddechowych jest częste u pacjentów z chorobami nerwowo-mięśniowymi. W tej grupie chorych zaleca się: 1) rozszerzenie programu szczepień ochronnych dla tej grupy pacjentów o szczepienie przeciw grypie i pneumokokom; 2) okresową ocenę stanu funkcjonalnego układu oddechowego - wykonywanie spirometrii lub pletyzmografii; 3) proaktywne planowanie rozpoczęcia wentylacji nieinwazyjnej w domu pacjenta; 4) odroczenie decyzji o rozpoczęciu wentylacji nieinwazyjnej w domu pacjenta do czasu pierwszej ostrej niewydolności oddechowej. Prawidłowa odpowiedź to:
Pytanie 116
Wg Międzynarodowej Klasyfikacji Bólów Głowy 3 (wersja beta) [ICHD-3] - do rozpoznania migreny bez aury należy stwierdzić ból głowy spełniający co najmniej 2 z 4 następujących cech: 1) umiejscowiony po jednej stronie; 2) pulsujący charakter; 3) tylko o dużym nasileniu; 4) nasilanie się przy zwykłej aktywności fizycznej lub konieczność jej unikania. Prawidłowa odpowiedź to:
Pytanie 117
Wskaż fałszywe stwierdzenie dotyczące przemijającego ataku niedokrwiennego mózgu - TIA:
Pytanie 118
Wskaż fałszywe stwierdzenie dotyczące aktualnego leczenia zespołu wzmożonego ciśnienia wewnątrzczaszkowego towarzyszącego udarowi niedokrwiennemu mózgu:
Pytanie 119
Wskaż fałszywe stwierdzenie dotyczące zaburzeń N-glikozylacji:
Pytanie 120



