Wyszukaj egzamin lub pytanie
Egzamin PES Neurochirurgia / wiosna 2021
120 pytań
Pytanie 1
Który z wymienionych nerwów czaszkowych, w związku ze swoim niewielkim obszarem zaopatrzenia, jest najcieńszy ze wszystkich nerwów czaszkowych i jest najbardziej narażony na uszkodzenie (w trakcie rękoczynu) przecięcia brzegu wolnego namiotu w trakcie dojścia do patologii bocznej powierzchni mostu i/lub stoku?
Pytanie 2
Kontynuacją dogłowową więzadła podłużnego tylnego (Ligamentum longitudinale posterius) stanowi struktura: błona szczytowo-potyliczna (membrana tectoria).
Pytanie 3
W przypadku zamknięcia tętnicy naczyniówkowej przedniej można spotkać się z następującymi objawami: 1) bezwład przeciwstronny, 2) niedowidzenie połowicze jednoimienne, 3) obustronna niedoczulica, 4) zaburzenia funkcji poznawczych.
Pytanie 4
Guzy śródrdzeniowe stanowią około 10% wszystkich guzów kanału kręgowego u dorosłych.
Pytanie 5
Którego dnia rozwoju układu nerwowego dochodzi do zamknięcia tylnego otworu cewy nerwowej?
Pytanie 6
Które ze stwierdzeń dotyczących porażenia międzyjądrowego (Internuclear Ophthalmoplegia, INO) są fałszywe: 1) najczęstszą przyczyną porażenia międzyjądrowego u osób młodych jest stwardnienie rozsiane, 2) najczęstszą przyczyną porażenia międzyjądrowego u osób w wieku podeszłym jest udar okolicy potylicznej, 3) porażenie międzyjądrowe spowodowane jest uszkodzeniem pęczka podłużnego przyśrodkowego (medial longitudinal fasciculus, MLF) powyżej jądra nerwu VI, 4) jednostronne porażenie międzyjądrowe objawia się niemożnością przywodzenia ocznej po stronie uszkodzenia, z zachowaną ruchomością przy konwergencji, 5) porażenie międzyjądrowe występuje w zespole bocznym opuszki (Wallenberga).
Pytanie 7
Z wymienionych wariantów rdzeniaka płodowego (medulloblastoma) charakteryzuje się najlepszym rokowaniem po zastosowaniu standardowej terapii?
Pytanie 8
W którym z wymienionych nowotworów w badaniach molekularnych stwierdza się obecność białka fuzyjnego BRAF-KIAA1549, a w badaniu histologicznym obecność włókien Rosenthala oraz kwasochłonnych ziarnistości?
Pytanie 9
Z wymienionych struktur anatomicznych wskaż tę, która nie znajduje się w szczelinie oczodołowej górnej:
Pytanie 10
Wskaż prawdziwe stwierdzenie dotyczące gęstości kości i badań densytometrycznych:
Pytanie 11
Wskaż złamanie, które nie jest typem złamania pasa bezpieczeństwa.
Pytanie 12
Objawem najczęściej stwierdzanym podczas badania neurologicznego chorych z neuralgią nerwu trójdzielnego jest:
Pytanie 13
Wskaż prawdziwe stwierdzenia dotyczące pęczka tylnego splotu barkowego: 1) daje początek nerwowi pachowemu, 2) daje początek nerwowi promieniowemu, 5) jego uszkodzenie powoduje między innymi niedowład mięśnia naramiennego.
Pytanie 14
Wskaż prawidłowe zdania dotyczące zatoki jamistej: 1) W świetle zatoki jamistej znajduje się tętnica szyjna wewnętrzna i w tym odcinku nie oddaje gałęzi. 2) W świetle zatoki jamistej znajdują się nerwy III, IV, V. 3) W ścianie zatoki jamistej znajdują się nerwy III, V, VI. 4) 'Trójkąt Parkinsona' jest wyznaczony przez nerwy II, IV, V, VI.
Pytanie 15
Który z wymienionych czynników nie zwiększa samoistnego krwawienia śródmózgowego?
Pytanie 16
Wskaż prawdziwe stwierdzenie dotyczące krwiaka nadtwardówkowego:
Pytanie 17
Najczęstszą przyczyną krwawienia podpajęczynówkowego jest:
Pytanie 18
Stopień zajęcia zatoki strzałkowej w przypadku oponiaków sierpa mózgu determinuje sposób ich resekcji oraz ryzyko związane z uszkodzeniem zatoki. Do którego stopnia wg skali Sindou kwalifikuje się oponiak zajmujący boczną ścianę zatoki zachyłek boczny zatoki:
Pytanie 19
Czynnikiem ryzyka wystąpienia skurczu naczyniowego po krwawieniu podpajęczynówkowym są wszystkie z wymienionych, z wyjątkiem:
Pytanie 20
Czynnikami ryzyka wystąpienia krwawienia podpajęczynówkowego są wszystkie wymienione, z wyjątkiem:
Pytanie 21
Jakie jest najczęstsze umiejscowienie oponiaka u osoby dorosłej?
Pytanie 22
U dzieci lokalizacja nowotworów nadnamiotowych i podnamiotowych jest zmienna w różnych grupach wiekowych. W której grupie wiekowej u dzieci nowotwory najczęściej umiejscawiają się podnamiotowo:
Pytanie 23
W którym przedziale wiekowym u dzieci nowotwory mózgu umiejscawiają się najrzadziej podnamiotowo?
Pytanie 24
W którym odcinku kręgosłupa najczęściej umiejscawia się ropień nadtwardówkowy?
Pytanie 25
Odcinek tętnicy szyjnej wewnętrznej (ICA) opisywany jako jamisty określany jest w klasyfikacji wg Fischera jako:
Pytanie 26
W przypadku przepukliny oponowo-rdzeniowej (myelomeningocele) całkowite porażenie mięśni w zakresie kończyn dolnych występuje w przypadku jej lokalizacji na poziomie:
Pytanie 27
Jaka jest najczęstsza etiologia wodogłowia u dzieci?
Pytanie 28
W przypadku pozycjonowania śruby transpedicularnej w zakresie trzonu L1 kąt boczny trajektorii śruby powinien wynosić około:
Pytanie 29
Jaka jest częstość występowania kraniosynostozy?
Pytanie 30
Jaka jest prawidłowa objętość płynu mózgowo-rdzeniowego (CSF) u noworodka?
Pytanie 31
Neuralgia nerwu trójdzielnego (trigeminal neuralgia) najczęściej występuje u:
Pytanie 32
Infekcja układu zastawkowego podczas leczenia wodogłowia może stanowić powikłanie występujące we wczesnym, jak i w późniejszym okresie od wszczepienia tego układu: Infekcja uznawana jest jako późna, jeżeli pojawia się w okresie od jej implantacji po upływie:
Pytanie 33
Typ brodawkowaty oponiaka (papillary meningioma) klasyfikowany jest wg skali WHO jako typ II.
Pytanie 34
OPLL (ossification of the posterior longitudinal ligament) najrzadziej dotyczy kręgosłupa w odcinku lędźwiowym.
Pytanie 35
Podczas badania USG przezciemiączkowego oceniając układ komorowy określa się wskaźnik Evansa. Wartość wskaźnika Evansa to stosunek wartości:
Pytanie 36
Prawidłowa wartość ciśnienia śródczaszkowego (ICP) jest różna u dzieci i u dorosłych. U noworodka ICP nie powinien przekraczać wartości (w mmHg):
Pytanie 37
W badaniu TCD (transcranial Doppler) oznaczając wartość przepływu krwi w naczyniu ocenia się obecność skurczu naczyniowego. Jaka wartość przepływu krwi w zakresie MCA oznacza skurcz naczyniowy tej tętnicy?
Pytanie 38
Urazom głowy mogą towarzyszyć różnego rodzaju uszkodzenia struktur drogi wzrokowej, przy czym:
Pytanie 39
Wyniki obliteracji pękniętych (krwawiących) tętniaków mózgu za pomocą operacyjnego klipsowania i embolizacji przeznaczyniowej są wciąż ze sobą porównywane w celu ustalenia terapii optymalnej. Metodą metaanalizy wielu doniesień ustalono m.in., że:
Pytanie 40
Wzrost stężenia prolaktyny w surowicy krwi może być diagnostyczny dla obecności gruczolaka prolaktynowego (prolaktynoma), jednak poziom stężenia tego hormonu może być podwyższony w wielu innych sytuacjach i schorzeniach, np. jak te wymienione, z wyjątkiem.
Pytanie 41
Ocenić wg skali Meyerdinga nasilenie spondylolistezy na poziomie L5 - S1, należy zastosować proste obliczenie wg wzoru listeza = (B x 100%). Jakie wartości powinny znaleźć się w liczniku i w mianowniku równania?
Pytanie 42
Minimalnie inwazyjna (keyhole) foraminotomia szyjna:
Pytanie 43
Rozpoznanie glioblastoma nie oznacza jednorodnej grupy nowotworów mózgu, ponieważ współczesna genetyka molekularna dostarcza kryteriów ich rozdziału na formy kliniczne mniej lub bardziej złośliwe, czy też rokujące krótsze lub dłuższe przeżycie. Która z wymienionych dychotomii poprawnie wskazuje na formy mniej lub bardziej złośliwe?
Pytanie 44
W parkinsonizmie mamy do czynienia z zaburzeniami oddziaływania neuroprzekaźników w układzie kontroli czynności ruchowych, przy czym największą rolę przypisuje się zaburzeniom w zakresie:
Pytanie 45
Monitorując ciśnienie wewnątrzczaszkowe (ICP), można dostrzec w nim pewne wzorce przebiegu, które przez Lundberga zostały sklasyfikowane jako określone rodzaje fal ciśnienia, przy czym:
Pytanie 46
Powstanie śródmiąższowego ropnia mózgu jest procesem dość złożonym, przy czym patogen może pochodzić z różnorodnych źródeł zakażenia. Wskaż prawdziwe stwierdzenie:
Pytanie 47
Hipernatremia u chorych neurochirurgicznych występuje najczęściej przy zaburzeniach regulacji podwzgórzowej i jest swoistym obrazem moczówki prostej. Hiponatremia jest więc odwrotnością utraty wody, przez którą to utratę jon sodowy ulega w surowicy zagęszczeniu, przy czym wzrost jego stężenia jest wprost proporcjonalny do stopnia utraty wody. Wiedząc, jaki odsetek masy ciała stanowi woda, można więc jej niedobór obliczyć, mnożąc aktualną masę wody w organizmie przez pewien współczynnik, wynikający ze stopnia zagęszczenia jonów sodowych w stosunku do normy (norma - 140 mEq/l). Biorąc uwagę powyższą zasadę, wskaż, o ile litrów należy uzupełnić niedobór wody osobie o masie ciała 83 kg, u której stwierdzono stężenie jonu sodowego 155 mEq/l:
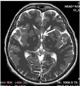
Pytanie 48
Parzysta struktura zaznaczona strzałką na skanie T2 rezonansu magnetycznego to:

Pytanie 49
Operacyjny dostęp do tętniaka tętnicy łączącej przedniej może być m.in. pterionalny lub przedni międzypółkulowy. Porównując zalety i wady obydwu, wskaż prawdziwe stwierdzenie:
Pytanie 50
Wskaż prawdziwe stwierdzenie dotyczące dysplazji włóknistej w obrębie czaszki:
Pytanie 51
Złamania w obrębie stoku czaszki mogą towarzyszyć różnorodnym, zwykle poważnym objawom, lub być ich przyczyną: Podręczniki neurochirurgii wymieniają następujące objawy powikłania, z wyjątkiem:
Pytanie 52
Wskaż fałszywe stwierdzenia dotyczące naczyniaka jamistego mózgu: 1) wśród kłębowiska naczyń jamistych mogą występować elementy tkanki nerwowej, 2) patologiczne naczynia są pozbawione warstwy mięśniówki gładkiej, 3) najczęstszym pierwszym objawem jest napad padaczkowy, a drugim w kolejności krwotok mózgowy, ma tendencję do wielokrotnego, lecz niezbyt masywnego podkrwawiania, 5) w przypadkach objawiających się krwotokiem, przy kwalifikacji do operacji wskazane jest wykonanie angiografii kontrastowej mózgu.
Pytanie 53
Wskaż prawdziwe stwierdzenie dotyczące struniaka:
Pytanie 54
Idiopatyczne nadciśnienie wewnątrzczaszkowe (pseudotumor cerebri) to niejednorodny etiologicznie oraz klinicznie zespół objawów. Wśród symptomatologii cech klinicznych wymienia się m.in.: 1) przewagę występowania mężczyzn w stosunku do kobiet, 2) niedożywienie ze zmniejszeniem masy ciała, 3) pulsujące bóle za okiem, 4) dwojenie widzenia u około 20% pacjentów, 5) zmniejszenie ostrości widzenia u ponad 90% pacjentów.
Pytanie 55
Zespół Hornera jest spowodowany uszkodzeniem wegetatywnego układu nerwowego, które powoduje m.in. opadnięcie powieki, przy czym objaw ten:
Pytanie 56
Wskaż prawdziwe stwierdzenie dotyczące glejaka blaszki czworaczej (tectal glioma):
Pytanie 57
W obrazowaniu dróg istoty białej mózgu z wykorzystaniem NMR, czyli w traktografii, przyjęto następującą zasadę:
Pytanie 58
Przetrwałej torbieli kieszonki Blake'a, czyli zaburzeniu rozwojowemu związanym z obecnością torbieli komunikującej się z czwartą komorą mózgu w tylnym dole czaszki, towarzyszy:
Pytanie 59
Zespół Gradenigo charakteryzuje się:
Pytanie 60
Guz glejowy, który w obrazie radiologicznym może przypominać oponiaka z powodu obecności ogona oponowego (dural tail) to:
Pytanie 61
Paraganglioma (przyzwojak) może rozrastać się z otworu:
Pytanie 62
Obecność zwapnień w oponiaku, widziana w badaniu TK lub jego hipointensywność w sekwencji T2 zależnej RM:
Pytanie 63
Prawidłowe postępowanie w oponiaku środkowej części skrzydła mniejszego kości klinowej o średnicy 23 mm, który został wykryty przypadkowo w badaniu TK głowy, którego obecność została potwierdzona po tygodniu badaniem RM, to:
Pytanie 64
W czasie operacji oponiaka przyśrodkowej części skrzydła mniejszego kości klinowej kluczowym dla identyfikacji tętnicy szyjnej wewnętrznej jest:
Pytanie 65
Barierę wiekową, powyżej której leczenie operacyjne oponiaków jest w sposób znamienny statystycznie częściej obciążone powikłaniami, stanowi:
Pytanie 66
Prawidłowy obraz tylnego płata przysadki w RM w sekwencji T1-zależnej jest:
Pytanie 67
Widziane w badaniu RM pogrubienie lejka przysadki zazwyczaj nie jest obserwowane w:
Pytanie 68
Nie ma potrzeby rozważać leczenia operacyjnego torbieli szyszynki, która jest bezobjawowa, która w obrazie RM:
Pytanie 69
Wskaźniki do operacyjnego leczenia samoistnych krwiaków śródmózgowych obejmują: 1. Krwiaki o dużych rozmiarach (zwykle > 30 ml). 2. Objawy neurologiczne postępujące lub ciężkie. 3. Wzrost ciśnienia wewnątrzczaszkowego. 4. Krwiaki w obszarach mózgu, które są trudne do monitorowania lub mogą prowadzić do powikłań. 5. Pacjenci z niestabilnym stanem ogólnym, gdzie interwencja chirurgiczna może poprawić rokowanie. Należy jednak pamiętać, że decyzja o operacji powinna być podejmowana indywidualnie, z uwzględnieniem stanu pacjenta oraz wyników badań obrazowych.
Pytanie 70
Tętniący szum uszny nie występuje w:
Pytanie 71
Przeciwwskazania do wykonania punkcji lędźwiowej nie stanowi:
Pytanie 72
Zespół Ramsay Hunta to:
Pytanie 73
Optymalną wartością graniczną dla planowania radiochirurgii z wykorzystaniem noża gamma jest wymiar guza wynoszący:
Pytanie 74
Wskaż fałszywe stwierdzenie dotyczące leczenia operacyjnego nerwiaków nerwu przedsionkowego:
Pytanie 75
Wskaż prawdziwe stwierdzenie dotyczące algorytmu postępowania w przypadku osłoniaków nerwu przedsionkowego:
Pytanie 76
W klasyfikacji Simpsona dotyczącej stopnia usunięcia oponiaka IV stopień oznacza:
Pytanie 77
Wskaż odsetek pacjentów, u których możliwe jest zaoszczędzenie nerwu twarzowego po usunięciu osłoniaka nerwu przedsionkowego z dostępu zaesowatego:
Pytanie 78
Wskaż prawdziwe stwierdzenia dotyczące infekcji rany operacyjnej po laminektomii: 1) występuje w 0,9% do 5% przypadków pacjentów po laminektomii, 2) jest najczęściej spowodowana przez Staphylococcus aureus, 3) przed uzyskaniem wyników antybiogramu należy włączyć wankomycynę i cefalosporyny III generacji, 4) jest najczęściej spowodowana przez Staphylococcus epidermidis lub Pseudomonas aeruginosa, 5) występuje w 6% do 9% przypadków pacjentów po laminektomii.
Pytanie 79
Wskaż fałszywe stwierdzenie dotyczące wskazania do odbarczenia naczyniowo-nerwowego (MVD) w neuralgii nerwu trójdzielnego:
Pytanie 80
Wskaż prawdziwe stwierdzenie dotyczące torbieli koloidowej III komory:
Pytanie 81
Wskaż fałszywe stwierdzenie dotyczące chłoniaków ośrodkowego układu nerwowego (OUN):
Pytanie 82
Wskaż prawdziwe stwierdzenie dotyczące torbieli epidermalnej (epidermoid cyst):
Pytanie 83
Wskaż prawdziwe stwierdzenie dotyczące zespołu pustego siodła (empty sella syndrome):
Pytanie 84
Wskaż prawidłowe stwierdzenie dotyczące wyniku leczenia neuralgii nerwu trójdzielnego metodą mikronaczyniowej dekompresji (MVD):
Pytanie 85
Wskaż prawdziwe stwierdzenie dotyczące skąpodrzewiaka (oligodendroglioma):
Pytanie 86
Wskaż fałszywe stwierdzenie dotyczące hemangioblastoma (naczyniaka płodowego):
Pytanie 87
Wskaż prawdziwe stwierdzenie dotyczące zastosowania kwasu 5-aminolewulinowego (5-ALA) w operacjach resekcji glejaków niskozróżnicowanych:
Pytanie 88
Wskaż prawdziwe stwierdzenie dotyczące stenozy lędźwiowego odcinka kręgosłupa:
Pytanie 89
Wskaż prawdziwe stwierdzenie dotyczące krwawienia nawrotowego z pękniętego tętniaka mózgu:
Pytanie 90
Wskaż prawdziwe stwierdzenie dotyczące tętniaków tętnicy łączącej przedniej (ACoA):
Pytanie 91
Wskaż fałszywe stwierdzenie dotyczące tętniaków tętnicy łączącej tylnej (PCA):
Pytanie 92
Unerwienie czuciowe skóry wierzchu barku pochodzi z nerwu nadłopatkowego oraz nerwu skórnego ramienia bocznego.
Pytanie 93
Niedowład mięśnia czworogłowego uda manifestuje się osłabieniem wyprostu w stawie kolanowym i wskazuje na uszkodzenie:
Pytanie 94
Najczęściej występującym objawem angiograficznym rozwarstwienia tętnicy szyjnej jest:
Pytanie 95
Brachyterapia glejaka wielopostaciowego za pomocą izotopu jodu 125I wiąże się z możliwością wystąpienia martwicy popromiennej, która niejednokrotnie okazuje się trudna do odróżnienia od odrostu nowotworu. Po standardowej brachyterapii szansa na wystąpienie martwicy (radionekrozy) wynosi:
Pytanie 96
Wskaż zdanie prawidłowo charakteryzujące pilność interwencji w przypadkach bezpośrednich (pourazowych, z szybkim przepływem) przetok szyjno-jamistych (CCF):
Pytanie 97
Podawany dotętniczo podczas testu Wady amytal sodu usypia część mózgu, do której przenika, tym samym umożliwiając badanie czynności przeciwstronnej półkuli. Mechanizm działania amytalu:
Pytanie 98
Popromienna mielopatia bywa powikłaniem radioterapii okolicznych narządów. Neurochirurg może być zmuszony do oceny takiego chorego oraz przeprowadzenia rozpoznania różnicowego. Które z poniższych zdań najlepiej charakteryzuje najczęściej spotykaną klinicznie postać martwicy popromiennej rdzenia kręgowego?
Pytanie 99
Wskaż niewłaściwe wskazanie do zastosowania stymulacji rdzenia kręgowego (SCS):
Pytanie 100
Które ze stwierdzeń najlepiej charakteryzuje zmodyfikowaną skalę Engela służącą do oceny skuteczności operacyjnego leczenia padaczki?
Pytanie 101
Wskaż prawdziwe stwierdzenie dotyczące naprowadzanej obrazem rezonansu magnetycznego śródmiąższowej terapii termicznej (MRI-guided laser interstitial thermal therapy, MRGLITT) stosowanej w ablacji ogniska padaczkowego u chorych z padaczką skroniową ze struktur przyśrodkowych (MTLE):
Pytanie 102
Wskaż prawdziwe stwierdzenie dotyczące kalozotomii:
Pytanie 103
Wskaż prawdziwe stwierdzenie dotyczące kalozotomii:
Pytanie 104
Wskaż prawdziwe stwierdzenie dotyczące roli głębokiej stymulacji mózgu (DBS) w walce z bólem:
Pytanie 105
Wskaż prawdziwe stwierdzenie dotyczące połowiczego skurczu twarzy (HFS):
Pytanie 106
Do wszczepienia pompy baklofenowej kwalifikuje się chorych, którzy w teście baklofenowym uzyskują:
Pytanie 107
Wskaż miejsce nacięcia skóry w celu uniknięcia uszkodzenia gałęzi czołowej n. VII, podczas wykonywania kraniotomii pterionalnej:
Pytanie 108
Wskaż prawdziwe stwierdzenie dotyczące pomostów zewnątrz-wewnątrzczaszkowych (ECIIC bypass):
Pytanie 109
W razie potrzeby, przy kraniotomii podpotylicznej, róg tylny komory bocznej można nakłuć z otworu trepanacyjnego umiejscowionego w punkcie Fraziera. Wskaż jego prawdziwe położenie u dorosłych:
Pytanie 110
Wskaż prawdziwe stwierdzenie dotyczące zespołu Eagle'a:
Pytanie 111
Niepowodujące dolegliwości rozdarcia pierścienia włóknistego (anular tears) krążka międzykręgowego można zauważyć w badaniu MRI. Zdarza się to u:
Pytanie 112
Test Freiberga i test Pace'a znajdują zastosowanie w diagnostyce:
Pytanie 113
Wskaż prawdziwe stwierdzenie dotyczące objawu Furstenberga:
Pytanie 114
Zdecydowanie najczęściej występującym guzem oczodołu u dzieci jest:
Pytanie 115
Samoistne rozwarstwienie tętnicy wewnątrzczaszkowej zdecydowanie najczęściej dotyczy:
Pytanie 116
Wskaż prawdziwe stwierdzenie dotyczące pierwotnej choroby moyamoya:
Pytanie 117
Nerwiak osłonkowy nerwu VIII wywodzi się w większości z:
Pytanie 118
Wypukliny dyskowe w odcinku piersiowym kręgosłupa zdecydowanie najczęściej (w ok. 26%) występują na poziomie:
Pytanie 119
Który z rodzajów wodogłowia najczęściej predysponuje do pojawienia się zespołu izolowanej komory IV w przebiegu leczenia układem zastawkowym?
Pytanie 120



