Wyszukaj egzamin lub pytanie
Egzamin PES Neurochirurgia / wiosna 2020
120 pytań
Pytanie 1
Różnicując za pomocą MRS (spektroskopii rezonansu magnetycznego) i DWI (obrazów rezonansowych zależnych od dyfuzji) wznowę glejaka rozlanego od martwicy popromiennej (ang. radionecrosis, RN) można przyjąć, że:
Pytanie 2
Termin 'radioneurochirurgia' (ang. radiosurgery) został stworzony:
Pytanie 3
Koncepcja tzw. punktu Bragga (ang. Bragg peak) znajduje zastosowanie w:
Pytanie 4
Wzór Pollocka i Flickingera umożliwia kalkulację:
Pytanie 5
Wskaż wszystkie warunki brzegowe, aby rozpatrywać możliwość radiochirurgicznego leczenia przerzutów mnogich do mózgowia:
Pytanie 6
Skala Virginia (ang. Virginia Radiosurgery AVM Scale) bierze pod uwagę:
Pytanie 7
Według danych uzyskanych w największych katamnezach, leczenie radiochirurgiczne nerwiaka nerwu przedsionkowego w ciągu trzyletniej obserwacji pozwala na kontrolę nowotworu u 97,5% chorych. W tym samym czasie ryzyko uszkodzenia nerwu VII, V i szansa na zachowanie słuchu wynoszą odpowiednio:
Pytanie 8
Chirurgia jest podstawowym sposobem leczenia makrogruczolaków przysadki, zaś radiochirurgia bywa stosowana jako leczenie wspomagające w przypadku pozostałości guza lub jego nawrotu. Warto wiedzieć, że w takich razach, w przypadkach gruczolaków wydzielających zastosowanie radiochirurgii może zaowocować normalizacją hormonalną. Szanse na powrót poziomu hormonów do normy, w przypadku - odpowiednio: akromegalii, choroby Cushinga i hiperprolaktynemii wynoszą:
Pytanie 9
Obserwowane w MRI i CT zmiany popromienne po radiochirurgicznym leczeniu zniekształceń tętniczo-żylnych występują zazwyczaj po:
Pytanie 10
Najczęstsze powikłanie wszczepienia stymulatora nerwu błędnego to:
Pytanie 11
Po wszczepieniu stymulatora nerwu błędnego częstość napadów padaczkowych maleje wraz z upływem lat. Po 12 latach zanotowano zmniejszenie się liczby napadów o ok.:
Pytanie 12
Istotą mielotomii podłużnej pośrodkowej, zwanej też mielotomią spoidłową (ang. mediolongitudinal or commissural myelotomy) jest:
Pytanie 13
W badaniu klinicznym PROCESS (ang. Prospective Randomized Controlled Multicenter Trial of the Effectiveness of Spinal Cord Stimulation) oceniano odległą (po 24 miesiącach) skuteczność stymulacji rdzenia kręgowego u chorych z nieudaną operacją kręgosłupa lędźwiowego (ang. failed back surgery syndrome, FBSS). Okazało się, że stymulacja połączona z leczeniem farmakolo- gicznym jest lepsza od samego leczenia farmakologicznego pozwalając osiągnąć co najmniej 50% ulgi w bólu do nogi u:
Pytanie 14
Leczenie bólu będącego następstwem awulsji korzeni z rdzenia kręgowego (tak jak ma to miejsce w wypadkach motocyklowych) jest bardzo trudne. Stosunkowo najlepsze efekty przynosi:
Pytanie 15
Gdy podczas dojścia przezspoidłowego dociera się do światła rogu przedniego prawej komory bocznej, żyła wzgórzowo-prążkowiowa:
Pytanie 16
W pierwotnych dystoniach najczęściej wybieranym celem DBS jest:
Pytanie 17
Najczęstszym pierwotnym umiejscowieniem samoistnego śródmózgowe- go ogniska krwotocznego (zwanego potocznie krwiakiem śródmózgowym, ang. intracerebral haemorrhage, ICH) jest:
Pytanie 18
Nowotworem najczęściej powodującymi krwawienie śródmózgowe jest:
Pytanie 19
U człowieka, który jednorazowo spożył równowartość ponad 120 g czyste- go alkoholu etylowego (czyli np. 250 ml 50% wódki), w ciągu kolejnych 24 godzin ryzyko samoistnego krwawienia śródmózgowego:
Pytanie 20
Umiejscowienie przetoki oponowego zniekształcenia tętniczo-żylnego (DAVM) wiąże się z prawdopodobieństwem jego agresywnego przebiegu klinicz- nego. Ryzyko niekorzystnej historii naturalnej jest zdecydowanie największe w DAVM:
Pytanie 21
Wskaż prawdziwe stwierdzenie dotyczące epidermoidu:
Pytanie 22
Objawy kliniczne występujące u chorego z samoistnym rozwarstwieniem tętnicy szyjnej wewnętrznej prawidłowo uszeregowano według częstości ich występowania w odpowiedzi:
Pytanie 23
Najczęstszym umiejscowieniem przetoki oponowego zniekształcenia tętniczo-żylnego (DAVM) jest:
Pytanie 24
Wskaż krytyczne odgałęzienia tętnicze, które muszą być zaoszczędzone podczas leczenia operacyjnego tętniaków zlokalizowanych przy odejściu tętnicy łączącej tylnej (PCom aneurysms):
Pytanie 25
Wskaż prawdziwe stwierdzenie dotyczące objawowej neuralgii nerwu trójdzielnego w przypadku guza mózgu:
Pytanie 26
Wskaż prawdziwe stwierdzenie dotyczące neuralgii nerwu trójdzielnego:
Pytanie 27
Wskaż fałszywe stwierdzenie dotyczące oponiaka rynienki węchowej:
Pytanie 28
Wskaż prawdziwe stwierdzenie dotyczące krwiaka nadtwardówkowego tylnego dołu czaszki:
Pytanie 29
Spośród poniższych cech, na podstawie których można rozpoznać tętniak pęknięty u pacjenta po krwotoku podpajęczynówkowym, u którego wykryto tętniaki mnogie, wskaż błędne kryterium:
Pytanie 30
Wskaż prawdziwe stwierdzenie dotyczące wewnątrzczaszkowych tętniaków pourazowych:
Pytanie 31
Wskaż prawdziwe stwierdzenie dotyczące wewnątrzczaszkowych tętniaków olbrzymich:
Pytanie 32
Wskaż prawdziwe stwierdzenie dotyczące tętniaków tętnicy móżdżkowej tylnej dolnej (PICA):
Pytanie 33
Wskaż prawdziwe stwierdzenie dotyczące wskazań do operacji ostrego krwiaka podtwardówkowego:
Pytanie 34
Wskaż, które z niżej wymienionych nie stanowi wskazania do operacji dekompresji konfliktu naczyniowo-nerwowego w neuralgii nerwu trójdzielnego:
Pytanie 35
Spośród poniższych wskaż dostęp, którego nie należy stosować do klipsowania tętniaków rozwidlenia tętnicy podstawnej:
Pytanie 36
Wskaż prawidłową punktację GCS w poszczególnych stopniach skali WFNS pacjentów po krwawieniu podpajęczynówkowym:
Pytanie 37
Wskaż prawdziwe stwierdzenie dotyczące naddatku cienia w badaniu naczyniowym mózgu zwanego lejkiem (infundibulum):
Pytanie 38
Wskaż fałszywe stwierdzenie dotyczące kraniotomii pterionalnej:
Pytanie 39
Guzy pierwotne OUN, mogą rozsiewać się drogą płynu mózgowo- rdzeniowego. Spośród poniższych wskaż guz, który najrzadziej daje przerzuty tą drogą:
Pytanie 40
Najczęstszą przyczyną krwawienia podpajęczynówkowego jest:
Pytanie 41
Wskazania do operacji przerzutów czerniaka do mózgu obejmują następujące sytuacje, z wyjątkiem:
Pytanie 42
Wskaż prawdziwe stwierdzenie dotyczące struniaka (chordoma):
Pytanie 43
Które z wymienionych poniżej objawów mogą wystąpić w neuralgii nerwu językowo-gardłowego? 1) ból gardła; 2) omdlenia; 3) ból ucha; 4) asystolia. Prawidłowa odpowiedź to:
Pytanie 44
Wskaż prawdziwe stwierdzenia dotyczące operacji nerwiaków nerwu słuchowego: 1) przy przerwaniu ciągłości nerwu twarzowego metodą reanimacji jego funkcji jest jego zewnątrzczaszkowe zespolenie z nerwem podjęzykowym; 2) do uszkodzenia nerwu VIII dochodzi zwykle podczas wzrostu guza; 3) po chirurgicznym przerwaniu ciągłości nerwu twarzowego może docho- dzić do pooperacyjnego zachowania funkcji nerwu, która jednak zanika zwykle po 48 godzinach; 4) operacyjne usunięcie guza zawsze powoduje całkowite uszkodzenie funkcji nerwu słuchowego; 5) przy śródoperacyjnym zachowaniu ciągłości nerwu VII oraz występują- cym pooperacyjnym niedowładzie nerwu twarzowego w celu powrotu funkcji stosuje się zabiegi rehabilitacyjne. Prawidłowa odpowiedź to:
Pytanie 45
40-letnia kobieta została przywieziona do Izby Przyjęć po epizodzie nagłego silnego bólu głowy, który wystąpił przed 6 godzinami. Po ok. 4 godzinach chora straciła przytomność. Przy przyjęciu GCS - 4, Hunt-Hess 5. W wykonanym badaniu CT głowy uwidoczniono krwawienie podpajęczynówkowe (2 st. wg Fishera). Wykonane badanie naczyniowe uwidoczniło tętniak tętnicy środkowej mózgu prawej. Wskaż prawdziwe stwierdzenie dotyczące leczenia tej pacjentki:
Pytanie 46
Wskaż prawdziwe zdania dotyczące złamań podstawy czaski, których szczelina złamania przechodzi przez stok: 1) mogą powodować uszkodzenie nerwów czaszkowych III i VI; 2) ie powodują płynotoku; 3) złamania podłużnie mogą powodować uszkodzenie naczyń kompleksu kręgowo-podstawnego; 4) złamania poprzeczne mogą powodować uszkodzenia tętnicy podstawnej; 5) złamania podłużne mogą prowadzić do wystąpienia udaru pnia mózgu. Prawidłowa odpowiedź to:
Pytanie 47
Wskaż prawdziwe stwierdzenia dotyczące odmy wewnątrzczaszkowej: 1) odma wewnątrzczaszkowa może wystąpić w przypadku rozwoju mikroorganizmów wytwarzających gaz; 2) każda odma wewnątrzczaszkowa powinna zostać odbarczona; 3) w przypadku odmy prężnej zabieg chirurgiczny może być przeprowadzany w trybie planowym; 4) odma prężna może powstać w wyniku cieplnego rozszerzania się powietrza zamkniętego w czaszce podczas zabiegu; 5) odma prężna jest stanem zagrożenia życia i powinna być niezwłocznie ewakuowana. Prawidłowa odpowiedź to:
Pytanie 48
Podczas oceny wyników leczenia wodogłowia normotensyjnego (zespół Hakima) najwcześniej ustępują objawy:
Pytanie 49
Od operacyjnego leczenia złamania z wgłobieniem kości czaszki nieprzekraczającym 10 mm można odstąpić w przypadku: 1) braku neurologicznych objawów uszkodzenia mózgu; 2) braku uszkodzenia powłok czaszki; 3) złamania w obrębie zatok żylnych, bez współistniejących objawów neurologicznych; 4) uszkodzenia mózgu znajdującego się pod złamaniem; 5) występowania płynotoku przez ranę pourazową. Prawidłowa odpowiedź to:
Pytanie 50
Wskaż prawdziwe stwierdzenia dotyczące hiponatremii występującej po krwawieniu podpajeczynówkowym: 1) występowanie jej często łączy się z hipowolemią; 2) jej występowanie związane jest z nieprawidłowym wydzielaniem hormonu antydiuretycznego; 3) w leczeniu tych zaburzeń należy ograniczać podaż płynów; 4) hiponatremia po krwawieniu podpajęczynówkowym może być związana z większą utratą sodu z moczem; 5) objawy kliniczne hiponatremii znacząco różnią się od objawów skurczu naczyniowego. Prawidłowa odpowiedź to:
Pytanie 51
Wskaż fałszywe stwierdzenia dotyczące skurczu naczyniowego: 1) skurcz naczyniowy występuje w 30 - 70% angiogramów naczyń mózgowych wykonanych w pierwszym tygodniu po krwotoku podpajęczynówkowym; 2) palenie papierosów przez pacjenta nie zwiększa ryzyka wystąpienia skurczu naczyniowego; 3) występowanie skurczu naczyniowego w obrazie angiograficznym zawsze związane jest występowaniem objawów klinicznych; 4) częstość występowania zjawiska skurczu naczyniowego nie jest związana z ilością krwi wynaczynionej do przestrzeni płynowych; 5) skurcz naczyniowy zazwyczaj występuje po 3 dniu od krwotoku. Prawidłowa odpowiedź to:
Pytanie 52
Wskaż patogen odpowiadający za występowanie wczesnych zakażeń układów zastawkowych:
Pytanie 53
Do wrodzonych przyczyn powstania wodogłowia można zaliczyć wszystkie wymienione poniżej przyczyny, z wyjątkiem:
Pytanie 54
Wskaż fałszywe stwierdzenia dotyczące nerwiaka osłonkowego: 1) jest to najczęstsza zmiana w obrębie kąta mostowo-móżdżkowego; 2) to drugi pod względem częstości występowania wewnątrzczaszkowy pozaosiowy nowotwór u dorosłych; 3) w badaniu TK głowy z kontrastem nie ulega wzmocnieniu; 4) jest guzem dobrze unaczynionym; 5) większość nerwiaków wewnątrzczaszkowych wywodzi się z nerwu VII. Prawidłowa odpowiedź to:
Pytanie 55
Wskaż najczęściej występujący zakres (gałęzi n. V) występowania dolegliwości bólowych w neuralgii nerwu trójdzielnego:
Pytanie 56
Wskaż właściwą kolejność przebiegu nerwów w ścianie zatoki jamistej (w kierunku do podstawy środkowego dołu czaszki):
Pytanie 57
Jednostronne uszkodzenie funkcji nerwów czaszkowych objawiające się utratą smaku, chrypką (wynikającą z porażenia strun głosowych), osłabieniem czucia w zakresie podniebienia i gardła oraz niedowładem mięśnia czworobocz- nego i mostkowo-obojczykowo-sutkowatego wskazuje na uszkodzenie:
Pytanie 58
W przebiegu zapalenia szczytu piramidy kości skroniowej występuje triada objawów (triada Gradenigo), wśród których znajduje się między innymi porażenie nerwu odwodzącego. Objaw ten wynika z ucisku nerwu odwodzącego w miejscu jego przebiegu przez:
Pytanie 59
Który z poniższych punktów zawiera strukturę nieprzechodzącą przez szczelinę oczodołową górną?
Pytanie 60
Z ilu jąder kostnienia rozwija się kręg C2?
Pytanie 61
Ograniczenia trójkąta Kambina na poziomie L4/L5 to: 1) korzeń L4; 2) korzeń L3; 3) korzeń L5; 4) górna blaszka graniczna trzonu L5; 5) górna blaszka graniczna trzonu L4; 6) dolna blaszka graniczna trzonu L4; 7) dolna blaszka graniczna trzonu L5; 8) worek oponowy. Prawidłowa odpowiedź to:
Pytanie 62
Do oceny poprawności położenia śrub przeznasadowych można użyć:
Pytanie 63
Najbardziej użyteczną sekwencją rezonansu magnetycznego służącą do oszacowania czasu, jaki upłynął od kompresyjnego złamania kręgosłupa, jest:
Pytanie 64
Najrzadszą lokalizacją torbieli pajęczynówki spośród poniższych jest:
Pytanie 65
Tylne ciemiączko prawidłowo zamyka się w czasie:
Pytanie 66
Wskaż prawdziwe stwierdzenie dotyczące ropniaka podtwardówkowego:
Pytanie 67
Wskaż prawdziwe stwierdzenie dotyczące wągrzycy ośrodkowego układu nerwowego - neurocysticerkozy:
Pytanie 68
Czynnikiem ryzyka predysponującym do rozwinięcia padaczki pourazowej nie jest:
Pytanie 69
Wg Klasyfikacji WHO nowotworów układu nerwowego do stopnia WHO II zalicza się w każdym przypadku: 1) gwiaździaka włosowatokomórkowego - pilocytic astrocytoma; 2) gwiaździaka podwyściółkowego olbrzymiokomórkowego - subependymal giant cell astrocytoma; 3) żółtakogwiaździaka pleomorficznego - pleomorfic xanthoastrocytoma; 4) podwyściółczaka - supendymoma; 5) zwojakoglejaka - ganglioglioma; 6) nerwiaka komórkowego ośrodkowego - central neurocytoma; 7) nowotwór dysembrioplastyczny neuroepitelialny - dysembrioplasic neurospithelial tumor; 8) tłuszczakonerwiaka komórkowego móżdżku (cerebellar liponeurocytoma). Prawidłowa odpowiedź to:
Pytanie 70
Objawem charakterystycznym dla bólu pochodzącego m.in. ze stawu krzyżowo-biodrowego jest objaw:
Pytanie 71
Największy zakres korekcji lordozy lędźwiowej można uzyskać dzięki zastosowaniu jednopoziomowej techniki:
Pytanie 72
Wskaż prawdziwe stwierdzenie o parametrach balansu strzałkowego:
Pytanie 73
Kliniczna skala oceny ICH (ICH score) określa:
Pytanie 74
Przy wykonywaniu drenażu komorowego wykorzystuje się popularne punkty kraniometryczne. Wskaż prawidłowy opis jednego z nich:
Pytanie 75
Przy wykonywaniu kraniotomii pterionalnej do klipsowania pękniętego tętniaka tętnicy środkowej mózgu po stronie lewej optymalnym ułożeniem głowy będzie:
Pytanie 76
Objętość płynu mózgowo-rdzeniowego, u dorosłych, w obrębie jamy czaszki wynosi:
Pytanie 77
Kierowca jadący w mieście około 40 km/h i przypięty pasami uczestniczył w tzw. stłuczce drogowej, uderzając przodem w tył innego samochodu. Przy przy- jęciu zgłaszał uczucie dyskomfortu w szyi, sztywności oraz tkliwość przy ucisku w okolicy szyi i karku. Bez zaburzeń czucia, siły mięśniowej, bez zmian w odruchach głębokich. Jakie są wskazania do postępowania diagnostycznego i leczniczego? 1) rentgen kręgosłupa szyjnego wyłącznie w pozycji neutralnej; 2) rentgen kręgosłupa szyjnego, ewentualnie z dodatkiem zdjęć bocznych w zgięciu i w rozgięciu; 3) konieczne jest badanie rezonansu magnetycznego i tomografii komputerowej; 4) kołnierz usztywniający szyję na 14 dni; 5) zwolnienie z pracy na miesiąc. Prawidłowa odpowiedź to:
Pytanie 78
Oponiaki mogą lokalizować się w różnych przedziałach przestrzeni wew- nątrzczaszkowej, ale wyróżnia się pewne 'typowe' lokalizacje, jak np. oponiaki wewnątrzkomorowe, sklepistości mózgu, przystrzałkowe, skrzydła kości klinowej, guzka siodła, czy podnamiotowe. Która z niżej wymienionych kolejności pod względem częstości występowania (od najczęściej spotykanych do najrzadszych) jest prawdziwa?
Pytanie 79
Status genu dehydrogenazy izocytrynianowej (IDH) ma istotne znaczenie w patogenezie guzów glejowych mózgu, przy czym: 1) produkt genu IDH uczestniczy w cyklu Krebsa; 2) niezmutowany gen IDH określa się nazwą 'dzikiego typu' (wild type IDH); 3) mutacja IDH wiąże się z lepszym rokowaniem pacjenta z guzem glejowym mózgu; 4) mutacja IDH występują częściej we wtórnych glioblastomatach IV stopnia niż w glioblastomatach pierwotnych; 5) mutację IDH stwierdza się w znacznej większości gwiaździaków (astrocy- toma) stopnia II i III, a tylko w nieznacznej mniejszości pierwotnych glejaków IV stopnia. Prawidłowa odpowiedź to:
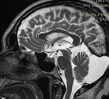
Pytanie 80
Zdjęcie przedstawia przekrój strzałkowy w sekwencji T2 rezonansu magnetycznego głowy. Struktury wskazane strzałkami odpowiadają lokalizacji:

Pytanie 81
W przypadku przerzutów do mózgu czerniaka (melanoma): 1) średni czas przeżycia wynosi 18 miesięcy; 2) zmiany typowo lokalizują się w istocie białej okołokomorowej; 3) krwawienia do guza są rzadsze niż w przerzutach raka sutka i raka płuc; 4) przyczyną śmierci znacznej większości pacjentów jest postępujące uszkodzenie mózgu na skutek nacieków nowotworowych i obrzęku; 5) brak obrzęku wokół zmiany pozwala z dość dużą pewnością odróżnić przerzut czerniaka od przerzutu raka drobnokomórkowego płuc. Prawidłowa odpowiedź to:
Pytanie 82
Mannitol ma wciąż zastosowanie w leczeniu chorych po urazach czaszkowo-mózgowych, chociaż należy brać pod uwagę różnorodne wskazania szczegółowe, jak też ograniczenia. Za zastosowaniem mannitolu przemawia:
Pytanie 83
Jaką najczęściej ma postać i gdzie się lokalizuje sporadycznie występu- jący, nie powiązany z VHL (choroba von Hippel-Lindau) naczyniak płodowy (hemangioblastoma)?
Pytanie 84
Wskaż dwa spośród poniżej wymienionych objawów, które nie należą do klinicznego obrazu gruczolaka adrenokortykotropowego (zespół Cushinga): 1) objawy psychiczne: depresja, demencja; 2) tendencja do kwasicy i hiperkaliemii; 3) cienka, 'papierowata' skóra z tendencją do krwawień przy zranieniach; 4) hirsutyzm z obecnością trądziku; 5) przerosty mięśniowe na skutek 'kompensacyjnej' androgenezy w nadnerczach. Prawidłowa odpowiedź to:
Pytanie 85
W dobie powszechnej dostępności tomografii komputerowej rekomenduje się wykonywanie zwykłych zdjęć rentgenowskich czaszki u pacjentów z urazami czaszkowo-mózgowymi: 1) w przypadku każdego urazu głowy; 2) w przypadku 'urazu o niskim ryzyku obrażeń wewnątrzczaszkowych'; 3) w przypadku 'urazu o umiarkowanym ryzyku obrażeń wewnątrzczasz- kowych'; 4) w każdym przypadku pacjentów z ciężkim urazem czaszkowo-mózgowym (tzn. tych 'o wysokim ryzyku obrażeń wewnątrzczaszkowych'), nawet jeżeli dostępne jest badanie tomografii komputerowej. Prawidłowa odpowiedź to:
Pytanie 86
U podstaw patogenezy oponiaków leży m.in. cała gama rozmaitych zaburzeń genetycznych, chociaż dokładne znaczenia wielu z nich nie jest do końca ustalone. Spośród w miarę pewnych ustaleń można podać istotną rolę:
Pytanie 87
Gwiaździaki rozlane (astrocytoma WHO II stopnia), u dzieci:
Pytanie 88
W przypadku krwotoku z tętniaka tętnicy łączącej przedniej: 1) krew w układzie komorowym mózgu znajdujemy w około 5-10% przypadków; 2) ostre wodogłowie pokrwotoczne pojawia się w około 5 % przypadków; 3) badanie KT wykazuje zawał mózgu w obrębie płata czołowego u około 2- 3% pacjentów; 4) dokonując klipsowania, wybiera się najlepszą (i najczęściej stosowaną) strategię, jaką jest ekspozycja tętnicy szyjnej wewnętrznej, a następnie stopniowe podążanie wzdłuż odcinka A1 tętnicy przedniej mózgu, aż do osiągnięcia kompleksu tętnicy łączącej przedniej; 5) w czasie operacji stosuje się fenestrację dna komory trzeciej w miejscu ku tyłowi od zachyłka lejka. Prawidłowa odpowiedź to:
Pytanie 89
Porażenie nerwu okoruchowego:
Pytanie 90
Przerzuty do mózgowia różnią się wrażliwością na leczenie radiotera- peutyczne. Do opornych na takie leczenie należą wymienione, poza przerzutem:
Pytanie 91
Wskaż prawdziwe stwierdzenia dotyczące torbieli pajęczynówki: 1) stanowi ograniczony, 'bezodpływowy' fragment przestrzeni podpajęczynówkowej; 2) zawiera płyn zastoinowy, o zwiększonej w stosunku do normalnego płynu mózgowo-rdzeniowego zawartości białka; 3) praktycznie zawsze stanowi jednolitą przestrzeń płynową i nie posiada wewnętrznych przegród; 4) w swojej wewnętrznej ścianie może zawierać komórki, które posiadają zdolność wydzielania płynu mózgowo-rdzeniowego; 5) często posiada komunikację płynową z układem komorowym. Prawidłowa odpowiedź to:
Pytanie 92
55-letni mężczyzna od kilku tygodni zaczął bywać 'niesytuacyjny', okreso- wo splątany, w ostatnich dniach podsypiający. Neurologicznie bez objawów ognis- kowych. Badanie okulistyczne wykazało rozpoczynający się obrzęk tarcz nn wzrokowych, a także cechy zapalenia tęczówki. W badaniu MR wykazano guz głęboko w tylnej części płata czołowego, przyległy do obrzeża komory i do spoidła wielkiego, o dość nieregularnym obrysie i rozciągłości raczej w kierunku przednio- tylnym, wzmacniający się po kontraście w całej swojej objętości, chociaż z różną intensywnością. Niewielki lokalny obrzęk mózgu wokół zmiany. Masa guza jasna w DWI, hipointensywna w mapach ADC (ograniczona dyfuzja w obrębie guza). Najbardziej prawdopodobne rozpoznanie to:
Pytanie 93
U 40-letniej osoby z kilkuletnim wywiadem napadów padaczkowych wystąpił incydent pogorszenia stanu klinicznego z bólami głowy i zaburzeniami świadomości. Wykonane badanie MR wykazuje w prawym płacie czołowym słabo ograniczony obszar hipointensywny w T1 i hiperintensywny w T2, z obecnością niewielkiego krwotoku oraz zwapnień, bez wzmocnienia kontrastowego. W materiale z biopsji stwierdzono komórki o równych, okrągłych jądrach oraz mikrozwapnienia, a badanie genetyczne wykazało mutację genu IDH1 oraz kodelecję ramion chromosomów 1p i 19 q. Najbardziej prawdopodobne rozpoznanie to:
Pytanie 94
Wskaż prawdziwe stwierdzenie dotyczące krwotoku podpajęczynówko- wego z pękniętego tętniaka mózgu w czasie ciąży:
Pytanie 95
Z jakich części anatomicznie składa się tętnica kręgowa?
Pytanie 96
Tętnica móżdżkowa tylna dolna (PICA) ma 5 segmentów. Doświadczenie kliniczne i operacyjne uczy, że 3 z tych gałęzi w takcie operacji muszą być zaoszczędzone. O które gałęzie chodzi:
Pytanie 97
Nerw bloczkowy (IV n. czaszkowy) ma przebieg inny niż pozostałe nerwy czaszkowe. Czym się różni od nich?
Pytanie 98
Gdzie najczęściej lokalizuje się gwiaździak włosowatokomórkowy (pilocytic astrocytoma) u dzieci i młodych dorosłych?
Pytanie 99
Co w głównej mierze decyduje o rokowaniu chorych operowanych z powodu guza o charakterze 'central neurocytoma'?
Pytanie 100
Jakie są objawy kliniczne oraz gdzie lokalizuje się najczęściej guz o charakterze 'dysembryoplastic neuroepithelial' tumor (DNT)?
Pytanie 101
Gdzie najczęściej występuje brodawczak splotu naczyniastego (choroid plexus papilloma) u dorosłych?
Pytanie 102
Które guzy pochodzenia glejowego pnia mózgu twoim zdaniem kwalifikują się do leczenia chirurgicznego?
Pytanie 103
Przyzwojak (paraganglioma) to guz:
Pytanie 104
Przyzwojak (paraganglioma) opuszki żyły szyjnej wewnętrznej jest przyczyną:
Pytanie 105
W jaki sposób następuje progresja glejaków mózgu z jednej półkuli mózgu na drugą?
Pytanie 106
'Lucid interval' (Intervalum lucidum) jest charakterystycznym objawem dla:
Pytanie 107
Jakie guzy okolicy szyszynki występują najczęściej powyżej 40. roku życia i co jest ich substratem (z czego się wywodzą)?
Pytanie 108
Jakie są zalety i wady dostępu operacyjnego podnamiotowego-nadmóż- dżkowego do guzów okolicy szyszynki?
Pytanie 109
Głównymi objawami zespołu Sturge-Webera są:
Pytanie 110
Wymień 3 najczęściej występujące objawy w stwardnieniu guzowatym (sclerosis tuberosa):
Pytanie 111
Choroba Lhermitte-Duclos dotyczy:
Pytanie 112
Wskaż prawdziwe stwierdzenia dotyczące anatomii torebki wewnętrznej: 1) torebkę wewnętrzną tworzą trzy części: odnoga przednia, kolano torebki wewnętrznej i odnoga tylna; 2) odnoga tylna zlokalizowana jest pomiędzy wzgórzem i tylną połową jądra soczewkowatego; 3) przez kolano torebki wewnętrznej przebiegają włókna korowo-jądrowe oraz przednie promienistości górnej wzgórza; 4) odnoga przednia torebki wewnętrznej położona jest pomiędzy głową jądra ogoniastego i tylną połową jądra soczewkowatego; 5) w obrębie odnogi tylnej torebki wewnętrznej przebiegają drogi korowo- rdzeniowe, promienistość czuciowa (włókna promienistości górnej wzgórza), włókna korowo-czerwienne (droga korowo-czerwienna) oraz droga czołowo-mostowa. Prawidłowa odpowiedź to:
Pytanie 113
Operacji z wybudzeniem nie stosuje się w operacjach:
Pytanie 114
Czaszkogardlaki (craniopharyngioma) bardzo rzadko są unaczynione przez gałęzie odżywcze od tętnicy:
Pytanie 115
Naczyniaki jamiste nie występują w:
Pytanie 116
Bezwzględnym przeciwwskazaniem do nakłucia lędźwiowego nie jest:
Pytanie 117
Wskaż prawdziwe stwierdzenia dotyczące naczyniaka żylnego mózgu: 1) najczęściej lokalizuje się w obszarze unaczynienia tętnicy przedniej mózgu; 2) budowa ściany naczyniaka najczęściej odpowiada pełnowartościowej żyle mózgu; 3) pomiędzy pętlami naczyniaka zazwyczaj znajduje się niepełnowartościo- wa i niefunkcjonalna tkanka mózgu; 4) zwykle nie pełni funkcjonalnej roli drenażu żylnego z okolicy, w której się lokalizuje; 5) w obrębie naczyniaka panuje ciśnienie większe niż w 'normalnych' żyłach tej okolicy. Prawidłowa odpowiedź to:
Pytanie 118
Pacjent z guzem podstawy czaszki został zakwalifikowany do frakcjonowanej radiochirurgii stereotaktycznej. Leczenie można wykonać stosując:
Pytanie 119
W przypadkach rzekomego guza mózgu wymagających leczenia operacyjnego, zazwyczaj stosuje się wszczepienie układu zastawkowego. Najczęściej implantuje się układ:
Pytanie 120



