Wyszukaj egzamin lub pytanie
Egzamin PES Neurochirurgia / wiosna 2018
120 pytań
Pytanie 1
Widoczne na przekrojach poprzecznych MRI, skierowane w stronę bruzdy bocznej - do tyłu i boku, uwypuklenie zakrętu przedśrodkowego mające kształt greckiej litery omega (Ω), które na przekrojach strzałkowych wygląda jak hak wyznaczający tylną granicę szczeliny Sylwiusza, zawiera motoneurony alfa:
Pytanie 2
W otworze poszarpanym (łac. foramen lacerum) u ok. 30 procent ludzi widuje się gałąź tętnicy szczękowej znaną pod łacińskim mianem arteria vidiana. Poza nią w tym otworze znajduje się:
Pytanie 3
Tak zwana klasyfikacja Saltzmana określa warianty anatomiczne związane z:
Pytanie 4
Arkady Lazorthesa to:
Pytanie 5
Doustna dawka hydrokortyzonu pokrywająca fizjologiczne, dzienne zapotrzebowanie na steroidy wynosi:
Pytanie 6
W dobie leczenia wewnątrznaczyniowego tętniaków pamiętając o możliwości ich rekanalizacji i konieczności powtórnego leczenia, jednym z czynników, które należy brać pod uwagę przy podejmowaniu decyzji o zastosowaniu embolizacji lub leczenia operacyjnego jest ekspozycja na promieniowanie. Dzieje się tak, gdyż dawka promieniowania pochłonięta przez chorego w trakcie embolizacji przewyższa dawkę pochłoniętą przy okazji wykonania zdjęcia klatki piersiowej ponad:
Pytanie 7
Sekwencja STIR (short tau inversion recovery), zwana także fatsat (fat saturation), umożliwia usunięcie sygnału tłuszczu, stąd jest stosowana w badaniu MRI m.in. w celu obrazowania struktur oczodołu i oceny wieku złamań kręgosłu- pa. W rezultacie zastosowania tej sekwencji powstaje obraz, który jest przede wszystkim zależny od:
Pytanie 8
Ocena restrykcji dyfuzji na dostarczonych przez radiologów obrazach może sprawić kłopot ze względu na istnienie tak zwanego artefaktu przeświecania (shine-through), wynikającego z silnego sygnału T2-zależnego. Zazwyczaj bada- nia dyfuzyjne (DWI, diffusion weighted imaging) są przekazywane jako obrazy o różnym współczynniku b, lub jako mapy dyfuzji pozornej (apparent diffusion coefficient, ADC). Najłatwiej (niezależnie od badanej tkanki i patologii) restrykcję dyfuzji lub jej nieobecność można ocenić na:
Pytanie 9
Tak zwany paraliż Todda, to:
Pytanie 10
Tiagabina, czyli gabitril, to lek przeciwpadaczkowy. Jego mechanizm działania polega na tym, że:
Pytanie 11
Biorąc pod uwagę umiejscowienie pola zaburzeń czucia występujących w zespole Rotha (meralgia paraesthetica, zespół Bernhardta-Rotha), wymaga on różnicowania z radikulopatią:
Pytanie 12
W przypadku prawdziwego 'neurogennego' zespołu górnego otworu klatki piersiowej najczęściej występuje uszkodzenie korzeni:
Pytanie 13
Jedynym nerwem czaszkowym przebiegającym przez szczelinę oczodo- łową górną, który następnie nie przechodzi przez pierścień Zinna jest nerw:
Pytanie 14
Obecność mutacji typu pierwszego lub drugiego, genu kodującego dehydrogenazę izocytrynianową, wpływa na rokowanie:
Pytanie 15
Neurosarkoidoza może udawać oponiaki wewnątrzczaszkowe. Najczęściej spotykanym objawem w tej patologii jest:
Pytanie 16
Przy operacji cieśni nadgarstka położenie nerwu pośrodkowego określa się między innymi w odniesieniu do ścięgna mięśnia dłoniowego długiego. Śródoperacyjnie, aby uniknąć takich powikłań jak uraz gałęzi ruchowej do kłębu, nerw pośrodkowy powinno się lokalizować preparując tkanki miękkie:
Pytanie 17
Guz glejowy, który w obrazie radiologicznym może przypominać oponiaka z powodu obecności ogona oponowego ('dural tail') oraz powierzchownej lokalizacji w mózgowiu to:
Pytanie 18
Do Poradni Neurochirurgicznej zgłosiła się 54-letnia kobieta z wykrytym incydentalnie w TK głowy guzem o charakterze oponiaka sklepistości bez efektu masy o średnicy 23 mm w środkowej części skrzydła mniejszego kości klinowej prawej. Badanie MR wykonane tydzień później potwierdziło wstępną diagnozę. Prawidłowe postępowanie to:
Pytanie 19
W obrazie radiologicznym zwapnienia w obrębie oponiaka:
Pytanie 20
Wskaż prawidłowy wzór określający ciśnienie perfuzji mózgowej CPP (cerebral perfusion pressure), gdzie MAP - średnie ciśnienie tętnicze, ICP - ciśnienie wewnątrzczaszkowe:
Pytanie 21
U pacjenta z podejrzeniem wzrostu ciśnienia wewnątrzczaszkowego po urazie czaszkowo-mózgowym jednym z najważniejszych czynników zmniejsza- jących śmiertelność jest unikanie hipotensji (SBP < 90 mmHg) i hipoksji (PaO2 < 60 mmHg). Oceń powyższe stwierdzenie:
Pytanie 22
Wskazaniami do wykonania operacji z wybudzeniem śródoperacyjnym pacjenta są:
Pytanie 23
Pierwotny zespół pustego siodła stwierdzany jest najczęściej u otyłych kobiet z nadciśnieniem tętniczym. W obrazie radiologicznym najczęściej charakteryzuje się:
Pytanie 24
Wskaż fałszywe stwierdzenie dotyczące objawów pierwotnego zespołu pustego siodła:
Pytanie 25
W niektórych przypadkach samoistnego krwawienia podpajęczynówko- wego wykonywana jest powtórnie angiografia, jeśli pierwsza angiografia nie wykazała ewidentnych patologii naczyń mózgowych. Wskaż zalecany odstęp czasu od pierwszej angiografii celem wykonania drugiej angiografii u stabilnego klinicznie pacjenta:
Pytanie 26
Kryteria Dandego rzekomego guza mózgu obejmują:
Pytanie 27
Paraganglioma najczęściej umiejscawia się w okolicy:
Pytanie 28
Do SOR zgłosił się 47-letni mężczyzna, który w pracy doznał urazu ciężkim przedmiotem w głowę. Powłoki skóry bez naruszonej ciągłości. W wykonanym badaniu TK głowy widoczne jest jedynie wielofragmentowe złamanie lewej kości ciemieniowej z wgłobieniem odłamów kostnych na głębokość 2 cm z efektem masy wokół. Wskaż prawidłowe postępowanie:
Pytanie 29
Glioblastoma multiforme (GBM) i gliosarcoma (GS) to odmiany glejaka o najwyższym stopniu złośliwości. Które ze stwierdzeń dotyczących ich różnic i podobieństw jest prawdziwe?
Pytanie 30
Limbiczne zapalenie mózgu:
Pytanie 31
Foraminotomia w odcinku szyjnym kręgosłupa:
Pytanie 32
Określeniem 'pseudotumor cerebri' nazywa się sytuację nadciśnienia wewnątrzczaszkowego spowodowanego m.in. przez:
Pytanie 33
Po urazie kręgosłupa szyjnego u mężczyzny oceniamy staw pomiędzy atlasem i zębem obrotnika. Staw jest stabilny, jeśli szerokość szczeliny stawowej nie przekracza:
Pytanie 34
Jaki w przybliżeniu odsetek naczyniaków trzonów kręgów wymaga leczenia?
Pytanie 35
Działanie temozolomidu polega na:
Pytanie 36
Pseudoprogresją w przypadku złośliwych glejaków nazywa się wzmocnienie kontrastowe obrazowane w MRI:
Pytanie 37
Czym się różni pierwotny glejak złośliwy od wtórnego?
Pytanie 38
Wskaż prawdziwe stwierdzenie dotyczące fibrodysplazji:
Pytanie 39
Oponiaki sklepistości wyrastają:
Pytanie 40
Leczenie w udarze przysadki polega na:
Pytanie 41
W chorobie von Hippel-Lindaua poza naczyniakami jamistymi w ośrodkowym układzie nerwowym można często stwierdzić:
Pytanie 42
Nerwiaki w kanale kręgowym w znacznej większości przypadków wzrastają:
Pytanie 43
Wskaż prawdziwe stwierdzenie dotyczące krwawienia podpajęczynówkowego, określanego jako krwawienie okołośródmózgowiowe nietętniakowe:
Pytanie 44
Co jest najczęstszą przyczyną powstania ropniaka podtwardówkowego?
Pytanie 45
W badaniu MRI krwiak w fazie podostrej jest widoczny jako:
Pytanie 46
Na jakiej wysokości - na jakim poziomie najczęściej występuje przepuklina krążka międzykręgowego w odcinku szyjnym kręgosłupa?
Pytanie 47
Splot ramienny powstaje z korzeni od C4 do Th1 tworząc następnie pień górny, środkowy i dolny oraz trzy pęczki boczny, środkowy i tylny, by ostatecznie powstały nerwy kończyny górnej. Z włókien których pęczków powstaje nerw pośrodkowy?
Pytanie 48
W badaniu MRS (magnetic resonance spectroscopy) w przypadku zmian o charakterze nowotworowym - high grade glioma stwierdza się:
Pytanie 49
Wrodzona przepuklina oponowo-rdzeniowa lub rdzeniowa wywołuje znaczące objawy neurologiczne pod postacią niedowładów kończyn dolnych, zaburzeń czucia czy zwieraczy. Przy jakiej lokalizacji przepukliny należy spodziewać się porażenia kończyn dolnych i zwieraczy?
Pytanie 50
W przypadku wkręcania śruby przeznasadowej w trzon L1, kąt boczny trajektorii śruby powinien wynosić około:
Pytanie 51
W której z wymienionych lokalizacji torbiele pajęczynówki występują najrzadziej:
Pytanie 52
Częstość występowania kraniosynostozy szacowana jest na:
Pytanie 53
W jakim przedziale wiekowym (lata) pozycja migdałków móżdżku wzgl. FM (Foramen Magnum) powinna wynosić 0,0 mm?
Pytanie 54
Jakie objawy spotyka się najczęściej w przypadku obecności torbieli koloidowej u chorego?
Pytanie 55
Objętość CSF (cerebrospinal fluid) u noworodka szacowana jest na:
Pytanie 56
OPLL (ossification of the posterior longitudinal ligament) najrzadziej dotyczy odcinka:
Pytanie 57
Lokalizacja podnamiotowa guzów mózgu u pacjentów pediatrycznych najrzadziej występuje w przedziale wiekowym:
Pytanie 58
W przypadku zespołu Li-Fraumeni najczęściej współistniejące zmiany nowotworowe OUN to:
Pytanie 59
Bruzda śródciemieniowa oddziela:
Pytanie 60
Według klasycznego opisu, zespół Gerstmanna obejmuje wszystkie poniższe elementy, z wyjątkiem:
Pytanie 61
Wskaż fałszywe stwierdzenie charakteryzujące zespół samoistnego podciśnienia wewnątrzczaszkowego (SIH):
Pytanie 62
U chorego, który przebył zapalenie kości czaszki leczone kraniektomią i antybiotykami, można następnie wykonać kranioplastykę, lecz wskazane jest aby od chwili ustąpienia objawów zakażenia do zabiegu uzupełnienia ubytku upłynęły/ło co najmniej:
Pytanie 63
Napady miokloniczne to:
Pytanie 64
W przypadku stanu padaczkowego lekiem pierwszego rzutu podawanym dożylnie jest:
Pytanie 65
Objaw Fromenta obnaża odnerwienie przywodziciela kciuka; gdy badający stara się wyciągnąć badanemu kartkę trzymaną przezeń pomiędzy palcem wska- zującym a kciukiem, chory chcąc temu przeszkodzić, odruchowo zgina staw międzypaliczkowy kciuka (czyli angażuje mięsień zginacz długi kciuka). Wobec tego objaw Fromenta pozwala stwierdzić uszkodzenie nerwu:
Pytanie 66
Utrata ekspresji MGMT wywołana hipermetylacją promotora (wysepek CpG) jest ważnym czynnikiem prognostycznym w glejaku wielopostaciowym zwiastując:
Pytanie 67
Wskaż fałszywe stwierdzenie dotyczące onerwiaka (ang./łac. perineurioma):
Pytanie 68
Najczęstszym chłoniakiem ośrodkowego układu nerwowego jest chłoniak:
Pytanie 69
Do tętniaka tętnicy tylnej dolnej móżdżku znajdującego się na połączeniu tętnicy kręgowej i tętnicy tylnej dolnej móżdżku stosuje się dostęp:
Pytanie 70
Skala Denver służy klasyfikacji zmian będących następstwem pourazo- wego rozwarstwienia tętnicy szyjnej wewnętrznej. W przypadku zmian 4. stopnia (zamknięcie światła tętnicy), jeśli zamknięty odcinek tętnicy jest dostępny leczeniu operacyjnemu, zalecane postępowanie polega na:
Pytanie 71
Ze względu na sam obraz kliniczny, a zwłaszcza umiejscowienie, nasilenie i rodzaj bólu, patologią najbardziej przypominającą uszkodzenie korzenia szyjnego w wyniku przepukliny jądra miażdżystego (a przez to najtrudniejszą do różnicowania, prowokującą do błędu diagnostycznego) jest:
Pytanie 72
U chorego w ciężkim stanie, u którego stwierdzono zawał móżdżku, względnym przeciwwskazaniem do wykonania obarczającej kraniektomii podpotylicznej może być:
Pytanie 73
Opisany w 1978 roku przez Sorensena tzw. udar łucznika (ang. bow hunter's stroke) to:
Pytanie 74
Która z poniżej wymieniowych lokalizacji tętniaka predysponuje do leczenia operacyjnego, czyli klipsowania tętniaka?
Pytanie 75
Bezobjawowa torbiel okolicy szyszynki z typowym wyglądem w MR oraz średnicą poniżej 2 cm może być obserwowana. W którym przypadku konieczna jest interwencja neurochirurgiczna?
Pytanie 76
Wskaż prawidłowy obraz tylnego płata przysadki w MR, w sekwencji T1:
Pytanie 77
Wskaż fałszywe stwierdzenie dotyczące pituicytoma:
Pytanie 78
Wskaż prawdziwe zdanie dotyczące wyściółczaka śluzakowobrodawkowatego:
Pytanie 79
Wskaż prawdziwe stwierdzenie dotyczące profilaktycznej hiperwentylacji jako metody zwalczania nadciśnienia wewnątrzczaszkowego:
Pytanie 80
Do powikłań naczyniowych związanych z operacjami przezklinowymi przysadki należą wszystkie poniższe, z wyjątkiem:
Pytanie 81
Wskaż prawdziwe stwierdzenie dotyczące torbieli naskórkowej:
Pytanie 82
Wskaż prawdziwe stwierdzenie dotyczące budowy anatomicznej tętnicy mózgu środkowej:
Pytanie 83
Żyła Labbego jest żyłą zespalającą (anastomozą) pomiędzy żyłą powierzchowną środkową mózgu (ż. Sylwiusza) a:
Pytanie 84
Wskaż prawdziwe stwierdzenia dotyczące anatomicznej budowy kory mózgowej: 1) bruzda boczna mózgu ma swój górny biegun (zakończenie) w obrębie zakrętu nadbrzeżnego; 2) w zakręcie nadbrzeżnym lokalizowane jest pole Brodmanna 41 i 42 - obszar pierwszorzędowej kory słuchowej; 3) zakręt nadbrzeżny i zakręt kątowy półkuli dominującej obejmują obszar kory definiowany jako pole ruchowe mowy Brocka. Prawidłowa odpowiedź to:
Pytanie 85
Pacjent z rozpoznanym w badaniu TK krwotokiem podpajęczynówkowym i potwierdzonym w badaniu angioTK tętniakiem tętnicy łączącej tylnej po stronie prawej podczas badania wstępnego podsypiający, otwiera oczy na polecenie, zdezorientowany odnośnie czasu i miejsca, lokalizuje ból - zaznaczona reakcja obronna podczas badania. Ponadto w badaniu objawy sztywności karku oraz niedowład n. III - opadanie powieki oka prawego, zgłasza podwójne widzenie przy spojrzeniu w prawo. Wskaż klasyfikację tego pacjenta zgodnie ze skalą Hunta- Hessa (H-H) oraz WFNS:
Pytanie 86
Wskaż która z poniższych metod nie ma zastosowania we współczesnej diagnostyce wodogłowia normociśnieniowego, przy kwalifikacji do leczenia operacyjnego:
Pytanie 87
Najczęściej prezentowanym objawem ropniaka podtwardówkowego u pacjentów po przebytej kraniotomii w trybie planowym jest/są:
Pytanie 88
W diagnostyce przedoperacyjnej ropniaka podtwardówkowego u pacjentów po przebytej kraniotomii najczęściej unika się badania:
Pytanie 89
Wycięcie/usunięcie ropnia mózgu drogą kraniotomii jest chirurgicznym sposobem leczenia wskazanym w wymienionych poniżej sytuacjach, z wyjątkiem:
Pytanie 90
Wskaż fałszywe stwierdzenie dotyczące diagnostyki obrazowej wykonywanej u kobiet ciężarnych z powodu wystąpienia objawów wskazujących na obecność zmiany ogniskowej mózgu:
Pytanie 91
Do biopsji stereotaktycznej nie kwalifikuje się pacjent:
Pytanie 92
U pacjenta leczonego operacyjnie z powodu oponiaka skrzydła większego kości klinowej w pooperacyjnym badaniu histopatologicznym rozpoznano meningioma fibrosum (WHO G1). Śródoperacyjnie stwierdzono guz naciekający powierzchownie oponę twardą, który usunięto całkowicie w ocenie makroskopowej, ponadto skoagulowano miejsce przyczepu. Według klasyfikacji Simpsona doszczętność zabiegu można ocenić na:
Pytanie 93
Leczenie operacyjne gruczolaków przysadki jest optymalnym sposobem leczenia w przypadku: 1) udaru przysadki; 2) subklinicznego udaru przysadki; 3) makrogruczolaka z towarzyszącymi zaburzeniami pola widzenia, nieznacznie podwyższonym poziomem PRL, klinicznie nieczynnym guzem przysadki; 4) choroby Cushinga; 5) akromegalii; 6) wtórnej nadczynność tarczycy w guzach wydzielających TSH; 7) guzów wydzielających prolaktynę. Prawidłowa odpowiedź to:
Pytanie 94
Pacjent z izolowanym urazem czaszkowo-mózgowym, we wstępnej ocenie GCS=7 pkt, w badaniu neurologicznym zaznaczona anizokoria (P>L), w badaniu TK ostry krwiak nadtwardówkowy w okolicy środkowego dołu czaszki po stronie prawej, zlokalizowany podskroniowo o grubości warstwy 8 mm, obliczonej objętości 20 ml, z przemieszczeniem struktur linii środkowej 3 mm. Wskaż optymalne postępowanie z ww. pacjentem:
Pytanie 95
Wskaż prawdziwe stwierdzenia dotyczące przezskórnej wertebroplastyki i kyfoplastyki u chorych ze złamaniami kompresyjnymi trzonów kręgów w przebiegu osteoporozy: 1) przeciwskazaniami do zabiegów wertebroplastyki i kyfoplastyki są czynne infekcje kręgosłupa (osteomyelitis, disctis), ropień natwardówkowy, infekcje tkanek miękkich w okolicy planowanego zabiegu; 2) trombocytopenia lub koagulopatie nie wymagają wyrównania przed planowanym zabiegiem z uwagi na jego małoinwazyjny charakter; 3) złamanie wybuchowe, nawet w sytuacji, gdy nie towarzyszy mu uszko- dzenie ścian kanału kręgowego jest przeciwwskazaniem do ww. zabiegów; 4) wykonanie powyższych zabiegów powinno być brane pod uwagę w przypadkach, gdy towarzyszą im znaczące dolegliwości bólowe; 5) zaleca się, aby wykonanie wertebroplastyki/kyfoplastyki obejmowało cho- rych, u których po przeprowadzeniu 4- do 6-tygodniowej próby leczenia zachowawczego (obejmującego leki przeciwbólowe i spoczynek w łóżku z unikaniem przeciążania kręgosłupa) nie stwierdzono istotnego trwałego efektu przeciwbólowego. Prawidłowa odpowiedź to:
Pytanie 96
Wskaż prawdziwe stwierdzenie dotyczące lejkowatego odejścia naczynia:
Pytanie 97
Najważniejszym badaniem w diagnostyce neuropatii splotu lędźwiowego jest badanie:
Pytanie 98
W niektórych przypadkach chory po wykonaniu punkcji lędźwiowej podaje silne dolegliwości bólowe głowy utrzymujące się przez tydzień od nakłucia. Wskaż częstość występowania tego zespołu:
Pytanie 99
Przy nakłuciu lędźwiowym, wprowadzenie igły do kanału kręgowego bez mandrynu może prowadzić do wystąpienia:
Pytanie 100
Wskaż cechę obserwowaną w przypadku malformacji Dandy-Walkera:
Pytanie 101
Wskaż wartość przesunięcia struktur linii środkowej w zmianach pourazowych, przy której pojawią się objawy śpiączki:
Pytanie 102
Przy jakiej średnicy tętniaka czułość badania angio MR zmniejsza się, co może prowadzić do przeoczenia tej patologii?
Pytanie 103
Choremu po krwawieniu podpajęczynówkowym wykonano badanie angio TK naczyń mózgowych, w którym nie uwidoczniono patologii. Chorego zakwalifi- kowano do badania angiografii naczyń mózgowych (DSA). Wskaż warunek, którego nie musi spełniać to badanie, aby wykluczyć wewnątrzczaszkową patologię naczyniową:
Pytanie 104
Choremu po krwawieniu podpajęczynówkowym wykonano badanie płynu mózgowo-rdzeniowego. Której z wymienionych cech nie obserwuje się w badaniu ogólnym płynu mózgowo-rdzeniowego w takim przypadku?
Pytanie 105
W odcinku nadklinowym tętnica szyjna wewnętrzna nie oddaje:
Pytanie 106
Chory ma zdiagnozowaną malformacją tętniczo-żylną średnicy 3 cm, położoną w okolicy wzrokowej półkuli mózgu lewej, drenującą do żyły Galena. Jak należy sklasyfikować tę malformację w skali Martina Spetzlera?
Pytanie 107
Wskaż prawdziwe stwierdzenia dotyczące krwawienia z tętniaka: 1) do powstania ogniska krwotocznego mózgu najczęściej dochodzi przy krwotoku z tętniaka zlokalizowanego na tętnicy środkowej mózgu; 2) u ok. 15 - 20% chorych po krwotoku podpajęczynówkowym może dojść do powstania wodogłowia w okresie odległym od krwotoku; 3) po krwawieniu podpajęczynówkowym może wystąpić hipernatremia i moczówka prosta; 4) objawy oponowe u chorych po krwawieniu podpajęczynówkowym mogą nie występować do 6 godzin po krwawieniu. Prawidłowa odpowiedź to:
Pytanie 108
Wskaż prawdziwe zdanie dotyczące unaczynienia tętniczego rdzenia kręgowego:
Pytanie 109
Wskaż prawdziwe stwierdzenie dotyczące nadtwardówkowych ropni kanału kręgowego:
Pytanie 110
Schemat przedstawia przekrój osiowy rdzenia piersiowego z segmentalnym unerwieniem somatycznym i wegetatywnym. Strzałka wskazuje:

Pytanie 111
Hiponatremia jest nierzadkim i potencjalnie groźnym powikłaniem krwotoku podpajęczynówkowego. Wskaż prawdziwe stwierdzenia dotyczące hiponatremii w krwotoku podpajęczynówkowym: 1) w znacznej większości przypadków wywołana jest uwalnianiem przedsionkowego peptydu natriuretycznego; 2) w znacznej większości przypadków wywołana jest niewłaściwym wydzielaniem hormonu antydiuretycznego; 3) po krwotoku podpajęczynówkowym częściej mamy do czynienia z retencją wody powodującą hiponatremię niż z 'zespołem mózgowej utraty sodu'; 4) leczenie zazwyczaj rozpoczyna się od restrykcji płynów; 5) leczenie zazwyczaj rozpoczyna się od suplementacji sodu. Prawidłowa odpowiedź to:
Pytanie 112
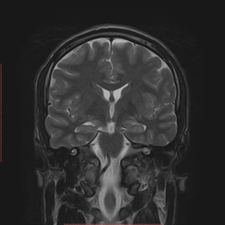
Zdjęcie przedstawia jeden z przekrojów czołowych w badaniu rezonansu magnetycznego głowy. Struktury wskazane strzałkami odpowiadają lokalizacji:

Pytanie 113
Tętniak kompleksu tętnicy łączącej przedniej mózgu jest położony na różnej głębokości w szczelinie podłużnej mózgu. Zatem jego wypreparowanie i uwidocznienie zazwyczaj wymaga pewnej retrakcji mózgu, co może rzutować na stan pacjenta po operacji. Które z niżej wymienionych manewrów są kluczowe dla zminimalizowania retrakcji mózgu przy operacji z dostępu pterionalnego? 1) szerokie otwarcie zbiornika i szczeliny Sylwiusza; 2) odpreparowanie pajęczynówki od skrzyżowania wzrokowego i obu nerwów wzrokowych; 3) wykonywanie kraniotomii i preparowanie tętniaka od strony dominującego odcinka A1 tętnicy przedniej mózgu; 4) przecięcie pajęczynówki w szczelinie międzypółkulowej (podłużnej mózgu); 5) resekcja części zakrętu prostego. Prawidłowa odpowiedź to:
Pytanie 114
Naczyniak jamisty mózgu: 1) często towarzyszy naczyniakowi żylnemu; 2) tylko wyjątkowo występuje w formie mnogich ognisk; 3) nie posiada dużych tętniczych naczyń zaopatrujących, ani dużych żył drenujących; 4) rzadko ulega zwapnieniu; 5) klinicznie częściej demonstruje się krwawieniem do mózgu niż napadami padaczki. Prawidłowa odpowiedź to:
Pytanie 115
Wskaż prawdziwe stwierdzenia dotyczące zaburzeń wegetatywnych, do których dochodzi w okresie ostrym po urazie rdzenia kręgowego w odcinku szyjnym/piersiowym: 1) na skutek osłabienia układu współczulnego dochodzi do powstania hiperwolemii; 2) na skutek zwiększonego wydzielania aldosteronu dochodzi do hipokaliemii; 3) na skutek przewagi układu przywspółczulnego dochodzi do wzmożonej potliwości skóry. 'Śliska' skóra poniżej segmentalnego poziomu urazu, a 'szorstka' powyżej, pozwala orientacyjnie ustalić lokalizację uszkodzenia rdzenia; 4) zaburzenia termoregulacji prowadzą do nadmiernej, natychmiastowej reakcji temperatury ciała na zmianę temperatury otoczenia; 5) zakrzepica żył głębokich dotyczy w praktyce 100% pacjentów z wysokim uszkodzeniem rdzenia. Prawidłowa odpowiedź to:
Pytanie 116
Wskaż prawdziwe stwierdzenie dotyczące klasyfikacji urazów czaszkowo-mózgowych:
Pytanie 117
Infekcja wewnętrznego drenażu komorowo-otrzewnowego (zastawki) jest częstym powikłaniem tego rodzaju leczenia wodogłowia. Najczęstszym patogenem, odpowiedzialnym za te infekcje jest:
Pytanie 118
Podjęcie decyzji o usunięciu operacyjnym mnogich przerzutów nowotwo- rowych do mózgu nie zawsze jest łatwe i zależy od wielu okoliczności, w tym rów- nież od rodzaju i natury nowotworu. Jeżeli znakiem plusa oznaczymy argument za operacją, a znakiem minusa argument przeciwko operacji, to które z poniższych zestawień odpowiada zalecanym regułom kwalifikacji do chirurgicznego usunięcia mnogich ognisk przerzutowych z mózgu?
Pytanie 119
Wraz ze starzeniem się społeczeństwa oraz postępem w zakresie kar- diologii i neurologii coraz większym utrapieniem w neurochirurgii stają się samo- istne krwotoki śródmózgowe. Jednym z wielu poznanych czynników ryzyka jest przyjmowanie różnego rodzaju antykoagulantów, przy czym: 1) przewlekłe leczenie preparatami heparyny zwiększa ryzyko powstania krwotoku w znacznie większym stopniu niż leczenie pochodnymi 4-hydroksykumaryny; 2) szczegółowa lokalizacja krwotoków w obrębie mózgu jest taka sama u osób pobierających antykoagulanty, jak i u nieprzyjmujących tych leków; 3) ryzyko krwawienia mózgowego jest większe podczas leczenia za pomocą r-tPA zawału mięśnia sercowego, niż przy leczeniu udaru niedokrwiennego mózgu; 4) nie ma obserwacji potwierdzających większe ryzyko krwawienia mózgowego przy zwiększaniu dawki leczenia antykoagulacyjnego; 5) ryzyko krwotoku mózgowego jest największe w okresie początkowych kilku miesięcy terapii warfaryną. Prawidłowa odpowiedź to:
Pytanie 120



