Wyszukaj egzamin lub pytanie
Egzamin PES Neurochirurgia / wiosna 2016
120 pytań
Pytanie 1
Struktura otaczająca tylny kraniec gałęzi tylnej bruzdy bocznej mózgu to:
Pytanie 2
Wskaż prawdziwe stwierdzenia dotyczące otworów w podstawie czaszki i ich zawartości:
1) otwór okrągły leży do przodu od otworu owalnego i zawiera nerw oczny;
2) otwór okrągły leży do przodu od otworu owalnego i zawiera nerw szczękowy;
3) otwór owalny leży do przodu od otworu okrągłego i zawiera nerw szczękowy;
4) otwór owalny leży do tyłu od otworu okrągłego i zawiera nerw żuchwowy;
5) otwór kolcowy nie zawiera nerwów.
Prawidłowa odpowiedź to:
Pytanie 3
W najczęściej spotykanym wariancie anatomicznym tętnica móżdżkowa dolna przednia (AICA), po odejściu od tętnicy podstawnej biegnie w pobliżu nerwu VI, a także nn. VII i VIII. Patrząc na człowieka w postawie anatomicznej można powiedzieć, że AICA leży:
Pytanie 4
Przygotowując pole operacyjne do biopsji nerwu łydkowego (n. suralis), linię cięcia skórnego zaznaczymy:
Pytanie 5
Najczęstszym umiejscowieniem wewnątrzczaszkowej torbieli neuroenterogennej (neuroenteric cyst) jest:
Pytanie 6
U 20-letniego mężczyzny z padaczką lekooporną wykonano po raz pierwszy MRI stwierdzając guz, którego charakterystyka wskazywała jednoznacznie, iż jest on tłuszczakiem ciała modzelowatego. Układ komorowy okazał się być niepowiększony. W takiej sytuacji standardowe postępowanie to:
Pytanie 7
Jeśli u chorego zdezorientowanego co do czasu miejsca i własnej osoby stwierdzamy ataksję i oftalmoplegię, a w MRI w sekwencji FLAIR (Fluid Attenuated Inversion Recovery) widzimy hiperintensywne zmiany obejmujące wzgórze, dno komory IV i istotę okołowodociągową śródmózgowia, to powinniśmy natychmiast:
Pytanie 8
Obecność oddechu Cheyne-Stokesa wywołanego uszkodzeniem ośrodkowego układu nerwowego wskazuje, że miejsce uszkodzenia znajduje się w:
Pytanie 9
Neurocysticerkoza to stan polegający na infestacji ośrodkowego układu nerwowego wągrami:
Pytanie 10
Objaw Fajersztajna to:
Pytanie 11
Tętnica Bernasconiego i Cassinariego czyli tętnica namiotu, opisywana na angiogramach chorych z oponiakami namiotu bierze swój początek bezpośrednio od:
Pytanie 12
Wskaż prawdziwe stwierdzenie dotyczące pineoblastoma - nowotworu okolicy szyszynki:
Pytanie 13
Fenomen Marcusa Gunna to:
Pytanie 14
Tętnica Percherona to:
Pytanie 15
Upośledzenie wyprostu palców przy zachowanym wyproście nadgarstka i nieobecności zaburzeń czucia sugeruje uszkodzenie:
Pytanie 16
Stan hipermetaboliczny w przypadku wstrząśnienia mózgu może utrzymywać się:
Pytanie 17
Jakie jest prawdopodobieństwo wystąpienia rakowatości opon u pacjentów z rozsianym procesem nowotworowym?
Pytanie 18
Pacjent jest po operacji nerwiaka n. VIII po lewej. Po operacji wystąpiło porażenie lewego n. VII. Śródoperacyjnie nie stwierdzono uszkodzenia nerwu twarzowego. Po jakim czasie braku powrotu funkcji n. VII można przeprowadzić jego rekonstrukcję?
Pytanie 19
Pacjenci z meningomielocele rozwijają alergię na:
Pytanie 20
Talamotomia poznała na znaczące zmniejszenie bólu nowotworowego w:
Pytanie 21
Ile wynosi fizjologiczne ciśnienie płynu mózgowo-rdzeniowego u noworodków?
Pytanie 22
Przedzwojowe włókna przywspółczulne opuszczają pień mózgu:
Pytanie 23
W patogenezie hemangioblastoma centralnego układu nerwowego, jak sama nazwa wskazuje, istotną rolę pełnią hemangioblasty - komórki pochodzenia mezodermalnego, mające istotną rolę w embrionalnym formowaniu się układu krwionośnego. W związku z powyższym:
Pytanie 24
Załączone obrazy rezonansu magnetycznego (T1 i T2 - zależne z podaniem gadoliny) dotyczą 42-letniego mężczyzny, który w wywiadzie podawał bóle głowy od 2 lat, od kilku tygodni nudności, sporadycznie również wymiotował. W badaniu stwierdzano u niego dodatnią próbę Romberga i dysmetrię ruchów. Optymalne dla tego pacjenta leczenie powinno obejmować:

Pytanie 25
Biorąc pod uwagę ogólną strukturę układu autonomicznego można stwierdzić, że jądra nerwów zawierających włókna przedzwojowe znajdują się:
Pytanie 26
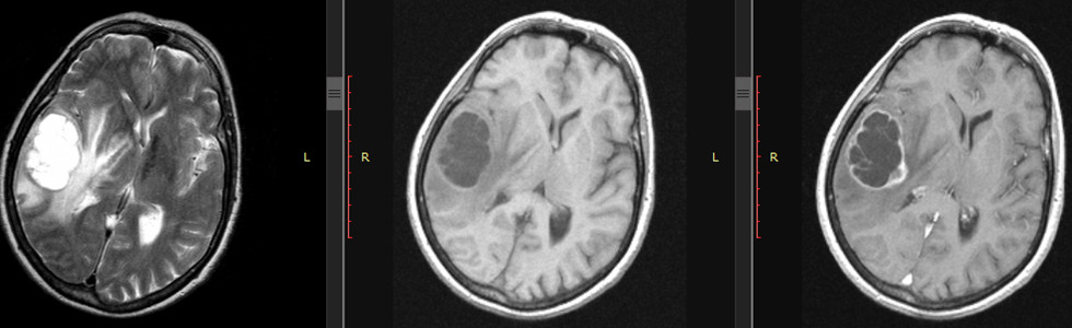
76-letnia kobieta od dwóch miesięcy zaczęła skarżyć się na bóle głowy. Rodzina zauważyła pewne spowolnienie psychoruchowe, nieadekwatne zachowanie. W ciągu ostatnich dwóch tygodni nudności, okresowo wymioty. Wykonane badanie rezonansu magnetycznego wykazuje zmiany jak na załączonych ilustracjach (od lewej): sekwencja T2 zależna, T1 zależna bez kontrastu, T1 zależna z gadoliną. Najbardziej prawdopodobne rozpoznanie to:

Pytanie 27
Złośliwe glejaki, do których zaliczamy glejaka wielopostaciowego (glioblastoma multiforme), glejako-mięsaka (gliosarcoma) oraz gwiaździaka anaplastycznego (anaplastic astrocytoma) stanowią grupę najczęstszych nowotworów złośliwych u osób dorosłych. Wskaż prawdziwe stwierdzenie dotyczące zachorowalności na w/w nowotwory mózgu:
Pytanie 28
Stawy międzykręgowe (facet joint) pełnią istotną rolę w stabilizacji kręgosłupa, ułatwiając jedne, a ograniczając inne jego rodzaje ruchów. W odcinku szyjnym stawy międzykręgowe:
1) są ustawione w płaszczyźnie zbliżonej do czołowej (coronal);
2) są ustawione w płaszczyźnie zbliżonej do osiowej (axial);
3) są ustawione w płaszczyźnie zbliżonej do strzałkowej (saggital);
4) przeciwstawiają się ruchom ześlizgowym kręgów, a ułatwiają zgięcie (fleksję) i odgięcie (ekstensję);
5) są obciążane przy zgięciu kręgosłupa, a odciążane przy odgięciu.
Prawidłowa odpowiedź to:
Pytanie 29
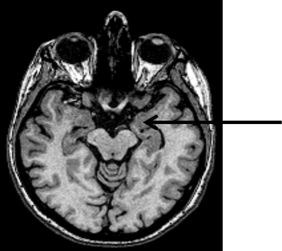
Struktura wskazana strzałką na obrazie MR mózgu to:

Pytanie 30
Przydatnym klinicznie testem regeneracji nerwu po jego uszkodzeniu i/lub chirurgicznej reperacji jest badanie objawu Hoffmana-Tinnela, przy czym:
1) objaw Tinnela bardziej wyraźny w miejscu szwu niż nad częścią peryferyjną nerwu przemawia za prawidłowo postępującą regeneracją włókien nerwu;
2) obecność objawu w miejscu uszkodzenia nerwu świadczy o uszkodzeniu o typie neurapraksji;
3) natychmiastowe pojawienie się wyraźnego objawu w miejscu uszkodzenia nerwu świadczy o całkowitym uszkodzeniu nerwu (typu axonotmesis lub neurotmesis);
4) stopniowo zstępujący objaw Hoffmana-Tinnela pozwala z dużym (zbliżonym do pewności) prawdopodobieństwem rokować powrót funkcji nerwu;
5) „zstępowanie” objawu Hoffmana-Tinnela jest szybsze w uszkodzeniach bardziej obwodowych, a wolniejsze przy uszkodzeniach bliższych rdzenia kręgowego.
Prawidłowa odpowiedź to:
Pytanie 31
Nieodwracalne uszkodzenie komórki nerwowej następuje przy spadku regionalnego przepływu mózgowego krwi (rCBF) poniżej:
Pytanie 32
Zalecana technika operacji nerwu obwodowego w okresie odległym po jego uszkodzeniu (n.p. pośrodkowego w przypadku obecności nerwiaka w miejscu uszkodzenia) kieruje się następującymi zasadami:
1) nerwiak należy usunąć wykonując cięcia po jego obu stronach w widocznych granicach zdrowego nerwu;
2) nerwiak należy wycinać od jego środka, posuwając się cienkimi warstwami w kierunku kikuta obwodowego i proksymalnego nerwu;
3) kryterium wystarczającego wycięcia nerwiaka jest pojawienie się krwawienia z naczyń onerwia (perineurium);
4) kryterium wystarczającego wycięcia nerwiaka jest pojawienie się pierwszego zarysu przekroju pęczków;
5) kryterium wystarczającego wycięcia nerwiaka jest minimalne cofnięcie się nanerwia (epineurium) i uwypuklenie się pęczków
Prawidłowa odpowiedź to:
Pytanie 33
Załączona rycina przedstawia schemat poglądowy powstania ekscytotoksyczności, która jest bodajże najważniejszym procesem patologicznym, leżącym u podstaw wtórnego uszkodzenia mózgu w przypadkach jego urazu, lub niedokrwienia. Zjawisko polega na nadmiernym uwalnianiu przekaźników synaptycznych, co w efekcie ostatecznym powoduje m.in. lawinową produkcję wolnych rodników i uszkodzenie komórek. Nazwa jakiej substancji winna znaleźć się w zaczernionych polach?

Pytanie 34
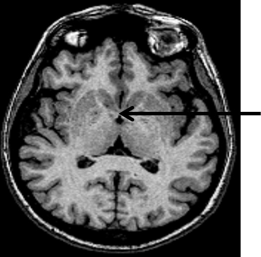
Struktura wskazana strzałką na obrazie MR to:

Pytanie 35
W układzie nerwowym działa wiele substancji neuroprzekaźnikowych, które mogą aktywować synapsy. Wchodzą one ze sobą w skomplikowane reakcje synergistyczne lub antagonistyczne, jednakże poszczególne typy synaps są pobudzane głównie przez określone rodzaje neuroprzekaźników. I tak w obwodowym układzie autonomicznym współczulnym i przywspółczulnym:
1) neurony przedzwojowe układu współczulnego wykorzystują acetylocholinę, a neurony przedzwojowe układu przywspółczulnego - noradrenalinę;
2) neurony przedzwojowe układu współczulnego wykorzystują noradrenalinę, a neurony przedzwojowe układu przywspółczulnego - acetylocholinę;
3) neurony zazwojowe układu współczulnego wykorzystują noradrenalinę, a neurony zazwojowe układu przywspółczulnego - acetylocholinę;
4) neurony zazwojowe układu współczulnego wykorzystują acetylocholinę, a neurony zazwojowe układu przywspółczulnego - noradrenalinę;
5) neurony przedzwojowe zarówno układu współczulnego jak i przywspółczulnego wykorzystują acetylocholinę.
Prawidłowa odpowiedź to:
Pytanie 36
Następujące punkty antropometryczne leżą w miejscu zetknięcia się szwów:
Pytanie 37
Z poniższych stwierdzeń wybierz te, które w sposób rzeczywisty odnoszą się do istoty radiochirurgii stereotaktycznej (SR - w odróżnieniu od „konwencjonalnej radioterapii”):
1) SR to wybiórcze zniszczenie tkanek patologicznych z zaoszczędzeniem mózgu poprzez precyzyjne umieszczenie w nich radioźródła za pomocą techniki stereotaktycznej;
2) SR to wybiórcze zniszczenie tkanek patologicznych za pomocą promieniowania jonizującego ze źródła zewnętrznego z użyciem stereotaktycznych technik lokalizacji celu radioterapii;
3) pojęcie radiochirurgii stereotaktycznej odnosi się jedynie do technik, w których dostarczenie energii promienistej uzyskuje się za pomocą wielu źródeł promieniowania;
4) pojęcie radiochirurgii stereotaktycznej odnosi się jedynie do technik, w których dostarczenie energii promienistej uzyskuje się za pomocą cząstek obdarzonych ładunkiem elektrycznym;
5) pojęcie radiochirurgii stereotaktycznej odnosi się jedynie do technik, w których dostarczenie energii promienistej uzyskuje się za pomocą przyśpieszacza liniowego (akceleratora).
Prawidłowa odpowiedź to:
Pytanie 38
Znajomość biomechaniki kręgosłupa jest ważna dla właściwego zaplanowania interwencji chirurgicznej. Dyski międzykręgowe w dolnej części kręgosłupa lędźwiowego:
1) gdy są zdrowe, wówczas przenoszą obciążenia pionowe głównie poprzez jądro miażdżyste;
2) gdy są zdegenerowane, wówczas przenoszą obciążenia pionowe głównie przez obrzeże dysku na blaszki krańcowe kręgów;
3) gdy są zdrowe, wówczas przenoszą obciążenia pionowe głównie przez obrzeże dysku;
4) gdy są zdegenerowane, wówczas przenoszą obciążenia pionowe głównie poprzez jądro miażdżyste;
5) niezależnie od procesu degeneracji, obciążenie pionowe przenosi się równomiernie przez cały obszar dysku międzykręgowego.
Prawidłowa odpowiedź to:
Pytanie 39
Wskaż prawdziwe stwierdzenia dotyczące chłoniaków ośrodkowego układu nerwowego:
1) uwidacznia się jako jednorodnie wzmacniające się zmiany obejmujące głównie obszary centralne istoty szarej mózgu lub ciało modzelowate;
2) zazwyczaj nie objawiają się porażeniem nerwów czaszkowych;
3) są początkowo bardzo wrażliwe na terapię steroidową;
4) rola neurochirurgii zwykle ogranicza się do wykonania biopsji.
Prawidłowa odpowiedź to:
Pytanie 40
Wskaż prawdziwe stwierdzenia dotyczące połowiczego kurczu twarzy:
1) spowodowany jest najczęściej przez konflikt naczyniowo-nerwowy nerwu VII z jedną z gałęzi tętnicy podstawnej;
2) występuje częściej u kobiet;
3) objawy mogą utrzymywać się w trakcie snu;
4) mikrochirurgiczna dekompresja powoduje ustąpienia objawów w ponad 80% przypadków;
5) częstość nawrotów w okresie pierwszych dwóch lat od mikrochirurgicznej dekompresji jest równie częsta jak w okresie późniejszym.
Prawidłowa odpowiedź to:
Pytanie 41
Jądro niskowzgórzowe stanowi cel głębokiej stymulacji mózgu w następujących jednostkach chorobowych:
Pytanie 42
Wskaż fałszywe stwierdzenie dotyczące pokrwotocznego skurczu naczyń mózgowych:
Pytanie 43
Do kryteriów kwalifikacyjnych do założenia pompy baklofenowej nie zaliczamy:
Pytanie 44
Naczyniaki jamiste stanowią 5-13% wad naczyniowych mózgu. Większość z nich umiejscowiona jest nadnamiotowo. W tylnej jamie czaszki jest ich 10-20%. W obrębie tylnej jamy czaszki zdecydowanie najczęściej lokalizują się w obrębie:
Pytanie 45
Nerwiak zarodkowy to guz wyrastający ze zwojów sympatycznych. Może być obserwowany w obrębie układu sympatycznego w całym ciele. Najczęstszym umiejscowieniem tej zmiany są:
Pytanie 46
Żył w latach 1903-1989. Był twórcą i Ordynatorem Kliniki Neurochirurgii w Krakowie w latach 1946-1970. W latach 1970-1976 był Kierownikiem Zespołu Neurochirurgii PAN w Warszawie. Był autorem wielu prac naukowych z zakresu neuroonkologii oraz monografii “Oponiaki wewnątrzczaszkowe“ (1983). Jego uczniami byli m. in. Prof. B. Danilewicz, O. Gościński, O. Liszka, Z. Czernicki. Jest uznany za jednego z twórców neurochirurgii polskiej. Mowa o:
Pytanie 47
Która klasyfikacja w zespole przewlekłego bólu krzyża (chronic LBP - Low Back Pain) ma najlepszą wartość predykcyjną co do wyników leczenia?
Pytanie 48
Badanie angiograficzne tętnic mózgowych wykonywane w przypadkach oponiaków wewnątrzczaszkowych ma na celu:
Pytanie 49
Malformacja tętniczo-żylna o średnicy 3 cm, położona powierzchownie w płacie potylicznym, której objawem był niewielki krwotok powodujący zaburzenia widzenia. W badaniu angiograficznym odpływ z malformacji do żył powierzchownych. Według skali Spetzler-Martin ocenimy na:
Pytanie 50
Klasyfikacja Steinhof’a służy do oceny:
Pytanie 51
Wskaż oponiaki WHO typu II:
1) anaplastyczny;
2) atypowy;
3) brodawkowaty;
4) stuniakowaty;
5) metaplastyczny;
6) jasnokomórkowy.
Prawidłowa odpowiedź to:
Pytanie 52
Obrazowanie tensora dyfuzji (DTI) to technika obrazowania RM służąca do:
1) mapowania kory mózgu;
2) mapowania dróg istoty białej i daje pośrednie informacje o przebiegu tych dróg;
3) mapowania dróg istoty białej i daje bezpośrednie informacje o przebiegu tych dróg.
Prawidłowa odpowiedź to:
Pytanie 53
Wskaż cechy charakterystyczne torbieli naskórkowej w badaniu rezonansu magnetycznego:
1) hiperintensywna w sekwencji T1;
2) hiperintensywna w sekwencji T2;
3) hiperintensywna w sekwencji T1 po podaniu kontrastu;
4) hipointensywna w sekwencji DWI;
5) hiperintensywna w sekwencji DWI;
6) hipointensywna w sekwencji T1;
7) hipointensywna w sekwencji T2.
Prawidłowa odpowiedź to:
Pytanie 54
Wskaż prawdziwe stwierdzenie dotyczące metylacji obszaru promotora MGMT w glejaku WHO IV:
Pytanie 55
Po leczeniu operacyjnym, glejaków WHO II, wczesna radioterapia uzupełniająca w porównaniu do ratunkowej (w przypadku wznowy lub progresji guza) jest korzystniejsza, ponieważ:
Pytanie 56
Nerw zatokowokręgowy (n. sinuvertebralis) zwany również nerwem Luschki to gałąź:
Pytanie 57
Skala WFNS służy do:
Pytanie 58
Reguła topograficzna dotycząca punktu Kochera (tj. miejsca nakłucia rogu przedniego komory bocznej) to:
Pytanie 59
Dostęp operacyjny Krausego-Steina jest to dostęp:
Pytanie 60
Wodogłowie u dzieci najczęściej jest:
Pytanie 61
Na który korzeń może uciskać przepuklina jądra miażdżystego na poziomie C5/C6?
Pytanie 62
Neuralgia nerwu trójdzielnego (trigeminal neuralgia) najczęściej występuje u:
Pytanie 63
Pacjent zdolny do poruszania się (chodu) tylko przy pomocy osób trzecich lub chodzika wg klasyfikacji Nurick’a (Nurick grade of disability from cervical spondylosis) będzie zakwalifikowany jako stopień:
Pytanie 64
Ryzyko odrostu gruczolaka przysadki (pituitary adenoma) przy subtotalnym jego usunięciu drogą transsphenoidalną i następczą radioterapią szacuje się na:
Pytanie 65
Zakres unerwienia czuciowego nerwu rdzeniowego Th 4 obejmuje:
Pytanie 66
W przypadku wykonania przezczaszkowego badania dopplerowskiego w zakresie MCA przepływ sugerujący poważny (ciężki) skurcz naczyniowy wynosi:
Pytanie 67
Jaka jest najczęstsza lokalizacja krwawienia śródczaszkowego u chorych?
Pytanie 68
Jaki jest stosunek objętości wewnątrzczaszkowej płynu mózgowo-rdzeniowego u chorego dorosłego do objętości płynu w kanale kręgowym?
Pytanie 69
Zaburzenia czucia powierzchniowego, parestezji w zakresie palców IV I V ręki są charakterystyczne dla dyskopatii na poziomie:
Pytanie 70
W populacji dziecięcej częstość (od najczęstszego do najrzadszego) występowania guzów w zakresie tylnego dołu czaszki przedstawia się następująco:
Pytanie 71
W których grupach wiekowych przedstawionych poniżej guzy podnamiotowe występują częściej niż nadnamiotowe?
Pytanie 72
Zespołem, w którym dochodzi do uszkodzenia w zakresie nerwów czaszkowych IX, X, XI oraz XII bez współistniejącego zespołu Hornera jest zespół:
Pytanie 73
Jako późną infekcję implantowanego układu zastawkowego (ventriculoperitoneal shunt VPS) traktujemy infekcję po upływie jakiego czasu?
Pytanie 74
U 50-letniej pacjentki z wytrzeszczem, z nadczynnością tarczycy, wykonano badanie rezonansu magnetycznego. Badanie wykazało:
Pytanie 75
Przykłady neurotransmiterów to:
Pytanie 76
60-letni mężczyzna został skierowany z podejrzeniem choroby Parkinsona. Stwierdzone zaburzenia chodu to:
Pytanie 77
U narkomana zatrutego analogiem meperydyny (MPTP) stwierdzono objawy:
Pytanie 78
Kurcz pisarski jest:
Pytanie 79
Czy psychochirurgia w naszym kraju jest stosowana?
Pytanie 80
Najwcześniejsze wykrycie udaru niedokrwiennego w badaniu obrazowym umożliwia badanie:
Pytanie 81
W wyborze dostępu operacyjnego pomaga obrazowanie dróg nerwowych co w rezonansie magnetycznym umożliwia:
Pytanie 82
W różnicowaniu pomiędzy guzem pochodzenia mózgowego i pozamózgowego pomaga wykonanie spektroskopii MR w poszukiwaniu markera neuronalnego czyli:
Pytanie 83
Pacjent z rozpoznaniem złośliwego glejaka nie kwalifikuje się do leczenia chirurgicznego (poza biopsją), jeśli guz nacieka struktury głębokie, a chory:
Pytanie 84
Pacjent z bólami głowy i z rozpoznanym guzem nakrywki wymaga:
Pytanie 85
Jednoczesne uszkodzenie nerwów pośrodkowego i łokciowego nie zaburza funkcji mięśni:
Pytanie 86
Skala Housa i Brakmanna ocenia stopień:
Pytanie 87
Wskaż prawdziwe stwierdzenie dotyczące leczenia tętniaków wewnątrzczaszkowych:
Pytanie 88
Wskaż prawdziwe stwierdzenie dotyczące tętniaków pourazowych:
Pytanie 89
Wskaż fałszywe stwierdzenie dotyczące krwawienia podpajęczynówkowego:
Pytanie 90
Wskaż prawdziwe stwierdzenie dotyczące stosowania wyciągu bezpośredniego za czaszkę:
Pytanie 91
Doktryna Monro-Kellie zakłada stałość objętości wewnątrzczaszkowej, na którą składają się: objętość mózgu, objętość płynu mózgowo-rdzeniowego oraz objętość krwi krążącej. Jaka jest szacunkowa objętość krwi wewnątrzczaszkowej w warunkach prawidłowych?
Pytanie 92
Wskaż prawidłową kolejność wykonywania zwiadowczych otworów trepanacyjnych:
1) trepanopunkcja czołowa po stronie poszerzonej źrenicy;
2) trepanopunkcja ciemieniowa po stronie poszerzonej źrenicy;
3) trepanopunkcja podpotyliczna po stronie poszerzonej źrenicy;
4) trepanopunkcja skroniowa po stronie poszerzonej źrenicy;
5) trepanopunkcja skroniowa po stronie przeciwnej do poszerzonej źrenicy.
Prawidłowa odpowiedź to:
Pytanie 93
Przy jakiej objętości krwiaka nadtwardówkowego należy wykonać jego ewakuację niezależnie od stanu chorego?
Pytanie 94
Jaka jest skuteczność leczenia operacyjnego zespołu cieśni nadgarstka w odniesieniu do ustąpienia bólów nocnych?
Pytanie 95
U chorych z neuralgią nerwu trójdzielnego podczas badania neurologicznego najczęściej można stwierdzić:
Pytanie 96
W leczeniu obrzęku mózgu z zastosowaniem kraniektomii odbarczającej należy pamiętać o wykonaniu odbarczenia o odpowiedniej wielkości. Jaka powinna być minimalna średnica wykonanego odbarczenia kostnego?
Pytanie 97
Wskaż prawidłową kolejność ułożenia nerwów w ścianie zatoki jamistej od siodła tureckiego do podstawy czaszki:
Pytanie 98
Który z wymienionych typów (wg klasyfikacji Cognarda) malformacji oponowych (DAVM) charakteryzuje się bezpośrednim drenażem żylnym poprzez żyły korowe bez poszerzeń żylnych?
Pytanie 99
Wodogłowie związane z chromosomem X (ang. X linked hydrocephalus):
Pytanie 100
W ilu procentach przypadków krwawienia z tętniaka występuje krwiak podtwardówkowy?
Pytanie 101
Stosunek częstości występowania tętniaków olbrzymich w zależności od płci (kobiety:mężczyźni) wynosi:
Pytanie 102
Angiografia DSA uwidacznia źródło krwotoku podpajęczynówkowego w:
Pytanie 103
Złamaniom kręgu C2 neurologiczne objawy ubytkowe towarzyszą w:
Pytanie 104
Które z poniższych struktur nie przechodzą przez otwór szyjny?
Pytanie 105
Wskaż najczęstszą lokalizację oponiaków wewnątrzczaszkowych:
Pytanie 106
Całkowite usunięcie oponiaka bez wycięcia i bez koagulacji jego przyczepu to wg Simpsona stopień resekcji:
Pytanie 107
37-letni chory został przyjęty do szpitala po urazie głowy. Przy przyjęciu chory na stymulację bólową otwierał oczy, anizokoria P>L, bez reakcji słownej podczas badania, chory lokalizował bodziec bólowy prawą kończyną górną, w lewej kończynie reakcja obronna, kończyny dolne unieruchomione w opatrunkach z powodu złamań. Jak ocenisz stan tego pacjenta w skali Glasgow Coma Scale?
Pytanie 108
Przepukliny oponowo-rdzeniowe jako jedne z wad dysraficznych mogą przybierać formę otwartą wymagającą leczenia chirurgicznego w pierwszych dobach po urodzeniu. Co jest główną przyczyną przeprowadzania tych operacji w trybie szybkim?
Pytanie 109
Neuroendoskopia coraz częściej jest wykorzystywana w neurochirurgii. Jak w każdej procedurze medycznej i w tej mogą wystąpić powikłania, które można podzielić na małe - niepowodujące trwałych następstw u chorego oraz duże - będące przyczyną wystąpienia u chorego zaburzeń neurologicznych włącznie ze śmiercią. Do powikłań małych zalicza się:
1) obecność powietrza w układzie komorowym;
2) przetoka płynowa;
3) infekcja;
4) uszkodzenie struktur nerwowych;
5) niewielkie krwawienie;
6) duże krwawienie niedające się endoskopowo kontrolować;
7) podwyższenie temperatury niespowodowane infekcją;
8) zapadnięcie komór mózgu z wytworzeniem krwiaka podtwardówkowego.
Prawidłowa odpowiedź to:
Pytanie 110
Czaszkogardlak (craniopharyngioma) to:
Pytanie 111
Torbiel pajęczynówki stanowi:
Pytanie 112
Dojście transkallozalne:
Pytanie 113
Wartość „Atlanto-dental-interval” (ADI) u dzieci na przeglądowych zdjęciach radiologicznych (pacjenci do 15 lat) nie powinna przekraczać:
Pytanie 114
U noworodków, a zwłaszcza u wcześniaków, obserwuje się krwawienia około- i dokomorowe z macierzy zarodkowej. Krwawienia te najczęściej rozpoznawane są podczas badania USG i w zależności od ich intensywności określa się cztery stopnie wg Papile’a. O ile krwawienia I i II stopnia mogą ulec wyleczeniu bez żadnej interwencji neurochirurgicznej, o tyle krwawienia III a zwłaszcza IV stopnia zwykle powodują występowanie powikłań. Wskaż najważniejsze powikłania powstające u noworodka z krwawieniem dokomorowym IV stopnia:
1) padaczka;
2) wodogłowie pokrwotoczne;
3) wodniaki przymózgowe;
4) zaburzenia krzepnięcia;
5) deficyty neurologiczne;
6) zaburzenia psychorozwojowe;
7) zaniki mózgowe.
Prawidłowa odpowiedź to:
Pytanie 115
Wskazania do unieruchomienia zęba obrotnika śrubą z dostępu przedniego to:
Pytanie 116
Które z poniższych stwierdzeń odnośnie unieruchomienia śrubą/śrubami złamanego zęba obrotnika jest prawdziwe?
Pytanie 117
Wskaż przeciwwskazanie do wykonania wertebroplastyki:
Pytanie 118
Nieurazowy krwiak zewnątrztwardówkowy w kanale kręgowym:
Pytanie 119
Stwierdzenie przez radiologa, w opisie obrazu MRI kręgosłupa lędźwiowego, zmian kręgów o typie Modic oznacza:
Pytanie 120



