Wyszukaj egzamin lub pytanie
Egzamin PES Neurochirurgia / jesień 2015
120 pytań
Pytanie 1
Wśród wysoko zróżnicowanych glejaków, nowotworem o typowo powierzchownym położeniu, często zajmującym opony jest:
Pytanie 2
Spośród wymienionych poniżej cechą molekularną poprawiającą rokowanie w glejaku wielopostaciowym jest:
1) mutacja genu IDH1 (dehydrogenazy izocytrynianowej);
2) metylacja promotora genu MGMT;
3) obecność mutacji genu Tp53;
4) amplifikacja EGFR;
5) mutacja genu kodującego merlinę.
Prawidłowa odpowiedź to:
Pytanie 3
Alteracją molekularną, której obecność wiąże się z wydłużeniem okresu wolnego od wznowy po usunięciu skąpodrzewiaka i zatosowaniu chemioterapii jest:
Pytanie 4
Alteracja molekularna najczęściej spotykana w oponiakach sporadycznych, jak i występująca w każdym przypadku oponiaka u chorych z NF2, dotyczy:
Pytanie 5
Choroba Rosaria-Dorfmana wymaga różnicowania z:
Pytanie 6
Wyściółczak śluzakowatobrodawkowaty (ependymoma myxopapillare) występuje typowo:
Pytanie 7
Podwyższony poziom zasadowej fosfatazy łożyskowej (PLAP) w surowicy lub płynie mózgowo-rdzeniowym u chorego z guzem okolicy szyszynki przemawia za tym, że ów guz to:
Pytanie 8
Znamię o kolorze wina typu porto obejmujące obszar unerwienia nerwu ocznego (V1) jest charakterystyczne dla zespołu:
Pytanie 9
Odsetek symptomatycznych naczyniaków kręgów (tj. wywołujących objawy kliniczne i przez to wymagających leczenia) wynosi:
Pytanie 10
Tak zwany oczopląs huśtawkowy (seesaw nystagmus), w którym jedno oko porusza się w dół, a drugie do góry, jest typowy dla uszkodzenia położonego w:
Pytanie 11
W przypadkach podejrzenia SAH i konieczności potwierdzenia lub wykluczenia obecności krwi w przestrzeni podpajęczynówkowej najbardziej czułą metodą badania MRI jest:
Pytanie 12
Chirurgiem, który jako pierwszy wyłączył z krążenia tętniak wewnątrzczaszkowy (tętniak rozwidlenia ICA, rok 1931) oraz rozwinął dojście przezklinowe do siodła tureckiego był:
Pytanie 13
Podczas operacji okolicy kąta mostowo-móżdżkowego lewego u chorego ułożonego w pozycji bocznej (śpiącego na ławce lub z głową mocno skręconą w prawo), nerw V jest widoczny:
Pytanie 14
Po rozpreparowaniu prawej szczeliny bocznej mózgu i uniesieniu płata skroniowego możemy uwidocznić nerw okoruchowy przebiegający od dołu międzykonarowego do zatoki jamistej. Naczynia obejmujące nerw to:
Pytanie 15
Prawidłowy płyn mózgowo-rdzeniowy najlepiej opisuje zdanie:
Pytanie 16
Najczęściej tętniaki części wewnątrzjamistej tętnicy szyjnej wewnętrznej rozwijają się:
Pytanie 17
Zespół szczeliny oczodołowej górnej obejmuje zaburzenia ze strony nerwów:
Pytanie 18
Triadzie zaburzeń świadczących o wodogłowiu normotensyjnym nie towarzyszą:
Pytanie 19
Procesem nowotworowym, który może towarzyszyć zakotwiczeniu rdzenia kręgowego jest:
Pytanie 20
Stopień II w skali Simpsona odpowiada:
Pytanie 21
Nerw twarzowy położony jest w dnie przewodu słuchowego wewnętrznego:
Pytanie 22
Wskaż prawdziwe stwierdzenia dotyczące oponiaków przystrzałkowych i sierpa naciekających zatokę strzałkową górną:
Pytanie 23
Skala Kay-Pelleta dotyczy topografii nerwiaków otworu szyjnego. W skali tej:
Pytanie 24
Stan dystoniczny występuje u pacjentów cierpiących na dystonię uogólnioną, której objawy nasilają się, zagrażając życiu chorego. W przypadkach opornych na leczenie farmakologiczne:
Pytanie 25
Za najskuteczniejszą formę pooperacyjnej radioterapii w struniaku uważa się:
Pytanie 26
Nieurazowe krwiaki śródmózgowe najczęściej lokalizują się:
Pytanie 27
Rokownicza skala Hemphill’a dotycząca chorych z nieurazowymi krwiakami śródmózgowymi, poza obecnością krwi w układzie komorowym i punktacją w skali śpiączki Glasgow, uwzględnia:
Pytanie 28
Technika leczenia operacyjnego rzadkich guzów, jakimi są oponiaki otworu szyjnego polega na:
Pytanie 29
Leczenie operacyjne nieurazowych krwiaków śródmózgowych jest kontrowersyjne z uwagi na brak jednoznacznych obserwacji świadczących o skuteczności takiego leczenia. Jednym z zaleceń leczenia operacyjnego nieurazowych krwiaków śródmózgowych jest głębokość najbardziej powierzchownej części krwiaka w stosunku do powierzchni kory nieprzekraczająca:
Pytanie 30
Wskaż prawidłową charakterystykę dwóch odmian oponiaków okolicy szyszynki, sierpowonamiotowych i velum interpositum:
Pytanie 31
Podaj stopień ciężkości urazu czaszkowo-mózgowego u pacjenta, którego stan w chwili przyjęcia określono na GCS (skala Glasgow) - 13, w wywiadzie utrata przytomności na 35 minut, badaniem neurologicznym bez zmian, obrazowanie CT - ognisko stłuczenia bieguna lewego płata czołowego < 25 cm3:
Pytanie 32
W klasyfikacji radiologicznej (badanie CT) ciężkości urazu czaszkowo-mózgowego stosowane są pojęcia różnego stopnia uszkodzeń rozlanych w obrębie mózgowia (diffuse injury). Które z poniższych cech widocznych w badaniu CT spełniają kryteria dla urazowego uszkodzenia rozlanego o typie III?
1) przemieszczenie linii środkowej > 5 mm;
2) zbiorniki płynowe podstawy niewidoczne, zaciśnięte;
3) przemieszczenie linii środkowej 0-5 mm;
4) zmiana wypierająca o wysokiej lub mieszanej gęstości < 25 cm3;
5) obecność jakiejkolwiek zmiany wymagającej chirurgicznej dekompresji.
Prawidłowa odpowiedź to:
Pytanie 33
Klasyfikacja rozlanych urazów czaszkowo-mózgowych (diffuse injury) na podstawie badania CT pozwala na określenie prawdopodobieństwa zgonu chorego w zależności od rozległości zmian. Przypisz odpowiednie wartości ryzyka zgonu do typu (kategorii) pourazowego uszkodzenia rozlanego:
1) typ I - ryzyko zgonu - < 1%;
2) typ II - ryzyko zgonu - 14%;
3) typ III - ryzyko zgonu - 60%;
4) typ IV- ryzyko zgonu - 56%;
5) ogólne ryzyko zgonu dla urazów rozlanych (typ I - IV) - > 50%.
Prawidłowa odpowiedź to:
Pytanie 34
Wskaż czynniki powodujące zwiększone ryzyko wystąpienia pourazowej padaczki po przebytym ciężkim urazie czaszkowo-mózgowym:
1) krwotoczne ogniska stłuczeń korowych widoczne w badaniu CT;
2) ocena w skali Glasgow > 10 pkt;
3) ostry krwiak podtwardówkowy, nadtwardówkowy lub śródmózgowy;
4) napady drgawek pojawiające się w 7 - 14 dobie po urazie;
5) otwarte złamanie z wgłobieniem i uszkodzeniem kory.
Prawidłowa odpowiedź to:
Pytanie 35
Które z poniższych cech klinicznych u pacjenta po ciężkim urazie czaszkowo-mózgowym są wskazaniem do monitorowania ciśnienia śródczaszkowego (ICP)?
1) pacjent wieku < 40 lat, izolowany uraz głowy, ocena w skali Glasgow (GCS) = 9 pkt., ciśnienie systemowe krwi > 90 mmHg, prawidłowe badanie CT;
2) pacjent oceniany na ≤ 8 pkt GCS, nieprawidłowe badanie CT (krwiak, stłuczenie, obrzmienie, ucisk zbiorników podstawy);
3) pacjent w wieku > 40 lat, ciśnienie systemowe krwi < 90 mmHg, stan w ocenie GCS < 8 pkt.;
4) uraz wielonarządowy przebiegający z zaburzeniami świadomości, którego terapia może mieć znaczący wpływ na poziom ICP (np. konieczność przetoczeń znacznych objętości płynów);
5) każdy przypadek chorego operowanego z powodu pourazowego krwawienia.
Prawidłowa odpowiedź to:
Pytanie 36
Pourazowy krwiak podtwardówkowy jest rozpoznany jako przewlekły po upływie:
Pytanie 37
Podaj wartości progowe dla rozpoczęcia leczenia wzmożonego ciśnienia śródczaszkowego (ICP) u pacjenta dorosłego po ciężkim urazie czaszkowo-mózgowym:
1) wzmożone ICP należy leczyć jeżeli przekroczy ono 20-25 mmHg;
2) mózgowe ciśnienie perfuzyjne (CPP) należy utrzymywać na poziomie 40-50 mmHg;
3) konieczność leczenia wzmożonego ciśnienia śródczaszkowego należy ustalać na podstawie wartości ciśnienia ICP, obrazu klinicznego (neurologicznego) i obrazu badania CT;
4) mózgowe ciśnienie perfuzyjne (CPP) powinno być utrzymywane > 70 mmHg;
5) wzmożone ICP należy leczyć jeżeli przekroczy ono 30-35 mmHg.
Prawidłowa odpowiedź to:
Pytanie 38
Hiperwentylacja (HPV) w leczeniu wzmożonego ciśnienia śródczaszkowego u pacjentów dorosłych po przebytym ciężkim urazie czaszkowo-mózgowym jest obecnie stosowana w specyficznych sytuacjach klinicznych. Wskaż przyczyny, które spowodowały wycofanie jej z pierwszej linii leczenia:
1) profilaktyczne stosowanie HPV, szczególnie w pierwszych 24 godzinach po urazie może wiązać się z gorszym wynikiem leczenia;
2) agresywna HPV powodująca obniżenie PaCO2 < 25 mmHg zwiększa przepływ mózgowy;
3) przewlekła HPV powodująca obniżenie PaCO2 < 30 mmHg, nie redukuje trwale wzmożonego ciśnienia śródczaszkowego i powoduje utratę autoregulacji;
4) agresywna HPV - PaCO2 < 25 mmHg nie przynosi korzyści, może powodować niedokrwienie;
5) HPV w granicach PaCO2 30-35 mmHg może być stosowana profilaktycznie.
Prawidłowa odpowiedź to:
Pytanie 39
Zastosowanie mannitolu w leczeniu ciężkiego urazu czaszkowo-mózgowego przed implantacją czujnika do pomiaru ciśnienia śródczaszkowego winno być ograniczone do pacjentów:
1) ocenianych w skali Glasgow na < 9 pkt.;
2) z objawami postępującego wgłobienia przeznamiotowego;
3) z zaburzeniami oddechowymi;
4) z narastającymi objawami uszkodzeń neurologicznych (pogorszenia stanu neurologicznego związanego z urazem mózgu);
5) z urazami wielonarządowymi.
Prawidłowa odpowiedź to:
Pytanie 40
Które z poniższych stwierdzeń określa prawdopodobny mechanizm działania mannitolu w obniżaniu wzmożonego ciśnienia śródczaszkowego?
1) szybko zwiększa objętość osocza, redukuje hematokryt i poprawia właściwości reologiczne krwi;
2) zwiększa mózgowy przepływ krwi (CBF) i poprawia dostarczanie tlenu;
3) zwiększa osmolalność surowicy i powoduje przemieszczanie płynów z obrzękniętej tkanki;
4) efekt wyrównania gradientów ciśnienia: osocze - tkanka nerwowa uzyskuje się w ciągu 15-30 minut;
5) efekt działania mannitolu w zależności od warunków klinicznych trwa w okresie 1,5-6 godzin.
Prawidłowa odpowiedź to:
Pytanie 41
Leczenie operacyjne złamań czaszki z wgłobieniem, diagnozowane badaniem CT w trybie dyżurowym należy rozważać zawsze jeżeli:
1) złamanie przebiega ponad dużymi zatokami opony twardej np. ponad tylną częścią zatoki strzałkowej;
2) wgłobienie przekracza grubość kości czaszki;
3) obecne jest ogniskowe uszkodzenie neurologiczne związane z miejscem wgłobienia;
4) wgłobienie na głębokość 5-8 mm ponad zatoką poprzeczną;
5) złamanie otwarte, obecny jest płynotok świadczący o uszkodzeniu opony twardej.
Prawidłowa odpowiedź to:
Pytanie 42
Wg. wytycznych „Guidelines for the Surgical Management of Traumatic Brain Injury” z 2006 roku bezwzględnym wskazaniami do ewakuacji krwiaka nadtwardówkowego (EDH) są:
1) pacjent w śpiączce - skala Glasgow(GCS) < 9 pkt., anizokoria, tożstronny EDH w obrazie CT;
2) EDH o objętości mniejszej niż 30 ml (cm3), szerokości < 5 mm, bez objawów ogniskowych, leczony w oddz. neurochirurgii;
3) EDH > 30 ml (cm3);
4) EDH 20-30 ml (cm3), GCS < 9, zlokalizowany w środkowym dole czaszki;
5) EDH < 30 ml (cm3), GCS > 9, zlokalizowany w okolicy bieguna płata czołowego.
Prawidłowa odpowiedź to:
Pytanie 43
Wskaż prawdziwe wytyczne do ewakuacji chirurgicznej ostrego krwiaka podtwardówkowego (SDH) zgodne z „Guidelines for the Surgical Management of Traumatic Brain Injury” z 2006 r.:
1) SDH o szerokości > 10 mm i przemieszczeniem linii środkowej > 5 mm w badaniu CT;
2) SDH o szerokości > 10 mm lub przemieszczeniem linii środkowej > 5 mm niezależnie od oceny w skali Glasgow (GCS);
3) SDH niezależnie od objętości i oceny w skali Glasgow;
4) SDH o szerokości < 10 mm u pacjenta ocenianego w skali Glasgow < 9 pkt., z przemieszczeniem linii środkowej < 5 mm i wartością ciśnienia śródczaszkowego (ICP) > 25 mmHg;
5) SDH o szerokości < 10 mm u pacjenta z GCS = 9 bezpośrednio po urazie i GCS = 5 w chwili przyjęcia do szpitala.
Prawidłowa odpowiedź to:
Pytanie 44
Wskaż zgodne z wytycznymi „Guidelines for the Surgical Management of Traumatic Brain Injury” z 2006 wskazania do chirurgicznej ewakuacji pourazowego krwiaka śródmózgowego (ICH):
1) pacjenci oceniani w skali Glasgow (GCS) > 8 pkt z ogniskami stłuczeń o objętości < 20 ml (cm3);
2) jakakolwiek śródmózgowa, krwotoczna zmiana pourazowa o objętości > 50 ml (cm3);
3) pacjenci ze śródmózgową zmianą pourazową z dobrą kontrolą ciśnienia śródczaszkowego i otwartymi zbiorniakmi podstawy;
4) pacjenci z ogniskiem krwotocznym w płacie skroniowym > 20 ml (cm3) i przemieszczeniem linii środkowej > 5 mm;
5) pacjenci z ICH, opornym na leczenie podwyższonym ciśnieniem śródczaszkowym (> 20 mmHg) i objawami masy w obrazie CT.
Prawidłowa odpowiedź to:
Pytanie 45
Jakie metody leczenia operacyjnego należy zastosować w terapii pourazowych krwiaków śródmózgowych (ICH)?
1) w krwotocznych zmianach ogniskowych należy wykonać kraniektomię dwuskroniową po upływie co najmniej 48 -72 godzin od urazu;
2) opcją w leczeniu rozlanych pourazowych zmian obrzękowych, opornych na leczenie wzrostów ciśnienia śródczaszkowego jest wykonanie dwuczołowej kraniektomii odbarczającej w ciągu pierwszych 48 godzin po urazie;
3) przy narastających objawach wgłobienia podnamiotowego wskazane jest wykonanie wczesnej kraniektomii podpotylicznej;
4) w ogniskowych ICH o objętości > 50 ml (cm3) wskazana kraniotomia z usunięciem zmiany krwotocznej;
5) u chorych z narastającymi objawami klinicznymi i radiologicznymi narastającego wgłobienia podnamiotowego nie należy rozważać półkulowej kraniektomii odbarczającej.
Prawidłowa odpowiedź to:
Pytanie 46
Wskaż prawdziwe stwierdzenie dotyczące oligodendrogliomy:
Pytanie 47
Wskaż prawdziwe stwierdzenie dotyczące połowiczego kurczu twarzy:
Pytanie 48
Wskaż prawdziwe stwierdzenie dotyczące rozpoznawania torbieli koloidowej III komory:
Pytanie 49
Wskaż prawdziwe stwierdzenie dotyczące zespołu cieśni nadgarstka:
Pytanie 50
Wskaż fałszywe stwierdzenie dotyczące wertebroplastyki:
Pytanie 51
Powszechnie i najczęściej przyjęte w ocenie pacjenta po krwawieniu podpajęczynówkowym (SAH) są następujące klasyfikacje:
Pytanie 52
Przy pourazowych uszkodzeniach kręgosłupa szyjnego może zaistnieć potrzeba założenia wyciągu:
Pytanie 53
Wskaż różnice pomiędzy oponowymi i wewnątrzoponowymi rdzeniowymi malformacjami tętniczo-żylnymi:
Pytanie 54
Krótkie epizody niespodziewanego śmiechu to napady padaczkowe z ogniskiem położonym w:
Pytanie 55
Które z powyższych stwierdzeń odnośnie choroby von Hippel-Lindau (VHL) jest nieprawdziwe?
Pytanie 56
Wskaż prawdziwe stwierdzenie dotyczące struniaków kręgosłupa:
Pytanie 57
Krwawienie podpajęczynówkowe przedpniowe (pretruncal) to:
Pytanie 58
Wskaż postępowanie wobec przypadkowo znalezionej dużej torbieli pajęczynówki:
Pytanie 59
Wskaż prawdziwe stwierdzenie dotyczące podania nimodipiny w leczeniu skurczu naczyniowego:
Pytanie 60
Hamartoma podwzgórza morfologicznie tworzą:
Pytanie 61
Leki przeciwpadaczkowe przy świeżo rozpoznanych guzach mózgu bez padaczki objawowej:
Pytanie 62
Po operacji przewlekłego krwiaka podtwardówkowego:
Pytanie 63
Wskaż prawdziwe stwierdzenie dotyczące radioterapii w leczeniu glejaków i wyściółczaków rdzenia:
Pytanie 64
Wskaż prawdziwe stwierdzenie dotyczące uszkodzenia dużych naczyń jamy brzusznej w czasie operacji dysku lędźwiowego:
Pytanie 65
Wskaż prawdziwe stwierdzenie dotyczące zaburzeń oddawania moczu przy dyskopatii:
Pytanie 66
Główną przyczyną wystąpienia połowiczego kurczu twarzy jest/są:
Pytanie 67
Które z wymienionych zaliczają się do tzw. red flags w bólu krzyża?
1) wiek < 50 r.ż.;
2) wiotkie porażenie zwieraczy o nagłym początku;
3) ustąpienie dolegliwości bólowych w spoczynku;
4) immunosupresja;
5) towarzysząca niewyjaśniona utrata wagi.
Prawidłowa odpowiedź to:
Pytanie 68
40-letni mężczyzna diagnozowany neurologicznie z powodu przejściowych bólów głowy i trudności w chodzeniu. W wykonanym badaniu TK głowy stwierdzono obecność torbielowatej zmiany w obrębie III komory mózgu. Najbardziej prawdopodobnym rozpoznaniem jest:
Pytanie 69
Spośród niżej wymienionych, czynnikami zwiększającymi ryzyko pokrwotocznego skurczu naczyniowego, są:
1) palenie papierosów;
2) niższy stopień w ocenie chorego wg skali Hunt-Hess przy przyjęciu;
3) większe nasilenie krwotoku w ocenie tomografii komputerowej;
4) zaawansowany wiek chorego.
Prawidłowa odpowiedź to:
Pytanie 70
Wskaż prawdziwe stwierdzenia dotyczące tętniaków olbrzymich:
1) mają powyżej 2 cm średnicy;
2) mogą być workowate lub wrzecionowate;
3) stanowią 3-5% wszystkich tętniaków śródczaszkowych;
4) wśród chorych z tymi tętniakami stosunek kobiet do mężczyzn wynosi 3:1.
Prawidłowa odpowiedź to:
Pytanie 71
Drugim co do częstości objawem naczyniaka jamistego mózgu jest:
Pytanie 72
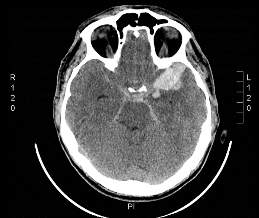
47-letni chory został przewieziony do SOR z miejsca pracy, gdzie doznał nagłego silnego bólu głowy, po którym nastąpiły nudności i wymioty. Przy przyjęciu GSC 15 pkt. Źrenice równe, prawidłowo reagujące na światło. Bez objawów ogniskowego uszkodzenia OUN. Sztywność karku na 2 palce. Wykonano badanie TK głowy, które wykazało cechy krwotoku podpajęczynówkowego (skan poniżej). Oceń stan chorego w skali WFNS i badanie TK w skali Fishera na podstawie podanych informacji:

Pytanie 73
Wskaż prawdziwe stwierdzenia dotyczące SCIWORA:
1) jest najczęstsze w populacji pacjentów < 9 r.ż.;
2) zaleca się unieruchomienie zewnętrzne do czasu osiągnięcia prawidłowego obrazu w badaniach czynnościowych kręgosłupa;
3) w MRI widoczne podwyższenie sygnału w obrębie rdzenia kręgowego w obrazach T2W1;
4) objawy czuciowo-ruchowe pojawiają się natychmiast po urazie i ich wystąpienie z opóźnieniem wyklucza rozpoznanie SCIWORA;
5) zaleca się laminektomię na poziomie uszkodzenia.
Prawidłowa odpowiedź to:
Pytanie 74
W przypadkach kraniosynostozy dochodzi do przedwczesnego zarośnięcia szwu lub szwów czaszki. Jedną z postaci kraniosynostozy jest trigonocephalia. W tej jednostce chorobowej dochodzi do przedwczesnego zarośnięcia szwu:
Pytanie 75
W opisach radiologicznych zmian pourazowych spotyka się określenie „rosnące złamanie czaszki”. Co należy rozumieć pod tym określeniem?
Pytanie 76
Jednym z powikłań podczas leczenia wodogłowia jest infekcja układu zastawkowego. Im dziecko z wodogłowiem jest młodsze tym większa jest częstość występowania tego powikłania jednakże występuje zarówno u dorosłych jak i dzieci. Jaka bakteria jest najczęstszą przyczyną infekcji układu zastawkowego u chorych leczonych z powodu wodogłowia?
Pytanie 77
Spośród wad wrodzonych ośrodkowego układu nerwowego, przepukliny oponowo-rdzeniowe należą do ciężkich wad. Ciężkość tej wady uzależniona jest od jej umiejscowienia. Przy jakim umiejscowieniu tej wady dochodzi do całkowitego porażenia kończyn dolnych?
Pytanie 78
Liczne patologie naczyniowe bywają przyczyną krwotoków podpajęczynówkowych przy czym w różnym wieku źródłem krwotoku może być odmienna przyczyna. Jeżeli dochodzi do krwawienia podpajęczynówkowego u chorego w wieku 10 lat to w pierwszej kolejności należy podejrzewać jako przyczynę:
Pytanie 79
U wcześniaka czy noworodka, u którego istnieje podejrzenie wodogłowia, jako podstawowe powinno być zlecone badanie:
Pytanie 80
Torbiele pajęczynówki umiejscawiają się w różnych okolicach mózgowia. Objawy obserwowane u chorych z torbielami, wielkość tych torbieli oraz ich dynamika decydują o sposobie ich leczenia. W jakich okolicach mózgowia najczęściej umiejscawiają się torbiele pajęczynówki?
Pytanie 81
W odcinku lędźwiowym kręgosłupa przepukliny jądra miażdżystego w różnym stopniu występują na różnych poziomach. Na których poziomach przepukliny jądra miażdżystego występują najczęściej?
Pytanie 82
Przy centralno-bocznie wpadniętym jądrze miażdżystym na poziomie L5/S1 dochodzi do ucisku korzenia:
Pytanie 83
W przypadku stwierdzenia u dziecka nowotworu okolicy szyszynki z następowym wodogłowiem powodującym ciasnotę wewnątrzczaszkową w pierwszej kolejności należy zastosować:
Pytanie 84
Stenoza oraz niedorozwój wodociągu mózgu doprowadza do powstania, wytworzenia wodogłowia niekomunikującego. Jakie leczenie neurochirurgiczne powinno być zastosowane u tych chorych?
Pytanie 85
Dyskopatia szyjna najczęściej dotyczy dolnego odcinka kręgosłupa szyjnego, zwłaszcza przestrzeni C6/C7 gdzie częstość występowania przekracza 60% dyskopatii szyjnych. Kolejnym poziomem co do częstości występowania dyskopatii szyjnej jest poziom C5/C6 gdzie występowanie jej oceniane jest na mniej niż 20%. Który korzeń ulega uciśnięciu przy bocznej dyskopatii szyjnej na poziomie C5/C6?
Pytanie 86
Uszkodzenie drogi wzrokowej w konkretnym miejscach jej przebiegu skutkuje powstaniem ubytków w polu wodzenia. Niedowidzenie połowicze dwuskroniowe spowoduje uszkodzenie:
Pytanie 87
Wady dysraficzne zwłaszcza pod postacią otwartej przepukliny rdzeniowej czy oponowo-rdzeniowej współistnieją z wodogłowiem lub wodogłowie może tworzyć się w krótkim okresie po urodzeniu dziecka. Jak często można się spodziewać wystąpienia wodogłowia, współistnienia wodogłowia u dziecka z wadą dysraficzną?
Pytanie 88
Asterion to punkt anatomiczny czaszki utworzony przez:
Pytanie 89
Wskaż prawdziwe stwierdzenie dotyczące zesztywniającego zapalenia stawów kręgosłupa:
Pytanie 90
Zaburzenia świadomości, nudności, bóle głowy oraz obraz badania TK głowy jak poniżej może sugerować:

Pytanie 91
Uszkodzenie pęczka tylnego splotu ramienno-barkowego spowoduje niedowład mięśni:
Pytanie 92
Malformacja tętniczo-żylna położona w zakręcie przedśrodkowym lewej półkuli mózgu, drenująca do naczyń powierzchniowych mózgu oraz średnicy 3 cm oceniana jest w skali Spetzlera Marina jako:
Pytanie 93
Zakładając, że ryzyko krwawienia z malformacji tętniczo-żylnej to 3% rocznie, ryzyko krwawienia w ciągu 20 lat będzie wynosiło około:
Pytanie 94
W unaczynieniu torebki wewnętrznej biorą udział następujące tętnice:
1) naczyniówkowa przednia;
2) prążkowiowe tętnicy środkowej mózgu;
3) gałęzie przeszywające tętnicy szyjnej wewnętrznej;
4) perforatory podziału tętnicy podstawnej;
5) naczyniówkowa środkowa tylna.
Prawidłowa odpowiedź to:
Pytanie 95
Guzy położone w okolicy rowka nerwu węchowego (oponiaki) mogą powodować charakterystyczny zespół objawów tzw. Zespół Fostera-Kenediego, na który składają się:
1) zaburzenia węchu tożstronnie do guza;
2) tożstronny mroczek centralny;
3) opadanie powieki po stronie przeciwnej do guza;
4) przeciwstronny obrzęk tarczy nerwu wzrokowego;
5) przeciwstronny mroczek centralny.
Prawidłowa odpowiedź to:
Pytanie 96
Guz położony zewnątrzczaszkowo w okolicy otworu żyły szyjnej może powodować wszystkie wymienione zespoły uszkodzenia nerwów czaszkowych, z wyjątkiem zespołu:
Pytanie 97
Wskaż prawidłowe zdanie dotyczące połączeń pomiędzy układem kręgowo-podstawnym, a tętnicą szyjną wewnętrzną:
Pytanie 98
Wskaż fałszywe zdanie dotyczące daleko bocznej przepukliny krążka międzykręgowego:
Pytanie 99
Przyczynami krwotoku podpajęczynówkowego są wszystkie poniższe, z wyjątkiem:
Pytanie 100
Które stwierdzenie o gruczolakach przysadki w chorobie Cushinga jest fałszywe?
Pytanie 101
Uszkodzenie którego nerwu czaszkowego jest pomocne w różnicowaniu zespołu szczeliny oczodołowej górnej z zespołem szczytu oczodołu?
Pytanie 102
Jakie jest ryzyko wystąpienia zakrzepicy żył głębokich u pacjenta z poważnym urazem mózgu?
Pytanie 103
Jakie jest ryzyko nawrotu dolegliwości w leczeniu zachowawczym coccydynii w ciągu 1 roku?
Pytanie 104
U pacjenta z wywiadem skostnienia więzadła podłużnego tylnego w badaniu MR odcinka szyjnego kręgosłupa stwierdzono dużą stenozę kanału kręgowego z ogniskiem mielopatii rdzenia kręgowego. Chory nie jest w stanie utrzymać się na nogach pomimo pomocy. W skali Nuricka zostanie oceniony na:
Pytanie 105
U pacjenta praworęcznego z zespołem rozłączenia nie stwierdza się:
Pytanie 106
Wskaż prawdziwe stwierdzenia dotyczące porażenia Todda:
1) występuje po napadzie padaczkowym;
2) występuje w obszarze objętym napadem;
3) ustępuje powoli w ciągu ok. 1 dnia po napadzie;
4) jest częstszy po napadach związanych ze zmianą strukturalną.
Prawidłowa odpowiedź to:
Pytanie 107
Źródło infekcji kostno-szpikowej kręgosłupa w 37% nie zostaje ustalone, jednak w pierwszej kolejności należy rozpatrywać infekcję:
Pytanie 108
Wskaż fałszywe stwierdzenie dotyczące rozwoju czaszkowo-twarzowego:
Pytanie 109
Przyczyną arefleksji wypieracza pęcherza moczowego nie jest:
Pytanie 110
Wskaż fałszywe stwierdzenie dotyczące trajektorii śrub wprowadzanych przez masywy boczne przy stabilizacji z dostępu tylnego w odcinku szyjnym kręgosłupa w zależności od poziomu:
Pytanie 111
Produkcja płynu mózgowo-rdzeniowego (PMR) w obrębie komór bocznych u dorosłego człowieka wynosi średnio:
Pytanie 112
Uszereguj w porządku wzrastającym (od najrzadszego do najczęstszego) objawy występujące u chorych z osłoniakiem nerwu słuchowo-równoważnego (vestibular schwannoma):
1) bóle głowy;
2) podwójne widzenie;
3) osłabienie ruchomości mięśni mimicznych połowy twarzy (niedowład);
4) jednostronne osłabienie słuchu;
5) zawroty głowy.
Prawidłowa odpowiedź to:
Pytanie 113
Izolowane kraniosynostozy występują z częstością 1,5-2 przypadków na 1000 żywo urodzonych dzieci. Uszereguj ich rodzaje w zależności od częstości występowania (od najczęstszego do najrzadszego występowania):
1) kraniosynostoza strzałkowa;
2) kraniosynostoza czołowa;
3) kraniosynostoza wieńcowa;
4) kraniosynostoza węgłowa.
Prawidłowa odpowiedź to:
Pytanie 114
Wskaż prawdziwe stwierdzenia dotyczące próby Queckenstedta:
1) przeprowadzana jest poprzez uciśnięcie jednej a następnie obu żył szyjnych w czasie punkcji lędźwiowej;
2) wzrost ciśnienia płynu mózgowo-rdzeniowego wskazuje na istnienie przeszkody w kanale kręgowym;
3) jeżeli po zaprzestaniu uciskania żył szyjnych ciśnienie płynu mózgowo-rdzeniowego wróci do wartości początkowej wskazuje to na brak przeszkody w kanale kręgowym.
Prawidłowa odpowiedź to:
Pytanie 115
W przypadku złamania zęba kręgu obrotowego typu II wg klasyfikacji Anderson-D’Alonzo stosuje się stabilizację śrubą Bohlera. Przeciwwskazaniem do tej procedury są:
1) towarzyszące złamanie trzonu kręgu C2;
2) złamanie starsze niż 6 miesięcy;
3) świeże złamanie;
4) uszkodzenie więzadła poprzecznego szczytowo-obrotowego;
5) uszkodzenie więzadła szczytowego zęba obrotnika.
Prawidłowa odpowiedź to:
Pytanie 116
Wskaż stan kliniczny, w którym nie ma przeciwwskazań do wykonania biopsji stereotaktycznej:
Pytanie 117
Dysembrioblastyczne guzy neuroepitelialne (DNET) stanowią od 0,8-5% pierwotnych guzów wewnątrzczaszkowych. Charakteryzują się one najczęściej:
Pytanie 118
Optymalnym sposobem leczenia chorych z guzem o typie żółtakogwiaździaka pleomorficznego (pleomorphic xanthoastrocytoma, PXA) jest:
Pytanie 119
Arkada Lazarothesa to wariant anatomiczny unaczynienia rdzenia kręgowego, w którym:
Pytanie 120



