Wyszukaj egzamin lub pytanie
Egzamin PES Neurochirurgia / jesień 2012
120 pytań
Pytanie 1
Powikłania neuroendoskopii można podzielić na małe - nie powodujące trwałych następstw u chorego oraz duże - będące przyczyną występowania u chorego często neurologicznych zaburzeń czy nawet śmierci. Mogące wystąpić powikłania to :
1) niewielkie krwawienie;
2) obecność powietrza w układzie komorowym powodujące nudności i wymioty;
3) duże krwawienie nie dające się endoskopowo kontrolować;
4) przetoka płynowa;
5) podwyższenie temperatury niespowodowane infekcją;
6) infekcja;
7) zapadnięcie komór z wytworzeniem krwiaka podtwardówkowego;
8) uszkodzenie struktur nerwowych.
Które z wymienionych powikłań zaliczyć należy do dużych?
Pytanie 2
Które z poniższych powikłań obserwuje się najczęściej u noworodka z krwawieniem do- i okołokomorowym IV stopnia wg Paplie’a?
1) padaczka; 4) zaburzenia neurologiczne;
2) wodogłowie pokrwotoczne; 5) zaburzenia psychorozwojowe;
3) wodniaki przymózgowe; 6) zaniki mózgowe.
Prawidłowa odpowiedź to:
Pytanie 3
Zespół żebra szyjnego, poprzez ucisk na przyśrodkowy pęczek splotu ramiennego oraz tętnicę pachową, najczęściej powoduje:
Pytanie 4
Jakie badania należy wykonać u dziecka u którego podejrzewa się mikrocefalię?
Pytanie 5
Który spośród zespołów nerwowo-skórnych występuje najczęściej u dzieci?
Pytanie 6
Rosnące złamanie kości czaszki jest powikłaniem złamania:
Pytanie 7
Uszkodzenie których nerwów czaszkowych wywołuje nadwrażliwość na bodźce słuchowe (hiperakuzję)?
Pytanie 8
Zmiany zwyrodnieniowe krążków międzykręgowych oraz stawów w odcinku szyjnym kręgosłupa prowadzą do spondylozy szyjnej oraz przepukliny dyskowej. Na jakim poziomie odcinka szyjnego kręgosłupa najczęściej obserwuje się ten proces?
Pytanie 9
Leczenie wodogłowia układem zastawkowym wiąże się z możliwością powstawania powikłań, których ilość i rodzaj zależy od wieku chorego chwili implantacji zastawki jak i samej techniki operacyjnej. Jednym z najpoważniejszych powikłań jest infekcja tego układu. Jakie postępowanie należy wdrożyć w przypadku stwierdzenia infekcji układu zastawkowego?
Pytanie 10
Najczęstsza przyczyna krwotoku podpajęczynówkowego jest inna u wcześniaków, inna u dzieci oraz inna u dorosłych. Jeżeli do szpitala przyjęty jest chory w wieku 12 lat z krwotokiem podpajęczynówkowym to jaką przyczynę krwotoku należy podejrzewać w pierwszej kolejności?
Pytanie 11
Tętnica oponowa tylna:
Pytanie 12
Żółtakogwiaździak pleomorficzny (pleomorphic xantoastrocytoma, PXA):
1) należy do grupy gwiaździaków o ograniczonym wzroście, WHO II°;
2) jest to nowotwór ludzi młodych, a średni wiek chorych to ok. 19 lat;
3) charakteryzuje się wybitnym polimorfizmem komórkowym, co jest przyczyną pomyłek diagnostycznych i mylnego rozpoznawania np. glioblastoma;
4) ma stosunkowo dobre rokowanie - po usunięciu i terapii wspomagającej 5 lat przeżywa ponad 80% chorych.
Prawidłowa odpowiedź to:
Pytanie 13
Wklinowanie tylne, czyli pokrywowe (tectal herniation):
1) jest odmianą wklinowania we wcięcie namiotu;
2) występuje zazwyczaj przy obecności masy patologicznej w obu płatach czołowych lub potylicznych;
3) może się objawiać obustronną ptozą;
4) polega na przemieszczeniu móżdżku przez wcięcie namiotu ku górze.
Prawidłowa odpowiedź to:
Pytanie 14
U chorego z cukrzycą występują silne piekące bóle i drętwienia na podeszwowej stronie palców i przedniej części śródstopia. Grzbiet stopy jest wolny od dolegliwości. Choć ból nasila się przy chodzeniu a ustępuje w pozycji leżącej, to bywa, że chory cierpi także w nocy. Objawy te są typowe dla:
Pytanie 15
U chorego, u którego po urazie głowy doszło do złamania poprzecznego piramidy kości skroniowej i utraty słuchu w tożstronnym uchu z dużym prawdopodobieństwem należy podejrzewać:
Pytanie 16
Elektroda odbiorcza umiejscowiona w otworze owalnym może być przydatna do rejestracji napadu o ile ognisko padaczkowe znajduje się w:
Pytanie 17
Cechą bólu neuropatycznego jest:
Pytanie 18
Spośród poniższych wybierz zdanie prawdziwe:
Pytanie 19
Kłębczak żyły szyjnej (glomus jugulare tumour):
1) jest nowotworem neuroektodermalnym;
2) może wydzielać aminy katecholowe wywołując gwałtowne wzrosty ciśnienia tętniczego;
3) wywołuje głuchotę;
4) charakteryzuje się powolnym wzrostem.
Prawidłowa odpowiedź to:
Pytanie 20
Wskaż zespół niewymagający różnicowania z neuralgią nerwu trójdzielnego:
Pytanie 21
Fantomowy ból kończyny kwalifikowany jest jako ból:
Pytanie 22
Operacyjne usunięcie konfliktu naczyniowego z nerwem twarzowym powoduje:
Pytanie 23
Głęboka stymulacja mózgu (DBS) u pacjentów z chorobą Parkinsona:
Pytanie 24
Gdy w czasie leczenia chirurgicznego neuralgii n. V neurochirurg nie znajdzie konfliktu naczyniowo-nerwowego należy:
Pytanie 25
Gdy w czasie leczenia chirurgicznego neuralgii n. IX neurochirurg nie znajdzie konfliktu naczyniowo-nerwowego należy:
Pytanie 26
Operacja Morrella w leczeniu padaczki stosowana jest w:
Pytanie 27
Przy kwalifikowaniu do operacji MVD nerwu V-go konieczne jest:
Pytanie 28
W zespole Costena patologia dotyczy:
Pytanie 29
Zespół Sludera charakteryzuje się:
Pytanie 30
Wykonanie rozległej lobektomii skroniowej spowoduje:
Pytanie 31
W którym z wymienionych poniżej miejsc, w warunkach prawidłowych, nie istnieje bariera krew-mózg?
1) splot naczyniówkowy; 4) guz popielaty;
2) przysadka; 5) area postrema.
3) zachyłek szyszynki;
Prawidłowa odpowiedź to:
Pytanie 32
Które z oponowych zniekształceń tętniczo-żylnych, według klasyfikacji Cognard’a, są najczęstszą przyczyną krwotoków wewnątrzczaszkowych?
1) typ I; 2) typ IIa; 3) typ IIb; 4) typ IIa+b; 5) typ III; 6) typ IV; 7) typ V.
Prawidłowa odpowiedź to:
Pytanie 33
Krwotok podpajęczynówkowy do zbiornika mostu i okalającego w znaczącej większości przypadków nie powodujący skurczu naczyniowego, często nazywany „holenderskim”, to najczęściej objaw krwawienia z tętniaka:
Pytanie 34
Która z wymienionych chorób jest z całą pewnością powodowana konfliktem naczyniowo-nerwowym?
1) nerwoból nerwu trójdzielnego; 4) nadciśnienie tętnicze;
2) nerwoból nerwu językowo-gardłowego; 5) napadowy kręcz karku.
3) połowiczy kurcz twarzy;
Prawidłowa odpowiedź to:
Pytanie 35
Które z przedstawionych cech są najlepszym wskaźnikiem prognostycznym u chorych z glejakami rozlanymi (GII, G III i GIV)?
1) wiek; 4) wielkość guza;
2) ogólny stan chorego; 5) doszczętność operacji.
3) umiejscowienie guza;
Prawidłowa odpowiedź to:
Pytanie 36
Jakie postępowanie należy zastosować w przypadku ropniaka podtwardówkowego?
1) antybiotykoterapia, natychmiast po stwierdzeniu ropniaka leczenie przeciwdrgawkowe;
2) otwór trepanacyjny dla wykonania posiewu i leczenia celowanego, natychmiast po stwierdzeniu ropniaka leczenie przeciwdrgawkowe;
3) antybiotykoterapia, wielootworkowa trepanacja i posiew dla celowanej antybiotykoterapii, leczenie przeciwdrgawkowe i przeciwobrzękowe;
4) antybiotykoterapia, rozległa kraniektomia, posiew dla celowanej antybiotykoterapii, leczenie przeciwobrzękowe i przeciwdrgawkowe;
5) punkcja lędźwiowa i celowana antybiotykoterapia, leczenie przeciwobrzękowe i przeciwdrgawkowe.
Prawidłowa odpowiedź to:
Pytanie 37
Krwotoczne wybroczyny w siatkówce:
Pytanie 38
Niemowlęta są szczególnie podatne na tzw. „uraz z potrząsania” w związku z następującymi odrębnościami anatomicznymi typowymi dla tego wieku:
1) słabo jeszcze wykształcony aparat mięśniowy karku;
2) otwarte szwy czaszkowe i ciemiączka;
3) relatywnie duża głowa w stosunku do reszty ciała;
4) niska masa ciała;
5) szerokie przestrzenie podpajęcze.
Prawidłowa odpowiedź to:
Pytanie 39
Przyczyną wodogłowia w mechanizmie nadprodukcji płynu mózgowo-rdzeniowego może być:
Pytanie 40
Powszechnie uznanym wskazaniem do leczenia wodogłowia metodą wentrikulocysternostomii endoskopowej jest wodogłowie:
Pytanie 41
Do kryteriów wymaganych dla postawienia rozpoznania choroby moyamoya należą:
1) zwężenie lub zamknięcie końcowego odcinka ICA i/lub początkowych odcinków ACA i MCA w badaniu angiografii mózgowej;
2) stwierdzenie w badaniu TK lub MR obustronnych obszarów niedokrwiennych w obrębie jąder podstawy;
3) nieprawidłowa sieć naczyń w sąsiedztwie zwężonych odcinków (w MR w okolicy jąder podstawy) widoczna w fazie tętniczej angiografii;
4) wykluczenie innych schorzeń lub stanów mogących mieć związek ze zmianami w naczyniach.
Prawidłowa odpowiedź to:
Pytanie 42
Wskaż prawdziwe stwierdzenie dotyczące wyściółczaka wewnątrzczaszkowego:
Pytanie 43
4-letnie dziecko zostało przyjęte do SOR w związku z doznanym urazem komunikacyjnym (zderzenie samochodów, dziecko siedziało na tylnym siedzeniu przypięte pasami). W badaniu neurologicznym nie stwierdzono odchyleń od stanu prawidłowego. W badaniu rtg bocznym kręgosłupa stwierdzono przesunięcie do przodu kręgu C2 względem C3 o 3 mm, znikające przy zdjęciu wykonanym w wyproście kręgosłupa. Powyższe:
Pytanie 44
Niemowlęta i małe dzieci po doznanym urazie kręgosłupa w odcinku szyjnym na czas transportu powinny być ułożone:
Pytanie 45
10-letni chłopiec był operowany z powodu guza komory IV mózgu. W wykonanym MR kontrolnym stwierdzono obecność pozostałości guza o średnicy 0,5 cm w obrębie otworu Luschki po stronie prawej, którego nie zauważono w trakcie operacji. Badanie histopatologiczne pozwoliło na rozpoznanie wyściółczaka anaplastycznego (WHO GIII). W takiej sytuacji postępowaniem z wyboru jest:
Pytanie 46
Wskazaniem do kalozotomii jako metody chirurgicznej leczenia padaczki lekoopornej jest/są w szczególności:
Pytanie 47
37-letni chory został przyjęty do szpitala po urazie głowy. Przy przyjęciu chory na stymulację bólową otwierał oczy, anizokoria P>L, bez reakcji słownej podczas badania, chory lokalizował bodziec bólowy prawą kończyną górną, w lewej kończynie reakcja obronna, kończyny dolne unieruchomione w opatrunkach z powodu złamań. Jak ocenisz tego pacjenta w skali Glasgow Coma Scale?
Pytanie 48
Najczęstszą przyczyną dolegliwości bólowych o charakterze neuralgii nerwu trójdzielnego jest konflikt z:
Pytanie 49
66-letni chory z naczyniakiem tętniczo-żylnym położonym w okolicy lewego wzgórza. Zmiana średnicy 3 cm w największym rozmiarze. Odpływ krwi wyłącznie do układu żył głębokich. Jak należy sklasyfikować ten naczyniak wg skali Spezlera-Martina?
Pytanie 50
Tętnica oponowa przednia zwykle jest gałęzią tętnicy:
Pytanie 51
Jądro ogoniaste tworzy:
Pytanie 52
Tętnica szyjna wewnętrzna przechodzi do wnętrza czaszki przez kanał utworzony przez kości:
Pytanie 53
Wskaż prawidłowe stwierdzenie dotyczące nadtwardówkowych ropni kanału kręgowego:
Pytanie 54
Wskaż prawdziwe stwierdzenie dotyczące zapotrzebowania energetycznego pacjentów po urazie głowy:
Pytanie 55
Wśród guzów położonych wewnątrzkomorowo najczęstszym jest:
Pytanie 56
Przestrzenie dostępu do zatoki jamistej, tzw. „trójkąty”, zostały opracowane przez następujących autorów, z wyjątkiem:
Pytanie 57
Wskaż fałszywe stwierdzenie dotyczące płynu mózgowo-rdzeniowego i jego krążenia:
Pytanie 58
Metodą z wyboru na współczesnym etapie wiedzy w leczeniu trigeminalgii jest:
Pytanie 59
U 24-letniego pacjenta z wieloletnią, lekooporną padaczką stwierdzono guz umiejscowiony powierzchownie w płacie skroniowym, wyraźnie odgraniczony od otoczenia, z torbielą i guzkiem przyściennym. Jakie rozpoznanie należy brać pod uwagę?
1) PXA (pleomorphic xanthoastrocytoma);
2) oligodendroglioma anaplasticum;
3) ganglioglioma;
4) astrocytoma fibrillare diffusum;
5) abscessus recens.
Prawidłowa odpowiedź to:
Pytanie 60
Wskaż fałszywe stwierdzenie dotyczące guzów germinalnych:
Pytanie 61
Która z zaznaczonych struktur wewnątrzczaszkowych widocznych na obrazie rezonansu magnetycznego należy pod podwzgórza?

Pytanie 62
Badając t. mózgu środkową metodą Dopplera u pacjenta ze skurczem tej tętnicy należy spodziewać się:
Pytanie 63
U 30-letniego chorego przyjmującego leki immunosupresyjne po przeszczepie nerki, wystąpił pierwszy w życiu napad padaczkowy. W rentgenowskiej tomografii komputerowej uwidoczniono regularną lekko hiperdensyjną masę zajmującą przednią część prawego płata czołowego (nie przekraczającą granic lobektomii), nie powodującą przemieszczenia linii środkowej. Po podaniu kontrastu nastąpiło jednolite, wyraźne wzmocnienie. Nie wykazano związku guza z oponą twardą. W badaniu MRI, na obrazach T1-zależnych guz miał podobną charakterystykę. Optymalne postępowanie terapeutyczne w tym przypadku to:
Pytanie 64
Urazowe uszkodzenie rdzenia kręgowego w odcinku szyjnym w następstwie złamania kręgosłupa z uciskiem rdzenia kręgowego od przodu i objawami porażenia ruchowego i czuciowego, które wystąpiło w wyniku skoku do wody przed trzema godzinami wymaga:
Pytanie 65
Przedstawione zdjęcia to MRI sekwencja T1 po podaniu kontrastu (Gadoliny) oraz późna faza żylna angiografii tętnicy kręgowej, fazy tętnicza i miąższowa zmian nie wykazały. Określ co przedstawiają zdjęcia i zaproponuj dalsze wskazania do postępowania z chorym badanym pierwotnie w MRI z powodu uporczywych napadowych bólów głowy z wymiotami:
1) obraz MRI i angiografii przedstawia typowy obraz naczyniaka jamistego móżdżku z towarzyszącą malformacją żylną o typie naczyniaka żylnego;
2) wskazane postępowanie objawowe z dalszą obserwacją;
3) wskazane jest leczenie operacyjne zmiany, gdyż rokuje to pełne wyleczenie;
4) leczenie chirurgiczne może prowadzić do rozległych zawałów typu żylnego i jest przeciwwskazane;
5) obraz MRI i angiografii przedstawia typowy obraz malformacji o typie naczyniaka żylnego.
Prawidłowa odpowiedź to:

Pytanie 66
Objawy kliniczne i neurofizjologiczne zespołu cieśni nadgarstka to:
Pytanie 67
Wskaż stwierdzenia zgodne z Histologiczną Klasyfikacją Nowotworów Ośrodkowego Układu Nerwowego Światowej Organizacji Zdrowia z 2000 roku:
1) do odmian rozlanego gwiaździaka zalicza się: gwiaździak włosowato-komórkowy, gwiaździak protoplazmatyczny i glejakomięsak;
2) jedynym wariantem wyściółczaka anaplastycznego (złośliwego) jest wyściółczak zarodkowy (ependymoblastoma);
3) do grupy nowotworów zarodkowych należą: nabłoniak rdzeniakowaty (medullo-epithelioma), rdzeniak (medulloblastoma, nerwiak zarodkowy (neuroblastoma), zarodczak (germinoma) i rak zarodkowy (carcinoma embryonale);
4) nowotwór noszący nazwę atypical teratoid/rhabdoid tumor (ATRT) należy do tej samej grupy guzów układu nerwowego co nowotwór dysembrioplastyczny neuroepitelialny (DNT) i cechuje się podobnym przebiegiem klinicznym;
5) nerwiak zarodkowy (neuroblastoma) należy obecnie do grupy złośliwych nowotworów osłonek nerwów obwodowych (MPNST).
Prawidłowa odpowiedź to:
Pytanie 68
Wskaż prawidłowe stwierdzenie dotyczące płynu mózgowo-rdzeniowego:
Pytanie 69
Które z wymienionych guzów neuroepithelialnych zwykle nie wymagają radioterapii pooperacyjnej?
1) PNET (primitive neuroectodermal tumor);
2) PXA (xanthoastrocytoma pleomorphicum);
3) DNT (dysembrioplastic neuroepithelial tumor);
4) astrocytoma fibrillare diffusum;
5) astrocytoma pilocyticum.
Prawidłowa odpowiedź to:
Pytanie 70
Jaki rodzaj dojścia operacyjnego winien być zastosowany w leczeniu chirurgicznym tzw. „dysków piersiowych”?
Pytanie 71
Wskaż najczęstszą lokalizację synovioma (synovial cysts):
1) odcinek szyjny kręgosłupa;
2) odcinek piersiowy kręgosłupa;
3) odcinek lędźwiowo-krzyżowy kręgosłupa;
4) połączenie czaszkowo-kręgosłupowe;
5) poziom C6/C7;
6) poziom L4/L5.
Prawidłowa odpowiedź to:
Pytanie 72
Wskaż prawdziwe stwierdzenie dotyczące ciśnieniowej autoregulacji krążenia mózgowego:
Pytanie 73
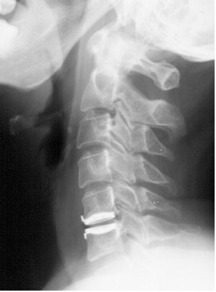
Korzyści płynące z dysksektomii wykonanej przy użyciu metody zilustrowanej poniższym pooperacyjnym bocznym radiogramem kręgosłupa szyjnego w stosunku do metod klasycznych sprowadzają się przede wszystkim do:

Pytanie 74
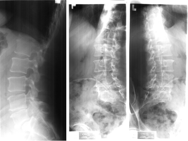
Przedstawione poniżej badania radiologiczne (rtg boczne i skośne kręgosłupa lędźwiowego) są wystarczające do rozpoznania:

Pytanie 75
10-letni chłopiec został hospitalizowany z powodu objawów nadciśnienia wewnątrzczaszkowego. Wykonane badanie MR uwidoczniło 3-komorowe wodogłowie z cechami nadciśnienia oraz wyraźne powiększenie wymiarów blaszki czworaczej śródmózgowia powodujące zwężenie wodociągu mózgu. Postępowaniem z wyboru u tego pacjenta jest:
Pytanie 76
Które z wymienionych cech są charakterystyczne dla zespołu Chiari II?
1) wydłużenie i przemieszczenie w dół pnia mózgu i migdałków móżdżku;
2) wysokie ustawienie namiotu móżdżku;
3) współistnienie przepukliny oponowo-rdzeniowej;
4) torbielowate poszerzenie komory IV;
5) obecność wodogłowia wewnętrznego.
Prawidłowa odpowiedź to:
Pytanie 77
Doktryna Monro-Kellie dotyczy:
Pytanie 78
Mechanizm antysyfonowy zapobiega:
Pytanie 79
Dla rozpoznania płynotoku nosowego w wydzielinie z nosa oznacza się:
Pytanie 80
Rdzeń kręgowy najczęściej kończy się na wysokości:
Pytanie 81
O rozpoznaniu przetoki szyjno-jamistej świadczy następujący objaw:
Pytanie 82
Najczęściej do operacji naczyniaka jamistego pnia mózgu kwalifikuje się chorych, u których wystąpiły objawy kliniczne choroby, a naczyniak jest zlokalizowany w:
Pytanie 83
Torbiel koloidowa komory III mózgu, która daje objawy kliniczne i przekracza średnicę 1 cm powinna być leczona chirurgicznie. Która z wymienionych metod jest najskuteczniejsza, tzn. w największym odsetku przypadków chroni pacjenta przed nawrotem choroby?
Pytanie 84
Które objawy kliniczne lub przebieg choroby nie są charakterystyczne dla torbieli koloidowej komory III mózgu?
Pytanie 85
Która z wymienionych lokalizacji oponiaka wewnątrzczaszkowego występuje najrzadziej?
Pytanie 86
Pacjent 45-letni z objawami krwotoku podpajęczynówkowego, który wystąpił przed 5 godzinami. Badanie KT wykazało obecność krwi w zbiornikach podstawy (zbiornik skrzyżowania i okalający). Badaniem DSA stwierdzono obecność workowatego tętniaka szczytu tętnicy podstawnej z szeroką szyjką obejmującą prawą tętnicę tylną mózgu. Jakie należy zastosować postępowanie zapobiegające nawrotowemu krwawieniu?
Pytanie 87
47-letni mężczyzna uległ wypadkowi motocyklowemu. Skarży się na ból szyi, a główną dolegliwością jest osłabienie obu kończyn górnych w zakresie nadgarstków i dłoni. Rtg kręgosłupa szyjnego nie wykazało złamań i przemieszczeń, natomiast uwidoczniło znaczną spondylozę z obecnością osteofitów ze zwężeniem otworów międzykręgowych na poziomach C3/C4, C4/C5, C5/C6. Jaki jest najbardziej prawdopodobny mechanizm urazu?
Pytanie 88
Kobieta lat 63 z wywiadem nieoperacyjnego raka sutka skierowana do oceny przyczyny podwójnego widzenia. Podwójne widzenie występuje najczęściej przy patrzeniu na odległe przedmioty i przy spoglądaniu w stronę lewą. Skarży się na silne bóle głowy i napadowy ból promieniujący w okolicę prawego mięśnia naramiennego. Badaniem neurologicznym stwierdzono niedowład nerwu odwodzącego oraz osłabienie odruchów ścięgnistych z mięśnia dwugłowego i trójgłowego ramienia. W badaniu MR głowy z kontrastem nie stwierdzono odchyleń. Jakie jest najbardziej prawdopodobne umiejscowienie przerzutu?
Pytanie 89
Wskaż prawdziwe stwierdzenie dotyczące objawowego skurczu naczyń mózgowych:
Pytanie 90
Encephalo-duro-arterio-synangiosis to chirurgiczna metoda leczenia:
Pytanie 91
Tętniaki której z niżej wymienionych lokalizacji mogą prowadzić do krwotoku śródkomorowego?
1) t. dolna tylna móżdżku; 3) t. łącząca tylna;
2) t. łącząca przednia; 4) t. środkowa mózgu.
Prawidłowa odpowiedź to:
Pytanie 92
U 4-letniego dziecka z postępującym osłabieniem wzroku na podstawie badań MRI rozpoznano glejak skrzyżowania nerwów wzrokowych. Proszę podać, jakie powinno być postępowanie lecznicze w tym przypadku:
Pytanie 93
Podczas operacji endoskopowych guzów komory bocznej mózgu niezwykle ważną jest dobra znajomość stosunków anatomicznych tej okolicy. Kierunek przebiegu splotu naczyniowego komory bocznej pozwala zlokalizować:
Pytanie 94
Czy udar niedokrwienny może być wskazaniem do leczenia operacyjnego?
Pytanie 95
Chromanie neurogenne różni się od chromania wazogennego tym, że:
Pytanie 96
Guzy germinalne mózgu u dzieci:
Pytanie 97
Zakrzepica zatok żylnych opony twardej nie jest spowodowana:
Pytanie 98
U kobiety w wieku 38 lat w następstwie dźwignięcia niewielkiego ciężaru wystąpił spastyczny niedowład kończyn dolnych. Badanie MRI wykazało patologiczne złamanie kręgu z uciskiem rdzenia kręgowego. Badanie PET wykazało zmiany w trzonach C7, L1 i S1 oraz w talerzu kości biodrowej. Biopsja wykazała, że mamy do czynienia z plasmocytoma multiplex. Jaka powinna być taktyka postępowania leczniczego w tym przypadku?
Pytanie 99
Guzy klepsydrowate (najczęściej nerwiaki), to guzy, które rozwijają się wewnątrz kanału kręgowego i poprzez otwór międzykręgowy wychodzą do przestrzeni przykręgosłupowej osiągając niekiedy duże rozmiary. Jaka powinna być taktyka postępowania leczniczego w przypadku takiego rodzaju guza w odcinku szyjnym kręgosłupa i rdzenia kręgowego?
Pytanie 100
Nowoczesnym sposobem leczenia złamań zęba kręgu obrotowego jest zespolenie śrubą Böhlera. Który z niżej wymienionych warunków musi być spełniony, aby ta technika operacyjna mogła być zastosowana?
Pytanie 101
Dla możliwości obiektywnego, a zarazem stosunkowo prostego i zwięzłego w swej treści określenia różnych stanów w neurochirurgii pozwalającego na łatwe komunikowanie się nie tylko wśród specjalistów, wprowadzono w neurochirurgii szereg skal zarówno oceny diagnostycznej jak i terapeutycznej. Wskaż, która z niżej wymienionych skal służy do funkcjonalnej i prognostycznej oceny stanu i jakości życia chorego:
Pytanie 102
Który z niżej wymienionych mechanizmów według najnowszych badań nad neuroregeneracją jest odpowiedzialny za brak funkcjonalnej regeneracji włókien nerwowych w centralnym układzie nerwowym?
Pytanie 103
Którzy z niżej wymienionych neurochirurgów byli pierwszymi współpracownikami twórcy polskiej neurochirurgii - Prof. Jerzego Choróbskiego?
Pytanie 104
Jakie dojście operacyjne wydaje się być najlepszym rozwiązaniem do guza o lokalizacji nadsiodłowej wrastającego do przedniej 1/3 części komory III?
Pytanie 105
Dostęp przez szczelinę móżdżkowo-rdzeniową (fissura cerebello-medullaris) ułatwia operacje w tylnej jamie czaszki guzów położonych w:
Pytanie 106
Odcinek P2p tętnicy mózgu tylnej przebiega w zbiorniku okalającym (cisterna ambiens) i rozciąga się od tylnego brzegu konara mózgu do położonych bocznie wzgórków śródmózgowia. Jaki dostęp chirurgiczny do tętniaków tego odcinka byłby najlepszy?
Pytanie 107
Zespół tętnicy naczyniówkowej przedniej obejmuje:
1) przeciwstronny niedowład połowiczy;
2) niedowidzenie połowicze przeciwstronne;
3) przeciwstronną połowiczą przeczulicę;
4) tożstronne niedowidzenie połowicze.
Prawidłowa odpowiedź to:
Pytanie 108
Zaburzenia rozwoju kory mózgowej są częstą przyczyną padaczki lekoopornej. Wskaż prawdziwe stwierdzenie na ich temat:
Pytanie 109
Przy wystąpieniu objawów zatoru powietrznego w czasie operacji należy zmienić pozycję pacjenta w następujący sposób:
Pytanie 110
Zakrzepica zatok opony twardej może występować u kobiet częściej w:
Pytanie 111
Początek rozwarstwienia ściany tętnicy szyjnej wewnętrznej w przypadkach poza urazami drążącymi znajduje się najczęściej:
Pytanie 112
Operacja przepukliny otwartej oponowo-rdzeniowej, rdzeniowej lub oponowej powinna być przeprowadzona we wczesnym okresie po porodzie, zwykle w ciągu pierwszych 48 godz. Jaka jest przyczyna przeprowadzania tych operacji tak szybko?
Pytanie 113
Jedną z grup nowotworów ośrodkowego układu nerwowego są przerzuty. U chorych w dobrym stanie, u których ognisko pierwotne nowotworu jest właściwie leczone onkologicznie a w badaniach obrazowych stwierdza się pojedynczy przerzut należy rozważyć możliwość leczenia neurochirurgicznego. Jakie lite guzy najczęściej dają przerzuty do mózgu?
Pytanie 114
Dziewczynka 12-letnia przyjęta została z powodu silnych bólów głowy, nudności oraz wymiotów. Badaniem neurologicznym dodatni objaw Parinaud. W badaniu MRI nowotwór okolicy szyszynki oraz aktywne wodogłowie trzykomorowe. Jakie postępowanie lecznicze należy w pierwszej kolejności zastosować?
Pytanie 115
W niektórych nowotworach ośrodkowego układu nerwowego występują zwapnienia. Zjawisko to było szczególnie istotne w okresie kiedy badaniem rutynowym nie było badanie KT czy NMR, gdyż pozwalało na wykrycie patologii już po wykonaniu zdjęć rtg czaszki. Obecnie stwierdzenie obecności zwapnień w badaniach obrazowych pozwala bardziej uściślić patologię wewnątrzczaszkową. W których nowotworach wewnątrzczaszkowych obserwuje się zwapnienia?
Pytanie 116
U 17-letniej pacjentki rozpoznano na podstawie badania MR torbielowato-lity guz prawej półkuli móżdżku. Uzyskany w trakcie operacji usunięcia guza materiał histologiczny pozwolił rozpoznać zarodkowego naczyniaka krwionośnego. Powyższe rozpoznanie histologiczne powinno stanowić wskazanie do pogłębienia diagnostyki w kierunku:
Pytanie 117
Bezpośrednio po urazie czaszkowo-mózgowym (GCS 12) u dziecka występuje obrzmienie mózgu. Prawidłowe leczenie to:
Pytanie 118
Torbiel pajęczynówki jest jedną z najczęściej rozpoznawanych patologii wewnątrzczaszkowych wieku dziecięcego (50-80 % torbieli pajęczynówki rozpoznaje się do 16. roku życia). Wskaż prawdziwe stwierdzenie dotyczące diagnostyki i leczenia torbieli pajęczynówki:
Pytanie 119
Obniżenie poziomu jonów wapnia we krwi przy prawidłowym poziomie wapnia całkowitego u chorego po ciężkim urazie czaszkowo-mózgowym może być skutkiem:
Pytanie 120



