Wyszukaj egzamin lub pytanie
Egzamin PES Neurochirurgia / wiosna 2010
120 pytań
Pytanie 1
Wytrzeszcz tętniący gałki ocznej nie jest spowodowany:
1) przetoką szyjno-jamistą; 4) craniostenozą (ścieśnieniem czaszki);
2) glejakiem nerwu wzrokowego; 5) defektem pourazowym stropu oczodołu.
3) guzem naczyniowym oczodołu;
Prawidłowa odpowiedź to:
Pytanie 2
Które z wymienionych schorzeń nie zaliczamy do fakomatoz?
Pytanie 3
Który z guzów kręgosłupa i rdzenia kręgowego może rozrastać się wewnątrz i zewnątrzoponowo powodując ucisk lub naciekanie otaczających struktur kręgosłupa?
Pytanie 4
Do pierwotnych guzów wewnątrzkomorowych nie należy:
Pytanie 5
Najczęstszą lokalizacją tętniaka tętnicy tylnej dolnej móżdżku /PICA/ jest odcinek:
Pytanie 6
Przed przystąpieniem do leczenia tętniaków wewnątrzczaszkowych nie krwawiących techniką embolizacji wewnątrznaczyniowej z możliwością implantacji stentów naczyniowych, wymagane jest:
Pytanie 7
Tętniak kompleksu t. łączącej przedniej /ACoA/ leczony techniką tradycyjną lub wewnątrznaczyniową, stanowi zagrożenie wystąpieniem powikłań związanych z:
Pytanie 8
Guz umiejscowiony w przedsionku komory bocznej najlepiej usuwać z dostępu:
1) przezmózgowego od strony płata ciemieniowego;
2) przezspoidłowego;
3) przez zakręt klinka;
4) wykorzystują technikę „key hole”;
5) przez mózgowo drogą kraniotomii potylicznej.
Prawidłowa odpowiedź to:
Pytanie 9
Torbiel koloidowa komory III mózgu powstaje z komórek parafizy wpuklających się w okresie ontogenezy do światła komory III. Jest zmianą łagodną wolno rosnącą. Jakie jest największe zagrożenie związane z jej obecnością?
Pytanie 10
Metoda leczenia przezzatokowego makrogruczolaka przysadki powodującego akromegalię przerastającego ponad siodło tureckie z całą symptomatologią objawów wzrokowych i hormonalnych, stwarza zagrożenie uszkodzenia:
Pytanie 11
Wyróżnia się trzy pęczki splotu ramiennego: boczny, przyśrodkowy i tylny. Nazwy pęczków pochodzą od ich ułożenia względem naczynia dookoła którego są położone. Jakie to naczynie?
Pytanie 12
Jakie najczęściej objawy obserwuje się w zespole żebra szyjnego?
Pytanie 13
Na wysokości których kręgów kończy się rdzeń kręgowy w warunkach anatomicznych u dorosłego człowieka?
Pytanie 14
Jakie zasadnicze tętnice rdzeniowe zaopatrują rdzeń kręgowy?
Pytanie 15
Uszkodzenie której części drogi wzrokowej powoduje ubytek w górnym kwadrancie pola widzenia?
Pytanie 16
Jakie badania należy wykonać u dziecka u którego podejrzewamy mikrocefalię?
Pytanie 17
Chłopiec w wieku szkolnym skarży się na występujące bóle głowy oraz odczuwaną polidypsję i poliurię. W badaniu neurologicznym stwierdza się niedowidzenie dwuskroniowe oraz zaczynający się obrzęk tarcz nerwów wzrokowych. Badania potwierdzają obecność moczówki prostej. W jakiej części mózgowia należy poszukiwać uszkodzenia?
Pytanie 18
Spośród wielu nowotworów występujących w tylnej jamie czaszki u dzieci jeden szczególny guz rokuje dobrze. Jaki to jest guz?
Pytanie 19
Co to jest rosnące złamanie czaszki?
Pytanie 20
W przypadku rozpoznania i leczenia rdzeniaka o złym rokowaniu może decydować:
1) częściowe usunięcie guza;
2) obecność komórek nowotworowych w płynie mózgowo-rdzeniowym;
3) obecność przerzutów w kanale kręgowym;
4) wiek chorego poniżej 4 lat.
Proszę podać które z wymienionych punktów mają zasadnicze znaczenie i wpływ na złe rokowanie:
Pytanie 21
Które nowotwory ośrodkowego układu nerwowego dają najczęściej przerzuty?
Pytanie 22
W której dekadzie życia najczęściej występuje wyściółczak?
Pytanie 23
Jakie nowotwory najczęściej umiejscawiają się w kącie mostowo-móżdżkowym?
Pytanie 24
Pozycja Concord to ułożenie pacjenta do operacji:
Pytanie 25
Zespół udaru łucznika zwany zespołem BHS może być leczony chirurgicznie przez:
Pytanie 26
Przy uszkodzeniu pourazowym niedrążącym, rozwarstwiającym tętnicę szyjną wewnętrzną, objawy kliniczne występują najczęściej:
Pytanie 27
Zakrzepica zatok opony twardej może być leczona chirurgicznie:
Pytanie 28
Krwawienie z przypadkowo zdiagnozowanych tętniaków występuje z ryzykiem:
Pytanie 29
Jaki mechanizm jest przyczyną zatoru powietrznego?
Pytanie 30
Profilaktyczny otwór trepanacyjny Fraziera to otwór:
Pytanie 31
Przetoki oponowe, zwane też oponowymi malformacjami tętniczo-żylnymi, dla zobrazowania wymagają:
Pytanie 32
Które, z podanych poniżej twierdzeń, dotyczących torbieli synowialnej, nie jest prawdziwe?
Pytanie 33
O różnicowaniu zespołu cieśni nadgarstka z uciskiem korzeni nerwowych w odcinku szyjnym kręgosłupa, decyduje:
Pytanie 34
Wskaż prawdziwe zdanie dotyczące unaczynienia tętniczego rdzenia kręgowego:
Pytanie 35
Wskaż prawidłową kolejność wykonywania zwiadowczych otworów trepanacyjnych:
1) okolica skroniowa po stronie poszerzonej źrenicy;
2) okolica ciemieniowa po stronie poszerzonej źrenicy;
3) okolicy czołowa po stronie poszerzonej źrenicy;
4) okolica skroniowa po stronie przeciwnej do poszerzenia źrenicy;
5) okolica potyliczna po stronie poszerzonej źrenicy.
Prawidłowa odpowiedź to:
Pytanie 36
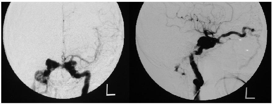
Przyporządkuj najczęstsze objawy do patologii przedstawionej na angiogramach lewej tętnicy szyjnej wewnętrznej:
1) wytrzeszcz tętniący; 4) sztywność karku;
2) ból zlokalizowany za gałkami ocznymi; 5) ophtamoplegia.
3) silny ból głowy;
Prawidłowa odpowiedź to:

Pytanie 37
Który z nerwów czaszkowych opuszcza mózgowie po stronie grzbietowej?
Pytanie 38
U pacjentów ze złamaniem podstawy czaszki może dojść do uszkodzenia następujących nerwów czaszkowych:
1) VII; 2) VIII; 3) II; 4) I; 5) VI.
Prawidłowa odpowiedź to:
Pytanie 39
50-letni mężczyzna został przyjęty do IP po epizodzie nagłego silnego bólu głowy, który wystąpił przed 6 godzinami. Przy przyjęciu GCS 14, Hunt-Hess 2. W wykonanym badaniu CT głowy uwidoczniono krwawienie podpajęczynówkowe (2st wg. Fisher). Wykonane badanie naczyniowe uwidoczniło tętniak w trifurkacji tętnicy środkowej mózgu po stronie prawej. Wybierz prawidłowe zdanie dotyczące leczenia pacjenta:
Pytanie 40
Wskaż prawdziwe zdania dotyczące wodogłowia występującego u pacjentów po przebytym krwawieniu podpajęczynówkowym:
1) jednym z mechanizmów powstawania wodogłowia pokrwotocznego jest zablokowanie przepływu płynu mózgowo rdzeniowego poprzez anatomiczne struktury układu komorowego;
2) wodogłowie pokrwotoczne występuje częściej w przypadku tętniaków zlokalizowanych na tętnicy podstawnej niż w przypadku tętniaków przedniej części koła tętniczego;
3) wodogłowie pokrwotoczne występuje na skutek zaburzeń wchłaniania płynu mózgowo-rdzeniowego w ziarnistościach pajęczynówki;
4) ponad połowa pacjentów z radiologicznie potwierdzonym wodogłowiem pokrwotocznym, bez towarzyszących zaburzeń świadomości wymaga implantacji zestawu zastawkowego;
5) wykonanie wentrykulostomii u pacjentów z niezabezpieczonym tętniakiem nie przyczynia się do zwiększenia częstości ponownego krwawienia.
Prawidłowa odpowiedź to:
Pytanie 41
Wskaż nieprawdziwe zdania dotyczące skurczu naczyniowego:
1) skurcz naczyniowy występuje na 30-70% angiogramów naczyń mózgowych wykonanych w pierwszym tygodniu po krwotoku podpajęczynówkowym;
2) palenie papierosów przez pacjenta nie zwiększa ryzyka wystąpienia skurczu naczyniowego;
3) występowanie skurczu naczyniowego w obrazie angiograficznym zawsze związane jest występowaniem objawów klinicznych;
4) częstość wysterowania zjawiska skurczu naczyniowego jest związana i ilością krwi wynaczynionej do przestrzeni płynowych;
5) skurcz naczyniowy zazwyczaj występuje po 3 dniu od krwotoku.
Prawidłowa odpowiedź to:
Pytanie 42
Chorego po krwawieniu podpajęczynówkowym z pękniętego tętniaka naczyń mózgowych zakwalifikujesz do leczenia wewnątrznaczyniowego przy użyciu spiral, jeżeli:
1) uwidoczniono tętniak o trudnym dostępie chirurgicznym;
2) pacjent ma więcej niż 75 lat;
3) uwidoczniono tętniak o wrzecionowatym kształcie;
4) uwidoczniono olbrzymi tętniak dostępny w metodzie chirurgicznej;
5) uwidoczniono mały tętniak z szeroką szyją.
Prawidłowa odpowiedź to:
Pytanie 43
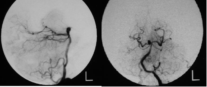
Wskaż prawdziwe twierdzenia dotyczące patologii znajdującej się na zdjęciach:
1) jest to najczęstsza lokalizacja tętniaków w tylnej części koła tętniczego;
2) na zdjęciach przedstawiono prawidłowy obraz naczyń mózgowych;
3) patologia przedstawiona na zdjęciach ze względu na swoje położenie nie może być leczona metodą wewnątrznaczyniową;
4) patologia przedstawiona na zdjęciach najczęściej manifestuje się poprzez krwawienie podpajeczynówkowe;
5) zdjęcia przedstawiają malformację tętniczo-żylną tylnej części koła tętniczego mózgu.
Prawidłowa odpowiedź to:

Pytanie 44
Wskaż nieprawdziwe zdania dotyczące nerwiaka osłonkowego:
1) jest to najczęstsza zmiana w obrębie kąta mostowo-móżdżkowego;
2) jest drugim pod względem częstości występowania wewnątrzczaszkowym pozaosiowym nowotworem u dorosłych;
3) w badaniu TK głowy z kontrastem nie ulega wzmocnieniu;
4) jest guzem dobrze unaczynionym;
5) większość nerwiaków wewnątrzczaszkowych wywodzi się z nerwu VII.
Prawidłowa odpowiedź to:
Pytanie 45
Wskaż prawdziwe twierdzenia dotyczące krwiaka nadtwardówkowego:
1) u leczonych chorych przeważnie jest złe rokowanie z wysoką > 50% śmiertelnością;
2) w przebiegu klinicznym u mniej niż 50% chorych występuję „przerwa jasna”;
3) krwiakom tym w większości przypadków towarzyszą złamania kości czaszki;
4) najczęstszą przyczyną są uszkodzenia naczyń żylnych;
5) krwiaki te często występują obustronnie.
Prawidłowa odpowiedź to:
Pytanie 46
Wzgórze unaczynione jest przez:
1) tętnicę naczyniówkową środkową tylną; 3) gałęzie tętnicy podstawnej;
2) tętnicę naczyniówkową przednią; 4) gałęzie tętnicy środkowej.
Prawidłowa odpowiedź to:
Pytanie 47
Najlepsze wyniki leczenia operacyjnego guzów pnia mózgu u dzieci, wg podziału Epsteina, to guzy grup:
Pytanie 48
8-miesięczny chłopczyk zaczął mieć przymusowe ustawianie głowy w prawo. Rozpoczęto rehabilitację, ale wykonano również badanie za pomocą CT głowy. Stwierdzono torbiel pajęczynówki, szczeliny Sylwiusza, typ I. Nie stwierdzono wskazań do leczenia operacyjnego. Kontynuowano rehabilitację, ale kręcz szyi nasilał się. Skierowany ponownie do diagnostyki neurologicznej. Badanie MRI mózgowia - poza torbielą pajęczynówki, bez zmian patologicznych.
Pytanie 49
Objawy wskazujące na guz tylnej jamy u dziecka, gwiaździak wieku dziecięcego w wieku 3-7 lat, to:
Pytanie 50
Guzy zarodkowe u dzieci:
Pytanie 51
Torbiel pajęczynówki jest jedną z najczęściej rozpoznawanych patologii wewnątrzczaszkowych wieku dziecięcego (50-80% torbieli pajęczynówki rozpoznaje się do 16 roku życia) Dla diagnostyki i leczenia torbieli pajęczynówki prawdziwe są:
Pytanie 52
W stwierdzonym krwawieniu dokomorowym u noworodka i z objawami nadciśnienia śródczaszkowego możliwe jest leczenie za pomocą:
Pytanie 53
Wskaż prawdziwe twierdzenie dotyczące krwawienia dokomorowego u noworodków:
Pytanie 54
Prawdziwe dla zagadnienia zaburzeń wzrostu i kształtu czaszki jest:
Pytanie 55
Wady wrodzone układu nerwowego powstałe w wyniku zaburzeń w zamykaniu się cewy nerwowej nazywa się wadami dysgraficznymi. Należą do nich:
Pytanie 56
Które z poniższych stwierdzeń dotyczących wodogłowia dorosłych jest nieprawdziwe?
Pytanie 57
Harvey Cushing jest znany jako „ojciec” i pionier neurochirurgii, jako oddzielnej dziedziny chirurgii. Poniżej podano (z jednym wyjątkiem) dziedziny neurochirugii, które zapoczątkował, lub w rozwój których wniósł zasadniczy, decydujący wkład. Które z niżej wymienionych osiągnięć nie było dziełem Cushinga?
Pytanie 58
Pracujący w pierwszych latach XX wieku we Wrocławiu Otfried Foerster może być uznany z pioniera neurochirurgii, na równych prawach ze współczesnym mu Harveyem Cushingiem. Poniżej podano (z jednym wyjątkiem) dziedziny neurochirugii, które zapoczątkował, lub w rozwój których wniósł zasadniczy, decydujący wkład. Które z niżej wymienionych osiągnięć nie było dziełem Foerstera?
Pytanie 59
Z perspektywy neurochirurgicznej oponiaki dzieli się na grupy, których wyróżnikiem jest lokalizacja. Oponiaki przyśrodkowej części skrzydła małego kości klinowej zostały wyróżnione jako osobna grupa, ponieważ stwarzają specyficzne problemy przy ich leczeniu operacyjnym. Które z poniższych stwierdzeń w sposób prawdziwy opisuje cechę tej grupy oponiaków, pozwalającą wyróżnić je spośród innych oponiaków okołosiodłowych?
Pytanie 60
Oponiaki przyśrodkowej części skrzydła małego kości klinowej stwarzają szczególne ryzyko operacyjne. Jest wiele możliwych dostępów, które mogą być zastosowane do ich usuwania. Jakie dojście chirurgiczne jest zalecane przez podręczniki neurochirurgii jako wystarczająco skuteczne i nie nadmiernie rozległe dla bezpiecznego usunięcia średniej wielkości oponiaka o tej lokalizacji, który nie wrasta do zatoki jamistej?
Pytanie 61
Do oceny doszczętności usunięcia oponiaków mózgu stosowana jest klasyfikacja wg czterostopniowej skali Simpsona. Stopień trzeci według tej skali oznacza:
Pytanie 62
„Klasycznym” (zaproponowanym jeszcze przez Tönnisa) dojściem operacyjnym, stosowanym do usuwania oponiaków rynienki węchowej jest rozległe, dwustronne dojście podczołowe, połączone z resekcją górnej części zatok czołowych, przecięciem sierpa i zatoki strzałkowej górnej oraz, niekiedy z resekcją fragmentu bieguna płata czołowego. Wraz z rozwojem chirurgii podstawy czaszki, mikrochirurgii oraz technik neuroobrazowania, pojawiły się propozycje innych, zarówno mniej jak i bardziej rozległych otwarć, stosowanych do usuwania tych guzów. Które z niżej wymienionych dojść operacyjnych nie znajduje zastosowania w chirurgii oponiaków o tej lokalizacji?
Pytanie 63
Spośród wielu możliwych dostępów operacyjnych do guzów okolicy szyszynki szerokie zastosowanie znajduje dostęp podnamiotowy nadmóżdżkowy. Które ze stwierdzeń dotyczących tego dostępu jest prawdziwe?
Pytanie 64
Jeżeli krwotok z tętniaka tętnicy środkowej mózgu spowodował krwiak śródmózgowy, wówczas klipsowanie tętniaka należy połączyć z usunięciem krwiaka. Jaką taktykę operacji należy przyjąć w tej sytuacji?
Pytanie 65
Większość tętniaków tętnicy środkowej mózgu zlokalizowanych jest w miejscu jej anatomicznego podziału na gałęzie główne. Miejsce podziału zazwyczaj położone jest przed progiem wyspy, a gałęzie tętnicy tuż za miejscem podziału odchylają się otaczając „limen insulae”. Długość odcinka M1 u osoby dorosłej wynosi przeciętnie 25 mm. Zdarza się jednak, że widzimy tętniak w miejscu "podziału" tętnicy środkowej mózgu, które jest oddalone o 1-1.5 cm od jej odejścia od tętnicy szyjnej wewnętrznej. Mówimy wówczas o tzw. "wczesnym rozgałęzieniu" tętnicy środkowej mózgu. Z jakim niebezpieczeństwem musimy liczyć się przy operacyjnym klipsowaniu takiego tętniaka?
Pytanie 66
Najszersze zastosowanie przy usuwaniu zmian z trzeciej komory znajduje dostęp przez spoidło wielkie. Po przecięciu spoidła znajdujemy się w komorze bocznej, skąd możliwe jest wejście do komory III. Która z poniższych dróg wejścia do komory III nie jest godna polecenia i stosowania?
Pytanie 67
Utrzymujące się przez czas dłuższy, oporne na leczenie ciśnienie wewnątrzczaszkowe wyższe niż 20 mm Hg zwiastuje jednoznacznie złe rokowanie u chorych po urazie głowy. Stąd ostatnio notuje się powrót do idei kraniotomii odbarczającej, pomimo szeregu zastrzeżeń i powikłań, związanych z tą metodą. Które z poniższych stwierdzeń dotyczących tej metody jest prawdziwe?
Pytanie 68
Ostra hiponatremia występuje wg. niektórych doniesień nawet u 8% chorych po ciężkim i umiarkowanym urazie czaszkowo-mózgowym. Może być przyczyną pogarszania się stanu pacjenta, a nawet przyczynić się do zejścia śmiertelnego. Które z niżej wymienionych powikłań i objawów nie jest powodowane przez hiponatremię?
Pytanie 69
Torbiel koloidowa stanowi patologię związaną:
Pytanie 70
Zespół objawów klinicznych składający się na Zespół Fostera-Kennedy’ego to:
Pytanie 71
Który z objawów triady Hakima ustępuje najczęściej po wszczepieniu zastawki u pacjentów z wodogłowiem normotensyjnym?
Pytanie 72
W którym ze zbiorników płynu mózgowo-rdzeniowego można znaleźć nerw bloczkowy?
Pytanie 73
Niedokrwienie mózgu zaczyna się od spadku mózgowego ciśnienia perfuzyjnego (CPP) poniżej:
Pytanie 74
Który z wymienionych poniżej guzów wychodzących z siodła tureckiego występuje najczęściej po naświetlaniu guzów przysadki?
Pytanie 75
Syringomielia współistnieje najczęściej z jedną z niżej wymienionych chorób:
Pytanie 76
Wskaż prawidłową odpowiedź odnoszącą się do symptomatologii oponiaków przedniej 1/3 zatoki strzałkowej:
Pytanie 77
Zakotwiczenie rdzenia:
Pytanie 78
Spośród niżej wymienionych rzadko spotykanych powikłań leczenia operacyjnego dyskopatii lędźwiowej, najczęściej można spotkać:
Pytanie 79
W przypadku braku poprawy po leczeniu farmakologicznym u chorego z samoistnym drżeniem najskuteczniejszym sposobem uwolnienia chorego od objawów choroby jest:
Pytanie 80
Jakie komórki są odpowiedzialne za mielinizację włókien nerwowych w centralnym układzie nerwowym?
Pytanie 81
Które z niżej przedstawionych warunków muszą być spełnione, aby można było zakwalifikować chorego z urazowym złamaniem zęba kręgu obrotowego do stabilizacji z użyciem śruby Boehlera?
Pytanie 82
U młodego człowieka skarżącego się na bóle głowy po urazie głowy badaniem MR stwierdzono jedynie mikroguczolaka przysadki. Jakie postępowanie należy podjąć w takim przypadku?
Pytanie 83
W czasie leczenia lekami osmotycznie czynnymi poziom ciśnienia osmotycznego nie może przekraczać wartości:
Pytanie 84
Z pnia mózgu krew żylna jest odprowadzana poprzez połączenia z:
1) zatoką poprzeczną; 3) żyłami podstawnymi;
2) zatoką skalistą górną; 4) żyłą wielką mózgu.
Prawidłowa odpowiedź to:
Pytanie 85
W złamaniach kręgu C1, w ocenie stabilności złamania użyteczna jest reguła Spence’a mówiąca o sumie ześlizgu mas bocznych kręgów C1 i C2. Od jakiej wartości sumy ześlizgu można mówić o złamaniu niestabilnym?
Pytanie 86
Skala Fishera określa dystrybucję i ilość wynaczynionej po krwotoku podpajęczynówkowym krwi na podstawie obrazowania tomografii komputerowej. Podaj, który z niżej przedstawionych stopni tej skali jest związany z największym ryzykiem powstania skurczu naczyniowego w obrębie tętnic mózgu po krwotoku z pękniętego tętniaka?
Pytanie 87
Chłopiec lat 11 stracił przytomność na 5 minut po uderzeniu piłką w głowę. Następnie pobiegł do domu skarżąc się na ból głowy. Trzy godziny później został przyjęty do szpitala gdzie stwierdzono znaczną senność, opadanie prawej powieki i leniwą reakcje źrenicy na światło. Prawa źrenica była szersza od lewej o około 2 mm oraz stwierdzano lewostronny niedowład. Jaki typ uszkodzenia i miejsce jego lokalizacji spowodował powyższe objawy?
Pytanie 88
Pacjent, u którego postępuje osłabienie ostrości wzroku skarży się na nadmierne pragnienie i wypija duże ilości płynów; najbardziej prawdopodobną przyczyną tych objawów jest uszkodzenie:
Pytanie 89
Które z określeń bariery krew-mózg jest prawidłowe?
Pytanie 90
Prawidłowo wykonane badanie rezonansu magnetycznego z kontrastem u chorego z gruczolakiem przysadki wykazuje:
Pytanie 91
Które z poniższych wskazań do przezskórnej wertebroplastyki są nieprawdziwe?
1) bolesne osteoporotyczne złamania z wyraźnym obniżeniem wysokości trzonu;
2) bezobjawowe naczyniaki trzonu;
3) prawie całkowite zniesienie wysokości trzonu;
4) objawowe przerzuty osteolityczne;
5) patologiczne złamania przerzutowe trzonu.
Prawidłowa odpowiedź to:
Pytanie 92
Które z niżej wymienionych naczyń jest najczęstszą przyczyną konfliktu naczyniowo-nerwowego w przypadku neuralgii n. twarzowego?
Pytanie 93
Najczęstszymi zmianami mózgowia o obrączkowatym wzmocnieniu w obrazie TK i MRI są:
Pytanie 94
W zespołach cieśni zaburzenie czynności nerwów i naczyń, jest zazwyczaj związane z następującymi mechanizmami, z wyjątkiem:
Pytanie 95
Krwiak podtwardówowy przewlekły m.in. powiększa swoją objętość poprzez wzrost patologicznych naczyń z następowym ich pękaniem i krwawieniem. Z tego powodu krwiaki o dłuższym przedziale czasowym mają strukturę „cebuli”. Badania wykazały że naczynia te powstają od:
Pytanie 96
Wszystkie poniższe stwierdzenia dotyczące zespołu Hornera są prawdziwe, z wyjątkiem:
Pytanie 97
Penumbra to:
Pytanie 98
Jakie objawy uszkodzenia mózgu można stwierdzić u chorego z AIDS?
Pytanie 99
Przyjmuje się, że kręgosłup piersiowy jest zbudowany z trzech kolumn:
Pytanie 100
Samoistny ropień nadtwardówkowy w obrębie czaszki:
Pytanie 101
Wskaż prawdziwe twierdzenia dotyczące zniekształceń jamistych (cavernous malformations, CVM, cavernomas):
1) badaniem dobrze uwidoczniającym CVM jest angiografia z późnymi fazami żylnymi;
2) uwidocznienie w badaniach radiologicznych zwapnień w CVM jest czynnikiem rokowniczym;
3) CVM są najczęściej występującym zniekształceniem naczyniowym u człowieka;
4) historia naturalna CVM jest często niekorzystna dla pacjenta - ryzyko poważnego krwawienia sięga 30% w ciągu 5 lat i dlatego, jeśli to tylko możliwe, nawet przypadkowo wykryte CVM powinny być profilaktycznie usuwane.
Prawidłowa odpowiedź to:
Pytanie 102
Większość tętniaków tętnicy środkowej mózgu jest zlokalizowana:
Pytanie 103
Wskaż prawdziwe zdania dotyczące zniekształceń tętniczo-żylnych mózgu (arteriovenous malformations, AVMs):
1) pierwszym objawem obecności AVM może być, w kolejności częstości występowania: napad padaczkowy, krwawienie, bóle głowy niezwiązane z krwawieniem, postępujący deficyt neurologiczny spowodowany niedokrwieniem i niewydolność krążenia pochodzenia sercowego;
2) najczęstszym rodzajem krwawienia z AVM jest krwawienie podpajęczynówkowe;
3) śmiertelność w krwawieniu z AVM jest podobna jak w krwawieniu z tętniaka wewnątrzczaszkowego;
4) istnieją silne dowody, iż częstość krwawienia z AVM jest wprost proporcjonalna do jego wielkości.
Prawidłowa odpowiedź to:
Pytanie 104
Tętnica naczyniówkowa przednia:
Pytanie 105
Podstawowym badaniem w diagnostyce krwotoku podpajęczynówkowego jest:
Pytanie 106
Wzrastająca liczba chorych po operacjach wypadnięcia jądra miażdżystego odcinka lędźwiowego wykazała istotny odsetek chorych z tzw. nawrotowym zespołem bólowym. Najczęstszą przyczyną powstania tego zespołu po zabiegu operacyjnym jest:
Pytanie 107
Większości procesów nowotworowych mózgu towarzyszy obrzęk istoty białej. Proszę podać, z jakim rodzajem obrzęku mamy do czynienia i jaki rodzaj terapii farmakologicznej jest w takich przypadkach zalecany (nie dotyczy to skrajnie ciężkich przypadków wzmożonego ciśnienia wewnątrzczaszkowego):
Pytanie 108
Krwotok podpajęczynówkowy może być spowodowany wieloma patologiami występującymi u chorego. Najczęstsza przyczyna krwotoku podpajęczynówkowego jest inna u wcześniaków, inna u dzieci oraz inna u dorosłych. Jeżeli do szpitala przyjęty jest chory w wieku 12 lat z krwotokiem podpajęczynówkowym to jaką przyczynę krwotoku należy podejrzewać w pierwszej kolejności:
Pytanie 109
Rejestracja ruchowych potencjałów wywołanych (MEP) znajduje coraz szersze zastosowanie do monitorowania podczas operacji neurochirurgicznych. Które ze stwierdzeń dotyczących monitorowania MEP jest prawdziwe?
Pytanie 110
Pomimo postępu neurochirurgii, onkologii i radioterapii nadal nie osiągnięto przełomu w leczeniu glejaka wielopostaciowego (glioblastoma multiformae). Jednak ostatnio udało się zwiększyć stopień przeżycia okresu 24 miesięcy z 10% do 27% pacjentów przy skojarzeniu radioterapii ze specyficzną chemioterapią. Tym środkiem chemioterapeutycznym jest:
Pytanie 111
Traktografia jest jedną z nowych metod obrazowania, dzięki której możemy wyznaczyć lokalizację określonych włókien nerwowych (n.p. drogi piramidowej) w istocie białej mózgu. Metodologia tego badania opiera się na:
Pytanie 112
Które ze stwierdzeń dotyczących leczenia hemangioblastoma jest prawdziwe?
Pytanie 113
Powikłaniem leczenia operacyjnego guzów układu komorowego mózgu może być:
Pytanie 114
Który z guzów rozrastających się w tylnym dole czaszki zawiera komórkowe ziarnistości sekrecyjne produkujące katecholaminy?
Pytanie 115
W przebiegu osłoniaka nerwu przedsionkowego występują charakterystyczne objawy audiologiczne. Które z poniższych badań audiologicznych najbardziej sugeruje obecność uszkodzenia w przebiegu osłoniaka?
Pytanie 116
Radykalność usunięcia oponiaka oceniamy na podstawie skal:
Pytanie 117
Zaburzenia smaku 2/3 przedniej części języka związane jest z uszkodzeniem:
Pytanie 118
Najczęstszym nowotworem pierwotnym tylnego dołu czaszki u dorosłych jest:
Pytanie 119
Pterion jest uformowany przez wszystkie wymienione kości czaszki, z wyjątkiem kości:
Pytanie 120



