Wyszukaj egzamin lub pytanie
Egzamin PES Neurochirurgia / wiosna 2005
120 pytań
Pytanie 1
Czteroletni chłopiec przywieziony przez rodziców do szpitala z powodu bólów głowy występujących od 2 tygodni i wymiotów. Przed tygodniem dziecko było konsultowane z powodu podobnych skarg i z podejrzeniem infekcji wirusowej przewodu pokarmowego wysłane do domu. Obecna ocena stanu dziecka wykazała znaczne jego odwodnienie, suche usta i zapadnięte gałki oczne. Na dnie oczu stwierdzono obustronną tarczę zastoinową i obecność oczopląsu. Badanie TRM z kontrastem wykazało obecność 2 cm tworu całkowicie wypełniający światło komory IV mózgu, wpuklającego się do robaka móżdżku i ulegającemu jednorodnemu wzmocnieniu kontrastowemu. Komora III i boczne umiarkowanie wodogłowiowo poszerzone. Jakie najbardziej prawdopodobne rozpoznanie można postawić?
Pytanie 2
Kobieta lat 27 z narastającymi bólami głowy od 0,5 roku i zaburzeniami widzenia w postaci zaburzenia ostrości obrazu. Od m-ca wymioty towarzyszące bólom głowy. W badaniu neurologicznym zatarcie granic tarcz nn. wzrokowych, wzmożenie odruchów ścięgnistych i dyskretne osłabienie siły mięśniowej po stronie prawej. Badanie TRM wykazało obecność guza wypełniającego światło komory bocznej lewej w obrębie trzonu komory i w trójkącie komorowym z znacznym poszerzeniem komory bocznej prawej. Jaki jest najkorzystniejszy dostęp operacyjny?
Pytanie 3
Mężczyzna lat 22 hospitalizowany i leczony przez neurologów z powodu dużych napadów padaczkowych oraz zaburzeń intelektualnych - IQ 80. W różnych okolicach ciała, a szczególnie na szyi i klatce piersiowej zaobserwowano guzki o różowawym zabarwieniu W wykonanym badaniu TK stwierdzono umiarkowane objawy ciasnoty wewnątrzczaszkowej z obecnością asymetrycznego wodogłowia i obecnością mnogich guzków umiejscowionych podkorowo, podwyściółkowo i w okolicy otworu Monroa. Na podstawie powyższych objawów i badania obrazowego TK jakie należy postawić rozpoznanie?
Pytanie 4
Mężczyzna po operacji gwiaździaka włoskowatego komory III mózgu manifestuje objawy moczówki prostej. Czy powyższy objaw zaburzeń hormonalnych jest związany z niedoborem:
Pytanie 5
Mężczyzna lat 64 demonstrujący bóle głowy i osłabienie lewej kończyny górnej. Badanie TRM z kontrastem sugeruje, że jest to nowotwór złośliwy o typie glejaka wielopostaciowego. Co przemawia za tym podejrzeniem?
Pytanie 6
Mężczyzna 33 letni po wypadku samochodowym skarży się na silny ból pleców oraz niemożność poruszania kończynami dolnymi. Badanie neurologiczne wykazuje wiotki niedowład kończyn dolnych z zaburzeniami czucia poniżej dermatomu L3. Zaleganie moczu w pęcherzu powyżej 700 ml. Radiogram wykazuje kompresyjne złamanie trzonu L3. TK na tym poziomie wykazuje wybuchowe złamanie trzonu kręgu L3 z wolnymi odłamami zajmującymi 80% światła kanału kręgowego. Co jest powodem niedowładu kończyn dolnych?
Pytanie 7
Ryzyko powstania ropnego nieswoistego zapalenia kręgu i ropniaka nadtwardówkowego kanału kręgowego związane jest głównie z wiekiem chorego. Szczyt częstości występowania tej patologii przypada na 6. i 7. dekadę życia, natomiast pojawia się ona niezwykle rzadko u ludzi młodych. Wskaż, które z wymienionych czynników ryzyka związane są z występowaniem ropnych zapaleń struktur kostnych kręgów i ropniaków nadtwardówkowych u ludzi młodych:
1) częste urazy sportowe;
2) narkomania (stosowanie nie jałowych igieł i strzykawek);
3) kontakt z chorobami zakaźnymi wieku dziecięcego;
4) wywiad chorobowy wskazujący na możliwość obniżenia mechanizmów odpornościowych, w tym: cukrzyca, przewlekła terapia kortykosteroidami, chemioterapia, niedożywienie, choroby układu immunologicznego;
5) częste ropne zapalenia gardła.
Prawidłowa odpowiedź to:
Pytanie 8
Które z poniżej podanych ropnych nieswoistych zapaleń struktur kręgosłupa mogą być leczone zachowawczo przy pomocy celowanej antybiotykoterapii?
1) zapalenie krążka międzykręgowego bez zmian o typie osteomyelitis w przylegających trzonach kręgów i objawów ucisku struktur nerwowych;
2) osteomyelitis kręgu z objawami niestabilności strukturalnej;
3) nadtwardówkowy ropniak w odcinku lędźwiowym bez objawów dysfunkcji stożka rdzeniowego i ogona końskiego;
4) nadtwardówkowy ropniak w odcinku piersiowym i szyjnym;
5) wszystkie ropne procesy zapalne kręgosłupa prowadzą do niestabilności i w efekcie do ucisku struktur nerwowych, dlatego wymagają zawsze leczenia chirurgicznego, czasami w trybie odroczonym.
Prawidłowa odpowiedź to:
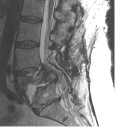
Pytanie 9
Przedstawione poniżej profilowe badanie dolnego odcinka kręgosłupa MRI (T1) dotyczy chorej leczonej uprzednio z powodu objawowego ostrego ropniaka nadtwardówkowego za pomocą laminektomii L5-S1. Zachowawcze leczenie antybiotykoterapią celowaną nie doprowadziło do ustąpienia procesu ropnego trzonów L5-S1 prowadząc do ich znaczącej destrukcji. Klinicznie zespół bólowy oraz objawy neurologiczne dysfunkcji ogona końskiego. Podaj jakie jest optymalne postępowanie chirurgiczne na tym etapie leczenia?
1) ortoza zewnętrzna i kontynuowanie celowanego leczenia zachowawczego;
2) szerokie odbarczenie tylne i tylna stabilizacja przy pomocy przeszczepów kostnych;
3) usunięcie resztek trzonów, stabilizacja przednia przy pomocy implantu koszyka i własnego, uszypułowanego przeszczepu kostnego;
4) wyłącznie celowana antybiotykoterapia, drenaż przepływowy i unieruchomienie;
5) wielopoziomowa instrumentalna stabilizacja tylna z przeszczepem kostnym.

Pytanie 10
Wskazania do leczenia przypadkowo rozpoznanych, bezobjawowych tętniaków wewnątrzczaszkowych opierają się na określeniu ryzyka krwawienia związanego z wieloma czynnikami. Jednym z głównych jest rozmiar worka tętniaka. Wskaż, które z cech przemawiają za podjęciem agresywnej terapii tętniaka asymptomatycznego:
1) pojedynczy tętniak o wymiarze worka poniżej 10 mm w obrębie przedniej części koła tętniczego u mężczyzny bez nałogów, w wieku powyżej 50 lat;
2) wszystkie tzw. tętniaki sporadyczne wymagają leczenia poprzez wyłączenie z krążenia mózgowego;
3) tętniak o rozmiarze poniżej 10 mm wykryty przypadkowo u chorego operowanego uprzednio z powodu krwawiącego tętniaka wewnątrzczaszkowego o innej lokalizacji;
4) tętniak o rozmiarze worka > 10 mm w obrębie tylnej części koła tętniczego;
5) tętniak o wymiarze poniżej 10 mm o nieregularnym kształcie podwójnego worka tzw. „kopuła córka”.
Prawidłowa odpowiedź to:
Pytanie 11
Kraniosynostoza tzw. postać nonsyndromic, nie związana z zespołami wad rozwojowych czaszki prowadzącymi do ścieśnienia, ma charakterystyczne cechy odróżniające ją od prawdziwej kraniostenozy. Wskaż cechy charakterystyczne tej postaci:
1) dotyczy zwykle pojedynczego szwu i prowadzi do charakterystycznego zniekształcenia czaszki zależnego od zajętego szwu;
2) w 40-60 % dotyczy pojedynczego szwu strzałkowego, zwanego - długogłowie, scaphocephalia, czaszka łódkowata;
3) zarośnięcie jednostronne szwu wieńcowego prowadzi do powstania czaszki wieżowatej;
4) postać nonosyndromic - zarośnięcia przedwczesnego poj. szwu najczęściej współistnieje ze znaczącym opóźnieniem rozwoju psychoruchowego;
5) przedwczesne zarośnięcie obustronne szwu wieńcowego prowadzi do powstania krótkogłowia.
Prawidłowa odpowiedź to:
Pytanie 12
Powoli narastające zaburzenia ostrości wzroku i pola widzenia, niskorosłość oraz widoczne liczne plamy na skórze typu „kawy z mlekiem” występujące u dziecka 5-letniego nasuwają podejrzenie:
Pytanie 13
U dziecka operowanego w okresie noworodkowym z powodu meningocele, a następnie leczonego zastawką komorowo-otrzewnową, obserwuje się bezobjawową malformację o typie Chiari II. Kontrolne badania MRI w 7 roku obserwacji wskazują na pojawienie się poszerzonego kanału centralnego rdzenia w odcinku szyjnym, rozszerzenie badania na dolne odcinki rdzenia nie wykazuje jamistości ani zmian o typie zakotwiczenia stożka rdzeniowego. Zaproponuj optymalne postępowanie:
1) obserwacja MRI - badania rdzenia kręgowego 1 raz w roku;
2) kontrola drożności układu zastawkowego (palpacyjna lub przepływowa np. shuntografia);
3) laminektokia szyjna z implantacją połączenia jamy z otrzewną (syringo-pleural);
4) w przypadku dysfunkcji zastawki - udrożnienie lub wymiana układu;
5) ograniczona kraniektomia podpotyliczna + laminektomia C1 - C2.
Prawidłowa odpowiedź to:
Pytanie 14
Poniżej przedstawiono obraz CT w przekroju strzałkowym oraz aksjalny odcinka lędźwiowego kręgosłupa z widocznym złamaniem „wybuchowym” trzonu L4, przemieszczeniem fragmentu kostnego w obręb kanału kręgowego (strzałka),z uciskiem worka oponowego i korzeni ogona końskiego. Wskaż właściwe zasady leczenia tego typu urazu w zależności od prezentowanych przez pacjenta objawów uszkodzeń neurologicznych:
1) jedynym leczeniem z wyboru, jeżeli obserwujemy częściowe uszkodzenie funkcji neurologicznych jest rozpoczęcie wlewu metylprednizolonu do 8 godz. od urazu, leczenie operacyjne odroczone;
2) interwencja chirurgiczna polegająca na dekompresji i stabilizacji powinna być wykonana w trybie pilnym jeśli obserwowany zespół ogona końskiego ma charakter dynamicznie narastającego uszkodzenia częściowego;
3) rozpoznanie tego typu zmian pourazowych nie wymaga podjęcia wczesnego leczenia, wskazane jest jedynie postępowanie zachowawcze stabilizujące ogólny stan chorego, a wszelkie działania chirurgiczne mogą być odroczone;
4) w przypadku uszkodzenia całkowitego leczenie operacyjne do 24 godz., celem jest skrócenie czasu hospitalizacji, ułatwienie rehabilitacji, poprawa stabilności kręgosłupa i zapobieganie deformacjom;
5) interwencja chirurgiczna polegająca na dekompresji i stabilizacji powinna być wykonana do 3 dni następujących po urazie jeśli obserwowany zespół ogona końskiego ma charakter uszkodzenia częściowego i jest stabilny.

Pytanie 15
Najskuteczniejsze (zabezpieczenie przed wystąpieniem ponownego krwotoku) leczenie małych naczyniaków tętniczo-żylnych mózgu (AVM) o średnicy do 3 cm, które były przyczyna krwawienia to terapia:
Pytanie 16
Skuteczność leczenia radiochirurgicznego (procent obliteracji) naczyniaków tętniczo-żylnych mózgu (AVM) w głównej mierze zależy od następujących czynników:
Pytanie 17
Najcięższe i najczęstsze powikłania po operacjach guza pnia mózgu z dostępu przez dno komory IV mózgu związane są z uszkodzeniem:
Pytanie 18
Przed wykonaniem nacięcia dołu równoległobocznego dla usunięcia guza pnia mózgu konieczne jest określenie poprzez stymulację położenia jąder ruchowych nerwów czaszkowych. Które z tych jąder są w sposób nieinwazyjny dostępne badaniu?
Pytanie 19
Które z wymienionych cech charakterystycznych są znamienne dla śródczaszkowej torbieli naskórkowej (cystis epidermalis)?
Pytanie 20
Torbiel naskórkowa (cystis epidermalis) najczęściej w jamie czaszki zlokalizowana jest w:
Pytanie 21
Produkcja płynu mózgowo-rdzeniowego:
Pytanie 22
Główne miejsce wchłaniania płynu mózgowo-rdzeniowego:
Pytanie 23
Ile wynosi średni mózgowy przepływ krwi (ml/100g tkanki/min)?
Pytanie 24
Wszystkie poniższe stwierdzenia dotyczące guzów miąższowych szyszynki są prawdziwe, z wyjątkiem:
Pytanie 25
Wady naczyniowe nieme angiograficzne:
Pytanie 26
Tętniaki tętnicy ocznej:
Pytanie 27
Wszystkie poniższe stwierdzenia dotyczące konfliktu naczyniowo-nerwowego są prawdziwe, z wyjątkiem:
Pytanie 28
Najczęstszymi objawami ocznymi w przetoce szyjno-jamistej są wszystkie wymienione, z wyjątkiem:
Pytanie 29
Tętniaki kompleksu tętnicy przedniej najczęściej tworzą się:
Pytanie 30
Oponiaki:
Pytanie 31
Test Allcocka to:
Pytanie 32
Uraz głowy:
Pytanie 33
Wszystkie poniższe stwierdzenia dotyczące fal B obserwowanych w dobowym zapisie ciśnienia śródczaszkowego (ICP) są prawdziwe, z wyjątkiem:
Pytanie 34
Przy guzach kąta mostowo móżdżkowego (nerwiakach n.VIII) nerw twarzowy po wyjściu z pnia mózgu przebiega najczęściej:
Pytanie 35
W przewodzie słuchowym wewnętrznym znajdują się następujące nerwy, z wyjątkiem nerwu:
Pytanie 36
Wszystkie poniższe stwierdzenia dotyczące naczyniaków jamistych są prawdziwe, z wyjątkiem:
Pytanie 37
Wszystkie poniższe stwierdzenia dotyczące naczyniaków tętniczo-żylnych są prawdziwe, z wyjątkiem:
Pytanie 38
Ryzyko szkody popromiennej w wyniku leczenia napromienianiem guzów mózgu wzrasta istotnie przy przekroczeniu dawki:
Pytanie 39
Ryzyko krwotoku z tętniaka „niemego” wynosi rocznie:
Pytanie 40
Skala Hunta i Hessa służy do:
Pytanie 41
Które z poniższych stwierdzeń jest fałszywe w odniesieniu to koncepcji kręgosłupa wg Dennis’a?
Pytanie 42
Widoczne na schemacie złamanie pourazowe jest wg koncepcji Denisa jest złamaniem:

Pytanie 43
Schemat przedstawia trzy różne typy złamań kręgu obrotowego. Literami A, B i C są oznaczone linie tych złamań. Zaznacz odpowiedź, która prawidłowo wymienia sposób leczenia tych złamań:

Pytanie 44
Wg Denis’a niestabilne są złamania:
Pytanie 45
Widoczne na schemacie złamanie odcinka piersiowo-lędźwiowego kręgosłupa wymaga:

Pytanie 46
Wszelkie określenia dotyczące tętniaków śródczaszkowych są prawdziwe, z wyjątkiem:
Pytanie 47
Syringomielia współistnieje najczęściej z:
Pytanie 48
Wszystkie poniższe określenia dotyczące neuralgii n. trójdzielnego są prawdziwe, z wyjątkiem:
Pytanie 49
Ścianę boczną oczodołu stanowi w większości:
Pytanie 50
Regeneracja włókien nerwowych u człowieka przebiega z prędkością:
Pytanie 51
Produkcję płynu mózgowo-rdzeniowego (PMR) u człowieka w warunkach fizjologii i patologii najlepiej charakteryzuje stwierdzenie:
Pytanie 52
Zaburzenia smaku 2/3 przedniej części języka związane jest z uszkodzeniem:
Pytanie 53
Podane poniżej określenia dotyczące malformacji są prawdziwe, z wyjątkiem:
Pytanie 54
65-letni pacjent z 6-letnim wywiadem chorobowym, z narastającą sztywnością spowolnieniem i drżeniem kończyn, z malejącą reakcją na preparaty L-DOPY i agonistów receptorów dopaminergicznych. W obrazie klinicznym obecnie dominują: sztywność i bradykineza kończyn lewych, śladowe drżenie kończyn górnych, dyskinezy lewej stopy i podudzia lewego. W badaniach dodatkowych
i obrazowych oraz psychologicznych bez odchyleń od stanu prawidłowego. Najbardziej prawidłowym postępowaniem operacyjnym w opisanym przypadku spośród wymienionych zabiegów stereotaktycznych jest wykonanie:
Pytanie 55
25-letnia pacjentka, w stanie ogólnym dobrym, samodzielna, 6 miesięcy po ciężkim urazie czaszkowo-mózgowym, z trwałym uszkodzeniem struktur głębokich mózgu po stronie lewej, ognisko udarowe widoczne w kolejnych wykonywanych badaniach tomografii komputerowej. Trzy miesiące po urazie wystąpiło drżenie prawej kończyny górnej, oporne na leczenie zachowawcze, powodujące znaczne upośledzenie czynności tej kończyny. W badaniach dodatkowych krwi i badaniach psychologicznych bez odchyleń od stanu prawidłowego. Najbardziej prawidłowym spośród niżej wymienionych stereotaktycznych postępowań operacyjnych w opisanym przypadku jest wykonanie:
Pytanie 56
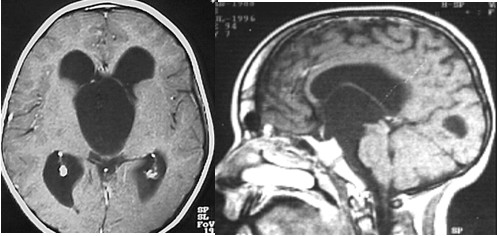
Przedstawiony na rycinie obraz badania MRI uwidacznia patologię wywołującą wodogłowie o typie obturacyjnym - z charakterystycznym obrazem poszerzonego układu komorowego o wyglądzie tzw. „głowy Myszki Miki”.
Zaproponuj optymalny sposób postępowania.
1) implantacja zastawki komorowo-otrzewnowej;
2) operacja otwarta z dojściem transcallosalnym usunięcie ścian torbieli;
3) endoskopowe połączenie światła torbieli z układem komorowym mózgu
w obrębie otworu Monro;
4) endoskopowa akweduktoplastyka;
5) endoskopowe połączenie jamy torbieli ze zbiornikiem przedmostowym;
6) przebicie blaszki granicznej tzw. operacja Scarffa-Stookeya.

Pytanie 57
Jednym z powikłań leczenia wodogłowia odprowadzeniem zastawkowym jest wystąpienie zespołu wąskich komór. Zaproponuj postępowanie u chorego leczonego zastawką komorowo-otrzewnową typu Pudenza (średniociśnieniową) wszczepioną przed 3 laty, u którego w obrazie CT stwierdzono obraz charakterystyczny dla zespołu wąskich komór, bez kolekcji przymózgowych czy asymetrii. W wywiadzie występujące co kilka dni niezbyt uporczywe bóle głowy, nie związane z pozycją ciała chorego. W badaniu dna oka norma. Badaniem palpacyjnym układ zastawkowy wydaje się być drożny. Należy wykonać następujące działania:
1) poprawić dren komorowy zastawki i zastosować mechanizm zastawkowy zmniejszający efekt syfonowy (zastawka przepływowa, zastawka z antysyfonem, zastawka regulowana);
2) wyłonić dren obwodowy zastawki i zastosować ograniczony drenaż zewnętrzny płynu mózgowo-rdzeniowego w celu niewielkiego poszerzenia komór mózgu;
3) próba wykonania ventrikulostomii endoskopowej z usunięciem zastawki;
4) można zastosować leki przeciwmigrenowe, które stabilizując odpowiedź łożyska naczyniowego, zmniejszają wahania objętości wewnątrzczaszkowej oraz obserwację CT przynajmniej 1 raz w roku;
5) wykonać ventrikulostomię endoskopową.
Prawidłowa odpowiedź to:
Pytanie 58
Angiografia przedstawia patologię naczyniową. Wskaż, które z podanych poniżej twierdzeń jest prawdziwe:
1) w badaniu widoczny jest tętniak olbrzymi dystalnego odcinka tętnicy mózgu tylnej prawej;
2) rozważyć można interwencję wewnątrznaczyniową drogą tętniczą;
3) wskazana jest operacja otwarta z zaklipsowaniem i ewentualnie wycięciem worka tętniaka;
4) obraz angiograficzny odpowiada malformacji żyły wielkiej mózgu Typ I wg Yasargila;
5) rozważać można interwencję wewnątrznaczyniową od strony żylnej.

Pytanie 59
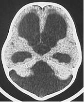
Przedstawione na rycinie badanie CT obrazuje jedną z form wodogłowia obturacyjnego. Które z poniższych twierdzeń opisujących uwidocznione w badaniu zmiany jest prawdziwe?
1) uwidocznione w badaniu CT wodogłowie obturacyjne spowodowane jest niedrożnością otworu pośrodkowego - Magendie'go i otworów bocznych-Luschki komory IV mózgu;
2) badanie przedstawia wodogłowie w zespole Arnolda-Chiariego typ II;
3) jest to typowy obraz wodogłowia w przebiegu torbieli pajęczynówki w obrębie zbiornika wielkiego;
4) wodogłowie spowodowane jest wgłobieniem migdałków móżdżku w obręb otworu wielkiego;
5) na zespół Dandy-Walkera składają się: wodogłowie, torbiel tylnego dołu czaszkowego i niedorozwój (dysgenezja) dolnego robaka móżdżku.

Pytanie 60
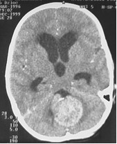
Poniższa rycina obrazuje wynik badania CT po podaniu środka kontrastowego. Badanie wykonano u 7 letniego chłopca z 2 tygodniowym wywiadem ostro narastających bółow głowy z porannymi wymiotami. Klinicznie pacjent prezentował zaburzenia chodu i równowagi, a w badaniu dna oka obraz tarczy zastoinowej. Biorąc pod uwagę przedstawione dane określ, które z poniższych twierdzeń nie są prawdziwe?
1) badanie CT wskazuje na guz okolicy szyszynki;
2) obraz CT przemawia za ostrym obturacyjnym wodogłowiem spowodowanym przez zablokowanie odpływu płynu mózgowo - rdzeniowego w obrębie IV komory;
3) obraz przemawia za rozpoznaniem wstępnym gwiaździaka młodzieńczego robaka móżdżku;
4) postępowaniem z wyboru jest implantacja układu zastawkowego i rozpoczęcie chemioterapii;
5) lokalizacja nowotworu, obraz CT oraz wywiad kliniczny przemawia za szybko rosnącym guzem robaka móżdżku wymagającym pilnego usunięcia.

Pytanie 61
Wskaż które z poniższych stwierdzeń najtrafniej określa pourazowe śródmóżdżkowe krwiaki:
Pytanie 62
U 10-letniego chłopca występują bóle głowy, okresowe nudności i wymioty. Badaniem przedmiotowym stwierdza się nieznaczne ograniczenie spojrzenia ku górze, a na dnie oczu, zmiany o charakterze rozpoczynającej się tarczy zastoinowej. Rentgenowska tomografia komputerowa ujawniła trzykomorowe wodogłowie nie wyjaśniając przyczyny jego powstania. Badanie MR w obrazach T1-zależnych, tak przeglądowe, jak i po podaniu kontrastu, jedynie potwierdziło obecność dobrze ograniczonego obszaru o podwyższonym sygnale, otaczającego i zwężającego wodociąg mózgu. Które z poniższych twierdzeń są prawdziwe w odniesieniu do przedstawionego przypadku?
1) najprawdopodobniej mamy do czynienia z nowotworem okołowodociągowym, zapewne gwiaździakiem włosowatokomórkowym;
2) należy spodziewać się, iż objawy ogniskowe wywołane bezpośrednio przez guz nie wystąpią wcale albo pojawią się późno;
3) historia naturalna takiej zmiany jest najczęściej łagodna - istnieją doniesienia o kilkunastoletnim stacjonarnym przebiegu nie leczonej choroby;
4) w tym przypadku, poza wszczepieniem zastawki komorowo-otrzewnowej, inna terapia jest zbędna. Wystarczy obserwacja i kontrolne badania MRI co 12 miesięcy. Dopiero jeśli nowotwór powiększa się, zalecana jest radioterapia.
Prawidłowa odpowiedź to:
Pytanie 63
Pacjent po zabiegu chirurgicznym ma objawy majaczenia. Optymalne spośród niżej wymienionych postępowanie obejmuje kolejno:
Pytanie 64
Plastykę oponową przedniego dołu czaszki można wykonać stosując dostęp:
1) czołowy wewnątrztwardówkowy; 4) międzypółkulowy;
2) czołowy zewnątrztwardówkowy; 5) endoskopowy wewnątrzzatokowy;
3) pterionalny
Prawidłowa odpowiedź to:
Pytanie 65
Tętnica tylna mózgu unaczynia wszystkie poniższe struktury, z wyjątkiem:
Pytanie 66
Która z poniższych grup nerwów czaszkowych jest topograficznie związana z drogą komorowo-rdzeniową?
Pytanie 67
Spośród niżej wymienionych zespołów wybierz te, których nie stwierdza się w spondylozie szyjnej:
Pytanie 68
Torbiele opony pajęczej płata skroniowego mózgu nie dające efektu masy i przebiegające bezobjawowo wymagają:
Pytanie 69
Który z guzów ośrodkowego układu nerwowego nie kwalifikuje się do brachyterapii?
Pytanie 70
Izotopy jakiego pierwiastka używa się najczęściej w brachyterapii guzów mózgu?
Pytanie 71
Gałęzie przeszywające unaczyniające torebkę wewnętrzną w kole tętniczym mózgu odchodzą od:
1) odcinka P1; 4) tętnicy łączącej tylnej;
2) odcinka A1; 5) tętnicy szyjnej wewnętrznej;
3) tętnicy łączącej przedniej; 6) tętnicy podstawnej.
Prawidłowa odpowiedź to:
Pytanie 72
Najczęstszą lokalizacją śródczaszkową gwiaździaka młodzieńczego astrocytoma pilocyticum (JPA) jest:
Pytanie 73
Zespół cieśni nerwu nadłopatkowego:
1) jest szczególnie częsty u zawodowych siatkarzy;
2) wymaga różnicowania m.in. z uszkodzeniem korzeni C5 i C6;
3) charakteryzuje się brakiem jakichkolwiek zaburzeń czucia;
4) nie wymaga przeprowadzenia badań elektrofizjologicznych, albowiem zazwyczaj nie są one pomocne;
5) rzadko wymaga leczenia operacyjnego.
Prawidłowa odpowiedź to:
Pytanie 74
Nabłoniak rdzeniakowy:
1) jest nowotworem pochodzenia zarodkowego, przypominającym swoim obrazem histopatologicznym utkanie nabłonka pierwotnej cewy nerwowej;
2) jest wyjątkowo rzadko spotykanym nowotworem złośliwym występującym we wczesnym dzieciństwie, zwykle u niemowląt, z równą częstością u obu płci;
3) ma tendencję do rozsiewu drogami płynowymi, opisano także przerzuty poza oun;
4) nie poddaje się radioterapii. Rokowanie jest złe - okres przeżycia nie przekracza roku;
5) należy do grupy PNET.
Prawidłowa odpowiedź to:
Pytanie 75
W przypadku zespołu cieśni nerwu łokciowego w tzw. kanale Guyona, w rozworze grochowo-haczykowatym może dojść do izolowanego ucisku na gałąź głęboką n. łokciowego przez zwłókniały brzeg mięśnia zginacza krótkiego palca małego. Na obraz kliniczny takiego ucisku składa się:
Pytanie 76
Guzy komór bocznych najczęściej powodują:
Pytanie 77
Guzy rogu przedniego komory bocznej mózgu najczęściej operujemy z dostępu przez:
Pytanie 78
Nerw promieniowy lub jego gałąź unerwia każdy z wymienionych mięśni, z wyjątkiem:
Pytanie 79
Postępowaniem z wyboru w wysokich uszkodzeniach nerwu pośrodkowego (przecięcie na wysokości ramienia) z ubytkiem nerwu powyżej 4 cm jest:
Pytanie 80
Rozpoznanie w obrazie MRI głowy torbielowato-litego guza tylnej jamy czaszki u kilkuletniej dziewczynki budzi podejrzenie:
Pytanie 81
Intervalum lucidum jest stanem charakterystycznym dla:
Pytanie 82
Do charakterystycznych cech zespołu Chiari II stwierdzonego w badaniu MRI nie należy:
Pytanie 83
Najwyższe prawdopodobieństwo skuteczności leczenia wodogłowia metodą endoskopowej wentrikulostomii komory trzeciej istnieje w przypadku:
Pytanie 84
Wszystkie poniższe stwierdzenia dotyczące czaszkogardlaków (craniopharyngiomata) są prawdziwe, z wyjątkiem:
Pytanie 85
Regeneracja nerwu kończyny górnej po operacji rekonstrukcji zachodzi ze średnią prędkością:
Pytanie 86
Uszkodzenie tętnic przeszywających w czasie operacji tętniaka tętnicy łączącej przedniej może spowodować następujące objawy:
Pytanie 87
Wszystkie poniższe stwierdzenia dotyczące obrzęku mózgu są prawdziwe, z wyjątkiem:
Pytanie 88
Zasłużonym neurochirurgiem w zakresie dostępu przezklinowego do przysadki mózgowej był:
Pytanie 89
Nakłucie lędźwiowe jest przeciwwskazane w poniższych sytuacjach, z wyjątkiem:
Pytanie 90
Typowe objawy rozsianego pourazowego uszkodzenia aksonów w tomografii komputerowej to:
Pytanie 91
Do embolizacji wewnątrznaczyniowej najczęściej kieruje się tętniaki:
Pytanie 92
Prawidłowa wartość średniego mózgowego przepływu krwi wynosi:
Pytanie 93
Objaw Parinauda jest charakterystyczny dla:
Pytanie 94
Objawem różnicującym obrzęk tarczy nerwu wzrokowego w nadciśnieniu wewnątrzczaszkowym, z podobnym obrazem dna oka w pozagałkowym zapaleniu nerwu wzrokowego jest:
1) brak reakcji źrenic na światło; 4) prawidłowa ostrość wzroku;
2) zniesienie „spojrzenia ku górze”; 5) brak reakcji konsensualnej.
3) nierówność źrenic;
Prawidłowa odpowiedź to:
Pytanie 95
Które z poniższych stwierdzeń dotyczy naczyniaków jamistych:
Pytanie 96
Celem leczenia operacyjnego przepukliny oponowo-rdzeniowej u noworodków nie jest:
1) usunięcie worka przepuklinowego.
2) zabezpieczenie przed ciasnotą wewnątrzczaszkową i wewnątrzkręgosłupową.
3) poprawa czynności neurologicznych.
4) zamknięcie nieszczelności opon, a tym samym zabezpieczenie przed infekcją.
Prawidłowa odpowiedź to:
Pytanie 97
Jakie naczynie tętnicze jest najczęściej przyczyną nerwobólu nerwu trójdzielnego spowodowanego konfliktem naczyniowo-nerwowym?
Pytanie 98
Które z wymienionych oponiaków dają duże prawdopodobieństwo wznowy pomimo totalnej resekcji:
1) meningioma microcysticum; 4) meningioma malignum;
2) meningioma transitionale; 5) meningioma meningotheliale.
3) meningioma papillare;
Prawidłowa odpowiedź to:
Pytanie 99
Które z wymienionych nowotworów pochodzenia glejowego mogą podlegać transformacji złośliwej w kierunku glejaka wielopostaciowego /glioblastoma/:
1) astrocytoma fibrillare diffusum; 4) astrocytoma anaplasticum;
2) subependymoma; 5) ependymoma myxopapillare.
3) astrocytoma gemistocyticum;
Prawidłowa odpowiedź to:
Pytanie 100
W przebiegu których procesów patologicznych w OUN mogą występować zwapnienia sródczaszkowe:
1) skąpodrzewiak; 4) wągrzyca mózgu;
2) zespół Fahra; 5) stwardnienie guzowate.
3) zwojakoglejak;
Prawidłowa odpowiedź to:
Pytanie 101
Które z wymienionych cech świadczą o wysokim stopniu złośliwości histologicznej /anaplazji/ guza:
1) naciekający typ wzrostu;
2) przewaga komórek wysoko zróżnicowanych;
3) znaczna nadbarwliwość /hiperchromazja/ i atypia jąder komórkowych;
4) stłuszczenie komórek nowotworowych;
5) liczne figury podziałów mitotycznych.
Prawidłowa odpowiedź to:
Pytanie 102
Wybierz prawdziwe stwierdzenie dotyczące pierwotnego chłoniaka ośrodkowego układu nerwowego:
Pytanie 103
Wskaż prawdziwe twierdzenie dotyczące przepukliny jądra miażdżystego w odcinku piersiowym:
Pytanie 104
Klasyfikacja WHO wyróżnia następujące typy guzów germinalnych (wywodzących się z komórek zarodka), z wyjątkiem:
Pytanie 105
Wśród podanych poniżej twierdzeń opisujących skuteczność leczenia wskaż najistotniejsze niekorzystne cechy radiochirurgii stereotaktycznej:
1) przy najczęściej stosowanej dawce na granicy naczyniaka 25Gy, około 75% z nich zostaje wyleczona;
2) ostateczny efekt radiochirurgii widoczny jest dopiero po dwóch latach od napromienienia;
3) powikłania radiochirurgii występują u ok. 4% pacjentów;
4) całkowite wyleczenie uzyskuje się do 90% naczyniaków o średnicy mniejszej niż 3 cm;
5) w okresie do pełnej obliteracji zmiany pacjent pozostaje w grupie takiego samego ryzyka krwawienia jak chory nie leczony.
Prawidłowa odpowiedź to:
Pytanie 106
Podaj, które z poniższych stwierdzeń odnoszących się do występowania naczyniaków jamistych w centralnym układzie nerwowym jest prawdziwe:
1) spotykane są w populacji z częstością 0,4 do 0,9%;
2) stanowią od 8 do 15% wszystkich typów naczyniaków tego obszaru;
3) poprzez tendencję do występowania w pobliżu układu komorowego najczęściej prowadzą do krwawień dokomorowych;
4) najczęściej występują w przestrzeni nadnamiotowej (75%), rzadziej podnamiotowo i w obrębie pnia mózgu;
5) zawsze występują jako zmiany mnogie.
Prawidłowa odpowiedź to:
Pytanie 107
W leczeniu padaczki lekoopornej, w napadach uogólnionych bez wyraźnie zlokalizowanych elektrofizjologicznie zmian ogniskowych oraz zmian morfologicznych w badaniach obrazowych, zastosowanie znajdują różne typy zabiegów operacyjnych. Wybierz właściwe:
1) topektomia skroniowa;
2) zabieg rozłączeniowy - callosotomia przednia;
3) resekcja wielopłatowa;
4) stymulacja nerwu błędnego;
5) lesionektomia z elektrokortykografią.
Prawidłowa odpowiedź to:
Pytanie 108
Wskaż, które z poniższych stwierdzeń nie jest zaliczane do tzw. triady Krynauw, uwzględnianej w leczeniu padaczki:
1) obecność lekoopornej padaczki;
2) obecność porażenia lub niedowładu połowiczego;
3) brak odpowiedzi w badaniu somatosensorycznych potencjałów wywołanych w obrębie półkuli chorej, z zachowaną prawidłową w obrębie półkuli zdrowej;
4) zahamowanie rozwoju umysłowego;
5) niedowład połowiczy przeciwstronny do uszkodzonej półkuli z brakiem drobnych ruchów w obrębie dłoni.
Prawidłowa odpowiedź to:
Pytanie 109
Oponiak (meningioma) jest jednym z najczęstszych nowotworów ośrodkowego układu nerwowego. Które z poniższych twierdzeń są prawdziwe?
1) szczyt zachorowań dla oponiaków przypada między 45 a 55 rokiem życia, a kobiety chorują nieco częściej;
2) oponiak przejściowy (mieszany, meningioma transitionale, mixtum) jest najrzadszym typem oponiaka;
3) oponiak zlokalizowane są najczęściej nadnamiotowo, a jedynie w ok. 10% przypadków w tylnym dole czaszkowym lub w kanale kręgowym;
4) termin oponiak atypowy (meningioma atypicum) używany jest obecnie dla określenia oponiaka anaplastycznego (złośliwego);
5) oponiak piaszczakowaty często występuje w kanale kręgowym i okolicy rynienki węchowej, a oponiak jasnokomórkowy w okolicy kąta mostowo-móżdżkowego i ogona końskiego;
Prawidłowa odpowiedź to:
Pytanie 110
Reguła Monro-Kellie’go dotyczy:
Pytanie 111
Co to jest złamanie „wisielca”?
Pytanie 112
U 16 letniego praworęcznego chłopca, u którego nagle wystąpiły silne bóle głowy, prawostronny niedowład oraz niewielkie cechy afazji badania obrazowe wykazały obecność zniekształcenia tetniczo-żylnego (AVM) średnicy około 1 cm umiejscowionego w lewym wzgórzu. W okolicy zniekształcenia niewielkie cechy krwawienia, ale bez przemieszczeń komór i struktur środkowych. Jakie leczenie zaproponujesz?
Pytanie 113
U 8 letniego chłopca z zaburzeniami ostrości wzroku oraz ubytkami w polu widzenia na zdjęciach rtg czaszki stwierdzono zwapnienia w okolicy nadsiodłowej. W badaniu CT głowy w okolicy nadsiodłowej guz torbielowato-lity ze zwapnieniami. W wywiadzie występowanie bólów głowy oraz zahamowanie wzrostu. Jaki nowotwór należy podejrzewać u chłopca?
Pytanie 114
U 40-letniej kobiety stwierdzono niedowidzenie dwuskroniowe, a w badaniu CT głowy wewnątrzsiodłowy guz unoszący przeponę siodła. Oznaczony poziom prolaktyny wynosił 1200 ng/ml. Jakie leczenie należy podjąć?
Pytanie 115
U dziecka badanie MRI ujawniło obecność nowotworu zajmującego prawy nerw wzrokowy oraz asymetrycznie skrzyżowanie nn. wzrokowych. Histopatologicznym rozpoznaniem opisanego wyżej nowotworu będzie najprawdopodobniej?
Pytanie 116
Czy ciała suteczkowate otrzymują unaczynienie od:
Pytanie 117
Zamknięcie tętnicy naczyniówkowej przedniej wyraża się:
1) niedowładem lub porażeniem połowiczym;
2) zaburzeniami czucia i niedowidzenia połowiczym;
3) zaburzeniami pamięci.
Prawidłowa odpowiedź to:
Pytanie 118
Zespół Hornera może być wywołany wszystkimi poniższymi przyczynami, z wyjątkiem:
Pytanie 119
Guz przysadki mózgowej najczęściej wywołuje następujący rodzaj zaburzeń widzenia:
Pytanie 120



