Wyszukaj egzamin lub pytanie
Egzamin PES Medycyna ratunkowa / wiosna 2024
120 pytań
Pytanie 1
57-letni mężczyzna po szczepieniu przeciw COVID-19 miał gorączkę, czuł się osłabiony. Po kilku dniach jego stan zdrowia się poprawił, ale po około 2 tygodniach nawróciło poczucie osłabienia, łatwego męczenia się. W domowych pomiarach ciśnienia tętniczego zwrócił jego uwagę niski puls, który często był poniżej 50/min. Pacjent nie miał omdleń. EKG na SOR jak poniżej przesuw 25 mm/s. Wskaż właściwe rozpoznanie i postępowanie:

Pytanie 2
Nieurazowy krwiak zaotrzewnowy występuje najczęściej w wyniku pęknięcia:
Pytanie 3
86-letni mężczyzna 3-krotnie zemdlał w ciągu ostatniego tygodnia. Omdlenia nie były poprzedzone żadnymi objawami. Przy ostatnim omdleniu pacjent uderzył się w głowę, był splątany przez 15 minut, ale obecnie nie ma żadnych deficytów neurologicznych. W TK głowy bez istotnych patologii, ranę pacjenta na głowie zaopatrzono. W trakcie monitorowania EKG na SOR zapis jak poniżej. Jakiego typu omdlenie najprawdopodobniej miał pacjent i jaka powinna być decyzja dotycząca hospitalizacji?

Pytanie 4
Rozsiane krzepnięcie wewnątrznaczyniowe charakteryzuje się:
Pytanie 5
Wskaż prawdziwe stwierdzenia dotyczące tępego urazu tętnicy szyjnej:
1) objawy zawsze występują bezpośrednio po urazie;
2) do objawów urazu tętnicy szyjnej mogą należeć: oczopląs, zawroty głowy;
3) u pacjenta może wystąpić afazja, niedowład połowiczy, inne objawy neurologiczne.
Prawidłowa odpowiedź to:
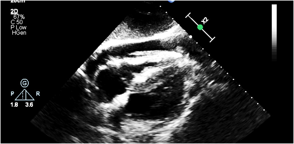
Pytanie 6
20-letni mężczyzna został ugodzony nożem w klatkę piersiową po lewej stronie. Pacjent w kontakcie logicznym, RR 70/50 HR 120/min. Szmer pęcherzykowy słyszalny po obu stronach klatki piersiowej. Na miejscu zdarzenia ZRM nie zaobserwował dużego krwawienia zewnętrznego. W badaniu FAST w projekcji podmostkowej obraz jak poniżej. Wskaż optymalne dalsze postępowanie:

Pytanie 7
U pacjenta ze stwierdzonym stężeniem potasu 6,9 mmol/l i obecnymi szerokimi zespołami QRS w zapisie EKG, postępowaniem pierwszego rzutu jest:
Pytanie 8
W jakim przypadku wystąpienie tamponady serca jest najbardziej prawdopodobne?
Pytanie 9
24-letni mężczyzna po dotarciu na metę po biegu na zawodach sportowych nagle zatrzymał się, po czym poczuł się słabo i miał nasilone objawy stanu przedomdleniowego. Został zawieziony do szpitala. W EKG rytm zatokowy miarowy 72/min. W echo serca prawidłowe struktury mięśnia serca. Nagle na SOR zemdlał po pobraniu krwi. Po około 10 sekundach odzyskał świadomość. EKG jak poniżej przesuw 25 mm/s. Co należy rozpoznać i jakie wdrożyć postępowanie?

Pytanie 10
55-letni mężczyzna zgłosił się na SOR z powodu bólu w klatce piersiowej. W wywiadzie pacjent leczy się z powodu nadciśnienia tętniczego i przeciętne wartości ciśnienia tętniczego w trakcie leczenia wynoszą 150/95 mmHg. EKG jak poniżej przesuw 25 mm/s. RR 210/130 mmHg. W tym przypadku wzrost ciśnienia tętniczego należy zakwalifikować jako stan:

Pytanie 11
75-letnia kobieta po dwóch przebytych zawałach mięśnia serca i angioplastykach prawej tętnicy wieńcowej oraz gałęzi zstępującej przedniej została przywieziona na SOR przez ZRM z powodu silnej duszności jaka wystąpiła podczas wchodzenia po schodach na IV piętro. EKG jak poniżej. Przesuw 25 mm/s. Oddech 30/min., RR 180/110 mmHg, SpO2 bez tlenu 82% na tlenie na masce 86%, liczne rzężenia nad polami płucnymi. Wskaż właściwe postępowanie:

Pytanie 12
24-letni mężczyzna do tej pory bez istotnej przeszłości chorobowej wezwał ZRM z powodu nagłego incydentu kołatania serca jak na zapisie A. Pacjent posiada w domu wcześniej wykonane EKG jak na zapisie B. Wskaż najbardziej prawdopodobne podłoże wystąpienia arytmii serca na rycinie:

Pytanie 13
Jaki zestaw leków przy wypisie z SOR należy rozważyć u 68-letniego pacjenta przywiezionego na SOR z powodu zwyżki RR do 200/100 mmHg. Klirens kreatyniny wynosi 40 ml/min/1,73 m2. Stężenie sodu 136 mEq/l , potasu 4,5 mEq/l. EKG jak na rycinie, przesuw 25 mm/s.

Pytanie 14
Wskaż najbardziej prawdopodobnie problem medyczny u 90-letniego pacjenta z zapisem EKG jak niżej, przesuw 25 mm/s:

Pytanie 15
Jakie badania u pacjenta zatrutego substancjami psychoaktywnymi są konieczne dla wykluczenia występowania „ukrytej triady zgonów”?
Pytanie 16
58-letni mężczyzna został przywieziony na SOR z bólem w klatce piersiowej. EKG zapis 25 mm/s jak niżej. Wskaż prawdziwe stwierdzenie:

Pytanie 17
28-letni mężczyzna został przywieziony przez ZRM z pożaru gdzie był narażony na dym, ale nie został poparzony. W gazometrii tętniczej poziom hemoglobiny tlenkowęglowej wynosi 5%. Wskaż prawidłowe postępowanie:
Pytanie 18
27-letni pacjent został przywieziony na SOR z powodu bólu w klatce piersiowej. Pacjent był zabrany przez ZRM z pubu. Pacjent jest pobudzony, niespokojny, ma szerokie źrenice, poci się. RR 200/100 mmHg. EKG jak na rycinie przesuw 25 mm/s. Jaki lek jest względnie przeciwwskazany u tego pacjenta?

Pytanie 19
Co to jest krwistek?
Pytanie 20
70-letni mężczyzna był przed 2 tygodniami hospitalizowany na oddziale chorób wewnętrznych z powodu hiperglikemii 700 mg% i licznych zasłabnięć. Obecnie nadal występują zasłabnięcia również w pozycji leżącej. Glikemia u pacjenta jest w normie, również badana bezpośrednio po incydencie zasłabnięcia. EKG jak na rycinie poniżej. Przesuw 25 mm/s. Wskaż najbardziej prawdopodobną przyczynę zasłabnięć:

Pytanie 21
Oparzenie chemiczne przełyku jest spowodowane zamierzonym lub przypadkowym spożyciem substancji żrących. W celu określenia ciężkości oparzenia podstawowe znaczenie ma:
Pytanie 22
Uszkodzenie przełyku w następstwie urazu okolicy szyi cechuje się wczesną śmiertelnością, głównie w wyniku uszkodzenia ściśle do przełyku przylegająych narządów. Z reguły w pierwszym okresie objawy są skąpe lub ich brak. Stopień uszkodzenia przełyku oceniany w TK z kontrastem można klasyfikować w skali AAST (American Association for the Surgery of Trauma) na 5 stopni, gdzie stopień 3 to uszkodzenie:
Pytanie 23
Krwotok z nosa najczęściej występuje w poprzednim odcinku. Rzadziej w odcinku tylnym. W ramach medycznych czynności ratunkowych należy wykonać tamponadę przednią lub tylną. Tampon Bellocqa stosowany jest w przypadku tamponady:
Pytanie 24
Urazy rdzenia kręgowego często powodują wstrząs rdzeniowy. Zjawisko to zazwyczaj opisuje się jako utratę czucia i porażenie wiotkie, któremu towarzyszy utrata odruchów poniżej miejsca urazu rdzenia. Powrót odruchów i funkcji motorycznych najczęściej następuje w okresie:
Pytanie 25
W okresie ciąży procedurę znieczulenia ogólnego do inwazyjnych interwencji terapeutycznych podejmuje się ze wskazań koniecznych, których nie można odłożyć na okres poza ciążą. Kobieta ciężarna traktowana jest jako pacjentka z pełnym żołądkiem w okresie po:
Pytanie 26
W wypadku komunikacyjnym doszło do złamania miednicy, w którym stwierdzono całkowite przerwanie pierścienia miednicy po jednej stronie zarówno od przodu jak i od tyłu, z przemieszczeniem kończyny dolnej dogłowowo. Jest to złamanie typu:
Pytanie 27
W procesie gojenia rany dochodzi do naprawy tkanek i powstania tkanki zastępczej niepełnowartościowej, czyli blizny. W trakcie tego procesu wyróżnia się kilka etapów: hemostazę, fazę zapalną, fazę proliferacyjną, fazę przebudowy, dojrzewania i remodelingu. Kluczową rolę w procesie przejścia z fazy zapalnej do proliferacyjnej odgrywają:
Pytanie 28
Zakres zniszczeń w tkankach dokonany przez prąd elektryczny zależy od typu prądu, napięcia i oporności tkanek. Im większy opór elektryczny tkanek, tym większa ilość wydzielonego ciepła. Wskaż prawdziwe stwierdzenia:
1) opór elektryczny tkanek jest różny i rośnie od tkanki nerwowej poprzez naczynia krwionośne, mięśnie, skórę, ścięgna, po tkankę tłuszczową i kości;
2) tkanka kostna ma największą oporność, dlatego przylegające do niej tkanki miękkie ulegają większemu zniszczeniu niż skóra.
Prawidłowa odpowiedź to:
Pytanie 29
W nagłym zatrzymaniu krążenia w rytmie defibrylacyjnym, po nieskutecznej siódmej defibrylacji, adrenalinę można podać:
Pytanie 30
W chorobie dekompresyjnej preferowaną metodą leczenia w pierwszym etapie jest tlenoterapia z użyciem odpowiedniej maski gwarantującej brak przecieków z odpowiednim rezerwuarem tlenu i zastawkami jednokierunkowymi, uniemożliwiającymi oddychanie powietrzem z otoczenia. Podaż tlenu powinna początkowo wynosić co najmniej:
Pytanie 31
Lekiem pierwszego wyboru w leczeniu bradykardii jest najczęściej atropina podawana dożylnie w sposób frakcjonowany co 3-5 minut, od dawki 0,5 mg do maksymalnej dawki, która wynosi:
Pytanie 32
Wskaż prawdziwe stwierdzenia dotyczące pacjentów uzależnionych i nadużywających alkoholu oraz substancji psychoaktywnych:
1) kwestionariuszem przesiewowym standardowo wykorzystywanym w celu oceny nadużywania alkoholu u pacjenta jest kwestionariusz CAGE;
2) u pacjenta uzależnionego od opioidów w razie pojawienia się objawów z odstawienia u pacjenta na SOR należy podać 5-10 mg diazepamu, w razie potrzeby powtórzyć;
3) u pacjenta uzależnionego od opioidów w przypadku wystąpienia bólu o umiarkowanym nasileniu w warunkach SOR należy podać metadon p.o. lub i.m.;
4) jeśli pacjent uzależniony od leków żąda kontrolowanego podania leku na SOR należy mu go podać;
5) objawy odstawienia benzodiazepin obejmują niepokój, lęk z odbicia, bezsenność, drażliwość, miokloniczne drgawki.
Prawidłowa odpowiedź to:
Pytanie 33
Wskaż prawdziwe stwierdzenia opisujące procedury przymusowego przyjęcia pacjenta na obserwację na SOR bez zgody pacjenta:
1) pacjent stwarza wrażenie, że może wyrządzić krzywdę sobie lub innej osobie lub może doznać poważnego pogorszenia stanu psychicznego lub fizycznego;
2) dana osoba nie ma zdolności do wyrażenia zgody na poddanie się ocenie lub bezpodstawnie odmówiła poddania się jej;
3) wszyscy objęci regulacjami pacjenci przyjęci wbrew swojej woli podlegają następnie obowiązkowej ocenie psychiatrycznej zgodnie z miejscowym ustawodawstwem;
4) ustawą regulującą przyjęcie pacjenta do szpitala bez jego zgody jest Ustawa o Ochronie Zdrowia Psychicznego;
5) procedura przymusowego przyjęcia na obserwację powinna być wdrożona, jeśli mamy podejrzenie, że pacjent cierpi na chorobę psychiczną, która wymaga natychmiastowej oceny w specjalistycznym szpitalu psychiatrycznym.
Prawidłowa odpowiedź to:
Pytanie 34
Wskaż prawdziwe stwierdzenia dotyczące stanów nagłych w toksykologii:
1) po oparzeniu przez koralowca można złagodzić ból u pacjenta przez zanurzenie oparzonego miejsca w ciepłej wodzie o temperaturze 40-45°C;
2) w przypadku ukąszenia przez żmiję nie należy zakładać bandaża uciskowego w okolicy miejsca ukąszenia ani unieruchamiać ukąszonej kończyny;
3) w przypadku ukąszenia przez żmiję należy zastosować profilaktykę przeciwtężcową i skierować pacjenta do leczenia szpitalnego;
4) w przypadku głębokiej martwiczej rany kłutej u 45-latka po nadepnięciu na jeżowca po wstępnym oczyszczeniu rany należy zastosować profilaktykę przeciwtężcową i zlecić podanie doksycykliny w dawce 100 mg 2x/dobę przez 5 dni;
5) w przypadku ukąszenia na stopie przez jadowitego węża nie należy utrzymać opatrunku uciskowego dłużej niż 2 godziny.
Prawidłowa odpowiedź to:
Pytanie 35
Wskaż prawdziwe stwierdzenia dotyczące martwiczego zapalenia powięzi:
1) w ponad 70% przypadków nie jest znana przyczyna wystąpienia martwiczego zapalenia powięzi u pacjentów;
2) martwicze zapalenie powięzi często dotyczy pacjentów chorujących na cukrzycę, immunosupresję oraz przewlekły alkoholizm;
3) w przypadku rozpoznania martwiczego zapalenia powięzi u pacjenta nie należy wdrażać antybiotykoterapii empirycznej tylko poczekać na posiew;
4) w przypadku rozpoznania martwiczego zapalenia powięzi u pacjenta należy jak najszybciej uzyskać dostęp dożylny i podawać 20-40 ml/kg m.c. NaCl, żeby poprawić hipoperfuzję;
5) martwicze zapalenie powięzi jest stanem szybko postępującym, potencjalnie zagrażającym życiu pacjenta.
Prawidłowa odpowiedź to:
Pytanie 36
Na SOR trafił 20-letni pacjent obrażeniami w obrębie twarzy i jamy ustnej. Wstępna ocena pacjenta wskazuje na złamanie typu „blow-out”. Wskaż prawdziwe stwierdzenia opisujące tego rodzaju uraz:
1) złamanie typu „blow-out” to bardzo częsty rodzaj złamania oczodołu, który powstaje zazwyczaj w wyniku urazu długim, ostrym narzędziem;
2) w wyniku tego złamania najczęściej dochodzi do rozerwania delikatnych struktur kostnych oczodołu przez odepchniętą przez ciało obce ku tyłowi gałkę oczną;
3) tłuszcz oczodołowy i mięsień prosty oka mogą przechodzić przez szczelinę złamania do zatoki szczękowej;
4) preferowanym badaniem diagnostycznym przy złamaniu typu „blow-out” jest wykonanie tomografii komputerowej;
5) nie ma potrzeby stosowania antybiotykoterapii doustnej w tego rodzaju obrażeniu twarzy u pacjenta.
Prawidłowa odpowiedź to:
Pytanie 37
Wskaż prawdziwe stwierdzenia dotyczące połknięcia ciała obcego przez pacjenta:
1) baterie guzikowe zlokalizowane w przełyku można leczyć wyczekująco, jeśli nie występują objawy kliniczne u pacjenta;
2) w przypadku podejrzenia zablokowania ciała obcego w przełyku badaniem z wyboru jest TK szyi i klatki piersiowej;
3) zablokowanie przełyku przez ciało obce może przebiegać bezobjawowo;
4) baterie zlokalizowane w żołądku można leczyć wyczekująco, jeśli nie występują objawy kliniczne u pacjenta;
5) baterie guzikowe połknięte przez pacjentów stanowią szczególne ryzyko dla zdrowia i życia pacjentów ze względu na miejscowe działanie żrące oraz ryzyko perforacji błony śluzowej.
Prawidłowa odpowiedź to:
Pytanie 38
Lekarz przyjechał z ZRM do wypadku komunikacyjnego motocyklisty z samochodem osobowym. Po wstępnym badaniu pacjenta przystąpił do badania neurologicznego. Pacjent nie otwiera oczu, wydaje niezrozumiałe dźwięki i lokalizuje bodziec bólowy. Ocena pacjenta w skali Glasgow (GCS) wynosi:
Pytanie 39
Wskaż prawdziwe stwierdzenia opisujące zerwanie ścięgna Achillesa:
1) w wyniku zerwania ścięgna Achillesa występuje osłabienie zgięcia grzbietowego i pacjent nie jest w stanie chodzić na piętach;
2) w teście „ściskania łydki" występuje brak zgięcia podeszwowego stopy w porównaniu ze stroną nieuszkodzoną;
3) należy założyć pacjentowi opatrunek gipsowy poniżej zgięcia kolanowego w zgięciu grzbietowym stopy;
4) należy założyć pacjentowi opatrunek gipsowy powyżej zgięcia kolanowego w zgięciu podeszwowym stopy;
5) w przypadku zerwania ścięgna Achillesa zawsze potrzebne jest leczenie operacyjne.
Prawidłowa odpowiedź to:
Pytanie 40
Do SOR trafił 28-letni pacjent przywieziony przez ZRM. Doznał licznych oparzeń ciała w pożarze mieszkania. Pacjent waży 82 kg. Po wstępnym badaniu lekarz stwierdził oparzenie obu kończyn dolnych oraz kończyny górnej prawej oraz krocza. Ile płynów szacunkowo należy przetoczyć temu pacjentowi w ciągu pierwszych 24 godzin?
Pytanie 41
Wskaż prawdziwe stwierdzenia opisujące niedrożność tętnicy środkowej siatkówki:
1) najczęściej występuje u osób w wieku podeszłym w wyniku procesów miażdżycowych w naczyniach krwionośnych ale również zatorów i zapaleń tętnicy skroniowej;
2) może doprowadzić do nagłej ślepoty związanej ze względną aferentną wadą źrenicy znaną jako źrenica Marcusa Gunna (RAPD, Relative Afferent Pupillary Defect);
3) po rozpoznaniu niedrożności tętnicy środkowej siatkówki należy rozpocząć powolne podawanie acetazolamidu w dawce 500 mg i.v. lub p.o.;
4) nie należy wykonywać u pacjenta masażu gałki ocznej ze względu na duże ryzyko uszkodzenia nerwu wzrokowego;
5) niedrożność tętnicy środkowej siatkówki nie wymaga natychmiastowego podjęcia leczenia na oddziale okulistycznym.
Prawidłowa odpowiedź to:
Pytanie 42
Triage (z francuskiego trier - sortować) na SOR nie służy do:
Pytanie 43
Dzięki rozwiązaniom TOPSOR:
Pytanie 44
W przypadku urazu palców, u pacjenta Szpitalnego Oddziału Ratunkowego najlepszą procedurą znieczulenia regionalnego jest:
Pytanie 45
Pulsoksymetria to nieinwazyjna metoda pomiaru, która pokazuje saturację krwi tlenem. Ograniczeniem jej zastosowania jest:
Pytanie 46
Wskaż fałszywe stwierdzenie:
Pytanie 47
Przeciwwskazaniem względnym do założenia dożylnego cewnika centralnego jest:
Pytanie 48
Kaniulacja żyły podobojczykowej jest przeciwwskazana:
Pytanie 49
EKG wysokiego ryzyka dotyczy pacjentów, u których istnieje ryzyko utraty znaczącego odsetka kurczliwego miokardium. Który z zapisów nie zalicza się do EKG wysokiego ryzyka?
Pytanie 50
Tamponada osierdzia jest rzadką przyczyną niewydolności krążenia. Wykrycie wysięku osierdziowego jest stosunkowo łatwe za pomocą USG od strony jamy brzusznej. Wskaż fałszywe stwierdzenie dotyczące tamponady i punkcji osierdzia:
Pytanie 51
Kwasica metaboliczna często wiąże się ze zwiększoną luką anionową, a przyczyny są tak różne, że opracowano liczne sposoby mnemotechniczne ułatwiające zapamiętywanie. Który ze skrótów oferuje najpełniejszy obraz możliwych przyczyn kwasicy metabolicznej?
Pytanie 52
W przypadku małopłytkowości prawdopodobne jest występowanie choroby potencjalnie zagrażającej życiu jaką jest:
Pytanie 53
Enzym dehydrogenaza mleczanowa (LDH) jest często wymieniany jako element parametrów wątrobowych, ale jest bardzo niespecyficzny i występuje w wielu tkankach. Ze względu na wszechobecne występowanie LDH, jej stężenie może być podwyższone w bardzo różnych chorobach i nigdy nie należy go interpretować jako indywidualnego parametru. Obniżone stężenie LDH może wystąpić:
Pytanie 54
Często automatycznie określa się stężenie kinazy kreatyninowej - izoenzymu sercowego CK-MB przy podwyższonym stężeniu kinazy kreatyninowej CK. Nie jest istotna wartość bezwzględna, ale odsetek całkowitej frakcji CK. Przy jakim odsetku frakcji CK należy wziąć pod uwagę martwicę mięśnia sercowego?
Pytanie 55
Dwie sytuacje odgrywają rolę w decyzji za lub przeciw użyciu promieni rentgenowskich/środków kontrastowych: ochrona przed promieniowaniem podczas ciąży i stosowanie środków kontrastowych w niewydolności nerek. Próg uszkodzenia popromiennego płodu wynosi:
Pytanie 56
Podanie węgla aktywowanego można rozważyć w przypadku ciężkich zatruć. Skuteczność leczenia spada z upływem czasu i staje się wątpliwa już po upływie:
Pytanie 57
Alternatywnie do podania węgla aktywowanego w przypadku ciężkich zatruć można rozważyć endoskopowe usunięcie następujących substancji:
Pytanie 58
W przypadku niepewności lub u pacjentów wentylowanych można w przypadku podejrzenia zespołu ciasnoty przedziałów powięziowych zmierzyć ciśnienie w przedziałach mięśniowych. Wskazaniem do natychmiastowej fasciotomii jest ciśnienie w przedziale tkankowym:
Pytanie 59
Reguła 50 w punkcji lędźwiowej określa możliwość jej wykonania. Wskaż fałszywe stwierdzenie dotyczące możliwości wykonania punkcji lędźwiowej:
Pytanie 60
O skuteczności technik chłodzenia, m.in. w resuscytacji, decyduje czas do osiągnięcia temperatury docelowej. Najszybszą techniką chłodzenia jest:
Pytanie 61
Wśród przyczyn niewydolności oddechowej wyróżnia się zaburzenia napędu oddechowego, zaburzenia nerwowo-mięśniowe, zaburzenia mechaniki oddychania i zwężenia dróg oddechowych. Pierwotną przyczyną zaburzeń napędu oddechowego może być:
Pytanie 62
Czasami konieczne jest odbarczenie lub zdrenowanie klatki piersiowej na SOR. Do możliwości odbarczenia klatki piersiowej nie należy:
Pytanie 63
Do działań definiowanych w systemie triage’u ESI jako „ratujące życie” w odniesieniu do oddychania nie należy:
Pytanie 64
Do działań definiowanych w systemie triage’u ESI jako „ratujące życie” w odniesieniu do leków nie należy:
Pytanie 65
Działania diagnostyczne, które w systemie triage’u ESI są definiowane jako „zasoby”, mające znaczenie dla dalszego postępowania obejmują:
Pytanie 66
Prawidłowy, minimalny czas dezynfekcji skóry i rąk przed założeniem wkłucia centralnego (CVC) wynosi:
Pytanie 67
W przeciwieństwie do dorosłych, dzieci bez stwierdzanych dotychczas zaburzeń kardiologicznych prawie zawsze mają wtórne zatrzymanie akcji serca, głównie z powodu niedotlenienia (asfiksja). Wskaż fałszywe stwierdzenie:
Pytanie 68
Z reguły wentylacja inwazyjna odbywa się przez rurkę dotchawiczą. Wskazania do wentylacji inwazyjnej obejmują niżej wymienione, z wyjątkiem:
Pytanie 69
Kryteria skuteczności wentylacji nieinwazyjnej nie obejmują:
Pytanie 70
W czasie prowadzenia wentylacji kontrolowanej wystąpiło ujemne ciśnienie wentylacji. Powodem takiej sytuacji jest:
Pytanie 71
W czasie prowadzenia wentylacji kontrolowanej ciśnienie wentylacji jest zbyt wysokie. Dzieje się tak, gdy:
Pytanie 72
Do niepożądanych hemodynamicznych działań wentylacji nie należy:
Pytanie 73
Za stany imitujące STEMI (STEMI mimics) uznaje się stany uniesienia odcinka ST bez wymagającego natychmiastowej interwencji zamknięcia naczynia wieńcowego. Wskaż prawdziwe stwierdzenie:
Pytanie 74
Wskaż fałszywe stwierdzenie dotyczące badania EKG:
Pytanie 75
Oznaczanie neutrofili jest pomocne w przypadku niskiego stężenia leukocytów. Szczególnie ważny jest bezwzględny odsetek neutrofili, gdyż dochodzi do osłabienia układu odpornościowego i osłabienia lub braku reakcji zapalnej. Jaka liczba neutrofili/µl stanowi skrajne ryzyko infekcji, łącznie z patogenami endogennymi (jama ustana, przewód pokarmowy) i stanowi wskazanie do zastosowania na SOR tzw. odwróconej izolacji?
Pytanie 76
Małopłytkowość, również skaza krwotoczna małopłytkowa jest definiowana jako liczba płytek krwi <150 000/µl. Przy jakiej liczbie płytek krwi/ µl występują u pacjentów SOR krwawienia spontaniczne (do mózgu lub przewodu pokarmowego)?
Pytanie 77
W przypadku wyboru technik schładzania (m.in. w resuscytacji) spadek temperatury 4,7°C/h umożliwia:
Pytanie 78
Podanie 4 litrów nieogrzewanego roztworu do infuzji (16-20°C) obniża temperaturę ciała o około:
Pytanie 79
Triage to powiązany proces zdefiniowany w trzech krokach:
1) kategoryzacja ciężkości choroby pacjentów w nagłych wypadkach;
2) priorytetyzacja pilności leczenia;
3) doprowadzenie do właściwego miejsca leczenia;
4) wybór metody transportu pacjenta z miejsca zdarzenia;
5) powtórna ocena pacjenta za 90 minut.
Prawidłowa odpowiedź to:
Pytanie 80
Przy laryngoskopii bezpośredniej stopnia 2 wg Cormack i Lehane oznacza:
Pytanie 81
W przypadku leczenia ostrego bólu ryzyko uzależnienia od opioidów wynosi:
Pytanie 82
Wskazaniem do kaniulacji tętnicy jest:
Pytanie 83
Przy podejrzeniu sepsy w warunkach SOR należy:
Pytanie 84
Zawroty głowy pochodzenia obwodowego wynikają z:
Pytanie 85
Skali CURB-65 używa się do oceny:
Pytanie 86
W razie zaburzeń odwodzenia ramienia przy urazach szyi podejrzewa się uszkodzenia miotomów:
Pytanie 87
W razie uszkodzenia nerwu podjęzykowego w uszkodzeniach urazowych nerwów szyjnych występuję:
Pytanie 88
Przy urazie deceleracyjnym najczęściej występuje rozerwanie aorty w miejscu:
Pytanie 89
Dodatni test „ściskania łydki” (zmniejszenie lub brak zgięcia podeszwowego stopy w porównaniu ze stroną nieuszkodzoną) jest charakterystyczny dla:
Pytanie 90
Maksymalna bezpieczna dawka lidokainy wynosi:
Pytanie 91
N-acetylocysteina (NAC), antidotum na paracetamol, jest bardzo skuteczna, jeżeli jej podaż nastąpi w okresie:
Pytanie 92
Oznaczenie OB w warunkach SOR jest wskazane przy podejrzeniu:
Pytanie 93
W razie opornego na leczenie bólu głowy (migrena) możliwe jest stosowanie tryptanu (np. sumatryptan). Przeciwwskazaniem do stosowania tego leku jest:
Pytanie 94
Z reguły wentylacja inwazyjna odbywa się przez rurkę dotchawiczą. Wskazaniem do wentylacji inwazyjnej nie jest:
Pytanie 95
Encefalopatia Wernickego powoduje splątanie, ataksję, oczopląs i obustronne porażenie nerwów okoruchowych i wiąże się z:
Pytanie 96
Przemijający napad niedokrwienny (TIA) to epizody nagłego, przejściowego ogniskowego deficytu neurologicznego z objawami najbardziej nasilonymi na początku i trwającym <24 godzin, wyraz TIA „crescendo” oznacza:
Pytanie 97
Do bezwzględnych przeciwwskazań wykonania trombolizy w przypadku udaru nie należy:
Pytanie 98
W badaniu RTG przesunięcie płuca od ściany klatki piersiowej o ≥2 cm wokół całej krawędzi płuc świadczy o procencie utraconej objętości płuc, która wynosi:
Pytanie 99
Wskaż prawdziwe stwierdzenie dotyczące gronkowcowego zespołu oparzonej skóry (SSSS, Staphylococcal Scalded Skin Syndrome):
Pytanie 100
Do najczęstszych przyczyn hipokalcemii nie należy:
Pytanie 101
Do złamań wewnątrztorebkowych szyjki kości udowej należą złamania:
Pytanie 102
Zapotrzebowanie na płyny u pacjenta pediatrycznego z masą ciała do 10 kg wynosi:
Pytanie 103
Objawy toksycznego zatrucia dziecka dekstropropoksyfenem to:
Pytanie 104
W diagnostyce choroby zapalnej miednicy (PID, Pelvic Inflammatory disease) złotym standardem jest:
Pytanie 105
W idealnym przypadku przedśmiertne cesarskie cięcie ratunkowe, aby zapewnić optymalne szanse przeżycia dla matki i noworodka, powinno nastąpić w ciągu:
Pytanie 106
Wstrząsy defibrylacyjne u kobiety w ciąży w trakcie resuscytacji:
Pytanie 107
Torbiel gruczołu Meiboma to:
Pytanie 108
Przy porażeniu dolnego neuronu ruchowego nerwu twarzowego występuje:
Pytanie 109
Wskaż fałszywe stwierdzenie dotyczące ropnia okołomigdałkowego:
Pytanie 110
W razie zatrucia żelazem toksyczność określana jest przez ilość połkniętego żelaza pierwiastkowego. Jaka dawka powoduje toksyczność ogólnoustrojową?
Pytanie 111
Wykonanie konikotomii jest przeciwwskazane w przypadku:
Pytanie 112
Przeciwwskazaniem do założenia wkłucia centralnego nie jest:
Pytanie 113
Znieczulenie metodą „blok Biera” to:
Pytanie 114
Wskaż prawdziwe stwierdzenie dotyczące urazów stawu biodrowego:
Pytanie 115
Zespół ciasnoty wewnątrzbrzusznej podejrzewa się w przypadku wartości ciśnienia wewnątrzbrzusznego, które wynosi:
Pytanie 116
Podczas oceny makroskopowej płynu mózgowo-rdzeniowego widoczne włókna podobne do nici pajęczych czynią najbardziej prawdopodobnym rozpoznaniem:
Pytanie 117
Do obszaru resuscytacyjnego oddziału ratunkowego przyjęto pacjenta z powodu szybkiej akcji serca. W ocenie klinicznej pacjent jest przytomny, z logicznym kontaktem, hipotonią (80/40 mmHg), zaznaczoną dusznością, z cechami zastoju obustronnie nad polami płucnymi. W EKG stwierdzono częstoskurcz nadkomorowy, AS 140/minutę, miarowa, długość QRS 10 sekund. Pierwszym działaniem jest:
Pytanie 118
W trakcie prowadzenia resuscytacji u pacjenta z zatrzymaniem krążenia w mechanizmie migotania komór, przy jednoczesnym stosowaniu kapnometrii zespół resuscytacyjny zauważył 2-krotny (w porównaniu do wartości wyjściowej) wzrost wartości końcowo-wydechowego CO2 (ETCO2). W tej sytuacji właściwym postępowaniem, zgodnym z zaleceniami ERC 2021 jest:
Pytanie 119
40-letni pacjent, kierowca autobusu, ofiara wypadku drogowego, został skierowany na oddział ratunkowy. W badaniu fizykalnym stwierdzono: GCS 12, pacjent z ograniczonym kontaktem, brak widocznych zewnętrznych źródeł krwawienia, AS 35/minutę, miarowa, RR 80/40 mmHg, saturacja 91%, niedoczulica brzucha poniżej linii pępka i brak czucia bólu na kończynach dolnych, obustronny niedowład kończyn dolnych z obustronnym objawem Babińskiego. Zgodnie z zaleceniami Europejskiej Rady Resuscytacji w celu poprawy wydolności krążeniowej w pierwszej kolejności należy podać pacjentowi:
Pytanie 120



