Wyszukaj egzamin lub pytanie
Egzamin PES Medycyna ratunkowa / wiosna 2023
120 pytań
Pytanie 1
Specyficzną odtrutką w zatruciu cyjankami jest:
Pytanie 2
Pełnisz dyżur na SOR. Twoim pacjentem jest 60-letni pacjent z bólem w klatce piersiowej. Pacjent jest monitorowany na defibrylatorze, HR 90/min, BP 140/70 mm Hg, SpO2 96%. W trakcie zbierania wywiadu u pacjenta dochodzi do utraty przytomności. Rozpoznajesz nagłe zatrzymanie krążenia a na monitorze obserwujesz zapis migotania komór. Jakie będzie twoje postępowanie?
Pytanie 3
Do SOR zgłasza się 40-letni pacjent z gorączką, bólami kostno-stawowymi, bólem i zawrotami głowy oraz światłowstrętem. Dolegliwości utrzymują się od dwóch dni, dziś dodatkowo pojawiły się nudności i wymioty. U pacjenta podejrzewasz zapalenie opon mózgowo-rdzeniowych (ZOMR). Wskaż prawdziwe stwierdzenia dotyczące tego rozpoznania i dalszego postępowania z pacjentem:
1) ZOMR ma najczęściej etiologię wirusową;
2) przed wykonaniem punkcji lędźwiowej konieczne jest badanie dna oka lub tomografia komputerowa głowy;
3) w przypadku podejrzenia ZOMR konieczne jest pobranie próbek na posiewy krwi;
4) z podaniem antybiotyku należy się wstrzymać do czasu wykonania nakłucia lędźwiowego;
5) mętny płyn mózgowo-rdzeniowy, z liczbą białych krwinek 1000-5000 komórek/mm³ i dominacją neutrofilii, stężenie glukozy < 40mg/dl to obraz typowy dla bakteryjnego ZOMR;
6) najczęstszym powikłaniem nakłucia lędźwiowego jest zespół ogona końskiego;
7) w razie stwierdzenia ZOMR o etiologii Neisseria meningitidis osoby narażone na bliski kontakt z pacjentem powinny otrzymać profilaktykę antybiotykową.
Prawidłowa odpowiedź to:
Pytanie 4
Wskaż prawdziwe stwierdzenia dotyczące zespołu serotoninowego i złośliwego zespołu neuroleptycznego:
1) może wystąpić u pacjenta leczonego z powodu depresji lekiem z grupy SSRI który przeciwbólowo przyjmuje fentanyl;
2) może wystąpić u pacjenta leczonego haloperidolem;
3) objawy tego zespołu narastają w ciągu dni-tygodni przyjmowania leków;
4) występuje w ciągu 24h od ekspozycji na substancję wywołującą;
5) charakteryzuje się występowaniem klonusów spontanicznych i wywołanych;
6) u chorego można zaobserwować oczopląs;
7) charakterystyczne dla tego zespołu są bradykinezja i akatyzja;
8) u chorego może wystąpić wzmożona potliwość i tachykardia;
9) wzmożone napięcie mięśniowe i sztywność;
10) w przebiegu tego zespołu występuje hipertermia.
Prawidłowa odpowiedź to:
Pytanie 5
Zespół Ratownictwa Medycznego przetransportował na SOR 60-letniego pacjenta po urazie. Pacjent w trakcie jazdy rowerem najechał na krawężnik, przy upadku uderzył prawą połową ciała w kierownicę. Przy przyjęciu pacjent przytomny, BP 100/60, HR 90/min, SpO2 94%, skarży się na ból brzucha w nadbrzuszu prawym. U pacjenta wykonano badanie tomografii komputerowej jamy brzusznej z podaniem kontrastu, w której stwierdzono krwiaka podtorebkowego wątroby, obejmującego 30% powierzchni narządu. Jest to uraz wątroby zakwalifikowany jako stopień:
Pytanie 6
Zespół Ratownictwa Medycznego został wezwany na miejsce wypadku komunikacyjnego. Motocyklista uderzył z dużą prędkością w stojący na poboczu samochód osobowy. Po pełnej ocenie pacjenta oraz badaniu urazowym stwierdzono, że pacjent powinien zostać przetransportowany jak najszybciej do szpitala. Wskaż obrażenia oraz parametry fizjologiczne, które kwalifikują pacjenta do leczenia w Centrum Urazowym?
1) rana długości około 15 cm w okolicy przedramienia lewego;
2) niestabilna, bolesna na ucisk miednica;
3) zasinienie w okolicy przedniej powierzchni klatki piersiowej po stronie lewej, ściszenie szmeru pęcherzykowego oraz stłumienie odgłosu opukowego po stronie lewej;
4) urazowa amputacja prawej stopy;
5) ciśnienie skurczowe krwi równe 80 mm Hg;
6) stan świadomości w Glasgow Coma Scale (GCS) 10 pkt;
7) saturacja krwi tętniczej 89%;
8) tętno 100 uderzeń/minutę.
Prawidłowa odpowiedź to:
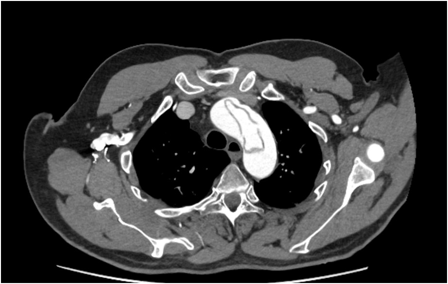
Pytanie 7
Na podstawie załączonej zdjęcia z badania tomografii komputerowej pacjenta rozpoznasz:

Pytanie 8
Zespół Ratownictwa Medycznego przetransportował na SOR pacjenta. 21-letni mężczyzna spadł ze schodów trzymając się prawą ręką barierki. Po zdarzeniu zaczął odczuwać silny ból w obrębie stawu barkowego prawego, występuje silne, bólowe ograniczenie ruchomości tej kończyny. Po wykonaniu RTG rozpoznano przednie zwichnięcie stawu barkowego. Wskaż prawdziwe stwierdzenia:
1) zawsze należy wykonać RTG stawu barkowego przy podejrzeniu zwichnięcia;
2) zwichnięcia przednie stawu barkowego są 8-9 razy częstsze niż zwichnięcia tylne;
3) zawsze należy zbadać tętno na dystalnej części kończyny ze względu na ryzyko uszkodzenia tętnicy pachowej;
4) charakterystyczny dla tego rodzaju zwichnięcia jest radiologiczny “objaw żarówki”;
5) jedną z metod manualnej repozycji zwichniętego stawu jest metoda Kochera;
6) należy unieruchomić kończynę po repozycji stawu barkowego w temblaku aby zapobiec rotacji zewnętrznej i nawrotowym zwichnięciom.
Prawidłowa odpowiedź to:
Pytanie 9
Do SOR zgłosił się pacjent, który dzień wcześniej doznał urazu zmiażdżeniowego podudzia. Miał wówczas wykonane RTG, które nie wykazało złamania i został wypisany z zaleceniem oszczędzania kończyny. Dziś podaje narastający obrzęk i silne dolegliwości bólowe kończyny - NRS 9. Wskaż prawdziwe stwierdzenie:
Pytanie 10
Do SOR trafia pacjent po zażyciu nieznanej substancji. W badaniu stwierdzasz pobudzenie psychoruchowe, gonitwę myśli, niepokój, rozszerzone źrenice, HR 160/min, BP 170/100 mm Hg, temp 41°C, wilgotną skórę. U pacjenta można podejrzewać zatrucie:
Pytanie 11
Zespół Ratownictwa Medycznego został wezwany przez mężczyznę do swojej rodzącej żony. Na miejscu zdarzenia zastano kobietę oraz noworodka, który urodził się chwilę przed przybyciem zespołu. Dziecko urodziło się w 34 tygodniu ciąży. Po przejęciu dziecka obserwujesz u niego sinicę centralną, gasping, HR około 50/min. Po osuszeniu dziecka oraz próbie stymulacji wykonujesz 5 oddechów upowietrzniających. Przy ponownej ocenie stwierdzono, że czynność serca nie przyspiesza. W takim przypadku należy:
Pytanie 12
Na SOR zgłasza się 24-letni pacjent z powodu uczucia kołatania serca od około 2 godzin. Przy przyjęciu pacjent jest przytomny, zdenerwowany, BP 130/70 mm Hg, HR 150/min, SpO2 95%. Po wykonaniu EKG rozpoznano u pacjenta częstoskurcz z wąskimi QRS, rytm jest miarowy. Wskaż prawidłową kolejność algorytmu postępowania u tego pacjenta celem przerwania napadu częstoskurczu:
1) 3 próby kardiowersji elektrycznej ze stałą, maksymalną energią dostępną na defibrylatorze;
2) 3 próby kardiowersji elektrycznej, pierwsza energią 70-120 J;
3) podanie adenozyny w dawce 6 mg, jeśli nieskuteczna - kolejne dawki 12 mg, następnie 18 mg dożylnie;
4) wykonanie manewrów stymulujących nerw błędny;
5) podanie werapamilu lub β-blokera.
Prawidłowa odpowiedź to:
Pytanie 13
Wskaż prawdziwe stwierdzenia dotyczące leków wykorzystywanych do sedacji proceduralnej w SOR:
1) bezwzględnym przeciwwskazaniem do podania ketaminy jest schizofrenia;
2) propofol działa kardiodepresyjnie, nie ma działania przeciwbólowego;
3) ketamina może być podawana dożylnie oraz domięśniowo;
4) etomidat nie obniża ciśnienia tętniczego krwi;
5) ketamina powoduje sedację dysocjacyjną.
Prawidłowa odpowiedź to:
Pytanie 14
Krwawienie śródczaszkowe pochodzenia nieurazowego, wewnętrznego najczęściej występuje pod postacią:
Pytanie 15
W wyniku potrącenia przez samochód 19-letni mężczyzna po krótkiej utracie przytomności skarży się na ból i zawroty głowy, nudności i wymioty, zaburzenia pamięci, bezsenność oraz zaburzenia koncentracji. Badanie TK nie wykazało zmian. Prawidłowe rozpoznanie to:
Pytanie 16
Chora lat 50 skarży się na wzmożone pragnienie, częste oddawanie moczu w większej ilości, suchość w ustach, bóle brzucha, wymioty, głęboki i częsty oddech, zapach acetonu z ust oraz uczucie chłodu. Wstępne rozpoznanie to:
Pytanie 17
U 18-letniego pacjenta urazowego z 120 kg m.c. z krwotokiem wewnętrznym podczas czynności ratunkowych należy przetoczyć 0,9% NaCl:
Pytanie 18
Przeciwwskazaniem do stosowania tlenoterapii hiperbarycznej (HBOT) jest:
Pytanie 19
Osoba przebywająca dłuższy czas na znacznej wysokości w górach skarży się na ból głowy, zmęczenie, ogólne osłabienie, zawroty głowy, nudności i wymioty, anoreksję oraz trudności ze snem. Przyczyną takiego stanu klinicznego jest:
Pytanie 20
Pacjent na skutek upadku z wysokości doznał tępego urazu głowy. W badaniu neurologicznym spontanicznie otwiera oczy, w kontakcie słownym jest splątany i zdezorientowany, reakcja zgięciowa kończyn prawidłowa, obronna. W Skali Śpiączki Glasgow (GCS) liczba punktów wynosi:
Pytanie 21
Wstrząs dystrybucyjny spowodowany jest rozległymi zmianami napięcia w naczyniach krwionośnych przy normalnej objętości krwi krążącej. Do tego rodzaju wstrząsu zaliczamy wstrząs:
Pytanie 22
Kryteriami kwalifikującymi do leczenie pacjenta w stanie nagłego zagrożenia zdrowotnego w Centrum Urazowym jest:
Pytanie 23
Na SOR zgłosił się 40-letni pacjent skarżący się od trzech dni na silny ból w nadbrzuszu pod prawym łukiem żebrowym o charakterze kolki żółciowej, gorączkę z dreszczami oraz zażółcenie powłoki ciała. Wstępne rozpoznanie to:
Pytanie 24
W TK głowy wykrywa się 95% przypadków krwotoku podpajęczynówkowego. U pacjentów z ujemnym wynikiem tego badania, ale posiadających silne kliniczne podejrzenie krwotoku powinno wykonać się:
Pytanie 25
Podanie adrenaliny (epinefryny) w bolusie dożylnym pacjentowi z mierzalnym ciśnieniem tętniczym i wyczuwalnym tętnem może prowadzić do wystąpienia:
Pytanie 26
U pacjentów ze złamaniem kości piętowej należy zawsze wykluczyć towarzyszące złamanie:
Pytanie 27
U pacjentów z obniżeniem odporności i osób przyjmujących narkotyki dożylnie, które zgłaszają się na SOR z umiejscowioną bolesnością uciskową kręgosłupa i gorączką jako przyczynę bólu pleców należy podejrzewać:
Pytanie 28
Przekrwienie okołoobrąbkowe sugeruje:
Pytanie 29
W przypadku pacjentów z encefalopatią nadciśnieniową nie należy obniżać gwałtownie średniego ciśnienia tętniczego krwi (MAP) o więcej niż:
Pytanie 30
Wskazania do pilnej dializy obejmują:
Pytanie 31
W przypadku młodej kobiety zgłaszającej się z wysypką, gorączką i biegunką należy wziąć pod uwagę:
Pytanie 32
Kontakt skóry z kwasem fluorowodorowym lub jego spożycie z reguły nie prowadzi do wystąpienia:
Pytanie 33
Z kilkoma wyjątkami procedury wykonywane na oddziale ratunkowym można zrealizować z mniejszą liczbą powikłań i większym wskaźnikiem powodzeń jeśli przeprowadza się je:
Pytanie 34
Medycyna ratunkowa ze swej natury:
Pytanie 35
W przypadku pacjentów z hiponatremią w celu uniknięcia mielinolizy środkowej mostu nie należy zwiększać stężenia sodu w surowicy o więcej niż:
Pytanie 36
U małego dziecka z wywiadem obejmującym: gorączkę, odmowę picia, ból gardła, niechęć do poruszania szyją najbardziej prawdopodobne jest:
Pytanie 37
W przypadku kobiet z depresją, myślami samobójczymi, przewlekłym bólem, dolegliwościami psychosomatycznymi i licznymi wizytami na oddziale ratunkowym najbardziej prawdopodobne jest:
Pytanie 38
Napad przejściowego niedokrwienia mózgu (TIA) jest zwiastunem wczesnego ostrego:
Pytanie 39
Oprócz monitorowania glikemii u pacjentów leczonych insuliną należy śledzić uważnie stężenie:
Pytanie 40
W zwykle stosowanych regułach segregacji medycznej w zdarzeniach mnogich jedynym wyjątkiem są poszkodowani w wyniku:
Pytanie 41
Stosowanie glikokortykosteroidów (np. prednizonu) w dawce >20 mg/dobę zahamuje czynność nadnerczy (zwiększy podatność na wystąpienie przełomu nadnerczowego) po:
Pytanie 42
U pacjenta z pokrzywką, występującym obrzękiem błony śluzowej, stridorze, świszczącym oddechu i hipotensji najbardziej prawdopodobnym stanem zagrożenia życia jest wystąpienie:
Pytanie 43
U pacjentów z małym prawdopodobieństwem wystąpienia żylnej choroby zakrzepowo-zatorowej w celu jej wykluczenia, jedynym użytecznym testem jest:
Pytanie 44
Pacjent z tamponadą tylną nosa powinien być monitorowany w szpitalu w kierunku:
Pytanie 45
U pacjenta z utrzymującym się częstoskurczem o niewyjaśnionej przyczynie należy brać pod uwagę:
Pytanie 46
Jeśli u pacjentki nie ma żadnych oznak ciąży wewnątrzmacicznej (IUP) w ultrasonografii przezpochwowej, a określone metodą ilościową stężenie ludzkiej gonadotropiny kosmówkowej (hCG) wynosi ponad 2000 j.m./l to należy podejrzewać u niej:
Pytanie 47
Wynik badania TK w kierunku zapalenia wyrostka robaczkowego jest ujemny tylko wtedy gdy:
Pytanie 48
Metodą z wyboru w diagnostyce kamienia moczowodowego jest:
Pytanie 49
Podejrzenie stanu przedrzucawkowego u kobiety w ciąży wzbudza ciśnienie krwi powyżej:
Pytanie 50
Kobiety w ciąży z nadciśnieniem tętniczym i drgawkami należy leczyć:
Pytanie 51
U każdego pacjenta z bólem okolicy lędźwiowej, pleców lub brzucha, hipotensją, omdleniem lub aktywnością elektryczną bez tętna (PEA) należy wykonać pilne:
Pytanie 52
U każdego, zwłaszcza starszego, pacjenta z silnym bólem brzucha, nieproporcjonalnym do wyników badania fizykalnego, często wymagającym zastosowania opioidowych leków przeciwbólowych podawanych w dużych dawkach należy podejrzewać:
Pytanie 53
U pacjenta ciężko chorego, gorączkującego z możliwą ekspozycją na ugryzienie przez kleszcza, leczeniem z wyboru jest:
Pytanie 54
Do SOR o godzinie 9:00 zgłaszają się rodzice z 3-letnim synem. Dziecko od poprzedniego dnia gorączkuje, a w nocy pojawił się szczekający kaszel oraz duszność. Przy przyjęciu do SOR dziecko spokojne, bez sinicy, oddycha z częstością 25/min, HR 130/min, osłuchowo słyszalny jest stridor wdechowy. Wskaż właściwe postępowanie z pacjentem:
1) należy podać steryd i w razie potrzeby nebulizację z adrenaliną;
2) należy wykonać badania laboratoryjne i RTG płuc, od ich wyniku zależy dalsze postępowanie;
3) należy zalecić rodzicom wyjście na zewnątrz - skuteczne w leczeniu krupu jest zimne powietrze;
4) dziecko wymaga pilnej konsultacji pediatrycznej i przyjęcia na oddział;
5) po wstępnym leczeniu w SOR dziecko może zostać wypisane do domu, ale musi otrzymać antybiotyk.
Prawidłowa odpowiedź to:
Pytanie 55
Z punktu widzenia traumatologii szyję dzieli się na trzy strefy. Wskaż fałszywe stwierdzenie dotyczące II strefy:
Pytanie 56
Wskazaniem do podania surowicy przeciwko jadowi żmii zygzakowatej jest:
1) każde ukąszenie u ciężarnej kobiety;
2) każde ukąszenie w twarz i szyję;
3) ukąszenie, po którym obserwuje się obrzęk szerzący się na tułów, z obecnością zagrażających życiu objawów ogólnych, jak wstrząs, obrzęk płuc, skaza krwotoczna;
4) ukąszenie u osoby z alergią na białka końskie;
5) ukąszenie po którym obserwuje się nudności i biegunkę;
6) ukąszenie, które powoduje objawy skazy krwotocznej, znaczną kwasicę metaboliczną, poważną małopłytkowość.
Prawidłowa odpowiedź to:
Pytanie 57
Według stanowiska Polskiego Towarzystwa Chirurgii Ręki próba replantacji/rewaskularyzacji powinna być podjęta w przypadkach urazowej amputacji:
1) palca wskazującego ręki dominującej;
2) dwóch lub więcej palców;
3) kciuka;
4) stopy u osoby w wieku podeszłym;
5) dystalnej części przedramienia;
6) którejkolwiek części kończyny u dziecka.
Prawidłowa odpowiedź to:
Pytanie 58
Do SOR trafiła 60-letnia pacjentka z zaburzeniami zachowania. Z relacji rodziny pacjentka w ostatnim czasie znacznie schudła, była niespokojna, pobudzona, skarżyła się na nadmierną potliwość i nietolerancję ciepła. Kilka dni temu trafiła do Izby Przyjęć innego szpitala, gdzie z powodu zgłaszanej duszności i uczucia kołatania serca miała wykonaną angio-TK tętnic płucnych. Aktualnie stan pacjentki się pogorszył, jest znacznie pobudzona i ma objawy psychotyczne. Parametry zmierzone przy przyjęciu: temperatura 40°C, HR 140/min, BP 150/90 mm HG, SpO2 95%. Najbardziej prawdopodobnym rozpoznaniem u pacjentki jest:
Pytanie 59
Wskaż prawdziwe stwierdzenie dotyczące prowadzenia resuscytacji krążeniowo-oddechowej u pacjentki w ciąży:
Pytanie 60
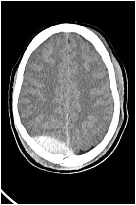
Na załączonym obrazie przedstawiono obraz TK głowy u pacjenta po urazie. Wskaż fałszywe stwierdzenie dotyczące przedstawionej patologii.

Pytanie 61
Wskaż prawdziwe stwierdzenie dotyczące analgosedacji u kobiety ciężarnej:
Pytanie 62
Zespół Ratownictwa Medycznego przybywa na miejsce wezwania. Pacjentem jest 45-letni mężczyzna znaleziony w parku przez przypadkowego przechodnia. Temperatura powietrza wynosi -10℃. Pacjent jest nieprzytomny, nie oddycha, nie wyczuwa się tętna na dużych naczyniach. Temperatura centralna pacjenta wynosi 27℃. Rozpoczęto resuscytację krążeniowo-oddechową (RKO). Wskaż prawdziwe stwierdzenia dotyczące prowadzenia resuscytacji krążeniowo-oddechowej u pacjenta w hipotermii:
1) u pacjenta należy wstrzymać podaż adrenaliny do uzyskania temperatury centralnej powyżej 30°C;
2) u pacjenta w trakcie NZK z powodu hipotermii stosunek uciśnięć klatki piersiowej i wentylacji powinien wynosić 15:2;
3) u pacjenta z hipotermią należy odstąpić od RKO w trakcie transportu do szpitala;
4) po uzyskaniu temperatury centralnej powyżej 30°C należy stosować adrenalinę w standardowych dawkach - 1 mg co 3-5 minut RKO;
5) w przypadku migotania komór i braku skuteczności trzech defibrylacji - kolejne próby defibrylacji należy odroczyć do czasu uzyskania u pacjenta temperatury centralnej powyżej 30°C;
6) pacjent powinien być przetransportowany do szpitala z możliwością wdrożenia pozaustrojowych technik podtrzymywania funkcji narządów (ECLS).
Prawidłowa odpowiedź to:
Pytanie 63
Wskaż fałszywe stwierdzenie dotyczące zapalenia dróg żółciowych:
Pytanie 64
Wskaż prawdziwe stwierdzenia dotyczące zapalenia osierdzia:
1) u chorych występuje najczęściej ból o charakterze opłucnowym, zmniejszający się w pozycji siedzącej z pochyleniem do przodu;
2) w EKG mogą wystąpić wieloodprowadzeniowe uniesienia odcinka ST;
3) każdy pacjent z rozpoznaniem zapalenia osierdzia wymaga hospitalizacji;
4) lekiem pierwszego rzutu w zapaleniu osierdzia są glikokortykosteroidy;
5) do czynników związanych ze złym rokowaniem u pacjentów z zapaleniem osierdzia zalicza się gorączkę, leczenie przeciwkrzepliwe lub immunosupresyjne;
6) pacjent z zapaleniem osierdzia wymaga oceny echokardiograficznej obecności płynu w worku osierdziowym.
Prawidłowa odpowiedź to:
Pytanie 65
Do SOR zgłosili się rodzice z 11-miesięcznym dzieckiem. Podają, że dziecko jest niespokojne, podciąga kolana do klatki piersiowej i wymiotuje. Rodzice podają również nietypową biegunkę - galaretkowaty, ciemnoczerwony stolec. W badaniu brzuch wzdęty, dziecko reaguje płaczem na badanie palpacyjne brzucha. U dziecka podejrzewać należy:
Pytanie 66
44-letni pacjent zgłosił się na SOR po urazie. W trakcie remontu mieszkania nadepnął prawą stopą na zardzewiały gwóźdź. Do zdarzenia doszło 2 h temu. Pacjent jest po podstawowym szczepieniu przeciwko tężcowi, ostatnią dawkę przypominającą otrzymał 13 lat temu. Wskaż strategię profilaktyki przeciwtężcowej u tego pacjenta?
Pytanie 67
Zespół Ratownictwa Medycznego przetransportował na SOR pacjenta po zasłabnięciu z krótkotrwałą utratą przytomności. Po przejęciu pacjenta stwierdzono bradykardię z HR 35/min. Do sytuacji obarczonych ryzykiem asystolii nie należy:
Pytanie 68
ZRM został wezwany do przebywającego w klubie nocnym 20-letniego mężczyzny. ZRM w karcie pacjenta zapisał: AVPU = P, tętno 130/min, ciśnienie tętnicze 110/70 mm Hg, liczba oddechów 28/min, wyczuwalny zapach alkoholu z ust. Podczas przekazywania pacjenta w SOR doszło do zatrzymania krążenia. W zapisie EKG - PEA. Wskaż działania jakie należało podjąć w warunkach przedszpitalnych aby zapobiec NZK:
Pytanie 69
Stosowanie sukcynylocholiny podczas intubacji u dzieci wiąże się z ryzykiem :
1) wystąpienia migotania komór;
2) wzrostu ciśnienia wewnątrzczaszkowego;
3) wydłużenia czasu blokady nerwowo-mięśniowej;
4) wystąpienia hipertermii złośliwej;
5) wystąpienia hiperkaliemii i mioglobinemii.
Prawidłowa odpowiedź to:
Pytanie 70
Dla II stadium hipotermii charakterystyczne zmiany w zapisie EKG to:
Pytanie 71
Który z leków używanych w RSI charakteryzuje się najszybszym zwiotczeniem mięśni, umożliwiającym intubację dotchawiczą?
Pytanie 72
30-letni mężczyzna zgłosił się do SOR dzień po pobiciu. Obecnie skarży się na dwojenie (diplopię), tkliwość i bolesność okolicy oczodołu. Zewnętrznie widoczne: obrzęk powieki i zasinienie lewego oczodołu. Jaka może być przyczyna tych objawów?
Pytanie 73
Jakich leków nie należy podawać pacjentce z zaostrzeniem astmy i otyłością (BMI ok. 50 kg/m2) podczas transportu do szpitala?
Pytanie 74
U pacjenta z bólem w klatce piersiowej zapis EKG wskazuje na ostry zawał mięśnia sercowego. Wskaż nieprawidłowości w elektrokardiogramie charakterystyczne dla świeżego zawału mięśnia sercowego:
1) zespół krótkiego QT;
2) uniesienie odcinka ST;
3) patologiczny załamek P;
4) wydłużenie odstępu Q-T;
5) świeży blok lewej odnogi pęczka Hisa (LBBB).
Prawidłowa odpowiedź to:
Pytanie 75
35-letni mężczyzna został przywieziony do SOR w następstwie upadku z wysokości 10 m. W chwili przyjęcia jest nieprzytomny a jego parametry są następujące: czynność serca 135/min, ciśnienie tętnicze 80/40 mm Hg, częstość oddechów 28/min. Wskaż prawdopodobną przyczynę hipotensji:
Pytanie 76
80-letni mężczyzna z kołataniem serca od godziny. Na podstawie zamieszczonego poniżej EKG (przesuw 25 mm/s) należy rozpoznać:

Pytanie 77
U 55-letniej kobiety od godziny wystąpił ból w klatce piersiowej. Pacjentka do tej pory czuła się dobrze. Ból wystąpił dość nagle ale początkowo był słaby i nasilił się do maksymalnego w czasie 20 min. EKG jak poniżej (przesuw 25 mm/s). Wskaż najbardziej prawdopodobne rozpoznanie:

Pytanie 78
Wskaż przyczynę niemiarowości rytmu komór u pacjenta, którego EKG zamieszczono poniżej:

Pytanie 79
90-letni pacjent stracił przytomność. Oddech 12/min, tętno wyczuwalne na tętnicy szyjnej, niewyczuwalne na tętnicy promieniowej. EKG jak poniżej (przesuw 25 mm/s). Wskaż optymalne postępowanie:

Pytanie 80
Na podstawie zapisu EKG (przesuw 25 mm/s) podczas stymulacji przezskórnej, wskaż jaki prąd stymulacji zastosowano i oceń czy stymulacja była skuteczna elektrycznie:

Pytanie 81
80-letnia kobieta do której wezwano ZRM z powodu bólu w klatce piersiowej, w trakcie wykonywania EKG straciła przytomność, oddech 6/min, niewyczuwalne tętno. EKG jak poniżej(przesuw 25 mm/s). Wskaż prawdziwe stwierdzenie:

Pytanie 82
U pacjenta z kołataniem serca od 12 godzin, który nie umiarowił się po uzupełnieniu niedoboru elektrolitów oraz farmakoterapii, zadecydowano o wykonaniu kardiowersji elektrycznej. W załączeniu EKG (przesuw 25 mm/s). Jaką energię należy zastosować wg aktualnych wytycznych ERC?

Pytanie 83
ZRM został wezwany do 72-letniego mężczyzny, ponieważ jego aparat do mierzenia ciśnienia dwukrotnie pokazał wartości czynności serca 32/min. EKG wykonane przez ZRM poniżej, a na dołączonej kartce zapisane przez pacjenta wyniki uzyskanych przez niego parametrów. Wskaż prawdziwe stwierdzenie:

Pytanie 84
Przy wykonywaniu kardiowersji elektrycznej migotania przedsionków znacznik kardiowersji elektrycznej powinien być zgodny z:
Pytanie 85
Rodzina wezwała ZRM do 80-letniego mężczyzny, który zasłabł. Pacjent przytomny, oddech 24/min, ciśnienie tętnicze 80/50 mm Hg, sat. 92%. Stosowane leki: bisoprolol 20 mg, metoprolol 200 mg, perindopril 10 mg, atorwastatyna 20 mg, kwas acetylosalicylowy 75 mg. Po podaniu 3 mg atropiny oraz podłączeniu wlewu adrenaliny 10 µg/min przez 10 min nie uzyskano przyśpieszenia rytmu serca. EKG jak poniżej (przesuw 25 mm/s). W leczeniu farmakologicznym w kolejnym kroku należy zastosować:

Pytanie 86
Wskaż prawdziwe stwierdzenia dotyczące szybkiego badania urazowego pacjenta:
1) jeśli w badaniu głowy poszkodowanego z krwawiącą raną nie stwierdza się ewentualnych niestabilnych złamań czaszki można zastosować opatrunek uciskowy;
2) na złamanie podstawy czaszki wskazuje surowiczo-krwisty płyn wyciekający z nosa oraz krwiaki okularowe;
3) jeżeli po urazie głowy obie źrenice są poszerzone i nie reagują na światło rokowanie jest niepomyślne;
4) w badaniu neurologicznym wynik 10 pkt w skali GCS uważany jest za oznakę ciężkiego uszkodzenia mózgu;
5) w skali GCS pacjent za reakcję zgięciową na ból otrzymuje 2 pkt.
Prawidłowa odpowiedź to:
Pytanie 87
Wskaż prawdziwe stwierdzenia dotyczące wstrząsu kardiogennego:
1) stłuczenie serca często powoduje wstrząs kardiogenny;
2) ciężkie stłuczenie serca może objawiać się tachykardią, sinicą oraz poszerzeniem żył szyjnych i przypominać tamponadę serca;
3) przetoczenie płynów nie może być przyczyną pogorszenia stanu poszkodowanego;
4) pacjentowi z podejrzeniem stłuczenia serca należy podawać tlen w niskim przepływie i monitorować czynność serca;
5) poszkodowanych ze stłuczeniem serca należy szybko przetransportować do szpitala.
Prawidłowa odpowiedź to:
Pytanie 88
Wskaż prawdziwe stwierdzenia dotyczące odbarczania odmy prężnej u pacjenta:
1) na obecność odmy prężnej u pacjenta mogą wskazywać ściszony szmer pęcherzykowy po stronie odmy, chybkie tętno, bębenkowy odgłos opukowy po stronie odmy;
2) dostęp przedni do odbarczenia odmy można zidentyfikować poprzez palpację kąta Louisa;
3) wprowadza się igłę w II lub IV przestrzeni międzyżebrowej pod kątem 45° do ściany klatki piersiowej;
4) po podłączeniu kapnografu narastanie ETCO2 jest wczesnym objawem zagięcia się cewnika odbarczającego lub narastania odmy;
5) wprowadzeniu igły do jamy opłucnej towarzyszy nagły wzrost oporu powietrza.
Prawidłowa odpowiedź to:
Pytanie 89
Wskaż prawdziwe stwierdzenia dotyczące skali Mallampatiego:
1) skala Mallampatiego służy do oceny trudnych warunków intubacji pacjenta;
2) im niższy stopień w tej skali tym trudniejsze będą warunki intubacji;
3) stopień II wskazuje na widoczną górną połowę migdałków lub ich loży;
4) stopień III wskazuje na widoczne jedynie podniebienie twarde;
5) stopień IV wskazuje na widoczne jedynie podniebienie twarde.
Prawidłowa odpowiedź to:
Pytanie 90
W badaniu ultrasonograficznym przyłóżkowym rozpoznanie odmy opłucnowej można postawić jeżeli stwierdza się:
1) objaw ślizgania opłucnej (lung sliding);
2) dominujące linie A;
3) brak obecności linii B;
4) objaw „stratosfery” w projekcji M-mode - liczne równoległe linie;
5) obraz „plaży” lub „brzegu morskiego” (sea shore).
Prawidłowa odpowiedź to:
Pytanie 91
Wskaż prawdziwe stwierdzenia dotyczące urazów nerek i moczowodów:
1) wielkość krwiomoczu i jego nasilenie nie zawsze korelują z ciężkością uszkodzenia urazowego nerki;
2) rezonans magnetyczny nerek jest złotym standardem diagnostycznym dla każdego urazu nerki;
3) tylko 20% urazów pęcherza moczowego jest spowodowanych tępym urazem i związanych jest ze złamaniem miednicy;
4) należy starannie szukać uszkodzeń moczowodów w urazach penetrujących jamę brzuszną, ponieważ łatwo je pominąć;
5) jatrogenne urazy są najczęstszą przyczyną uszkodzenia moczowodu.
Prawidłowa odpowiedź to:
Pytanie 92
Należy rozważyć niepodejmowanie resuscytacji w zatrzymaniu krążenia spowodowanym urazem, jeśli:
1) brak oznak życia w ciągu ostatnich 15 minut;
2) wystąpił masywny uraz niedający szans na przeżycie np. uraz penetrujący serca, utrata tkanki mózgowej;
3) nie uzyskano ROSC mimo leczenia przyczyn odwracalnych;
4) nie wykazano aktywności serca w badaniu ultrasonograficznym.
Prawidłowa odpowiedź to:
Pytanie 93
Wskaż błędne zestawienie lek - antidotum:
Pytanie 94
Im bardziej nasilona hipokaliemia, tym częściej nasilone zmiany w EKG. Najwcześniej występuje:
Pytanie 95
Stężenie potasu w surowicy >5,5 mmol/l określane jest jako hiperkaliemia. Dane z piśmiennictwa wskazują, że 50-75% pacjentów SOR ma prawidłowy zapis EKG. Niemniej jednak są zmiany w zapisie EKG, które mogą sugerować hiperkaliemię. Są to:
Pytanie 96
Prokalcytonina (PCT) jest jednym z wykładników stanu zapalnego (ostrej fazy), więc interpretacja jej stężenia zawsze musi być oparta na ocenie stanu klinicznego. Niemniej jednak uogólniona odpowiedź zapalna organizmu na ciężką infekcję bakteryjną lub wstrząs septyczny i niewydolność wielonarządowa występują, gdy stężenia PCT wynoszą:
Pytanie 97
Krwotok pourazowy z tułowia niepoddający się uciśnięciu NCTH (non compressible truncal hemorrhage) zawsze wymaga postępowania inwazyjnego. Alternatywą do torakotomii lub laparotomii jest:
Pytanie 98
Przyczyną fałszywie niskich stężeń prokalcytoniny (PCT) może być:
Pytanie 99
Wskaż, który zapach oddechu pacjenta prawidłowo wskazuje substancję, którą pacjent jest zatruty:
Pytanie 100
Do leków i substancji niecieniujących na zdjęciu RTG należy/ą:
Pytanie 101
Bezwzględnym przeciwwskazaniem do konikotomii jest:
Pytanie 102
Maksymalna dobowa dawka paracetamolu w SOR wynosi:
Pytanie 103
Przyczyną ataksji, dysmetrii, zawrotów głowy, wymiotów jest:
Pytanie 104
Wskaźnik wstrząsu (Allgӧwera) oblicza się dzieląc tętno/min przez skurczowe ciśnienie tętnicze (mm Hg). O zagrażającym wstrząsie świadczy wartość wskaźnika:
Pytanie 105
Oznaczenie stężenia peptydu natriuretycznego typu B (BNP) nie służy do:
Pytanie 106
Tak zwaną wielką czwórkę zawrotów głowy (The big 4 of vertigo) stanowią:
Pytanie 107
Zmodyfikowana Skala Wellsa służy do oceny:
Pytanie 108
Wskaż fałszywe stwierdzenie dotyczące nakłucia worka osierdziowego w pourazowej tamponadzie osierdzia:
Pytanie 109
30-letni pacjent przyjęty na SOR skarży się na ból lewej kostki. Podaje, że „źle stanął” i obecnie nie może obciążać tej stopy przy chodzeniu. Parametry życiowe w normie. Od dzieciństwa pacjent ma nieprawidłowe EKG, ale nie potrafi podać szczegółów (poniżej aktualny zapis EKG). Wskaż prawidłowe postępowanie:

Pytanie 110
23-letni pacjent, który został przywieziony przez ZRM na SOR zachowuje się wesołkowato, okresowo krzyczy, że jest głodny, podaje nadwrażliwość na dźwięk i światło, nie pamięta co robił 10 minut temu. Pacjent ma przekrwione spojówki i tachykardię. Prawdopodobną przyczyną stanu pacjenta jest zatrucie:
Pytanie 111
U 85-letniej kobiety z chorobą Parkinsona stwierdzono zapis EKG:
Wskaż prawidłowe rozpoznanie:

Pytanie 112
U chorego z ciężkimi obrażeniami czaszkowo-mózgowymi na SOR obserwuje się: GCS 6 pkt, bradypnoë z saturacją 74%, ciśnienie tętnicze krwi 186/97 mm Hg, HR 75/min, anizokorię. Wskaż początkowe postępowanie:
Pytanie 113
70-letnia kobieta skarży się na zasłabnięcia. Podaje, że uzyskała wynik pomiaru ciśnienia tętniczego w domu 70/40 mm Hg. Na triażu ciśnienie tętnicze wynosiło 110/70 mm Hg. EKG poniżej:
Wskaż przyczynę różnic w pomiarach ciśnienia tętniczego:

Pytanie 114
25-letnia kobieta zgłosiła się na SOR z powodu kołatania serca. Na triażu stwierdzono ciśnienie tętnicze 140/60 mm Hg, saturacja 95%. Automatyczny aparat do mierzenia ciśnienia tętniczego pokazał, że puls pacjentki wynosi 35/min. EKG poniżej:
Jakie leczenie należy zastosować u tej pacjentki?

Pytanie 115
72-letnia kobieta zemdlała. ZRM stwierdził: RR 180/60 mm Hg, puls 28/min, saturację 91%. Na podstawie przedstawionego zapisu EKG należy stwierdzić:

Pytanie 116
Na podstawie przedstawionego zapisu EKG należy stwierdzić:

Pytanie 117
Zespół RM został wezwany do 6-miesięcznego niemowlęcia oblanego gorącą wodą. Stwierdzono oparzenia stopnia IIa klatki piersiowej, brzucha, przedniej części kończyn górnych i dolnych. Dziecko jest niespokojne i cały czas głośno płacze. Wskaż prawidłowe postępowania:
1) zastosowanie opatrunków hydrożelowych;
2) podanie 20 mg paracetamolu p.r.;
3) podanie 0,1 mg morfiny i.v.;
4) podanie 0,6 mg morfiny i.v.;
5) chłodzenie oparzonej powierzchni przez 60 minut;
6) zapewnienie komfortu cieplnego;
7) transport do ośrodka oparzeniowego;
8) płynoterapia - 1000 ml mleczanu Ringera w ciągu pierwszej godziny.
Prawidłowa odpowiedź to:
Pytanie 118
6-letnie dziecko, które rodzice przyprowadzili na SOR z powodu bólów brzucha i wymiotów, gorączkuje do 38°C, oddało 3 luźne stolce w ciągu 12 godzin. Badanie przedmiotowe ujawniło rozlaną bolesność uciskową brzucha bez objawu Rovsinga. Wskaż, które badania laboratoryjne i obrazowe należy wykonać na początku:
Pytanie 119
U 5-letniego dziecka występują następujące objawy: gorączka od 4 dni, zapalenie gardła, powiększenie węzłów chłonnych głównie szyjnych, drobnoplamista wysypka na ciele dominująca w pachwinach, malinowy język. Wskaż prawidłowe postępowanie:
Pytanie 120



