Wyszukaj egzamin lub pytanie
Egzamin PES Kardiologia dziecięca / wiosna 2023
120 pytań
Pytanie 1
Poniższe zapisy ciśnienia w aorcie pacjenta nasuwają podejrzenie:
1) wrodzonego zwężenia cieśni aorty z niedorozwojem łuku aorty;
2) pooperacyjnego zwężenia cieśni aorty;
3) zespołu aorty brzusznej;
4) niedorozwoju łuku aorty;
5) zwężenia podzastawkowego aorty.
Prawidłowa odpowiedź to:

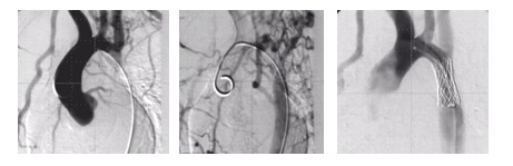
Pytanie 2
Jak brzmi ostateczne rozpoznanie i zastosowana metoda leczenia?

Pytanie 3
Noworodek w drugiej dobie życia z prostym przełożeniem wielkich pni tętniczych, z szeroko otwartym przewodem tętniczym na stałym wlewie dożylnym preparatu Prostin w dawce 0,1 µg/kg/min, FiO2 0,8, z saturacją mierzoną na prawej kończynie górnej 60% HbO2, na lewej kończynie dolnej 90% HbO2. Po skutecznej anatomicznie atrioseptostomii balonowej na kończynie górnej prawej ma saturację 65% HbO2. Jakiego dalszego działania wymaga pacjent?
Pytanie 4
Wskaż prawidłowy opis angiografii i zastosowaną metodę leczenia:

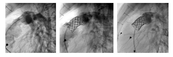
Pytanie 5
Pacjent 14-letni z miernym zwężeniem drogi odpływu prawej komory i narastającą niedomykalnością płucną, po operacji Fallota z rekonstrukcją połączenia prawej komory z tętnicami płucnymi homograftem płucnym 18 mm. Wskaż sposób leczenia jaki zastosowano:

Pytanie 6
Oblicz wartość stosunku przepływu płucnego do systemowego (Qp/Qs) u 8-miesięcznego pacjenta z ubytkiem przegrody międzykomorowej z następującymi wartościami saturacji tlenem (% HbO2): mieszana krew żylna 76, pień płucny 87, lewy przedsionek 98, aorta 98:
Pytanie 7
W czasie diagnostycznego cewnikowania serca zostały zmierzone następujące wartości saturacji tlenem (% HbO2): żyła główna górna 68, prawy przedsionek 69, prawa komora 85, pień płucny 86, aorta 99. Wskaż prawidłową interpretację powyższej sytuacji:
Pytanie 8
Wybór dostępu naczyniowego dla wykonania zarówno diagnostycznego, jak interwencyjnego cewnikowania serca ma zasadnicze znaczenie dla uzyskania zaplanowanego wyniku. Wybór zależy od:
1) parametrów fizycznych pacjenta;
2) wielkości naczyń w stosunku do zaplanowanego do użycia sprzętu;
3) drożności naczyń;
4) zakresu zaplanowanego badania lub zabiegu interwencyjnego;
5) stanu klinicznego pacjenta.
Prawidłowa odpowiedź to:
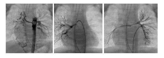
Pytanie 9
Badania angiograficzne tego samego pacjenta. Wskaż odpowiedni do obrazów opis:

Pytanie 10
Ograniczenie możliwości zwiększenia obciążenia wstępnego komory systemowej może występować :
1) w wadach wrodzonych serca z grupy czynnościowo pojedynczej komory po operacji Fontana;
2) w zwężeniu zastawki mitralnej bez komunikacji międzyprzedsionkowej;
3) w zwężeniu tunelu wewnątrz-przedsionkowego po operacji Mustarda;
4) w ciężkim tętniczym nadciśnieniu płucnym;
5) we wrodzonym zwężeniu żył płucnych.
Prawidłowa odpowiedź to:
Pytanie 11
Zwężenie drogi odpływu lewej komory o różnej morfologii i patomechanizmie:
1) może towarzyszyć zastawkowemu zwężeniu aorty;
2) może być elementem złożonej postaci przełożenia wielkich pni tętniczych;
3) może wynikać z zaburzenia rozwoju przegrody międzykomorowej i przemieszczenia jej części odpływowej do przodu;
4) może być odległym powikłaniem korekcji fizjologicznej przełożenia wielkich pni tętniczych;
5) występuje zawsze w kardiomiopatii przerostowej.
Prawidłowa odpowiedź to:
Pytanie 12
Jakie badania obrazowe w zarośnięciu drogi odpływu prawej komory z ubytkiem przegrody międzykomorowej dają najlepszą ocenę przedoperacyjną zakresu unaczynienia płuc przez duże kolaterale aortalno-płucne oraz wielkości przepływu przez te kolaterale?
1) aortografia do aorty wstępującej i zstępującej w projekcjach tylno-przedniej i bocznej;
2) bramkowana zapisem ekg tomografia komputerowa;
3) kardiorezonans magnetyczny;
4) wybiórcze angiografie kolaterali aortalno-płucnych w projekcji przednio-tylnej z odchyleniem dogłowowym;
5) scyntygrafia perfuzyjna płuc (99mTc).
Prawidłowa odpowiedź to:
Pytanie 13
Badanie rezonansu magnetycznego w wadach wrodzonych serca pozwala na:
1) zobrazowanie anatomii wady w projekcjach dwu i trójwymiarowych wraz z dokładną anatomią zastawek przedsionkowo-komorowych;
2) obliczenie parametrów czynnościowych lewej i prawej komory;
3) obliczenie przepływów systemowego, płucnego, przecieków wewnątrzsercowych i międzynaczyniowych;
4) obliczenie płucnego i systemowego oporu naczyniowego;
5) zobrazowanie włóknienia mięśnia sercowego.
Prawidłowa odpowiedź to:
Pytanie 14
Dysjunkcja pierścienia mitralnego jest anatomiczną anomalią pierścienia polegającą na:
Pytanie 15
U dziecka z zastawką mechaniczną w pozycji trójdzielnej, mitralnej lub aortalnej, po incydencie zakrzepowym, w leczeniu przeciwzakrzepowym należy stosować:
Pytanie 16
W ocenie echokardiograficznej w kardiomiopatii przerostowej u dzieci istotne są pomiary:
Pytanie 17
W trakcie badania echokardiograficznego pacjenta z niewydolnością serca frakcja wyrzutowa lewej komory metodą Simpsona została oceniona na 40%. W oparciu o powyższy opis można rozpoznać:
Pytanie 18
W ocenie echokardiograficznej ciężkiej niedomykalności zastawki aortalnej przed kwalifikacją do leczenia należy uwzględnić:
Pytanie 19
U noworodka z nasiloną sinicą, brakiem wyraźnego szmeru nad sercem oraz z lewogramem w zapisie EKG najbardziej prawdopodobnym rozpoznaniem jest:
Pytanie 20
Wskaż stwierdzenia prawdziwe dotyczące zabiegu balonoplastyki zastawki aortalnej:
1) ryzyko niedomykalność zastawki aortalnej w dużej części zależy od pierwotnej morfologii zastawki;
2) do możliwych powikłań zabiegu należy migotanie komór;
3) możliwe jest wykonanie zabiegu wstecznie przez komunikację międzyprzedsionkową;
4) stosunek wymiaru cewnika balonowego względem wielkości pierścienia aortalnego powinien wynosić co najmniej 1;
5) przeciwwskazaniem do wykonania zabiegu jest m.c. poniżej 2500 g.
Prawidłowa odpowiedź to:
Pytanie 21
Do parametrów echokardiograficznych wykorzystywanych w ocenie istotności hemodynamicznej i kwalifikacji do leczenia przewodu tętniczego u noworodka przedwcześnie urodzonego nie należy:
Pytanie 22
Najbardziej prawdopodobne parametry hemodynamiczne stwierdzone w cewnikowaniu serca u pacjenta z rozpoznanie kardiomiopatii restrykcyjnej są:
Pytanie 23
W kwalifikacji do reoperacji pacjenta z tetralogią Fallota z powodu niedomykalności zastawki płucnej przydatnymi parametrami w badaniu MRI serca są:
1) RVESVi;
2) RVEDVi;
3) stosunek Qp:Qs;
4) stosunek LPA/RPA;
5) badanie MRI serca nie jest wykorzystywane w kwalifikacji do reoperacji pacjentów po korekcji tetralogii Fallota.
Prawidłowa odpowiedź to:
Pytanie 24
Przezskórne zamknięcie przewodu tętniczego można wykonać u:
Pytanie 25
Wskaż stwierdzenie fałszywe odnoszące się do atrezji tętnicy płucnej bez ubytku przegrody międzykomorowej:
Pytanie 26
Przeciwwskazaniem do przezskórnego zamknięcia ubytku przegrody międzyprzedsionkowej jest:
Pytanie 27
Stretch diameter (średnica rozciągnięta) ustalony na podstawie pomiaru cewnikiem balonowym wymiarującym w trakcie cewnikowania serca przed zamknięciem ubytku przegrody międzyprzedsionkowej jest:
Pytanie 28
Wskaż prawdziwe stwierdzenie dotyczące wrodzonego zwężenia zastawki płucnej:
Pytanie 29
Wskaż fałszywe stwierdzenie dotyczące przetoki wieńcowej do tętnicy płucnej:
Pytanie 30
W obrazie echokardiograficznym ostrej zatorowości płucnej obserwujemy:
Pytanie 31
Które z powyższych wartości ciśnień w tętnicy płucnej mogą być podstawą do rozpoznania tętniczego nadciśnienia płucnego (wartości podano w kolejności: ciśnienie skurczowe/rozkurczowe/średnie):
Pytanie 32
14-letnia dziewczynka z rozpoznanym przetrwałym przewodem tętniczym została skierowana do ustalenia dalszego leczenia. W badaniu echokardiograficznym uwidoczniono powiększoną lewą komorę z cechami przeciążenia objętościowego, niedomykalność zastawki trójdzielnej ++ z TR v.max fali zwrotnej 3,5 m/s, oraz PDA szerokości 7mm z przepływem dwukierunkowym (dominujący lewo-prawy). W cewnikowaniu serca średnie ciśnienie w tętnicy płucnej wyniosło 38 mm Hg, opór płucny (PVR) wyniósł 4,5 j.Wooda, Qp:Qs = 1,7 . Wskaż optymalne dalsze leczenie:
Pytanie 33
Efekt Coandy, czyli wyższe ciśnienie na prawej kończynie górnej w porównaniu do lewej kończyny górnej oraz kończyn dolnych, jest charakterystyczny dla:
Pytanie 34
16-letni chłopiec skierowany z oddziału neurologicznego celem konsultacji kardiologicznej z powodu stwierdzonego szmeru nad sercem. Hospitalizowany w oddziale neurologicznym z powodu udaru niedokrwiennego (przemijający niedowład lewostronny, w MRI głowy potwierdzone ognisko niedokrwienne). Saturacja w spoczynku wynosi 96%. W badaniu echokardiograficznym uwidoczniono ubytek w przegrodzie międzyprzedsionkowej o wymiarach 15 x 22 mm z przeciekiem dwukierunkowym, znacznie powiększone prawe jamy serca, niedomykalność zastawki trójdzielnej ++ z gradientem fali zwrotnej = 4 m/s. W echokardiografii przezprzełykowej potwierdzono ubytek w przegrodzie międzyprzedsionkowej typu II - anatomia ubytku dogodna do zamknięcia przeznaczyniowego. W cewnikowaniu serca: średnie ciśnienie w tętnicy płucnej mPAP - 46 mm Hg, opór płucny PVR = 5,1 j.Wooda, Qp:Qs = 1,6. Wskaż prawidłowe dalsze postępowanie:
Pytanie 35
U 3-letniego pacjenta z mięśniowym ubytkiem w przegrodzie międzykomorowej podczas cewnikowania serca stwierdzono:
- ciśnieniami w aorcie = 98/57/69 mm Hg;
- ciśnienie w tętnicy płucnej = 23/12/17 mm Hg;
- saturację w aorcie = 96%;
- saturacja w żyłach płucnych = 98%;
- saturację w tętnicy płucnej = 81%;
- saturację w żyle głównej dolnej = 73%;
- saturację w żyle głównej górnej = 74%;
Wskaż właściwe dalsze postępowanie:
Pytanie 36
U 16-letniej pacjentki z ubytkiem w przegrodzie międzyprzedsionkowej oraz przeciążeniem objętościowym prawej komory, w cewnikowaniu serca stwierdzono średnie ciśnienie w tętnicy płucnej (mPAp) 25 mm Hg, ciśnienie zaklinowania kapilar płucnych (PCWp) 11 mm Hg, naczyniowy opór płucny (PVR) 2,8 j. Wooda oraz stosunek przepływu płucnego do systemowego (Qp:Qs) = 2,1. W opisanym przypadku należy:
Pytanie 37
Wskaż stwierdzenia prawdziwe dotyczące przerwania łuku aorty:
1) zawsze wadą towarzyszącą jest ubytek w przegrodzie międzykomorowej;
2) może towarzyszyć wspólnemu pniu tętniczemu oraz okienku aortalno-płucnemu;
3) w przypadku typu A po zamknięciu się przewodu tętniczego charakterystyczny jest brak tętna na tętnicach udowych oraz lewej tętnicy promieniowej;
4) w zapisie EKG charakterystyczny jest prawogram z blokiem prawej odnogi pęczka Hisa;
5) charakterystyczną cechą ubytku międzykomorowego w tej wadzie jest przemieszczenie się przegrody stożka na prawo i zwężenie podpłucne;
6) charakterystyczną cechą ubytku międzykomorowego w tej wadzie jest przemieszczenie się przegrody stożka na lewo i zwężenie podaortalne.
Prawidłowa odpowiedź to:
Pytanie 38
Wskaż fałszywe stwierdzenie dotyczące wspólnego pnia tętniczego:
Pytanie 39
Wskaż fałszywe stwierdzenia dotyczące noworodka z atrezją zastawki płucnej bez ubytku w przegrodzie międzykomorowej:
1) obecność przetok łączących prawą komorę z krążeniem wieńcowym jest przeciwwskazaniem do otwarcia drogi wypływu prawej komory;
2) istotne zwężenie 2. głównych gałęzi tętnic wieńcowych świadczy o zależności prawokomorowo-wieńcowej;
3) przezskórne udrożnienie zastawki tętnicy płucnej może być brane pod uwagę w wybranych przypadkach dwuczęściowej prawej komory serca;
4) przezskórne udrożnienie zastawki tętnicy płucnej może być brane pod uwagę u pacjentów z miokardium w pozycji zastawki płucnej;
5) pacjenci ze znacznym niedorozwojem prawej komory, ze średnicą zastawki trójdzielnej wyrażanej w z score -4 są kandydatami do leczenia paliatywnego.
Prawidłowa odpowiedź to:
Pytanie 40
W badaniu fizykalnym u 2- letniego chłopca wysłuchano: holosystoliczny szmer skurczowy w dolnej części lewego brzegu mostka, rozdwojony I oraz II ton serca, ton III oraz IV. W badaniu elektrokardiograficznym stwierdzono blok przedsionkowo-komorowy I-go stopnia, blok prawej odnogi pęczka Hisa, spiczasty załamek P w odprowadzeniu II. Najbardziej prawdopodobną wadą serca jest:
Pytanie 41
U wcześniaka urodzonego w 26 tygodniu ciąży z masą ciała 1600 g, z niewydolnością oddechową, w 6 dobie życia rozpoznano drożny przewód tętniczy. Wskaż stwierdzenie, które nie świadczy o echokardiograficznej istotności lewo-prawego przecieku przez przewód:
Pytanie 42
Wskaż stwierdzenie fałszywe dotyczące surowiczego zapalenia osierdzia:
Pytanie 43
Wskaż prawdziwe stwierdzenie dotyczące badania echokardiograficznego w projekcji M-mode:
Pytanie 44
Wskaż prawdziwe stwierdzenie dotyczące chorych po operacji metodą Fontana:
Pytanie 45
Wskaż prawdziwe stwierdzenia dotyczące rekoarktacji aorty:
1) w przypadku nawrotu zwężenia po korekcji chirurgicznej wady leczeniem z wyboru jest interwencja przezskórna - angioplastyka balonowa lub implantacja stentu;
2) może być rozpoznana, jeśli wielkość gradientu ciśnienia skurczowego w pomiarze inwazyjnym przekracza 20 mmHg;
3) może być rozpoznana, jeśli średnica aorty w miejscu cieśni jest mniejsza niż 50% średnicy aorty piersiowej na poziomie przepony;
4) ryzyko rekoarktacji aorty zależy od wieku pacjenta w momencie operacji i od techniki operacyjnej;
5) implantację stentu w przypadku rekoarktacji aorty rozważa się u dzieci starszych.
Prawidłowa odpowiedź to:
Pytanie 46
Wskaż fałszywe stwierdzenie:
Pytanie 47
Ekstremalnie duże ryzyko śmiertelności kobiety ciężarnej lub ciężkiej chorobowości (klasa IV mWHO a więc kobiety z tymi schorzeniami zdecydowanie powinny unikać ciąży) istnieje w poniższych jednostkach chorobowych:
1) zaawansowane tętnicze nadciśnienie płucne;
2) nieoperowane sinicze wady serca;
3) ciężkie bezobjawowe AS;
4) krążenie Fontana z jakimkolwiek powikłaniem odległym;
5) ciężka (re)koarktacja aorty;
6) umiarkowana stenoza mitralna;
7) systemowa RV z umiarkowanie lub ciężko obniżoną funkcją skurczową.
Prawidłowa odpowiedź to:
Pytanie 48
Wskaż fałszywe stwierdzenie dotyczące zaleceń leczenia zabiegowego zwężenia drogi odpływu prawej komory u pacjentów GUCH (Grown Up Congenital Heart):
Pytanie 49
Przezskórną wymianę zastawki tętnicy płucnej należy rozważyć u bezobjawowych pacjentów z ciężką PR i/lub RVOTO, gdy obecne jest jedno z poniższych kryteriów. Wyjątkiem powyższej prawidłowości jest:
Pytanie 50
Powszechnymi powikłaniami po zabiegu Rastellego są niżej wymienione. Wyjątkiem jest/są:
Pytanie 51
Do najczęstszych nieprawidłowości współistniejących z ubytkiem przegrody międzyprzedsionkowej nie należy:
Pytanie 52
Wskaż wady będące składowymi, rzadko spotykanej, pentalogii Cantrela:
1) ubytek powłok brzusznych linii środkowej z przepukliną pępowinową;
2) ubytek lub rozszczep mostka;
3) hipoplazja płuc;
4) przeponowy ubytek osierdzia;
5) torbielowatość nerek;
6) ektopia serca;
7) uchyłek komory serca;
8) przepuklina oponowa.
Prawidłowa odpowiedź to:
Pytanie 53
Typ anatomiczne całkowitego nieprawidłowego spływu żył płucnych wymieniono poniżej.
1) typ nadsercowy;
2) typ mieszany;
3) typ podsercowy;
4) typ śródsercowy.
Rozkład częstości występowania tych typów w kolejności od najczęstszego do najrzadszego wskazuje odpowiedź:
Pytanie 54
Wskaż klasyczne objawy tamponady osierdzia (triadę Becka):
1) spadek ciśnienia tętniczego krwi;
2) krwioplucie;
3) poszerzenie żył szyjnych;
4) bradykardia;
5) ściszenie tonów serca;
6) tętno twarde.
Prawidłowa odpowiedź to:
Pytanie 55
W umieszczonym poniżej zapisie EKG 10-letniego chłopca widać:

Pytanie 56
U pacjentów z zespołem tachykardii posturalno-ortostatycznej (POTS) w czasie zmiany pozycji z leżącej na stojącą w ciągu ok. 10 minut dochodzi do:
Pytanie 57
Leczenie ektopicznego częstoskurczu z łącza przedsionkowo-komorowego (junctional ectopic tachycardia JET), który wystąpił we wczesnym okresie po operacji kardiochirurgicznej polega na:
1) podaniu adenozyny;
2) przezprzełykowej stymulacji lewego przedsionka;
3) schłodzenie ciała dziecka;
4) wczesnym rozpoczęciu leczenia amiodaronem;
5) kardiowersji.
Prawidłowa odpowiedź to:
Pytanie 58
Flekainid należy do klasy IC leków antyarytmicznych według klasyfikacji Vaughana-Williamsa. Wskaż stwierdzenia prawdziwe dotyczące flekainidu:
1) lek zwalnia przewodzenia w łączu przedsionkowo-komorowym, nie wpływa na układ His-Purkiniego;
2) lek działa inotropowo dodatnio;
3) łatwo przechodzi przez łożysko i osiąga ok. 70% poziomu leku u matki;
4) lek może obniżyć poziom stosowanej jednocześnie digoksyny;
5) w zapisie EKG wydłuża odstęp PR, poszerza zespoły QRS.
Prawidłowa odpowiedź to:
Pytanie 59
8-letni chłopiec został przyjęty do oddziału kardiologii po kolejnym incydencie omdlenia w czasie wysiłku. W czasie próby wysiłkowej zaczęły pojawiać się komorowe, polimorficzne zaburzenia rytmu serca, które ustąpiły w czasie odpoczynku. Podejrzewając u pacjenta polimorficzny, katecholaminergiczny częstoskurcz komorowy zalecić należy:
1) systematyczne podawanie możliwie wysokiej, dobrze tolerowanej dawki propranololu;
2) wszczepienie kardiowertera-defibrylatora;
3) badanie genetyczne;
4) wykluczenie udziału w zajęciach sportowych;
5) badanie elektrofizjologiczne.
Prawidłowa odpowiedź to:
Pytanie 60
Zapis EKG 4-letniej dziewczynki poniżej to:
1) stymulacja dwujamowa;
2) stymulacja jednojamowa z prawej komory;
3) stymulacja jednojamowa z lewej komory;
4) załamki P spełniają kryteria rytmu zatokowego;
5) powiększony lewy przedsionek;
6) powiększony prawy przedsionek.
Prawidłowa odpowiedź to:

Pytanie 61
Noworodek z płodowo stwierdzonym częstoskurczem bez częstoskurczu bezpośrednio po urodzeniu. W dalszym postępowaniu nie jest wskazane:
Pytanie 62
U dzieci po operacji metodą Fontana istotnym problemem są późne pooperacyjne zaburzenia rytmu serca. Najczęściej występują częstoskurcze nadkomorowe, dysfunkcja węzła zatokowego i zaburzenia przewodzenia przedsionkowo-komorowego. Czynniki sprzyjające to między innymi:
1) zewnątrzsercowy typ operacji;
2) istotne zwężenia tętnic płucnych;
3) wczesny wiek pacjenta w czasie operacji Fontana;
4) wymiana zastawki przedsionkowo-komorowej w czasie operacji;
5) wczesne pooperacyjne zaburzenia rytmu, konieczność stosowania czasowej stymulacji serca.
Prawidłowa odpowiedź to:
Pytanie 63
Zapis EKG 16-letniego chłopca. W różnicowaniu należy brać pod uwagę:
1) tachykardię zatokową;
2) ektopiczny częstoskurcz przedsionkowy;
3) atypowy nawrotny częstoskurcz węzłowy;
4) częstoskurcz z udziałem dodatkowej drogi przewodzącej wolno;
5) częstoskurcz z udziałem dodatkowej drogi przewodzącej szybko (zespół WPW).
Prawidłowa odpowiedź to:

Pytanie 64
Odnerwienie współczulne serca - lewostronna sympatektomia jest uznanym wspomagającym inwazyjnym leczeniem niektórych pacjentów z objawowym zespołem wydłużonego QT. Wskazań do takiego postępowania nie mają pacjenci:
Pytanie 65
Wskaż fałszywe stwierdzenie odnoszące się do anomalii Ebsteina:
Pytanie 66
Czynnikiem ryzyka wystąpienia nagłego zgonu sercowego u pacjentów po operacji tetralogii Fallota nie jest:
Pytanie 67
Wskaż fałszywe stwierdzenie odnoszące się do operacji naprawczych tetralogii Fallota:
Pytanie 68
Zapis ciśnienia w przedsionkach odzwierciedla zaburzenia hemodynamiczne wynikające z wady serca. Podwyższenie wartości fali „a” nie występuje w przypadku:
Pytanie 69
Wskaż sytuację kliniczną, która nie powoduje podwyższenia ciśnienia zaklinowania w tętnicy płucnej:
Pytanie 70
Duża różnica skurczowo-rozkurczowa ciśnienia tętniczego jest charakterystyczna dla:
1) okienka aortalno-płucnego;
2) przetrwałego przewodu tętniczego;
3) wstrząsu kardiogennego;
4) niedomykalności zastawki aorty;
5) tamponady serca.
Prawidłowa odpowiedź to:
Pytanie 71
Wskaż fałszywe stwierdzenie odnoszące się do wrodzonej wady serca pod postacią wspólnego pnia tętniczego (TAC):
Pytanie 72
Do oceny funkcji rozkurczowej lewej komory w badaniu echo stosujemy:
1) indeks objętości lewego przedsionka;
2) profil przepływu w żyłach płucnych;
3) MAPSE;
4) pomiaru wczesnorozkurczowej prędkości ruchu pierścienia mitralnego (E') w TDI;
5) pomiar EF wg Simpsona.
Prawidłowa odpowiedź to:
Pytanie 73
Wskaż fałszywe stwierdzenie odnoszące się do oceny echokardiograficznej przepływu w żyłach płucnych:
Pytanie 74
Definicją izolowanego pozawłośniczkowego nadciśnienia płucnego u dorosłych z wrodzonymi wadami serca jest:
Pytanie 75
Do parametrów stratyfikacji ryzyka nadciśnienia płucnego u dzieci stosujemy poniższe paramenty. Wyjątkiem jest:
Pytanie 76
Do późnych powikłań ccTGA nie należy:
Pytanie 77
Ekstremalnie duże ryzyko śmiertelności kobiety ciężarnej lub ciężkiej chorobowości (klasa IV mWHO) - częstość incydentów sercowych 40-100% - dotyczy pacjentek z:
Pytanie 78
Podczas kwalifikacji pacjenta z patologią układu krążenia do operacji przepukliny pachwinowej kardiologiczne ryzyko znieczulenia ocenimy jako pośrednie u:
Pytanie 79
Wskaż fałszywe stwierdzenie dotyczące badania MR u pacjenta po operacji Fontana:
Pytanie 80
Noworodek z zespołem hipoplazji lewego serca i saturacją 98% HbO2. Wskaż stwierdzenie właściwie oceniające stan opisanego przypadku klinicznego:
Pytanie 81
Wskaż przwdziwe stwierdzenie opisujące mechanizm powstawania nadciśnienia płucnego u dzieci z zespołem Downa:
Pytanie 82
W celu rozpoznania jakiej grupy nadciśnienia płucnego konieczne jest stwierdzenie oporu płucnego >3 j.Wooda*m2 u dzieci (>3 j Wooda u dorosłych)?
Pytanie 83
Które kryterium echokardiograficzne nie ma zastosowania w stratyfikacji ryzyka u dzieci z nadciśnieniem płucnym?
Pytanie 84
Kryterium dużym rozpoznania infekcyjnego zapalenia wsierdzia u dzieci jest:
Pytanie 85
Kardiochirurgiczne leczenie operacyjne w trybie pilnym należy wykonać u pacjenta z:
Pytanie 86
Wskaż stwierdzenie prawdziwe odnoszące się do zapalenia mięśnia sercowego po szczepieniu przeciwko SARS-CoV-2:
Pytanie 87
Czynniki ryzyka nagłego zgonu sercowego u dzieci z kardiomiopatią arytmogenną to:
Pytanie 88
Nie zaleca się uprawiania sportów wyczynowych u pacjentów z kardiomiopatią rozstrzeniową i objawami takimi jak:
Pytanie 89
Lekami z wyboru w terapii pierwotnego nadciśnienia tętniczego z towarzyszącymi zaburzeniami metabolicznymi u nastolatków są:
Pytanie 90
Nieprawidłowy zapis EKG: odchylenie osi elektrycznej serca w lewo, obecność załamków Q w odprowadzeniach przedsercowych V1 i V2, brak załamków Q w V5 i V6 jest charakterystyczny dla:
Pytanie 91
U pacjentów z wypadaniem płatka zastawki dwudzielnej badaniem przedmiotowym stwierdza się:
1) holosystoliczny szmer nad koniuszkiem serca;
2) turkot rozkurczowy nad koniuszkiem serca;
3) objawy osłuchowe zależą od pozycji ciała i nawodnienia;
4) środkowo-skurczowy klik;
5) dodatkowy ton w fazie wczesnego rozkurczu tzw. stuk otwarcia zastawki dwudzielnej.
Prawidłowa odpowiedź to:
Pytanie 92
U pacjentów z nieprawidłowym odejściem lewej tętnicy wieńcowej od tętnicy płucnej (ALCAPA) „typu dorosłego” dochodzi do rozwoju sieci naczyń wieńcowego krążenia obocznego. Wskaż stwierdzenie prawdziwe odnoszące się do powyższego:
Pytanie 93
Wskaż stwierdzenia prawdziwe dotyczące leczenia zabiegowego (interwencyjnego lub kardiochirurgicznego) zwężenia zastawki aorty:
1) leczenie zabiegowe jest wskazane u objawowych pacjentów z średnim gradientem ≥40 mm Hg;
2) interwencja jest zalecana u objawowych pacjentów z ciężkim niskoprzepływowym, niskogradientowym zwężeniem zastawki, średni gradient <40 mm i zmniejszoną frakcją wyrzutową;
3) leczenie zabiegowe jest wskazane u pacjentek w wieku prokreacyjnym ze średnim gradientem ≥30 mm;
4) interwencja jest zalecana u bezobjawowych pacjentów z ciężkim zwężeniem zastawki aorty i dysfunkcją skurczową lewej komory (LVEF <50%);
5) interwencja jest zalecana u bezobjawowych pacjentów z ciężkim zwężeniem zastawki aorty i nieprawidłowościami w teście wysiłkowym wykazującym objawy związane z wysiłkiem.
Prawidłowa odpowiedź to:
Pytanie 94
Leczenie przeciwpłytkowe (podawanie kwasu acetylosalicylowego) jest wskazane po interwencyjnym/ej:
1) zamknięciu ubytku międzyprzedsionkowego implantem;
2) zamknięciu przetrwałego przewodu tętniczego implantem;
3) zamknięciu ubytku przegrody międzykomorowej implantem;
4) angioplastyce balonowej nawrotu zwężenia cieśni aorty;
5) implantacji stentu u nastolatka z koarktacją aorty.
Prawidłowa odpowiedź to:
Pytanie 95
Operacja kardiochirurgiczna metodą Rastellego jest stosowana w leczeniu:
1) ubytku przegrody przedsionkowo-komorowej;
2) dwuujściowej prawej komorze z podpłucnym ubytkiem przegrody międzykomorowej;
3) przełożeniu wielkich pni tętniczych z ubytkiem przegrody międzykomorowej i zwężeniem drogi odpływu lewej komory;
4) atrezji zastawki trójdzielnej;
5) anomalii Ebsteina.
Prawidłowa odpowiedź to:
Pytanie 96
Zaawansowanie powikłań narządowych nadciśnienia tętniczego określa się na podstawie:
Pytanie 97
Ciągły wlew prostaglandyny E1 stosuje się w leczeniu noworodków z:
1) przetrwałym przewodem tętniczym;
2) zespołem hipoplazji lewego serca;
3) przerwanym łukiem aorty;
4) anomalią Ebsteina;
5) koarktacją aorty.
Prawidłowa odpowiedź to:
Pytanie 98
Noworodek urodzony o czasie, z masą ciała 3550 g w 39 tyg. ciąży. Prenatalnie: zespół Fallota z gradientem prawa komora - pień płucny 9 mm Hg (Vmax w pniu płucnym 1,5 cm/s), średnica pierścienia płucnego score -2 oraz prawidłowym rozwojem gałęzi płucnych. Duża przepuklina pępowinowa (omphalocele). Cukrzyca przedciążowa, wymagająca podawania zwiększanych dawek insuliny. Ciąża rozwiązana planowym cięciem cesarskim w 38 tyg. Noworodek urodzony na 8 pkt w skali Apgar, oddychał samodzielnie. Saturacja 90%, nie wymagał podania prostinu. W pierwszej dobie życia poddany operacji omphalocele. Po operacji stan dziecka ciężki, saturacja 60-70%, podano Prostin w dawce 0,01 mcg/kg/min bez efektu. Zaintubowany, brak możliwości zmniejszenia parametrów wentylacji. W badaniu ECHO: zespół Fallota, z turbulentnym wypływem do pnia płucnego o Vmax 200 cm/s (gradient prawa komora-pień płucny 16 mm Hg), średnica pierścienia płucnego z-score -2, prawidłowe wymiary gałęzi płucnych, wąski przewód tętniczy z obustronnym przepływem o wolnej prędkości, dominujący prawo-lewy przepływ na poziomie drożnego otworu owalnego. Na podstawie wywiadu i opisu ECHO należy:
Pytanie 99
Ciężarna 22-letnia, wywiad rodzinny nieobciążony. Została skierowana na badanie echokardiograficzne w 23 tygodniu ciąży płodu z powodu znacznie powiększonego serca o zwiększonej grubości ścian. Stwierdzono monofazowy napływ do prawej komory, z holosystoliczną niedomykalnością zastawki trójdzielnej o Vmax fali zwrotnej 3 m/s. Stwierdzono bezwodzie, prawidłowy przepływ w tętnicy pępkowej i środkowej mózgu, wsteczna fala a w przewodzie żylnym. Wskaż stwierdzenia prawdziwe odnoszące się do opisanego przypadku klinicznego:
1) należy wykonać amniopunkcję celem przeprowadzenia badania aCGH i WESS w kierunku rodzaju kardiomiopatii;
2) należy skierować ciężarną do ośrodka położniczego w celu terapii wewnątrzmacicznej - dopuszczenie płynu owodniowego;
3) najbardziej prawdopodobną przyczyną opisywanych zmian w układzie krążenia jest agenezja nerek;
4) zmiany w sercu płodu spowodowane są ciężkim nadciśnieniem tętniczym;
5) należy wdrożyć przezłożyskowe leczenie digoksyną.
Prawidłowa odpowiedź to:
Pytanie 100
25-letnia ciężarna została skierowana na badanie echokardiograficzne płodu w 25 tygodniu ciąży z powodu wady serca pod postacią całkowitego ubytku przedsionkowo-komorowego u starszego syna. Opisano prawidłowy układ krążenia płodu. Noworodek został wypisany do domu w 3 dobie życia. Słabo zjadał, słabo przybierał na wadze. Był karmiony pokarmem matki naprzemiennie z piersi i butelką. Od 4. miesiąca życia zaczął pocić się bardzo intensywnie. W badaniu echokardiograficznym wykonanym dopiero w 6 miesiącu życia rozpoznano nieprawidłowe odejście lewej tętnicy wieńcowej od pnia płucnego (ALCAPA). Wskaż prawdziwe stwierdzenia odnoszące się do tego przypadku:
1) ALCAPA powinna być rozpoznana w życiu płodowym;
2) ALCAPA nie daje żadnych objawów w życiu płodowym ze względu na hemodynamikę krążenia płodowego oraz utlenowanie krwi w prawej i lewej komorze serca u płodu;
3) dziecko miało typowe objawy niewydolności serca i wcześniej powinna być przeprowadzona konsultacja kardiologiczna;
4) potliwość mogła być spowodowana niedoborem witaminy D3, należało wykonać badanie w tym kierunku;
5) przy słabym przyroście masy ciała należało zmienić sposób karmienia dziecka.
Prawidłowa odpowiedź to:
Pytanie 101
Ciężarna w 31 tygodniu ciąży została skierowana na badanie echokardiograficzne płodu z powodu nieregularnej czynności serca płodu widocznej w badaniu ultrasonograficznym. Na podstawie badania M-mode tego płodu rozpoznać należy:

Pytanie 102
Zaniepokojony lekarz położnik prosi o konsultację obrazu śródpiersia płodu w 30 tygodniu ciąży podejrzewając przełożenie wielkich pni tętniczych. Pokazuje całe badania, w którym widoczne jest skrzyżowanie wielkich pni tętniczych, pień płucny wyraźnie odchodzi od przodu, ale aorta również się rozgałęzia. W obrazie czterech jam serca aorta piersiowa położona jest po prawej stronie kręgosłupa. Obraz śródpiersia widoczny jest na obrazie poniżej. Prawidłowe rozpoznanie i postępowanie to:
1) przełożenie wielkich pni tętniczych;
2) podwójny łuk aorty z porównywalną średnicą obu łuków;
3) prawostronny łuk aorty;
4) obraz śródpiersia u płodu jest prawidłowy;
5) noworodek powinien urodzić się w ośrodku z możliwością diagnostyki kardiologicznej.
Prawidłowa odpowiedź to:

Pytanie 103
Ciężarna 30-letnia, wywiad rodzinny nieobciążony, została skierowana na badanie echokardiograficzne w 24 tygodniu ciąży z powodu bradykardii 70 ud/min. Obraz M-mode oraz przepływ w tętnicy środkowej mózgu u tego płodu przedstawiono poniżej. Wskaż stwierdzenie prawdziwe dotyczące opisanego przypadku:

Pytanie 104
Opisz przedstawiony fragment zapisu EKG met Holtera:

Pytanie 105
Noworodek w 6. dobie życia skierowany na konsultacje kardiologiczną z powodu niemiarowej czynności serca. Dziecko urodzone 38 Hbd z masą ciała 3500 g, 10 pkt Apg. Okres adaptacyjny przebiega bezproblemowo. Noworodek przybiera na wadze i pozostaje w stanie ogólnym dobrym. Wywiad rodzinny w kierunku chorób układu krążenia negatywny. Poniżej zapis EKG wykonany u dziecka. Badanie echokardiograficzne wykazało prawidłową anatomie i funkcje serca. Wskaż optymalne dalsze postępowanie:
1) przy braku rozpoznania podłoża arytmii dalsza obserwacja, bez leczenia;
2) przyjęcie do szpitala celem pogłębienia diagnostyki;
3) analiza zapisów EKG celem wykluczenia kanałopatii;
4) rozpoczęcie leczenia betablokerem;
5) rozpoczęcie leczenia flekainidem.
Prawidłowa odpowiedź to:

Pytanie 106
24-letni pacjent z wadą wrodzoną serca pod postacią hipoplazji prawego serca, po operacji naprawczej metodą Fontana skarży się na napady szybkiego bicia serca przebiegające z zasłabnięciami. Badanie EKG met. Holtera wykazało kilkugodzinne epizody IART z częstotliwością komór 170/min, przedsionków 340/min korelujące z objawami. Badanie echokardiograficzne nie sugerowało zaburzeń hemodynamicznych. Wskaż optymalne dalsze postępowanie:
1) należy wykonać zabieg ablacji RF w ośrodku z doświadczeniem;
2) należy wdrożyć leczenie farmakologiczne amiodaronem;
3) należy wykonać kardiowersję;
4) należy wdrożyć leczenie farmakologiczne flecainidem;
5) należy zmodyfikować leczenie przeciwkrzepliwe.
Prawidłowa odpowiedź to:
Pytanie 107
3-tygodniowy noworodek z rozpoznaniem częstoskurczu o wąskich i szerokich zespołach QRS (zapis poniżej) w dobrym stanie ogólnym, bez cech niewydolności krążenia przyjęty celem leczenia. W badaniu echokardiograficznym bez cech wady wrodzonej serca, LV EF met. Simpsona 56%. Wskaż optymalne dalsze postępowanie:

Pytanie 108
Wskaż zmiany w zapisie EKG, które często współistnieją w zespole Brugadów:
1) dysfunkcja węzła zatokowego;
2) wydłużenie odstępu PQ;
3) całkowity blok przedsionkowo-komorowy;
4) pojedyncze pobudzenia komorowe;
5) migotanie przedsionków.
Prawidłowa odpowiedź to:
Pytanie 109
Chłopiec w wieku 6 lat dotychczas zdrowy rozpoczyna treningi piłki nożnej i z tego powodu miał wykonywany zapis EKG, w którym obecne są cechy preekscytacji. Wskaż optymalne dalsze postępowanie:
1) może przystąpić do treningów;
2) należy skierować na test wysiłkowy, po wyniku którego podejmujesz decyzje o dopuszczeniu do treningów;
3) należy skierować na badanie echokardiograficzne i holterowskie;
4) należy skierować do zabiegu ablacji;
5) należy włączyć profilaktyczne leczenie propranololem.
Prawidłowa odpowiedź to:
Pytanie 110
Alprostadyl jest szeroko stosowany u noworodków, charakterystyka leku obejmuje:
1) standardowa dawką jest 0,01-0,02 µg/kg/min;
2) przy przedłużonej podaży może dojść do przerostu odźwiernika;
3) wystąpienie gorączki w trakcie stosowania leku jest wskazaniem do jego odstawienia;
4) prawidłową reakcja na jego podanie u dzieci z przewodozależnym przepływem płucnym jest wzrost ciśnienia tętniczego krwi;
5) objawami ubocznymi są: gorączka, tachykardia, bezdechy, biegunka.
Prawidłowa odpowiedź to:
Pytanie 111
Za czynniki ryzyka powikłań kardiologicznych po leczeniu onkologicznym uznaje się:
1) ekwiwalent sumarycznej dawki doksorubicyny >250mg/m²;
2) radioterapia klatki piersiowej >35 Gy;
3) terapia łączona: doksorubiicyna <250ms i radioterapia ≥15 Gy;
4) to ekwiwalent doksyrubicyny >300 mg/m²;
5) terapia <5 rż.
Prawidłowa odpowiedź to:
Pytanie 112
Do odległych powikłań u pacjentów po korekcji anatomicznej wielkich pni tętniczych nie należy:
Pytanie 113
Wskaż prawdziwe stwierdzenia w odniesieniu do osób młodych:
1) operacja jest zalecana u pacjentów z zespołem Marfana, chorobą opuszki aorty z maksymalną średnicą aorty na poziomie zatok Valsalvy ≥50 mm;
2) należy rozważyć operacje u pacjentów z mutacją TGFBR1 lub TGFBR2 i chorobą opuszki aorty i maksymalną średnicą aorty na poziomie zatok Valsalvy ≥50 mm;
3) u pacjentów z zastawką aortalną dwupłatkową należy rozważyć leczenie operacyjne jeśli aorta wstępująca ≥50 mm i obecne są inne czynniki ryzyka;
4) u kobiet z zespołem Turnera w wieku >16 lat z indeksem aorty wstępującej >25 mm/m² i dodatkowymi czynnikami ryzyka rozwarstwienia aorty należy rozważyć planową operację tętniaków opuszki aorty i/lub aorty wstępującej;
5) do czynników ryzyka rozwarstwienia aorty w przypadku dwupłatkowej zastawki aortalnej są: wywiad rodzinny rozwarstwienia przy małej średnicy, postępująca niedomykalność zastawki aorty, wzrost wymiaru aorty przy tych samych warunkach pomiaru >3 mm/rok.
Prawidłowa odpowiedź to:
Pytanie 114
Postępowanie z dziećmi po radioterapii śródpiersia obejmuje:
1) grupa wysokiego ryzyka: badanie ECHO i EKG po 2 latach;
2) grupa wysokiego ryzyka: badanie próba wysiłkowa i TK serca+tętnic wieńcowych po 10 latach;
3) grupa niskiego ryzyka: ECHO+EKG po 5 latach i co 5 lat;
4) grupa niskiego ryzyka: próba wysiłkowa i TK tętnic wieńcowych oraz serca po 10 latach;
5) MRI serca wg indywidualnych zaleceń.
Prawidłowa odpowiedź to:
Pytanie 115
Do odległych, typowych powikłań u pacjentów po operacji naprawczej metodą Rastelligo należy:
1) masywna niedomykalność zastawki trójdzielnej;
2) zwężenie lub niedomykalność konduitu pomiędzy RV i PA;
3) zwężenie lewej tętnicy płucnej;
4) LVOTO;
5) niedomykalność zastawki aortalnej.
Prawidłowa odpowiedź to:
Pytanie 116
3-letni chłopczyk z prawidłową anatomią serca i wrodzonym blokiem przedsionkowo-komorowym III stp, u którego w 5. miesiącu życia wszczepiono nasierdziowy układ stymulujący serca VVIR na lewą komorę. Aktualnie przyjęty do oddziału kardiologii z powodu nasilenia objawów niewydolności krążenia. Kontrola parametrów stymulacji wykazała: impuls 3 V, szer. 0,4 ms, próg stymulacji 0,75 V, impedancja elektrody 980 Ohm. Jakie leczenie należy rozważyć?
1) farmakoterapia niewydolności krążenia;
2) wszczepienie nasierdziowego układu DDD;
3) wszczepienie endokawitarnego układu DDD;
4) stymulację lewej odnogi pęczka Hisa, VVIR;
5) nasierdziowy układ resynchronizujący z wykorzystaniem dotychczasowej elektrody.
Prawidłowa odpowiedź to:
Pytanie 117
Zgodnie z kryteriami z Seatle do zmian w zapisie EKG u sportowca wykazujących potencjalne ryzyko nagłego zgonu nie należą:
1) wydłużenie odstępu QTc u chłopców >470 ms, u dziewczynek >480 ms;
2) izolowany, całkowity blok prawej odnogi pęczka Hisa;
3) izolowany całkowity blok lewej odnogi pęczka Hisa;
4) bradykardia zatokowa ≥30/min;
5) zastępczy rytm węzłowy.
Prawidłowa odpowiedź to:
Pytanie 118
Wskaż fałszywe stwierdzenie dotyczące zastawki mitralnej:
Pytanie 119
Wskaż prawdziwe stwierdzenie dotyczące stymulacji pęczka Hisa:
Pytanie 120



